About   Help   FAQ
Gene Expression Data
Assay Details
Assay
Reference: J:228563 Koscielny G, et al., The International Mouse Phenotyping Consortium Web Portal, a unified point of access for knockout mice and related phenotyping data. Nucleic Acids Res. 2014 Jan;42(Database issue):D802-9
Assay type: In situ reporter (knock in)
MGI Accession ID: MGI:6691668
Gene symbol: Gkn2
Gene name: gastrokine 2
Reporter: lacZ
Direct Detection
Results
Specimen UC Davis_1863032: postnatal adult; Gkn2tm1.1(KOMP)Vlcg/Gkn2+ (more )
Structure Level Pattern Image Note
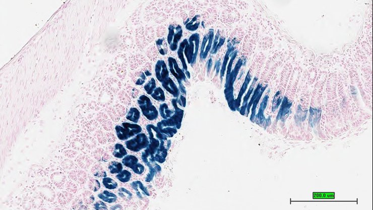
TS28: stomach Present UC Davis_1863032

Specimen UC Davis_1863033: postnatal adult; Gkn2tm1.1(KOMP)Vlcg/Gkn2+ (more )
Structure Level Pattern Image Note
TS28: stomach Present UC Davis_1863033

Specimen UC Davis_1863034: postnatal adult; Gkn2tm1.1(KOMP)Vlcg/Gkn2+ (more )
Structure Level Pattern Image Note
TS28: stomach Present UC Davis_1863034

Specimen UC Davis_1863027: postnatal adult; Gkn2tm1.1(KOMP)Vlcg/Gkn2+ (more )
Structure Level Pattern Image Note
TS28: stomach Present UC Davis_1863027

Specimen UC Davis_1863028: postnatal adult; Gkn2tm1.1(KOMP)Vlcg/Gkn2+ (more )
Structure Level Pattern Image Note
TS28: stomach Present UC Davis_1863028

Specimen UC Davis_1863029: postnatal adult; Gkn2tm1.1(KOMP)Vlcg/Gkn2+ (more )
Structure Level Pattern Image Note
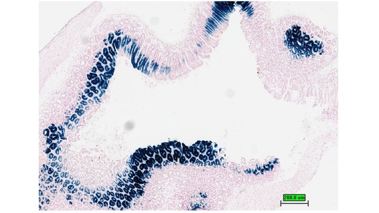
TS28: testis Present UC Davis_1863029

Specimen UC Davis_1863030: postnatal adult; Gkn2tm1.1(KOMP)Vlcg/Gkn2+ (more )
Structure Level Pattern Image Note
TS28: epididymis Present UC Davis_1863030

Specimen UC Davis_1863031: postnatal adult; Gkn2tm1.1(KOMP)Vlcg/Gkn2+ (more )
Structure Level Pattern Image Note
TS28: ductus deferens Present UC Davis_1863031 vas deferens

Specimen UC Davis_1863035: postnatal adult; Gkn2tm1.1(KOMP)Vlcg/Gkn2+ (more )
Structure Level Pattern Image Note
TS28: stomach Present UC Davis_1863035

Specimen UC Davis_1863036: postnatal adult; Gkn2tm1.1(KOMP)Vlcg/Gkn2+ (more )
Structure Level Pattern Image Note
TS28: testis Present UC Davis_1863036


Contributing Projects:
Mouse Genome Database (MGD), Gene Expression Database (GXD), Mouse Models of Human Cancer database (MMHCdb) (formerly Mouse Tumor Biology (MTB)), Gene Ontology (GO)
Citing These Resources
Funding Information
Warranty Disclaimer, Privacy Notice, Licensing, & Copyright
Send questions and comments to User Support.
last database update
01/20/2026
MGI 6.24
The Jackson Laboratory