About   Help   FAQ
Gene Expression Data
Assay Details
Assay
Reference: J:228563 Koscielny G, et al., The International Mouse Phenotyping Consortium Web Portal, a unified point of access for knockout mice and related phenotyping data. Nucleic Acids Res. 2014 Jan;42(Database issue):D802-9
Assay type: In situ reporter (knock in)
MGI Accession ID: MGI:6691719
Gene symbol: Higd2a
Gene name: HIG1 domain family, member 2A
Reporter: lacZ
Direct Detection
Results
Specimen UC Davis_1887286: postnatal adult; Higd2atm1.1(KOMP)Vlcg/Higd2a+ (more )
Structure Level Pattern Image Note
TS28: submandibular gland Present UC Davis_1887286

Specimen UC Davis_1887287: postnatal adult; Higd2atm1.1(KOMP)Vlcg/Higd2a+ (more )
Structure Level Pattern Image Note
TS28: sublingual gland Present UC Davis_1887287

Specimen UC Davis_1887288: postnatal adult; Higd2atm1.1(KOMP)Vlcg/Higd2a+ (more )
Structure Level Pattern Image Note
TS28: sublingual gland Present UC Davis_1887288

Specimen UC Davis_1887289: postnatal adult; Higd2atm1.1(KOMP)Vlcg/Higd2a+ (more )
Structure Level Pattern Image Note
TS28: parotid gland Present UC Davis_1887289

Specimen UC Davis_1887290: postnatal adult; Higd2atm1.1(KOMP)Vlcg/Higd2a+ (more )
Structure Level Pattern Image Note
TS28: trachea Present UC Davis_1887290

Specimen UC Davis_1887291: postnatal adult; Higd2atm1.1(KOMP)Vlcg/Higd2a+ (more )
Structure Level Pattern Image Note
TS28: trachea Present UC Davis_1887291

Specimen UC Davis_1887292: postnatal adult; Higd2atm1.1(KOMP)Vlcg/Higd2a+ (more )
Structure Level Pattern Image Note
TS28: trachea Present UC Davis_1887292

Specimen UC Davis_1887293: postnatal adult; Higd2atm1.1(KOMP)Vlcg/Higd2a+ (more )
Structure Level Pattern Image Note
TS28: trachea Present UC Davis_1887293

Specimen UC Davis_1887294: postnatal adult; Higd2atm1.1(KOMP)Vlcg/Higd2a+ (more )
Structure Level Pattern Image Note
TS28: esophagus Present UC Davis_1887294

Specimen UC Davis_1887295: postnatal adult; Higd2atm1.1(KOMP)Vlcg/Higd2a+ (more )
Structure Level Pattern Image Note
TS28: esophagus Present UC Davis_1887295

Specimen UC Davis_1887296: postnatal adult; Higd2atm1.1(KOMP)Vlcg/Higd2a+ (more )
Structure Level Pattern Image Note
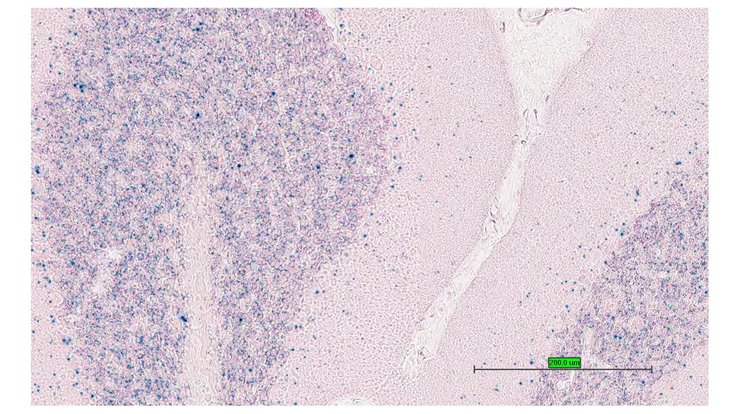
TS28: thymus Present UC Davis_1887296

Specimen UC Davis_1887297: postnatal adult; Higd2atm1.1(KOMP)Vlcg/Higd2a+ (more )
Structure Level Pattern Image Note
TS28: thymus Present UC Davis_1887297

Specimen UC Davis_1887300: postnatal adult; Higd2atm1.1(KOMP)Vlcg/Higd2a+ (more )
Structure Level Pattern Image Note
TS28: stomach Present UC Davis_1887300

Specimen UC Davis_1887301: postnatal adult; Higd2atm1.1(KOMP)Vlcg/Higd2a+ (more )
Structure Level Pattern Image Note
TS28: stomach Present UC Davis_1887301

Specimen UC Davis_1887302: postnatal adult; Higd2atm1.1(KOMP)Vlcg/Higd2a+ (more )
Structure Level Pattern Image Note
TS28: stomach Present UC Davis_1887302

Specimen UC Davis_1887303: postnatal adult; Higd2atm1.1(KOMP)Vlcg/Higd2a+ (more )
Structure Level Pattern Image Note
TS28: duodenum Present UC Davis_1887303

Specimen UC Davis_1887304: postnatal adult; Higd2atm1.1(KOMP)Vlcg/Higd2a+ (more )
Structure Level Pattern Image Note
TS28: jejunum Present UC Davis_1887304

Specimen UC Davis_1887305: postnatal adult; Higd2atm1.1(KOMP)Vlcg/Higd2a+ (more )
Structure Level Pattern Image Note
TS28: jejunum Present UC Davis_1887305

Specimen UC Davis_1887306: postnatal adult; Higd2atm1.1(KOMP)Vlcg/Higd2a+ (more )
Structure Level Pattern Image Note
TS28: ileum Present UC Davis_1887306

Specimen UC Davis_1887307: postnatal adult; Higd2atm1.1(KOMP)Vlcg/Higd2a+ (more )
Structure Level Pattern Image Note
TS28: ileum Present UC Davis_1887307

Specimen UC Davis_1887308: postnatal adult; Higd2atm1.1(KOMP)Vlcg/Higd2a+ (more )
Structure Level Pattern Image Note
TS28: colon Present UC Davis_1887308

Specimen UC Davis_1887309: postnatal adult; Higd2atm1.1(KOMP)Vlcg/Higd2a+ (more )
Structure Level Pattern Image Note
TS28: colon Present UC Davis_1887309

Specimen UC Davis_1887310: postnatal adult; Higd2atm1.1(KOMP)Vlcg/Higd2a+ (more )
Structure Level Pattern Image Note
TS28: colon Present UC Davis_1887310

Specimen UC Davis_1887311: postnatal adult; Higd2atm1.1(KOMP)Vlcg/Higd2a+ (more )
Structure Level Pattern Image Note
TS28: colon Present UC Davis_1887311

Specimen UC Davis_1887312: postnatal adult; Higd2atm1.1(KOMP)Vlcg/Higd2a+ (more )
Structure Level Pattern Image Note
TS28: cecum Present UC Davis_1887312

Specimen UC Davis_1887313: postnatal adult; Higd2atm1.1(KOMP)Vlcg/Higd2a+ (more )
Structure Level Pattern Image Note
TS28: cecum Present UC Davis_1887313

Specimen UC Davis_1887314: postnatal adult; Higd2atm1.1(KOMP)Vlcg/Higd2a+ (more )
Structure Level Pattern Image Note
TS28: cecum Present UC Davis_1887314

Specimen UC Davis_1887315: postnatal adult; Higd2atm1.1(KOMP)Vlcg/Higd2a+ (more )
Structure Level Pattern Image Note
TS28: pancreas Present UC Davis_1887315

Specimen UC Davis_1887316: postnatal adult; Higd2atm1.1(KOMP)Vlcg/Higd2a+ (more )
Structure Level Pattern Image Note
TS28: pancreas Present UC Davis_1887316

Specimen UC Davis_1887317: postnatal adult; Higd2atm1.1(KOMP)Vlcg/Higd2a+ (more )
Structure Level Pattern Image Note
TS28: liver Present UC Davis_1887317

Specimen UC Davis_1887318: postnatal adult; Higd2atm1.1(KOMP)Vlcg/Higd2a+ (more )
Structure Level Pattern Image Note
TS28: liver Present UC Davis_1887318

Specimen UC Davis_1887319: postnatal adult; Higd2atm1.1(KOMP)Vlcg/Higd2a+ (more )
Structure Level Pattern Image Note
TS28: metanephros Present UC Davis_1887319 kidney

Specimen UC Davis_1887320: postnatal adult; Higd2atm1.1(KOMP)Vlcg/Higd2a+ (more )
Structure Level Pattern Image Note
TS28: metanephros Present UC Davis_1887320 kidney

Specimen UC Davis_1887321: postnatal adult; Higd2atm1.1(KOMP)Vlcg/Higd2a+ (more )
Structure Level Pattern Image Note
TS28: metanephros Present UC Davis_1887321 kidney

Specimen UC Davis_1887322: postnatal adult; Higd2atm1.1(KOMP)Vlcg/Higd2a+ (more )
Structure Level Pattern Image Note
TS28: metanephros Present UC Davis_1887322 kidney

Specimen UC Davis_1887323: postnatal adult; Higd2atm1.1(KOMP)Vlcg/Higd2a+ (more )
Structure Level Pattern Image Note
TS28: quadriceps femoris muscle Present UC Davis_1887323

Specimen UC Davis_1887324: postnatal adult; Higd2atm1.1(KOMP)Vlcg/Higd2a+ (more )
Structure Level Pattern Image Note
TS28: quadriceps femoris muscle Present UC Davis_1887324

Specimen UC Davis_1887325: postnatal adult; Higd2atm1.1(KOMP)Vlcg/Higd2a+ (more )
Structure Level Pattern Image Note
TS28: tongue Present UC Davis_1887325

Specimen UC Davis_1887326: postnatal adult; Higd2atm1.1(KOMP)Vlcg/Higd2a+ (more )
Structure Level Pattern Image Note
TS28: tongue Present UC Davis_1887326

Specimen UC Davis_1887327: postnatal adult; Higd2atm1.1(KOMP)Vlcg/Higd2a+ (more )
Structure Level Pattern Image Note
TS28: tongue Present UC Davis_1887327

Specimen UC Davis_1887328: postnatal adult; Higd2atm1.1(KOMP)Vlcg/Higd2a+ (more )
Structure Level Pattern Image Note
TS28: tongue Present UC Davis_1887328

Specimen UC Davis_1887329: postnatal adult; Higd2atm1.1(KOMP)Vlcg/Higd2a+ (more )
Structure Level Pattern Image Note
TS28: diaphragm Present UC Davis_1887329

Specimen UC Davis_1887330: postnatal adult; Higd2atm1.1(KOMP)Vlcg/Higd2a+ (more )
Structure Level Pattern Image Note
TS28: diaphragm Present UC Davis_1887330

Specimen UC Davis_1887331: postnatal adult; Higd2atm1.1(KOMP)Vlcg/Higd2a+ (more )
Structure Level Pattern Image Note
TS28: adrenal gland Present UC Davis_1887331

Specimen UC Davis_1887332: postnatal adult; Higd2atm1.1(KOMP)Vlcg/Higd2a+ (more )
Structure Level Pattern Image Note
TS28: adrenal gland Present UC Davis_1887332

Specimen UC Davis_1887333: postnatal adult; Higd2atm1.1(KOMP)Vlcg/Higd2a+ (more )
Structure Level Pattern Image Note
TS28: pituitary gland Present UC Davis_1887333

Specimen UC Davis_1887334: postnatal adult; Higd2atm1.1(KOMP)Vlcg/Higd2a+ (more )
Structure Level Pattern Image Note
TS28: spinal cord Present UC Davis_1887334

Specimen UC Davis_1887335: postnatal adult; Higd2atm1.1(KOMP)Vlcg/Higd2a+ (more )
Structure Level Pattern Image Note
TS28: eye Present UC Davis_1887335

Specimen UC Davis_1887336: postnatal adult; Higd2atm1.1(KOMP)Vlcg/Higd2a+ (more )
Structure Level Pattern Image Note
TS28: eye Present UC Davis_1887336

Specimen UC Davis_1887337: postnatal adult; Higd2atm1.1(KOMP)Vlcg/Higd2a+ (more )
Structure Level Pattern Image Note
TS28: Harderian gland Present UC Davis_1887337

Specimen UC Davis_1887338: postnatal adult; Higd2atm1.1(KOMP)Vlcg/Higd2a+ (more )
Structure Level Pattern Image Note
TS28: Harderian gland Present UC Davis_1887338

Specimen UC Davis_1887339: postnatal adult; Higd2atm1.1(KOMP)Vlcg/Higd2a+ (more )
Structure Level Pattern Image Note
TS28: skin Present UC Davis_1887339

Specimen UC Davis_1887340: postnatal adult; Higd2atm1.1(KOMP)Vlcg/Higd2a+ (more )
Structure Level Pattern Image Note
TS28: skin Present UC Davis_1887340

Specimen UC Davis_1887341: postnatal adult; Higd2atm1.1(KOMP)Vlcg/Higd2a+ (more )
Structure Level Pattern Image Note
TS28: skin Present UC Davis_1887341

Specimen UC Davis_1887342: postnatal adult; Higd2atm1.1(KOMP)Vlcg/Higd2a+ (more )
Structure Level Pattern Image Note
TS28: brown fat Present UC Davis_1887342

Specimen UC Davis_1887343: postnatal adult; Higd2atm1.1(KOMP)Vlcg/Higd2a+ (more )
Structure Level Pattern Image Note
TS28: olfactory lobe Present UC Davis_1887343

Specimen UC Davis_1887344: postnatal adult; Higd2atm1.1(KOMP)Vlcg/Higd2a+ (more )
Structure Level Pattern Image Note
TS28: olfactory lobe Present UC Davis_1887344

Specimen UC Davis_1887347: postnatal adult; Higd2atm1.1(KOMP)Vlcg/Higd2a+ (more )
Structure Level Pattern Image Note
TS28: midbrain Present UC Davis_1887347

Specimen UC Davis_1887348: postnatal adult; Higd2atm1.1(KOMP)Vlcg/Higd2a+ (more )
Structure Level Pattern Image Note
TS28: midbrain Present UC Davis_1887348

Specimen UC Davis_1887350: postnatal adult; Higd2atm1.1(KOMP)Vlcg/Higd2a+ (more )
Structure Level Pattern Image Note
TS28: cerebellum Present UC Davis_1887350

Specimen UC Davis_1887351: postnatal adult; Higd2atm1.1(KOMP)Vlcg/Higd2a+ (more )
Structure Level Pattern Image Note
TS28: cerebellum Present UC Davis_1887351

Specimen UC Davis_1887352: postnatal adult; Higd2atm1.1(KOMP)Vlcg/Higd2a+ (more )
Structure Level Pattern Image Note
TS28: cerebellum Present UC Davis_1887352

Specimen UC Davis_1887353: postnatal adult; Higd2atm1.1(KOMP)Vlcg/Higd2a+ (more )
Structure Level Pattern Image Note
TS28: trigeminal nerve Present UC Davis_1887353

Specimen UC Davis_1887354: postnatal adult; Higd2atm1.1(KOMP)Vlcg/Higd2a+ (more )
Structure Level Pattern Image Note
TS28: trigeminal nerve Present UC Davis_1887354

Specimen UC Davis_1887355: postnatal adult; Higd2atm1.1(KOMP)Vlcg/Higd2a+ (more )
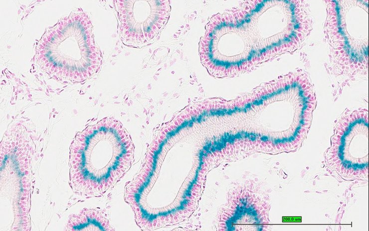
Structure Level Pattern Image Note
TS28: oviduct Present UC Davis_1887355

Specimen UC Davis_1887356: postnatal adult; Higd2atm1.1(KOMP)Vlcg/Higd2a+ (more )
Structure Level Pattern Image Note
TS28: oviduct Present UC Davis_1887356

Specimen UC Davis_1887357: postnatal adult; Higd2atm1.1(KOMP)Vlcg/Higd2a+ (more )
Structure Level Pattern Image Note
TS28: uterus Present UC Davis_1887357

Specimen UC Davis_1887358: postnatal adult; Higd2atm1.1(KOMP)Vlcg/Higd2a+ (more )
Structure Level Pattern Image Note
TS28: vagina Present UC Davis_1887358

Specimen UC Davis_1887359: postnatal adult; Higd2atm1.1(KOMP)Vlcg/Higd2a+ (more )
Structure Level Pattern Image Note
TS28: vagina Present UC Davis_1887359

Specimen UC Davis_1887360: postnatal adult; Higd2atm1.1(KOMP)Vlcg/Higd2a+ (more )
Structure Level Pattern Image Note
TS28: bladder Present UC Davis_1887360

Specimen UC Davis_1887361: postnatal adult; Higd2atm1.1(KOMP)Vlcg/Higd2a+ (more )
Structure Level Pattern Image Note
TS28: bladder Present UC Davis_1887361

Specimen UC Davis_1887282: postnatal adult; Higd2atm1.1(KOMP)Vlcg/Higd2a+ (more )
Structure Level Pattern Image Note
TS28: ileum Present UC Davis_1887282

Specimen UC Davis_1887283: postnatal adult; Higd2atm1.1(KOMP)Vlcg/Higd2a+ (more )
Structure Level Pattern Image Note
TS28: epididymis Present UC Davis_1887283

Specimen UC Davis_1887284: postnatal adult; Higd2atm1.1(KOMP)Vlcg/Higd2a+ (more )
Structure Level Pattern Image Note
TS28: prostate gland Present UC Davis_1887284

Specimen UC Davis_1887285: postnatal adult; Higd2atm1.1(KOMP)Vlcg/Higd2a+ (more )
Structure Level Pattern Image Note
TS28: ductus deferens Present UC Davis_1887285 vas deferens


Contributing Projects:
Mouse Genome Database (MGD), Gene Expression Database (GXD), Mouse Models of Human Cancer database (MMHCdb) (formerly Mouse Tumor Biology (MTB)), Gene Ontology (GO)
Citing These Resources
Funding Information
Warranty Disclaimer, Privacy Notice, Licensing, & Copyright
Send questions and comments to User Support.
last database update
01/20/2026
MGI 6.24
The Jackson Laboratory