About   Help   FAQ
Gene Expression Data
Assay Details
Assay
Reference: J:228563 Koscielny G, et al., The International Mouse Phenotyping Consortium Web Portal, a unified point of access for knockout mice and related phenotyping data. Nucleic Acids Res. 2014 Jan;42(Database issue):D802-9
Assay type: In situ reporter (knock in)
MGI Accession ID: MGI:6691700
Gene symbol: Bcs1l
Gene name: BCS1 homolog, ubiquinol-cytochrome c reductase complex chaperone
Reporter: lacZ
Direct Detection
Results
Specimen UC Davis_1884584: postnatal adult; Bcs1ltm1.1(KOMP)Vlcg/Bcs1l+ (more )
Structure Level Pattern Image Note
TS28: sublingual gland Present UC Davis_1884584

Specimen UC Davis_1884585: postnatal adult; Bcs1ltm1.1(KOMP)Vlcg/Bcs1l+ (more )
Structure Level Pattern Image Note
TS28: parotid gland Present UC Davis_1884585

Specimen UC Davis_1884586: postnatal adult; Bcs1ltm1.1(KOMP)Vlcg/Bcs1l+ (more )
Structure Level Pattern Image Note
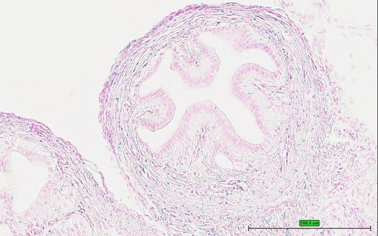
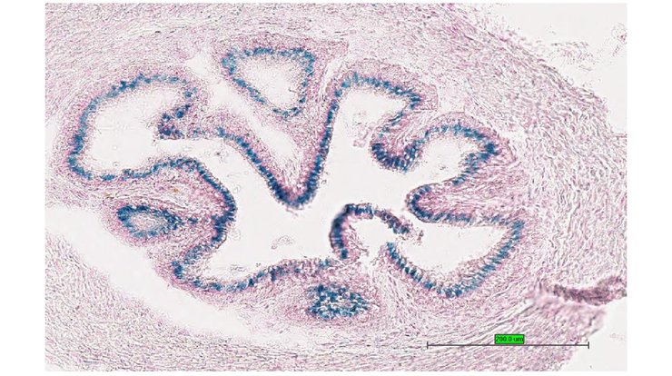
TS28: trachea Present UC Davis_1884586

Specimen UC Davis_1884587: postnatal adult; Bcs1ltm1.1(KOMP)Vlcg/Bcs1l+ (more )
Structure Level Pattern Image Note
TS28: esophagus Present UC Davis_1884587

Specimen UC Davis_1884588: postnatal adult; Bcs1ltm1.1(KOMP)Vlcg/Bcs1l+ (more )
Structure Level Pattern Image Note
TS28: thyroid gland Present UC Davis_1884588

Specimen UC Davis_1884589: postnatal adult; Bcs1ltm1.1(KOMP)Vlcg/Bcs1l+ (more )
Structure Level Pattern Image Note
TS28: parathyroid gland Present UC Davis_1884589

Specimen UC Davis_1884590: postnatal adult; Bcs1ltm1.1(KOMP)Vlcg/Bcs1l+ (more )
Structure Level Pattern Image Note
TS28: thymus Present UC Davis_1884590

Specimen UC Davis_1884591: postnatal adult; Bcs1ltm1.1(KOMP)Vlcg/Bcs1l+ (more )
Structure Level Pattern Image Note
TS28: thymus Present UC Davis_1884591

Specimen UC Davis_1884594: postnatal adult; Bcs1ltm1.1(KOMP)Vlcg/Bcs1l+ (more )
Structure Level Pattern Image Note
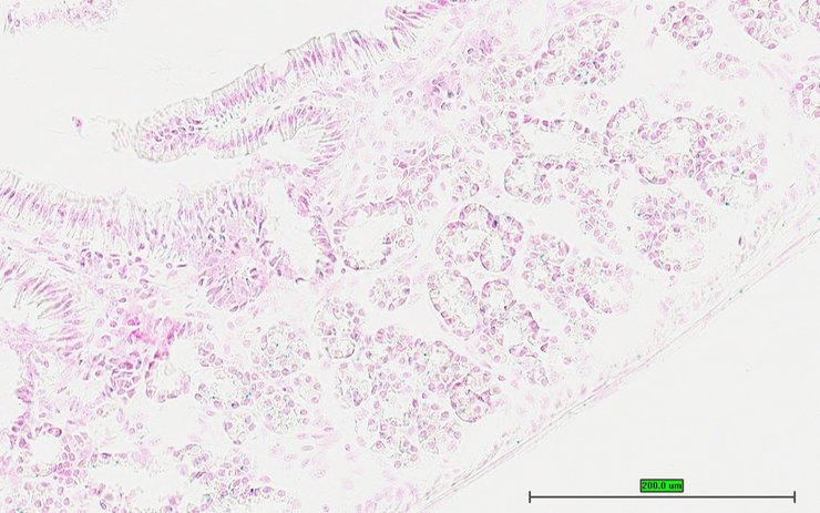
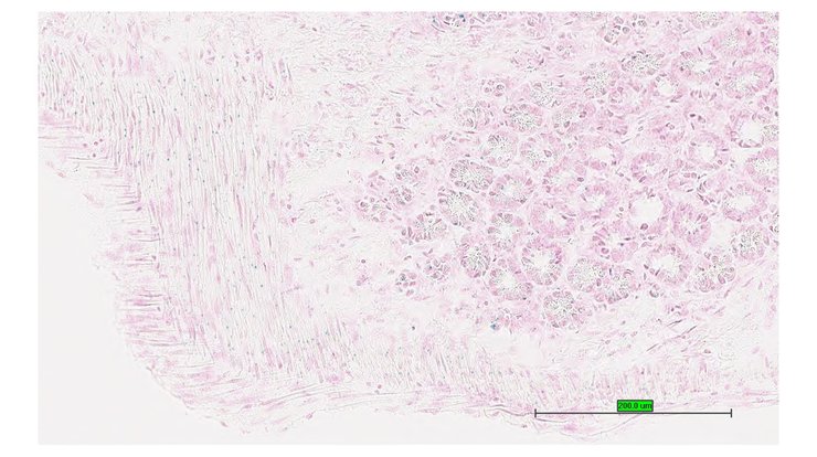
TS28: stomach Present UC Davis_1884594

Specimen UC Davis_1884595: postnatal adult; Bcs1ltm1.1(KOMP)Vlcg/Bcs1l+ (more )
Structure Level Pattern Image Note
TS28: stomach Present UC Davis_1884595

Specimen UC Davis_1884596: postnatal adult; Bcs1ltm1.1(KOMP)Vlcg/Bcs1l+ (more )
Structure Level Pattern Image Note
TS28: stomach Present UC Davis_1884596

Specimen UC Davis_1884597: postnatal adult; Bcs1ltm1.1(KOMP)Vlcg/Bcs1l+ (more )
Structure Level Pattern Image Note
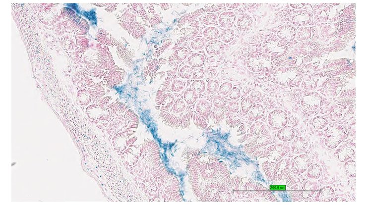
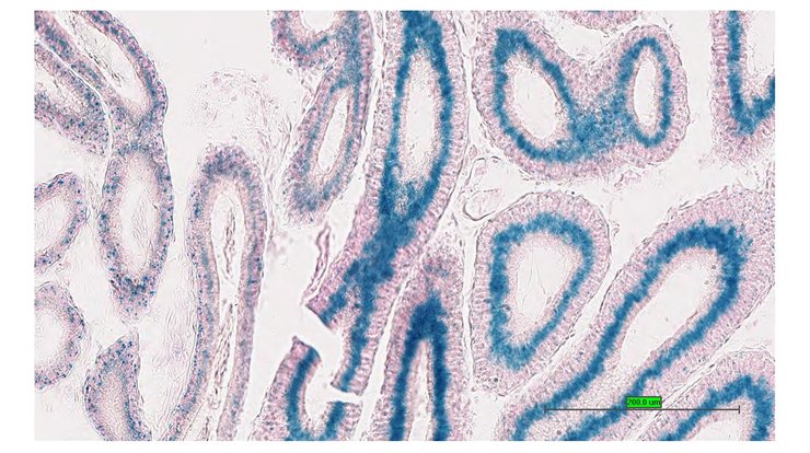
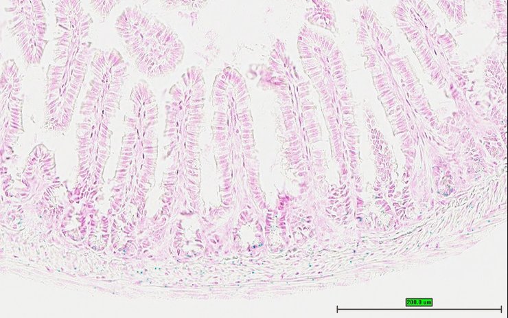
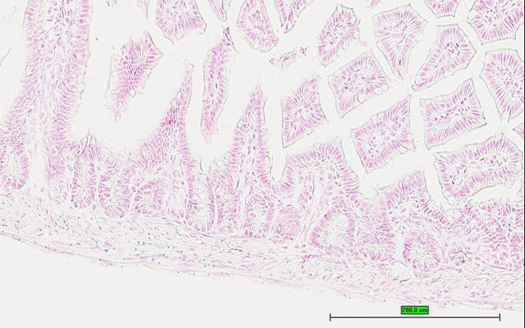
TS28: duodenum Present UC Davis_1884597

Specimen UC Davis_1884598: postnatal adult; Bcs1ltm1.1(KOMP)Vlcg/Bcs1l+ (more )
Structure Level Pattern Image Note
TS28: jejunum Present UC Davis_1884598

Specimen UC Davis_1884599: postnatal adult; Bcs1ltm1.1(KOMP)Vlcg/Bcs1l+ (more )
Structure Level Pattern Image Note
TS28: ileum Present UC Davis_1884599

Specimen UC Davis_1884600: postnatal adult; Bcs1ltm1.1(KOMP)Vlcg/Bcs1l+ (more )
Structure Level Pattern Image Note
TS28: colon Present UC Davis_1884600

Specimen UC Davis_1884601: postnatal adult; Bcs1ltm1.1(KOMP)Vlcg/Bcs1l+ (more )
Structure Level Pattern Image Note
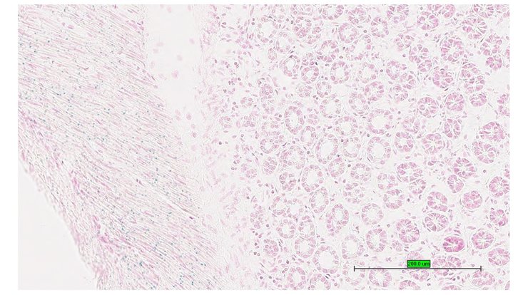
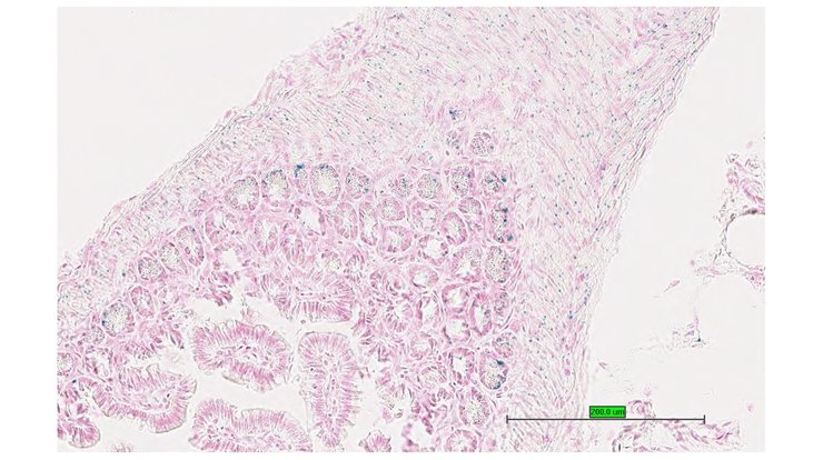
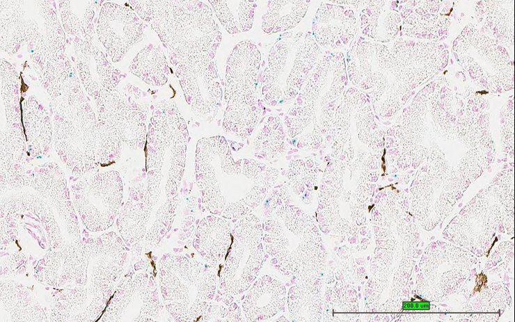
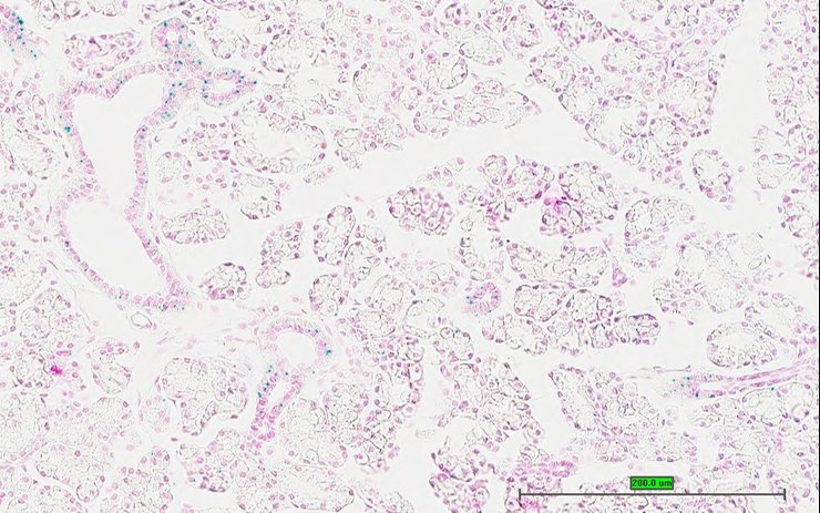
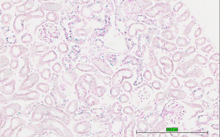
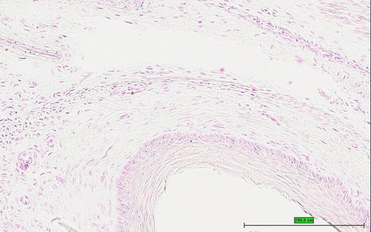
TS28: metanephros Present UC Davis_1884601 kidney

Specimen UC Davis_1884602: postnatal adult; Bcs1ltm1.1(KOMP)Vlcg/Bcs1l+ (more )
Structure Level Pattern Image Note
TS28: metanephros Present UC Davis_1884602 kidney

Specimen UC Davis_1884603: postnatal adult; Bcs1ltm1.1(KOMP)Vlcg/Bcs1l+ (more )
Structure Level Pattern Image Note
TS28: metanephros Present UC Davis_1884603 kidney

Specimen UC Davis_1884604: postnatal adult; Bcs1ltm1.1(KOMP)Vlcg/Bcs1l+ (more )
Structure Level Pattern Image Note
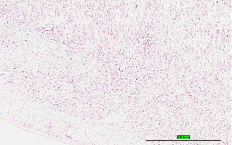
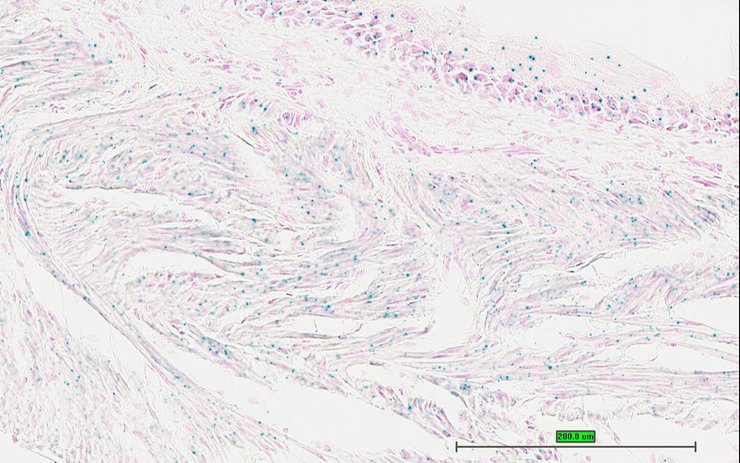
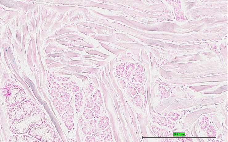
TS28: quadriceps femoris muscle Present UC Davis_1884604

Specimen UC Davis_1884605: postnatal adult; Bcs1ltm1.1(KOMP)Vlcg/Bcs1l+ (more )
Structure Level Pattern Image Note
TS28: quadriceps femoris muscle Present UC Davis_1884605

Specimen UC Davis_1884606: postnatal adult; Bcs1ltm1.1(KOMP)Vlcg/Bcs1l+ (more )
Structure Level Pattern Image Note
TS28: tongue Present UC Davis_1884606

Specimen UC Davis_1884607: postnatal adult; Bcs1ltm1.1(KOMP)Vlcg/Bcs1l+ (more )
Structure Level Pattern Image Note
TS28: tongue Present UC Davis_1884607

Specimen UC Davis_1884608: postnatal adult; Bcs1ltm1.1(KOMP)Vlcg/Bcs1l+ (more )
Structure Level Pattern Image Note
TS28: diaphragm Present UC Davis_1884608

Specimen UC Davis_1884609: postnatal adult; Bcs1ltm1.1(KOMP)Vlcg/Bcs1l+ (more )
Structure Level Pattern Image Note
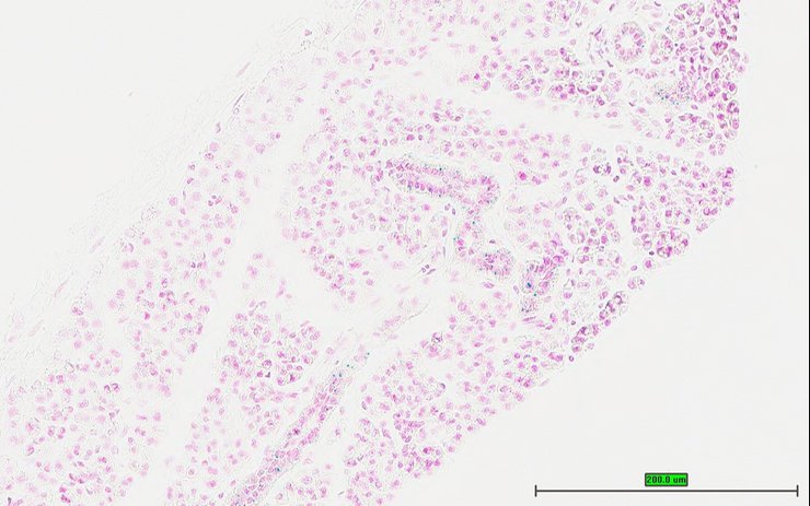
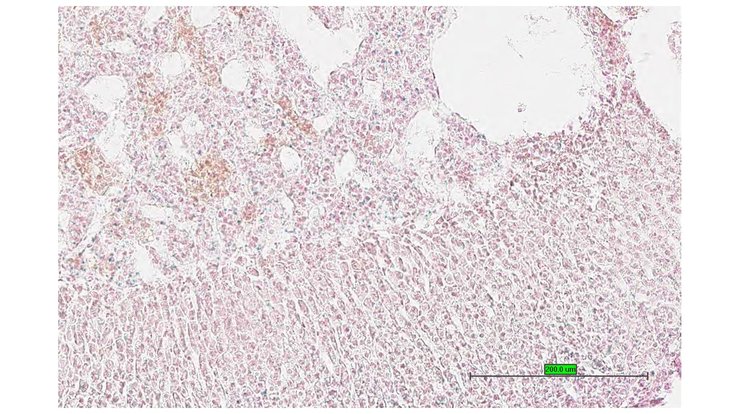
TS28: adrenal gland Present UC Davis_1884609

Specimen UC Davis_1884610: postnatal adult; Bcs1ltm1.1(KOMP)Vlcg/Bcs1l+ (more )
Structure Level Pattern Image Note
TS28: spinal cord Present UC Davis_1884610

Specimen UC Davis_1884611: postnatal adult; Bcs1ltm1.1(KOMP)Vlcg/Bcs1l+ (more )
Structure Level Pattern Image Note
TS28: spinal cord Present UC Davis_1884611

Specimen UC Davis_1884612: postnatal adult; Bcs1ltm1.1(KOMP)Vlcg/Bcs1l+ (more )
Structure Level Pattern Image Note
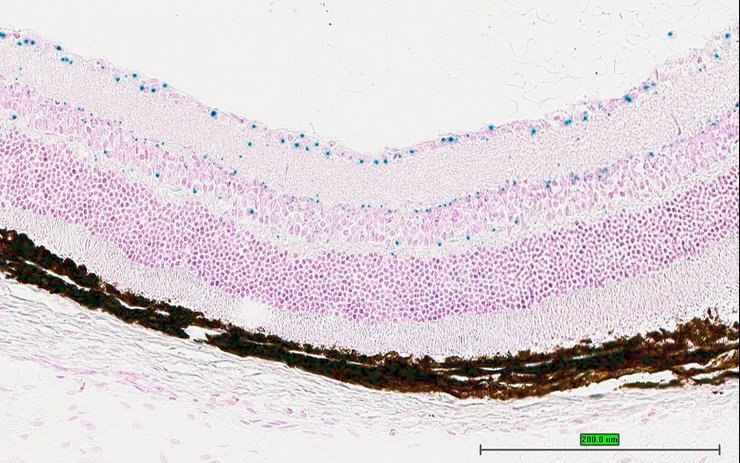
TS28: eye Present UC Davis_1884612

Specimen UC Davis_1884613: postnatal adult; Bcs1ltm1.1(KOMP)Vlcg/Bcs1l+ (more )
Structure Level Pattern Image Note
TS28: eye Present UC Davis_1884613

Specimen UC Davis_1884614: postnatal adult; Bcs1ltm1.1(KOMP)Vlcg/Bcs1l+ (more )
Structure Level Pattern Image Note
TS28: eye Present UC Davis_1884614

Specimen UC Davis_1884615: postnatal adult; Bcs1ltm1.1(KOMP)Vlcg/Bcs1l+ (more )
Structure Level Pattern Image Note
TS28: Harderian gland Present UC Davis_1884615

Specimen UC Davis_1884616: postnatal adult; Bcs1ltm1.1(KOMP)Vlcg/Bcs1l+ (more )
Structure Level Pattern Image Note
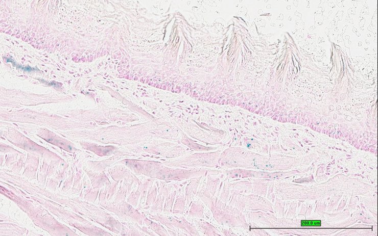
TS28: skin Present UC Davis_1884616

Specimen UC Davis_1884617: postnatal adult; Bcs1ltm1.1(KOMP)Vlcg/Bcs1l+ (more )
Structure Level Pattern Image Note
TS28: skin Present UC Davis_1884617

Specimen UC Davis_1884620: postnatal adult; Bcs1ltm1.1(KOMP)Vlcg/Bcs1l+ (more )
Structure Level Pattern Image Note
TS28: midbrain Present UC Davis_1884620

Specimen UC Davis_1884622: postnatal adult; Bcs1ltm1.1(KOMP)Vlcg/Bcs1l+ (more )
Structure Level Pattern Image Note
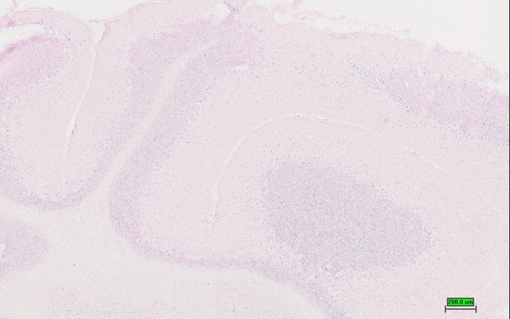
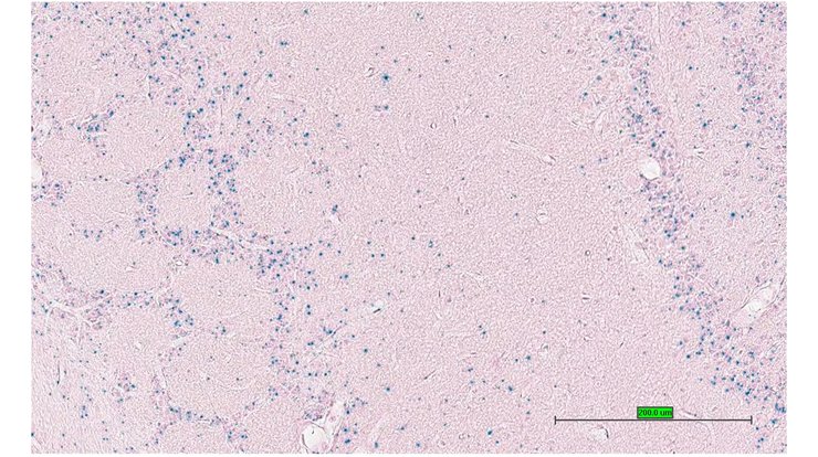
TS28: cerebellum Present UC Davis_1884622

Specimen UC Davis_1884623: postnatal adult; Bcs1ltm1.1(KOMP)Vlcg/Bcs1l+ (more )
Structure Level Pattern Image Note
TS28: trigeminal nerve Present UC Davis_1884623

Specimen UC Davis_1884624: postnatal adult; Bcs1ltm1.1(KOMP)Vlcg/Bcs1l+ (more )
Structure Level Pattern Image Note
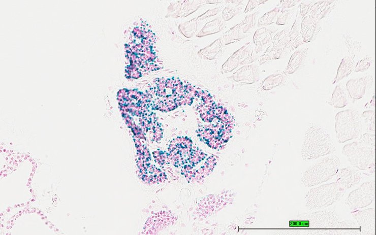
TS28: ovary Present UC Davis_1884624

Specimen UC Davis_1884625: postnatal adult; Bcs1ltm1.1(KOMP)Vlcg/Bcs1l+ (more )
Structure Level Pattern Image Note
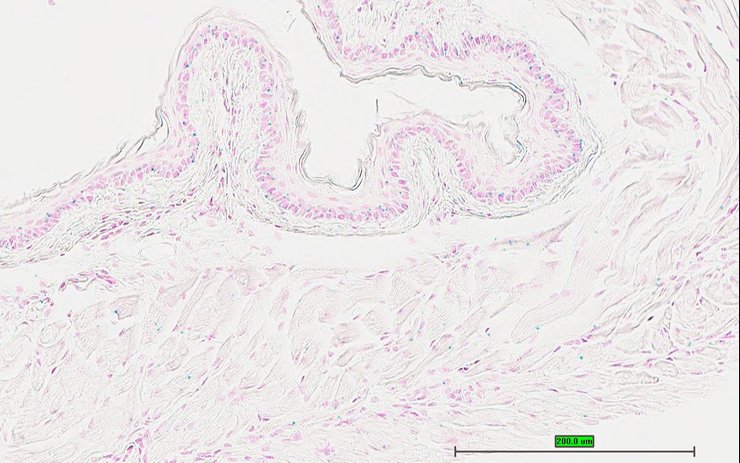
TS28: oviduct Present UC Davis_1884625

Specimen UC Davis_1884626: postnatal adult; Bcs1ltm1.1(KOMP)Vlcg/Bcs1l+ (more )
Structure Level Pattern Image Note
TS28: uterus Present UC Davis_1884626

Specimen UC Davis_1884627: postnatal adult; Bcs1ltm1.1(KOMP)Vlcg/Bcs1l+ (more )
Structure Level Pattern Image Note
TS28: uterus Present UC Davis_1884627

Specimen UC Davis_1884628: postnatal adult; Bcs1ltm1.1(KOMP)Vlcg/Bcs1l+ (more )
Structure Level Pattern Image Note
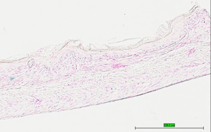
TS28: vagina Present UC Davis_1884628

Specimen UC Davis_1884629: postnatal adult; Bcs1ltm1.1(KOMP)Vlcg/Bcs1l+ (more )
Structure Level Pattern Image Note
TS28: bladder Present UC Davis_1884629

Specimen UC Davis_1884631: postnatal adult; Bcs1ltm1.1(KOMP)Vlcg/Bcs1l+ (more )
Structure Level Pattern Image Note
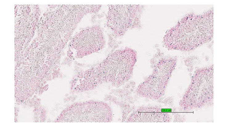
TS28: mammary gland Present UC Davis_1884631

Specimen UC Davis_1884632: postnatal adult; Bcs1ltm1.1(KOMP)Vlcg/Bcs1l+ (more )
Structure Level Pattern Image Note
TS28: sublingual gland Present UC Davis_1884632

Specimen UC Davis_1884633: postnatal adult; Bcs1ltm1.1(KOMP)Vlcg/Bcs1l+ (more )
Structure Level Pattern Image Note
TS28: trachea Present UC Davis_1884633

Specimen UC Davis_1884634: postnatal adult; Bcs1ltm1.1(KOMP)Vlcg/Bcs1l+ (more )
Structure Level Pattern Image Note
TS28: trachea Present UC Davis_1884634

Specimen UC Davis_1884635: postnatal adult; Bcs1ltm1.1(KOMP)Vlcg/Bcs1l+ (more )
Structure Level Pattern Image Note
TS28: esophagus Present UC Davis_1884635

Specimen UC Davis_1884637: postnatal adult; Bcs1ltm1.1(KOMP)Vlcg/Bcs1l+ (more )
Structure Level Pattern Image Note
TS28: thymus Present UC Davis_1884637

Specimen UC Davis_1884641: postnatal adult; Bcs1ltm1.1(KOMP)Vlcg/Bcs1l+ (more )
Structure Level Pattern Image Note
TS28: stomach Present UC Davis_1884641

Specimen UC Davis_1884642: postnatal adult; Bcs1ltm1.1(KOMP)Vlcg/Bcs1l+ (more )
Structure Level Pattern Image Note
TS28: stomach Present UC Davis_1884642

Specimen UC Davis_1884643: postnatal adult; Bcs1ltm1.1(KOMP)Vlcg/Bcs1l+ (more )
Structure Level Pattern Image Note
TS28: jejunum Present UC Davis_1884643

Specimen UC Davis_1884644: postnatal adult; Bcs1ltm1.1(KOMP)Vlcg/Bcs1l+ (more )
Structure Level Pattern Image Note
TS28: ileum Present UC Davis_1884644

Specimen UC Davis_1884645: postnatal adult; Bcs1ltm1.1(KOMP)Vlcg/Bcs1l+ (more )
Structure Level Pattern Image Note
TS28: colon Present UC Davis_1884645

Specimen UC Davis_1884646: postnatal adult; Bcs1ltm1.1(KOMP)Vlcg/Bcs1l+ (more )
Structure Level Pattern Image Note
TS28: colon Present UC Davis_1884646

Specimen UC Davis_1884647: postnatal adult; Bcs1ltm1.1(KOMP)Vlcg/Bcs1l+ (more )
Structure Level Pattern Image Note
TS28: metanephros Present UC Davis_1884647 kidney

Specimen UC Davis_1884648: postnatal adult; Bcs1ltm1.1(KOMP)Vlcg/Bcs1l+ (more )
Structure Level Pattern Image Note
TS28: metanephros Present UC Davis_1884648 kidney

Specimen UC Davis_1884649: postnatal adult; Bcs1ltm1.1(KOMP)Vlcg/Bcs1l+ (more )
Structure Level Pattern Image Note
TS28: metanephros Present UC Davis_1884649 kidney

Specimen UC Davis_1884650: postnatal adult; Bcs1ltm1.1(KOMP)Vlcg/Bcs1l+ (more )
Structure Level Pattern Image Note
TS28: adrenal gland Present UC Davis_1884650

Specimen UC Davis_1884651: postnatal adult; Bcs1ltm1.1(KOMP)Vlcg/Bcs1l+ (more )
Structure Level Pattern Image Note
TS28: spinal cord Present UC Davis_1884651

Specimen UC Davis_1884652: postnatal adult; Bcs1ltm1.1(KOMP)Vlcg/Bcs1l+ (more )
Structure Level Pattern Image Note
TS28: eye Present UC Davis_1884652

Specimen UC Davis_1884653: postnatal adult; Bcs1ltm1.1(KOMP)Vlcg/Bcs1l+ (more )
Structure Level Pattern Image Note
TS28: eye Present UC Davis_1884653

Specimen UC Davis_1884654: postnatal adult; Bcs1ltm1.1(KOMP)Vlcg/Bcs1l+ (more )
Structure Level Pattern Image Note
TS28: skin Present UC Davis_1884654

Specimen UC Davis_1884655: postnatal adult; Bcs1ltm1.1(KOMP)Vlcg/Bcs1l+ (more )
Structure Level Pattern Image Note
TS28: skin Present UC Davis_1884655

Specimen UC Davis_1884656: postnatal adult; Bcs1ltm1.1(KOMP)Vlcg/Bcs1l+ (more )
Structure Level Pattern Image Note
TS28: olfactory lobe Present UC Davis_1884656

Specimen UC Davis_1884659: postnatal adult; Bcs1ltm1.1(KOMP)Vlcg/Bcs1l+ (more )
Structure Level Pattern Image Note
TS28: midbrain Present UC Davis_1884659

Specimen UC Davis_1884661: postnatal adult; Bcs1ltm1.1(KOMP)Vlcg/Bcs1l+ (more )
Structure Level Pattern Image Note
TS28: cerebellum Present UC Davis_1884661

Specimen UC Davis_1884662: postnatal adult; Bcs1ltm1.1(KOMP)Vlcg/Bcs1l+ (more )
Structure Level Pattern Image Note
TS28: trigeminal nerve Present UC Davis_1884662

Specimen UC Davis_1884663: postnatal adult; Bcs1ltm1.1(KOMP)Vlcg/Bcs1l+ (more )
Structure Level Pattern Image Note
TS28: testis Present UC Davis_1884663

Specimen UC Davis_1884664: postnatal adult; Bcs1ltm1.1(KOMP)Vlcg/Bcs1l+ (more )
Structure Level Pattern Image Note
TS28: epididymis Present UC Davis_1884664

Specimen UC Davis_1884665: postnatal adult; Bcs1ltm1.1(KOMP)Vlcg/Bcs1l+ (more )
Structure Level Pattern Image Note
TS28: ductus deferens Present UC Davis_1884665 vas deferens


Contributing Projects:
Mouse Genome Database (MGD), Gene Expression Database (GXD), Mouse Models of Human Cancer database (MMHCdb) (formerly Mouse Tumor Biology (MTB)), Gene Ontology (GO)
Citing These Resources
Funding Information
Warranty Disclaimer, Privacy Notice, Licensing, & Copyright
Send questions and comments to User Support.
last database update
03/24/2026
MGI 6.24
The Jackson Laboratory