About   Help   FAQ
Gene Expression Data
Assay Details
Assay
Reference: J:228563 Koscielny G, et al., The International Mouse Phenotyping Consortium Web Portal, a unified point of access for knockout mice and related phenotyping data. Nucleic Acids Res. 2014 Jan;42(Database issue):D802-9
Assay type: In situ reporter (knock in)
MGI Accession ID: MGI:6691682
Gene symbol: Lamtor1
Gene name: late endosomal/lysosomal adaptor, MAPK and MTOR activator 1
Reporter: lacZ
Direct Detection
Results
Specimen UC Davis_1888427: postnatal adult; Lamtor1tm1b(KOMP)Wtsi/Lamtor1+ (more )
Structure Level Pattern Image Note
TS28: submandibular gland Present UC Davis_1888427

Specimen UC Davis_1888428: postnatal adult; Lamtor1tm1b(KOMP)Wtsi/Lamtor1+ (more )
Structure Level Pattern Image Note
TS28: sublingual gland Present UC Davis_1888428

Specimen UC Davis_1888429: postnatal adult; Lamtor1tm1b(KOMP)Wtsi/Lamtor1+ (more )
Structure Level Pattern Image Note
TS28: parotid gland Present UC Davis_1888429

Specimen UC Davis_1888430: postnatal adult; Lamtor1tm1b(KOMP)Wtsi/Lamtor1+ (more )
Structure Level Pattern Image Note
TS28: trachea Present UC Davis_1888430

Specimen UC Davis_1888431: postnatal adult; Lamtor1tm1b(KOMP)Wtsi/Lamtor1+ (more )
Structure Level Pattern Image Note
TS28: trachea Present UC Davis_1888431

Specimen UC Davis_1888432: postnatal adult; Lamtor1tm1b(KOMP)Wtsi/Lamtor1+ (more )
Structure Level Pattern Image Note
TS28: trachea Present UC Davis_1888432

Specimen UC Davis_1888433: postnatal adult; Lamtor1tm1b(KOMP)Wtsi/Lamtor1+ (more )
Structure Level Pattern Image Note
TS28: trachea Present UC Davis_1888433

Specimen UC Davis_1888434: postnatal adult; Lamtor1tm1b(KOMP)Wtsi/Lamtor1+ (more )
Structure Level Pattern Image Note
TS28: esophagus Present UC Davis_1888434

Specimen UC Davis_1888435: postnatal adult; Lamtor1tm1b(KOMP)Wtsi/Lamtor1+ (more )
Structure Level Pattern Image Note
TS28: parathyroid gland Present UC Davis_1888435

Specimen UC Davis_1888436: postnatal adult; Lamtor1tm1b(KOMP)Wtsi/Lamtor1+ (more )
Structure Level Pattern Image Note
TS28: lung Present UC Davis_1888436

Specimen UC Davis_1888437: postnatal adult; Lamtor1tm1b(KOMP)Wtsi/Lamtor1+ (more )
Structure Level Pattern Image Note
TS28: thymus Present UC Davis_1888437

Specimen UC Davis_1888438: postnatal adult; Lamtor1tm1b(KOMP)Wtsi/Lamtor1+ (more )
Structure Level Pattern Image Note
TS28: thymus Present UC Davis_1888438

Specimen UC Davis_1888443: postnatal adult; Lamtor1tm1b(KOMP)Wtsi/Lamtor1+ (more )
Structure Level Pattern Image Note
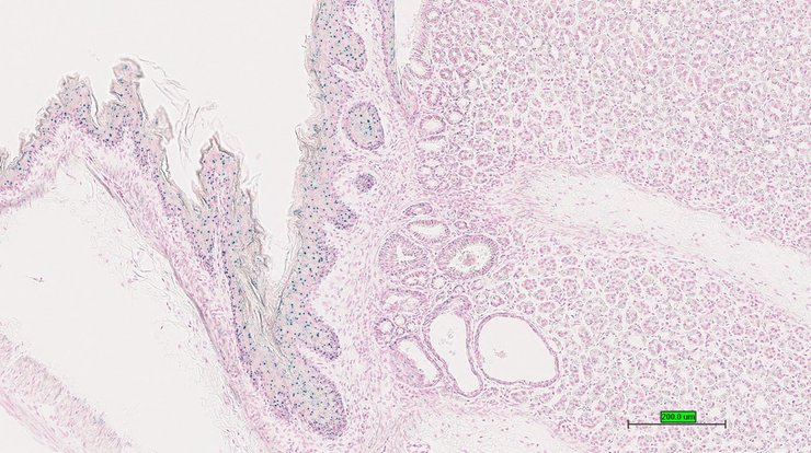
TS28: stomach Present UC Davis_1888443

Specimen UC Davis_1888444: postnatal adult; Lamtor1tm1b(KOMP)Wtsi/Lamtor1+ (more )
Structure Level Pattern Image Note
TS28: stomach Present UC Davis_1888444

Specimen UC Davis_1888445: postnatal adult; Lamtor1tm1b(KOMP)Wtsi/Lamtor1+ (more )
Structure Level Pattern Image Note
TS28: stomach Present UC Davis_1888445

Specimen UC Davis_1888446: postnatal adult; Lamtor1tm1b(KOMP)Wtsi/Lamtor1+ (more )
Structure Level Pattern Image Note
TS28: ileum Present UC Davis_1888446

Specimen UC Davis_1888447: postnatal adult; Lamtor1tm1b(KOMP)Wtsi/Lamtor1+ (more )
Structure Level Pattern Image Note
TS28: colon Present UC Davis_1888447

Specimen UC Davis_1888448: postnatal adult; Lamtor1tm1b(KOMP)Wtsi/Lamtor1+ (more )
Structure Level Pattern Image Note
TS28: cecum Present UC Davis_1888448

Specimen UC Davis_1888449: postnatal adult; Lamtor1tm1b(KOMP)Wtsi/Lamtor1+ (more )
Structure Level Pattern Image Note
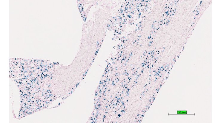
TS28: spleen Present UC Davis_1888449

Specimen UC Davis_1888450: postnatal adult; Lamtor1tm1b(KOMP)Wtsi/Lamtor1+ (more )
Structure Level Pattern Image Note
TS28: metanephros Present UC Davis_1888450 kidney

Specimen UC Davis_1888451: postnatal adult; Lamtor1tm1b(KOMP)Wtsi/Lamtor1+ (more )
Structure Level Pattern Image Note
TS28: metanephros Present UC Davis_1888451 kidney

Specimen UC Davis_1888452: postnatal adult; Lamtor1tm1b(KOMP)Wtsi/Lamtor1+ (more )
Structure Level Pattern Image Note
TS28: metanephros Present UC Davis_1888452 kidney

Specimen UC Davis_1888453: postnatal adult; Lamtor1tm1b(KOMP)Wtsi/Lamtor1+ (more )
Structure Level Pattern Image Note
TS28: quadriceps femoris muscle Present UC Davis_1888453

Specimen UC Davis_1888454: postnatal adult; Lamtor1tm1b(KOMP)Wtsi/Lamtor1+ (more )
Structure Level Pattern Image Note
TS28: tongue Present UC Davis_1888454

Specimen UC Davis_1888455: postnatal adult; Lamtor1tm1b(KOMP)Wtsi/Lamtor1+ (more )
Structure Level Pattern Image Note
TS28: tongue Present UC Davis_1888455

Specimen UC Davis_1888456: postnatal adult; Lamtor1tm1b(KOMP)Wtsi/Lamtor1+ (more )
Structure Level Pattern Image Note
TS28: tongue Present UC Davis_1888456

Specimen UC Davis_1888457: postnatal adult; Lamtor1tm1b(KOMP)Wtsi/Lamtor1+ (more )
Structure Level Pattern Image Note
TS28: tongue Present UC Davis_1888457

Specimen UC Davis_1888458: postnatal adult; Lamtor1tm1b(KOMP)Wtsi/Lamtor1+ (more )
Structure Level Pattern Image Note
TS28: tongue Present UC Davis_1888458

Specimen UC Davis_1888459: postnatal adult; Lamtor1tm1b(KOMP)Wtsi/Lamtor1+ (more )
Structure Level Pattern Image Note
TS28: adrenal gland Present UC Davis_1888459

Specimen UC Davis_1888460: postnatal adult; Lamtor1tm1b(KOMP)Wtsi/Lamtor1+ (more )
Structure Level Pattern Image Note
TS28: adrenal gland Present UC Davis_1888460

Specimen UC Davis_1888461: postnatal adult; Lamtor1tm1b(KOMP)Wtsi/Lamtor1+ (more )
Structure Level Pattern Image Note
TS28: pituitary gland Present UC Davis_1888461

Specimen UC Davis_1888462: postnatal adult; Lamtor1tm1b(KOMP)Wtsi/Lamtor1+ (more )
Structure Level Pattern Image Note
TS28: spinal cord Present UC Davis_1888462

Specimen UC Davis_1888463: postnatal adult; Lamtor1tm1b(KOMP)Wtsi/Lamtor1+ (more )
Structure Level Pattern Image Note
TS28: eye Present UC Davis_1888463

Specimen UC Davis_1888465: postnatal adult; Lamtor1tm1b(KOMP)Wtsi/Lamtor1+ (more )
Structure Level Pattern Image Note
TS28: Harderian gland Present UC Davis_1888465

Specimen UC Davis_1888466: postnatal adult; Lamtor1tm1b(KOMP)Wtsi/Lamtor1+ (more )
Structure Level Pattern Image Note
TS28: Harderian gland Present UC Davis_1888466

Specimen UC Davis_1888467: postnatal adult; Lamtor1tm1b(KOMP)Wtsi/Lamtor1+ (more )
Structure Level Pattern Image Note
TS28: Harderian gland Present UC Davis_1888467

Specimen UC Davis_1888468: postnatal adult; Lamtor1tm1b(KOMP)Wtsi/Lamtor1+ (more )
Structure Level Pattern Image Note
TS28: gonadal fat pad Present UC Davis_1888468

Specimen UC Davis_1888469: postnatal adult; Lamtor1tm1b(KOMP)Wtsi/Lamtor1+ (more )
Structure Level Pattern Image Note
TS28: gonadal fat pad Present UC Davis_1888469

Specimen UC Davis_1888470: postnatal adult; Lamtor1tm1b(KOMP)Wtsi/Lamtor1+ (more )
Structure Level Pattern Image Note
TS28: skin Present UC Davis_1888470

Specimen UC Davis_1888471: postnatal adult; Lamtor1tm1b(KOMP)Wtsi/Lamtor1+ (more )
Structure Level Pattern Image Note
TS28: skin Present UC Davis_1888471

Specimen UC Davis_1888472: postnatal adult; Lamtor1tm1b(KOMP)Wtsi/Lamtor1+ (more )
Structure Level Pattern Image Note
TS28: skin Present UC Davis_1888472

Specimen UC Davis_1888473: postnatal adult; Lamtor1tm1b(KOMP)Wtsi/Lamtor1+ (more )
Structure Level Pattern Image Note
TS28: skin Present UC Davis_1888473

Specimen UC Davis_1888474: postnatal adult; Lamtor1tm1b(KOMP)Wtsi/Lamtor1+ (more )
Structure Level Pattern Image Note
TS28: skin Present UC Davis_1888474

Specimen UC Davis_1888475: postnatal adult; Lamtor1tm1b(KOMP)Wtsi/Lamtor1+ (more )
Structure Level Pattern Image Note
TS28: olfactory lobe Present UC Davis_1888475

Specimen UC Davis_1888479: postnatal adult; Lamtor1tm1b(KOMP)Wtsi/Lamtor1+ (more )
Structure Level Pattern Image Note
TS28: midbrain Present UC Davis_1888479

Specimen UC Davis_1888481: postnatal adult; Lamtor1tm1b(KOMP)Wtsi/Lamtor1+ (more )
Structure Level Pattern Image Note
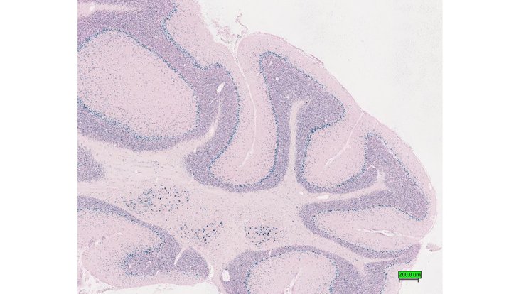
TS28: cerebellum Present UC Davis_1888481

Specimen UC Davis_1888482: postnatal adult; Lamtor1tm1b(KOMP)Wtsi/Lamtor1+ (more )
Structure Level Pattern Image Note
TS28: trigeminal nerve Present UC Davis_1888482

Specimen UC Davis_1888483: postnatal adult; Lamtor1tm1b(KOMP)Wtsi/Lamtor1+ (more )
Structure Level Pattern Image Note
TS28: trigeminal nerve Present UC Davis_1888483

Specimen UC Davis_1888484: postnatal adult; Lamtor1tm1b(KOMP)Wtsi/Lamtor1+ (more )
Structure Level Pattern Image Note
TS28: trigeminal nerve Present UC Davis_1888484

Specimen UC Davis_1888485: postnatal adult; Lamtor1tm1b(KOMP)Wtsi/Lamtor1+ (more )
Structure Level Pattern Image Note
TS28: ovary Present UC Davis_1888485

Specimen UC Davis_1888486: postnatal adult; Lamtor1tm1b(KOMP)Wtsi/Lamtor1+ (more )
Structure Level Pattern Image Note
TS28: ovary Present UC Davis_1888486

Specimen UC Davis_1888487: postnatal adult; Lamtor1tm1b(KOMP)Wtsi/Lamtor1+ (more )
Structure Level Pattern Image Note
TS28: oviduct Present UC Davis_1888487

Specimen UC Davis_1888488: postnatal adult; Lamtor1tm1b(KOMP)Wtsi/Lamtor1+ (more )
Structure Level Pattern Image Note
TS28: oviduct Present UC Davis_1888488

Specimen UC Davis_1888489: postnatal adult; Lamtor1tm1b(KOMP)Wtsi/Lamtor1+ (more )
Structure Level Pattern Image Note
TS28: uterus Present UC Davis_1888489

Specimen UC Davis_1888490: postnatal adult; Lamtor1tm1b(KOMP)Wtsi/Lamtor1+ (more )
Structure Level Pattern Image Note
TS28: uterus Present UC Davis_1888490

Specimen UC Davis_1888491: postnatal adult; Lamtor1tm1b(KOMP)Wtsi/Lamtor1+ (more )
Structure Level Pattern Image Note
TS28: vagina Present UC Davis_1888491

Specimen UC Davis_1888492: postnatal adult; Lamtor1tm1b(KOMP)Wtsi/Lamtor1+ (more )
Structure Level Pattern Image Note
TS28: vagina Present UC Davis_1888492

Specimen UC Davis_1888493: postnatal adult; Lamtor1tm1b(KOMP)Wtsi/Lamtor1+ (more )
Structure Level Pattern Image Note
TS28: bladder Present UC Davis_1888493

Specimen UC Davis_1888494: postnatal adult; Lamtor1tm1b(KOMP)Wtsi/Lamtor1+ (more )
Structure Level Pattern Image Note
TS28: bladder Present UC Davis_1888494

Specimen UC Davis_1888496: postnatal adult; Lamtor1tm1b(KOMP)Wtsi/Lamtor1+ (more )
Structure Level Pattern Image Note
TS28: mammary gland Present UC Davis_1888496

Specimen UC Davis_1888497: postnatal adult; Lamtor1tm1b(KOMP)Wtsi/Lamtor1+ (more )
Structure Level Pattern Image Note
TS28: mammary gland Present UC Davis_1888497

Specimen UC Davis_1888498: postnatal adult; Lamtor1tm1b(KOMP)Wtsi/Lamtor1+ (more )
Structure Level Pattern Image Note
TS28: mammary gland Present UC Davis_1888498

Specimen UC Davis_1888499: postnatal adult; Lamtor1tm1b(KOMP)Wtsi/Lamtor1+ (more )
Structure Level Pattern Image Note
TS28: submandibular gland Present UC Davis_1888499

Specimen UC Davis_1888500: postnatal adult; Lamtor1tm1b(KOMP)Wtsi/Lamtor1+ (more )
Structure Level Pattern Image Note
TS28: submandibular gland Present UC Davis_1888500

Specimen UC Davis_1888501: postnatal adult; Lamtor1tm1b(KOMP)Wtsi/Lamtor1+ (more )
Structure Level Pattern Image Note
TS28: sublingual gland Present UC Davis_1888501

Specimen UC Davis_1888502: postnatal adult; Lamtor1tm1b(KOMP)Wtsi/Lamtor1+ (more )
Structure Level Pattern Image Note
TS28: parotid gland Present UC Davis_1888502

Specimen UC Davis_1888504: postnatal adult; Lamtor1tm1b(KOMP)Wtsi/Lamtor1+ (more )
Structure Level Pattern Image Note
TS28: trachea Present UC Davis_1888504

Specimen UC Davis_1888505: postnatal adult; Lamtor1tm1b(KOMP)Wtsi/Lamtor1+ (more )
Structure Level Pattern Image Note
TS28: trachea Present UC Davis_1888505

Specimen UC Davis_1888506: postnatal adult; Lamtor1tm1b(KOMP)Wtsi/Lamtor1+ (more )
Structure Level Pattern Image Note
TS28: esophagus Present UC Davis_1888506

Specimen UC Davis_1888507: postnatal adult; Lamtor1tm1b(KOMP)Wtsi/Lamtor1+ (more )
Structure Level Pattern Image Note
TS28: esophagus Present UC Davis_1888507

Specimen UC Davis_1888508: postnatal adult; Lamtor1tm1b(KOMP)Wtsi/Lamtor1+ (more )
Structure Level Pattern Image Note
TS28: thyroid gland Present UC Davis_1888508

Specimen UC Davis_1888510: postnatal adult; Lamtor1tm1b(KOMP)Wtsi/Lamtor1+ (more )
Structure Level Pattern Image Note
TS28: parathyroid gland Present UC Davis_1888510

Specimen UC Davis_1888511: postnatal adult; Lamtor1tm1b(KOMP)Wtsi/Lamtor1+ (more )
Structure Level Pattern Image Note
TS28: aorta Present UC Davis_1888511

Specimen UC Davis_1888512: postnatal adult; Lamtor1tm1b(KOMP)Wtsi/Lamtor1+ (more )
Structure Level Pattern Image Note
TS28: lung Present UC Davis_1888512

Specimen UC Davis_1888513: postnatal adult; Lamtor1tm1b(KOMP)Wtsi/Lamtor1+ (more )
Structure Level Pattern Image Note
TS28: lung Present UC Davis_1888513

Specimen UC Davis_1888514: postnatal adult; Lamtor1tm1b(KOMP)Wtsi/Lamtor1+ (more )
Structure Level Pattern Image Note
TS28: thymus Present UC Davis_1888514

Specimen UC Davis_1888518: postnatal adult; Lamtor1tm1b(KOMP)Wtsi/Lamtor1+ (more )
Structure Level Pattern Image Note
TS28: mesenteric lymph node Present UC Davis_1888518

Specimen UC Davis_1888519: postnatal adult; Lamtor1tm1b(KOMP)Wtsi/Lamtor1+ (more )
Structure Level Pattern Image Note
TS28: mesenteric lymph node Present UC Davis_1888519

Specimen UC Davis_1888520: postnatal adult; Lamtor1tm1b(KOMP)Wtsi/Lamtor1+ (more )
Structure Level Pattern Image Note
TS28: stomach Present UC Davis_1888520

Specimen UC Davis_1888521: postnatal adult; Lamtor1tm1b(KOMP)Wtsi/Lamtor1+ (more )
Structure Level Pattern Image Note
TS28: stomach Present UC Davis_1888521

Specimen UC Davis_1888522: postnatal adult; Lamtor1tm1b(KOMP)Wtsi/Lamtor1+ (more )
Structure Level Pattern Image Note
TS28: stomach Present UC Davis_1888522

Specimen UC Davis_1888523: postnatal adult; Lamtor1tm1b(KOMP)Wtsi/Lamtor1+ (more )
Structure Level Pattern Image Note
TS28: duodenum Present UC Davis_1888523

Specimen UC Davis_1888524: postnatal adult; Lamtor1tm1b(KOMP)Wtsi/Lamtor1+ (more )
Structure Level Pattern Image Note
TS28: ileum Present UC Davis_1888524

Specimen UC Davis_1888525: postnatal adult; Lamtor1tm1b(KOMP)Wtsi/Lamtor1+ (more )
Structure Level Pattern Image Note
TS28: colon Present UC Davis_1888525

Specimen UC Davis_1888526: postnatal adult; Lamtor1tm1b(KOMP)Wtsi/Lamtor1+ (more )
Structure Level Pattern Image Note
TS28: spleen Present UC Davis_1888526

Specimen UC Davis_1888527: postnatal adult; Lamtor1tm1b(KOMP)Wtsi/Lamtor1+ (more )
Structure Level Pattern Image Note
TS28: spleen Present UC Davis_1888527

Specimen UC Davis_1888528: postnatal adult; Lamtor1tm1b(KOMP)Wtsi/Lamtor1+ (more )
Structure Level Pattern Image Note
TS28: pancreas Present UC Davis_1888528

Specimen UC Davis_1888529: postnatal adult; Lamtor1tm1b(KOMP)Wtsi/Lamtor1+ (more )
Structure Level Pattern Image Note
TS28: pancreas Present UC Davis_1888529

Specimen UC Davis_1888530: postnatal adult; Lamtor1tm1b(KOMP)Wtsi/Lamtor1+ (more )
Structure Level Pattern Image Note
TS28: liver Present UC Davis_1888530

Specimen UC Davis_1888531: postnatal adult; Lamtor1tm1b(KOMP)Wtsi/Lamtor1+ (more )
Structure Level Pattern Image Note
TS28: liver Present UC Davis_1888531

Specimen UC Davis_1888532: postnatal adult; Lamtor1tm1b(KOMP)Wtsi/Lamtor1+ (more )
Structure Level Pattern Image Note
TS28: metanephros Present UC Davis_1888532 kidney

Specimen UC Davis_1888533: postnatal adult; Lamtor1tm1b(KOMP)Wtsi/Lamtor1+ (more )
Structure Level Pattern Image Note
TS28: metanephros Present UC Davis_1888533 kidney

Specimen UC Davis_1888534: postnatal adult; Lamtor1tm1b(KOMP)Wtsi/Lamtor1+ (more )
Structure Level Pattern Image Note
TS28: metanephros Present UC Davis_1888534 kidney

Specimen UC Davis_1888535: postnatal adult; Lamtor1tm1b(KOMP)Wtsi/Lamtor1+ (more )
Structure Level Pattern Image Note
TS28: metanephros Present UC Davis_1888535 kidney

Specimen UC Davis_1888536: postnatal adult; Lamtor1tm1b(KOMP)Wtsi/Lamtor1+ (more )
Structure Level Pattern Image Note
TS28: quadriceps femoris muscle Present UC Davis_1888536

Specimen UC Davis_1888537: postnatal adult; Lamtor1tm1b(KOMP)Wtsi/Lamtor1+ (more )
Structure Level Pattern Image Note
TS28: quadriceps femoris muscle Present UC Davis_1888537

Specimen UC Davis_1888538: postnatal adult; Lamtor1tm1b(KOMP)Wtsi/Lamtor1+ (more )
Structure Level Pattern Image Note
TS28: tongue Present UC Davis_1888538

Specimen UC Davis_1888539: postnatal adult; Lamtor1tm1b(KOMP)Wtsi/Lamtor1+ (more )
Structure Level Pattern Image Note
TS28: diaphragm Present UC Davis_1888539

Specimen UC Davis_1888540: postnatal adult; Lamtor1tm1b(KOMP)Wtsi/Lamtor1+ (more )
Structure Level Pattern Image Note
TS28: adrenal gland Present UC Davis_1888540

Specimen UC Davis_1888541: postnatal adult; Lamtor1tm1b(KOMP)Wtsi/Lamtor1+ (more )
Structure Level Pattern Image Note
TS28: adrenal gland Present UC Davis_1888541

Specimen UC Davis_1888542: postnatal adult; Lamtor1tm1b(KOMP)Wtsi/Lamtor1+ (more )
Structure Level Pattern Image Note
TS28: pituitary gland Present UC Davis_1888542

Specimen UC Davis_1888543: postnatal adult; Lamtor1tm1b(KOMP)Wtsi/Lamtor1+ (more )
Structure Level Pattern Image Note
TS28: spinal cord Present UC Davis_1888543

Specimen UC Davis_1888544: postnatal adult; Lamtor1tm1b(KOMP)Wtsi/Lamtor1+ (more )
Structure Level Pattern Image Note
TS28: spinal cord Present UC Davis_1888544

Specimen UC Davis_1888545: postnatal adult; Lamtor1tm1b(KOMP)Wtsi/Lamtor1+ (more )
Structure Level Pattern Image Note
TS28: eye Present UC Davis_1888545

Specimen UC Davis_1888546: postnatal adult; Lamtor1tm1b(KOMP)Wtsi/Lamtor1+ (more )
Structure Level Pattern Image Note
TS28: eye Present UC Davis_1888546

Specimen UC Davis_1888547: postnatal adult; Lamtor1tm1b(KOMP)Wtsi/Lamtor1+ (more )
Structure Level Pattern Image Note
TS28: eye Present UC Davis_1888547

Specimen UC Davis_1888548: postnatal adult; Lamtor1tm1b(KOMP)Wtsi/Lamtor1+ (more )
Structure Level Pattern Image Note
TS28: eye Present UC Davis_1888548

Specimen UC Davis_1888550: postnatal adult; Lamtor1tm1b(KOMP)Wtsi/Lamtor1+ (more )
Structure Level Pattern Image Note
TS28: Harderian gland Present UC Davis_1888550

Specimen UC Davis_1888551: postnatal adult; Lamtor1tm1b(KOMP)Wtsi/Lamtor1+ (more )
Structure Level Pattern Image Note
TS28: gonadal fat pad Present UC Davis_1888551

Specimen UC Davis_1888552: postnatal adult; Lamtor1tm1b(KOMP)Wtsi/Lamtor1+ (more )
Structure Level Pattern Image Note
TS28: mesenteric adipose tissue Present UC Davis_1888552

Specimen UC Davis_1888553: postnatal adult; Lamtor1tm1b(KOMP)Wtsi/Lamtor1+ (more )
Structure Level Pattern Image Note
TS28: skin Present UC Davis_1888553

Specimen UC Davis_1888554: postnatal adult; Lamtor1tm1b(KOMP)Wtsi/Lamtor1+ (more )
Structure Level Pattern Image Note
TS28: skin Present UC Davis_1888554

Specimen UC Davis_1888555: postnatal adult; Lamtor1tm1b(KOMP)Wtsi/Lamtor1+ (more )
Structure Level Pattern Image Note
TS28: brown fat Present UC Davis_1888555

Specimen UC Davis_1888556: postnatal adult; Lamtor1tm1b(KOMP)Wtsi/Lamtor1+ (more )
Structure Level Pattern Image Note
TS28: brown fat Present UC Davis_1888556

Specimen UC Davis_1888557: postnatal adult; Lamtor1tm1b(KOMP)Wtsi/Lamtor1+ (more )
Structure Level Pattern Image Note
TS28: olfactory lobe Present UC Davis_1888557

Specimen UC Davis_1888561: postnatal adult; Lamtor1tm1b(KOMP)Wtsi/Lamtor1+ (more )
Structure Level Pattern Image Note
TS28: midbrain Present UC Davis_1888561

Specimen UC Davis_1888563: postnatal adult; Lamtor1tm1b(KOMP)Wtsi/Lamtor1+ (more )
Structure Level Pattern Image Note
TS28: cerebellum Present UC Davis_1888563

Specimen UC Davis_1888564: postnatal adult; Lamtor1tm1b(KOMP)Wtsi/Lamtor1+ (more )
Structure Level Pattern Image Note
TS28: trigeminal nerve Present UC Davis_1888564

Specimen UC Davis_1888565: postnatal adult; Lamtor1tm1b(KOMP)Wtsi/Lamtor1+ (more )
Structure Level Pattern Image Note
TS28: trigeminal nerve Present UC Davis_1888565

Specimen UC Davis_1888566: postnatal adult; Lamtor1tm1b(KOMP)Wtsi/Lamtor1+ (more )
Structure Level Pattern Image Note
TS28: bladder Present UC Davis_1888566

Specimen UC Davis_1888567: postnatal adult; Lamtor1tm1b(KOMP)Wtsi/Lamtor1+ (more )
Structure Level Pattern Image Note
TS28: testis Present UC Davis_1888567

Specimen UC Davis_1888568: postnatal adult; Lamtor1tm1b(KOMP)Wtsi/Lamtor1+ (more )
Structure Level Pattern Image Note
TS28: testis Present UC Davis_1888568

Specimen UC Davis_1888569: postnatal adult; Lamtor1tm1b(KOMP)Wtsi/Lamtor1+ (more )
Structure Level Pattern Image Note
TS28: testis Present UC Davis_1888569

Specimen UC Davis_1888570: postnatal adult; Lamtor1tm1b(KOMP)Wtsi/Lamtor1+ (more )
Structure Level Pattern Image Note
TS28: epididymis Present UC Davis_1888570

Specimen UC Davis_1888571: postnatal adult; Lamtor1tm1b(KOMP)Wtsi/Lamtor1+ (more )
Structure Level Pattern Image Note
TS28: epididymis Present UC Davis_1888571

Specimen UC Davis_1888572: postnatal adult; Lamtor1tm1b(KOMP)Wtsi/Lamtor1+ (more )
Structure Level Pattern Image Note
TS28: prostate gland Present UC Davis_1888572

Specimen UC Davis_1888573: postnatal adult; Lamtor1tm1b(KOMP)Wtsi/Lamtor1+ (more )
Structure Level Pattern Image Note
TS28: penis Present UC Davis_1888573

Specimen UC Davis_1888574: postnatal adult; Lamtor1tm1b(KOMP)Wtsi/Lamtor1+ (more )
Structure Level Pattern Image Note
TS28: penis Present UC Davis_1888574

Specimen UC Davis_1888575: postnatal adult; Lamtor1tm1b(KOMP)Wtsi/Lamtor1+ (more )
Structure Level Pattern Image Note
TS28: ductus deferens Present UC Davis_1888575 vas deferens

Specimen UC Davis_1888577: postnatal adult; Lamtor1tm1b(KOMP)Wtsi/Lamtor1+ (more )
Structure Level Pattern Image Note
TS28: seminal vesicle Present UC Davis_1888577 vesicular gland


Contributing Projects:
Mouse Genome Database (MGD), Gene Expression Database (GXD), Mouse Models of Human Cancer database (MMHCdb) (formerly Mouse Tumor Biology (MTB)), Gene Ontology (GO)
Citing These Resources
Funding Information
Warranty Disclaimer, Privacy Notice, Licensing, & Copyright
Send questions and comments to User Support.
last database update
01/06/2026
MGI 6.24
The Jackson Laboratory