About   Help   FAQ
Gene Expression Data
Assay Details
Assay
Reference: J:228563 Koscielny G, et al., The International Mouse Phenotyping Consortium Web Portal, a unified point of access for knockout mice and related phenotyping data. Nucleic Acids Res. 2014 Jan;42(Database issue):D802-9
Assay type: In situ reporter (knock in)
MGI Accession ID: MGI:6691729
Gene symbol: Prpf18
Gene name: pre-mRNA processing factor 18
Reporter: lacZ
Direct Detection
Results
Specimen UC Davis_1880186: postnatal adult; Prpf18tm1.1(KOMP)Vlcg/Prpf18+ (more )
Structure Level Pattern Image Note
TS28: trachea Present UC Davis_1880186

Specimen UC Davis_1880187: postnatal adult; Prpf18tm1.1(KOMP)Vlcg/Prpf18+ (more )
Structure Level Pattern Image Note
TS28: trachea Present UC Davis_1880187

Specimen UC Davis_1880188: postnatal adult; Prpf18tm1.1(KOMP)Vlcg/Prpf18+ (more )
Structure Level Pattern Image Note
TS28: trachea Present UC Davis_1880188

Specimen UC Davis_1880189: postnatal adult; Prpf18tm1.1(KOMP)Vlcg/Prpf18+ (more )
Structure Level Pattern Image Note
TS28: esophagus Present UC Davis_1880189

Specimen UC Davis_1880190: postnatal adult; Prpf18tm1.1(KOMP)Vlcg/Prpf18+ (more )
Structure Level Pattern Image Note
TS28: aorta Present UC Davis_1880190

Specimen UC Davis_1880191: postnatal adult; Prpf18tm1.1(KOMP)Vlcg/Prpf18+ (more )
Structure Level Pattern Image Note
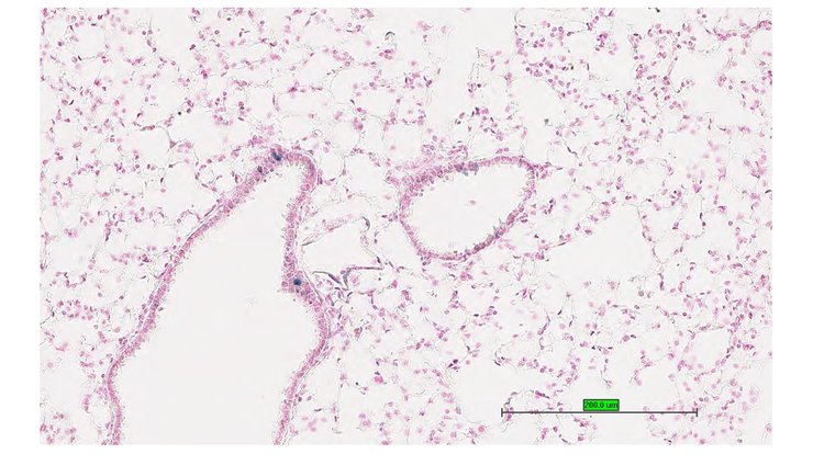
TS28: lung Present UC Davis_1880191

Specimen UC Davis_1880192: postnatal adult; Prpf18tm1.1(KOMP)Vlcg/Prpf18+ (more )
Structure Level Pattern Image Note
TS28: lung Present UC Davis_1880192

Specimen UC Davis_1880194: postnatal adult; Prpf18tm1.1(KOMP)Vlcg/Prpf18+ (more )
Structure Level Pattern Image Note
TS28: stomach Present UC Davis_1880194

Specimen UC Davis_1880195: postnatal adult; Prpf18tm1.1(KOMP)Vlcg/Prpf18+ (more )
Structure Level Pattern Image Note
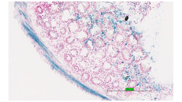
TS28: duodenum Present UC Davis_1880195

Specimen UC Davis_1880196: postnatal adult; Prpf18tm1.1(KOMP)Vlcg/Prpf18+ (more )
Structure Level Pattern Image Note
TS28: ileum Present UC Davis_1880196

Specimen UC Davis_1880197: postnatal adult; Prpf18tm1.1(KOMP)Vlcg/Prpf18+ (more )
Structure Level Pattern Image Note
TS28: colon Present UC Davis_1880197

Specimen UC Davis_1880198: postnatal adult; Prpf18tm1.1(KOMP)Vlcg/Prpf18+ (more )
Structure Level Pattern Image Note
TS28: colon Present UC Davis_1880198

Specimen UC Davis_1880199: postnatal adult; Prpf18tm1.1(KOMP)Vlcg/Prpf18+ (more )
Structure Level Pattern Image Note
TS28: colon Present UC Davis_1880199

Specimen UC Davis_1880200: postnatal adult; Prpf18tm1.1(KOMP)Vlcg/Prpf18+ (more )
Structure Level Pattern Image Note
TS28: colon Present UC Davis_1880200

Specimen UC Davis_1880201: postnatal adult; Prpf18tm1.1(KOMP)Vlcg/Prpf18+ (more )
Structure Level Pattern Image Note
TS28: cecum Present UC Davis_1880201

Specimen UC Davis_1880202: postnatal adult; Prpf18tm1.1(KOMP)Vlcg/Prpf18+ (more )
Structure Level Pattern Image Note
TS28: spleen Present UC Davis_1880202

Specimen UC Davis_1880203: postnatal adult; Prpf18tm1.1(KOMP)Vlcg/Prpf18+ (more )
Structure Level Pattern Image Note
TS28: spleen Present UC Davis_1880203

Specimen UC Davis_1880204: postnatal adult; Prpf18tm1.1(KOMP)Vlcg/Prpf18+ (more )
Structure Level Pattern Image Note
TS28: pancreas Present UC Davis_1880204

Specimen UC Davis_1880205: postnatal adult; Prpf18tm1.1(KOMP)Vlcg/Prpf18+ (more )
Structure Level Pattern Image Note
TS28: liver Present UC Davis_1880205

Specimen UC Davis_1880206: postnatal adult; Prpf18tm1.1(KOMP)Vlcg/Prpf18+ (more )
Structure Level Pattern Image Note
TS28: liver Present UC Davis_1880206

Specimen UC Davis_1880207: postnatal adult; Prpf18tm1.1(KOMP)Vlcg/Prpf18+ (more )
Structure Level Pattern Image Note
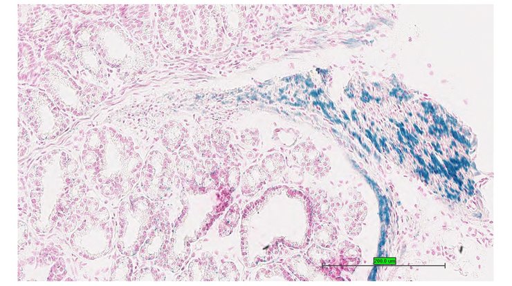
TS28: metanephros Present UC Davis_1880207 kidney

Specimen UC Davis_1880208: postnatal adult; Prpf18tm1.1(KOMP)Vlcg/Prpf18+ (more )
Structure Level Pattern Image Note
TS28: metanephros Present UC Davis_1880208 kidney

Specimen UC Davis_1880209: postnatal adult; Prpf18tm1.1(KOMP)Vlcg/Prpf18+ (more )
Structure Level Pattern Image Note
TS28: quadriceps femoris muscle Present UC Davis_1880209

Specimen UC Davis_1880210: postnatal adult; Prpf18tm1.1(KOMP)Vlcg/Prpf18+ (more )
Structure Level Pattern Image Note
TS28: quadriceps femoris muscle Present UC Davis_1880210

Specimen UC Davis_1880211: postnatal adult; Prpf18tm1.1(KOMP)Vlcg/Prpf18+ (more )
Structure Level Pattern Image Note
TS28: quadriceps femoris muscle Present UC Davis_1880211

Specimen UC Davis_1880212: postnatal adult; Prpf18tm1.1(KOMP)Vlcg/Prpf18+ (more )
Structure Level Pattern Image Note
TS28: tongue Present UC Davis_1880212

Specimen UC Davis_1880213: postnatal adult; Prpf18tm1.1(KOMP)Vlcg/Prpf18+ (more )
Structure Level Pattern Image Note
TS28: tongue Present UC Davis_1880213

Specimen UC Davis_1880214: postnatal adult; Prpf18tm1.1(KOMP)Vlcg/Prpf18+ (more )
Structure Level Pattern Image Note
TS28: tongue Present UC Davis_1880214

Specimen UC Davis_1880215: postnatal adult; Prpf18tm1.1(KOMP)Vlcg/Prpf18+ (more )
Structure Level Pattern Image Note
TS28: diaphragm Present UC Davis_1880215

Specimen UC Davis_1880216: postnatal adult; Prpf18tm1.1(KOMP)Vlcg/Prpf18+ (more )
Structure Level Pattern Image Note
TS28: adrenal gland Present UC Davis_1880216

Specimen UC Davis_1880217: postnatal adult; Prpf18tm1.1(KOMP)Vlcg/Prpf18+ (more )
Structure Level Pattern Image Note
TS28: eye Present UC Davis_1880217

Specimen UC Davis_1880218: postnatal adult; Prpf18tm1.1(KOMP)Vlcg/Prpf18+ (more )
Structure Level Pattern Image Note
TS28: Harderian gland Present UC Davis_1880218

Specimen UC Davis_1880220: postnatal adult; Prpf18tm1.1(KOMP)Vlcg/Prpf18+ (more )
Structure Level Pattern Image Note
TS28: mesenteric adipose tissue Present UC Davis_1880220

Specimen UC Davis_1880221: postnatal adult; Prpf18tm1.1(KOMP)Vlcg/Prpf18+ (more )
Structure Level Pattern Image Note
TS28: mesenteric adipose tissue Present UC Davis_1880221

Specimen UC Davis_1880222: postnatal adult; Prpf18tm1.1(KOMP)Vlcg/Prpf18+ (more )
Structure Level Pattern Image Note
TS28: mesenteric adipose tissue Present UC Davis_1880222

Specimen UC Davis_1880224: postnatal adult; Prpf18tm1.1(KOMP)Vlcg/Prpf18+ (more )
Structure Level Pattern Image Note
TS28: brown fat Present UC Davis_1880224

Specimen UC Davis_1880225: postnatal adult; Prpf18tm1.1(KOMP)Vlcg/Prpf18+ (more )
Structure Level Pattern Image Note
TS28: brown fat Present UC Davis_1880225

Specimen UC Davis_1880226: postnatal adult; Prpf18tm1.1(KOMP)Vlcg/Prpf18+ (more )
Structure Level Pattern Image Note
TS28: olfactory lobe Present UC Davis_1880226

Specimen UC Davis_1880230: postnatal adult; Prpf18tm1.1(KOMP)Vlcg/Prpf18+ (more )
Structure Level Pattern Image Note
TS28: midbrain Present UC Davis_1880230

Specimen UC Davis_1880231: postnatal adult; Prpf18tm1.1(KOMP)Vlcg/Prpf18+ (more )
Structure Level Pattern Image Note
TS28: midbrain Present UC Davis_1880231

Specimen UC Davis_1880233: postnatal adult; Prpf18tm1.1(KOMP)Vlcg/Prpf18+ (more )
Structure Level Pattern Image Note
TS28: cerebellum Present UC Davis_1880233

Specimen UC Davis_1880234: postnatal adult; Prpf18tm1.1(KOMP)Vlcg/Prpf18+ (more )
Structure Level Pattern Image Note
TS28: cerebellum Present UC Davis_1880234

Specimen UC Davis_1880235: postnatal adult; Prpf18tm1.1(KOMP)Vlcg/Prpf18+ (more )
Structure Level Pattern Image Note
TS28: ovary Present UC Davis_1880235

Specimen UC Davis_1880236: postnatal adult; Prpf18tm1.1(KOMP)Vlcg/Prpf18+ (more )
Structure Level Pattern Image Note
TS28: oviduct Present UC Davis_1880236

Specimen UC Davis_1880237: postnatal adult; Prpf18tm1.1(KOMP)Vlcg/Prpf18+ (more )
Structure Level Pattern Image Note
TS28: uterus Present UC Davis_1880237

Specimen UC Davis_1880238: postnatal adult; Prpf18tm1.1(KOMP)Vlcg/Prpf18+ (more )
Structure Level Pattern Image Note
TS28: uterus Present UC Davis_1880238

Specimen UC Davis_1880239: postnatal adult; Prpf18tm1.1(KOMP)Vlcg/Prpf18+ (more )
Structure Level Pattern Image Note
TS28: bladder Present UC Davis_1880239

Specimen UC Davis_1880240: postnatal adult; Prpf18tm1.1(KOMP)Vlcg/Prpf18+ (more )
Structure Level Pattern Image Note
TS28: bladder Present UC Davis_1880240

Specimen UC Davis_1880242: postnatal adult; Prpf18tm1.1(KOMP)Vlcg/Prpf18+ (more )
Structure Level Pattern Image Note
TS28: sublingual gland Present UC Davis_1880242

Specimen UC Davis_1880243: postnatal adult; Prpf18tm1.1(KOMP)Vlcg/Prpf18+ (more )
Structure Level Pattern Image Note
TS28: parotid gland Present UC Davis_1880243

Specimen UC Davis_1880245: postnatal adult; Prpf18tm1.1(KOMP)Vlcg/Prpf18+ (more )
Structure Level Pattern Image Note
TS28: trachea Present UC Davis_1880245

Specimen UC Davis_1880246: postnatal adult; Prpf18tm1.1(KOMP)Vlcg/Prpf18+ (more )
Structure Level Pattern Image Note
TS28: esophagus Present UC Davis_1880246

Specimen UC Davis_1880248: postnatal adult; Prpf18tm1.1(KOMP)Vlcg/Prpf18+ (more )
Structure Level Pattern Image Note
TS28: aorta Present UC Davis_1880248

Specimen UC Davis_1880249: postnatal adult; Prpf18tm1.1(KOMP)Vlcg/Prpf18+ (more )
Structure Level Pattern Image Note
TS28: lung Present UC Davis_1880249

Specimen UC Davis_1880250: postnatal adult; Prpf18tm1.1(KOMP)Vlcg/Prpf18+ (more )
Structure Level Pattern Image Note
TS28: lung Present UC Davis_1880250

Specimen UC Davis_1880251: postnatal adult; Prpf18tm1.1(KOMP)Vlcg/Prpf18+ (more )
Structure Level Pattern Image Note
TS28: lung Present UC Davis_1880251

Specimen UC Davis_1880254: postnatal adult; Prpf18tm1.1(KOMP)Vlcg/Prpf18+ (more )
Structure Level Pattern Image Note
TS28: stomach Present UC Davis_1880254

Specimen UC Davis_1880255: postnatal adult; Prpf18tm1.1(KOMP)Vlcg/Prpf18+ (more )
Structure Level Pattern Image Note
TS28: stomach Present UC Davis_1880255

Specimen UC Davis_1880256: postnatal adult; Prpf18tm1.1(KOMP)Vlcg/Prpf18+ (more )
Structure Level Pattern Image Note
TS28: stomach Present UC Davis_1880256

Specimen UC Davis_1880257: postnatal adult; Prpf18tm1.1(KOMP)Vlcg/Prpf18+ (more )
Structure Level Pattern Image Note
TS28: duodenum Present UC Davis_1880257

Specimen UC Davis_1880258: postnatal adult; Prpf18tm1.1(KOMP)Vlcg/Prpf18+ (more )
Structure Level Pattern Image Note
TS28: jejunum Present UC Davis_1880258

Specimen UC Davis_1880259: postnatal adult; Prpf18tm1.1(KOMP)Vlcg/Prpf18+ (more )
Structure Level Pattern Image Note
TS28: ileum Present UC Davis_1880259

Specimen UC Davis_1880260: postnatal adult; Prpf18tm1.1(KOMP)Vlcg/Prpf18+ (more )
Structure Level Pattern Image Note
TS28: colon Present UC Davis_1880260

Specimen UC Davis_1880261: postnatal adult; Prpf18tm1.1(KOMP)Vlcg/Prpf18+ (more )
Structure Level Pattern Image Note
TS28: spleen Present UC Davis_1880261

Specimen UC Davis_1880262: postnatal adult; Prpf18tm1.1(KOMP)Vlcg/Prpf18+ (more )
Structure Level Pattern Image Note
TS28: pancreas Present UC Davis_1880262

Specimen UC Davis_1880263: postnatal adult; Prpf18tm1.1(KOMP)Vlcg/Prpf18+ (more )
Structure Level Pattern Image Note
TS28: pancreas Present UC Davis_1880263

Specimen UC Davis_1880264: postnatal adult; Prpf18tm1.1(KOMP)Vlcg/Prpf18+ (more )
Structure Level Pattern Image Note
TS28: metanephros Present UC Davis_1880264 kidney

Specimen UC Davis_1880265: postnatal adult; Prpf18tm1.1(KOMP)Vlcg/Prpf18+ (more )
Structure Level Pattern Image Note
TS28: metanephros Present UC Davis_1880265 kidney

Specimen UC Davis_1880266: postnatal adult; Prpf18tm1.1(KOMP)Vlcg/Prpf18+ (more )
Structure Level Pattern Image Note
TS28: metanephros Present UC Davis_1880266 kidney

Specimen UC Davis_1880267: postnatal adult; Prpf18tm1.1(KOMP)Vlcg/Prpf18+ (more )
Structure Level Pattern Image Note
TS28: quadriceps femoris muscle Present UC Davis_1880267

Specimen UC Davis_1880268: postnatal adult; Prpf18tm1.1(KOMP)Vlcg/Prpf18+ (more )
Structure Level Pattern Image Note
TS28: tongue Present UC Davis_1880268

Specimen UC Davis_1880269: postnatal adult; Prpf18tm1.1(KOMP)Vlcg/Prpf18+ (more )
Structure Level Pattern Image Note
TS28: tongue Present UC Davis_1880269

Specimen UC Davis_1880270: postnatal adult; Prpf18tm1.1(KOMP)Vlcg/Prpf18+ (more )
Structure Level Pattern Image Note
TS28: adrenal gland Present UC Davis_1880270

Specimen UC Davis_1880271: postnatal adult; Prpf18tm1.1(KOMP)Vlcg/Prpf18+ (more )
Structure Level Pattern Image Note
TS28: pituitary gland Present UC Davis_1880271

Specimen UC Davis_1880272: postnatal adult; Prpf18tm1.1(KOMP)Vlcg/Prpf18+ (more )
Structure Level Pattern Image Note
TS28: spinal cord Present UC Davis_1880272

Specimen UC Davis_1880273: postnatal adult; Prpf18tm1.1(KOMP)Vlcg/Prpf18+ (more )
Structure Level Pattern Image Note
TS28: spinal cord Present UC Davis_1880273

Specimen UC Davis_1880274: postnatal adult; Prpf18tm1.1(KOMP)Vlcg/Prpf18+ (more )
Structure Level Pattern Image Note
TS28: eye Present UC Davis_1880274

Specimen UC Davis_1880275: postnatal adult; Prpf18tm1.1(KOMP)Vlcg/Prpf18+ (more )
Structure Level Pattern Image Note
TS28: Harderian gland Present UC Davis_1880275

Specimen UC Davis_1880276: postnatal adult; Prpf18tm1.1(KOMP)Vlcg/Prpf18+ (more )
Structure Level Pattern Image Note
TS28: gonadal fat pad Present UC Davis_1880276

Specimen UC Davis_1880277: postnatal adult; Prpf18tm1.1(KOMP)Vlcg/Prpf18+ (more )
Structure Level Pattern Image Note
TS28: mesenteric adipose tissue Present UC Davis_1880277

Specimen UC Davis_1880278: postnatal adult; Prpf18tm1.1(KOMP)Vlcg/Prpf18+ (more )
Structure Level Pattern Image Note
TS28: skin Present UC Davis_1880278

Specimen UC Davis_1880279: postnatal adult; Prpf18tm1.1(KOMP)Vlcg/Prpf18+ (more )
Structure Level Pattern Image Note
TS28: brown fat Present UC Davis_1880279

Specimen UC Davis_1880280: postnatal adult; Prpf18tm1.1(KOMP)Vlcg/Prpf18+ (more )
Structure Level Pattern Image Note
TS28: brown fat Present UC Davis_1880280

Specimen UC Davis_1880281: postnatal adult; Prpf18tm1.1(KOMP)Vlcg/Prpf18+ (more )
Structure Level Pattern Image Note
TS28: olfactory lobe Present UC Davis_1880281

Specimen UC Davis_1880284: postnatal adult; Prpf18tm1.1(KOMP)Vlcg/Prpf18+ (more )
Structure Level Pattern Image Note
TS28: midbrain Present UC Davis_1880284

Specimen UC Davis_1880286: postnatal adult; Prpf18tm1.1(KOMP)Vlcg/Prpf18+ (more )
Structure Level Pattern Image Note
TS28: cerebellum Present UC Davis_1880286

Specimen UC Davis_1880287: postnatal adult; Prpf18tm1.1(KOMP)Vlcg/Prpf18+ (more )
Structure Level Pattern Image Note
TS28: trigeminal nerve Present UC Davis_1880287

Specimen UC Davis_1880288: postnatal adult; Prpf18tm1.1(KOMP)Vlcg/Prpf18+ (more )
Structure Level Pattern Image Note
TS28: bladder Present UC Davis_1880288

Specimen UC Davis_1880289: postnatal adult; Prpf18tm1.1(KOMP)Vlcg/Prpf18+ (more )
Structure Level Pattern Image Note
TS28: testis Present UC Davis_1880289

Specimen UC Davis_1880290: postnatal adult; Prpf18tm1.1(KOMP)Vlcg/Prpf18+ (more )
Structure Level Pattern Image Note
TS28: epididymis Present UC Davis_1880290

Specimen UC Davis_1880291: postnatal adult; Prpf18tm1.1(KOMP)Vlcg/Prpf18+ (more )
Structure Level Pattern Image Note
TS28: epididymis Present UC Davis_1880291

Specimen UC Davis_1880292: postnatal adult; Prpf18tm1.1(KOMP)Vlcg/Prpf18+ (more )
Structure Level Pattern Image Note
TS28: prostate gland Present UC Davis_1880292

Specimen UC Davis_1880293: postnatal adult; Prpf18tm1.1(KOMP)Vlcg/Prpf18+ (more )
Structure Level Pattern Image Note
TS28: penis Present UC Davis_1880293

Specimen UC Davis_1880294: postnatal adult; Prpf18tm1.1(KOMP)Vlcg/Prpf18+ (more )
Structure Level Pattern Image Note
TS28: penis Present UC Davis_1880294

Specimen UC Davis_1880295: postnatal adult; Prpf18tm1.1(KOMP)Vlcg/Prpf18+ (more )
Structure Level Pattern Image Note
TS28: bone marrow Present UC Davis_1880295

Specimen UC Davis_1880296: postnatal adult; Prpf18tm1.1(KOMP)Vlcg/Prpf18+ (more )
Structure Level Pattern Image Note
TS28: ductus deferens Present UC Davis_1880296 vas deferens

Specimen UC Davis_1880299: postnatal adult; Prpf18tm1.1(KOMP)Vlcg/Prpf18+ (more )
Structure Level Pattern Image Note
TS28: seminal vesicle Present UC Davis_1880299 vesicular gland


Contributing Projects:
Mouse Genome Database (MGD), Gene Expression Database (GXD), Mouse Models of Human Cancer database (MMHCdb) (formerly Mouse Tumor Biology (MTB)), Gene Ontology (GO)
Citing These Resources
Funding Information
Warranty Disclaimer, Privacy Notice, Licensing, & Copyright
Send questions and comments to User Support.
last database update
12/30/2025
MGI 6.24
The Jackson Laboratory