About   Help   FAQ
Gene Expression Data
Assay Details
Assay
Reference: J:228563 Koscielny G, et al., The International Mouse Phenotyping Consortium Web Portal, a unified point of access for knockout mice and related phenotyping data. Nucleic Acids Res. 2014 Jan;42(Database issue):D802-9
Assay type: In situ reporter (knock in)
MGI Accession ID: MGI:6691664
Gene symbol: Trappc2
Gene name: trafficking protein particle complex 2
Reporter: lacZ
Direct Detection
Results
Specimen UC Davis_1874501: postnatal adult; Trappc2tm1.1(KOMP)Vlcg/Trappc2+ (more )
Structure Level Pattern Image Note
TS28: trachea Present UC Davis_1874501

Specimen UC Davis_1874502: postnatal adult; Trappc2tm1.1(KOMP)Vlcg/Trappc2+ (more )
Structure Level Pattern Image Note
TS28: esophagus Present UC Davis_1874502

Specimen UC Davis_1874503: postnatal adult; Trappc2tm1.1(KOMP)Vlcg/Trappc2+ (more )
Structure Level Pattern Image Note
TS28: esophagus Present UC Davis_1874503

Specimen UC Davis_1874504: postnatal adult; Trappc2tm1.1(KOMP)Vlcg/Trappc2+ (more )
Structure Level Pattern Image Note
TS28: lung Present UC Davis_1874504

Specimen UC Davis_1874505: postnatal adult; Trappc2tm1.1(KOMP)Vlcg/Trappc2+ (more )
Structure Level Pattern Image Note
TS28: lung Present UC Davis_1874505

Specimen UC Davis_1874506: postnatal adult; Trappc2tm1.1(KOMP)Vlcg/Trappc2+ (more )
Structure Level Pattern Image Note
TS28: lung Present UC Davis_1874506

Specimen UC Davis_1874507: postnatal adult; Trappc2tm1.1(KOMP)Vlcg/Trappc2+ (more )
Structure Level Pattern Image Note
TS28: thymus Present UC Davis_1874507

Specimen UC Davis_1874508: postnatal adult; Trappc2tm1.1(KOMP)Vlcg/Trappc2+ (more )
Structure Level Pattern Image Note
TS28: thymus Present UC Davis_1874508

Specimen UC Davis_1874510: postnatal adult; Trappc2tm1.1(KOMP)Vlcg/Trappc2+ (more )
Structure Level Pattern Image Note
TS28: stomach Present UC Davis_1874510

Specimen UC Davis_1874511: postnatal adult; Trappc2tm1.1(KOMP)Vlcg/Trappc2+ (more )
Structure Level Pattern Image Note
TS28: stomach Present UC Davis_1874511

Specimen UC Davis_1874512: postnatal adult; Trappc2tm1.1(KOMP)Vlcg/Trappc2+ (more )
Structure Level Pattern Image Note
TS28: stomach Present UC Davis_1874512

Specimen UC Davis_1874513: postnatal adult; Trappc2tm1.1(KOMP)Vlcg/Trappc2+ (more )
Structure Level Pattern Image Note
TS28: duodenum Present UC Davis_1874513

Specimen UC Davis_1874514: postnatal adult; Trappc2tm1.1(KOMP)Vlcg/Trappc2+ (more )
Structure Level Pattern Image Note
TS28: ileum Present UC Davis_1874514

Specimen UC Davis_1874515: postnatal adult; Trappc2tm1.1(KOMP)Vlcg/Trappc2+ (more )
Structure Level Pattern Image Note
TS28: colon Present UC Davis_1874515

Specimen UC Davis_1874516: postnatal adult; Trappc2tm1.1(KOMP)Vlcg/Trappc2+ (more )
Structure Level Pattern Image Note
TS28: colon Present UC Davis_1874516

Specimen UC Davis_1874517: postnatal adult; Trappc2tm1.1(KOMP)Vlcg/Trappc2+ (more )
Structure Level Pattern Image Note
TS28: metanephros Present UC Davis_1874517 kidney

Specimen UC Davis_1874518: postnatal adult; Trappc2tm1.1(KOMP)Vlcg/Trappc2+ (more )
Structure Level Pattern Image Note
TS28: metanephros Present UC Davis_1874518 kidney

Specimen UC Davis_1874519: postnatal adult; Trappc2tm1.1(KOMP)Vlcg/Trappc2+ (more )
Structure Level Pattern Image Note
TS28: metanephros Present UC Davis_1874519 kidney

Specimen UC Davis_1874520: postnatal adult; Trappc2tm1.1(KOMP)Vlcg/Trappc2+ (more )
Structure Level Pattern Image Note
TS28: tongue Present UC Davis_1874520

Specimen UC Davis_1874521: postnatal adult; Trappc2tm1.1(KOMP)Vlcg/Trappc2+ (more )
Structure Level Pattern Image Note
TS28: tongue Present UC Davis_1874521

Specimen UC Davis_1874522: postnatal adult; Trappc2tm1.1(KOMP)Vlcg/Trappc2+ (more )
Structure Level Pattern Image Note
TS28: tongue Present UC Davis_1874522

Specimen UC Davis_1874523: postnatal adult; Trappc2tm1.1(KOMP)Vlcg/Trappc2+ (more )
Structure Level Pattern Image Note
TS28: adrenal gland Present UC Davis_1874523

Specimen UC Davis_1874524: postnatal adult; Trappc2tm1.1(KOMP)Vlcg/Trappc2+ (more )
Structure Level Pattern Image Note
TS28: pituitary gland Present UC Davis_1874524

Specimen UC Davis_1874525: postnatal adult; Trappc2tm1.1(KOMP)Vlcg/Trappc2+ (more )
Structure Level Pattern Image Note
TS28: spinal cord Present UC Davis_1874525

Specimen UC Davis_1874526: postnatal adult; Trappc2tm1.1(KOMP)Vlcg/Trappc2+ (more )
Structure Level Pattern Image Note
TS28: spinal cord Present UC Davis_1874526

Specimen UC Davis_1874527: postnatal adult; Trappc2tm1.1(KOMP)Vlcg/Trappc2+ (more )
Structure Level Pattern Image Note
TS28: eye Present UC Davis_1874527

Specimen UC Davis_1874528: postnatal adult; Trappc2tm1.1(KOMP)Vlcg/Trappc2+ (more )
Structure Level Pattern Image Note
TS28: eye Present UC Davis_1874528

Specimen UC Davis_1874529: postnatal adult; Trappc2tm1.1(KOMP)Vlcg/Trappc2+ (more )
Structure Level Pattern Image Note
TS28: eye Present UC Davis_1874529

Specimen UC Davis_1874530: postnatal adult; Trappc2tm1.1(KOMP)Vlcg/Trappc2+ (more )
Structure Level Pattern Image Note
TS28: Harderian gland Present UC Davis_1874530

Specimen UC Davis_1874531: postnatal adult; Trappc2tm1.1(KOMP)Vlcg/Trappc2+ (more )
Structure Level Pattern Image Note
TS28: skin Present UC Davis_1874531

Specimen UC Davis_1874532: postnatal adult; Trappc2tm1.1(KOMP)Vlcg/Trappc2+ (more )
Structure Level Pattern Image Note
TS28: brown fat Present UC Davis_1874532

Specimen UC Davis_1874533: postnatal adult; Trappc2tm1.1(KOMP)Vlcg/Trappc2+ (more )
Structure Level Pattern Image Note
TS28: olfactory lobe Present UC Davis_1874533

Specimen UC Davis_1874537: postnatal adult; Trappc2tm1.1(KOMP)Vlcg/Trappc2+ (more )
Structure Level Pattern Image Note
TS28: midbrain Present UC Davis_1874537

Specimen UC Davis_1874539: postnatal adult; Trappc2tm1.1(KOMP)Vlcg/Trappc2+ (more )
Structure Level Pattern Image Note
TS28: cerebellum Present UC Davis_1874539

Specimen UC Davis_1874540: postnatal adult; Trappc2tm1.1(KOMP)Vlcg/Trappc2+ (more )
Structure Level Pattern Image Note
TS28: trigeminal nerve Present UC Davis_1874540

Specimen UC Davis_1874541: postnatal adult; Trappc2tm1.1(KOMP)Vlcg/Trappc2+ (more )
Structure Level Pattern Image Note
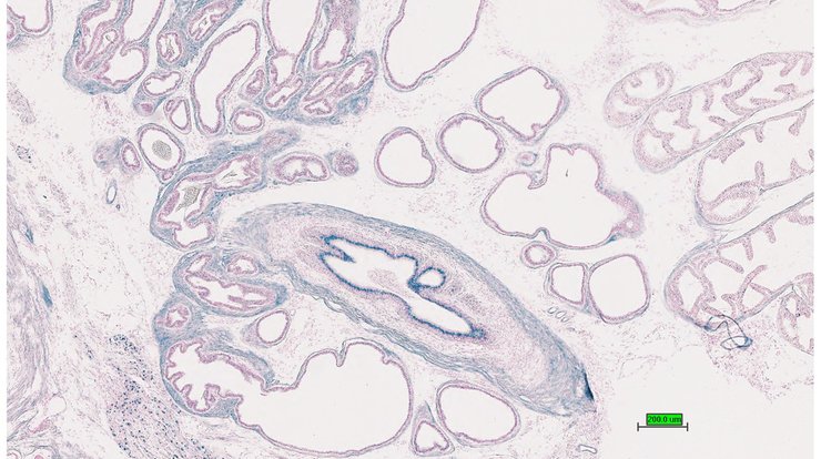
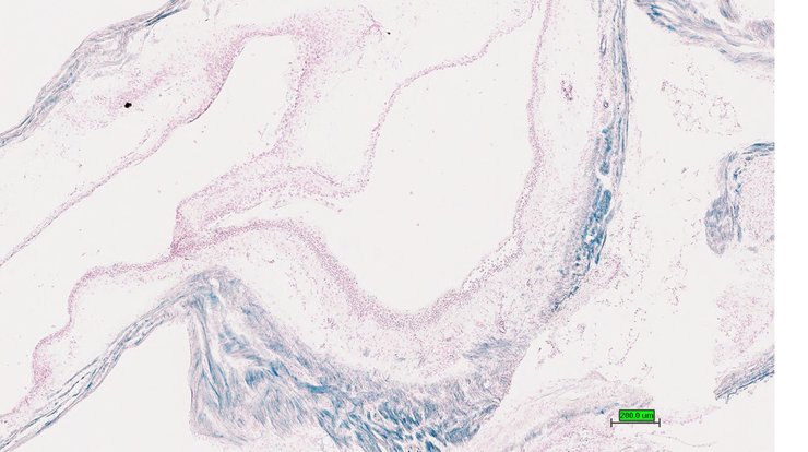
TS28: oviduct Present UC Davis_1874541

Specimen UC Davis_1874542: postnatal adult; Trappc2tm1.1(KOMP)Vlcg/Trappc2+ (more )
Structure Level Pattern Image Note
TS28: oviduct Present UC Davis_1874542

Specimen UC Davis_1874543: postnatal adult; Trappc2tm1.1(KOMP)Vlcg/Trappc2+ (more )
Structure Level Pattern Image Note
TS28: uterus Present UC Davis_1874543

Specimen UC Davis_1874544: postnatal adult; Trappc2tm1.1(KOMP)Vlcg/Trappc2+ (more )
Structure Level Pattern Image Note
TS28: vagina Present UC Davis_1874544

Specimen UC Davis_1874545: postnatal adult; Trappc2tm1.1(KOMP)Vlcg/Trappc2+ (more )
Structure Level Pattern Image Note
TS28: bladder Present UC Davis_1874545

Specimen UC Davis_1874546: postnatal adult; Trappc2tm1.1(KOMP)Vlcg/Trappc2+ (more )
Structure Level Pattern Image Note
TS28: blood Present UC Davis_1874546

Specimen UC Davis_1874547: postnatal adult; Trappc2tm1.1(KOMP)Vlcg/Trappc2+ (more )
Structure Level Pattern Image Note
TS28: blood Present UC Davis_1874547

Specimen UC Davis_1874548: postnatal adult; Trappc2tm1.1(KOMP)Vlcg/Trappc2+ (more )
Structure Level Pattern Image Note
TS28: bone marrow Present UC Davis_1874548

Specimen UC Davis_1874549: postnatal adult; Trappc2tm1.1(KOMP)Vlcg/Trappc2+ (more )
Structure Level Pattern Image Note
TS28: bone marrow Present UC Davis_1874549

Specimen UC Davis_1874550: postnatal adult; Trappc2tm1.1(KOMP)Vlcg/Trappc2+ (more )
Structure Level Pattern Image Note
TS28: bone marrow Present UC Davis_1874550

Specimen UC Davis_1874423: postnatal adult; Trappc2tm1.1(KOMP)Vlcg/Y (more )
Structure Level Pattern Image Note
TS28: submandibular gland Present UC Davis_1874423

Specimen UC Davis_1874424: postnatal adult; Trappc2tm1.1(KOMP)Vlcg/Y (more )
Structure Level Pattern Image Note
TS28: sublingual gland Present UC Davis_1874424

Specimen UC Davis_1874425: postnatal adult; Trappc2tm1.1(KOMP)Vlcg/Y (more )
Structure Level Pattern Image Note
TS28: parotid gland Present UC Davis_1874425

Specimen UC Davis_1874426: postnatal adult; Trappc2tm1.1(KOMP)Vlcg/Y (more )
Structure Level Pattern Image Note
TS28: esophagus Present UC Davis_1874426

Specimen UC Davis_1874427: postnatal adult; Trappc2tm1.1(KOMP)Vlcg/Y (more )
Structure Level Pattern Image Note
TS28: thyroid gland Present UC Davis_1874427

Specimen UC Davis_1874430: postnatal adult; Trappc2tm1.1(KOMP)Vlcg/Y (more )
Structure Level Pattern Image Note
TS28: parathyroid gland Present UC Davis_1874430

Specimen UC Davis_1874431: postnatal adult; Trappc2tm1.1(KOMP)Vlcg/Y (more )
Structure Level Pattern Image Note
TS28: aorta Present UC Davis_1874431

Specimen UC Davis_1874432: postnatal adult; Trappc2tm1.1(KOMP)Vlcg/Y (more )
Structure Level Pattern Image Note
TS28: aorta Present UC Davis_1874432

Specimen UC Davis_1874433: postnatal adult; Trappc2tm1.1(KOMP)Vlcg/Y (more )
Structure Level Pattern Image Note
TS28: lung Present UC Davis_1874433

Specimen UC Davis_1874434: postnatal adult; Trappc2tm1.1(KOMP)Vlcg/Y (more )
Structure Level Pattern Image Note
TS28: lung Present UC Davis_1874434

Specimen UC Davis_1874435: postnatal adult; Trappc2tm1.1(KOMP)Vlcg/Y (more )
Structure Level Pattern Image Note
TS28: thymus Present UC Davis_1874435

Specimen UC Davis_1874436: postnatal adult; Trappc2tm1.1(KOMP)Vlcg/Y (more )
Structure Level Pattern Image Note
TS28: thymus Present UC Davis_1874436

Specimen UC Davis_1874437: postnatal adult; Trappc2tm1.1(KOMP)Vlcg/Y (more )
Structure Level Pattern Image Note
TS28: thymus Present UC Davis_1874437

Specimen UC Davis_1874441: postnatal adult; Trappc2tm1.1(KOMP)Vlcg/Y (more )
Structure Level Pattern Image Note
TS28: stomach Present UC Davis_1874441

Specimen UC Davis_1874442: postnatal adult; Trappc2tm1.1(KOMP)Vlcg/Y (more )
Structure Level Pattern Image Note
TS28: stomach Present UC Davis_1874442

Specimen UC Davis_1874443: postnatal adult; Trappc2tm1.1(KOMP)Vlcg/Y (more )
Structure Level Pattern Image Note
TS28: duodenum Present UC Davis_1874443

Specimen UC Davis_1874444: postnatal adult; Trappc2tm1.1(KOMP)Vlcg/Y (more )
Structure Level Pattern Image Note
TS28: jejunum Present UC Davis_1874444

Specimen UC Davis_1874445: postnatal adult; Trappc2tm1.1(KOMP)Vlcg/Y (more )
Structure Level Pattern Image Note
TS28: ileum Present UC Davis_1874445

Specimen UC Davis_1874446: postnatal adult; Trappc2tm1.1(KOMP)Vlcg/Y (more )
Structure Level Pattern Image Note
TS28: ileum Present UC Davis_1874446

Specimen UC Davis_1874447: postnatal adult; Trappc2tm1.1(KOMP)Vlcg/Y (more )
Structure Level Pattern Image Note
TS28: colon Present UC Davis_1874447

Specimen UC Davis_1874448: postnatal adult; Trappc2tm1.1(KOMP)Vlcg/Y (more )
Structure Level Pattern Image Note
TS28: cecum Present UC Davis_1874448

Specimen UC Davis_1874449: postnatal adult; Trappc2tm1.1(KOMP)Vlcg/Y (more )
Structure Level Pattern Image Note
TS28: spleen Present UC Davis_1874449

Specimen UC Davis_1874450: postnatal adult; Trappc2tm1.1(KOMP)Vlcg/Y (more )
Structure Level Pattern Image Note
TS28: spleen Present UC Davis_1874450

Specimen UC Davis_1874451: postnatal adult; Trappc2tm1.1(KOMP)Vlcg/Y (more )
Structure Level Pattern Image Note
TS28: pancreas Present UC Davis_1874451

Specimen UC Davis_1874452: postnatal adult; Trappc2tm1.1(KOMP)Vlcg/Y (more )
Structure Level Pattern Image Note
TS28: pancreas Present UC Davis_1874452

Specimen UC Davis_1874453: postnatal adult; Trappc2tm1.1(KOMP)Vlcg/Y (more )
Structure Level Pattern Image Note
TS28: metanephros Present UC Davis_1874453 kidney

Specimen UC Davis_1874454: postnatal adult; Trappc2tm1.1(KOMP)Vlcg/Y (more )
Structure Level Pattern Image Note
TS28: metanephros Present UC Davis_1874454 kidney

Specimen UC Davis_1874455: postnatal adult; Trappc2tm1.1(KOMP)Vlcg/Y (more )
Structure Level Pattern Image Note
TS28: metanephros Present UC Davis_1874455 kidney

Specimen UC Davis_1874456: postnatal adult; Trappc2tm1.1(KOMP)Vlcg/Y (more )
Structure Level Pattern Image Note
TS28: quadriceps femoris muscle Present UC Davis_1874456

Specimen UC Davis_1874457: postnatal adult; Trappc2tm1.1(KOMP)Vlcg/Y (more )
Structure Level Pattern Image Note
TS28: tongue Present UC Davis_1874457

Specimen UC Davis_1874458: postnatal adult; Trappc2tm1.1(KOMP)Vlcg/Y (more )
Structure Level Pattern Image Note
TS28: tongue Present UC Davis_1874458

Specimen UC Davis_1874459: postnatal adult; Trappc2tm1.1(KOMP)Vlcg/Y (more )
Structure Level Pattern Image Note
TS28: adrenal gland Present UC Davis_1874459

Specimen UC Davis_1874460: postnatal adult; Trappc2tm1.1(KOMP)Vlcg/Y (more )
Structure Level Pattern Image Note
TS28: adrenal gland Present UC Davis_1874460

Specimen UC Davis_1874461: postnatal adult; Trappc2tm1.1(KOMP)Vlcg/Y (more )
Structure Level Pattern Image Note
TS28: pituitary gland Present UC Davis_1874461

Specimen UC Davis_1874462: postnatal adult; Trappc2tm1.1(KOMP)Vlcg/Y (more )
Structure Level Pattern Image Note
TS28: spinal cord Present UC Davis_1874462

Specimen UC Davis_1874463: postnatal adult; Trappc2tm1.1(KOMP)Vlcg/Y (more )
Structure Level Pattern Image Note
TS28: eye Present UC Davis_1874463

Specimen UC Davis_1874464: postnatal adult; Trappc2tm1.1(KOMP)Vlcg/Y (more )
Structure Level Pattern Image Note
TS28: eye Present UC Davis_1874464

Specimen UC Davis_1874465: postnatal adult; Trappc2tm1.1(KOMP)Vlcg/Y (more )
Structure Level Pattern Image Note
TS28: mesenteric adipose tissue Present UC Davis_1874465

Specimen UC Davis_1874466: postnatal adult; Trappc2tm1.1(KOMP)Vlcg/Y (more )
Structure Level Pattern Image Note
TS28: skin Present UC Davis_1874466

Specimen UC Davis_1874467: postnatal adult; Trappc2tm1.1(KOMP)Vlcg/Y (more )
Structure Level Pattern Image Note
TS28: skin Present UC Davis_1874467

Specimen UC Davis_1874468: postnatal adult; Trappc2tm1.1(KOMP)Vlcg/Y (more )
Structure Level Pattern Image Note
TS28: brown fat Present UC Davis_1874468

Specimen UC Davis_1874469: postnatal adult; Trappc2tm1.1(KOMP)Vlcg/Y (more )
Structure Level Pattern Image Note
TS28: brown fat Present UC Davis_1874469

Specimen UC Davis_1874470: postnatal adult; Trappc2tm1.1(KOMP)Vlcg/Y (more )
Structure Level Pattern Image Note
TS28: olfactory lobe Present UC Davis_1874470

Specimen UC Davis_1874473: postnatal adult; Trappc2tm1.1(KOMP)Vlcg/Y (more )
Structure Level Pattern Image Note
TS28: midbrain Present UC Davis_1874473

Specimen UC Davis_1874475: postnatal adult; Trappc2tm1.1(KOMP)Vlcg/Y (more )
Structure Level Pattern Image Note
TS28: cerebellum Present UC Davis_1874475

Specimen UC Davis_1874476: postnatal adult; Trappc2tm1.1(KOMP)Vlcg/Y (more )
Structure Level Pattern Image Note
TS28: trigeminal nerve Present UC Davis_1874476

Specimen UC Davis_1874477: postnatal adult; Trappc2tm1.1(KOMP)Vlcg/Y (more )
Structure Level Pattern Image Note
TS28: trigeminal nerve Present UC Davis_1874477

Specimen UC Davis_1874478: postnatal adult; Trappc2tm1.1(KOMP)Vlcg/Y (more )
Structure Level Pattern Image Note
TS28: trigeminal nerve Present UC Davis_1874478

Specimen UC Davis_1874479: postnatal adult; Trappc2tm1.1(KOMP)Vlcg/Y (more )
Structure Level Pattern Image Note
TS28: bladder Present UC Davis_1874479

Specimen UC Davis_1874480: postnatal adult; Trappc2tm1.1(KOMP)Vlcg/Y (more )
Structure Level Pattern Image Note
TS28: bladder Present UC Davis_1874480

Specimen UC Davis_1874481: postnatal adult; Trappc2tm1.1(KOMP)Vlcg/Y (more )
Structure Level Pattern Image Note
TS28: testis Present UC Davis_1874481

Specimen UC Davis_1874482: postnatal adult; Trappc2tm1.1(KOMP)Vlcg/Y (more )
Structure Level Pattern Image Note
TS28: testis Present UC Davis_1874482

Specimen UC Davis_1874483: postnatal adult; Trappc2tm1.1(KOMP)Vlcg/Y (more )
Structure Level Pattern Image Note
TS28: epididymis Present UC Davis_1874483

Specimen UC Davis_1874484: postnatal adult; Trappc2tm1.1(KOMP)Vlcg/Y (more )
Structure Level Pattern Image Note
TS28: epididymis Present UC Davis_1874484

Specimen UC Davis_1874485: postnatal adult; Trappc2tm1.1(KOMP)Vlcg/Y (more )
Structure Level Pattern Image Note
TS28: prostate gland Present UC Davis_1874485

Specimen UC Davis_1874486: postnatal adult; Trappc2tm1.1(KOMP)Vlcg/Y (more )
Structure Level Pattern Image Note
TS28: prostate gland Present UC Davis_1874486

Specimen UC Davis_1874487: postnatal adult; Trappc2tm1.1(KOMP)Vlcg/Y (more )
Structure Level Pattern Image Note
TS28: penis Present UC Davis_1874487

Specimen UC Davis_1874488: postnatal adult; Trappc2tm1.1(KOMP)Vlcg/Y (more )
Structure Level Pattern Image Note
TS28: penis Present UC Davis_1874488

Specimen UC Davis_1874491: postnatal adult; Trappc2tm1.1(KOMP)Vlcg/Y (more )
Structure Level Pattern Image Note
TS28: blood Present UC Davis_1874491

Specimen UC Davis_1874492: postnatal adult; Trappc2tm1.1(KOMP)Vlcg/Y (more )
Structure Level Pattern Image Note
TS28: blood Present UC Davis_1874492

Specimen UC Davis_1874493: postnatal adult; Trappc2tm1.1(KOMP)Vlcg/Y (more )
Structure Level Pattern Image Note
TS28: bone marrow Present UC Davis_1874493

Specimen UC Davis_1874494: postnatal adult; Trappc2tm1.1(KOMP)Vlcg/Y (more )
Structure Level Pattern Image Note
TS28: bone marrow Present UC Davis_1874494

Specimen UC Davis_1874495: postnatal adult; Trappc2tm1.1(KOMP)Vlcg/Y (more )
Structure Level Pattern Image Note
TS28: ductus deferens Present UC Davis_1874495 vas deferens

Specimen UC Davis_1874496: postnatal adult; Trappc2tm1.1(KOMP)Vlcg/Y (more )
Structure Level Pattern Image Note
TS28: ductus deferens Present UC Davis_1874496 vas deferens

Specimen UC Davis_1874499: postnatal adult; Trappc2tm1.1(KOMP)Vlcg/Y (more )
Structure Level Pattern Image Note
TS28: seminal vesicle Present UC Davis_1874499 vesicular gland

Specimen UC Davis_1874500: postnatal adult; Trappc2tm1.1(KOMP)Vlcg/Y (more )
Structure Level Pattern Image Note
TS28: seminal vesicle Present UC Davis_1874500 vesicular gland


Contributing Projects:
Mouse Genome Database (MGD), Gene Expression Database (GXD), Mouse Models of Human Cancer database (MMHCdb) (formerly Mouse Tumor Biology (MTB)), Gene Ontology (GO)
Citing These Resources
Funding Information
Warranty Disclaimer, Privacy Notice, Licensing, & Copyright
Send questions and comments to User Support.
last database update
01/06/2026
MGI 6.24
The Jackson Laboratory