About   Help   FAQ
Gene Expression Data
Assay Details
Assay
Reference: J:228563 Koscielny G, et al., The International Mouse Phenotyping Consortium Web Portal, a unified point of access for knockout mice and related phenotyping data. Nucleic Acids Res. 2014 Jan;42(Database issue):D802-9
Assay type: In situ reporter (knock in)
MGI Accession ID: MGI:6691653
Gene symbol: Elof1
Gene name: ELF1 homolog, elongation factor 1
Reporter: lacZ
Direct Detection
Results
Specimen JAX_1123327: embryonic day 12.5; Elof1tm1.1(KOMP)Vlcg/Elof1+ (more )
Structure Level Pattern Image Note
TS20: embryo Present JAX_1123327

Specimen JAX_1123329: embryonic day 12.5; Elof1tm1.1(KOMP)Vlcg/Elof1+ (more )
Structure Level Pattern Image Note
TS20: embryo Present JAX_1123329

Specimen JAX_1123331: embryonic day 12.5; Elof1tm1.1(KOMP)Vlcg/Elof1+ (more )
Structure Level Pattern Image Note
TS20: embryo Present JAX_1123331

Specimen JAX_1123333: embryonic day 12.5; Elof1tm1.1(KOMP)Vlcg/Elof1+ (more )
Structure Level Pattern Image Note
TS20: embryo Present JAX_1123333

Specimen JAX_1123319: embryonic day 12.5; Elof1tm1.1(KOMP)Vlcg/Elof1+ (more )
Structure Level Pattern Image Note
TS20: embryo Present JAX_1123319

Specimen JAX_1123321: embryonic day 12.5; Elof1tm1.1(KOMP)Vlcg/Elof1+ (more )
Structure Level Pattern Image Note
TS20: embryo Present JAX_1123321

Specimen JAX_1123323: embryonic day 12.5; Elof1tm1.1(KOMP)Vlcg/Elof1+ (more )
Structure Level Pattern Image Note
TS20: embryo Present JAX_1123323

Specimen JAX_1123325: embryonic day 12.5; Elof1tm1.1(KOMP)Vlcg/Elof1+ (more )
Structure Level Pattern Image Note
TS20: embryo Present JAX_1123325

Specimen JAX_1803031: postnatal adult; Elof1tm1.1(KOMP)Vlcg/Elof1+ (more )
Structure Level Pattern Image Note
TS28: vascular system Present JAX_1803031

Specimen JAX_1803032: postnatal adult; Elof1tm1.1(KOMP)Vlcg/Elof1+ (more )
Structure Level Pattern Image Note
TS28: brown fat Present JAX_1803032

Specimen JAX_1803033: postnatal adult; Elof1tm1.1(KOMP)Vlcg/Elof1+ (more )
Structure Level Pattern Image Note
TS28: bone marrow Present JAX_1803033

Specimen JAX_1803034: postnatal adult; Elof1tm1.1(KOMP)Vlcg/Elof1+ (more )
Structure Level Pattern Image Note
TS28: corpus striatum Present JAX_1803034

Specimen JAX_1803035: postnatal adult; Elof1tm1.1(KOMP)Vlcg/Elof1+ (more )
Structure Level Pattern Image Note
TS28: peripheral nervous system Present JAX_1803035

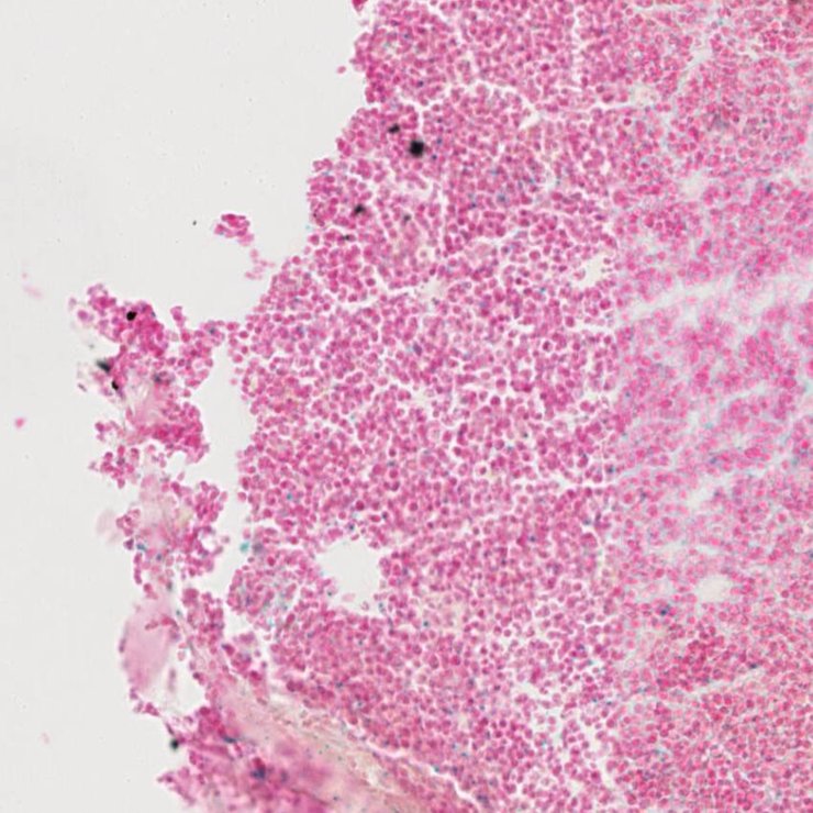
Specimen JAX_1803036: postnatal adult; Elof1tm1.1(KOMP)Vlcg/Elof1+ (more )
Structure Level Pattern Image Note
TS28: spleen Present JAX_1803036

Specimen JAX_1803037: postnatal adult; Elof1tm1.1(KOMP)Vlcg/Elof1+ (more )
Structure Level Pattern Image Note
TS28: pancreas Present JAX_1803037

Specimen JAX_1803038: postnatal adult; Elof1tm1.1(KOMP)Vlcg/Elof1+ (more )
Structure Level Pattern Image Note
TS28: aorta Present JAX_1803038

Specimen JAX_1803039: postnatal adult; Elof1tm1.1(KOMP)Vlcg/Elof1+ (more )
Structure Level Pattern Image Note
TS28: lung Present JAX_1803039

Specimen JAX_1803040: postnatal adult; Elof1tm1.1(KOMP)Vlcg/Elof1+ (more )
Structure Level Pattern Image Note
TS28: skeletal muscle tissue Present JAX_1803040

Specimen JAX_1803041: postnatal adult; Elof1tm1.1(KOMP)Vlcg/Elof1+ (more )
Structure Level Pattern Image Note
TS28: pituitary gland Present JAX_1803041

Specimen JAX_1803042: postnatal adult; Elof1tm1.1(KOMP)Vlcg/Elof1+ (more )
Structure Level Pattern Image Note
TS28: spinal cord Present JAX_1803042

Specimen JAX_1803043: postnatal adult; Elof1tm1.1(KOMP)Vlcg/Elof1+ (more )
Structure Level Pattern Image Note
TS28: uterus Present JAX_1803043

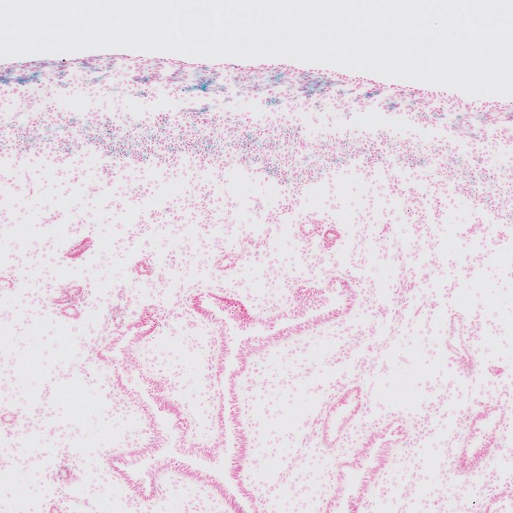
Specimen JAX_1803044: postnatal adult; Elof1tm1.1(KOMP)Vlcg/Elof1+ (more )
Structure Level Pattern Image Note
TS28: thymus Present JAX_1803044

Specimen JAX_1803045: postnatal adult; Elof1tm1.1(KOMP)Vlcg/Elof1+ (more )
Structure Level Pattern Image Note
TS28: skin Present JAX_1803045

Specimen JAX_1803046: postnatal adult; Elof1tm1.1(KOMP)Vlcg/Elof1+ (more )
Structure Level Pattern Image Note
TS28: oviduct Present JAX_1803046

Specimen JAX_1803047: postnatal adult; Elof1tm1.1(KOMP)Vlcg/Elof1+ (more )
Structure Level Pattern Image Note
TS28: ovary Present JAX_1803047

Specimen JAX_1803048: postnatal adult; Elof1tm1.1(KOMP)Vlcg/Elof1+ (more )
Structure Level Pattern Image Note
TS28: mammary gland Present JAX_1803048

Specimen JAX_1803049: postnatal adult; Elof1tm1.1(KOMP)Vlcg/Elof1+ (more )
Structure Level Pattern Image Note
TS28: liver Present JAX_1803049

Specimen JAX_1803050: postnatal adult; Elof1tm1.1(KOMP)Vlcg/Elof1+ (more )
Structure Level Pattern Image Note
TS28: metanephros Present JAX_1803050 kidney

Specimen JAX_1803051: postnatal adult; Elof1tm1.1(KOMP)Vlcg/Elof1+ (more )
Structure Level Pattern Image Note
TS28: heart Present JAX_1803051

Specimen JAX_1803052: postnatal adult; Elof1tm1.1(KOMP)Vlcg/Elof1+ (more )
Structure Level Pattern Image Note
TS28: eye Present JAX_1803052

Specimen JAX_1803007: postnatal adult; Elof1tm1.1(KOMP)Vlcg/Elof1+ (more )
Structure Level Pattern Image Note
TS28: thalamus Present JAX_1803007

Specimen JAX_1803008: postnatal adult; Elof1tm1.1(KOMP)Vlcg/Elof1+ (more )
Structure Level Pattern Image Note
TS28: midbrain Present JAX_1803008

Specimen JAX_1803009: postnatal adult; Elof1tm1.1(KOMP)Vlcg/Elof1+ (more )
Structure Level Pattern Image Note
TS28: epididymis Present JAX_1803009

Specimen JAX_1803010: postnatal adult; Elof1tm1.1(KOMP)Vlcg/Elof1+ (more )
Structure Level Pattern Image Note
TS28: submandibular gland Present JAX_1803010

Specimen JAX_1803011: postnatal adult; Elof1tm1.1(KOMP)Vlcg/Elof1+ (more )
Structure Level Pattern Image Note
TS28: bladder Present JAX_1803011

Specimen JAX_1803012: postnatal adult; Elof1tm1.1(KOMP)Vlcg/Elof1+ (more )
Structure Level Pattern Image Note
TS28: Peyer's patch Present JAX_1803012

Specimen JAX_1803013: postnatal adult; Elof1tm1.1(KOMP)Vlcg/Elof1+ (more )
Structure Level Pattern Image Note
TS28: olfactory lobe Present JAX_1803013

Specimen JAX_1803014: postnatal adult; Elof1tm1.1(KOMP)Vlcg/Elof1+ (more )
Structure Level Pattern Image Note
TS28: hypothalamus Present JAX_1803014

Specimen JAX_1803015: postnatal adult; Elof1tm1.1(KOMP)Vlcg/Elof1+ (more )
Structure Level Pattern Image Note
TS28: hippocampus Present JAX_1803015

Specimen JAX_1803016: postnatal adult; Elof1tm1.1(KOMP)Vlcg/Elof1+ (more )
Structure Level Pattern Image Note
TS28: cerebellum Present JAX_1803016

Specimen JAX_1803017: postnatal adult; Elof1tm1.1(KOMP)Vlcg/Elof1+ (more )
Structure Level Pattern Image Note
TS28: cerebral cortex Present JAX_1803017

Specimen JAX_1803018: postnatal adult; Elof1tm1.1(KOMP)Vlcg/Elof1+ (more )
Structure Level Pattern Image Note
TS28: cartilage Present JAX_1803018

Specimen JAX_1803019: postnatal adult; Elof1tm1.1(KOMP)Vlcg/Elof1+ (more )
Structure Level Pattern Image Note
TS28: brainstem Present JAX_1803019

Specimen JAX_1803020: postnatal adult; Elof1tm1.1(KOMP)Vlcg/Elof1+ (more )
Structure Level Pattern Image Note
TS28: white fat Present JAX_1803020

Specimen JAX_1803021: postnatal adult; Elof1tm1.1(KOMP)Vlcg/Elof1+ (more )
Structure Level Pattern Image Note
TS28: small intestine Present JAX_1803021

Specimen JAX_1803022: postnatal adult; Elof1tm1.1(KOMP)Vlcg/Elof1+ (more )
Structure Level Pattern Image Note
TS28: thyroid gland Present JAX_1803022

Specimen JAX_1803023: postnatal adult; Elof1tm1.1(KOMP)Vlcg/Elof1+ (more )
Structure Level Pattern Image Note
TS28: esophagus Present JAX_1803023

Specimen JAX_1803024: postnatal adult; Elof1tm1.1(KOMP)Vlcg/Elof1+ (more )
Structure Level Pattern Image Note
TS28: large intestine Present JAX_1803024

Specimen JAX_1803025: postnatal adult; Elof1tm1.1(KOMP)Vlcg/Elof1+ (more )
Structure Level Pattern Image Note
TS28: trachea Present JAX_1803025

Specimen JAX_1803026: postnatal adult; Elof1tm1.1(KOMP)Vlcg/Elof1+ (more )
Structure Level Pattern Image Note
TS28: testis Present JAX_1803026

Specimen JAX_1803027: postnatal adult; Elof1tm1.1(KOMP)Vlcg/Elof1+ (more )
Structure Level Pattern Image Note
TS28: stomach Present JAX_1803027

Specimen JAX_1803028: postnatal adult; Elof1tm1.1(KOMP)Vlcg/Elof1+ (more )
Structure Level Pattern Image Note
TS28: lymph node Present JAX_1803028

Specimen JAX_1803029: postnatal adult; Elof1tm1.1(KOMP)Vlcg/Elof1+ (more )
Structure Level Pattern Image Note
TS28: brain Present JAX_1803029

Specimen JAX_1803030: postnatal adult; Elof1tm1.1(KOMP)Vlcg/Elof1+ (more )
Structure Level Pattern Image Note
TS28: adrenal gland Present JAX_1803030


Contributing Projects:
Mouse Genome Database (MGD), Gene Expression Database (GXD), Mouse Models of Human Cancer database (MMHCdb) (formerly Mouse Tumor Biology (MTB)), Gene Ontology (GO)
Citing These Resources
Funding Information
Warranty Disclaimer, Privacy Notice, Licensing, & Copyright
Send questions and comments to User Support.
last database update
12/30/2025
MGI 6.24
The Jackson Laboratory