About   Help   FAQ
Gene Expression Data
Assay Details
Assay
Reference: J:228563 Koscielny G, et al., The International Mouse Phenotyping Consortium Web Portal, a unified point of access for knockout mice and related phenotyping data. Nucleic Acids Res. 2014 Jan;42(Database issue):D802-9
Assay type: In situ reporter (knock in)
MGI Accession ID: MGI:6691745
Gene symbol: Retsat
Gene name: retinol saturase (all trans retinol 13,14 reductase)
Reporter: lacZ
Direct Detection
Results
Specimen UC Davis_1884365: postnatal adult; Retsattm1.1(KOMP)Vlcg/Retsat+ (more )
Structure Level Pattern Image Note
TS28: submandibular gland Present UC Davis_1884365

Specimen UC Davis_1884366: postnatal adult; Retsattm1.1(KOMP)Vlcg/Retsat+ (more )
Structure Level Pattern Image Note
TS28: sublingual gland Present UC Davis_1884366

Specimen UC Davis_1884367: postnatal adult; Retsattm1.1(KOMP)Vlcg/Retsat+ (more )
Structure Level Pattern Image Note
TS28: sublingual gland Present UC Davis_1884367

Specimen UC Davis_1884368: postnatal adult; Retsattm1.1(KOMP)Vlcg/Retsat+ (more )
Structure Level Pattern Image Note
TS28: sublingual gland Present UC Davis_1884368

Specimen UC Davis_1884369: postnatal adult; Retsattm1.1(KOMP)Vlcg/Retsat+ (more )
Structure Level Pattern Image Note
TS28: parotid gland Present UC Davis_1884369

Specimen UC Davis_1884370: postnatal adult; Retsattm1.1(KOMP)Vlcg/Retsat+ (more )
Structure Level Pattern Image Note
TS28: trachea Present UC Davis_1884370

Specimen UC Davis_1884371: postnatal adult; Retsattm1.1(KOMP)Vlcg/Retsat+ (more )
Structure Level Pattern Image Note
TS28: trachea Present UC Davis_1884371

Specimen UC Davis_1884372: postnatal adult; Retsattm1.1(KOMP)Vlcg/Retsat+ (more )
Structure Level Pattern Image Note
TS28: esophagus Present UC Davis_1884372

Specimen UC Davis_1884373: postnatal adult; Retsattm1.1(KOMP)Vlcg/Retsat+ (more )
Structure Level Pattern Image Note
TS28: esophagus Present UC Davis_1884373

Specimen UC Davis_1884374: postnatal adult; Retsattm1.1(KOMP)Vlcg/Retsat+ (more )
Structure Level Pattern Image Note
TS28: parathyroid gland Present UC Davis_1884374

Specimen UC Davis_1884375: postnatal adult; Retsattm1.1(KOMP)Vlcg/Retsat+ (more )
Structure Level Pattern Image Note
TS28: lung Present UC Davis_1884375

Specimen UC Davis_1884376: postnatal adult; Retsattm1.1(KOMP)Vlcg/Retsat+ (more )
Structure Level Pattern Image Note
TS28: lung Present UC Davis_1884376

Specimen UC Davis_1884377: postnatal adult; Retsattm1.1(KOMP)Vlcg/Retsat+ (more )
Structure Level Pattern Image Note
TS28: lung Present UC Davis_1884377

Specimen UC Davis_1884381: postnatal adult; Retsattm1.1(KOMP)Vlcg/Retsat+ (more )
Structure Level Pattern Image Note
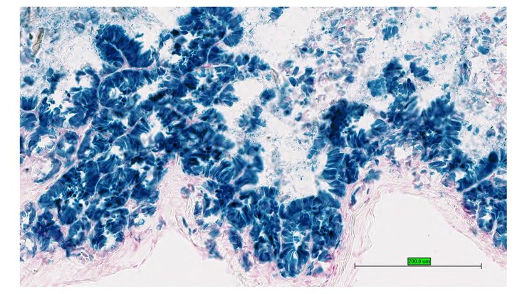
TS28: stomach Present UC Davis_1884381

Specimen UC Davis_1884382: postnatal adult; Retsattm1.1(KOMP)Vlcg/Retsat+ (more )
Structure Level Pattern Image Note
TS28: stomach Present UC Davis_1884382

Specimen UC Davis_1884383: postnatal adult; Retsattm1.1(KOMP)Vlcg/Retsat+ (more )
Structure Level Pattern Image Note
TS28: stomach Present UC Davis_1884383

Specimen UC Davis_1884384: postnatal adult; Retsattm1.1(KOMP)Vlcg/Retsat+ (more )
Structure Level Pattern Image Note
TS28: stomach Present UC Davis_1884384

Specimen UC Davis_1884385: postnatal adult; Retsattm1.1(KOMP)Vlcg/Retsat+ (more )
Structure Level Pattern Image Note
TS28: stomach Present UC Davis_1884385

Specimen UC Davis_1884386: postnatal adult; Retsattm1.1(KOMP)Vlcg/Retsat+ (more )
Structure Level Pattern Image Note
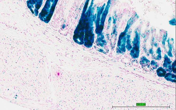
TS28: duodenum Present UC Davis_1884386

Specimen UC Davis_1884387: postnatal adult; Retsattm1.1(KOMP)Vlcg/Retsat+ (more )
Structure Level Pattern Image Note
TS28: duodenum Present UC Davis_1884387

Specimen UC Davis_1884388: postnatal adult; Retsattm1.1(KOMP)Vlcg/Retsat+ (more )
Structure Level Pattern Image Note
TS28: jejunum Present UC Davis_1884388

Specimen UC Davis_1884389: postnatal adult; Retsattm1.1(KOMP)Vlcg/Retsat+ (more )
Structure Level Pattern Image Note
TS28: jejunum Present UC Davis_1884389

Specimen UC Davis_1884390: postnatal adult; Retsattm1.1(KOMP)Vlcg/Retsat+ (more )
Structure Level Pattern Image Note
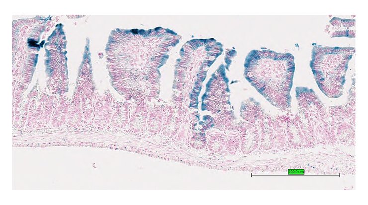
TS28: ileum Present UC Davis_1884390

Specimen UC Davis_1884391: postnatal adult; Retsattm1.1(KOMP)Vlcg/Retsat+ (more )
Structure Level Pattern Image Note
TS28: ileum Present UC Davis_1884391

Specimen UC Davis_1884392: postnatal adult; Retsattm1.1(KOMP)Vlcg/Retsat+ (more )
Structure Level Pattern Image Note
TS28: colon Present UC Davis_1884392

Specimen UC Davis_1884393: postnatal adult; Retsattm1.1(KOMP)Vlcg/Retsat+ (more )
Structure Level Pattern Image Note
TS28: colon Present UC Davis_1884393

Specimen UC Davis_1884394: postnatal adult; Retsattm1.1(KOMP)Vlcg/Retsat+ (more )
Structure Level Pattern Image Note
TS28: colon Present UC Davis_1884394

Specimen UC Davis_1884395: postnatal adult; Retsattm1.1(KOMP)Vlcg/Retsat+ (more )
Structure Level Pattern Image Note
TS28: colon Present UC Davis_1884395

Specimen UC Davis_1884396: postnatal adult; Retsattm1.1(KOMP)Vlcg/Retsat+ (more )
Structure Level Pattern Image Note
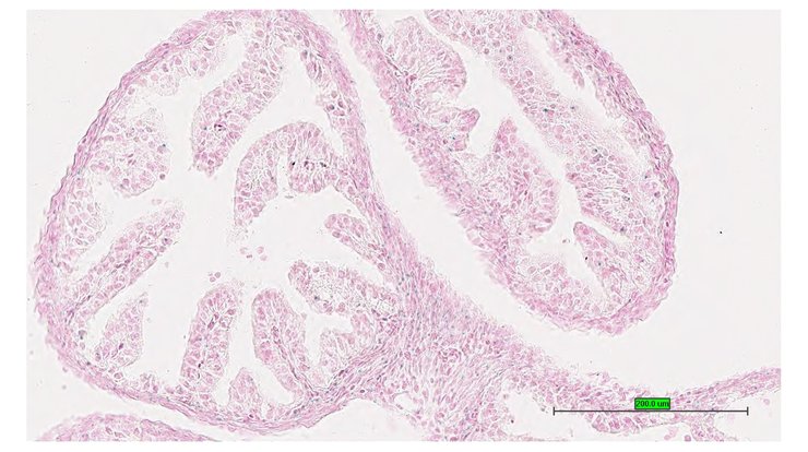
TS28: cecum Present UC Davis_1884396

Specimen UC Davis_1884397: postnatal adult; Retsattm1.1(KOMP)Vlcg/Retsat+ (more )
Structure Level Pattern Image Note
TS28: pancreas Present UC Davis_1884397

Specimen UC Davis_1884398: postnatal adult; Retsattm1.1(KOMP)Vlcg/Retsat+ (more )
Structure Level Pattern Image Note
TS28: pancreas Present UC Davis_1884398

Specimen UC Davis_1884399: postnatal adult; Retsattm1.1(KOMP)Vlcg/Retsat+ (more )
Structure Level Pattern Image Note
TS28: liver Present UC Davis_1884399

Specimen UC Davis_1884400: postnatal adult; Retsattm1.1(KOMP)Vlcg/Retsat+ (more )
Structure Level Pattern Image Note
TS28: liver Present UC Davis_1884400

Specimen UC Davis_1884401: postnatal adult; Retsattm1.1(KOMP)Vlcg/Retsat+ (more )
Structure Level Pattern Image Note
TS28: metanephros Present UC Davis_1884401 kidney

Specimen UC Davis_1884402: postnatal adult; Retsattm1.1(KOMP)Vlcg/Retsat+ (more )
Structure Level Pattern Image Note
TS28: metanephros Present UC Davis_1884402 kidney

Specimen UC Davis_1884403: postnatal adult; Retsattm1.1(KOMP)Vlcg/Retsat+ (more )
Structure Level Pattern Image Note
TS28: metanephros Present UC Davis_1884403 kidney

Specimen UC Davis_1884404: postnatal adult; Retsattm1.1(KOMP)Vlcg/Retsat+ (more )
Structure Level Pattern Image Note
TS28: quadriceps femoris muscle Present UC Davis_1884404

Specimen UC Davis_1884405: postnatal adult; Retsattm1.1(KOMP)Vlcg/Retsat+ (more )
Structure Level Pattern Image Note
TS28: quadriceps femoris muscle Present UC Davis_1884405

Specimen UC Davis_1884406: postnatal adult; Retsattm1.1(KOMP)Vlcg/Retsat+ (more )
Structure Level Pattern Image Note
TS28: tongue Present UC Davis_1884406

Specimen UC Davis_1884407: postnatal adult; Retsattm1.1(KOMP)Vlcg/Retsat+ (more )
Structure Level Pattern Image Note
TS28: tongue Present UC Davis_1884407

Specimen UC Davis_1884408: postnatal adult; Retsattm1.1(KOMP)Vlcg/Retsat+ (more )
Structure Level Pattern Image Note
TS28: tongue Present UC Davis_1884408

Specimen UC Davis_1884409: postnatal adult; Retsattm1.1(KOMP)Vlcg/Retsat+ (more )
Structure Level Pattern Image Note
TS28: diaphragm Present UC Davis_1884409

Specimen UC Davis_1884410: postnatal adult; Retsattm1.1(KOMP)Vlcg/Retsat+ (more )
Structure Level Pattern Image Note
TS28: diaphragm Present UC Davis_1884410

Specimen UC Davis_1884411: postnatal adult; Retsattm1.1(KOMP)Vlcg/Retsat+ (more )
Structure Level Pattern Image Note
TS28: adrenal gland Present UC Davis_1884411

Specimen UC Davis_1884412: postnatal adult; Retsattm1.1(KOMP)Vlcg/Retsat+ (more )
Structure Level Pattern Image Note
TS28: adrenal gland Present UC Davis_1884412

Specimen UC Davis_1884413: postnatal adult; Retsattm1.1(KOMP)Vlcg/Retsat+ (more )
Structure Level Pattern Image Note
TS28: eye Present UC Davis_1884413

Specimen UC Davis_1884414: postnatal adult; Retsattm1.1(KOMP)Vlcg/Retsat+ (more )
Structure Level Pattern Image Note
TS28: Harderian gland Present UC Davis_1884414

Specimen UC Davis_1884415: postnatal adult; Retsattm1.1(KOMP)Vlcg/Retsat+ (more )
Structure Level Pattern Image Note
TS28: Harderian gland Present UC Davis_1884415

Specimen UC Davis_1884416: postnatal adult; Retsattm1.1(KOMP)Vlcg/Retsat+ (more )
Structure Level Pattern Image Note
TS28: gonadal fat pad Present UC Davis_1884416

Specimen UC Davis_1884417: postnatal adult; Retsattm1.1(KOMP)Vlcg/Retsat+ (more )
Structure Level Pattern Image Note
TS28: gonadal fat pad Present UC Davis_1884417

Specimen UC Davis_1884418: postnatal adult; Retsattm1.1(KOMP)Vlcg/Retsat+ (more )
Structure Level Pattern Image Note
TS28: skin Present UC Davis_1884418

Specimen UC Davis_1884419: postnatal adult; Retsattm1.1(KOMP)Vlcg/Retsat+ (more )
Structure Level Pattern Image Note
TS28: skin Present UC Davis_1884419

Specimen UC Davis_1884420: postnatal adult; Retsattm1.1(KOMP)Vlcg/Retsat+ (more )
Structure Level Pattern Image Note
TS28: brown fat Present UC Davis_1884420

Specimen UC Davis_1884421: postnatal adult; Retsattm1.1(KOMP)Vlcg/Retsat+ (more )
Structure Level Pattern Image Note
TS28: brown fat Present UC Davis_1884421

Specimen UC Davis_1884422: postnatal adult; Retsattm1.1(KOMP)Vlcg/Retsat+ (more )
Structure Level Pattern Image Note
TS28: olfactory lobe Present UC Davis_1884422

Specimen UC Davis_1884424: postnatal adult; Retsattm1.1(KOMP)Vlcg/Retsat+ (more )
Structure Level Pattern Image Note
TS28: midbrain Present UC Davis_1884424

Specimen UC Davis_1884426: postnatal adult; Retsattm1.1(KOMP)Vlcg/Retsat+ (more )
Structure Level Pattern Image Note
TS28: cerebellum Present UC Davis_1884426

Specimen UC Davis_1884427: postnatal adult; Retsattm1.1(KOMP)Vlcg/Retsat+ (more )
Structure Level Pattern Image Note
TS28: cerebellum Present UC Davis_1884427

Specimen UC Davis_1884428: postnatal adult; Retsattm1.1(KOMP)Vlcg/Retsat+ (more )
Structure Level Pattern Image Note
TS28: trigeminal nerve Present UC Davis_1884428

Specimen UC Davis_1884429: postnatal adult; Retsattm1.1(KOMP)Vlcg/Retsat+ (more )
Structure Level Pattern Image Note
TS28: ovary Present UC Davis_1884429

Specimen UC Davis_1884430: postnatal adult; Retsattm1.1(KOMP)Vlcg/Retsat+ (more )
Structure Level Pattern Image Note
TS28: ovary Present UC Davis_1884430

Specimen UC Davis_1884431: postnatal adult; Retsattm1.1(KOMP)Vlcg/Retsat+ (more )
Structure Level Pattern Image Note
TS28: oviduct Present UC Davis_1884431

Specimen UC Davis_1884432: postnatal adult; Retsattm1.1(KOMP)Vlcg/Retsat+ (more )
Structure Level Pattern Image Note
TS28: uterus Present UC Davis_1884432

Specimen UC Davis_1884433: postnatal adult; Retsattm1.1(KOMP)Vlcg/Retsat+ (more )
Structure Level Pattern Image Note
TS28: uterus Present UC Davis_1884433

Specimen UC Davis_1884434: postnatal adult; Retsattm1.1(KOMP)Vlcg/Retsat+ (more )
Structure Level Pattern Image Note
TS28: bladder Present UC Davis_1884434

Specimen UC Davis_1884293: postnatal adult; Retsattm1.1(KOMP)Vlcg/Retsat+ (more )
Structure Level Pattern Image Note
TS28: sublingual gland Present UC Davis_1884293

Specimen UC Davis_1884294: postnatal adult; Retsattm1.1(KOMP)Vlcg/Retsat+ (more )
Structure Level Pattern Image Note
TS28: sublingual gland Present UC Davis_1884294

Specimen UC Davis_1884295: postnatal adult; Retsattm1.1(KOMP)Vlcg/Retsat+ (more )
Structure Level Pattern Image Note
TS28: parotid gland Present UC Davis_1884295

Specimen UC Davis_1884296: postnatal adult; Retsattm1.1(KOMP)Vlcg/Retsat+ (more )
Structure Level Pattern Image Note
TS28: trachea Present UC Davis_1884296

Specimen UC Davis_1884297: postnatal adult; Retsattm1.1(KOMP)Vlcg/Retsat+ (more )
Structure Level Pattern Image Note
TS28: esophagus Present UC Davis_1884297

Specimen UC Davis_1884298: postnatal adult; Retsattm1.1(KOMP)Vlcg/Retsat+ (more )
Structure Level Pattern Image Note
TS28: thyroid gland Present UC Davis_1884298

Specimen UC Davis_1884300: postnatal adult; Retsattm1.1(KOMP)Vlcg/Retsat+ (more )
Structure Level Pattern Image Note
TS28: lung Present UC Davis_1884300

Specimen UC Davis_1884301: postnatal adult; Retsattm1.1(KOMP)Vlcg/Retsat+ (more )
Structure Level Pattern Image Note
TS28: lung Present UC Davis_1884301

Specimen UC Davis_1884302: postnatal adult; Retsattm1.1(KOMP)Vlcg/Retsat+ (more )
Structure Level Pattern Image Note
TS28: thymus Present UC Davis_1884302

Specimen UC Davis_1884303: postnatal adult; Retsattm1.1(KOMP)Vlcg/Retsat+ (more )
Structure Level Pattern Image Note
TS28: thymus Present UC Davis_1884303

Specimen UC Davis_1884307: postnatal adult; Retsattm1.1(KOMP)Vlcg/Retsat+ (more )
Structure Level Pattern Image Note
TS28: stomach Present UC Davis_1884307

Specimen UC Davis_1884308: postnatal adult; Retsattm1.1(KOMP)Vlcg/Retsat+ (more )
Structure Level Pattern Image Note
TS28: stomach Present UC Davis_1884308

Specimen UC Davis_1884309: postnatal adult; Retsattm1.1(KOMP)Vlcg/Retsat+ (more )
Structure Level Pattern Image Note
TS28: stomach Present UC Davis_1884309

Specimen UC Davis_1884310: postnatal adult; Retsattm1.1(KOMP)Vlcg/Retsat+ (more )
Structure Level Pattern Image Note
TS28: duodenum Present UC Davis_1884310

Specimen UC Davis_1884311: postnatal adult; Retsattm1.1(KOMP)Vlcg/Retsat+ (more )
Structure Level Pattern Image Note
TS28: ileum Present UC Davis_1884311

Specimen UC Davis_1884312: postnatal adult; Retsattm1.1(KOMP)Vlcg/Retsat+ (more )
Structure Level Pattern Image Note
TS28: colon Present UC Davis_1884312

Specimen UC Davis_1884313: postnatal adult; Retsattm1.1(KOMP)Vlcg/Retsat+ (more )
Structure Level Pattern Image Note
TS28: colon Present UC Davis_1884313

Specimen UC Davis_1884314: postnatal adult; Retsattm1.1(KOMP)Vlcg/Retsat+ (more )
Structure Level Pattern Image Note
TS28: colon Present UC Davis_1884314

Specimen UC Davis_1884315: postnatal adult; Retsattm1.1(KOMP)Vlcg/Retsat+ (more )
Structure Level Pattern Image Note
TS28: cecum Present UC Davis_1884315

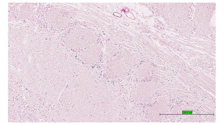
Specimen UC Davis_1884316: postnatal adult; Retsattm1.1(KOMP)Vlcg/Retsat+ (more )
Structure Level Pattern Image Note
TS28: spleen Present UC Davis_1884316

Specimen UC Davis_1884317: postnatal adult; Retsattm1.1(KOMP)Vlcg/Retsat+ (more )
Structure Level Pattern Image Note
TS28: spleen Present UC Davis_1884317

Specimen UC Davis_1884318: postnatal adult; Retsattm1.1(KOMP)Vlcg/Retsat+ (more )
Structure Level Pattern Image Note
TS28: pancreas Present UC Davis_1884318

Specimen UC Davis_1884319: postnatal adult; Retsattm1.1(KOMP)Vlcg/Retsat+ (more )
Structure Level Pattern Image Note
TS28: liver Present UC Davis_1884319

Specimen UC Davis_1884320: postnatal adult; Retsattm1.1(KOMP)Vlcg/Retsat+ (more )
Structure Level Pattern Image Note
TS28: liver Present UC Davis_1884320

Specimen UC Davis_1884321: postnatal adult; Retsattm1.1(KOMP)Vlcg/Retsat+ (more )
Structure Level Pattern Image Note
TS28: metanephros Present UC Davis_1884321 kidney

Specimen UC Davis_1884322: postnatal adult; Retsattm1.1(KOMP)Vlcg/Retsat+ (more )
Structure Level Pattern Image Note
TS28: metanephros Present UC Davis_1884322 kidney

Specimen UC Davis_1884323: postnatal adult; Retsattm1.1(KOMP)Vlcg/Retsat+ (more )
Structure Level Pattern Image Note
TS28: metanephros Present UC Davis_1884323 kidney

Specimen UC Davis_1884324: postnatal adult; Retsattm1.1(KOMP)Vlcg/Retsat+ (more )
Structure Level Pattern Image Note
TS28: quadriceps femoris muscle Present UC Davis_1884324

Specimen UC Davis_1884325: postnatal adult; Retsattm1.1(KOMP)Vlcg/Retsat+ (more )
Structure Level Pattern Image Note
TS28: quadriceps femoris muscle Present UC Davis_1884325

Specimen UC Davis_1884326: postnatal adult; Retsattm1.1(KOMP)Vlcg/Retsat+ (more )
Structure Level Pattern Image Note
TS28: tongue Present UC Davis_1884326

Specimen UC Davis_1884327: postnatal adult; Retsattm1.1(KOMP)Vlcg/Retsat+ (more )
Structure Level Pattern Image Note
TS28: tongue Present UC Davis_1884327

Specimen UC Davis_1884328: postnatal adult; Retsattm1.1(KOMP)Vlcg/Retsat+ (more )
Structure Level Pattern Image Note
TS28: tongue Present UC Davis_1884328

Specimen UC Davis_1884329: postnatal adult; Retsattm1.1(KOMP)Vlcg/Retsat+ (more )
Structure Level Pattern Image Note
TS28: diaphragm Present UC Davis_1884329

Specimen UC Davis_1884330: postnatal adult; Retsattm1.1(KOMP)Vlcg/Retsat+ (more )
Structure Level Pattern Image Note
TS28: adrenal gland Present UC Davis_1884330

Specimen UC Davis_1884331: postnatal adult; Retsattm1.1(KOMP)Vlcg/Retsat+ (more )
Structure Level Pattern Image Note
TS28: pituitary gland Present UC Davis_1884331

Specimen UC Davis_1884332: postnatal adult; Retsattm1.1(KOMP)Vlcg/Retsat+ (more )
Structure Level Pattern Image Note
TS28: spinal cord Present UC Davis_1884332

Specimen UC Davis_1884333: postnatal adult; Retsattm1.1(KOMP)Vlcg/Retsat+ (more )
Structure Level Pattern Image Note
TS28: spinal cord Present UC Davis_1884333

Specimen UC Davis_1884334: postnatal adult; Retsattm1.1(KOMP)Vlcg/Retsat+ (more )
Structure Level Pattern Image Note
TS28: eye Present UC Davis_1884334

Specimen UC Davis_1884335: postnatal adult; Retsattm1.1(KOMP)Vlcg/Retsat+ (more )
Structure Level Pattern Image Note
TS28: eye Present UC Davis_1884335

Specimen UC Davis_1884336: postnatal adult; Retsattm1.1(KOMP)Vlcg/Retsat+ (more )
Structure Level Pattern Image Note
TS28: eye Present UC Davis_1884336

Specimen UC Davis_1884337: postnatal adult; Retsattm1.1(KOMP)Vlcg/Retsat+ (more )
Structure Level Pattern Image Note
TS28: Harderian gland Present UC Davis_1884337

Specimen UC Davis_1884338: postnatal adult; Retsattm1.1(KOMP)Vlcg/Retsat+ (more )
Structure Level Pattern Image Note
TS28: Harderian gland Present UC Davis_1884338

Specimen UC Davis_1884339: postnatal adult; Retsattm1.1(KOMP)Vlcg/Retsat+ (more )
Structure Level Pattern Image Note
TS28: skin Present UC Davis_1884339

Specimen UC Davis_1884340: postnatal adult; Retsattm1.1(KOMP)Vlcg/Retsat+ (more )
Structure Level Pattern Image Note
TS28: brown fat Present UC Davis_1884340

Specimen UC Davis_1884341: postnatal adult; Retsattm1.1(KOMP)Vlcg/Retsat+ (more )
Structure Level Pattern Image Note
TS28: brown fat Present UC Davis_1884341

Specimen UC Davis_1884342: postnatal adult; Retsattm1.1(KOMP)Vlcg/Retsat+ (more )
Structure Level Pattern Image Note
TS28: olfactory lobe Present UC Davis_1884342

Specimen UC Davis_1884346: postnatal adult; Retsattm1.1(KOMP)Vlcg/Retsat+ (more )
Structure Level Pattern Image Note
TS28: midbrain Present UC Davis_1884346

Specimen UC Davis_1884348: postnatal adult; Retsattm1.1(KOMP)Vlcg/Retsat+ (more )
Structure Level Pattern Image Note
TS28: cerebellum Present UC Davis_1884348

Specimen UC Davis_1884349: postnatal adult; Retsattm1.1(KOMP)Vlcg/Retsat+ (more )
Structure Level Pattern Image Note
TS28: trigeminal nerve Present UC Davis_1884349

Specimen UC Davis_1884350: postnatal adult; Retsattm1.1(KOMP)Vlcg/Retsat+ (more )
Structure Level Pattern Image Note
TS28: bladder Present UC Davis_1884350

Specimen UC Davis_1884351: postnatal adult; Retsattm1.1(KOMP)Vlcg/Retsat+ (more )
Structure Level Pattern Image Note
TS28: bladder Present UC Davis_1884351

Specimen UC Davis_1884352: postnatal adult; Retsattm1.1(KOMP)Vlcg/Retsat+ (more )
Structure Level Pattern Image Note
TS28: testis Present UC Davis_1884352

Specimen UC Davis_1884353: postnatal adult; Retsattm1.1(KOMP)Vlcg/Retsat+ (more )
Structure Level Pattern Image Note
TS28: testis Present UC Davis_1884353

Specimen UC Davis_1884354: postnatal adult; Retsattm1.1(KOMP)Vlcg/Retsat+ (more )
Structure Level Pattern Image Note
TS28: epididymis Present UC Davis_1884354

Specimen UC Davis_1884355: postnatal adult; Retsattm1.1(KOMP)Vlcg/Retsat+ (more )
Structure Level Pattern Image Note
TS28: epididymis Present UC Davis_1884355

Specimen UC Davis_1884356: postnatal adult; Retsattm1.1(KOMP)Vlcg/Retsat+ (more )
Structure Level Pattern Image Note
TS28: prostate gland Present UC Davis_1884356

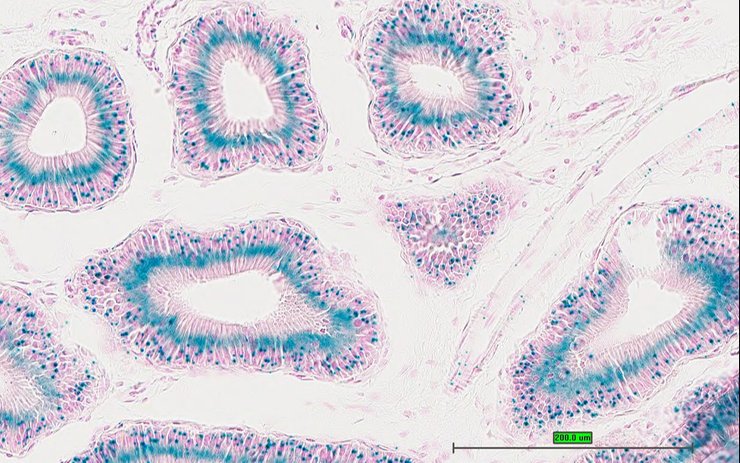
Specimen UC Davis_1884357: postnatal adult; Retsattm1.1(KOMP)Vlcg/Retsat+ (more )
Structure Level Pattern Image Note
TS28: prostate gland Present UC Davis_1884357

Specimen UC Davis_1884358: postnatal adult; Retsattm1.1(KOMP)Vlcg/Retsat+ (more )
Structure Level Pattern Image Note
TS28: penis Present UC Davis_1884358

Specimen UC Davis_1884359: postnatal adult; Retsattm1.1(KOMP)Vlcg/Retsat+ (more )
Structure Level Pattern Image Note
TS28: penis Present UC Davis_1884359

Specimen UC Davis_1884360: postnatal adult; Retsattm1.1(KOMP)Vlcg/Retsat+ (more )
Structure Level Pattern Image Note
TS28: penis Present UC Davis_1884360

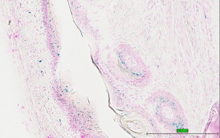
Specimen UC Davis_1884361: postnatal adult; Retsattm1.1(KOMP)Vlcg/Retsat+ (more )
Structure Level Pattern Image Note
TS28: ductus deferens Present UC Davis_1884361 vas deferens

Specimen UC Davis_1884364: postnatal adult; Retsattm1.1(KOMP)Vlcg/Retsat+ (more )
Structure Level Pattern Image Note
TS28: seminal vesicle Present UC Davis_1884364 vesicular gland


Contributing Projects:
Mouse Genome Database (MGD), Gene Expression Database (GXD), Mouse Models of Human Cancer database (MMHCdb) (formerly Mouse Tumor Biology (MTB)), Gene Ontology (GO)
Citing These Resources
Funding Information
Warranty Disclaimer, Privacy Notice, Licensing, & Copyright
Send questions and comments to User Support.
last database update
12/30/2025
MGI 6.24
The Jackson Laboratory