About   Help   FAQ
Gene Expression Data
Assay Details
Assay
Reference: J:228563 Koscielny G, et al., The International Mouse Phenotyping Consortium Web Portal, a unified point of access for knockout mice and related phenotyping data. Nucleic Acids Res. 2014 Jan;42(Database issue):D802-9
Assay type: In situ reporter (knock in)
MGI Accession ID: MGI:6691770
Gene symbol: Tiprl
Gene name: TIP41, TOR signalling pathway regulator-like (S. cerevisiae)
Reporter: lacZ
Direct Detection
Results
Specimen JAX_1314547: embryonic day 12.5; Tiprltm1.1(KOMP)Vlcg/Tiprl+ (more )
Structure Level Pattern Image Note
TS20: embryo Present JAX_1314547

Specimen JAX_1314548: embryonic day 12.5; Tiprltm1.1(KOMP)Vlcg/Tiprl+ (more )
Structure Level Pattern Image Note
TS20: embryo Present JAX_1314548

Specimen JAX_1314549: embryonic day 12.5; Tiprltm1.1(KOMP)Vlcg/Tiprl+ (more )
Structure Level Pattern Image Note
TS20: embryo Present JAX_1314549

Specimen JAX_1314550: embryonic day 12.5; Tiprltm1.1(KOMP)Vlcg/Tiprl+ (more )
Structure Level Pattern Image Note
TS20: embryo Present JAX_1314550

Specimen JAX_1314551: embryonic day 12.5; Tiprltm1.1(KOMP)Vlcg/Tiprl+ (more )
Structure Level Pattern Image Note
TS20: embryo Present JAX_1314551

Specimen JAX_1314552: embryonic day 12.5; Tiprltm1.1(KOMP)Vlcg/Tiprl+ (more )
Structure Level Pattern Image Note
TS20: embryo Present JAX_1314552

Specimen JAX_1314553: embryonic day 12.5; Tiprltm1.1(KOMP)Vlcg/Tiprl+ (more )
Structure Level Pattern Image Note
TS20: embryo Present JAX_1314553

Specimen JAX_1314554: embryonic day 12.5; Tiprltm1.1(KOMP)Vlcg/Tiprl+ (more )
Structure Level Pattern Image Note
TS20: embryo Present JAX_1314554

Specimen JAX_1373710: postnatal adult; Tiprltm1.1(KOMP)Vlcg/Tiprl+ (more )
Structure Level Pattern Image Note
TS28: vascular system Present JAX_1373710

Specimen JAX_1373711: postnatal adult; Tiprltm1.1(KOMP)Vlcg/Tiprl+ (more )
Structure Level Pattern Image Note
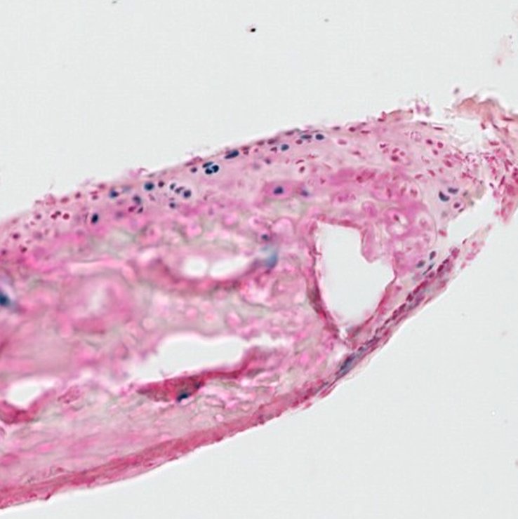
TS28: bone Present JAX_1373711

Specimen JAX_1373712: postnatal adult; Tiprltm1.1(KOMP)Vlcg/Tiprl+ (more )
Structure Level Pattern Image Note
TS28: bladder Present JAX_1373712

Specimen JAX_1373713: postnatal adult; Tiprltm1.1(KOMP)Vlcg/Tiprl+ (more )
Structure Level Pattern Image Note
TS28: corpus striatum Present JAX_1373713

Specimen JAX_1373714: postnatal adult; Tiprltm1.1(KOMP)Vlcg/Tiprl+ (more )
Structure Level Pattern Image Note
TS28: hippocampus Present JAX_1373714

Specimen JAX_1373715: postnatal adult; Tiprltm1.1(KOMP)Vlcg/Tiprl+ (more )
Structure Level Pattern Image Note
TS28: cerebellum Present JAX_1373715

Specimen JAX_1373716: postnatal adult; Tiprltm1.1(KOMP)Vlcg/Tiprl+ (more )
Structure Level Pattern Image Note
TS28: cerebral cortex Present JAX_1373716

Specimen JAX_1373717: postnatal adult; Tiprltm1.1(KOMP)Vlcg/Tiprl+ (more )
Structure Level Pattern Image Note
TS28: brainstem Present JAX_1373717

Specimen JAX_1373718: postnatal adult; Tiprltm1.1(KOMP)Vlcg/Tiprl+ (more )
Structure Level Pattern Image Note
TS28: aorta Present JAX_1373718

Specimen JAX_1373719: postnatal adult; Tiprltm1.1(KOMP)Vlcg/Tiprl+ (more )
Structure Level Pattern Image Note
TS28: lung Present JAX_1373719

Specimen JAX_1373720: postnatal adult; Tiprltm1.1(KOMP)Vlcg/Tiprl+ (more )
Structure Level Pattern Image Note
TS28: skeletal muscle tissue Present JAX_1373720

Specimen JAX_1373721: postnatal adult; Tiprltm1.1(KOMP)Vlcg/Tiprl+ (more )
Structure Level Pattern Image Note
TS28: pituitary gland Present JAX_1373721

Specimen JAX_1373722: postnatal adult; Tiprltm1.1(KOMP)Vlcg/Tiprl+ (more )
Structure Level Pattern Image Note
TS28: thyroid gland Present JAX_1373722

Specimen JAX_1373723: postnatal adult; Tiprltm1.1(KOMP)Vlcg/Tiprl+ (more )
Structure Level Pattern Image Note
TS28: large intestine Present JAX_1373723

Specimen JAX_1373724: postnatal adult; Tiprltm1.1(KOMP)Vlcg/Tiprl+ (more )
Structure Level Pattern Image Note
TS28: uterus Present JAX_1373724

Specimen JAX_1373725: postnatal adult; Tiprltm1.1(KOMP)Vlcg/Tiprl+ (more )
Structure Level Pattern Image Note
TS28: trachea Present JAX_1373725

Specimen JAX_1373726: postnatal adult; Tiprltm1.1(KOMP)Vlcg/Tiprl+ (more )
Structure Level Pattern Image Note
TS28: thymus Present JAX_1373726

Specimen JAX_1373727: postnatal adult; Tiprltm1.1(KOMP)Vlcg/Tiprl+ (more )
Structure Level Pattern Image Note
TS28: oviduct Present JAX_1373727

Specimen JAX_1373728: postnatal adult; Tiprltm1.1(KOMP)Vlcg/Tiprl+ (more )
Structure Level Pattern Image Note
TS28: ovary Present JAX_1373728

Specimen JAX_1373729: postnatal adult; Tiprltm1.1(KOMP)Vlcg/Tiprl+ (more )
Structure Level Pattern Image Note
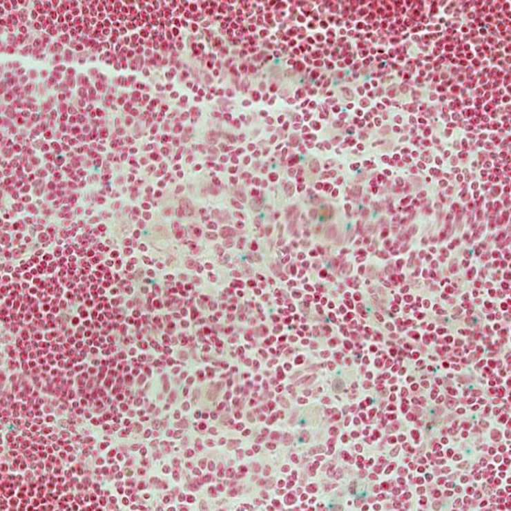
TS28: lymph node Present JAX_1373729

Specimen JAX_1373730: postnatal adult; Tiprltm1.1(KOMP)Vlcg/Tiprl+ (more )
Structure Level Pattern Image Note
TS28: metanephros Present JAX_1373730 kidney

Specimen JAX_1373731: postnatal adult; Tiprltm1.1(KOMP)Vlcg/Tiprl+ (more )
Structure Level Pattern Image Note
TS28: brain Present JAX_1373731

Specimen JAX_1373691: postnatal adult; Tiprltm1.1(KOMP)Vlcg/Tiprl+ (more )
Structure Level Pattern Image Note
TS28: thalamus Present JAX_1373691

Specimen JAX_1373692: postnatal adult; Tiprltm1.1(KOMP)Vlcg/Tiprl+ (more )
Structure Level Pattern Image Note
TS28: midbrain Present JAX_1373692

Specimen JAX_1373693: postnatal adult; Tiprltm1.1(KOMP)Vlcg/Tiprl+ (more )
Structure Level Pattern Image Note
TS28: epididymis Present JAX_1373693

Specimen JAX_1373694: postnatal adult; Tiprltm1.1(KOMP)Vlcg/Tiprl+ (more )
Structure Level Pattern Image Note
TS28: peripheral nervous system Present JAX_1373694

Specimen JAX_1373695: postnatal adult; Tiprltm1.1(KOMP)Vlcg/Tiprl+ (more )
Structure Level Pattern Image Note
TS28: olfactory lobe Present JAX_1373695

Specimen JAX_1373696: postnatal adult; Tiprltm1.1(KOMP)Vlcg/Tiprl+ (more )
Structure Level Pattern Image Note
TS28: hypothalamus Present JAX_1373696

Specimen JAX_1373697: postnatal adult; Tiprltm1.1(KOMP)Vlcg/Tiprl+ (more )
Structure Level Pattern Image Note
TS28: cartilage Present JAX_1373697

Specimen JAX_1373698: postnatal adult; Tiprltm1.1(KOMP)Vlcg/Tiprl+ (more )
Structure Level Pattern Image Note
TS28: pancreas Present JAX_1373698

Specimen JAX_1373699: postnatal adult; Tiprltm1.1(KOMP)Vlcg/Tiprl+ (more )
Structure Level Pattern Image Note
TS28: white fat Present JAX_1373699

Specimen JAX_1373700: postnatal adult; Tiprltm1.1(KOMP)Vlcg/Tiprl+ (more )
Structure Level Pattern Image Note
TS28: small intestine Present JAX_1373700

Specimen JAX_1373701: postnatal adult; Tiprltm1.1(KOMP)Vlcg/Tiprl+ (more )
Structure Level Pattern Image Note
TS28: spinal cord Present JAX_1373701

Specimen JAX_1373702: postnatal adult; Tiprltm1.1(KOMP)Vlcg/Tiprl+ (more )
Structure Level Pattern Image Note
TS28: esophagus Present JAX_1373702

Specimen JAX_1373703: postnatal adult; Tiprltm1.1(KOMP)Vlcg/Tiprl+ (more )
Structure Level Pattern Image Note
TS28: testis Present JAX_1373703

Specimen JAX_1373704: postnatal adult; Tiprltm1.1(KOMP)Vlcg/Tiprl+ (more )
Structure Level Pattern Image Note
TS28: stomach Present JAX_1373704

Specimen JAX_1373705: postnatal adult; Tiprltm1.1(KOMP)Vlcg/Tiprl+ (more )
Structure Level Pattern Image Note
TS28: skin Present JAX_1373705

Specimen JAX_1373706: postnatal adult; Tiprltm1.1(KOMP)Vlcg/Tiprl+ (more )
Structure Level Pattern Image Note
TS28: liver Present JAX_1373706

Specimen JAX_1373707: postnatal adult; Tiprltm1.1(KOMP)Vlcg/Tiprl+ (more )
Structure Level Pattern Image Note
TS28: heart Present JAX_1373707

Specimen JAX_1373708: postnatal adult; Tiprltm1.1(KOMP)Vlcg/Tiprl+ (more )
Structure Level Pattern Image Note
TS28: eye Present JAX_1373708

Specimen JAX_1373709: postnatal adult; Tiprltm1.1(KOMP)Vlcg/Tiprl+ (more )
Structure Level Pattern Image Note
TS28: adrenal gland Present JAX_1373709


Contributing Projects:
Mouse Genome Database (MGD), Gene Expression Database (GXD), Mouse Models of Human Cancer database (MMHCdb) (formerly Mouse Tumor Biology (MTB)), Gene Ontology (GO)
Citing These Resources
Funding Information
Warranty Disclaimer, Privacy Notice, Licensing, & Copyright
Send questions and comments to User Support.
last database update
12/30/2025
MGI 6.24
The Jackson Laboratory