About   Help   FAQ
Gene Expression Data
Assay Details
Assay
Reference: J:228563 Koscielny G, et al., The International Mouse Phenotyping Consortium Web Portal, a unified point of access for knockout mice and related phenotyping data. Nucleic Acids Res. 2014 Jan;42(Database issue):D802-9
Assay type: In situ reporter (knock in)
MGI Accession ID: MGI:6691749
Gene symbol: Alg2
Gene name: ALG2 alpha-1,3/1,6-mannosyltransferase
Reporter: lacZ
Direct Detection
Results
Specimen JAX_1123537: embryonic day 12.5; Alg2tm1.1(KOMP)Vlcg/Alg2+ (more )
Structure Level Pattern Image Note
TS20: embryo Present JAX_1123537

Specimen JAX_1123539: embryonic day 12.5; Alg2tm1.1(KOMP)Vlcg/Alg2+ (more )
Structure Level Pattern Image Note
TS20: embryo Present JAX_1123539

Specimen JAX_1123541: embryonic day 12.5; Alg2tm1.1(KOMP)Vlcg/Alg2+ (more )
Structure Level Pattern Image Note
TS20: embryo Present JAX_1123541

Specimen JAX_1123543: embryonic day 12.5; Alg2tm1.1(KOMP)Vlcg/Alg2+ (more )
Structure Level Pattern Image Note
TS20: embryo Present JAX_1123543

Specimen JAX_1123545: embryonic day 12.5; Alg2tm1.1(KOMP)Vlcg/Alg2+ (more )
Structure Level Pattern Image Note
TS20: embryo Present JAX_1123545

Specimen JAX_1123547: embryonic day 12.5; Alg2tm1.1(KOMP)Vlcg/Alg2+ (more )
Structure Level Pattern Image Note
TS20: embryo Present JAX_1123547

Specimen JAX_1123549: embryonic day 12.5; Alg2tm1.1(KOMP)Vlcg/Alg2+ (more )
Structure Level Pattern Image Note
TS20: embryo Present JAX_1123549

Specimen JAX_1123551: embryonic day 12.5; Alg2tm1.1(KOMP)Vlcg/Alg2+ (more )
Structure Level Pattern Image Note
TS20: embryo Present JAX_1123551

Specimen JAX_1803331: postnatal adult; Alg2tm1.1(KOMP)Vlcg/Alg2+ (more )
Structure Level Pattern Image Note
TS28: thalamus Present JAX_1803331

Specimen JAX_1803332: postnatal adult; Alg2tm1.1(KOMP)Vlcg/Alg2+ (more )
Structure Level Pattern Image Note
TS28: vascular system Present JAX_1803332

Specimen JAX_1803333: postnatal adult; Alg2tm1.1(KOMP)Vlcg/Alg2+ (more )
Structure Level Pattern Image Note
TS28: brown fat Present JAX_1803333

Specimen JAX_1803334: postnatal adult; Alg2tm1.1(KOMP)Vlcg/Alg2+ (more )
Structure Level Pattern Image Note
TS28: bladder Present JAX_1803334

Specimen JAX_1803335: postnatal adult; Alg2tm1.1(KOMP)Vlcg/Alg2+ (more )
Structure Level Pattern Image Note
TS28: Peyer's patch Present JAX_1803335

Specimen JAX_1803336: postnatal adult; Alg2tm1.1(KOMP)Vlcg/Alg2+ (more )
Structure Level Pattern Image Note
TS28: olfactory lobe Present JAX_1803336

Specimen JAX_1803337: postnatal adult; Alg2tm1.1(KOMP)Vlcg/Alg2+ (more )
Structure Level Pattern Image Note
TS28: hypothalamus Present JAX_1803337

Specimen JAX_1803338: postnatal adult; Alg2tm1.1(KOMP)Vlcg/Alg2+ (more )
Structure Level Pattern Image Note
TS28: cerebral cortex Present JAX_1803338

Specimen JAX_1803339: postnatal adult; Alg2tm1.1(KOMP)Vlcg/Alg2+ (more )
Structure Level Pattern Image Note
TS28: cartilage Present JAX_1803339

Specimen JAX_1803340: postnatal adult; Alg2tm1.1(KOMP)Vlcg/Alg2+ (more )
Structure Level Pattern Image Note
TS28: brainstem Present JAX_1803340

Specimen JAX_1803341: postnatal adult; Alg2tm1.1(KOMP)Vlcg/Alg2+ (more )
Structure Level Pattern Image Note
TS28: pancreas Present JAX_1803341

Specimen JAX_1803342: postnatal adult; Alg2tm1.1(KOMP)Vlcg/Alg2+ (more )
Structure Level Pattern Image Note
TS28: lung Present JAX_1803342

Specimen JAX_1803343: postnatal adult; Alg2tm1.1(KOMP)Vlcg/Alg2+ (more )
Structure Level Pattern Image Note
TS28: white fat Present JAX_1803343

Specimen JAX_1803344: postnatal adult; Alg2tm1.1(KOMP)Vlcg/Alg2+ (more )
Structure Level Pattern Image Note
TS28: small intestine Present JAX_1803344

Specimen JAX_1803345: postnatal adult; Alg2tm1.1(KOMP)Vlcg/Alg2+ (more )
Structure Level Pattern Image Note
TS28: skeletal muscle tissue Present JAX_1803345

Specimen JAX_1803346: postnatal adult; Alg2tm1.1(KOMP)Vlcg/Alg2+ (more )
Structure Level Pattern Image Note
TS28: pituitary gland Present JAX_1803346

Specimen JAX_1803347: postnatal adult; Alg2tm1.1(KOMP)Vlcg/Alg2+ (more )
Structure Level Pattern Image Note
TS28: thyroid gland Present JAX_1803347

Specimen JAX_1803348: postnatal adult; Alg2tm1.1(KOMP)Vlcg/Alg2+ (more )
Structure Level Pattern Image Note
TS28: large intestine Present JAX_1803348

Specimen JAX_1803349: postnatal adult; Alg2tm1.1(KOMP)Vlcg/Alg2+ (more )
Structure Level Pattern Image Note
TS28: uterus Present JAX_1803349

Specimen JAX_1803350: postnatal adult; Alg2tm1.1(KOMP)Vlcg/Alg2+ (more )
Structure Level Pattern Image Note
TS28: thymus Present JAX_1803350

Specimen JAX_1803351: postnatal adult; Alg2tm1.1(KOMP)Vlcg/Alg2+ (more )
Structure Level Pattern Image Note
TS28: stomach Present JAX_1803351

Specimen JAX_1803352: postnatal adult; Alg2tm1.1(KOMP)Vlcg/Alg2+ (more )
Structure Level Pattern Image Note
TS28: skin Present JAX_1803352

Specimen JAX_1803353: postnatal adult; Alg2tm1.1(KOMP)Vlcg/Alg2+ (more )
Structure Level Pattern Image Note
TS28: oviduct Present JAX_1803353

Specimen JAX_1803354: postnatal adult; Alg2tm1.1(KOMP)Vlcg/Alg2+ (more )
Structure Level Pattern Image Note
TS28: ovary Present JAX_1803354

Specimen JAX_1803355: postnatal adult; Alg2tm1.1(KOMP)Vlcg/Alg2+ (more )
Structure Level Pattern Image Note
TS28: lymph node Present JAX_1803355

Specimen JAX_1803356: postnatal adult; Alg2tm1.1(KOMP)Vlcg/Alg2+ (more )
Structure Level Pattern Image Note
TS28: metanephros Present JAX_1803356 kidney

Specimen JAX_1803357: postnatal adult; Alg2tm1.1(KOMP)Vlcg/Alg2+ (more )
Structure Level Pattern Image Note
TS28: brain Present JAX_1803357

Specimen JAX_1803358: postnatal adult; Alg2tm1.1(KOMP)Vlcg/Alg2+ (more )
Structure Level Pattern Image Note
TS28: adrenal gland Present JAX_1803358

Specimen JAX_1803359: postnatal adult; Alg2tm1.1(KOMP)Vlcg/Alg2+ (more )
Structure Level Pattern Image Note
TS28: midbrain Present JAX_1803359

Specimen JAX_1803360: postnatal adult; Alg2tm1.1(KOMP)Vlcg/Alg2+ (more )
Structure Level Pattern Image Note
TS28: epididymis Present JAX_1803360

Specimen JAX_1803361: postnatal adult; Alg2tm1.1(KOMP)Vlcg/Alg2+ (more )
Structure Level Pattern Image Note
TS28: submandibular gland Present JAX_1803361

Specimen JAX_1803362: postnatal adult; Alg2tm1.1(KOMP)Vlcg/Alg2+ (more )
Structure Level Pattern Image Note
TS28: bone Present JAX_1803362

Specimen JAX_1803363: postnatal adult; Alg2tm1.1(KOMP)Vlcg/Alg2+ (more )
Structure Level Pattern Image Note
TS28: corpus striatum Present JAX_1803363

Specimen JAX_1803364: postnatal adult; Alg2tm1.1(KOMP)Vlcg/Alg2+ (more )
Structure Level Pattern Image Note
TS28: peripheral nervous system Present JAX_1803364

Specimen JAX_1803365: postnatal adult; Alg2tm1.1(KOMP)Vlcg/Alg2+ (more )
Structure Level Pattern Image Note
TS28: hippocampus Present JAX_1803365

Specimen JAX_1803366: postnatal adult; Alg2tm1.1(KOMP)Vlcg/Alg2+ (more )
Structure Level Pattern Image Note
TS28: cerebellum Present JAX_1803366

Specimen JAX_1803367: postnatal adult; Alg2tm1.1(KOMP)Vlcg/Alg2+ (more )
Structure Level Pattern Image Note
TS28: spleen Present JAX_1803367

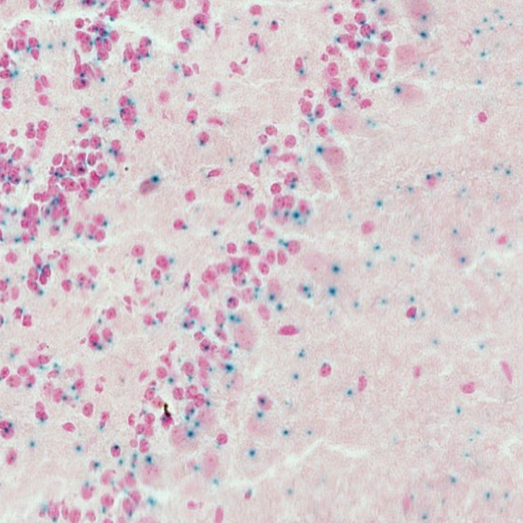
Specimen JAX_1803368: postnatal adult; Alg2tm1.1(KOMP)Vlcg/Alg2+ (more )
Structure Level Pattern Image Note
TS28: aorta Present JAX_1803368

Specimen JAX_1803369: postnatal adult; Alg2tm1.1(KOMP)Vlcg/Alg2+ (more )
Structure Level Pattern Image Note
TS28: spinal cord Present JAX_1803369

Specimen JAX_1803370: postnatal adult; Alg2tm1.1(KOMP)Vlcg/Alg2+ (more )
Structure Level Pattern Image Note
TS28: esophagus Present JAX_1803370

Specimen JAX_1803371: postnatal adult; Alg2tm1.1(KOMP)Vlcg/Alg2+ (more )
Structure Level Pattern Image Note
TS28: trachea Present JAX_1803371

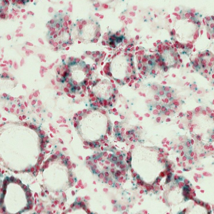
Specimen JAX_1803372: postnatal adult; Alg2tm1.1(KOMP)Vlcg/Alg2+ (more )
Structure Level Pattern Image Note
TS28: testis Present JAX_1803372

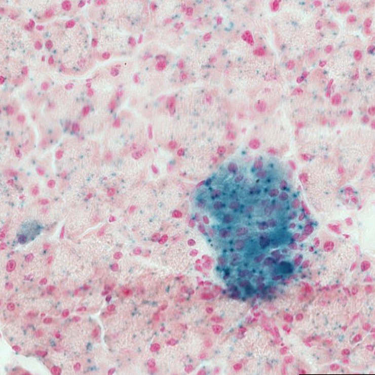
Specimen JAX_1803373: postnatal adult; Alg2tm1.1(KOMP)Vlcg/Alg2+ (more )
Structure Level Pattern Image Note
TS28: liver Present JAX_1803373

Specimen JAX_1803374: postnatal adult; Alg2tm1.1(KOMP)Vlcg/Alg2+ (more )
Structure Level Pattern Image Note
TS28: heart Present JAX_1803374

Specimen JAX_1803375: postnatal adult; Alg2tm1.1(KOMP)Vlcg/Alg2+ (more )
Structure Level Pattern Image Note
TS28: eye Present JAX_1803375


Contributing Projects:
Mouse Genome Database (MGD), Gene Expression Database (GXD), Mouse Models of Human Cancer database (MMHCdb) (formerly Mouse Tumor Biology (MTB)), Gene Ontology (GO)
Citing These Resources
Funding Information
Warranty Disclaimer, Privacy Notice, Licensing, & Copyright
Send questions and comments to User Support.
last database update
01/20/2026
MGI 6.24
The Jackson Laboratory