About   Help   FAQ
Gene Expression Data
Assay Details
Assay
Reference: J:228563 Koscielny G, et al., The International Mouse Phenotyping Consortium Web Portal, a unified point of access for knockout mice and related phenotyping data. Nucleic Acids Res. 2014 Jan;42(Database issue):D802-9
Assay type: In situ reporter (knock in)
MGI Accession ID: MGI:6691757
Gene symbol: Pigm
Gene name: phosphatidylinositol glycan anchor biosynthesis, class M
Reporter: lacZ
Direct Detection
Results
Specimen UC Davis_1872394: postnatal adult; Pigmtm1.1(KOMP)Vlcg/Pigm+ (more )
Structure Level Pattern Image Note
TS28: sublingual gland Present UC Davis_1872394

Specimen UC Davis_1872395: postnatal adult; Pigmtm1.1(KOMP)Vlcg/Pigm+ (more )
Structure Level Pattern Image Note
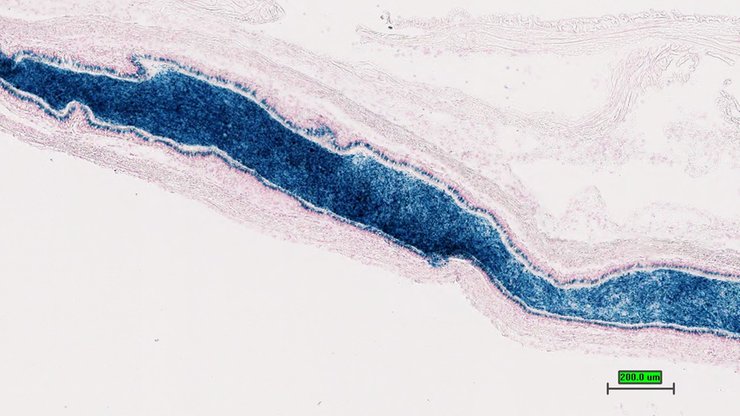
TS28: trachea Present UC Davis_1872395

Specimen UC Davis_1872396: postnatal adult; Pigmtm1.1(KOMP)Vlcg/Pigm+ (more )
Structure Level Pattern Image Note
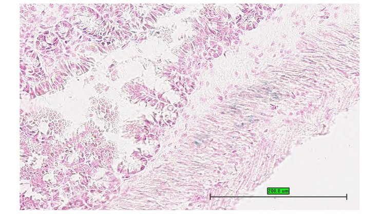
TS28: esophagus Present UC Davis_1872396

Specimen UC Davis_1872397: postnatal adult; Pigmtm1.1(KOMP)Vlcg/Pigm+ (more )
Structure Level Pattern Image Note
TS28: esophagus Present UC Davis_1872397

Specimen UC Davis_1872398: postnatal adult; Pigmtm1.1(KOMP)Vlcg/Pigm+ (more )
Structure Level Pattern Image Note
TS28: aorta Present UC Davis_1872398

Specimen UC Davis_1872399: postnatal adult; Pigmtm1.1(KOMP)Vlcg/Pigm+ (more )
Structure Level Pattern Image Note
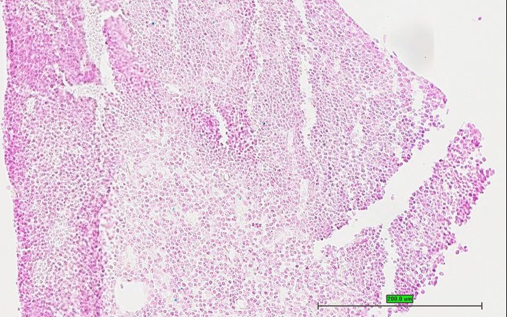
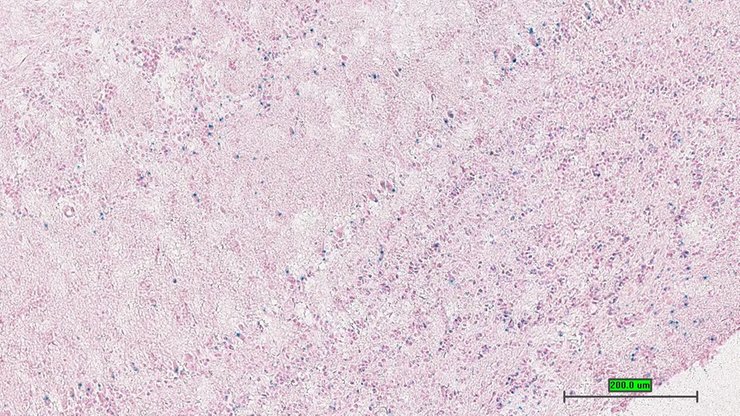
TS28: thymus Present UC Davis_1872399

Specimen UC Davis_1872401: postnatal adult; Pigmtm1.1(KOMP)Vlcg/Pigm+ (more )
Structure Level Pattern Image Note
TS28: stomach Present UC Davis_1872401

Specimen UC Davis_1872402: postnatal adult; Pigmtm1.1(KOMP)Vlcg/Pigm+ (more )
Structure Level Pattern Image Note
TS28: stomach Present UC Davis_1872402

Specimen UC Davis_1872403: postnatal adult; Pigmtm1.1(KOMP)Vlcg/Pigm+ (more )
Structure Level Pattern Image Note
TS28: stomach Present UC Davis_1872403

Specimen UC Davis_1872404: postnatal adult; Pigmtm1.1(KOMP)Vlcg/Pigm+ (more )
Structure Level Pattern Image Note
TS28: ileum Present UC Davis_1872404

Specimen UC Davis_1872405: postnatal adult; Pigmtm1.1(KOMP)Vlcg/Pigm+ (more )
Structure Level Pattern Image Note
TS28: colon Present UC Davis_1872405

Specimen UC Davis_1872406: postnatal adult; Pigmtm1.1(KOMP)Vlcg/Pigm+ (more )
Structure Level Pattern Image Note
TS28: colon Present UC Davis_1872406

Specimen UC Davis_1872407: postnatal adult; Pigmtm1.1(KOMP)Vlcg/Pigm+ (more )
Structure Level Pattern Image Note
TS28: cecum Present UC Davis_1872407

Specimen UC Davis_1872408: postnatal adult; Pigmtm1.1(KOMP)Vlcg/Pigm+ (more )
Structure Level Pattern Image Note
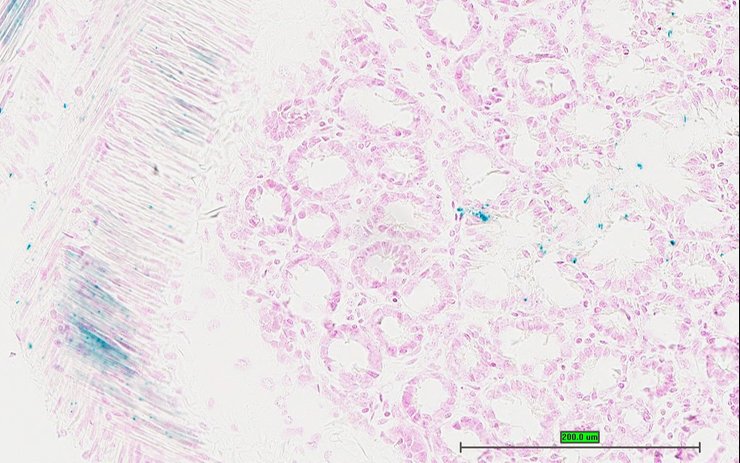
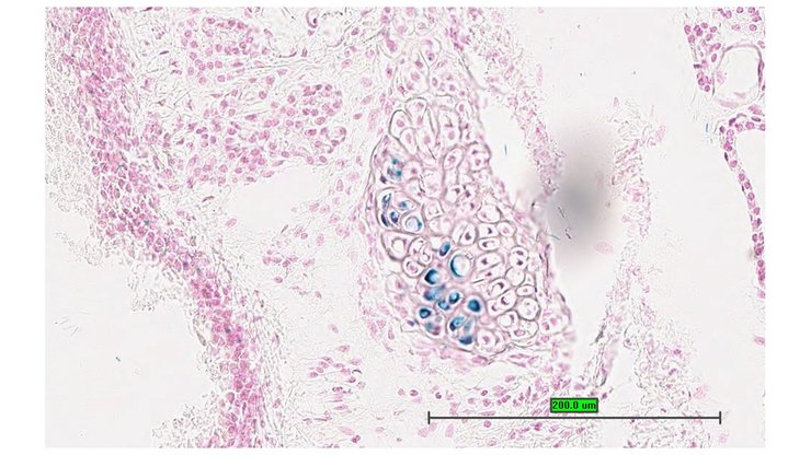
TS28: metanephros Present UC Davis_1872408 kidney

Specimen UC Davis_1872409: postnatal adult; Pigmtm1.1(KOMP)Vlcg/Pigm+ (more )
Structure Level Pattern Image Note
TS28: pituitary gland Present UC Davis_1872409

Specimen UC Davis_1872410: postnatal adult; Pigmtm1.1(KOMP)Vlcg/Pigm+ (more )
Structure Level Pattern Image Note
TS28: pituitary gland Present UC Davis_1872410

Specimen UC Davis_1872411: postnatal adult; Pigmtm1.1(KOMP)Vlcg/Pigm+ (more )
Structure Level Pattern Image Note
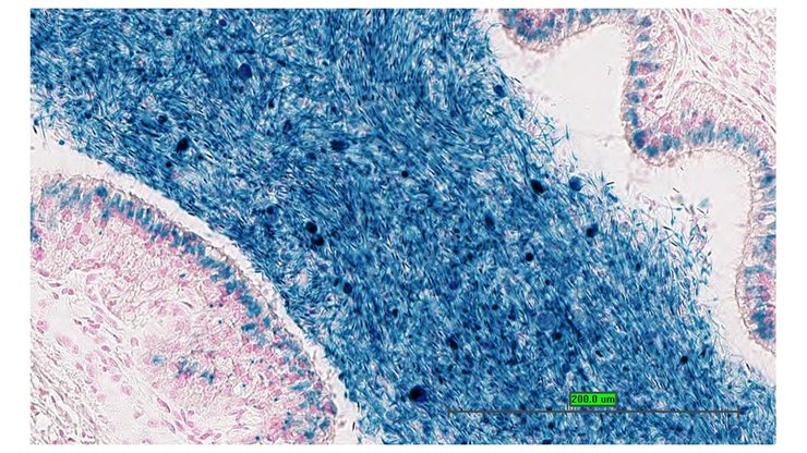
TS28: spinal cord Present UC Davis_1872411

Specimen UC Davis_1872412: postnatal adult; Pigmtm1.1(KOMP)Vlcg/Pigm+ (more )
Structure Level Pattern Image Note
TS28: spinal cord Present UC Davis_1872412

Specimen UC Davis_1872413: postnatal adult; Pigmtm1.1(KOMP)Vlcg/Pigm+ (more )
Structure Level Pattern Image Note
TS28: eye Present UC Davis_1872413

Specimen UC Davis_1872414: postnatal adult; Pigmtm1.1(KOMP)Vlcg/Pigm+ (more )
Structure Level Pattern Image Note
TS28: skin Present UC Davis_1872414

Specimen UC Davis_1872415: postnatal adult; Pigmtm1.1(KOMP)Vlcg/Pigm+ (more )
Structure Level Pattern Image Note
TS28: olfactory lobe Present UC Davis_1872415

Specimen UC Davis_1872419: postnatal adult; Pigmtm1.1(KOMP)Vlcg/Pigm+ (more )
Structure Level Pattern Image Note
TS28: midbrain Present UC Davis_1872419

Specimen UC Davis_1872421: postnatal adult; Pigmtm1.1(KOMP)Vlcg/Pigm+ (more )
Structure Level Pattern Image Note
TS28: cerebellum Present UC Davis_1872421

Specimen UC Davis_1872422: postnatal adult; Pigmtm1.1(KOMP)Vlcg/Pigm+ (more )
Structure Level Pattern Image Note
TS28: trigeminal nerve Present UC Davis_1872422

Specimen UC Davis_1872423: postnatal adult; Pigmtm1.1(KOMP)Vlcg/Pigm+ (more )
Structure Level Pattern Image Note
TS28: trigeminal nerve Present UC Davis_1872423

Specimen UC Davis_1872424: postnatal adult; Pigmtm1.1(KOMP)Vlcg/Pigm+ (more )
Structure Level Pattern Image Note
TS28: ovary Present UC Davis_1872424

Specimen UC Davis_1872425: postnatal adult; Pigmtm1.1(KOMP)Vlcg/Pigm+ (more )
Structure Level Pattern Image Note
TS28: oviduct Present UC Davis_1872425

Specimen UC Davis_1872426: postnatal adult; Pigmtm1.1(KOMP)Vlcg/Pigm+ (more )
Structure Level Pattern Image Note
TS28: uterus Present UC Davis_1872426

Specimen UC Davis_1872427: postnatal adult; Pigmtm1.1(KOMP)Vlcg/Pigm+ (more )
Structure Level Pattern Image Note
TS28: uterus Present UC Davis_1872427

Specimen UC Davis_1872428: postnatal adult; Pigmtm1.1(KOMP)Vlcg/Pigm+ (more )
Structure Level Pattern Image Note
TS28: vagina Present UC Davis_1872428

Specimen UC Davis_1872429: postnatal adult; Pigmtm1.1(KOMP)Vlcg/Pigm+ (more )
Structure Level Pattern Image Note
TS28: bladder Present UC Davis_1872429

Specimen UC Davis_1872431: postnatal adult; Pigmtm1.1(KOMP)Vlcg/Pigm+ (more )
Structure Level Pattern Image Note
TS28: trachea Present UC Davis_1872431

Specimen UC Davis_1872432: postnatal adult; Pigmtm1.1(KOMP)Vlcg/Pigm+ (more )
Structure Level Pattern Image Note
TS28: trachea Present UC Davis_1872432

Specimen UC Davis_1872437: postnatal adult; Pigmtm1.1(KOMP)Vlcg/Pigm+ (more )
Structure Level Pattern Image Note
TS28: stomach Present UC Davis_1872437

Specimen UC Davis_1872438: postnatal adult; Pigmtm1.1(KOMP)Vlcg/Pigm+ (more )
Structure Level Pattern Image Note
TS28: stomach Present UC Davis_1872438

Specimen UC Davis_1872439: postnatal adult; Pigmtm1.1(KOMP)Vlcg/Pigm+ (more )
Structure Level Pattern Image Note
TS28: ileum Present UC Davis_1872439

Specimen UC Davis_1872440: postnatal adult; Pigmtm1.1(KOMP)Vlcg/Pigm+ (more )
Structure Level Pattern Image Note
TS28: colon Present UC Davis_1872440

Specimen UC Davis_1872441: postnatal adult; Pigmtm1.1(KOMP)Vlcg/Pigm+ (more )
Structure Level Pattern Image Note
TS28: cecum Present UC Davis_1872441

Specimen UC Davis_1872442: postnatal adult; Pigmtm1.1(KOMP)Vlcg/Pigm+ (more )
Structure Level Pattern Image Note
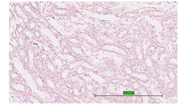
TS28: metanephros Present UC Davis_1872442 kidney

Specimen UC Davis_1872443: postnatal adult; Pigmtm1.1(KOMP)Vlcg/Pigm+ (more )
Structure Level Pattern Image Note
TS28: metanephros Present UC Davis_1872443 kidney

Specimen UC Davis_1872444: postnatal adult; Pigmtm1.1(KOMP)Vlcg/Pigm+ (more )
Structure Level Pattern Image Note
TS28: metanephros Present UC Davis_1872444 kidney

Specimen UC Davis_1872445: postnatal adult; Pigmtm1.1(KOMP)Vlcg/Pigm+ (more )
Structure Level Pattern Image Note
TS28: pituitary gland Present UC Davis_1872445

Specimen UC Davis_1872446: postnatal adult; Pigmtm1.1(KOMP)Vlcg/Pigm+ (more )
Structure Level Pattern Image Note
TS28: spinal cord Present UC Davis_1872446

Specimen UC Davis_1872447: postnatal adult; Pigmtm1.1(KOMP)Vlcg/Pigm+ (more )
Structure Level Pattern Image Note
TS28: spinal cord Present UC Davis_1872447

Specimen UC Davis_1872448: postnatal adult; Pigmtm1.1(KOMP)Vlcg/Pigm+ (more )
Structure Level Pattern Image Note
TS28: olfactory lobe Present UC Davis_1872448

Specimen UC Davis_1872450: postnatal adult; Pigmtm1.1(KOMP)Vlcg/Pigm+ (more )
Structure Level Pattern Image Note
TS28: midbrain Present UC Davis_1872450

Specimen UC Davis_1872452: postnatal adult; Pigmtm1.1(KOMP)Vlcg/Pigm+ (more )
Structure Level Pattern Image Note
TS28: cerebellum Present UC Davis_1872452

Specimen UC Davis_1872453: postnatal adult; Pigmtm1.1(KOMP)Vlcg/Pigm+ (more )
Structure Level Pattern Image Note
TS28: trigeminal nerve Present UC Davis_1872453

Specimen UC Davis_1872454: postnatal adult; Pigmtm1.1(KOMP)Vlcg/Pigm+ (more )
Structure Level Pattern Image Note
TS28: trigeminal nerve Present UC Davis_1872454

Specimen UC Davis_1872455: postnatal adult; Pigmtm1.1(KOMP)Vlcg/Pigm+ (more )
Structure Level Pattern Image Note
TS28: bladder Present UC Davis_1872455

Specimen UC Davis_1872456: postnatal adult; Pigmtm1.1(KOMP)Vlcg/Pigm+ (more )
Structure Level Pattern Image Note
TS28: bladder Present UC Davis_1872456

Specimen UC Davis_1872457: postnatal adult; Pigmtm1.1(KOMP)Vlcg/Pigm+ (more )
Structure Level Pattern Image Note
TS28: testis Present UC Davis_1872457

Specimen UC Davis_1872458: postnatal adult; Pigmtm1.1(KOMP)Vlcg/Pigm+ (more )
Structure Level Pattern Image Note
TS28: testis Present UC Davis_1872458

Specimen UC Davis_1872459: postnatal adult; Pigmtm1.1(KOMP)Vlcg/Pigm+ (more )
Structure Level Pattern Image Note
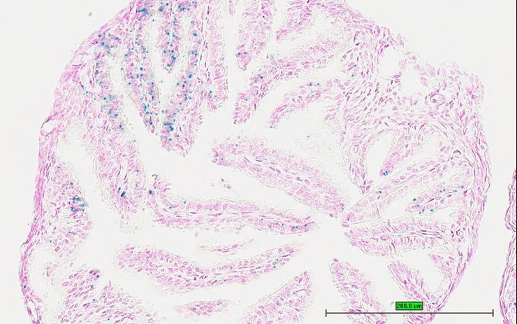
TS28: epididymis Present UC Davis_1872459

Specimen UC Davis_1872460: postnatal adult; Pigmtm1.1(KOMP)Vlcg/Pigm+ (more )
Structure Level Pattern Image Note
TS28: epididymis Present UC Davis_1872460

Specimen UC Davis_1872461: postnatal adult; Pigmtm1.1(KOMP)Vlcg/Pigm+ (more )
Structure Level Pattern Image Note
TS28: penis Present UC Davis_1872461

Specimen UC Davis_1872462: postnatal adult; Pigmtm1.1(KOMP)Vlcg/Pigm+ (more )
Structure Level Pattern Image Note
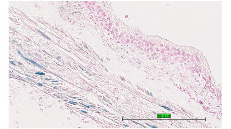
TS28: ductus deferens Present UC Davis_1872462 vas deferens

Specimen UC Davis_1872463: postnatal adult; Pigmtm1.1(KOMP)Vlcg/Pigm+ (more )
Structure Level Pattern Image Note
TS28: ductus deferens Present UC Davis_1872463 vas deferens


Contributing Projects:
Mouse Genome Database (MGD), Gene Expression Database (GXD), Mouse Models of Human Cancer database (MMHCdb) (formerly Mouse Tumor Biology (MTB)), Gene Ontology (GO)
Citing These Resources
Funding Information
Warranty Disclaimer, Privacy Notice, Licensing, & Copyright
Send questions and comments to User Support.
last database update
12/30/2025
MGI 6.24
The Jackson Laboratory