About   Help   FAQ
Gene Expression Data
Assay Details
Assay
Reference: J:228563 Koscielny G, et al., The International Mouse Phenotyping Consortium Web Portal, a unified point of access for knockout mice and related phenotyping data. Nucleic Acids Res. 2014 Jan;42(Database issue):D802-9
Assay type: In situ reporter (knock in)
MGI Accession ID: MGI:6691731
Gene symbol: Peli1
Gene name: pellino 1
Reporter: lacZ
Direct Detection
Results
Specimen UC Davis_1866084: postnatal adult; Peli1tm1b(EUCOMM)Wtsi/Peli1+ (more )
Structure Level Pattern Image Note
TS28: trachea Present UC Davis_1866084

Specimen UC Davis_1866085: postnatal adult; Peli1tm1b(EUCOMM)Wtsi/Peli1+ (more )
Structure Level Pattern Image Note
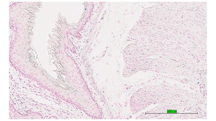
TS28: esophagus Present UC Davis_1866085

Specimen UC Davis_1866086: postnatal adult; Peli1tm1b(EUCOMM)Wtsi/Peli1+ (more )
Structure Level Pattern Image Note
TS28: esophagus Present UC Davis_1866086

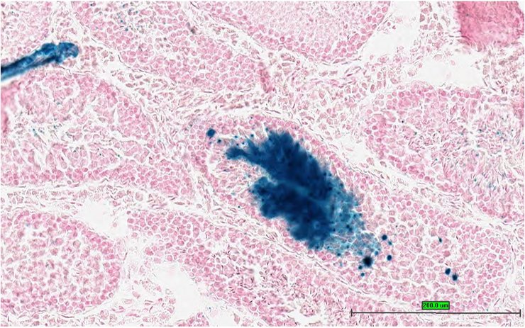
Specimen UC Davis_1866089: postnatal adult; Peli1tm1b(EUCOMM)Wtsi/Peli1+ (more )
Structure Level Pattern Image Note
TS28: stomach Present UC Davis_1866089

Specimen UC Davis_1866090: postnatal adult; Peli1tm1b(EUCOMM)Wtsi/Peli1+ (more )
Structure Level Pattern Image Note
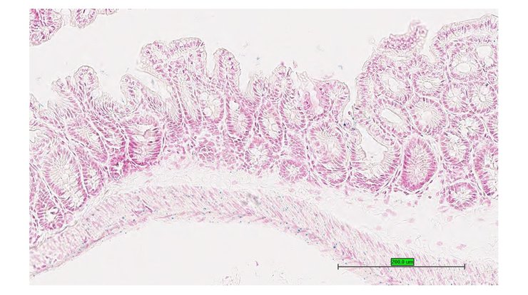
TS28: duodenum Present UC Davis_1866090

Specimen UC Davis_1866091: postnatal adult; Peli1tm1b(EUCOMM)Wtsi/Peli1+ (more )
Structure Level Pattern Image Note
TS28: ileum Present UC Davis_1866091

Specimen UC Davis_1866092: postnatal adult; Peli1tm1b(EUCOMM)Wtsi/Peli1+ (more )
Structure Level Pattern Image Note
TS28: colon Present UC Davis_1866092

Specimen UC Davis_1866093: postnatal adult; Peli1tm1b(EUCOMM)Wtsi/Peli1+ (more )
Structure Level Pattern Image Note
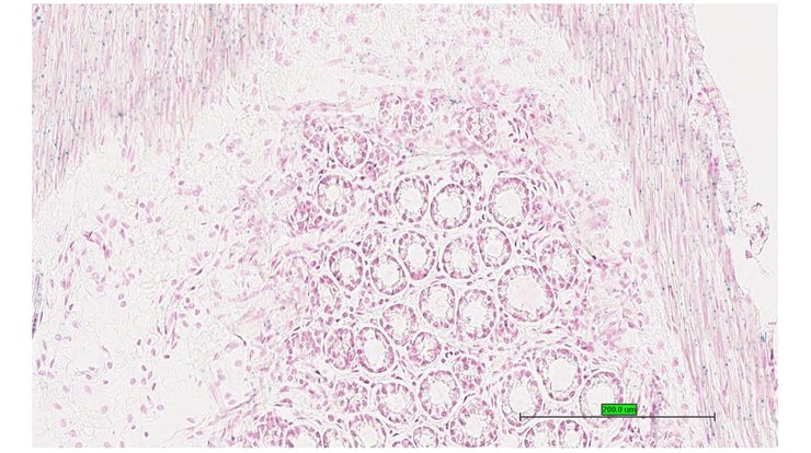
TS28: cecum Present UC Davis_1866093

Specimen UC Davis_1866094: postnatal adult; Peli1tm1b(EUCOMM)Wtsi/Peli1+ (more )
Structure Level Pattern Image Note
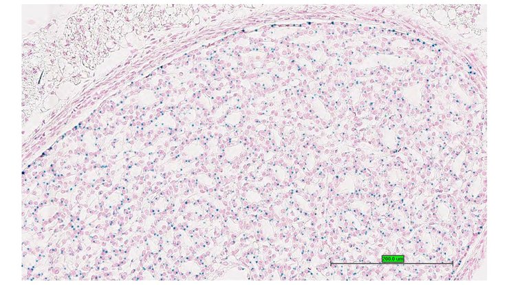
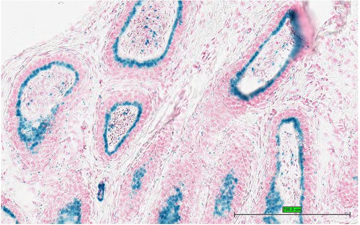
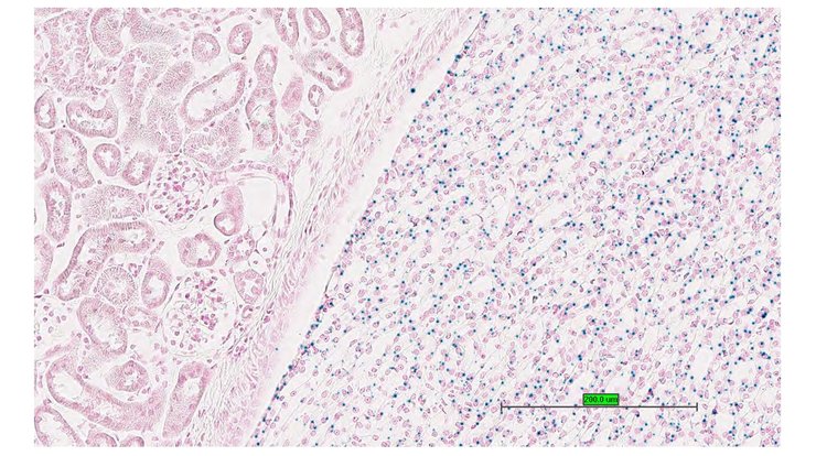
TS28: metanephros Present UC Davis_1866094 kidney

Specimen UC Davis_1866095: postnatal adult; Peli1tm1b(EUCOMM)Wtsi/Peli1+ (more )
Structure Level Pattern Image Note
TS28: metanephros Present UC Davis_1866095 kidney

Specimen UC Davis_1866096: postnatal adult; Peli1tm1b(EUCOMM)Wtsi/Peli1+ (more )
Structure Level Pattern Image Note
TS28: metanephros Present UC Davis_1866096 kidney

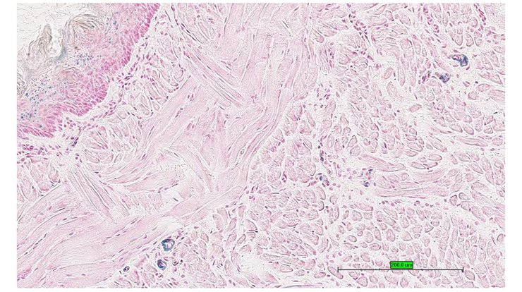
Specimen UC Davis_1866097: postnatal adult; Peli1tm1b(EUCOMM)Wtsi/Peli1+ (more )
Structure Level Pattern Image Note
TS28: quadriceps femoris muscle Present UC Davis_1866097

Specimen UC Davis_1866098: postnatal adult; Peli1tm1b(EUCOMM)Wtsi/Peli1+ (more )
Structure Level Pattern Image Note
TS28: tongue Present UC Davis_1866098

Specimen UC Davis_1866099: postnatal adult; Peli1tm1b(EUCOMM)Wtsi/Peli1+ (more )
Structure Level Pattern Image Note
TS28: tongue Present UC Davis_1866099

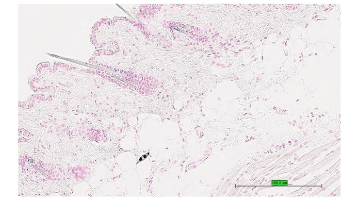
Specimen UC Davis_1866100: postnatal adult; Peli1tm1b(EUCOMM)Wtsi/Peli1+ (more )
Structure Level Pattern Image Note
TS28: skin Present UC Davis_1866100

Specimen UC Davis_1866101: postnatal adult; Peli1tm1b(EUCOMM)Wtsi/Peli1+ (more )
Structure Level Pattern Image Note
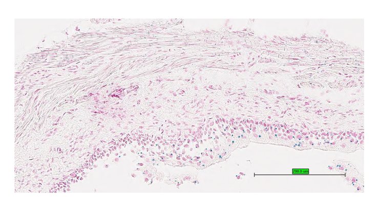
TS28: skin Present UC Davis_1866101

Specimen UC Davis_1866102: postnatal adult; Peli1tm1b(EUCOMM)Wtsi/Peli1+ (more )
Structure Level Pattern Image Note
TS28: skin Present UC Davis_1866102

Specimen UC Davis_1866105: postnatal adult; Peli1tm1b(EUCOMM)Wtsi/Peli1+ (more )
Structure Level Pattern Image Note
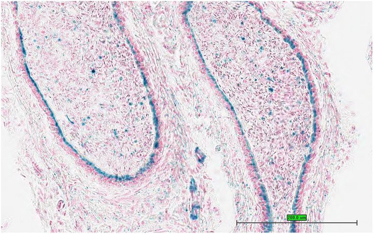
TS28: midbrain Present UC Davis_1866105

Specimen UC Davis_1866107: postnatal adult; Peli1tm1b(EUCOMM)Wtsi/Peli1+ (more )
Structure Level Pattern Image Note
TS28: uterus Present UC Davis_1866107

Specimen UC Davis_1866108: postnatal adult; Peli1tm1b(EUCOMM)Wtsi/Peli1+ (more )
Structure Level Pattern Image Note
TS28: uterus Present UC Davis_1866108

Specimen UC Davis_1866109: postnatal adult; Peli1tm1b(EUCOMM)Wtsi/Peli1+ (more )
Structure Level Pattern Image Note
TS28: uterus Present UC Davis_1866109

Specimen UC Davis_1866110: postnatal adult; Peli1tm1b(EUCOMM)Wtsi/Peli1+ (more )
Structure Level Pattern Image Note
TS28: vagina Present UC Davis_1866110

Specimen UC Davis_1866111: postnatal adult; Peli1tm1b(EUCOMM)Wtsi/Peli1+ (more )
Structure Level Pattern Image Note
TS28: bladder Present UC Davis_1866111

Specimen UC Davis_1866037: postnatal adult; Peli1tm1b(EUCOMM)Wtsi/Peli1+ (more )
Structure Level Pattern Image Note
TS28: esophagus Present UC Davis_1866037

Specimen UC Davis_1866039: postnatal adult; Peli1tm1b(EUCOMM)Wtsi/Peli1+ (more )
Structure Level Pattern Image Note
TS28: aorta Present UC Davis_1866039

Specimen UC Davis_1866040: postnatal adult; Peli1tm1b(EUCOMM)Wtsi/Peli1+ (more )
Structure Level Pattern Image Note
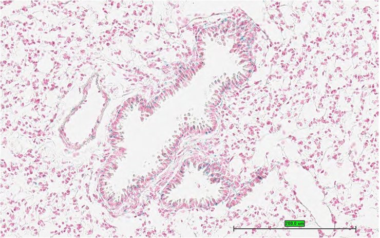
TS28: lung Present UC Davis_1866040

Specimen UC Davis_1866041: postnatal adult; Peli1tm1b(EUCOMM)Wtsi/Peli1+ (more )
Structure Level Pattern Image Note
TS28: lung Present UC Davis_1866041

Specimen UC Davis_1866042: postnatal adult; Peli1tm1b(EUCOMM)Wtsi/Peli1+ (more )
Structure Level Pattern Image Note
TS28: lung Present UC Davis_1866042

Specimen UC Davis_1866043: postnatal adult; Peli1tm1b(EUCOMM)Wtsi/Peli1+ (more )
Structure Level Pattern Image Note
TS28: thymus Present UC Davis_1866043

Specimen UC Davis_1866044: postnatal adult; Peli1tm1b(EUCOMM)Wtsi/Peli1+ (more )
Structure Level Pattern Image Note
TS28: thymus Present UC Davis_1866044

Specimen UC Davis_1866050: postnatal adult; Peli1tm1b(EUCOMM)Wtsi/Peli1+ (more )
Structure Level Pattern Image Note
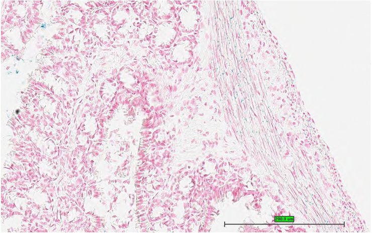
TS28: stomach Present UC Davis_1866050

Specimen UC Davis_1866051: postnatal adult; Peli1tm1b(EUCOMM)Wtsi/Peli1+ (more )
Structure Level Pattern Image Note
TS28: stomach Present UC Davis_1866051

Specimen UC Davis_1866052: postnatal adult; Peli1tm1b(EUCOMM)Wtsi/Peli1+ (more )
Structure Level Pattern Image Note
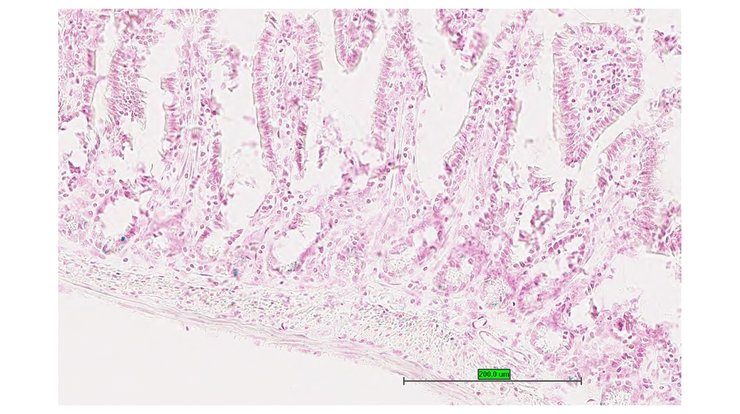
TS28: ileum Present UC Davis_1866052

Specimen UC Davis_1866053: postnatal adult; Peli1tm1b(EUCOMM)Wtsi/Peli1+ (more )
Structure Level Pattern Image Note
TS28: colon Present UC Davis_1866053

Specimen UC Davis_1866054: postnatal adult; Peli1tm1b(EUCOMM)Wtsi/Peli1+ (more )
Structure Level Pattern Image Note
TS28: colon Present UC Davis_1866054

Specimen UC Davis_1866055: postnatal adult; Peli1tm1b(EUCOMM)Wtsi/Peli1+ (more )
Structure Level Pattern Image Note
TS28: cecum Present UC Davis_1866055

Specimen UC Davis_1866056: postnatal adult; Peli1tm1b(EUCOMM)Wtsi/Peli1+ (more )
Structure Level Pattern Image Note
TS28: metanephros Present UC Davis_1866056 kidney

Specimen UC Davis_1866057: postnatal adult; Peli1tm1b(EUCOMM)Wtsi/Peli1+ (more )
Structure Level Pattern Image Note
TS28: quadriceps femoris muscle Present UC Davis_1866057

Specimen UC Davis_1866058: postnatal adult; Peli1tm1b(EUCOMM)Wtsi/Peli1+ (more )
Structure Level Pattern Image Note
TS28: tongue Present UC Davis_1866058

Specimen UC Davis_1866059: postnatal adult; Peli1tm1b(EUCOMM)Wtsi/Peli1+ (more )
Structure Level Pattern Image Note
TS28: eye Present UC Davis_1866059

Specimen UC Davis_1866060: postnatal adult; Peli1tm1b(EUCOMM)Wtsi/Peli1+ (more )
Structure Level Pattern Image Note
TS28: mesenteric adipose tissue Present UC Davis_1866060

Specimen UC Davis_1866061: postnatal adult; Peli1tm1b(EUCOMM)Wtsi/Peli1+ (more )
Structure Level Pattern Image Note
TS28: skin Present UC Davis_1866061

Specimen UC Davis_1866062: postnatal adult; Peli1tm1b(EUCOMM)Wtsi/Peli1+ (more )
Structure Level Pattern Image Note
TS28: skin Present UC Davis_1866062

Specimen UC Davis_1866063: postnatal adult; Peli1tm1b(EUCOMM)Wtsi/Peli1+ (more )
Structure Level Pattern Image Note
TS28: brown fat Present UC Davis_1866063

Specimen UC Davis_1866064: postnatal adult; Peli1tm1b(EUCOMM)Wtsi/Peli1+ (more )
Structure Level Pattern Image Note
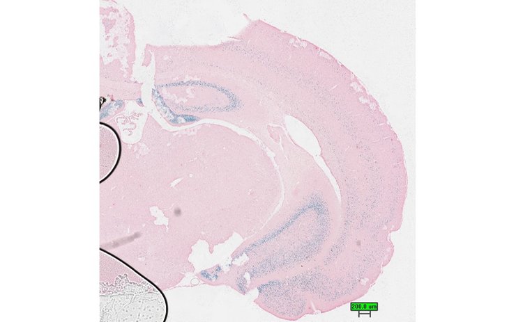
TS28: olfactory lobe Present UC Davis_1866064

Specimen UC Davis_1866067: postnatal adult; Peli1tm1b(EUCOMM)Wtsi/Peli1+ (more )
Structure Level Pattern Image Note
TS28: midbrain Present UC Davis_1866067

Specimen UC Davis_1866069: postnatal adult; Peli1tm1b(EUCOMM)Wtsi/Peli1+ (more )
Structure Level Pattern Image Note
TS28: cerebellum Present UC Davis_1866069

Specimen UC Davis_1866070: postnatal adult; Peli1tm1b(EUCOMM)Wtsi/Peli1+ (more )
Structure Level Pattern Image Note
TS28: bladder Present UC Davis_1866070

Specimen UC Davis_1866071: postnatal adult; Peli1tm1b(EUCOMM)Wtsi/Peli1+ (more )
Structure Level Pattern Image Note
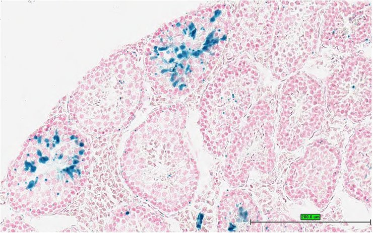
TS28: testis Present UC Davis_1866071

Specimen UC Davis_1866072: postnatal adult; Peli1tm1b(EUCOMM)Wtsi/Peli1+ (more )
Structure Level Pattern Image Note
TS28: testis Present UC Davis_1866072

Specimen UC Davis_1866073: postnatal adult; Peli1tm1b(EUCOMM)Wtsi/Peli1+ (more )
Structure Level Pattern Image Note
TS28: testis Present UC Davis_1866073

Specimen UC Davis_1866074: postnatal adult; Peli1tm1b(EUCOMM)Wtsi/Peli1+ (more )
Structure Level Pattern Image Note
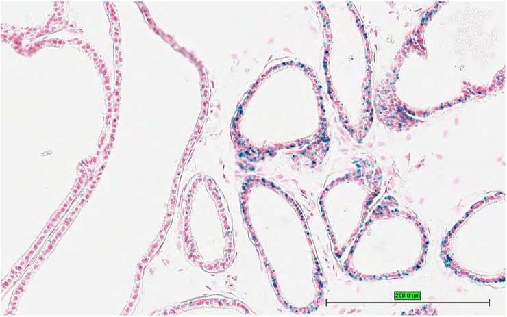
TS28: epididymis Present UC Davis_1866074

Specimen UC Davis_1866075: postnatal adult; Peli1tm1b(EUCOMM)Wtsi/Peli1+ (more )
Structure Level Pattern Image Note
TS28: epididymis Present UC Davis_1866075

Specimen UC Davis_1866076: postnatal adult; Peli1tm1b(EUCOMM)Wtsi/Peli1+ (more )
Structure Level Pattern Image Note
TS28: prostate gland Present UC Davis_1866076

Specimen UC Davis_1866077: postnatal adult; Peli1tm1b(EUCOMM)Wtsi/Peli1+ (more )
Structure Level Pattern Image Note
TS28: penis Present UC Davis_1866077

Specimen UC Davis_1866078: postnatal adult; Peli1tm1b(EUCOMM)Wtsi/Peli1+ (more )
Structure Level Pattern Image Note
TS28: penis Present UC Davis_1866078

Specimen UC Davis_1866080: postnatal adult; Peli1tm1b(EUCOMM)Wtsi/Peli1+ (more )
Structure Level Pattern Image Note
TS28: ductus deferens Present UC Davis_1866080 vas deferens

Specimen UC Davis_1866083: postnatal adult; Peli1tm1b(EUCOMM)Wtsi/Peli1+ (more )
Structure Level Pattern Image Note
TS28: seminal vesicle Present UC Davis_1866083 vesicular gland


Contributing Projects:
Mouse Genome Database (MGD), Gene Expression Database (GXD), Mouse Models of Human Cancer database (MMHCdb) (formerly Mouse Tumor Biology (MTB)), Gene Ontology (GO)
Citing These Resources
Funding Information
Warranty Disclaimer, Privacy Notice, Licensing, & Copyright
Send questions and comments to User Support.
last database update
01/20/2026
MGI 6.24
The Jackson Laboratory