About   Help   FAQ
Gene Expression Data
Assay Details
Assay
Reference: J:228563 Koscielny G, et al., The International Mouse Phenotyping Consortium Web Portal, a unified point of access for knockout mice and related phenotyping data. Nucleic Acids Res. 2014 Jan;42(Database issue):D802-9
Assay type: In situ reporter (knock in)
MGI Accession ID: MGI:6691713
Gene symbol: Ssbp2
Gene name: single-stranded DNA binding protein 2
Reporter: lacZ
Direct Detection
Results
Specimen UC Davis_1871441: postnatal adult; Ssbp2tm1b(KOMP)Wtsi/Ssbp2+ (more )
Structure Level Pattern Image Note
TS28: submandibular gland Present UC Davis_1871441

Specimen UC Davis_1871442: postnatal adult; Ssbp2tm1b(KOMP)Wtsi/Ssbp2+ (more )
Structure Level Pattern Image Note
TS28: sublingual gland Present UC Davis_1871442

Specimen UC Davis_1871443: postnatal adult; Ssbp2tm1b(KOMP)Wtsi/Ssbp2+ (more )
Structure Level Pattern Image Note
TS28: parotid gland Present UC Davis_1871443

Specimen UC Davis_1871444: postnatal adult; Ssbp2tm1b(KOMP)Wtsi/Ssbp2+ (more )
Structure Level Pattern Image Note
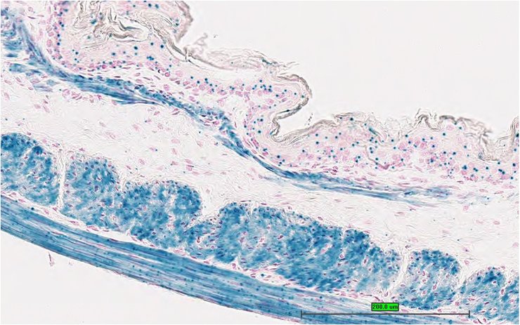
TS28: esophagus Present UC Davis_1871444

Specimen UC Davis_1871445: postnatal adult; Ssbp2tm1b(KOMP)Wtsi/Ssbp2+ (more )
Structure Level Pattern Image Note
TS28: thyroid gland Present UC Davis_1871445

Specimen UC Davis_1871446: postnatal adult; Ssbp2tm1b(KOMP)Wtsi/Ssbp2+ (more )
Structure Level Pattern Image Note
TS28: parathyroid gland Present UC Davis_1871446

Specimen UC Davis_1871447: postnatal adult; Ssbp2tm1b(KOMP)Wtsi/Ssbp2+ (more )
Structure Level Pattern Image Note
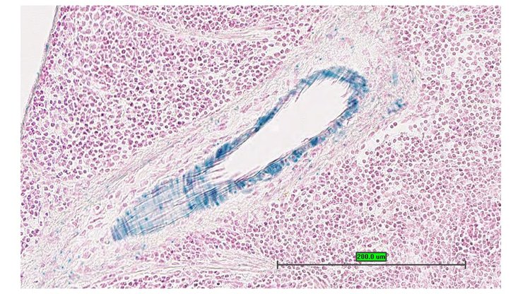
TS28: aorta Present UC Davis_1871447

Specimen UC Davis_1871448: postnatal adult; Ssbp2tm1b(KOMP)Wtsi/Ssbp2+ (more )
Structure Level Pattern Image Note
TS28: aorta Present UC Davis_1871448

Specimen UC Davis_1871449: postnatal adult; Ssbp2tm1b(KOMP)Wtsi/Ssbp2+ (more )
Structure Level Pattern Image Note
TS28: lung Present UC Davis_1871449

Specimen UC Davis_1871450: postnatal adult; Ssbp2tm1b(KOMP)Wtsi/Ssbp2+ (more )
Structure Level Pattern Image Note
TS28: lung Present UC Davis_1871450

Specimen UC Davis_1871451: postnatal adult; Ssbp2tm1b(KOMP)Wtsi/Ssbp2+ (more )
Structure Level Pattern Image Note
TS28: lung Present UC Davis_1871451

Specimen UC Davis_1871452: postnatal adult; Ssbp2tm1b(KOMP)Wtsi/Ssbp2+ (more )
Structure Level Pattern Image Note
TS28: thymus Present UC Davis_1871452

Specimen UC Davis_1871456: postnatal adult; Ssbp2tm1b(KOMP)Wtsi/Ssbp2+ (more )
Structure Level Pattern Image Note
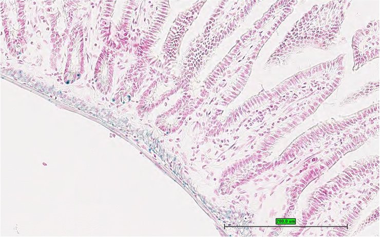
TS28: stomach Present UC Davis_1871456

Specimen UC Davis_1871457: postnatal adult; Ssbp2tm1b(KOMP)Wtsi/Ssbp2+ (more )
Structure Level Pattern Image Note
TS28: stomach Present UC Davis_1871457

Specimen UC Davis_1871458: postnatal adult; Ssbp2tm1b(KOMP)Wtsi/Ssbp2+ (more )
Structure Level Pattern Image Note
TS28: stomach Present UC Davis_1871458

Specimen UC Davis_1871459: postnatal adult; Ssbp2tm1b(KOMP)Wtsi/Ssbp2+ (more )
Structure Level Pattern Image Note
TS28: stomach Present UC Davis_1871459

Specimen UC Davis_1871460: postnatal adult; Ssbp2tm1b(KOMP)Wtsi/Ssbp2+ (more )
Structure Level Pattern Image Note
TS28: duodenum Present UC Davis_1871460

Specimen UC Davis_1871461: postnatal adult; Ssbp2tm1b(KOMP)Wtsi/Ssbp2+ (more )
Structure Level Pattern Image Note
TS28: jejunum Present UC Davis_1871461

Specimen UC Davis_1871462: postnatal adult; Ssbp2tm1b(KOMP)Wtsi/Ssbp2+ (more )
Structure Level Pattern Image Note
TS28: jejunum Present UC Davis_1871462

Specimen UC Davis_1871463: postnatal adult; Ssbp2tm1b(KOMP)Wtsi/Ssbp2+ (more )
Structure Level Pattern Image Note
TS28: ileum Present UC Davis_1871463

Specimen UC Davis_1871464: postnatal adult; Ssbp2tm1b(KOMP)Wtsi/Ssbp2+ (more )
Structure Level Pattern Image Note
TS28: ileum Present UC Davis_1871464

Specimen UC Davis_1871465: postnatal adult; Ssbp2tm1b(KOMP)Wtsi/Ssbp2+ (more )
Structure Level Pattern Image Note
TS28: colon Present UC Davis_1871465

Specimen UC Davis_1871466: postnatal adult; Ssbp2tm1b(KOMP)Wtsi/Ssbp2+ (more )
Structure Level Pattern Image Note
TS28: colon Present UC Davis_1871466

Specimen UC Davis_1871467: postnatal adult; Ssbp2tm1b(KOMP)Wtsi/Ssbp2+ (more )
Structure Level Pattern Image Note
TS28: cecum Present UC Davis_1871467

Specimen UC Davis_1871468: postnatal adult; Ssbp2tm1b(KOMP)Wtsi/Ssbp2+ (more )
Structure Level Pattern Image Note
TS28: spleen Present UC Davis_1871468

Specimen UC Davis_1871469: postnatal adult; Ssbp2tm1b(KOMP)Wtsi/Ssbp2+ (more )
Structure Level Pattern Image Note
TS28: spleen Present UC Davis_1871469

Specimen UC Davis_1871470: postnatal adult; Ssbp2tm1b(KOMP)Wtsi/Ssbp2+ (more )
Structure Level Pattern Image Note
TS28: pancreas Present UC Davis_1871470

Specimen UC Davis_1871471: postnatal adult; Ssbp2tm1b(KOMP)Wtsi/Ssbp2+ (more )
Structure Level Pattern Image Note
TS28: metanephros Present UC Davis_1871471 kidney

Specimen UC Davis_1871472: postnatal adult; Ssbp2tm1b(KOMP)Wtsi/Ssbp2+ (more )
Structure Level Pattern Image Note
TS28: metanephros Present UC Davis_1871472 kidney

Specimen UC Davis_1871473: postnatal adult; Ssbp2tm1b(KOMP)Wtsi/Ssbp2+ (more )
Structure Level Pattern Image Note
TS28: metanephros Present UC Davis_1871473 kidney

Specimen UC Davis_1871474: postnatal adult; Ssbp2tm1b(KOMP)Wtsi/Ssbp2+ (more )
Structure Level Pattern Image Note
TS28: metanephros Present UC Davis_1871474 kidney

Specimen UC Davis_1871475: postnatal adult; Ssbp2tm1b(KOMP)Wtsi/Ssbp2+ (more )
Structure Level Pattern Image Note
TS28: quadriceps femoris muscle Present UC Davis_1871475

Specimen UC Davis_1871476: postnatal adult; Ssbp2tm1b(KOMP)Wtsi/Ssbp2+ (more )
Structure Level Pattern Image Note
TS28: tongue Present UC Davis_1871476

Specimen UC Davis_1871477: postnatal adult; Ssbp2tm1b(KOMP)Wtsi/Ssbp2+ (more )
Structure Level Pattern Image Note
TS28: tongue Present UC Davis_1871477

Specimen UC Davis_1871478: postnatal adult; Ssbp2tm1b(KOMP)Wtsi/Ssbp2+ (more )
Structure Level Pattern Image Note
TS28: diaphragm Present UC Davis_1871478

Specimen UC Davis_1871479: postnatal adult; Ssbp2tm1b(KOMP)Wtsi/Ssbp2+ (more )
Structure Level Pattern Image Note
TS28: adrenal gland Present UC Davis_1871479

Specimen UC Davis_1871480: postnatal adult; Ssbp2tm1b(KOMP)Wtsi/Ssbp2+ (more )
Structure Level Pattern Image Note
TS28: pituitary gland Present UC Davis_1871480

Specimen UC Davis_1871481: postnatal adult; Ssbp2tm1b(KOMP)Wtsi/Ssbp2+ (more )
Structure Level Pattern Image Note
TS28: pituitary gland Present UC Davis_1871481

Specimen UC Davis_1871482: postnatal adult; Ssbp2tm1b(KOMP)Wtsi/Ssbp2+ (more )
Structure Level Pattern Image Note
TS28: spinal cord Present UC Davis_1871482

Specimen UC Davis_1871483: postnatal adult; Ssbp2tm1b(KOMP)Wtsi/Ssbp2+ (more )
Structure Level Pattern Image Note
TS28: spinal cord Present UC Davis_1871483

Specimen UC Davis_1871484: postnatal adult; Ssbp2tm1b(KOMP)Wtsi/Ssbp2+ (more )
Structure Level Pattern Image Note
TS28: eye Present UC Davis_1871484

Specimen UC Davis_1871485: postnatal adult; Ssbp2tm1b(KOMP)Wtsi/Ssbp2+ (more )
Structure Level Pattern Image Note
TS28: eye Present UC Davis_1871485

Specimen UC Davis_1871486: postnatal adult; Ssbp2tm1b(KOMP)Wtsi/Ssbp2+ (more )
Structure Level Pattern Image Note
TS28: eye Present UC Davis_1871486

Specimen UC Davis_1871487: postnatal adult; Ssbp2tm1b(KOMP)Wtsi/Ssbp2+ (more )
Structure Level Pattern Image Note
TS28: eye Present UC Davis_1871487

Specimen UC Davis_1871488: postnatal adult; Ssbp2tm1b(KOMP)Wtsi/Ssbp2+ (more )
Structure Level Pattern Image Note
TS28: Harderian gland Present UC Davis_1871488

Specimen UC Davis_1871489: postnatal adult; Ssbp2tm1b(KOMP)Wtsi/Ssbp2+ (more )
Structure Level Pattern Image Note
TS28: Harderian gland Present UC Davis_1871489

Specimen UC Davis_1871490: postnatal adult; Ssbp2tm1b(KOMP)Wtsi/Ssbp2+ (more )
Structure Level Pattern Image Note
TS28: gonadal fat pad Present UC Davis_1871490

Specimen UC Davis_1871491: postnatal adult; Ssbp2tm1b(KOMP)Wtsi/Ssbp2+ (more )
Structure Level Pattern Image Note
TS28: mesenteric adipose tissue Present UC Davis_1871491

Specimen UC Davis_1871492: postnatal adult; Ssbp2tm1b(KOMP)Wtsi/Ssbp2+ (more )
Structure Level Pattern Image Note
TS28: mesenteric adipose tissue Present UC Davis_1871492

Specimen UC Davis_1871493: postnatal adult; Ssbp2tm1b(KOMP)Wtsi/Ssbp2+ (more )
Structure Level Pattern Image Note
TS28: skin Present UC Davis_1871493

Specimen UC Davis_1871494: postnatal adult; Ssbp2tm1b(KOMP)Wtsi/Ssbp2+ (more )
Structure Level Pattern Image Note
TS28: skin Present UC Davis_1871494

Specimen UC Davis_1871495: postnatal adult; Ssbp2tm1b(KOMP)Wtsi/Ssbp2+ (more )
Structure Level Pattern Image Note
TS28: brown fat Present UC Davis_1871495

Specimen UC Davis_1871499: postnatal adult; Ssbp2tm1b(KOMP)Wtsi/Ssbp2+ (more )
Structure Level Pattern Image Note
TS28: midbrain Present UC Davis_1871499

Specimen UC Davis_1871501: postnatal adult; Ssbp2tm1b(KOMP)Wtsi/Ssbp2+ (more )
Structure Level Pattern Image Note
TS28: cerebellum Present UC Davis_1871501

Specimen UC Davis_1871502: postnatal adult; Ssbp2tm1b(KOMP)Wtsi/Ssbp2+ (more )
Structure Level Pattern Image Note
TS28: trigeminal nerve Present UC Davis_1871502

Specimen UC Davis_1871503: postnatal adult; Ssbp2tm1b(KOMP)Wtsi/Ssbp2+ (more )
Structure Level Pattern Image Note
TS28: trigeminal nerve Present UC Davis_1871503

Specimen UC Davis_1871504: postnatal adult; Ssbp2tm1b(KOMP)Wtsi/Ssbp2+ (more )
Structure Level Pattern Image Note
TS28: ovary Present UC Davis_1871504

Specimen UC Davis_1871505: postnatal adult; Ssbp2tm1b(KOMP)Wtsi/Ssbp2+ (more )
Structure Level Pattern Image Note
TS28: ovary Present UC Davis_1871505

Specimen UC Davis_1871506: postnatal adult; Ssbp2tm1b(KOMP)Wtsi/Ssbp2+ (more )
Structure Level Pattern Image Note
TS28: oviduct Present UC Davis_1871506

Specimen UC Davis_1871507: postnatal adult; Ssbp2tm1b(KOMP)Wtsi/Ssbp2+ (more )
Structure Level Pattern Image Note
TS28: oviduct Present UC Davis_1871507

Specimen UC Davis_1871508: postnatal adult; Ssbp2tm1b(KOMP)Wtsi/Ssbp2+ (more )
Structure Level Pattern Image Note
TS28: uterus Present UC Davis_1871508

Specimen UC Davis_1871509: postnatal adult; Ssbp2tm1b(KOMP)Wtsi/Ssbp2+ (more )
Structure Level Pattern Image Note
TS28: uterus Present UC Davis_1871509

Specimen UC Davis_1871510: postnatal adult; Ssbp2tm1b(KOMP)Wtsi/Ssbp2+ (more )
Structure Level Pattern Image Note
TS28: bladder Present UC Davis_1871510

Specimen UC Davis_1871511: postnatal adult; Ssbp2tm1b(KOMP)Wtsi/Ssbp2+ (more )
Structure Level Pattern Image Note
TS28: bladder Present UC Davis_1871511

Specimen UC Davis_1871512: postnatal adult; Ssbp2tm1b(KOMP)Wtsi/Ssbp2+ (more )
Structure Level Pattern Image Note
TS28: mammary gland Present UC Davis_1871512

Specimen UC Davis_1871513: postnatal adult; Ssbp2tm1b(KOMP)Wtsi/Ssbp2+ (more )
Structure Level Pattern Image Note
TS28: mammary gland Present UC Davis_1871513

Specimen UC Davis_1871514: postnatal adult; Ssbp2tm1b(KOMP)Wtsi/Ssbp2+ (more )
Structure Level Pattern Image Note
TS28: mammary gland Present UC Davis_1871514

Specimen UC Davis_1871364: postnatal adult; Ssbp2tm1b(KOMP)Wtsi/Ssbp2+ (more )
Structure Level Pattern Image Note
TS28: esophagus Present UC Davis_1871364

Specimen UC Davis_1871365: postnatal adult; Ssbp2tm1b(KOMP)Wtsi/Ssbp2+ (more )
Structure Level Pattern Image Note
TS28: esophagus Present UC Davis_1871365

Specimen UC Davis_1871366: postnatal adult; Ssbp2tm1b(KOMP)Wtsi/Ssbp2+ (more )
Structure Level Pattern Image Note
TS28: esophagus Present UC Davis_1871366

Specimen UC Davis_1871367: postnatal adult; Ssbp2tm1b(KOMP)Wtsi/Ssbp2+ (more )
Structure Level Pattern Image Note
TS28: esophagus Present UC Davis_1871367

Specimen UC Davis_1871368: postnatal adult; Ssbp2tm1b(KOMP)Wtsi/Ssbp2+ (more )
Structure Level Pattern Image Note
TS28: thyroid gland Present UC Davis_1871368

Specimen UC Davis_1871371: postnatal adult; Ssbp2tm1b(KOMP)Wtsi/Ssbp2+ (more )
Structure Level Pattern Image Note
TS28: parathyroid gland Present UC Davis_1871371

Specimen UC Davis_1871372: postnatal adult; Ssbp2tm1b(KOMP)Wtsi/Ssbp2+ (more )
Structure Level Pattern Image Note
TS28: aorta Present UC Davis_1871372

Specimen UC Davis_1871373: postnatal adult; Ssbp2tm1b(KOMP)Wtsi/Ssbp2+ (more )
Structure Level Pattern Image Note
TS28: aorta Present UC Davis_1871373

Specimen UC Davis_1871374: postnatal adult; Ssbp2tm1b(KOMP)Wtsi/Ssbp2+ (more )
Structure Level Pattern Image Note
TS28: aorta Present UC Davis_1871374

Specimen UC Davis_1871375: postnatal adult; Ssbp2tm1b(KOMP)Wtsi/Ssbp2+ (more )
Structure Level Pattern Image Note
TS28: aorta Present UC Davis_1871375

Specimen UC Davis_1871379: postnatal adult; Ssbp2tm1b(KOMP)Wtsi/Ssbp2+ (more )
Structure Level Pattern Image Note
TS28: stomach Present UC Davis_1871379

Specimen UC Davis_1871380: postnatal adult; Ssbp2tm1b(KOMP)Wtsi/Ssbp2+ (more )
Structure Level Pattern Image Note
TS28: stomach Present UC Davis_1871380

Specimen UC Davis_1871381: postnatal adult; Ssbp2tm1b(KOMP)Wtsi/Ssbp2+ (more )
Structure Level Pattern Image Note
TS28: stomach Present UC Davis_1871381

Specimen UC Davis_1871382: postnatal adult; Ssbp2tm1b(KOMP)Wtsi/Ssbp2+ (more )
Structure Level Pattern Image Note
TS28: duodenum Present UC Davis_1871382

Specimen UC Davis_1871383: postnatal adult; Ssbp2tm1b(KOMP)Wtsi/Ssbp2+ (more )
Structure Level Pattern Image Note
TS28: jejunum Present UC Davis_1871383

Specimen UC Davis_1871384: postnatal adult; Ssbp2tm1b(KOMP)Wtsi/Ssbp2+ (more )
Structure Level Pattern Image Note
TS28: jejunum Present UC Davis_1871384

Specimen UC Davis_1871385: postnatal adult; Ssbp2tm1b(KOMP)Wtsi/Ssbp2+ (more )
Structure Level Pattern Image Note
TS28: ileum Present UC Davis_1871385

Specimen UC Davis_1871386: postnatal adult; Ssbp2tm1b(KOMP)Wtsi/Ssbp2+ (more )
Structure Level Pattern Image Note
TS28: ileum Present UC Davis_1871386

Specimen UC Davis_1871387: postnatal adult; Ssbp2tm1b(KOMP)Wtsi/Ssbp2+ (more )
Structure Level Pattern Image Note
TS28: colon Present UC Davis_1871387

Specimen UC Davis_1871388: postnatal adult; Ssbp2tm1b(KOMP)Wtsi/Ssbp2+ (more )
Structure Level Pattern Image Note
TS28: colon Present UC Davis_1871388

Specimen UC Davis_1871389: postnatal adult; Ssbp2tm1b(KOMP)Wtsi/Ssbp2+ (more )
Structure Level Pattern Image Note
TS28: cecum Present UC Davis_1871389

Specimen UC Davis_1871390: postnatal adult; Ssbp2tm1b(KOMP)Wtsi/Ssbp2+ (more )
Structure Level Pattern Image Note
TS28: cecum Present UC Davis_1871390

Specimen UC Davis_1871391: postnatal adult; Ssbp2tm1b(KOMP)Wtsi/Ssbp2+ (more )
Structure Level Pattern Image Note
TS28: spleen Present UC Davis_1871391

Specimen UC Davis_1871392: postnatal adult; Ssbp2tm1b(KOMP)Wtsi/Ssbp2+ (more )
Structure Level Pattern Image Note
TS28: spleen Present UC Davis_1871392

Specimen UC Davis_1871393: postnatal adult; Ssbp2tm1b(KOMP)Wtsi/Ssbp2+ (more )
Structure Level Pattern Image Note
TS28: pancreas Present UC Davis_1871393

Specimen UC Davis_1871394: postnatal adult; Ssbp2tm1b(KOMP)Wtsi/Ssbp2+ (more )
Structure Level Pattern Image Note
TS28: pancreas Present UC Davis_1871394

Specimen UC Davis_1871395: postnatal adult; Ssbp2tm1b(KOMP)Wtsi/Ssbp2+ (more )
Structure Level Pattern Image Note
TS28: metanephros Present UC Davis_1871395 kidney

Specimen UC Davis_1871396: postnatal adult; Ssbp2tm1b(KOMP)Wtsi/Ssbp2+ (more )
Structure Level Pattern Image Note
TS28: metanephros Present UC Davis_1871396 kidney

Specimen UC Davis_1871397: postnatal adult; Ssbp2tm1b(KOMP)Wtsi/Ssbp2+ (more )
Structure Level Pattern Image Note
TS28: metanephros Present UC Davis_1871397 kidney

Specimen UC Davis_1871398: postnatal adult; Ssbp2tm1b(KOMP)Wtsi/Ssbp2+ (more )
Structure Level Pattern Image Note
TS28: quadriceps femoris muscle Present UC Davis_1871398

Specimen UC Davis_1871399: postnatal adult; Ssbp2tm1b(KOMP)Wtsi/Ssbp2+ (more )
Structure Level Pattern Image Note
TS28: quadriceps femoris muscle Present UC Davis_1871399

Specimen UC Davis_1871400: postnatal adult; Ssbp2tm1b(KOMP)Wtsi/Ssbp2+ (more )
Structure Level Pattern Image Note
TS28: tongue Present UC Davis_1871400

Specimen UC Davis_1871401: postnatal adult; Ssbp2tm1b(KOMP)Wtsi/Ssbp2+ (more )
Structure Level Pattern Image Note
TS28: tongue Present UC Davis_1871401

Specimen UC Davis_1871402: postnatal adult; Ssbp2tm1b(KOMP)Wtsi/Ssbp2+ (more )
Structure Level Pattern Image Note
TS28: diaphragm Present UC Davis_1871402

Specimen UC Davis_1871403: postnatal adult; Ssbp2tm1b(KOMP)Wtsi/Ssbp2+ (more )
Structure Level Pattern Image Note
TS28: diaphragm Present UC Davis_1871403

Specimen UC Davis_1871404: postnatal adult; Ssbp2tm1b(KOMP)Wtsi/Ssbp2+ (more )
Structure Level Pattern Image Note
TS28: pituitary gland Present UC Davis_1871404

Specimen UC Davis_1871405: postnatal adult; Ssbp2tm1b(KOMP)Wtsi/Ssbp2+ (more )
Structure Level Pattern Image Note
TS28: pituitary gland Present UC Davis_1871405

Specimen UC Davis_1871406: postnatal adult; Ssbp2tm1b(KOMP)Wtsi/Ssbp2+ (more )
Structure Level Pattern Image Note
TS28: spinal cord Present UC Davis_1871406

Specimen UC Davis_1871407: postnatal adult; Ssbp2tm1b(KOMP)Wtsi/Ssbp2+ (more )
Structure Level Pattern Image Note
TS28: spinal cord Present UC Davis_1871407

Specimen UC Davis_1871408: postnatal adult; Ssbp2tm1b(KOMP)Wtsi/Ssbp2+ (more )
Structure Level Pattern Image Note
TS28: eye Present UC Davis_1871408

Specimen UC Davis_1871409: postnatal adult; Ssbp2tm1b(KOMP)Wtsi/Ssbp2+ (more )
Structure Level Pattern Image Note
TS28: eye Present UC Davis_1871409

Specimen UC Davis_1871410: postnatal adult; Ssbp2tm1b(KOMP)Wtsi/Ssbp2+ (more )
Structure Level Pattern Image Note
TS28: eye Present UC Davis_1871410

Specimen UC Davis_1871411: postnatal adult; Ssbp2tm1b(KOMP)Wtsi/Ssbp2+ (more )
Structure Level Pattern Image Note
TS28: skin Present UC Davis_1871411

Specimen UC Davis_1871412: postnatal adult; Ssbp2tm1b(KOMP)Wtsi/Ssbp2+ (more )
Structure Level Pattern Image Note
TS28: skin Present UC Davis_1871412

Specimen UC Davis_1871413: postnatal adult; Ssbp2tm1b(KOMP)Wtsi/Ssbp2+ (more )
Structure Level Pattern Image Note
TS28: skin Present UC Davis_1871413

Specimen UC Davis_1871414: postnatal adult; Ssbp2tm1b(KOMP)Wtsi/Ssbp2+ (more )
Structure Level Pattern Image Note
TS28: skin Present UC Davis_1871414

Specimen UC Davis_1871415: postnatal adult; Ssbp2tm1b(KOMP)Wtsi/Ssbp2+ (more )
Structure Level Pattern Image Note
TS28: olfactory lobe Present UC Davis_1871415

Specimen UC Davis_1871419: postnatal adult; Ssbp2tm1b(KOMP)Wtsi/Ssbp2+ (more )
Structure Level Pattern Image Note
TS28: midbrain Present UC Davis_1871419

Specimen UC Davis_1871421: postnatal adult; Ssbp2tm1b(KOMP)Wtsi/Ssbp2+ (more )
Structure Level Pattern Image Note
TS28: cerebellum Present UC Davis_1871421

Specimen UC Davis_1871422: postnatal adult; Ssbp2tm1b(KOMP)Wtsi/Ssbp2+ (more )
Structure Level Pattern Image Note
TS28: trigeminal nerve Present UC Davis_1871422

Specimen UC Davis_1871423: postnatal adult; Ssbp2tm1b(KOMP)Wtsi/Ssbp2+ (more )
Structure Level Pattern Image Note
TS28: trigeminal nerve Present UC Davis_1871423

Specimen UC Davis_1871424: postnatal adult; Ssbp2tm1b(KOMP)Wtsi/Ssbp2+ (more )
Structure Level Pattern Image Note
TS28: bladder Present UC Davis_1871424

Specimen UC Davis_1871425: postnatal adult; Ssbp2tm1b(KOMP)Wtsi/Ssbp2+ (more )
Structure Level Pattern Image Note
TS28: testis Present UC Davis_1871425

Specimen UC Davis_1871426: postnatal adult; Ssbp2tm1b(KOMP)Wtsi/Ssbp2+ (more )
Structure Level Pattern Image Note
TS28: testis Present UC Davis_1871426

Specimen UC Davis_1871427: postnatal adult; Ssbp2tm1b(KOMP)Wtsi/Ssbp2+ (more )
Structure Level Pattern Image Note
TS28: epididymis Present UC Davis_1871427

Specimen UC Davis_1871428: postnatal adult; Ssbp2tm1b(KOMP)Wtsi/Ssbp2+ (more )
Structure Level Pattern Image Note
TS28: epididymis Present UC Davis_1871428

Specimen UC Davis_1871429: postnatal adult; Ssbp2tm1b(KOMP)Wtsi/Ssbp2+ (more )
Structure Level Pattern Image Note
TS28: prostate gland Present UC Davis_1871429

Specimen UC Davis_1871430: postnatal adult; Ssbp2tm1b(KOMP)Wtsi/Ssbp2+ (more )
Structure Level Pattern Image Note
TS28: prostate gland Present UC Davis_1871430

Specimen UC Davis_1871431: postnatal adult; Ssbp2tm1b(KOMP)Wtsi/Ssbp2+ (more )
Structure Level Pattern Image Note
TS28: penis Present UC Davis_1871431

Specimen UC Davis_1871432: postnatal adult; Ssbp2tm1b(KOMP)Wtsi/Ssbp2+ (more )
Structure Level Pattern Image Note
TS28: penis Present UC Davis_1871432

Specimen UC Davis_1871433: postnatal adult; Ssbp2tm1b(KOMP)Wtsi/Ssbp2+ (more )
Structure Level Pattern Image Note
TS28: penis Present UC Davis_1871433

Specimen UC Davis_1871436: postnatal adult; Ssbp2tm1b(KOMP)Wtsi/Ssbp2+ (more )
Structure Level Pattern Image Note
TS28: ductus deferens Present UC Davis_1871436 vas deferens

Specimen UC Davis_1871439: postnatal adult; Ssbp2tm1b(KOMP)Wtsi/Ssbp2+ (more )
Structure Level Pattern Image Note
TS28: seminal vesicle Present UC Davis_1871439 vesicular gland

Specimen UC Davis_1871440: postnatal adult; Ssbp2tm1b(KOMP)Wtsi/Ssbp2+ (more )
Structure Level Pattern Image Note
TS28: seminal vesicle Present UC Davis_1871440 vesicular gland


Contributing Projects:
Mouse Genome Database (MGD), Gene Expression Database (GXD), Mouse Models of Human Cancer database (MMHCdb) (formerly Mouse Tumor Biology (MTB)), Gene Ontology (GO)
Citing These Resources
Funding Information
Warranty Disclaimer, Privacy Notice, Licensing, & Copyright
Send questions and comments to User Support.
last database update
01/20/2026
MGI 6.24
The Jackson Laboratory