About   Help   FAQ
Gene Expression Data
Assay Details
Assay
Reference: J:228563 Koscielny G, et al., The International Mouse Phenotyping Consortium Web Portal, a unified point of access for knockout mice and related phenotyping data. Nucleic Acids Res. 2014 Jan;42(Database issue):D802-9
Assay type: In situ reporter (knock in)
MGI Accession ID: MGI:6691727
Gene symbol: Dram2
Gene name: DNA-damage regulated autophagy modulator 2
Reporter: lacZ
Direct Detection
Results
Specimen UC Davis_1882750: postnatal adult; Dram2tm1b(EUCOMM)Wtsi/Dram2+ (more )
Structure Level Pattern Image Note
TS28: submandibular gland Present UC Davis_1882750

Specimen UC Davis_1882751: postnatal adult; Dram2tm1b(EUCOMM)Wtsi/Dram2+ (more )
Structure Level Pattern Image Note
TS28: sublingual gland Present UC Davis_1882751

Specimen UC Davis_1882752: postnatal adult; Dram2tm1b(EUCOMM)Wtsi/Dram2+ (more )
Structure Level Pattern Image Note
TS28: parotid gland Present UC Davis_1882752

Specimen UC Davis_1882753: postnatal adult; Dram2tm1b(EUCOMM)Wtsi/Dram2+ (more )
Structure Level Pattern Image Note
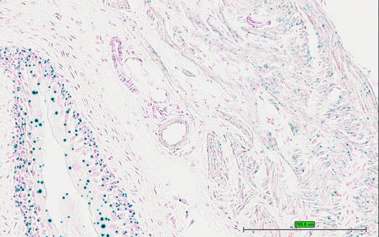
TS28: trachea Present UC Davis_1882753

Specimen UC Davis_1882754: postnatal adult; Dram2tm1b(EUCOMM)Wtsi/Dram2+ (more )
Structure Level Pattern Image Note
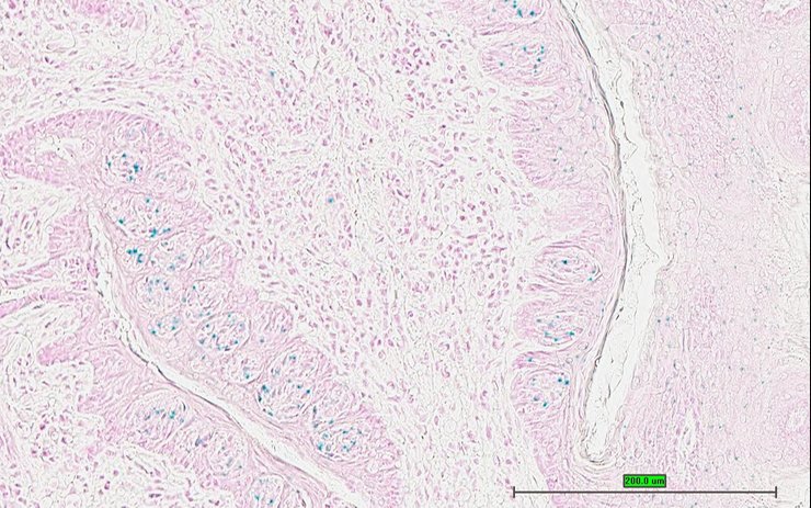
TS28: esophagus Present UC Davis_1882754

Specimen UC Davis_1882755: postnatal adult; Dram2tm1b(EUCOMM)Wtsi/Dram2+ (more )
Structure Level Pattern Image Note
TS28: esophagus Present UC Davis_1882755

Specimen UC Davis_1882756: postnatal adult; Dram2tm1b(EUCOMM)Wtsi/Dram2+ (more )
Structure Level Pattern Image Note
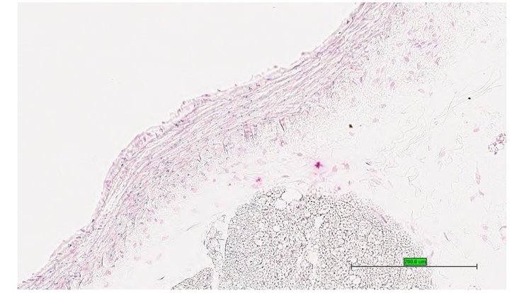
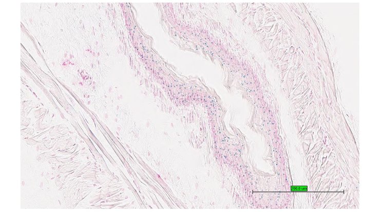
TS28: aorta Present UC Davis_1882756

Specimen UC Davis_1882757: postnatal adult; Dram2tm1b(EUCOMM)Wtsi/Dram2+ (more )
Structure Level Pattern Image Note
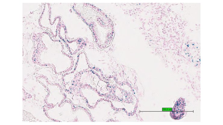
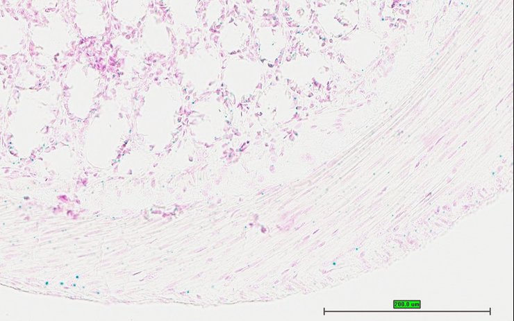
TS28: lung Present UC Davis_1882757

Specimen UC Davis_1882758: postnatal adult; Dram2tm1b(EUCOMM)Wtsi/Dram2+ (more )
Structure Level Pattern Image Note
TS28: lung Present UC Davis_1882758

Specimen UC Davis_1882759: postnatal adult; Dram2tm1b(EUCOMM)Wtsi/Dram2+ (more )
Structure Level Pattern Image Note
TS28: lung Present UC Davis_1882759

Specimen UC Davis_1882762: postnatal adult; Dram2tm1b(EUCOMM)Wtsi/Dram2+ (more )
Structure Level Pattern Image Note
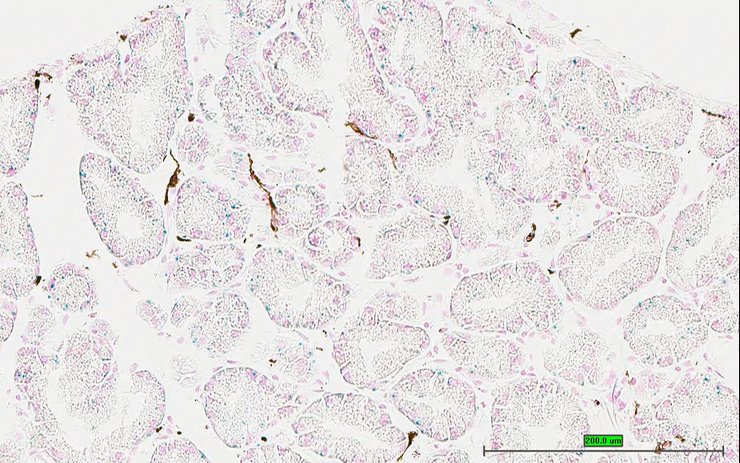
TS28: stomach Present UC Davis_1882762

Specimen UC Davis_1882763: postnatal adult; Dram2tm1b(EUCOMM)Wtsi/Dram2+ (more )
Structure Level Pattern Image Note
TS28: stomach Present UC Davis_1882763

Specimen UC Davis_1882764: postnatal adult; Dram2tm1b(EUCOMM)Wtsi/Dram2+ (more )
Structure Level Pattern Image Note
TS28: colon Present UC Davis_1882764

Specimen UC Davis_1882765: postnatal adult; Dram2tm1b(EUCOMM)Wtsi/Dram2+ (more )
Structure Level Pattern Image Note
TS28: colon Present UC Davis_1882765

Specimen UC Davis_1882766: postnatal adult; Dram2tm1b(EUCOMM)Wtsi/Dram2+ (more )
Structure Level Pattern Image Note
TS28: spleen Present UC Davis_1882766

Specimen UC Davis_1882767: postnatal adult; Dram2tm1b(EUCOMM)Wtsi/Dram2+ (more )
Structure Level Pattern Image Note
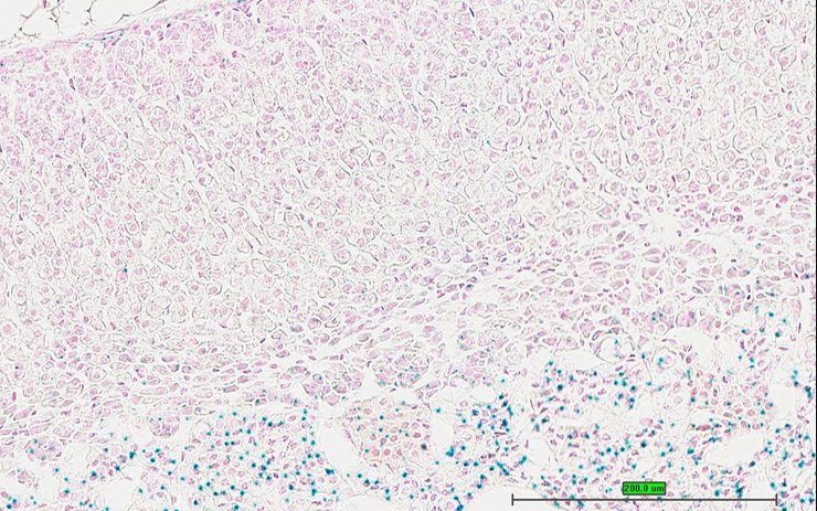
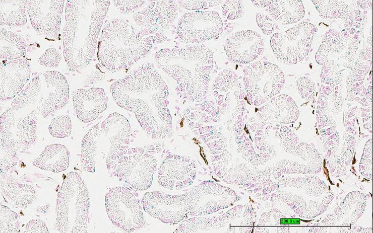
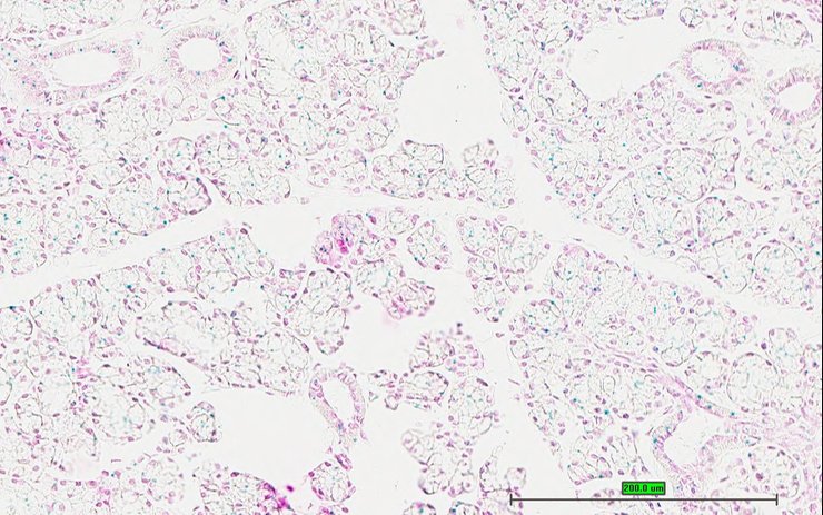
TS28: pancreas Present UC Davis_1882767

Specimen UC Davis_1882768: postnatal adult; Dram2tm1b(EUCOMM)Wtsi/Dram2+ (more )
Structure Level Pattern Image Note
TS28: pancreas Present UC Davis_1882768

Specimen UC Davis_1882769: postnatal adult; Dram2tm1b(EUCOMM)Wtsi/Dram2+ (more )
Structure Level Pattern Image Note
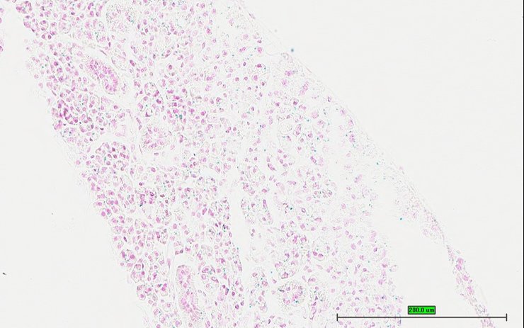
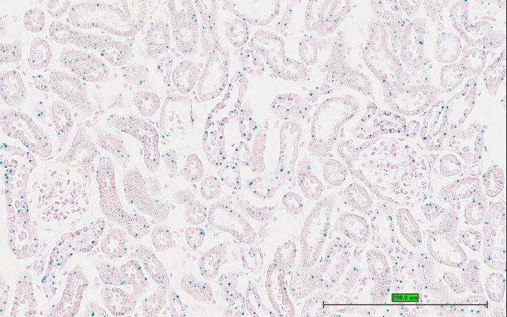
TS28: metanephros Present UC Davis_1882769 kidney

Specimen UC Davis_1882770: postnatal adult; Dram2tm1b(EUCOMM)Wtsi/Dram2+ (more )
Structure Level Pattern Image Note
TS28: metanephros Present UC Davis_1882770 kidney

Specimen UC Davis_1882771: postnatal adult; Dram2tm1b(EUCOMM)Wtsi/Dram2+ (more )
Structure Level Pattern Image Note
TS28: metanephros Present UC Davis_1882771 kidney

Specimen UC Davis_1882772: postnatal adult; Dram2tm1b(EUCOMM)Wtsi/Dram2+ (more )
Structure Level Pattern Image Note
TS28: quadriceps femoris muscle Present UC Davis_1882772

Specimen UC Davis_1882773: postnatal adult; Dram2tm1b(EUCOMM)Wtsi/Dram2+ (more )
Structure Level Pattern Image Note
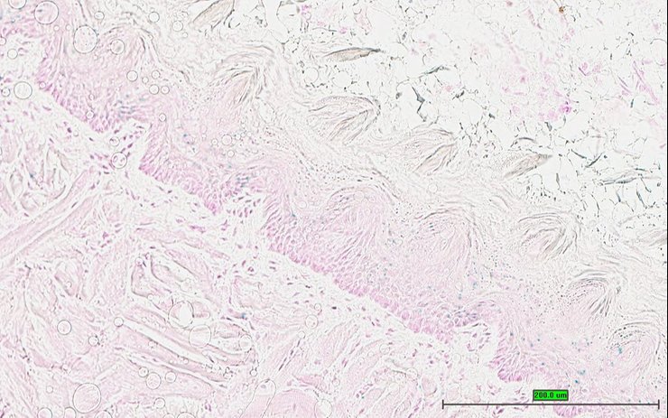
TS28: tongue Present UC Davis_1882773

Specimen UC Davis_1882774: postnatal adult; Dram2tm1b(EUCOMM)Wtsi/Dram2+ (more )
Structure Level Pattern Image Note
TS28: tongue Present UC Davis_1882774

Specimen UC Davis_1882775: postnatal adult; Dram2tm1b(EUCOMM)Wtsi/Dram2+ (more )
Structure Level Pattern Image Note
TS28: adrenal gland Present UC Davis_1882775

Specimen UC Davis_1882776: postnatal adult; Dram2tm1b(EUCOMM)Wtsi/Dram2+ (more )
Structure Level Pattern Image Note
TS28: pituitary gland Present UC Davis_1882776

Specimen UC Davis_1882777: postnatal adult; Dram2tm1b(EUCOMM)Wtsi/Dram2+ (more )
Structure Level Pattern Image Note
TS28: spinal cord Present UC Davis_1882777

Specimen UC Davis_1882778: postnatal adult; Dram2tm1b(EUCOMM)Wtsi/Dram2+ (more )
Structure Level Pattern Image Note
TS28: spinal cord Present UC Davis_1882778

Specimen UC Davis_1882779: postnatal adult; Dram2tm1b(EUCOMM)Wtsi/Dram2+ (more )
Structure Level Pattern Image Note
TS28: eye Present UC Davis_1882779

Specimen UC Davis_1882780: postnatal adult; Dram2tm1b(EUCOMM)Wtsi/Dram2+ (more )
Structure Level Pattern Image Note
TS28: eye Present UC Davis_1882780

Specimen UC Davis_1882782: postnatal adult; Dram2tm1b(EUCOMM)Wtsi/Dram2+ (more )
Structure Level Pattern Image Note
TS28: Harderian gland Present UC Davis_1882782

Specimen UC Davis_1882783: postnatal adult; Dram2tm1b(EUCOMM)Wtsi/Dram2+ (more )
Structure Level Pattern Image Note
TS28: Harderian gland Present UC Davis_1882783

Specimen UC Davis_1882784: postnatal adult; Dram2tm1b(EUCOMM)Wtsi/Dram2+ (more )
Structure Level Pattern Image Note
TS28: skin Present UC Davis_1882784

Specimen UC Davis_1882785: postnatal adult; Dram2tm1b(EUCOMM)Wtsi/Dram2+ (more )
Structure Level Pattern Image Note
TS28: olfactory lobe Present UC Davis_1882785

Specimen UC Davis_1882788: postnatal adult; Dram2tm1b(EUCOMM)Wtsi/Dram2+ (more )
Structure Level Pattern Image Note
TS28: midbrain Present UC Davis_1882788

Specimen UC Davis_1882790: postnatal adult; Dram2tm1b(EUCOMM)Wtsi/Dram2+ (more )
Structure Level Pattern Image Note
TS28: cerebellum Present UC Davis_1882790

Specimen UC Davis_1882791: postnatal adult; Dram2tm1b(EUCOMM)Wtsi/Dram2+ (more )
Structure Level Pattern Image Note
TS28: trigeminal nerve Present UC Davis_1882791

Specimen UC Davis_1882792: postnatal adult; Dram2tm1b(EUCOMM)Wtsi/Dram2+ (more )
Structure Level Pattern Image Note
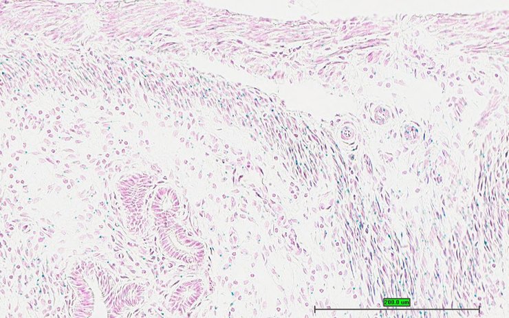
TS28: ovary Present UC Davis_1882792

Specimen UC Davis_1882793: postnatal adult; Dram2tm1b(EUCOMM)Wtsi/Dram2+ (more )
Structure Level Pattern Image Note
TS28: oviduct Present UC Davis_1882793

Specimen UC Davis_1882794: postnatal adult; Dram2tm1b(EUCOMM)Wtsi/Dram2+ (more )
Structure Level Pattern Image Note
TS28: uterus Present UC Davis_1882794

Specimen UC Davis_1882795: postnatal adult; Dram2tm1b(EUCOMM)Wtsi/Dram2+ (more )
Structure Level Pattern Image Note
TS28: uterus Present UC Davis_1882795

Specimen UC Davis_1882796: postnatal adult; Dram2tm1b(EUCOMM)Wtsi/Dram2+ (more )
Structure Level Pattern Image Note
TS28: vagina Present UC Davis_1882796

Specimen UC Davis_1882797: postnatal adult; Dram2tm1b(EUCOMM)Wtsi/Dram2+ (more )
Structure Level Pattern Image Note
TS28: bladder Present UC Davis_1882797

Specimen UC Davis_1882798: postnatal adult; Dram2tm1b(EUCOMM)Wtsi/Dram2+ (more )
Structure Level Pattern Image Note
TS28: bladder Present UC Davis_1882798

Specimen UC Davis_1882800: postnatal adult; Dram2tm1b(EUCOMM)Wtsi/Dram2+ (more )
Structure Level Pattern Image Note
TS28: mammary gland Present UC Davis_1882800

Specimen UC Davis_1882801: postnatal adult; Dram2tm1b(EUCOMM)Wtsi/Dram2+ (more )
Structure Level Pattern Image Note
TS28: mammary gland Present UC Davis_1882801

Specimen UC Davis_1882715: postnatal adult; Dram2tm1b(EUCOMM)Wtsi/Dram2+ (more )
Structure Level Pattern Image Note
TS28: sublingual gland Present UC Davis_1882715

Specimen UC Davis_1882716: postnatal adult; Dram2tm1b(EUCOMM)Wtsi/Dram2+ (more )
Structure Level Pattern Image Note
TS28: sublingual gland Present UC Davis_1882716

Specimen UC Davis_1882717: postnatal adult; Dram2tm1b(EUCOMM)Wtsi/Dram2+ (more )
Structure Level Pattern Image Note
TS28: trachea Present UC Davis_1882717

Specimen UC Davis_1882718: postnatal adult; Dram2tm1b(EUCOMM)Wtsi/Dram2+ (more )
Structure Level Pattern Image Note
TS28: trachea Present UC Davis_1882718

Specimen UC Davis_1882719: postnatal adult; Dram2tm1b(EUCOMM)Wtsi/Dram2+ (more )
Structure Level Pattern Image Note
TS28: esophagus Present UC Davis_1882719

Specimen UC Davis_1882720: postnatal adult; Dram2tm1b(EUCOMM)Wtsi/Dram2+ (more )
Structure Level Pattern Image Note
TS28: esophagus Present UC Davis_1882720

Specimen UC Davis_1882722: postnatal adult; Dram2tm1b(EUCOMM)Wtsi/Dram2+ (more )
Structure Level Pattern Image Note
TS28: aorta Present UC Davis_1882722

Specimen UC Davis_1882723: postnatal adult; Dram2tm1b(EUCOMM)Wtsi/Dram2+ (more )
Structure Level Pattern Image Note
TS28: lung Present UC Davis_1882723

Specimen UC Davis_1882724: postnatal adult; Dram2tm1b(EUCOMM)Wtsi/Dram2+ (more )
Structure Level Pattern Image Note
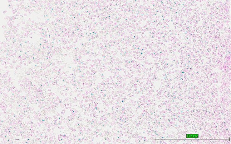
TS28: thymus Present UC Davis_1882724

Specimen UC Davis_1882725: postnatal adult; Dram2tm1b(EUCOMM)Wtsi/Dram2+ (more )
Structure Level Pattern Image Note
TS28: thymus Present UC Davis_1882725

Specimen UC Davis_1882729: postnatal adult; Dram2tm1b(EUCOMM)Wtsi/Dram2+ (more )
Structure Level Pattern Image Note
TS28: stomach Present UC Davis_1882729

Specimen UC Davis_1882730: postnatal adult; Dram2tm1b(EUCOMM)Wtsi/Dram2+ (more )
Structure Level Pattern Image Note
TS28: stomach Present UC Davis_1882730

Specimen UC Davis_1882731: postnatal adult; Dram2tm1b(EUCOMM)Wtsi/Dram2+ (more )
Structure Level Pattern Image Note
TS28: ileum Present UC Davis_1882731

Specimen UC Davis_1882732: postnatal adult; Dram2tm1b(EUCOMM)Wtsi/Dram2+ (more )
Structure Level Pattern Image Note
TS28: colon Present UC Davis_1882732

Specimen UC Davis_1882733: postnatal adult; Dram2tm1b(EUCOMM)Wtsi/Dram2+ (more )
Structure Level Pattern Image Note
TS28: metanephros Present UC Davis_1882733 kidney

Specimen UC Davis_1882734: postnatal adult; Dram2tm1b(EUCOMM)Wtsi/Dram2+ (more )
Structure Level Pattern Image Note
TS28: metanephros Present UC Davis_1882734 kidney

Specimen UC Davis_1882735: postnatal adult; Dram2tm1b(EUCOMM)Wtsi/Dram2+ (more )
Structure Level Pattern Image Note
TS28: metanephros Present UC Davis_1882735 kidney

Specimen UC Davis_1882736: postnatal adult; Dram2tm1b(EUCOMM)Wtsi/Dram2+ (more )
Structure Level Pattern Image Note
TS28: metanephros Present UC Davis_1882736 kidney

Specimen UC Davis_1882737: postnatal adult; Dram2tm1b(EUCOMM)Wtsi/Dram2+ (more )
Structure Level Pattern Image Note
TS28: spinal cord Present UC Davis_1882737

Specimen UC Davis_1882738: postnatal adult; Dram2tm1b(EUCOMM)Wtsi/Dram2+ (more )
Structure Level Pattern Image Note
TS28: spinal cord Present UC Davis_1882738

Specimen UC Davis_1882739: postnatal adult; Dram2tm1b(EUCOMM)Wtsi/Dram2+ (more )
Structure Level Pattern Image Note
TS28: olfactory lobe Present UC Davis_1882739

Specimen UC Davis_1882742: postnatal adult; Dram2tm1b(EUCOMM)Wtsi/Dram2+ (more )
Structure Level Pattern Image Note
TS28: midbrain Present UC Davis_1882742

Specimen UC Davis_1882744: postnatal adult; Dram2tm1b(EUCOMM)Wtsi/Dram2+ (more )
Structure Level Pattern Image Note
TS28: cerebellum Present UC Davis_1882744

Specimen UC Davis_1882745: postnatal adult; Dram2tm1b(EUCOMM)Wtsi/Dram2+ (more )
Structure Level Pattern Image Note
TS28: bladder Present UC Davis_1882745

Specimen UC Davis_1882746: postnatal adult; Dram2tm1b(EUCOMM)Wtsi/Dram2+ (more )
Structure Level Pattern Image Note
TS28: testis Present UC Davis_1882746

Specimen UC Davis_1882747: postnatal adult; Dram2tm1b(EUCOMM)Wtsi/Dram2+ (more )
Structure Level Pattern Image Note
TS28: epididymis Present UC Davis_1882747

Specimen UC Davis_1882748: postnatal adult; Dram2tm1b(EUCOMM)Wtsi/Dram2+ (more )
Structure Level Pattern Image Note
TS28: prostate gland Present UC Davis_1882748

Specimen UC Davis_1882749: postnatal adult; Dram2tm1b(EUCOMM)Wtsi/Dram2+ (more )
Structure Level Pattern Image Note
TS28: penis Present UC Davis_1882749


Contributing Projects:
Mouse Genome Database (MGD), Gene Expression Database (GXD), Mouse Models of Human Cancer database (MMHCdb) (formerly Mouse Tumor Biology (MTB)), Gene Ontology (GO)
Citing These Resources
Funding Information
Warranty Disclaimer, Privacy Notice, Licensing, & Copyright
Send questions and comments to User Support.
last database update
12/30/2025
MGI 6.24
The Jackson Laboratory