About   Help   FAQ
Gene Expression Data
Assay Details
Assay
Reference: J:228563 Koscielny G, et al., The International Mouse Phenotyping Consortium Web Portal, a unified point of access for knockout mice and related phenotyping data. Nucleic Acids Res. 2014 Jan;42(Database issue):D802-9
Assay type: In situ reporter (knock in)
MGI Accession ID: MGI:6691762
Gene symbol: Mrpl18
Gene name: mitochondrial ribosomal protein L18
Reporter: lacZ
Direct Detection
Results
Specimen JAX_1314487: embryonic day 12.5; Mrpl18tm1.1(KOMP)Vlcg/Mrpl18+ (more )
Structure Level Pattern Image Note
TS20: embryo Present JAX_1314487

Specimen JAX_1314488: embryonic day 12.5; Mrpl18tm1.1(KOMP)Vlcg/Mrpl18+ (more )
Structure Level Pattern Image Note
TS20: embryo Present JAX_1314488

Specimen JAX_1314489: embryonic day 12.5; Mrpl18tm1.1(KOMP)Vlcg/Mrpl18+ (more )
Structure Level Pattern Image Note
TS20: embryo Present JAX_1314489

Specimen JAX_1314490: embryonic day 12.5; Mrpl18tm1.1(KOMP)Vlcg/Mrpl18+ (more )
Structure Level Pattern Image Note
TS20: embryo Present JAX_1314490

Specimen JAX_1314483: embryonic day 12.5; Mrpl18tm1.1(KOMP)Vlcg/Mrpl18+ (more )
Structure Level Pattern Image Note
TS20: embryo Present JAX_1314483

Specimen JAX_1314484: embryonic day 12.5; Mrpl18tm1.1(KOMP)Vlcg/Mrpl18+ (more )
Structure Level Pattern Image Note
TS20: embryo Present JAX_1314484

Specimen JAX_1314485: embryonic day 12.5; Mrpl18tm1.1(KOMP)Vlcg/Mrpl18+ (more )
Structure Level Pattern Image Note
TS20: embryo Present JAX_1314485

Specimen JAX_1314486: embryonic day 12.5; Mrpl18tm1.1(KOMP)Vlcg/Mrpl18+ (more )
Structure Level Pattern Image Note
TS20: embryo Present JAX_1314486

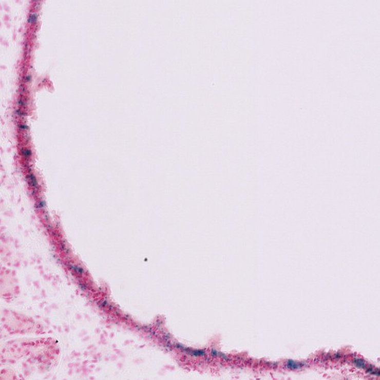
Specimen JAX_1373443: postnatal adult; Mrpl18tm1.1(KOMP)Vlcg/Mrpl18+ (more )
Structure Level Pattern Image Note
TS28: thalamus Present JAX_1373443

Specimen JAX_1373444: postnatal adult; Mrpl18tm1.1(KOMP)Vlcg/Mrpl18+ (more )
Structure Level Pattern Image Note
TS28: midbrain Present JAX_1373444

Specimen JAX_1373445: postnatal adult; Mrpl18tm1.1(KOMP)Vlcg/Mrpl18+ (more )
Structure Level Pattern Image Note
TS28: corpus striatum Present JAX_1373445

Specimen JAX_1373446: postnatal adult; Mrpl18tm1.1(KOMP)Vlcg/Mrpl18+ (more )
Structure Level Pattern Image Note
TS28: olfactory lobe Present JAX_1373446

Specimen JAX_1373447: postnatal adult; Mrpl18tm1.1(KOMP)Vlcg/Mrpl18+ (more )
Structure Level Pattern Image Note
TS28: hypothalamus Present JAX_1373447

Specimen JAX_1373448: postnatal adult; Mrpl18tm1.1(KOMP)Vlcg/Mrpl18+ (more )
Structure Level Pattern Image Note
TS28: hippocampus Present JAX_1373448

Specimen JAX_1373449: postnatal adult; Mrpl18tm1.1(KOMP)Vlcg/Mrpl18+ (more )
Structure Level Pattern Image Note
TS28: cerebellum Present JAX_1373449

Specimen JAX_1373450: postnatal adult; Mrpl18tm1.1(KOMP)Vlcg/Mrpl18+ (more )
Structure Level Pattern Image Note
TS28: cerebral cortex Present JAX_1373450

Specimen JAX_1373451: postnatal adult; Mrpl18tm1.1(KOMP)Vlcg/Mrpl18+ (more )
Structure Level Pattern Image Note
TS28: brainstem Present JAX_1373451

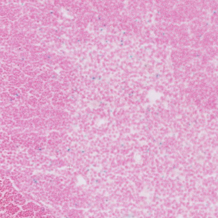
Specimen JAX_1373452: postnatal adult; Mrpl18tm1.1(KOMP)Vlcg/Mrpl18+ (more )
Structure Level Pattern Image Note
TS28: white fat Present JAX_1373452

Specimen JAX_1373453: postnatal adult; Mrpl18tm1.1(KOMP)Vlcg/Mrpl18+ (more )
Structure Level Pattern Image Note
TS28: uterus Present JAX_1373453

Specimen JAX_1373454: postnatal adult; Mrpl18tm1.1(KOMP)Vlcg/Mrpl18+ (more )
Structure Level Pattern Image Note
TS28: oviduct Present JAX_1373454

Specimen JAX_1373455: postnatal adult; Mrpl18tm1.1(KOMP)Vlcg/Mrpl18+ (more )
Structure Level Pattern Image Note
TS28: ovary Present JAX_1373455

Specimen JAX_1373456: postnatal adult; Mrpl18tm1.1(KOMP)Vlcg/Mrpl18+ (more )
Structure Level Pattern Image Note
TS28: eye Present JAX_1373456

Specimen JAX_1373457: postnatal adult; Mrpl18tm1.1(KOMP)Vlcg/Mrpl18+ (more )
Structure Level Pattern Image Note
TS28: brain Present JAX_1373457

Specimen JAX_1373458: postnatal adult; Mrpl18tm1.1(KOMP)Vlcg/Mrpl18+ (more )
Structure Level Pattern Image Note
TS28: vascular system Present JAX_1373458

Specimen JAX_1373459: postnatal adult; Mrpl18tm1.1(KOMP)Vlcg/Mrpl18+ (more )
Structure Level Pattern Image Note
TS28: epididymis Present JAX_1373459

Specimen JAX_1373460: postnatal adult; Mrpl18tm1.1(KOMP)Vlcg/Mrpl18+ (more )
Structure Level Pattern Image Note
TS28: brown fat Present JAX_1373460

Specimen JAX_1373461: postnatal adult; Mrpl18tm1.1(KOMP)Vlcg/Mrpl18+ (more )
Structure Level Pattern Image Note
TS28: bladder Present JAX_1373461

Specimen JAX_1373462: postnatal adult; Mrpl18tm1.1(KOMP)Vlcg/Mrpl18+ (more )
Structure Level Pattern Image Note
TS28: peripheral nervous system Present JAX_1373462

Specimen JAX_1373463: postnatal adult; Mrpl18tm1.1(KOMP)Vlcg/Mrpl18+ (more )
Structure Level Pattern Image Note
TS28: cartilage Present JAX_1373463

Specimen JAX_1373464: postnatal adult; Mrpl18tm1.1(KOMP)Vlcg/Mrpl18+ (more )
Structure Level Pattern Image Note
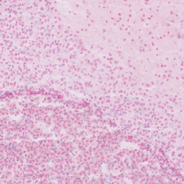
TS28: spleen Present JAX_1373464

Specimen JAX_1373465: postnatal adult; Mrpl18tm1.1(KOMP)Vlcg/Mrpl18+ (more )
Structure Level Pattern Image Note
TS28: pancreas Present JAX_1373465

Specimen JAX_1373466: postnatal adult; Mrpl18tm1.1(KOMP)Vlcg/Mrpl18+ (more )
Structure Level Pattern Image Note
TS28: aorta Present JAX_1373466

Specimen JAX_1373467: postnatal adult; Mrpl18tm1.1(KOMP)Vlcg/Mrpl18+ (more )
Structure Level Pattern Image Note
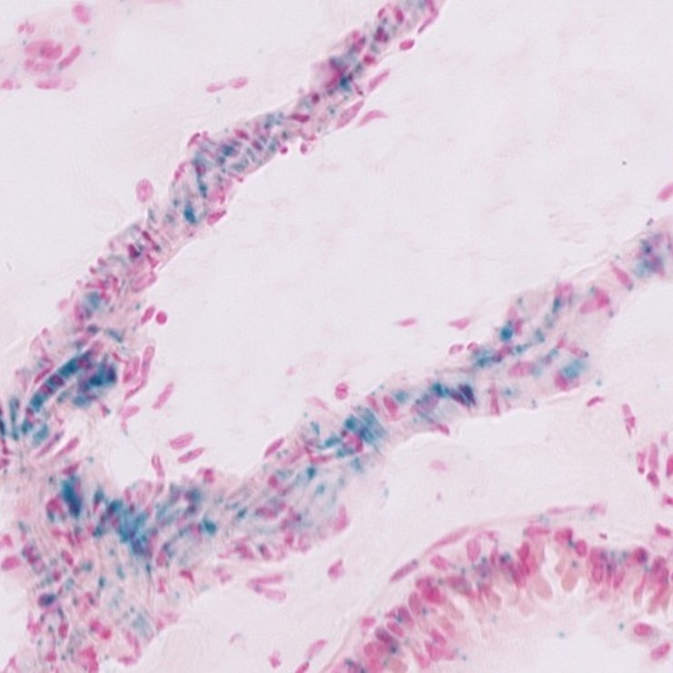
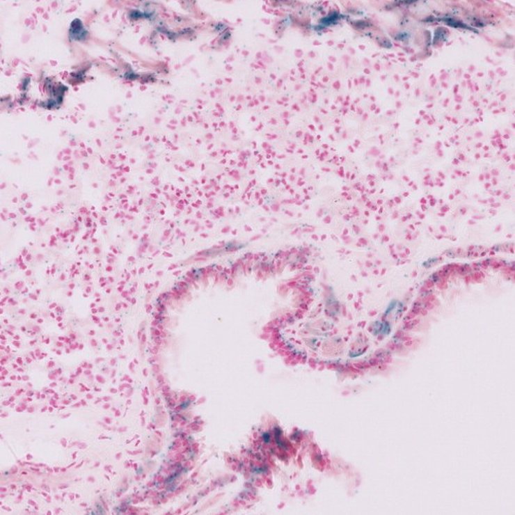
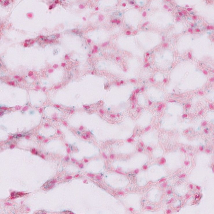
TS28: lung Present JAX_1373467

Specimen JAX_1373468: postnatal adult; Mrpl18tm1.1(KOMP)Vlcg/Mrpl18+ (more )
Structure Level Pattern Image Note
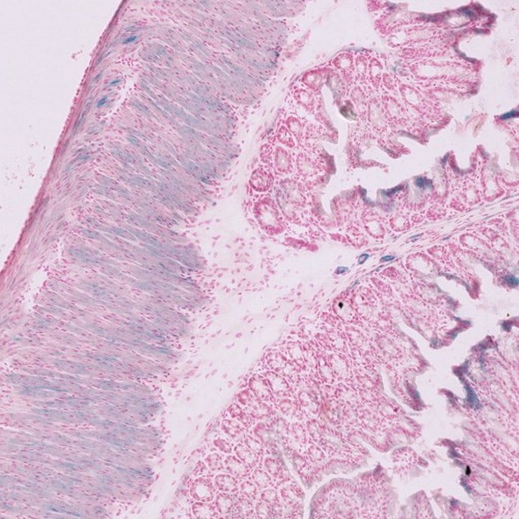
TS28: small intestine Present JAX_1373468

Specimen JAX_1373469: postnatal adult; Mrpl18tm1.1(KOMP)Vlcg/Mrpl18+ (more )
Structure Level Pattern Image Note
TS28: skeletal muscle tissue Present JAX_1373469

Specimen JAX_1373470: postnatal adult; Mrpl18tm1.1(KOMP)Vlcg/Mrpl18+ (more )
Structure Level Pattern Image Note
TS28: pituitary gland Present JAX_1373470

Specimen JAX_1373472: postnatal adult; Mrpl18tm1.1(KOMP)Vlcg/Mrpl18+ (more )
Structure Level Pattern Image Note
TS28: spinal cord Present JAX_1373472

Specimen JAX_1373473: postnatal adult; Mrpl18tm1.1(KOMP)Vlcg/Mrpl18+ (more )
Structure Level Pattern Image Note
TS28: esophagus Present JAX_1373473

Specimen JAX_1373474: postnatal adult; Mrpl18tm1.1(KOMP)Vlcg/Mrpl18+ (more )
Structure Level Pattern Image Note
TS28: large intestine Present JAX_1373474

Specimen JAX_1373475: postnatal adult; Mrpl18tm1.1(KOMP)Vlcg/Mrpl18+ (more )
Structure Level Pattern Image Note
TS28: trachea Present JAX_1373475

Specimen JAX_1373476: postnatal adult; Mrpl18tm1.1(KOMP)Vlcg/Mrpl18+ (more )
Structure Level Pattern Image Note
TS28: thymus Present JAX_1373476

Specimen JAX_1373477: postnatal adult; Mrpl18tm1.1(KOMP)Vlcg/Mrpl18+ (more )
Structure Level Pattern Image Note
TS28: testis Present JAX_1373477

Specimen JAX_1373478: postnatal adult; Mrpl18tm1.1(KOMP)Vlcg/Mrpl18+ (more )
Structure Level Pattern Image Note
TS28: stomach Present JAX_1373478

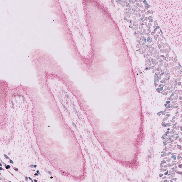
Specimen JAX_1373479: postnatal adult; Mrpl18tm1.1(KOMP)Vlcg/Mrpl18+ (more )
Structure Level Pattern Image Note
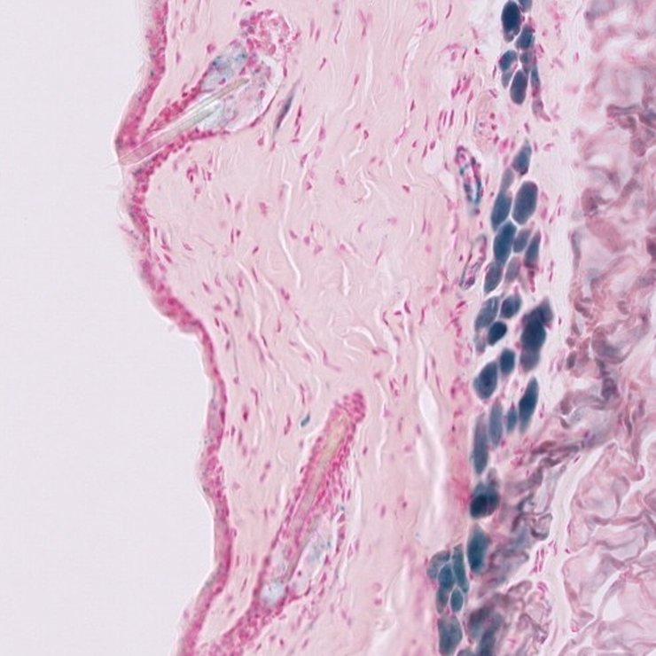
TS28: skin Present JAX_1373479

Specimen JAX_1373480: postnatal adult; Mrpl18tm1.1(KOMP)Vlcg/Mrpl18+ (more )
Structure Level Pattern Image Note
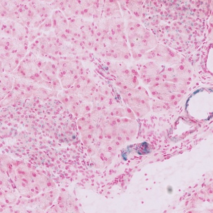
TS28: liver Present JAX_1373480

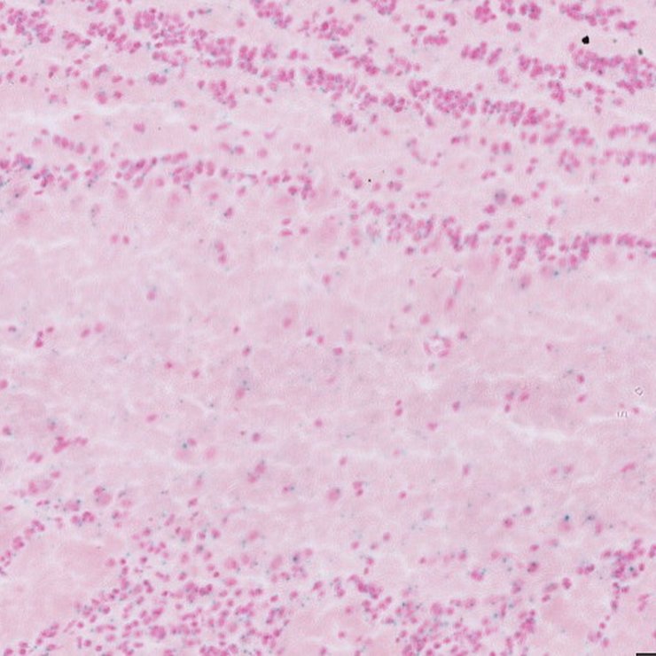
Specimen JAX_1373481: postnatal adult; Mrpl18tm1.1(KOMP)Vlcg/Mrpl18+ (more )
Structure Level Pattern Image Note
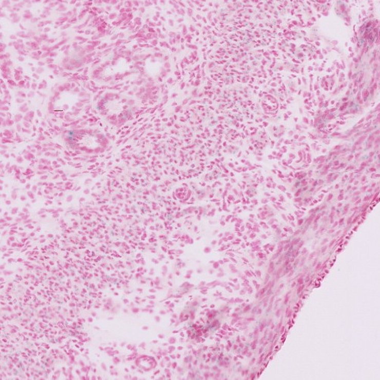
TS28: metanephros Present JAX_1373481 kidney

Specimen JAX_1373482: postnatal adult; Mrpl18tm1.1(KOMP)Vlcg/Mrpl18+ (more )
Structure Level Pattern Image Note
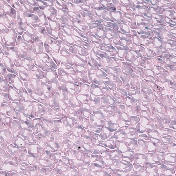
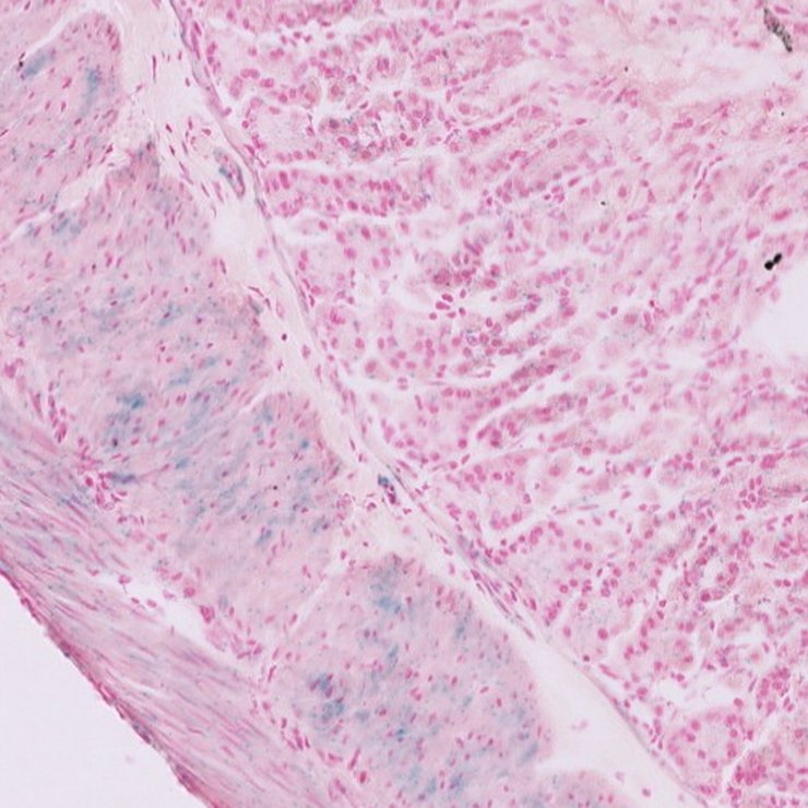
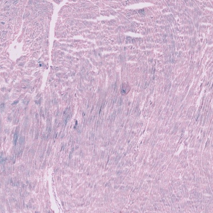
TS28: heart Present JAX_1373482

Specimen JAX_1373483: postnatal adult; Mrpl18tm1.1(KOMP)Vlcg/Mrpl18+ (more )
Structure Level Pattern Image Note
TS28: adrenal gland Present JAX_1373483


Contributing Projects:
Mouse Genome Database (MGD), Gene Expression Database (GXD), Mouse Models of Human Cancer database (MMHCdb) (formerly Mouse Tumor Biology (MTB)), Gene Ontology (GO)
Citing These Resources
Funding Information
Warranty Disclaimer, Privacy Notice, Licensing, & Copyright
Send questions and comments to User Support.
last database update
12/30/2025
MGI 6.24
The Jackson Laboratory