About   Help   FAQ
Gene Expression Data
Assay Details
Assay
Reference: J:228563 Koscielny G, et al., The International Mouse Phenotyping Consortium Web Portal, a unified point of access for knockout mice and related phenotyping data. Nucleic Acids Res. 2014 Jan;42(Database issue):D802-9
Assay type: In situ reporter (knock in)
MGI Accession ID: MGI:6691693
Gene symbol: Rbm4b
Gene name: RNA binding motif protein 4B
Reporter: lacZ
Direct Detection
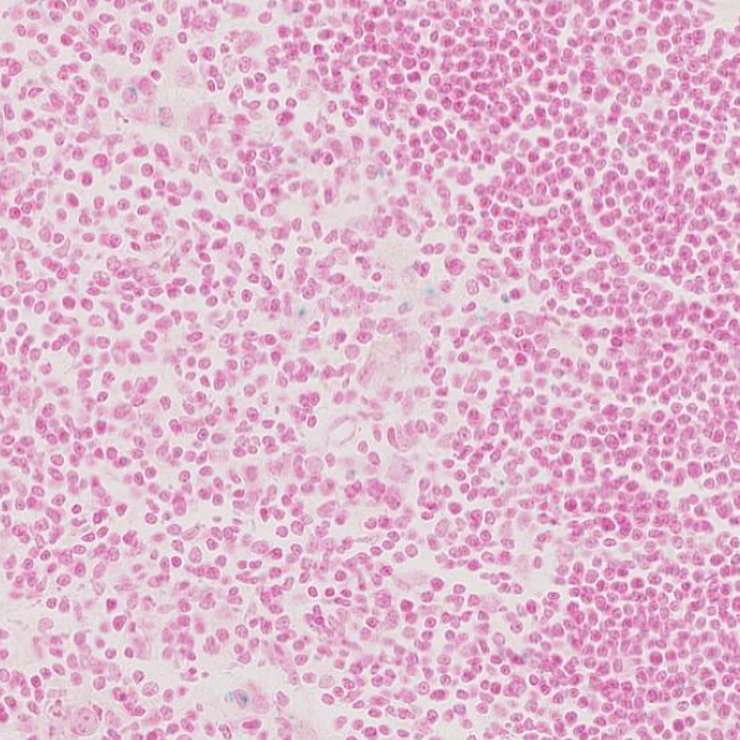
Results
Specimen JAX_1126255: embryonic day 12.5; Rbm4btm1.1(KOMP)Vlcg/Rbm4b+ (more )
Structure Level Pattern Image Note
TS20: embryo Present JAX_1126255

Specimen JAX_1126257: embryonic day 12.5; Rbm4btm1.1(KOMP)Vlcg/Rbm4b+ (more )
Structure Level Pattern Image Note
TS20: embryo Present JAX_1126257

Specimen JAX_1126259: embryonic day 12.5; Rbm4btm1.1(KOMP)Vlcg/Rbm4b+ (more )
Structure Level Pattern Image Note
TS20: embryo Present JAX_1126259

Specimen JAX_1126261: embryonic day 12.5; Rbm4btm1.1(KOMP)Vlcg/Rbm4b+ (more )
Structure Level Pattern Image Note
TS20: embryo Present JAX_1126261

Specimen JAX_1126247: embryonic day 12.5; Rbm4btm1.1(KOMP)Vlcg/Rbm4b+ (more )
Structure Level Pattern Image Note
TS20: embryo Present JAX_1126247

Specimen JAX_1126249: embryonic day 12.5; Rbm4btm1.1(KOMP)Vlcg/Rbm4b+ (more )
Structure Level Pattern Image Note
TS20: embryo Present JAX_1126249

Specimen JAX_1126251: embryonic day 12.5; Rbm4btm1.1(KOMP)Vlcg/Rbm4b+ (more )
Structure Level Pattern Image Note
TS20: embryo Present JAX_1126251

Specimen JAX_1126253: embryonic day 12.5; Rbm4btm1.1(KOMP)Vlcg/Rbm4b+ (more )
Structure Level Pattern Image Note
TS20: embryo Present JAX_1126253

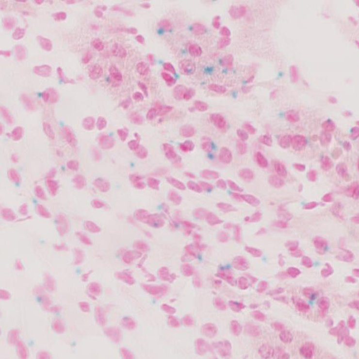
Specimen JAX_1306233: postnatal adult; Rbm4btm1.1(KOMP)Vlcg/Rbm4b+ (more )
Structure Level Pattern Image Note
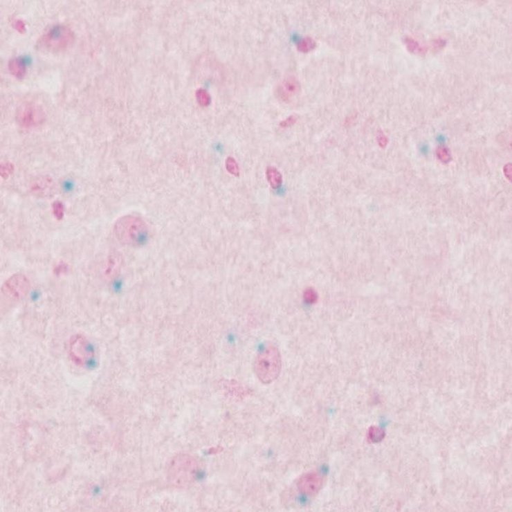
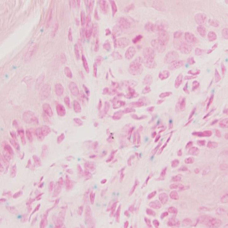
TS28: midbrain Present JAX_1306233

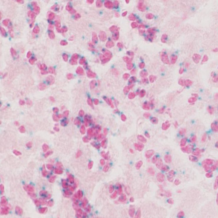
Specimen JAX_1306234: postnatal adult; Rbm4btm1.1(KOMP)Vlcg/Rbm4b+ (more )
Structure Level Pattern Image Note
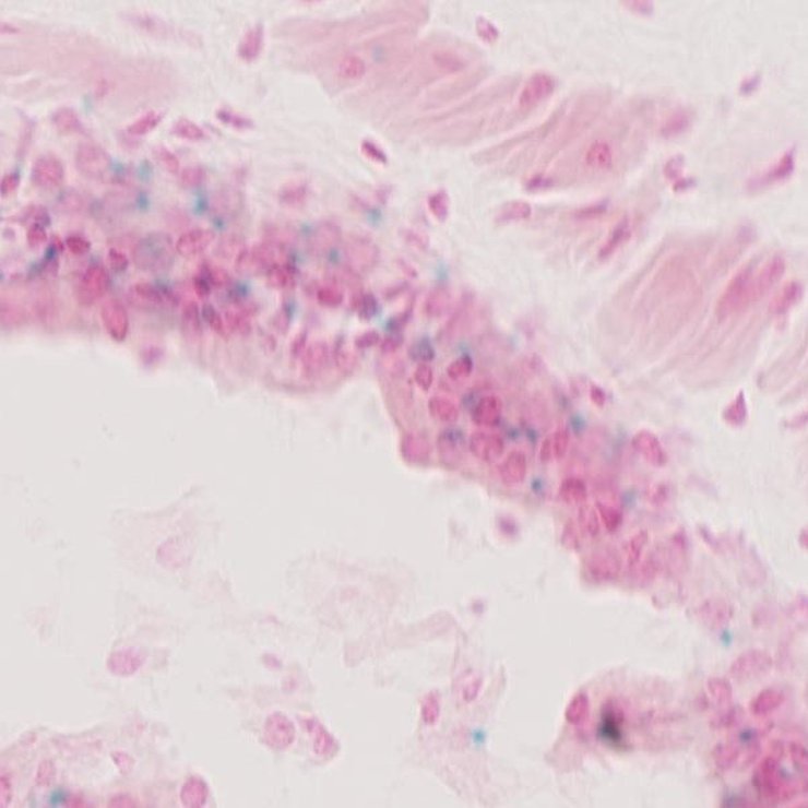
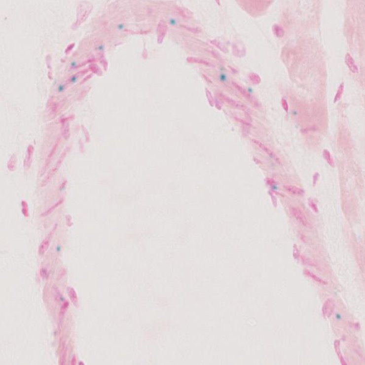
TS28: vascular system Present JAX_1306234

Specimen JAX_1306235: postnatal adult; Rbm4btm1.1(KOMP)Vlcg/Rbm4b+ (more )
Structure Level Pattern Image Note
TS28: corpus striatum Present JAX_1306235

Specimen JAX_1306236: postnatal adult; Rbm4btm1.1(KOMP)Vlcg/Rbm4b+ (more )
Structure Level Pattern Image Note
TS28: peripheral nervous system Present JAX_1306236

Specimen JAX_1306237: postnatal adult; Rbm4btm1.1(KOMP)Vlcg/Rbm4b+ (more )
Structure Level Pattern Image Note
TS28: olfactory lobe Present JAX_1306237

Specimen JAX_1306238: postnatal adult; Rbm4btm1.1(KOMP)Vlcg/Rbm4b+ (more )
Structure Level Pattern Image Note
TS28: cerebral cortex Present JAX_1306238

Specimen JAX_1306239: postnatal adult; Rbm4btm1.1(KOMP)Vlcg/Rbm4b+ (more )
Structure Level Pattern Image Note
TS28: brainstem Present JAX_1306239

Specimen JAX_1306240: postnatal adult; Rbm4btm1.1(KOMP)Vlcg/Rbm4b+ (more )
Structure Level Pattern Image Note
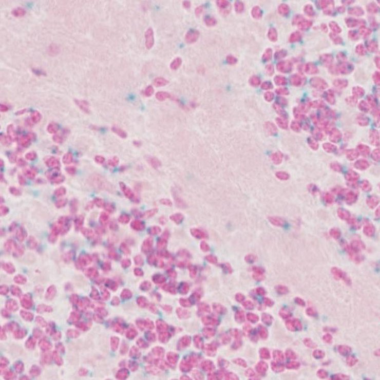
TS28: spleen Present JAX_1306240

Specimen JAX_1306241: postnatal adult; Rbm4btm1.1(KOMP)Vlcg/Rbm4b+ (more )
Structure Level Pattern Image Note
TS28: white fat Present JAX_1306241

Specimen JAX_1306242: postnatal adult; Rbm4btm1.1(KOMP)Vlcg/Rbm4b+ (more )
Structure Level Pattern Image Note
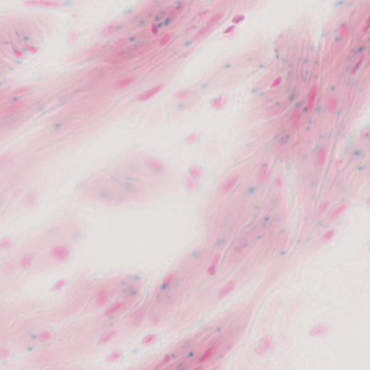
TS28: skeletal muscle tissue Present JAX_1306242

Specimen JAX_1306243: postnatal adult; Rbm4btm1.1(KOMP)Vlcg/Rbm4b+ (more )
Structure Level Pattern Image Note
TS28: thyroid gland Present JAX_1306243

Specimen JAX_1306244: postnatal adult; Rbm4btm1.1(KOMP)Vlcg/Rbm4b+ (more )
Structure Level Pattern Image Note
TS28: large intestine Present JAX_1306244

Specimen JAX_1306245: postnatal adult; Rbm4btm1.1(KOMP)Vlcg/Rbm4b+ (more )
Structure Level Pattern Image Note
TS28: uterus Present JAX_1306245

Specimen JAX_1306246: postnatal adult; Rbm4btm1.1(KOMP)Vlcg/Rbm4b+ (more )
Structure Level Pattern Image Note
TS28: thymus Present JAX_1306246

Specimen JAX_1306247: postnatal adult; Rbm4btm1.1(KOMP)Vlcg/Rbm4b+ (more )
Structure Level Pattern Image Note
TS28: skin Present JAX_1306247

Specimen JAX_1306248: postnatal adult; Rbm4btm1.1(KOMP)Vlcg/Rbm4b+ (more )
Structure Level Pattern Image Note
TS28: oviduct Present JAX_1306248

Specimen JAX_1306249: postnatal adult; Rbm4btm1.1(KOMP)Vlcg/Rbm4b+ (more )
Structure Level Pattern Image Note
TS28: ovary Present JAX_1306249

Specimen JAX_1306250: postnatal adult; Rbm4btm1.1(KOMP)Vlcg/Rbm4b+ (more )
Structure Level Pattern Image Note
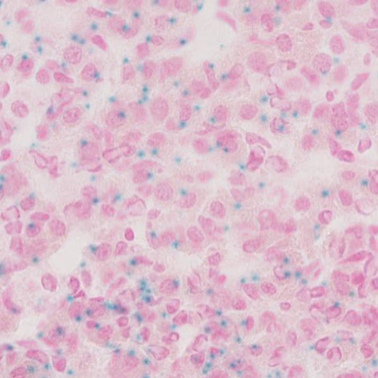
TS28: liver Present JAX_1306250

Specimen JAX_1306251: postnatal adult; Rbm4btm1.1(KOMP)Vlcg/Rbm4b+ (more )
Structure Level Pattern Image Note
TS28: eye Present JAX_1306251

Specimen JAX_1306252: postnatal adult; Rbm4btm1.1(KOMP)Vlcg/Rbm4b+ (more )
Structure Level Pattern Image Note
TS28: brain Present JAX_1306252

Specimen JAX_1306253: postnatal adult; Rbm4btm1.1(KOMP)Vlcg/Rbm4b+ (more )
Structure Level Pattern Image Note
TS28: adrenal gland Present JAX_1306253

Specimen JAX_1306254: postnatal adult; Rbm4btm1.1(KOMP)Vlcg/Rbm4b+ (more )
Structure Level Pattern Image Note
TS28: thalamus Present JAX_1306254

Specimen JAX_1306255: postnatal adult; Rbm4btm1.1(KOMP)Vlcg/Rbm4b+ (more )
Structure Level Pattern Image Note
TS28: epididymis Present JAX_1306255

Specimen JAX_1306256: postnatal adult; Rbm4btm1.1(KOMP)Vlcg/Rbm4b+ (more )
Structure Level Pattern Image Note
TS28: submandibular gland Present JAX_1306256

Specimen JAX_1306257: postnatal adult; Rbm4btm1.1(KOMP)Vlcg/Rbm4b+ (more )
Structure Level Pattern Image Note
TS28: bladder Present JAX_1306257

Specimen JAX_1306258: postnatal adult; Rbm4btm1.1(KOMP)Vlcg/Rbm4b+ (more )
Structure Level Pattern Image Note
TS28: Peyer's patch Present JAX_1306258

Specimen JAX_1306259: postnatal adult; Rbm4btm1.1(KOMP)Vlcg/Rbm4b+ (more )
Structure Level Pattern Image Note
TS28: hypothalamus Present JAX_1306259

Specimen JAX_1306260: postnatal adult; Rbm4btm1.1(KOMP)Vlcg/Rbm4b+ (more )
Structure Level Pattern Image Note
TS28: hippocampus Present JAX_1306260

Specimen JAX_1306261: postnatal adult; Rbm4btm1.1(KOMP)Vlcg/Rbm4b+ (more )
Structure Level Pattern Image Note
TS28: cerebellum Present JAX_1306261

Specimen JAX_1306262: postnatal adult; Rbm4btm1.1(KOMP)Vlcg/Rbm4b+ (more )
Structure Level Pattern Image Note
TS28: cartilage Present JAX_1306262

Specimen JAX_1306263: postnatal adult; Rbm4btm1.1(KOMP)Vlcg/Rbm4b+ (more )
Structure Level Pattern Image Note
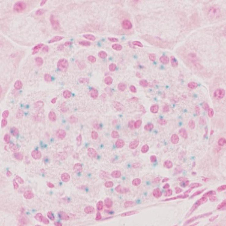
TS28: pancreas Present JAX_1306263

Specimen JAX_1306264: postnatal adult; Rbm4btm1.1(KOMP)Vlcg/Rbm4b+ (more )
Structure Level Pattern Image Note
TS28: aorta Present JAX_1306264

Specimen JAX_1306265: postnatal adult; Rbm4btm1.1(KOMP)Vlcg/Rbm4b+ (more )
Structure Level Pattern Image Note
TS28: small intestine Present JAX_1306265

Specimen JAX_1306266: postnatal adult; Rbm4btm1.1(KOMP)Vlcg/Rbm4b+ (more )
Structure Level Pattern Image Note
TS28: pituitary gland Present JAX_1306266

Specimen JAX_1306267: postnatal adult; Rbm4btm1.1(KOMP)Vlcg/Rbm4b+ (more )
Structure Level Pattern Image Note
TS28: spinal cord Present JAX_1306267

Specimen JAX_1306268: postnatal adult; Rbm4btm1.1(KOMP)Vlcg/Rbm4b+ (more )
Structure Level Pattern Image Note
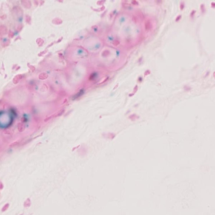
TS28: esophagus Present JAX_1306268

Specimen JAX_1306269: postnatal adult; Rbm4btm1.1(KOMP)Vlcg/Rbm4b+ (more )
Structure Level Pattern Image Note
TS28: trachea Present JAX_1306269

Specimen JAX_1306270: postnatal adult; Rbm4btm1.1(KOMP)Vlcg/Rbm4b+ (more )
Structure Level Pattern Image Note
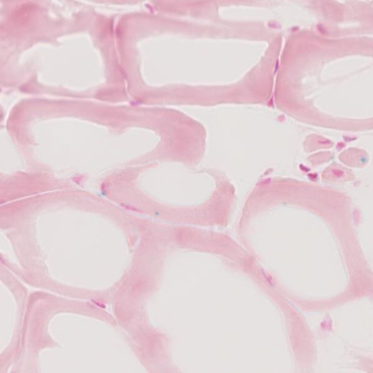
TS28: testis Present JAX_1306270

Specimen JAX_1306271: postnatal adult; Rbm4btm1.1(KOMP)Vlcg/Rbm4b+ (more )
Structure Level Pattern Image Note
TS28: stomach Present JAX_1306271

Specimen JAX_1306272: postnatal adult; Rbm4btm1.1(KOMP)Vlcg/Rbm4b+ (more )
Structure Level Pattern Image Note
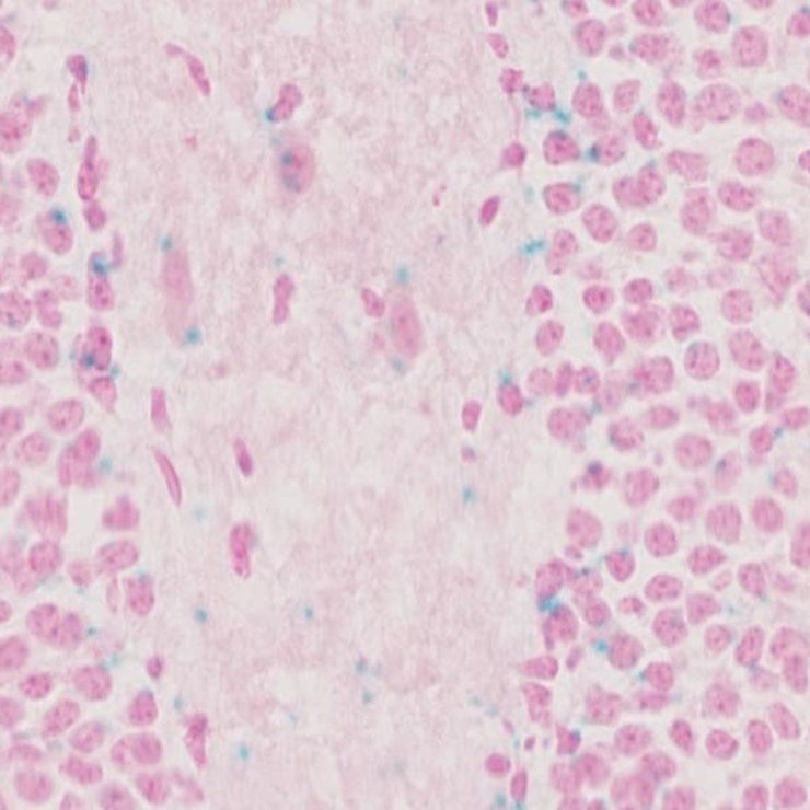
TS28: lymph node Present JAX_1306272

Specimen JAX_1306273: postnatal adult; Rbm4btm1.1(KOMP)Vlcg/Rbm4b+ (more )
Structure Level Pattern Image Note
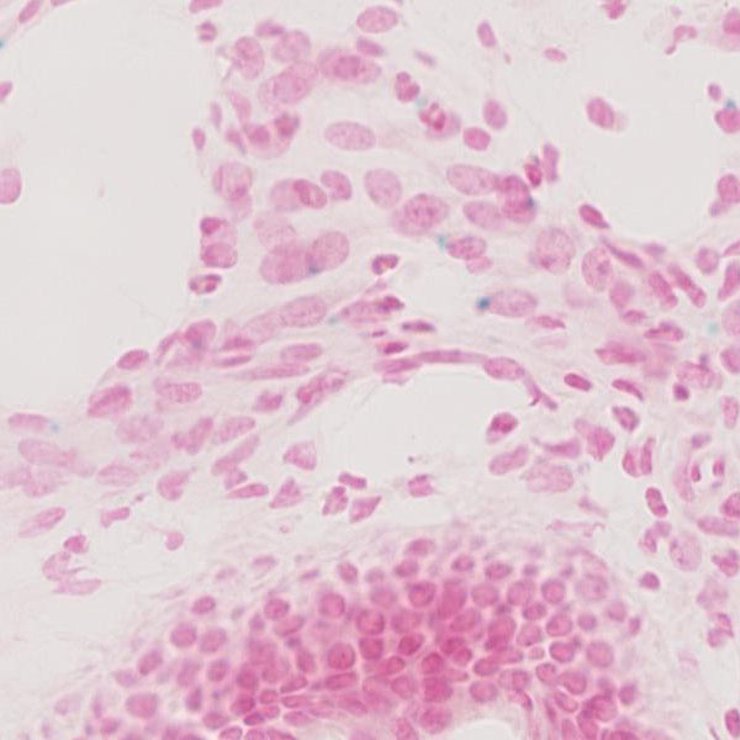
TS28: metanephros Present JAX_1306273 kidney

Specimen JAX_1306274: postnatal adult; Rbm4btm1.1(KOMP)Vlcg/Rbm4b+ (more )
Structure Level Pattern Image Note
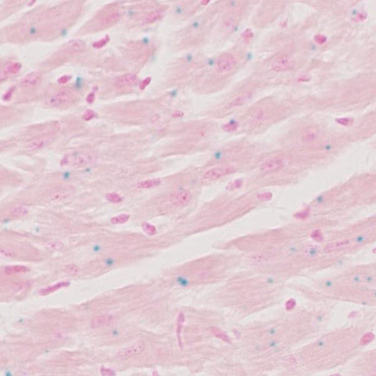
TS28: heart Present JAX_1306274


Contributing Projects:
Mouse Genome Database (MGD), Gene Expression Database (GXD), Mouse Models of Human Cancer database (MMHCdb) (formerly Mouse Tumor Biology (MTB)), Gene Ontology (GO)
Citing These Resources
Funding Information
Warranty Disclaimer, Privacy Notice, Licensing, & Copyright
Send questions and comments to User Support.
last database update
03/24/2026
MGI 6.24
The Jackson Laboratory