About   Help   FAQ
Gene Expression Data
Assay Details
Assay
Reference: J:228563 Koscielny G, et al., The International Mouse Phenotyping Consortium Web Portal, a unified point of access for knockout mice and related phenotyping data. Nucleic Acids Res. 2014 Jan;42(Database issue):D802-9
Assay type: In situ reporter (knock in)
MGI Accession ID: MGI:6691712
Gene symbol: Trit1
Gene name: tRNA isopentenyltransferase 1
Reporter: lacZ
Direct Detection
Results
Specimen JAX_1263779: embryonic day 12.5; Trit1tm1.1(KOMP)Vlcg/Trit1+ (more )
Structure Level Pattern Image Note
TS20: embryo Present JAX_1263779

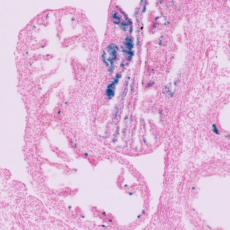
Specimen JAX_1263781: embryonic day 12.5; Trit1tm1.1(KOMP)Vlcg/Trit1+ (more )
Structure Level Pattern Image Note
TS20: embryo Present JAX_1263781

Specimen JAX_1263783: embryonic day 12.5; Trit1tm1.1(KOMP)Vlcg/Trit1+ (more )
Structure Level Pattern Image Note
TS20: embryo Present JAX_1263783

Specimen JAX_1263785: embryonic day 12.5; Trit1tm1.1(KOMP)Vlcg/Trit1+ (more )
Structure Level Pattern Image Note
TS20: embryo Present JAX_1263785

Specimen JAX_1263787: embryonic day 12.5; Trit1tm1.1(KOMP)Vlcg/Trit1+ (more )
Structure Level Pattern Image Note
TS20: embryo Present JAX_1263787

Specimen JAX_1263789: embryonic day 12.5; Trit1tm1.1(KOMP)Vlcg/Trit1+ (more )
Structure Level Pattern Image Note
TS20: embryo Present JAX_1263789

Specimen JAX_1263791: embryonic day 12.5; Trit1tm1.1(KOMP)Vlcg/Trit1+ (more )
Structure Level Pattern Image Note
TS20: embryo Present JAX_1263791

Specimen JAX_1263793: embryonic day 12.5; Trit1tm1.1(KOMP)Vlcg/Trit1+ (more )
Structure Level Pattern Image Note
TS20: embryo Present JAX_1263793

Specimen JAX_1522223: postnatal adult; Trit1tm1.1(KOMP)Vlcg/Trit1+ (more )
Structure Level Pattern Image Note
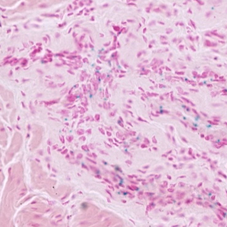
TS28: pancreas Present JAX_1522223

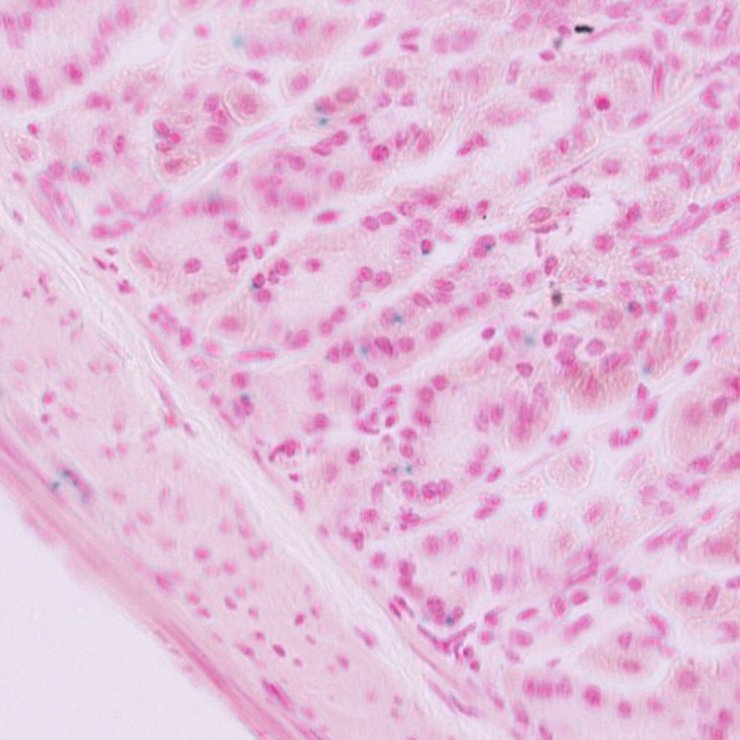
Specimen JAX_1522224: postnatal adult; Trit1tm1.1(KOMP)Vlcg/Trit1+ (more )
Structure Level Pattern Image Note
TS28: uterus Present JAX_1522224

Specimen JAX_1522225: postnatal adult; Trit1tm1.1(KOMP)Vlcg/Trit1+ (more )
Structure Level Pattern Image Note
TS28: oviduct Present JAX_1522225

Specimen JAX_1522227: postnatal adult; Trit1tm1.1(KOMP)Vlcg/Trit1+ (more )
Structure Level Pattern Image Note
TS28: mammary gland Present JAX_1522227

Specimen JAX_1522228: postnatal adult; Trit1tm1.1(KOMP)Vlcg/Trit1+ (more )
Structure Level Pattern Image Note
TS28: eye Present JAX_1522228

Specimen JAX_1522203: postnatal adult; Trit1tm1.1(KOMP)Vlcg/Trit1+ (more )
Structure Level Pattern Image Note
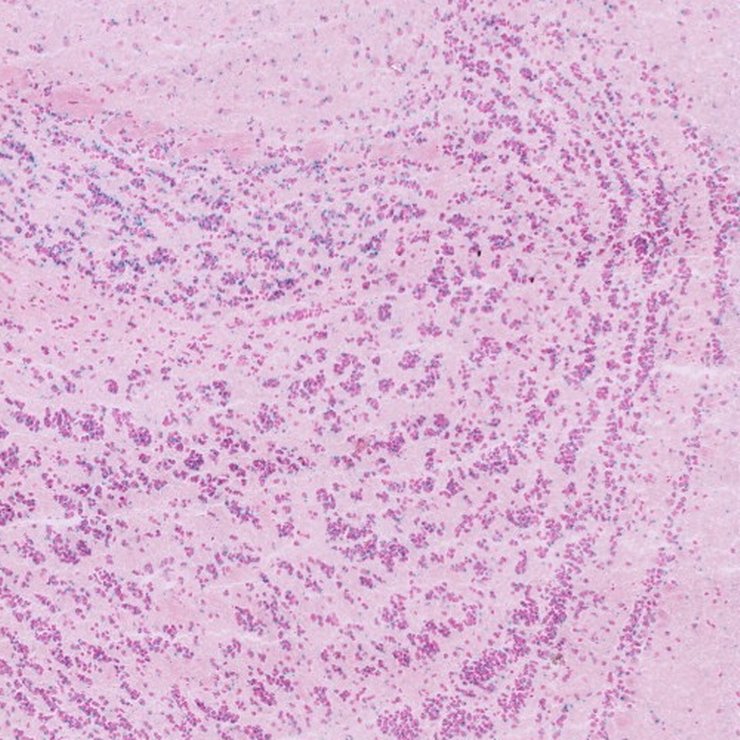
TS28: thalamus Present JAX_1522203

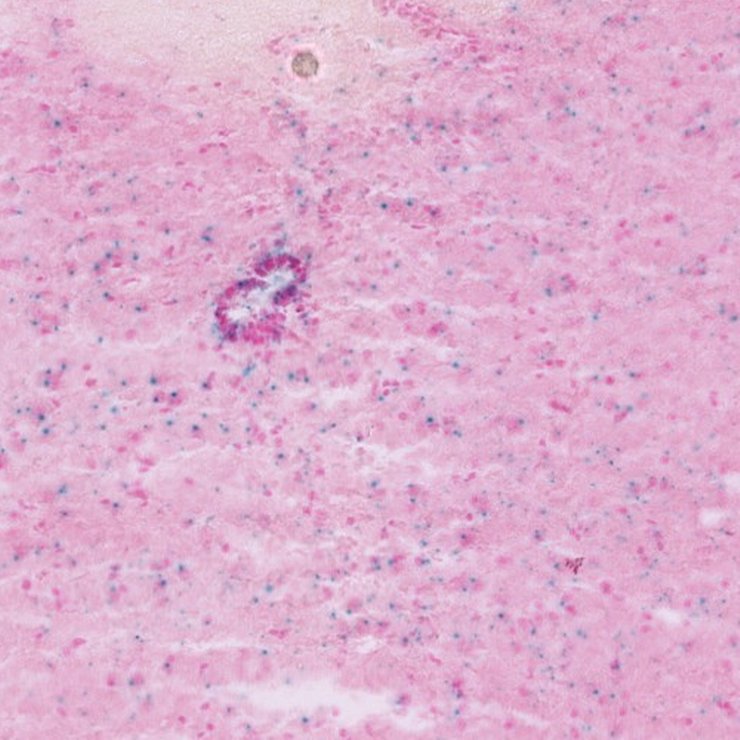
Specimen JAX_1522204: postnatal adult; Trit1tm1.1(KOMP)Vlcg/Trit1+ (more )
Structure Level Pattern Image Note
TS28: midbrain Present JAX_1522204

Specimen JAX_1522205: postnatal adult; Trit1tm1.1(KOMP)Vlcg/Trit1+ (more )
Structure Level Pattern Image Note
TS28: epididymis Present JAX_1522205

Specimen JAX_1522206: postnatal adult; Trit1tm1.1(KOMP)Vlcg/Trit1+ (more )
Structure Level Pattern Image Note
TS28: bladder Present JAX_1522206

Specimen JAX_1522207: postnatal adult; Trit1tm1.1(KOMP)Vlcg/Trit1+ (more )
Structure Level Pattern Image Note
TS28: corpus striatum Present JAX_1522207

Specimen JAX_1522208: postnatal adult; Trit1tm1.1(KOMP)Vlcg/Trit1+ (more )
Structure Level Pattern Image Note
TS28: olfactory lobe Present JAX_1522208

Specimen JAX_1522209: postnatal adult; Trit1tm1.1(KOMP)Vlcg/Trit1+ (more )
Structure Level Pattern Image Note
TS28: hypothalamus Present JAX_1522209

Specimen JAX_1522210: postnatal adult; Trit1tm1.1(KOMP)Vlcg/Trit1+ (more )
Structure Level Pattern Image Note
TS28: hippocampus Present JAX_1522210

Specimen JAX_1522211: postnatal adult; Trit1tm1.1(KOMP)Vlcg/Trit1+ (more )
Structure Level Pattern Image Note
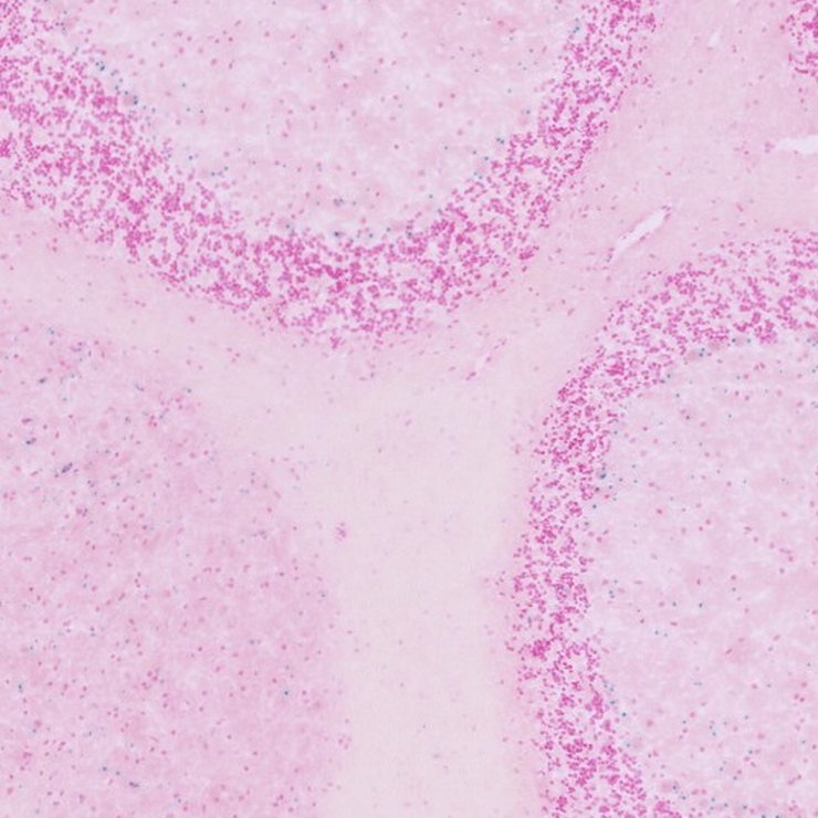
TS28: cerebellum Present JAX_1522211

Specimen JAX_1522212: postnatal adult; Trit1tm1.1(KOMP)Vlcg/Trit1+ (more )
Structure Level Pattern Image Note
TS28: cerebral cortex Present JAX_1522212

Specimen JAX_1522213: postnatal adult; Trit1tm1.1(KOMP)Vlcg/Trit1+ (more )
Structure Level Pattern Image Note
TS28: brainstem Present JAX_1522213

Specimen JAX_1522214: postnatal adult; Trit1tm1.1(KOMP)Vlcg/Trit1+ (more )
Structure Level Pattern Image Note
TS28: lung Present JAX_1522214

Specimen JAX_1522215: postnatal adult; Trit1tm1.1(KOMP)Vlcg/Trit1+ (more )
Structure Level Pattern Image Note
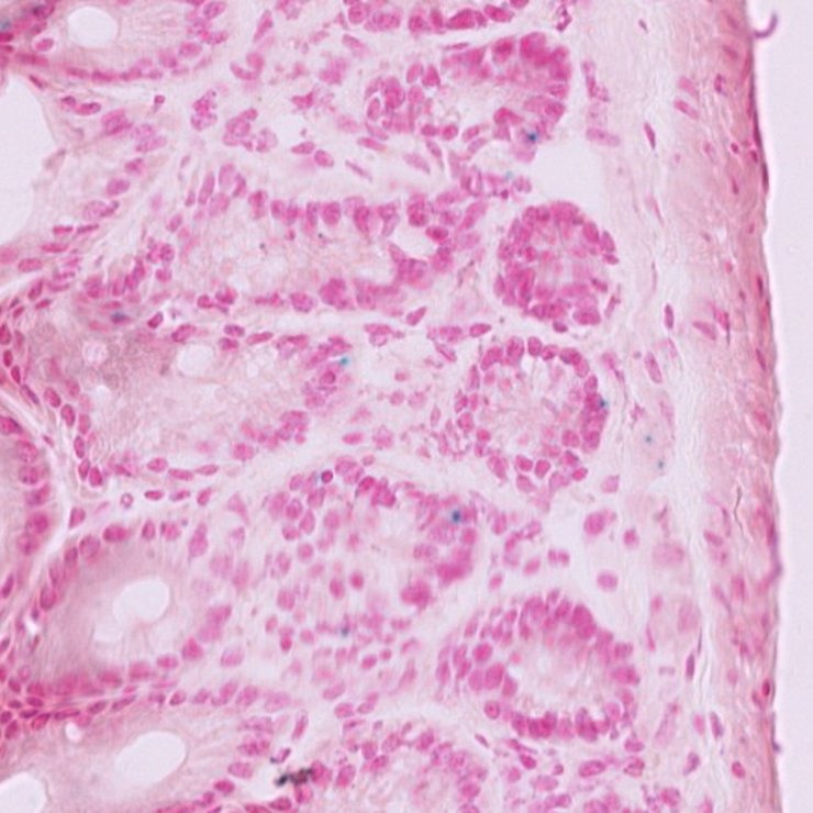
TS28: small intestine Present JAX_1522215

Specimen JAX_1522216: postnatal adult; Trit1tm1.1(KOMP)Vlcg/Trit1+ (more )
Structure Level Pattern Image Note
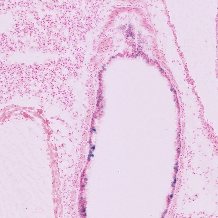
TS28: pituitary gland Present JAX_1522216

Specimen JAX_1522217: postnatal adult; Trit1tm1.1(KOMP)Vlcg/Trit1+ (more )
Structure Level Pattern Image Note
TS28: spinal cord Present JAX_1522217

Specimen JAX_1522218: postnatal adult; Trit1tm1.1(KOMP)Vlcg/Trit1+ (more )
Structure Level Pattern Image Note
TS28: large intestine Present JAX_1522218

Specimen JAX_1522219: postnatal adult; Trit1tm1.1(KOMP)Vlcg/Trit1+ (more )
Structure Level Pattern Image Note
TS28: trachea Present JAX_1522219

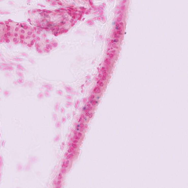
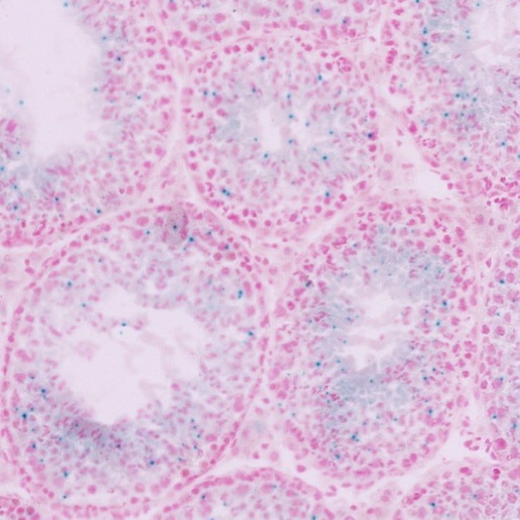
Specimen JAX_1522220: postnatal adult; Trit1tm1.1(KOMP)Vlcg/Trit1+ (more )
Structure Level Pattern Image Note
TS28: testis Present JAX_1522220

Specimen JAX_1522221: postnatal adult; Trit1tm1.1(KOMP)Vlcg/Trit1+ (more )
Structure Level Pattern Image Note
TS28: stomach Present JAX_1522221

Specimen JAX_1522222: postnatal adult; Trit1tm1.1(KOMP)Vlcg/Trit1+ (more )
Structure Level Pattern Image Note
TS28: brain Present JAX_1522222


Contributing Projects:
Mouse Genome Database (MGD), Gene Expression Database (GXD), Mouse Models of Human Cancer database (MMHCdb) (formerly Mouse Tumor Biology (MTB)), Gene Ontology (GO)
Citing These Resources
Funding Information
Warranty Disclaimer, Privacy Notice, Licensing, & Copyright
Send questions and comments to User Support.
last database update
12/30/2025
MGI 6.24
The Jackson Laboratory