About   Help   FAQ
Gene Expression Data
Assay Details
Assay
Reference: J:228563 Koscielny G, et al., The International Mouse Phenotyping Consortium Web Portal, a unified point of access for knockout mice and related phenotyping data. Nucleic Acids Res. 2014 Jan;42(Database issue):D802-9
Assay type: In situ reporter (knock in)
MGI Accession ID: MGI:6691774
Gene symbol: Cdca5
Gene name: cell division cycle associated 5
Reporter: lacZ
Direct Detection
Results
Specimen JAX_922917: embryonic day 12.5; Cdca5tm1.1(KOMP)Vlcg/Cdca5+ (more )
Structure Level Pattern Image Note
TS20: embryo Present JAX_922917

Specimen JAX_922919: embryonic day 12.5; Cdca5tm1.1(KOMP)Vlcg/Cdca5+ (more )
Structure Level Pattern Image Note
TS20: embryo Present JAX_922919

Specimen JAX_922921: embryonic day 12.5; Cdca5tm1.1(KOMP)Vlcg/Cdca5+ (more )
Structure Level Pattern Image Note
TS20: embryo Present JAX_922921

Specimen JAX_922923: embryonic day 12.5; Cdca5tm1.1(KOMP)Vlcg/Cdca5+ (more )
Structure Level Pattern Image Note
TS20: embryo Present JAX_922923

Specimen JAX_1803178: postnatal adult; Cdca5tm1.1(KOMP)Vlcg/Cdca5+ (more )
Structure Level Pattern Image Note
TS28: vascular system Present JAX_1803178

Specimen JAX_1803179: postnatal adult; Cdca5tm1.1(KOMP)Vlcg/Cdca5+ (more )
Structure Level Pattern Image Note
TS28: bladder Present JAX_1803179

Specimen JAX_1803180: postnatal adult; Cdca5tm1.1(KOMP)Vlcg/Cdca5+ (more )
Structure Level Pattern Image Note
TS28: Peyer's patch Present JAX_1803180

Specimen JAX_1803181: postnatal adult; Cdca5tm1.1(KOMP)Vlcg/Cdca5+ (more )
Structure Level Pattern Image Note
TS28: spleen Present JAX_1803181

Specimen JAX_1803182: postnatal adult; Cdca5tm1.1(KOMP)Vlcg/Cdca5+ (more )
Structure Level Pattern Image Note
TS28: pancreas Present JAX_1803182

Specimen JAX_1803183: postnatal adult; Cdca5tm1.1(KOMP)Vlcg/Cdca5+ (more )
Structure Level Pattern Image Note
TS28: lung Present JAX_1803183

Specimen JAX_1803184: postnatal adult; Cdca5tm1.1(KOMP)Vlcg/Cdca5+ (more )
Structure Level Pattern Image Note
TS28: small intestine Present JAX_1803184

Specimen JAX_1803185: postnatal adult; Cdca5tm1.1(KOMP)Vlcg/Cdca5+ (more )
Structure Level Pattern Image Note
TS28: esophagus Present JAX_1803185

Specimen JAX_1803186: postnatal adult; Cdca5tm1.1(KOMP)Vlcg/Cdca5+ (more )
Structure Level Pattern Image Note
TS28: large intestine Present JAX_1803186

Specimen JAX_1803187: postnatal adult; Cdca5tm1.1(KOMP)Vlcg/Cdca5+ (more )
Structure Level Pattern Image Note
TS28: uterus Present JAX_1803187

Specimen JAX_1803188: postnatal adult; Cdca5tm1.1(KOMP)Vlcg/Cdca5+ (more )
Structure Level Pattern Image Note
TS28: thymus Present JAX_1803188

Specimen JAX_1803189: postnatal adult; Cdca5tm1.1(KOMP)Vlcg/Cdca5+ (more )
Structure Level Pattern Image Note
TS28: stomach Present JAX_1803189

Specimen JAX_1803190: postnatal adult; Cdca5tm1.1(KOMP)Vlcg/Cdca5+ (more )
Structure Level Pattern Image Note
TS28: skin Present JAX_1803190

Specimen JAX_1803191: postnatal adult; Cdca5tm1.1(KOMP)Vlcg/Cdca5+ (more )
Structure Level Pattern Image Note
TS28: oviduct Present JAX_1803191

Specimen JAX_1803192: postnatal adult; Cdca5tm1.1(KOMP)Vlcg/Cdca5+ (more )
Structure Level Pattern Image Note
TS28: ovary Present JAX_1803192

Specimen JAX_1803193: postnatal adult; Cdca5tm1.1(KOMP)Vlcg/Cdca5+ (more )
Structure Level Pattern Image Note
TS28: mammary gland Present JAX_1803193

Specimen JAX_1803194: postnatal adult; Cdca5tm1.1(KOMP)Vlcg/Cdca5+ (more )
Structure Level Pattern Image Note
TS28: liver Present JAX_1803194

Specimen JAX_1803195: postnatal adult; Cdca5tm1.1(KOMP)Vlcg/Cdca5+ (more )
Structure Level Pattern Image Note
TS28: metanephros Present JAX_1803195 kidney

Specimen JAX_1803196: postnatal adult; Cdca5tm1.1(KOMP)Vlcg/Cdca5+ (more )
Structure Level Pattern Image Note
TS28: heart Present JAX_1803196

Specimen JAX_1803197: postnatal adult; Cdca5tm1.1(KOMP)Vlcg/Cdca5+ (more )
Structure Level Pattern Image Note
TS28: adrenal gland Present JAX_1803197

Specimen JAX_1803156: postnatal adult; Cdca5tm1.1(KOMP)Vlcg/Cdca5+ (more )
Structure Level Pattern Image Note
TS28: thalamus Present JAX_1803156

Specimen JAX_1803157: postnatal adult; Cdca5tm1.1(KOMP)Vlcg/Cdca5+ (more )
Structure Level Pattern Image Note
TS28: midbrain Present JAX_1803157

Specimen JAX_1803158: postnatal adult; Cdca5tm1.1(KOMP)Vlcg/Cdca5+ (more )
Structure Level Pattern Image Note
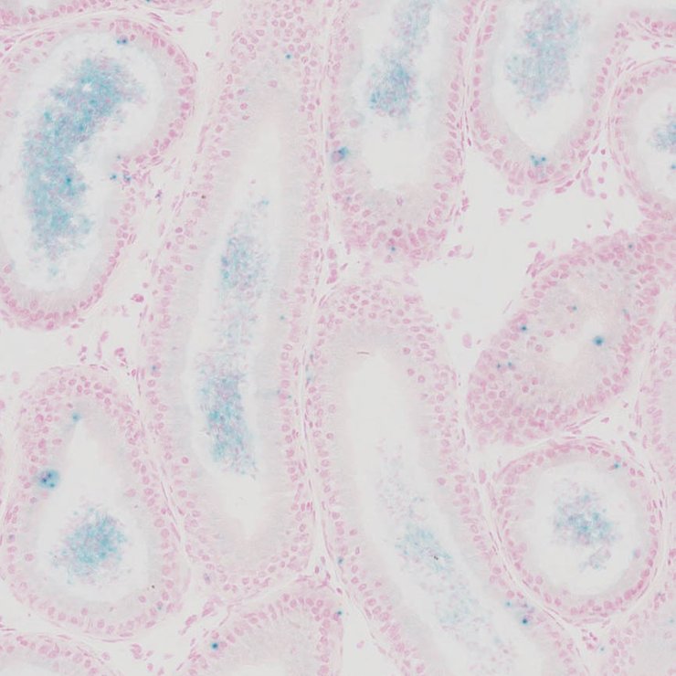
TS28: epididymis Present JAX_1803158

Specimen JAX_1803159: postnatal adult; Cdca5tm1.1(KOMP)Vlcg/Cdca5+ (more )
Structure Level Pattern Image Note
TS28: submandibular gland Present JAX_1803159

Specimen JAX_1803160: postnatal adult; Cdca5tm1.1(KOMP)Vlcg/Cdca5+ (more )
Structure Level Pattern Image Note
TS28: brown fat Present JAX_1803160

Specimen JAX_1803161: postnatal adult; Cdca5tm1.1(KOMP)Vlcg/Cdca5+ (more )
Structure Level Pattern Image Note
TS28: bone marrow Present JAX_1803161

Specimen JAX_1803162: postnatal adult; Cdca5tm1.1(KOMP)Vlcg/Cdca5+ (more )
Structure Level Pattern Image Note
TS28: corpus striatum Present JAX_1803162

Specimen JAX_1803163: postnatal adult; Cdca5tm1.1(KOMP)Vlcg/Cdca5+ (more )
Structure Level Pattern Image Note
TS28: olfactory lobe Present JAX_1803163

Specimen JAX_1803164: postnatal adult; Cdca5tm1.1(KOMP)Vlcg/Cdca5+ (more )
Structure Level Pattern Image Note
TS28: hypothalamus Present JAX_1803164

Specimen JAX_1803165: postnatal adult; Cdca5tm1.1(KOMP)Vlcg/Cdca5+ (more )
Structure Level Pattern Image Note
TS28: hippocampus Present JAX_1803165

Specimen JAX_1803166: postnatal adult; Cdca5tm1.1(KOMP)Vlcg/Cdca5+ (more )
Structure Level Pattern Image Note
TS28: cerebellum Present JAX_1803166

Specimen JAX_1803167: postnatal adult; Cdca5tm1.1(KOMP)Vlcg/Cdca5+ (more )
Structure Level Pattern Image Note
TS28: cerebral cortex Present JAX_1803167

Specimen JAX_1803168: postnatal adult; Cdca5tm1.1(KOMP)Vlcg/Cdca5+ (more )
Structure Level Pattern Image Note
TS28: brainstem Present JAX_1803168

Specimen JAX_1803169: postnatal adult; Cdca5tm1.1(KOMP)Vlcg/Cdca5+ (more )
Structure Level Pattern Image Note
TS28: pituitary gland Present JAX_1803169

Specimen JAX_1803170: postnatal adult; Cdca5tm1.1(KOMP)Vlcg/Cdca5+ (more )
Structure Level Pattern Image Note
TS28: thyroid gland Present JAX_1803170

Specimen JAX_1803171: postnatal adult; Cdca5tm1.1(KOMP)Vlcg/Cdca5+ (more )
Structure Level Pattern Image Note
TS28: spinal cord Present JAX_1803171

Specimen JAX_1803172: postnatal adult; Cdca5tm1.1(KOMP)Vlcg/Cdca5+ (more )
Structure Level Pattern Image Note
TS28: trachea Present JAX_1803172

Specimen JAX_1803173: postnatal adult; Cdca5tm1.1(KOMP)Vlcg/Cdca5+ (more )
Structure Level Pattern Image Note
TS28: testis Present JAX_1803173

Specimen JAX_1803174: postnatal adult; Cdca5tm1.1(KOMP)Vlcg/Cdca5+ (more )
Structure Level Pattern Image Note
TS28: lymph node Present JAX_1803174

Specimen JAX_1803175: postnatal adult; Cdca5tm1.1(KOMP)Vlcg/Cdca5+ (more )
Structure Level Pattern Image Note
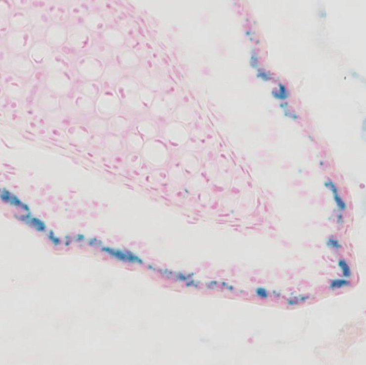
TS28: eye Present JAX_1803175

Specimen JAX_1803176: postnatal adult; Cdca5tm1.1(KOMP)Vlcg/Cdca5+ (more )
Structure Level Pattern Image Note
TS28: brain Present JAX_1803176

Specimen JAX_1803177: postnatal adult; Cdca5tm1.1(KOMP)Vlcg/Cdca5+ (more )
Structure Level Pattern Image Note
TS28: adrenal gland Present JAX_1803177


Contributing Projects:
Mouse Genome Database (MGD), Gene Expression Database (GXD), Mouse Models of Human Cancer database (MMHCdb) (formerly Mouse Tumor Biology (MTB)), Gene Ontology (GO)
Citing These Resources
Funding Information
Warranty Disclaimer, Privacy Notice, Licensing, & Copyright
Send questions and comments to User Support.
last database update
01/20/2026
MGI 6.24
The Jackson Laboratory