About   Help   FAQ
Gene Expression Data
Assay Details
Assay
Reference: J:228563 Koscielny G, et al., The International Mouse Phenotyping Consortium Web Portal, a unified point of access for knockout mice and related phenotyping data. Nucleic Acids Res. 2014 Jan;42(Database issue):D802-9
Assay type: In situ reporter (knock in)
MGI Accession ID: MGI:6691669
Gene symbol: Smim8
Gene name: small integral membrane protein 8
Reporter: lacZ
Direct Detection
Results
Specimen UC Davis_1881969: postnatal adult; Smim8tm1.1(KOMP)Vlcg/Smim8+ (more )
Structure Level Pattern Image Note
TS28: submandibular gland Present UC Davis_1881969

Specimen UC Davis_1881970: postnatal adult; Smim8tm1.1(KOMP)Vlcg/Smim8+ (more )
Structure Level Pattern Image Note
TS28: submandibular gland Present UC Davis_1881970

Specimen UC Davis_1881971: postnatal adult; Smim8tm1.1(KOMP)Vlcg/Smim8+ (more )
Structure Level Pattern Image Note
TS28: sublingual gland Present UC Davis_1881971

Specimen UC Davis_1881972: postnatal adult; Smim8tm1.1(KOMP)Vlcg/Smim8+ (more )
Structure Level Pattern Image Note
TS28: parotid gland Present UC Davis_1881972

Specimen UC Davis_1881973: postnatal adult; Smim8tm1.1(KOMP)Vlcg/Smim8+ (more )
Structure Level Pattern Image Note
TS28: parotid gland Present UC Davis_1881973

Specimen UC Davis_1881974: postnatal adult; Smim8tm1.1(KOMP)Vlcg/Smim8+ (more )
Structure Level Pattern Image Note
TS28: trachea Present UC Davis_1881974

Specimen UC Davis_1881975: postnatal adult; Smim8tm1.1(KOMP)Vlcg/Smim8+ (more )
Structure Level Pattern Image Note
TS28: trachea Present UC Davis_1881975

Specimen UC Davis_1881976: postnatal adult; Smim8tm1.1(KOMP)Vlcg/Smim8+ (more )
Structure Level Pattern Image Note
TS28: esophagus Present UC Davis_1881976

Specimen UC Davis_1881977: postnatal adult; Smim8tm1.1(KOMP)Vlcg/Smim8+ (more )
Structure Level Pattern Image Note
TS28: aorta Present UC Davis_1881977

Specimen UC Davis_1881978: postnatal adult; Smim8tm1.1(KOMP)Vlcg/Smim8+ (more )
Structure Level Pattern Image Note
TS28: lung Present UC Davis_1881978

Specimen UC Davis_1881979: postnatal adult; Smim8tm1.1(KOMP)Vlcg/Smim8+ (more )
Structure Level Pattern Image Note
TS28: lung Present UC Davis_1881979

Specimen UC Davis_1881982: postnatal adult; Smim8tm1.1(KOMP)Vlcg/Smim8+ (more )
Structure Level Pattern Image Note
TS28: mesenteric lymph node Present UC Davis_1881982

Specimen UC Davis_1881983: postnatal adult; Smim8tm1.1(KOMP)Vlcg/Smim8+ (more )
Structure Level Pattern Image Note
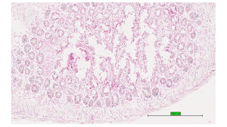
TS28: stomach Present UC Davis_1881983

Specimen UC Davis_1881984: postnatal adult; Smim8tm1.1(KOMP)Vlcg/Smim8+ (more )
Structure Level Pattern Image Note
TS28: stomach Present UC Davis_1881984

Specimen UC Davis_1881985: postnatal adult; Smim8tm1.1(KOMP)Vlcg/Smim8+ (more )
Structure Level Pattern Image Note
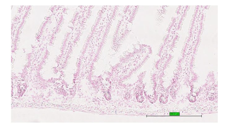
TS28: jejunum Present UC Davis_1881985

Specimen UC Davis_1881986: postnatal adult; Smim8tm1.1(KOMP)Vlcg/Smim8+ (more )
Structure Level Pattern Image Note
TS28: ileum Present UC Davis_1881986

Specimen UC Davis_1881987: postnatal adult; Smim8tm1.1(KOMP)Vlcg/Smim8+ (more )
Structure Level Pattern Image Note
TS28: colon Present UC Davis_1881987

Specimen UC Davis_1881988: postnatal adult; Smim8tm1.1(KOMP)Vlcg/Smim8+ (more )
Structure Level Pattern Image Note
TS28: pancreas Present UC Davis_1881988

Specimen UC Davis_1881989: postnatal adult; Smim8tm1.1(KOMP)Vlcg/Smim8+ (more )
Structure Level Pattern Image Note
TS28: liver Present UC Davis_1881989

Specimen UC Davis_1881990: postnatal adult; Smim8tm1.1(KOMP)Vlcg/Smim8+ (more )
Structure Level Pattern Image Note
TS28: liver Present UC Davis_1881990

Specimen UC Davis_1881991: postnatal adult; Smim8tm1.1(KOMP)Vlcg/Smim8+ (more )
Structure Level Pattern Image Note
TS28: metanephros Present UC Davis_1881991 kidney

Specimen UC Davis_1881992: postnatal adult; Smim8tm1.1(KOMP)Vlcg/Smim8+ (more )
Structure Level Pattern Image Note
TS28: metanephros Present UC Davis_1881992 kidney

Specimen UC Davis_1881993: postnatal adult; Smim8tm1.1(KOMP)Vlcg/Smim8+ (more )
Structure Level Pattern Image Note
TS28: metanephros Present UC Davis_1881993 kidney

Specimen UC Davis_1881994: postnatal adult; Smim8tm1.1(KOMP)Vlcg/Smim8+ (more )
Structure Level Pattern Image Note
TS28: quadriceps femoris muscle Present UC Davis_1881994

Specimen UC Davis_1881995: postnatal adult; Smim8tm1.1(KOMP)Vlcg/Smim8+ (more )
Structure Level Pattern Image Note
TS28: tongue Present UC Davis_1881995

Specimen UC Davis_1881996: postnatal adult; Smim8tm1.1(KOMP)Vlcg/Smim8+ (more )
Structure Level Pattern Image Note
TS28: tongue Present UC Davis_1881996

Specimen UC Davis_1881997: postnatal adult; Smim8tm1.1(KOMP)Vlcg/Smim8+ (more )
Structure Level Pattern Image Note
TS28: diaphragm Present UC Davis_1881997

Specimen UC Davis_1881998: postnatal adult; Smim8tm1.1(KOMP)Vlcg/Smim8+ (more )
Structure Level Pattern Image Note
TS28: adrenal gland Present UC Davis_1881998

Specimen UC Davis_1881999: postnatal adult; Smim8tm1.1(KOMP)Vlcg/Smim8+ (more )
Structure Level Pattern Image Note
TS28: spinal cord Present UC Davis_1881999

Specimen UC Davis_1882000: postnatal adult; Smim8tm1.1(KOMP)Vlcg/Smim8+ (more )
Structure Level Pattern Image Note
TS28: spinal cord Present UC Davis_1882000

Specimen UC Davis_1882001: postnatal adult; Smim8tm1.1(KOMP)Vlcg/Smim8+ (more )
Structure Level Pattern Image Note
TS28: eye Present UC Davis_1882001

Specimen UC Davis_1882002: postnatal adult; Smim8tm1.1(KOMP)Vlcg/Smim8+ (more )
Structure Level Pattern Image Note
TS28: eye Present UC Davis_1882002

Specimen UC Davis_1882003: postnatal adult; Smim8tm1.1(KOMP)Vlcg/Smim8+ (more )
Structure Level Pattern Image Note
TS28: eye Present UC Davis_1882003

Specimen UC Davis_1882004: postnatal adult; Smim8tm1.1(KOMP)Vlcg/Smim8+ (more )
Structure Level Pattern Image Note
TS28: eye Present UC Davis_1882004

Specimen UC Davis_1882005: postnatal adult; Smim8tm1.1(KOMP)Vlcg/Smim8+ (more )
Structure Level Pattern Image Note
TS28: Harderian gland Present UC Davis_1882005

Specimen UC Davis_1882006: postnatal adult; Smim8tm1.1(KOMP)Vlcg/Smim8+ (more )
Structure Level Pattern Image Note
TS28: gonadal fat pad Present UC Davis_1882006

Specimen UC Davis_1882007: postnatal adult; Smim8tm1.1(KOMP)Vlcg/Smim8+ (more )
Structure Level Pattern Image Note
TS28: gonadal fat pad Present UC Davis_1882007

Specimen UC Davis_1882008: postnatal adult; Smim8tm1.1(KOMP)Vlcg/Smim8+ (more )
Structure Level Pattern Image Note
TS28: mesenteric adipose tissue Present UC Davis_1882008

Specimen UC Davis_1882009: postnatal adult; Smim8tm1.1(KOMP)Vlcg/Smim8+ (more )
Structure Level Pattern Image Note
TS28: mesenteric adipose tissue Present UC Davis_1882009

Specimen UC Davis_1882010: postnatal adult; Smim8tm1.1(KOMP)Vlcg/Smim8+ (more )
Structure Level Pattern Image Note
TS28: skin Present UC Davis_1882010

Specimen UC Davis_1882011: postnatal adult; Smim8tm1.1(KOMP)Vlcg/Smim8+ (more )
Structure Level Pattern Image Note
TS28: skin Present UC Davis_1882011

Specimen UC Davis_1882012: postnatal adult; Smim8tm1.1(KOMP)Vlcg/Smim8+ (more )
Structure Level Pattern Image Note
TS28: olfactory lobe Present UC Davis_1882012

Specimen UC Davis_1882016: postnatal adult; Smim8tm1.1(KOMP)Vlcg/Smim8+ (more )
Structure Level Pattern Image Note
TS28: midbrain Present UC Davis_1882016

Specimen UC Davis_1882018: postnatal adult; Smim8tm1.1(KOMP)Vlcg/Smim8+ (more )
Structure Level Pattern Image Note
TS28: cerebellum Present UC Davis_1882018

Specimen UC Davis_1882019: postnatal adult; Smim8tm1.1(KOMP)Vlcg/Smim8+ (more )
Structure Level Pattern Image Note
TS28: trigeminal nerve Present UC Davis_1882019

Specimen UC Davis_1882020: postnatal adult; Smim8tm1.1(KOMP)Vlcg/Smim8+ (more )
Structure Level Pattern Image Note
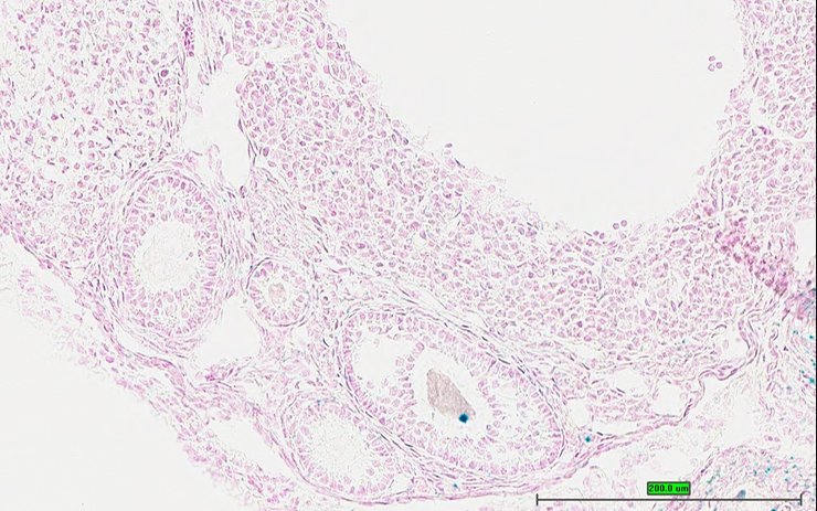
TS28: ovary Present UC Davis_1882020

Specimen UC Davis_1882021: postnatal adult; Smim8tm1.1(KOMP)Vlcg/Smim8+ (more )
Structure Level Pattern Image Note
TS28: ovary Present UC Davis_1882021

Specimen UC Davis_1882022: postnatal adult; Smim8tm1.1(KOMP)Vlcg/Smim8+ (more )
Structure Level Pattern Image Note
TS28: oviduct Present UC Davis_1882022

Specimen UC Davis_1882023: postnatal adult; Smim8tm1.1(KOMP)Vlcg/Smim8+ (more )
Structure Level Pattern Image Note
TS28: uterus Present UC Davis_1882023

Specimen UC Davis_1882024: postnatal adult; Smim8tm1.1(KOMP)Vlcg/Smim8+ (more )
Structure Level Pattern Image Note
TS28: uterus Present UC Davis_1882024

Specimen UC Davis_1882025: postnatal adult; Smim8tm1.1(KOMP)Vlcg/Smim8+ (more )
Structure Level Pattern Image Note
TS28: vagina Present UC Davis_1882025

Specimen UC Davis_1882026: postnatal adult; Smim8tm1.1(KOMP)Vlcg/Smim8+ (more )
Structure Level Pattern Image Note
TS28: bladder Present UC Davis_1882026

Specimen UC Davis_1882028: postnatal adult; Smim8tm1.1(KOMP)Vlcg/Smim8+ (more )
Structure Level Pattern Image Note
TS28: mammary gland Present UC Davis_1882028

Specimen UC Davis_1881938: postnatal adult; Smim8tm1.1(KOMP)Vlcg/Smim8+ (more )
Structure Level Pattern Image Note
TS28: sublingual gland Present UC Davis_1881938

Specimen UC Davis_1881939: postnatal adult; Smim8tm1.1(KOMP)Vlcg/Smim8+ (more )
Structure Level Pattern Image Note
TS28: sublingual gland Present UC Davis_1881939

Specimen UC Davis_1881940: postnatal adult; Smim8tm1.1(KOMP)Vlcg/Smim8+ (more )
Structure Level Pattern Image Note
TS28: trachea Present UC Davis_1881940

Specimen UC Davis_1881942: postnatal adult; Smim8tm1.1(KOMP)Vlcg/Smim8+ (more )
Structure Level Pattern Image Note
TS28: aorta Present UC Davis_1881942

Specimen UC Davis_1881943: postnatal adult; Smim8tm1.1(KOMP)Vlcg/Smim8+ (more )
Structure Level Pattern Image Note
TS28: lung Present UC Davis_1881943

Specimen UC Davis_1881944: postnatal adult; Smim8tm1.1(KOMP)Vlcg/Smim8+ (more )
Structure Level Pattern Image Note
TS28: lung Present UC Davis_1881944

Specimen UC Davis_1881947: postnatal adult; Smim8tm1.1(KOMP)Vlcg/Smim8+ (more )
Structure Level Pattern Image Note
TS28: stomach Present UC Davis_1881947

Specimen UC Davis_1881948: postnatal adult; Smim8tm1.1(KOMP)Vlcg/Smim8+ (more )
Structure Level Pattern Image Note
TS28: duodenum Present UC Davis_1881948

Specimen UC Davis_1881949: postnatal adult; Smim8tm1.1(KOMP)Vlcg/Smim8+ (more )
Structure Level Pattern Image Note
TS28: ileum Present UC Davis_1881949

Specimen UC Davis_1881950: postnatal adult; Smim8tm1.1(KOMP)Vlcg/Smim8+ (more )
Structure Level Pattern Image Note
TS28: colon Present UC Davis_1881950

Specimen UC Davis_1881951: postnatal adult; Smim8tm1.1(KOMP)Vlcg/Smim8+ (more )
Structure Level Pattern Image Note
TS28: metanephros Present UC Davis_1881951 kidney

Specimen UC Davis_1881952: postnatal adult; Smim8tm1.1(KOMP)Vlcg/Smim8+ (more )
Structure Level Pattern Image Note
TS28: metanephros Present UC Davis_1881952 kidney

Specimen UC Davis_1881953: postnatal adult; Smim8tm1.1(KOMP)Vlcg/Smim8+ (more )
Structure Level Pattern Image Note
TS28: tongue Present UC Davis_1881953

Specimen UC Davis_1881954: postnatal adult; Smim8tm1.1(KOMP)Vlcg/Smim8+ (more )
Structure Level Pattern Image Note
TS28: tongue Present UC Davis_1881954

Specimen UC Davis_1881955: postnatal adult; Smim8tm1.1(KOMP)Vlcg/Smim8+ (more )
Structure Level Pattern Image Note
TS28: spinal cord Present UC Davis_1881955

Specimen UC Davis_1881956: postnatal adult; Smim8tm1.1(KOMP)Vlcg/Smim8+ (more )
Structure Level Pattern Image Note
TS28: eye Present UC Davis_1881956

Specimen UC Davis_1881957: postnatal adult; Smim8tm1.1(KOMP)Vlcg/Smim8+ (more )
Structure Level Pattern Image Note
TS28: olfactory lobe Present UC Davis_1881957

Specimen UC Davis_1881960: postnatal adult; Smim8tm1.1(KOMP)Vlcg/Smim8+ (more )
Structure Level Pattern Image Note
TS28: midbrain Present UC Davis_1881960

Specimen UC Davis_1881962: postnatal adult; Smim8tm1.1(KOMP)Vlcg/Smim8+ (more )
Structure Level Pattern Image Note
TS28: cerebellum Present UC Davis_1881962

Specimen UC Davis_1881963: postnatal adult; Smim8tm1.1(KOMP)Vlcg/Smim8+ (more )
Structure Level Pattern Image Note
TS28: bladder Present UC Davis_1881963

Specimen UC Davis_1881964: postnatal adult; Smim8tm1.1(KOMP)Vlcg/Smim8+ (more )
Structure Level Pattern Image Note
TS28: testis Present UC Davis_1881964

Specimen UC Davis_1881965: postnatal adult; Smim8tm1.1(KOMP)Vlcg/Smim8+ (more )
Structure Level Pattern Image Note
TS28: ductus deferens Present UC Davis_1881965 vas deferens


Contributing Projects:
Mouse Genome Database (MGD), Gene Expression Database (GXD), Mouse Models of Human Cancer database (MMHCdb) (formerly Mouse Tumor Biology (MTB)), Gene Ontology (GO)
Citing These Resources
Funding Information
Warranty Disclaimer, Privacy Notice, Licensing, & Copyright
Send questions and comments to User Support.
last database update
01/20/2026
MGI 6.24
The Jackson Laboratory