About   Help   FAQ
Gene Expression Data
Assay Details
Assay
Reference: J:228563 Koscielny G, et al., The International Mouse Phenotyping Consortium Web Portal, a unified point of access for knockout mice and related phenotyping data. Nucleic Acids Res. 2014 Jan;42(Database issue):D802-9
Assay type: In situ reporter (knock in)
MGI Accession ID: MGI:6691658
Gene symbol: Nudt14
Gene name: nudix hydrolase 14
Reporter: lacZ
Direct Detection
Results
Specimen UC Davis_1852081: postnatal adult; Nudt14tm1.1(KOMP)Vlcg/Nudt14+ (more )
Structure Level Pattern Image Note
TS28: submandibular gland Present UC Davis_1852081

Specimen UC Davis_1852082: postnatal adult; Nudt14tm1.1(KOMP)Vlcg/Nudt14+ (more )
Structure Level Pattern Image Note
TS28: submandibular gland Present UC Davis_1852082

Specimen UC Davis_1852083: postnatal adult; Nudt14tm1.1(KOMP)Vlcg/Nudt14+ (more )
Structure Level Pattern Image Note
TS28: submandibular gland Present UC Davis_1852083

Specimen UC Davis_1852084: postnatal adult; Nudt14tm1.1(KOMP)Vlcg/Nudt14+ (more )
Structure Level Pattern Image Note
TS28: sublingual gland Present UC Davis_1852084

Specimen UC Davis_1852085: postnatal adult; Nudt14tm1.1(KOMP)Vlcg/Nudt14+ (more )
Structure Level Pattern Image Note
TS28: parotid gland Present UC Davis_1852085

Specimen UC Davis_1852087: postnatal adult; Nudt14tm1.1(KOMP)Vlcg/Nudt14+ (more )
Structure Level Pattern Image Note
TS28: trachea Present UC Davis_1852087

Specimen UC Davis_1852088: postnatal adult; Nudt14tm1.1(KOMP)Vlcg/Nudt14+ (more )
Structure Level Pattern Image Note
TS28: trachea Present UC Davis_1852088

Specimen UC Davis_1852089: postnatal adult; Nudt14tm1.1(KOMP)Vlcg/Nudt14+ (more )
Structure Level Pattern Image Note
TS28: esophagus Present UC Davis_1852089

Specimen UC Davis_1852090: postnatal adult; Nudt14tm1.1(KOMP)Vlcg/Nudt14+ (more )
Structure Level Pattern Image Note
TS28: thyroid gland Present UC Davis_1852090

Specimen UC Davis_1852091: postnatal adult; Nudt14tm1.1(KOMP)Vlcg/Nudt14+ (more )
Structure Level Pattern Image Note
TS28: parathyroid gland Present UC Davis_1852091

Specimen UC Davis_1852092: postnatal adult; Nudt14tm1.1(KOMP)Vlcg/Nudt14+ (more )
Structure Level Pattern Image Note
TS28: thymus Present UC Davis_1852092

Specimen UC Davis_1852093: postnatal adult; Nudt14tm1.1(KOMP)Vlcg/Nudt14+ (more )
Structure Level Pattern Image Note
TS28: thymus Present UC Davis_1852093

Specimen UC Davis_1852094: postnatal adult; Nudt14tm1.1(KOMP)Vlcg/Nudt14+ (more )
Structure Level Pattern Image Note
TS28: thymus Present UC Davis_1852094

Specimen UC Davis_1852099: postnatal adult; Nudt14tm1.1(KOMP)Vlcg/Nudt14+ (more )
Structure Level Pattern Image Note
TS28: mesenteric lymph node Present UC Davis_1852099

Specimen UC Davis_1852100: postnatal adult; Nudt14tm1.1(KOMP)Vlcg/Nudt14+ (more )
Structure Level Pattern Image Note
TS28: stomach Present UC Davis_1852100

Specimen UC Davis_1852101: postnatal adult; Nudt14tm1.1(KOMP)Vlcg/Nudt14+ (more )
Structure Level Pattern Image Note
TS28: stomach Present UC Davis_1852101

Specimen UC Davis_1852102: postnatal adult; Nudt14tm1.1(KOMP)Vlcg/Nudt14+ (more )
Structure Level Pattern Image Note
TS28: stomach Present UC Davis_1852102

Specimen UC Davis_1852103: postnatal adult; Nudt14tm1.1(KOMP)Vlcg/Nudt14+ (more )
Structure Level Pattern Image Note
TS28: stomach Present UC Davis_1852103

Specimen UC Davis_1852104: postnatal adult; Nudt14tm1.1(KOMP)Vlcg/Nudt14+ (more )
Structure Level Pattern Image Note
TS28: stomach Present UC Davis_1852104

Specimen UC Davis_1852105: postnatal adult; Nudt14tm1.1(KOMP)Vlcg/Nudt14+ (more )
Structure Level Pattern Image Note
TS28: duodenum Present UC Davis_1852105

Specimen UC Davis_1852106: postnatal adult; Nudt14tm1.1(KOMP)Vlcg/Nudt14+ (more )
Structure Level Pattern Image Note
TS28: jejunum Present UC Davis_1852106

Specimen UC Davis_1852107: postnatal adult; Nudt14tm1.1(KOMP)Vlcg/Nudt14+ (more )
Structure Level Pattern Image Note
TS28: ileum Present UC Davis_1852107

Specimen UC Davis_1852108: postnatal adult; Nudt14tm1.1(KOMP)Vlcg/Nudt14+ (more )
Structure Level Pattern Image Note
TS28: ileum Present UC Davis_1852108

Specimen UC Davis_1852109: postnatal adult; Nudt14tm1.1(KOMP)Vlcg/Nudt14+ (more )
Structure Level Pattern Image Note
TS28: colon Present UC Davis_1852109

Specimen UC Davis_1852110: postnatal adult; Nudt14tm1.1(KOMP)Vlcg/Nudt14+ (more )
Structure Level Pattern Image Note
TS28: cecum Present UC Davis_1852110

Specimen UC Davis_1852111: postnatal adult; Nudt14tm1.1(KOMP)Vlcg/Nudt14+ (more )
Structure Level Pattern Image Note
TS28: spleen Present UC Davis_1852111

Specimen UC Davis_1852112: postnatal adult; Nudt14tm1.1(KOMP)Vlcg/Nudt14+ (more )
Structure Level Pattern Image Note
TS28: spleen Present UC Davis_1852112

Specimen UC Davis_1852113: postnatal adult; Nudt14tm1.1(KOMP)Vlcg/Nudt14+ (more )
Structure Level Pattern Image Note
TS28: spleen Present UC Davis_1852113

Specimen UC Davis_1852114: postnatal adult; Nudt14tm1.1(KOMP)Vlcg/Nudt14+ (more )
Structure Level Pattern Image Note
TS28: spleen Present UC Davis_1852114

Specimen UC Davis_1852115: postnatal adult; Nudt14tm1.1(KOMP)Vlcg/Nudt14+ (more )
Structure Level Pattern Image Note
TS28: pancreas Present UC Davis_1852115

Specimen UC Davis_1852116: postnatal adult; Nudt14tm1.1(KOMP)Vlcg/Nudt14+ (more )
Structure Level Pattern Image Note
TS28: pancreas Present UC Davis_1852116

Specimen UC Davis_1852117: postnatal adult; Nudt14tm1.1(KOMP)Vlcg/Nudt14+ (more )
Structure Level Pattern Image Note
TS28: liver Present UC Davis_1852117

Specimen UC Davis_1852118: postnatal adult; Nudt14tm1.1(KOMP)Vlcg/Nudt14+ (more )
Structure Level Pattern Image Note
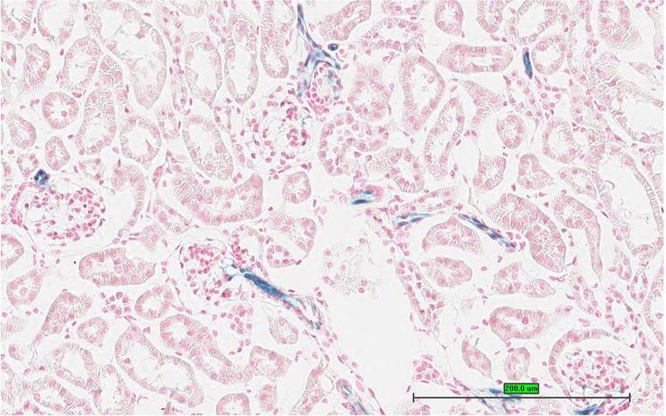
TS28: metanephros Present UC Davis_1852118 kidney

Specimen UC Davis_1852119: postnatal adult; Nudt14tm1.1(KOMP)Vlcg/Nudt14+ (more )
Structure Level Pattern Image Note
TS28: metanephros Present UC Davis_1852119 kidney

Specimen UC Davis_1852120: postnatal adult; Nudt14tm1.1(KOMP)Vlcg/Nudt14+ (more )
Structure Level Pattern Image Note
TS28: metanephros Present UC Davis_1852120 kidney

Specimen UC Davis_1852121: postnatal adult; Nudt14tm1.1(KOMP)Vlcg/Nudt14+ (more )
Structure Level Pattern Image Note
TS28: metanephros Present UC Davis_1852121 kidney

Specimen UC Davis_1852122: postnatal adult; Nudt14tm1.1(KOMP)Vlcg/Nudt14+ (more )
Structure Level Pattern Image Note
TS28: quadriceps femoris muscle Present UC Davis_1852122

Specimen UC Davis_1852123: postnatal adult; Nudt14tm1.1(KOMP)Vlcg/Nudt14+ (more )
Structure Level Pattern Image Note
TS28: quadriceps femoris muscle Present UC Davis_1852123

Specimen UC Davis_1852124: postnatal adult; Nudt14tm1.1(KOMP)Vlcg/Nudt14+ (more )
Structure Level Pattern Image Note
TS28: quadriceps femoris muscle Present UC Davis_1852124

Specimen UC Davis_1852125: postnatal adult; Nudt14tm1.1(KOMP)Vlcg/Nudt14+ (more )
Structure Level Pattern Image Note
TS28: tongue Present UC Davis_1852125

Specimen UC Davis_1852126: postnatal adult; Nudt14tm1.1(KOMP)Vlcg/Nudt14+ (more )
Structure Level Pattern Image Note
TS28: tongue Present UC Davis_1852126

Specimen UC Davis_1852127: postnatal adult; Nudt14tm1.1(KOMP)Vlcg/Nudt14+ (more )
Structure Level Pattern Image Note
TS28: diaphragm Present UC Davis_1852127

Specimen UC Davis_1852128: postnatal adult; Nudt14tm1.1(KOMP)Vlcg/Nudt14+ (more )
Structure Level Pattern Image Note
TS28: adrenal gland Present UC Davis_1852128

Specimen UC Davis_1852129: postnatal adult; Nudt14tm1.1(KOMP)Vlcg/Nudt14+ (more )
Structure Level Pattern Image Note
TS28: eye Present UC Davis_1852129

Specimen UC Davis_1852130: postnatal adult; Nudt14tm1.1(KOMP)Vlcg/Nudt14+ (more )
Structure Level Pattern Image Note
TS28: eye Present UC Davis_1852130

Specimen UC Davis_1852132: postnatal adult; Nudt14tm1.1(KOMP)Vlcg/Nudt14+ (more )
Structure Level Pattern Image Note
TS28: Harderian gland Present UC Davis_1852132

Specimen UC Davis_1852133: postnatal adult; Nudt14tm1.1(KOMP)Vlcg/Nudt14+ (more )
Structure Level Pattern Image Note
TS28: Harderian gland Present UC Davis_1852133

Specimen UC Davis_1852134: postnatal adult; Nudt14tm1.1(KOMP)Vlcg/Nudt14+ (more )
Structure Level Pattern Image Note
TS28: gonadal fat pad Present UC Davis_1852134

Specimen UC Davis_1852135: postnatal adult; Nudt14tm1.1(KOMP)Vlcg/Nudt14+ (more )
Structure Level Pattern Image Note
TS28: skin Present UC Davis_1852135

Specimen UC Davis_1852136: postnatal adult; Nudt14tm1.1(KOMP)Vlcg/Nudt14+ (more )
Structure Level Pattern Image Note
TS28: skin Present UC Davis_1852136

Specimen UC Davis_1852137: postnatal adult; Nudt14tm1.1(KOMP)Vlcg/Nudt14+ (more )
Structure Level Pattern Image Note
TS28: skin Present UC Davis_1852137

Specimen UC Davis_1852138: postnatal adult; Nudt14tm1.1(KOMP)Vlcg/Nudt14+ (more )
Structure Level Pattern Image Note
TS28: brown fat Present UC Davis_1852138

Specimen UC Davis_1852139: postnatal adult; Nudt14tm1.1(KOMP)Vlcg/Nudt14+ (more )
Structure Level Pattern Image Note
TS28: brown fat Present UC Davis_1852139

Specimen UC Davis_1852140: postnatal adult; Nudt14tm1.1(KOMP)Vlcg/Nudt14+ (more )
Structure Level Pattern Image Note
TS28: brown fat Present UC Davis_1852140

Specimen UC Davis_1852141: postnatal adult; Nudt14tm1.1(KOMP)Vlcg/Nudt14+ (more )
Structure Level Pattern Image Note
TS28: olfactory lobe Present UC Davis_1852141

Specimen UC Davis_1852145: postnatal adult; Nudt14tm1.1(KOMP)Vlcg/Nudt14+ (more )
Structure Level Pattern Image Note
TS28: midbrain Present UC Davis_1852145

Specimen UC Davis_1852146: postnatal adult; Nudt14tm1.1(KOMP)Vlcg/Nudt14+ (more )
Structure Level Pattern Image Note
TS28: midbrain Present UC Davis_1852146

Specimen UC Davis_1852147: postnatal adult; Nudt14tm1.1(KOMP)Vlcg/Nudt14+ (more )
Structure Level Pattern Image Note
TS28: midbrain Present UC Davis_1852147

Specimen UC Davis_1852149: postnatal adult; Nudt14tm1.1(KOMP)Vlcg/Nudt14+ (more )
Structure Level Pattern Image Note
TS28: cerebellum Present UC Davis_1852149

Specimen UC Davis_1852150: postnatal adult; Nudt14tm1.1(KOMP)Vlcg/Nudt14+ (more )
Structure Level Pattern Image Note
TS28: cerebellum Present UC Davis_1852150

Specimen UC Davis_1852151: postnatal adult; Nudt14tm1.1(KOMP)Vlcg/Nudt14+ (more )
Structure Level Pattern Image Note
TS28: ovary Present UC Davis_1852151

Specimen UC Davis_1852152: postnatal adult; Nudt14tm1.1(KOMP)Vlcg/Nudt14+ (more )
Structure Level Pattern Image Note
TS28: ovary Present UC Davis_1852152

Specimen UC Davis_1852153: postnatal adult; Nudt14tm1.1(KOMP)Vlcg/Nudt14+ (more )
Structure Level Pattern Image Note
TS28: oviduct Present UC Davis_1852153

Specimen UC Davis_1852154: postnatal adult; Nudt14tm1.1(KOMP)Vlcg/Nudt14+ (more )
Structure Level Pattern Image Note
TS28: oviduct Present UC Davis_1852154

Specimen UC Davis_1852155: postnatal adult; Nudt14tm1.1(KOMP)Vlcg/Nudt14+ (more )
Structure Level Pattern Image Note
TS28: uterus Present UC Davis_1852155

Specimen UC Davis_1852156: postnatal adult; Nudt14tm1.1(KOMP)Vlcg/Nudt14+ (more )
Structure Level Pattern Image Note
TS28: uterus Present UC Davis_1852156

Specimen UC Davis_1852157: postnatal adult; Nudt14tm1.1(KOMP)Vlcg/Nudt14+ (more )
Structure Level Pattern Image Note
TS28: uterus Present UC Davis_1852157

Specimen UC Davis_1852158: postnatal adult; Nudt14tm1.1(KOMP)Vlcg/Nudt14+ (more )
Structure Level Pattern Image Note
TS28: uterus Present UC Davis_1852158

Specimen UC Davis_1852159: postnatal adult; Nudt14tm1.1(KOMP)Vlcg/Nudt14+ (more )
Structure Level Pattern Image Note
TS28: vagina Present UC Davis_1852159

Specimen UC Davis_1852160: postnatal adult; Nudt14tm1.1(KOMP)Vlcg/Nudt14+ (more )
Structure Level Pattern Image Note
TS28: vagina Present UC Davis_1852160

Specimen UC Davis_1852161: postnatal adult; Nudt14tm1.1(KOMP)Vlcg/Nudt14+ (more )
Structure Level Pattern Image Note
TS28: vagina Present UC Davis_1852161

Specimen UC Davis_1852162: postnatal adult; Nudt14tm1.1(KOMP)Vlcg/Nudt14+ (more )
Structure Level Pattern Image Note
TS28: bladder Present UC Davis_1852162

Specimen UC Davis_1852163: postnatal adult; Nudt14tm1.1(KOMP)Vlcg/Nudt14+ (more )
Structure Level Pattern Image Note
TS28: bladder Present UC Davis_1852163

Specimen UC Davis_1852164: postnatal adult; Nudt14tm1.1(KOMP)Vlcg/Nudt14+ (more )
Structure Level Pattern Image Note
TS28: bladder Present UC Davis_1852164

Specimen UC Davis_1851980: postnatal adult; Nudt14tm1.1(KOMP)Vlcg/Nudt14+ (more )
Structure Level Pattern Image Note
TS28: submandibular gland Present UC Davis_1851980

Specimen UC Davis_1851981: postnatal adult; Nudt14tm1.1(KOMP)Vlcg/Nudt14+ (more )
Structure Level Pattern Image Note
TS28: submandibular gland Present UC Davis_1851981

Specimen UC Davis_1851982: postnatal adult; Nudt14tm1.1(KOMP)Vlcg/Nudt14+ (more )
Structure Level Pattern Image Note
TS28: sublingual gland Present UC Davis_1851982

Specimen UC Davis_1851983: postnatal adult; Nudt14tm1.1(KOMP)Vlcg/Nudt14+ (more )
Structure Level Pattern Image Note
TS28: sublingual gland Present UC Davis_1851983

Specimen UC Davis_1851984: postnatal adult; Nudt14tm1.1(KOMP)Vlcg/Nudt14+ (more )
Structure Level Pattern Image Note
TS28: sublingual gland Present UC Davis_1851984

Specimen UC Davis_1851985: postnatal adult; Nudt14tm1.1(KOMP)Vlcg/Nudt14+ (more )
Structure Level Pattern Image Note
TS28: parotid gland Present UC Davis_1851985

Specimen UC Davis_1851986: postnatal adult; Nudt14tm1.1(KOMP)Vlcg/Nudt14+ (more )
Structure Level Pattern Image Note
TS28: parotid gland Present UC Davis_1851986

Specimen UC Davis_1851987: postnatal adult; Nudt14tm1.1(KOMP)Vlcg/Nudt14+ (more )
Structure Level Pattern Image Note
TS28: trachea Present UC Davis_1851987

Specimen UC Davis_1851988: postnatal adult; Nudt14tm1.1(KOMP)Vlcg/Nudt14+ (more )
Structure Level Pattern Image Note
TS28: trachea Present UC Davis_1851988

Specimen UC Davis_1851989: postnatal adult; Nudt14tm1.1(KOMP)Vlcg/Nudt14+ (more )
Structure Level Pattern Image Note
TS28: esophagus Absent UC Davis_1851989

Specimen UC Davis_1851990: postnatal adult; Nudt14tm1.1(KOMP)Vlcg/Nudt14+ (more )
Structure Level Pattern Image Note
TS28: esophagus Absent UC Davis_1851990

Specimen UC Davis_1851991: postnatal adult; Nudt14tm1.1(KOMP)Vlcg/Nudt14+ (more )
Structure Level Pattern Image Note
TS28: thyroid gland Present UC Davis_1851991

Specimen UC Davis_1851992: postnatal adult; Nudt14tm1.1(KOMP)Vlcg/Nudt14+ (more )
Structure Level Pattern Image Note
TS28: thyroid gland Present UC Davis_1851992

Specimen UC Davis_1851993: postnatal adult; Nudt14tm1.1(KOMP)Vlcg/Nudt14+ (more )
Structure Level Pattern Image Note
TS28: thyroid gland Present UC Davis_1851993

Specimen UC Davis_1851997: postnatal adult; Nudt14tm1.1(KOMP)Vlcg/Nudt14+ (more )
Structure Level Pattern Image Note
TS28: thymus Present UC Davis_1851997

Specimen UC Davis_1851998: postnatal adult; Nudt14tm1.1(KOMP)Vlcg/Nudt14+ (more )
Structure Level Pattern Image Note
TS28: thymus Present UC Davis_1851998

Specimen UC Davis_1852002: postnatal adult; Nudt14tm1.1(KOMP)Vlcg/Nudt14+ (more )
Structure Level Pattern Image Note
TS28: mesenteric lymph node Present UC Davis_1852002

Specimen UC Davis_1852003: postnatal adult; Nudt14tm1.1(KOMP)Vlcg/Nudt14+ (more )
Structure Level Pattern Image Note
TS28: mesenteric lymph node Present UC Davis_1852003

Specimen UC Davis_1852004: postnatal adult; Nudt14tm1.1(KOMP)Vlcg/Nudt14+ (more )
Structure Level Pattern Image Note
TS28: mesenteric lymph node Present UC Davis_1852004

Specimen UC Davis_1852005: postnatal adult; Nudt14tm1.1(KOMP)Vlcg/Nudt14+ (more )
Structure Level Pattern Image Note
TS28: stomach Present UC Davis_1852005

Specimen UC Davis_1852006: postnatal adult; Nudt14tm1.1(KOMP)Vlcg/Nudt14+ (more )
Structure Level Pattern Image Note
TS28: stomach Present UC Davis_1852006

Specimen UC Davis_1852007: postnatal adult; Nudt14tm1.1(KOMP)Vlcg/Nudt14+ (more )
Structure Level Pattern Image Note
TS28: stomach Present UC Davis_1852007

Specimen UC Davis_1852008: postnatal adult; Nudt14tm1.1(KOMP)Vlcg/Nudt14+ (more )
Structure Level Pattern Image Note
TS28: stomach Present UC Davis_1852008

Specimen UC Davis_1852009: postnatal adult; Nudt14tm1.1(KOMP)Vlcg/Nudt14+ (more )
Structure Level Pattern Image Note
TS28: duodenum Present UC Davis_1852009

Specimen UC Davis_1852010: postnatal adult; Nudt14tm1.1(KOMP)Vlcg/Nudt14+ (more )
Structure Level Pattern Image Note
TS28: duodenum Present UC Davis_1852010

Specimen UC Davis_1852011: postnatal adult; Nudt14tm1.1(KOMP)Vlcg/Nudt14+ (more )
Structure Level Pattern Image Note
TS28: duodenum Present UC Davis_1852011

Specimen UC Davis_1852012: postnatal adult; Nudt14tm1.1(KOMP)Vlcg/Nudt14+ (more )
Structure Level Pattern Image Note
TS28: jejunum Present UC Davis_1852012

Specimen UC Davis_1852013: postnatal adult; Nudt14tm1.1(KOMP)Vlcg/Nudt14+ (more )
Structure Level Pattern Image Note
TS28: jejunum Present UC Davis_1852013

Specimen UC Davis_1852014: postnatal adult; Nudt14tm1.1(KOMP)Vlcg/Nudt14+ (more )
Structure Level Pattern Image Note
TS28: ileum Present UC Davis_1852014

Specimen UC Davis_1852015: postnatal adult; Nudt14tm1.1(KOMP)Vlcg/Nudt14+ (more )
Structure Level Pattern Image Note
TS28: colon Present UC Davis_1852015

Specimen UC Davis_1852016: postnatal adult; Nudt14tm1.1(KOMP)Vlcg/Nudt14+ (more )
Structure Level Pattern Image Note
TS28: colon Present UC Davis_1852016

Specimen UC Davis_1852017: postnatal adult; Nudt14tm1.1(KOMP)Vlcg/Nudt14+ (more )
Structure Level Pattern Image Note
TS28: spleen Present UC Davis_1852017

Specimen UC Davis_1852018: postnatal adult; Nudt14tm1.1(KOMP)Vlcg/Nudt14+ (more )
Structure Level Pattern Image Note
TS28: spleen Present UC Davis_1852018

Specimen UC Davis_1852019: postnatal adult; Nudt14tm1.1(KOMP)Vlcg/Nudt14+ (more )
Structure Level Pattern Image Note
TS28: spleen Present UC Davis_1852019

Specimen UC Davis_1852020: postnatal adult; Nudt14tm1.1(KOMP)Vlcg/Nudt14+ (more )
Structure Level Pattern Image Note
TS28: pancreas Present UC Davis_1852020

Specimen UC Davis_1852021: postnatal adult; Nudt14tm1.1(KOMP)Vlcg/Nudt14+ (more )
Structure Level Pattern Image Note
TS28: pancreas Present UC Davis_1852021

Specimen UC Davis_1852022: postnatal adult; Nudt14tm1.1(KOMP)Vlcg/Nudt14+ (more )
Structure Level Pattern Image Note
TS28: pancreas Present UC Davis_1852022

Specimen UC Davis_1852023: postnatal adult; Nudt14tm1.1(KOMP)Vlcg/Nudt14+ (more )
Structure Level Pattern Image Note
TS28: liver Present UC Davis_1852023

Specimen UC Davis_1852024: postnatal adult; Nudt14tm1.1(KOMP)Vlcg/Nudt14+ (more )
Structure Level Pattern Image Note
TS28: liver Present UC Davis_1852024

Specimen UC Davis_1852025: postnatal adult; Nudt14tm1.1(KOMP)Vlcg/Nudt14+ (more )
Structure Level Pattern Image Note
TS28: metanephros Present UC Davis_1852025 kidney

Specimen UC Davis_1852026: postnatal adult; Nudt14tm1.1(KOMP)Vlcg/Nudt14+ (more )
Structure Level Pattern Image Note
TS28: metanephros Present UC Davis_1852026 kidney

Specimen UC Davis_1852027: postnatal adult; Nudt14tm1.1(KOMP)Vlcg/Nudt14+ (more )
Structure Level Pattern Image Note
TS28: metanephros Present UC Davis_1852027 kidney

Specimen UC Davis_1852028: postnatal adult; Nudt14tm1.1(KOMP)Vlcg/Nudt14+ (more )
Structure Level Pattern Image Note
TS28: quadriceps femoris muscle Present UC Davis_1852028

Specimen UC Davis_1852029: postnatal adult; Nudt14tm1.1(KOMP)Vlcg/Nudt14+ (more )
Structure Level Pattern Image Note
TS28: quadriceps femoris muscle Present UC Davis_1852029

Specimen UC Davis_1852030: postnatal adult; Nudt14tm1.1(KOMP)Vlcg/Nudt14+ (more )
Structure Level Pattern Image Note
TS28: quadriceps femoris muscle Present UC Davis_1852030

Specimen UC Davis_1852031: postnatal adult; Nudt14tm1.1(KOMP)Vlcg/Nudt14+ (more )
Structure Level Pattern Image Note
TS28: quadriceps femoris muscle Present UC Davis_1852031

Specimen UC Davis_1852032: postnatal adult; Nudt14tm1.1(KOMP)Vlcg/Nudt14+ (more )
Structure Level Pattern Image Note
TS28: quadriceps femoris muscle Present UC Davis_1852032

Specimen UC Davis_1852033: postnatal adult; Nudt14tm1.1(KOMP)Vlcg/Nudt14+ (more )
Structure Level Pattern Image Note
TS28: quadriceps femoris muscle Present UC Davis_1852033

Specimen UC Davis_1852034: postnatal adult; Nudt14tm1.1(KOMP)Vlcg/Nudt14+ (more )
Structure Level Pattern Image Note
TS28: quadriceps femoris muscle Present UC Davis_1852034

Specimen UC Davis_1852035: postnatal adult; Nudt14tm1.1(KOMP)Vlcg/Nudt14+ (more )
Structure Level Pattern Image Note
TS28: sciatic nerve Present UC Davis_1852035

Specimen UC Davis_1852036: postnatal adult; Nudt14tm1.1(KOMP)Vlcg/Nudt14+ (more )
Structure Level Pattern Image Note
TS28: tongue Present UC Davis_1852036

Specimen UC Davis_1852037: postnatal adult; Nudt14tm1.1(KOMP)Vlcg/Nudt14+ (more )
Structure Level Pattern Image Note
TS28: tongue Present UC Davis_1852037

Specimen UC Davis_1852038: postnatal adult; Nudt14tm1.1(KOMP)Vlcg/Nudt14+ (more )
Structure Level Pattern Image Note
TS28: tongue Present UC Davis_1852038

Specimen UC Davis_1852039: postnatal adult; Nudt14tm1.1(KOMP)Vlcg/Nudt14+ (more )
Structure Level Pattern Image Note
TS28: diaphragm Present UC Davis_1852039

Specimen UC Davis_1852040: postnatal adult; Nudt14tm1.1(KOMP)Vlcg/Nudt14+ (more )
Structure Level Pattern Image Note
TS28: diaphragm Present UC Davis_1852040

Specimen UC Davis_1852041: postnatal adult; Nudt14tm1.1(KOMP)Vlcg/Nudt14+ (more )
Structure Level Pattern Image Note
TS28: spinal cord Present UC Davis_1852041

Specimen UC Davis_1852042: postnatal adult; Nudt14tm1.1(KOMP)Vlcg/Nudt14+ (more )
Structure Level Pattern Image Note
TS28: spinal cord Present UC Davis_1852042

Specimen UC Davis_1852043: postnatal adult; Nudt14tm1.1(KOMP)Vlcg/Nudt14+ (more )
Structure Level Pattern Image Note
TS28: eye Present UC Davis_1852043

Specimen UC Davis_1852044: postnatal adult; Nudt14tm1.1(KOMP)Vlcg/Nudt14+ (more )
Structure Level Pattern Image Note
TS28: eye Present UC Davis_1852044

Specimen UC Davis_1852047: postnatal adult; Nudt14tm1.1(KOMP)Vlcg/Nudt14+ (more )
Structure Level Pattern Image Note
TS28: Harderian gland Present UC Davis_1852047

Specimen UC Davis_1852048: postnatal adult; Nudt14tm1.1(KOMP)Vlcg/Nudt14+ (more )
Structure Level Pattern Image Note
TS28: Harderian gland Present UC Davis_1852048

Specimen UC Davis_1852049: postnatal adult; Nudt14tm1.1(KOMP)Vlcg/Nudt14+ (more )
Structure Level Pattern Image Note
TS28: skin Present UC Davis_1852049

Specimen UC Davis_1852050: postnatal adult; Nudt14tm1.1(KOMP)Vlcg/Nudt14+ (more )
Structure Level Pattern Image Note
TS28: skin Present UC Davis_1852050

Specimen UC Davis_1852051: postnatal adult; Nudt14tm1.1(KOMP)Vlcg/Nudt14+ (more )
Structure Level Pattern Image Note
TS28: skin Present UC Davis_1852051

Specimen UC Davis_1852052: postnatal adult; Nudt14tm1.1(KOMP)Vlcg/Nudt14+ (more )
Structure Level Pattern Image Note
TS28: skin Present UC Davis_1852052

Specimen UC Davis_1852053: postnatal adult; Nudt14tm1.1(KOMP)Vlcg/Nudt14+ (more )
Structure Level Pattern Image Note
TS28: brown fat Present UC Davis_1852053

Specimen UC Davis_1852054: postnatal adult; Nudt14tm1.1(KOMP)Vlcg/Nudt14+ (more )
Structure Level Pattern Image Note
TS28: brown fat Present UC Davis_1852054

Specimen UC Davis_1852055: postnatal adult; Nudt14tm1.1(KOMP)Vlcg/Nudt14+ (more )
Structure Level Pattern Image Note
TS28: brown fat Present UC Davis_1852055

Specimen UC Davis_1852056: postnatal adult; Nudt14tm1.1(KOMP)Vlcg/Nudt14+ (more )
Structure Level Pattern Image Note
TS28: brown fat Present UC Davis_1852056

Specimen UC Davis_1852058: postnatal adult; Nudt14tm1.1(KOMP)Vlcg/Nudt14+ (more )
Structure Level Pattern Image Note
TS28: midbrain Present UC Davis_1852058

Specimen UC Davis_1852059: postnatal adult; Nudt14tm1.1(KOMP)Vlcg/Nudt14+ (more )
Structure Level Pattern Image Note
TS28: midbrain Present UC Davis_1852059

Specimen UC Davis_1852061: postnatal adult; Nudt14tm1.1(KOMP)Vlcg/Nudt14+ (more )
Structure Level Pattern Image Note
TS28: trigeminal nerve Present UC Davis_1852061

Specimen UC Davis_1852062: postnatal adult; Nudt14tm1.1(KOMP)Vlcg/Nudt14+ (more )
Structure Level Pattern Image Note
TS28: trigeminal nerve Present UC Davis_1852062

Specimen UC Davis_1852063: postnatal adult; Nudt14tm1.1(KOMP)Vlcg/Nudt14+ (more )
Structure Level Pattern Image Note
TS28: testis Present UC Davis_1852063

Specimen UC Davis_1852064: postnatal adult; Nudt14tm1.1(KOMP)Vlcg/Nudt14+ (more )
Structure Level Pattern Image Note
TS28: testis Present UC Davis_1852064

Specimen UC Davis_1852065: postnatal adult; Nudt14tm1.1(KOMP)Vlcg/Nudt14+ (more )
Structure Level Pattern Image Note
TS28: testis Present UC Davis_1852065

Specimen UC Davis_1852066: postnatal adult; Nudt14tm1.1(KOMP)Vlcg/Nudt14+ (more )
Structure Level Pattern Image Note
TS28: epididymis Present UC Davis_1852066

Specimen UC Davis_1852067: postnatal adult; Nudt14tm1.1(KOMP)Vlcg/Nudt14+ (more )
Structure Level Pattern Image Note
TS28: epididymis Present UC Davis_1852067

Specimen UC Davis_1852068: postnatal adult; Nudt14tm1.1(KOMP)Vlcg/Nudt14+ (more )
Structure Level Pattern Image Note
TS28: epididymis Present UC Davis_1852068

Specimen UC Davis_1852069: postnatal adult; Nudt14tm1.1(KOMP)Vlcg/Nudt14+ (more )
Structure Level Pattern Image Note
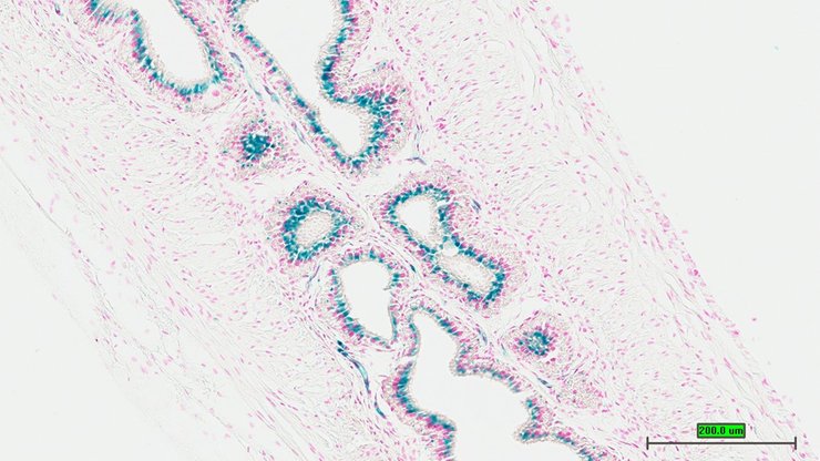
TS28: prostate gland Present UC Davis_1852069

Specimen UC Davis_1852070: postnatal adult; Nudt14tm1.1(KOMP)Vlcg/Nudt14+ (more )
Structure Level Pattern Image Note
TS28: prostate gland Present UC Davis_1852070

Specimen UC Davis_1852071: postnatal adult; Nudt14tm1.1(KOMP)Vlcg/Nudt14+ (more )
Structure Level Pattern Image Note
TS28: penis Present UC Davis_1852071

Specimen UC Davis_1852072: postnatal adult; Nudt14tm1.1(KOMP)Vlcg/Nudt14+ (more )
Structure Level Pattern Image Note
TS28: penis Present UC Davis_1852072

Specimen UC Davis_1852073: postnatal adult; Nudt14tm1.1(KOMP)Vlcg/Nudt14+ (more )
Structure Level Pattern Image Note
TS28: penis Present UC Davis_1852073

Specimen UC Davis_1852074: postnatal adult; Nudt14tm1.1(KOMP)Vlcg/Nudt14+ (more )
Structure Level Pattern Image Note
TS28: ductus deferens Present UC Davis_1852074 vas deferens

Specimen UC Davis_1852075: postnatal adult; Nudt14tm1.1(KOMP)Vlcg/Nudt14+ (more )
Structure Level Pattern Image Note
TS28: ductus deferens Present UC Davis_1852075 vas deferens

Specimen UC Davis_1852076: postnatal adult; Nudt14tm1.1(KOMP)Vlcg/Nudt14+ (more )
Structure Level Pattern Image Note
TS28: ductus deferens Present UC Davis_1852076 vas deferens

Specimen UC Davis_1852078: postnatal adult; Nudt14tm1.1(KOMP)Vlcg/Nudt14+ (more )
Structure Level Pattern Image Note
TS28: seminal vesicle Present UC Davis_1852078 vesicular gland

Specimen UC Davis_1852079: postnatal adult; Nudt14tm1.1(KOMP)Vlcg/Nudt14+ (more )
Structure Level Pattern Image Note
TS28: seminal vesicle Present UC Davis_1852079 vesicular gland

Specimen UC Davis_1852080: postnatal adult; Nudt14tm1.1(KOMP)Vlcg/Nudt14+ (more )
Structure Level Pattern Image Note
TS28: seminal vesicle Present UC Davis_1852080 vesicular gland


Contributing Projects:
Mouse Genome Database (MGD), Gene Expression Database (GXD), Mouse Models of Human Cancer database (MMHCdb) (formerly Mouse Tumor Biology (MTB)), Gene Ontology (GO)
Citing These Resources
Funding Information
Warranty Disclaimer, Privacy Notice, Licensing, & Copyright
Send questions and comments to User Support.
last database update
01/20/2026
MGI 6.24
The Jackson Laboratory