About   Help   FAQ
Gene Expression Data
Assay Details
Assay
Reference: J:228563 Koscielny G, et al., The International Mouse Phenotyping Consortium Web Portal, a unified point of access for knockout mice and related phenotyping data. Nucleic Acids Res. 2014 Jan;42(Database issue):D802-9
Assay type: In situ reporter (knock in)
MGI Accession ID: MGI:6691648
Gene symbol: Ypel3
Gene name: yippee like 3
Reporter: lacZ
Direct Detection
Results
Specimen UC Davis_1856711: postnatal adult; Ypel3tm1.1(KOMP)Vlcg/Ypel3+ (more )
Structure Level Pattern Image Note
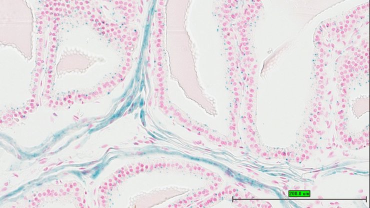
TS28: submandibular gland Present UC Davis_1856711

Specimen UC Davis_1856712: postnatal adult; Ypel3tm1.1(KOMP)Vlcg/Ypel3+ (more )
Structure Level Pattern Image Note
TS28: submandibular gland Present UC Davis_1856712

Specimen UC Davis_1856713: postnatal adult; Ypel3tm1.1(KOMP)Vlcg/Ypel3+ (more )
Structure Level Pattern Image Note
TS28: parotid gland Present UC Davis_1856713

Specimen UC Davis_1856714: postnatal adult; Ypel3tm1.1(KOMP)Vlcg/Ypel3+ (more )
Structure Level Pattern Image Note
TS28: trachea Present UC Davis_1856714

Specimen UC Davis_1856715: postnatal adult; Ypel3tm1.1(KOMP)Vlcg/Ypel3+ (more )
Structure Level Pattern Image Note
TS28: esophagus Present UC Davis_1856715

Specimen UC Davis_1856716: postnatal adult; Ypel3tm1.1(KOMP)Vlcg/Ypel3+ (more )
Structure Level Pattern Image Note
TS28: esophagus Present UC Davis_1856716

Specimen UC Davis_1856717: postnatal adult; Ypel3tm1.1(KOMP)Vlcg/Ypel3+ (more )
Structure Level Pattern Image Note
TS28: esophagus Present UC Davis_1856717

Specimen UC Davis_1856718: postnatal adult; Ypel3tm1.1(KOMP)Vlcg/Ypel3+ (more )
Structure Level Pattern Image Note
TS28: aorta Present UC Davis_1856718

Specimen UC Davis_1856719: postnatal adult; Ypel3tm1.1(KOMP)Vlcg/Ypel3+ (more )
Structure Level Pattern Image Note
TS28: lung Present UC Davis_1856719

Specimen UC Davis_1856720: postnatal adult; Ypel3tm1.1(KOMP)Vlcg/Ypel3+ (more )
Structure Level Pattern Image Note
TS28: lung Present UC Davis_1856720

Specimen UC Davis_1856721: postnatal adult; Ypel3tm1.1(KOMP)Vlcg/Ypel3+ (more )
Structure Level Pattern Image Note
TS28: lung Present UC Davis_1856721

Specimen UC Davis_1856722: postnatal adult; Ypel3tm1.1(KOMP)Vlcg/Ypel3+ (more )
Structure Level Pattern Image Note
TS28: lung Present UC Davis_1856722

Specimen UC Davis_1856723: postnatal adult; Ypel3tm1.1(KOMP)Vlcg/Ypel3+ (more )
Structure Level Pattern Image Note
TS28: lung Present UC Davis_1856723

Specimen UC Davis_1856724: postnatal adult; Ypel3tm1.1(KOMP)Vlcg/Ypel3+ (more )
Structure Level Pattern Image Note
TS28: thymus Present UC Davis_1856724

Specimen UC Davis_1856725: postnatal adult; Ypel3tm1.1(KOMP)Vlcg/Ypel3+ (more )
Structure Level Pattern Image Note
TS28: thymus Present UC Davis_1856725

Specimen UC Davis_1856726: postnatal adult; Ypel3tm1.1(KOMP)Vlcg/Ypel3+ (more )
Structure Level Pattern Image Note
TS28: thymus Present UC Davis_1856726

Specimen UC Davis_1856732: postnatal adult; Ypel3tm1.1(KOMP)Vlcg/Ypel3+ (more )
Structure Level Pattern Image Note
TS28: stomach Present UC Davis_1856732

Specimen UC Davis_1856733: postnatal adult; Ypel3tm1.1(KOMP)Vlcg/Ypel3+ (more )
Structure Level Pattern Image Note
TS28: stomach Present UC Davis_1856733

Specimen UC Davis_1856734: postnatal adult; Ypel3tm1.1(KOMP)Vlcg/Ypel3+ (more )
Structure Level Pattern Image Note
TS28: stomach Present UC Davis_1856734

Specimen UC Davis_1856735: postnatal adult; Ypel3tm1.1(KOMP)Vlcg/Ypel3+ (more )
Structure Level Pattern Image Note
TS28: duodenum Present UC Davis_1856735

Specimen UC Davis_1856736: postnatal adult; Ypel3tm1.1(KOMP)Vlcg/Ypel3+ (more )
Structure Level Pattern Image Note
TS28: ileum Present UC Davis_1856736

Specimen UC Davis_1856737: postnatal adult; Ypel3tm1.1(KOMP)Vlcg/Ypel3+ (more )
Structure Level Pattern Image Note
TS28: colon Present UC Davis_1856737

Specimen UC Davis_1856738: postnatal adult; Ypel3tm1.1(KOMP)Vlcg/Ypel3+ (more )
Structure Level Pattern Image Note
TS28: colon Present UC Davis_1856738

Specimen UC Davis_1856739: postnatal adult; Ypel3tm1.1(KOMP)Vlcg/Ypel3+ (more )
Structure Level Pattern Image Note
TS28: spleen Present UC Davis_1856739

Specimen UC Davis_1856740: postnatal adult; Ypel3tm1.1(KOMP)Vlcg/Ypel3+ (more )
Structure Level Pattern Image Note
TS28: spleen Present UC Davis_1856740

Specimen UC Davis_1856741: postnatal adult; Ypel3tm1.1(KOMP)Vlcg/Ypel3+ (more )
Structure Level Pattern Image Note
TS28: spleen Present UC Davis_1856741

Specimen UC Davis_1856742: postnatal adult; Ypel3tm1.1(KOMP)Vlcg/Ypel3+ (more )
Structure Level Pattern Image Note
TS28: liver Present UC Davis_1856742

Specimen UC Davis_1856743: postnatal adult; Ypel3tm1.1(KOMP)Vlcg/Ypel3+ (more )
Structure Level Pattern Image Note
TS28: liver Present UC Davis_1856743

Specimen UC Davis_1856744: postnatal adult; Ypel3tm1.1(KOMP)Vlcg/Ypel3+ (more )
Structure Level Pattern Image Note
TS28: liver Present UC Davis_1856744

Specimen UC Davis_1856745: postnatal adult; Ypel3tm1.1(KOMP)Vlcg/Ypel3+ (more )
Structure Level Pattern Image Note
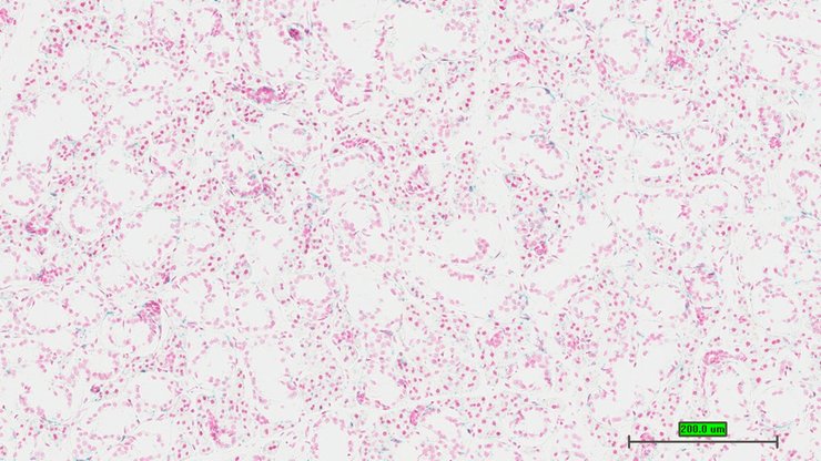
TS28: metanephros Present UC Davis_1856745 kidney

Specimen UC Davis_1856746: postnatal adult; Ypel3tm1.1(KOMP)Vlcg/Ypel3+ (more )
Structure Level Pattern Image Note
TS28: metanephros Present UC Davis_1856746 kidney

Specimen UC Davis_1856747: postnatal adult; Ypel3tm1.1(KOMP)Vlcg/Ypel3+ (more )
Structure Level Pattern Image Note
TS28: metanephros Present UC Davis_1856747 kidney

Specimen UC Davis_1856748: postnatal adult; Ypel3tm1.1(KOMP)Vlcg/Ypel3+ (more )
Structure Level Pattern Image Note
TS28: metanephros Present UC Davis_1856748 kidney

Specimen UC Davis_1856749: postnatal adult; Ypel3tm1.1(KOMP)Vlcg/Ypel3+ (more )
Structure Level Pattern Image Note
TS28: metanephros Present UC Davis_1856749 kidney

Specimen UC Davis_1856750: postnatal adult; Ypel3tm1.1(KOMP)Vlcg/Ypel3+ (more )
Structure Level Pattern Image Note
TS28: quadriceps femoris muscle Present UC Davis_1856750

Specimen UC Davis_1856751: postnatal adult; Ypel3tm1.1(KOMP)Vlcg/Ypel3+ (more )
Structure Level Pattern Image Note
TS28: quadriceps femoris muscle Present UC Davis_1856751

Specimen UC Davis_1856752: postnatal adult; Ypel3tm1.1(KOMP)Vlcg/Ypel3+ (more )
Structure Level Pattern Image Note
TS28: sciatic nerve Present UC Davis_1856752

Specimen UC Davis_1856753: postnatal adult; Ypel3tm1.1(KOMP)Vlcg/Ypel3+ (more )
Structure Level Pattern Image Note
TS28: sciatic nerve Present UC Davis_1856753

Specimen UC Davis_1856754: postnatal adult; Ypel3tm1.1(KOMP)Vlcg/Ypel3+ (more )
Structure Level Pattern Image Note
TS28: sciatic nerve Present UC Davis_1856754

Specimen UC Davis_1856755: postnatal adult; Ypel3tm1.1(KOMP)Vlcg/Ypel3+ (more )
Structure Level Pattern Image Note
TS28: tongue Present UC Davis_1856755

Specimen UC Davis_1856756: postnatal adult; Ypel3tm1.1(KOMP)Vlcg/Ypel3+ (more )
Structure Level Pattern Image Note
TS28: tongue Present UC Davis_1856756

Specimen UC Davis_1856757: postnatal adult; Ypel3tm1.1(KOMP)Vlcg/Ypel3+ (more )
Structure Level Pattern Image Note
TS28: tongue Present UC Davis_1856757

Specimen UC Davis_1856758: postnatal adult; Ypel3tm1.1(KOMP)Vlcg/Ypel3+ (more )
Structure Level Pattern Image Note
TS28: tongue Present UC Davis_1856758

Specimen UC Davis_1856759: postnatal adult; Ypel3tm1.1(KOMP)Vlcg/Ypel3+ (more )
Structure Level Pattern Image Note
TS28: diaphragm Present UC Davis_1856759

Specimen UC Davis_1856760: postnatal adult; Ypel3tm1.1(KOMP)Vlcg/Ypel3+ (more )
Structure Level Pattern Image Note
TS28: adrenal gland Present UC Davis_1856760

Specimen UC Davis_1856761: postnatal adult; Ypel3tm1.1(KOMP)Vlcg/Ypel3+ (more )
Structure Level Pattern Image Note
TS28: adrenal gland Present UC Davis_1856761

Specimen UC Davis_1856762: postnatal adult; Ypel3tm1.1(KOMP)Vlcg/Ypel3+ (more )
Structure Level Pattern Image Note
TS28: pituitary gland Present UC Davis_1856762

Specimen UC Davis_1856763: postnatal adult; Ypel3tm1.1(KOMP)Vlcg/Ypel3+ (more )
Structure Level Pattern Image Note
TS28: spinal cord Present UC Davis_1856763

Specimen UC Davis_1856764: postnatal adult; Ypel3tm1.1(KOMP)Vlcg/Ypel3+ (more )
Structure Level Pattern Image Note
TS28: spinal cord Present UC Davis_1856764

Specimen UC Davis_1856765: postnatal adult; Ypel3tm1.1(KOMP)Vlcg/Ypel3+ (more )
Structure Level Pattern Image Note
TS28: eye Present UC Davis_1856765

Specimen UC Davis_1856766: postnatal adult; Ypel3tm1.1(KOMP)Vlcg/Ypel3+ (more )
Structure Level Pattern Image Note
TS28: eye Present UC Davis_1856766

Specimen UC Davis_1856767: postnatal adult; Ypel3tm1.1(KOMP)Vlcg/Ypel3+ (more )
Structure Level Pattern Image Note
TS28: eye Present UC Davis_1856767

Specimen UC Davis_1856768: postnatal adult; Ypel3tm1.1(KOMP)Vlcg/Ypel3+ (more )
Structure Level Pattern Image Note
TS28: eye Present UC Davis_1856768

Specimen UC Davis_1856769: postnatal adult; Ypel3tm1.1(KOMP)Vlcg/Ypel3+ (more )
Structure Level Pattern Image Note
TS28: Harderian gland Present UC Davis_1856769

Specimen UC Davis_1856770: postnatal adult; Ypel3tm1.1(KOMP)Vlcg/Ypel3+ (more )
Structure Level Pattern Image Note
TS28: Harderian gland Present UC Davis_1856770

Specimen UC Davis_1856771: postnatal adult; Ypel3tm1.1(KOMP)Vlcg/Ypel3+ (more )
Structure Level Pattern Image Note
TS28: Harderian gland Present UC Davis_1856771

Specimen UC Davis_1856772: postnatal adult; Ypel3tm1.1(KOMP)Vlcg/Ypel3+ (more )
Structure Level Pattern Image Note
TS28: gonadal fat pad Present UC Davis_1856772

Specimen UC Davis_1856773: postnatal adult; Ypel3tm1.1(KOMP)Vlcg/Ypel3+ (more )
Structure Level Pattern Image Note
TS28: skin Present UC Davis_1856773

Specimen UC Davis_1856774: postnatal adult; Ypel3tm1.1(KOMP)Vlcg/Ypel3+ (more )
Structure Level Pattern Image Note
TS28: skin Present UC Davis_1856774

Specimen UC Davis_1856775: postnatal adult; Ypel3tm1.1(KOMP)Vlcg/Ypel3+ (more )
Structure Level Pattern Image Note
TS28: brown fat Present UC Davis_1856775

Specimen UC Davis_1856776: postnatal adult; Ypel3tm1.1(KOMP)Vlcg/Ypel3+ (more )
Structure Level Pattern Image Note
TS28: brown fat Present UC Davis_1856776

Specimen UC Davis_1856777: postnatal adult; Ypel3tm1.1(KOMP)Vlcg/Ypel3+ (more )
Structure Level Pattern Image Note
TS28: olfactory lobe Present UC Davis_1856777

Specimen UC Davis_1856781: postnatal adult; Ypel3tm1.1(KOMP)Vlcg/Ypel3+ (more )
Structure Level Pattern Image Note
TS28: midbrain Present UC Davis_1856781

Specimen UC Davis_1856783: postnatal adult; Ypel3tm1.1(KOMP)Vlcg/Ypel3+ (more )
Structure Level Pattern Image Note
TS28: cerebellum Present UC Davis_1856783

Specimen UC Davis_1856784: postnatal adult; Ypel3tm1.1(KOMP)Vlcg/Ypel3+ (more )
Structure Level Pattern Image Note
TS28: trigeminal nerve Present UC Davis_1856784

Specimen UC Davis_1856785: postnatal adult; Ypel3tm1.1(KOMP)Vlcg/Ypel3+ (more )
Structure Level Pattern Image Note
TS28: trigeminal nerve Present UC Davis_1856785

Specimen UC Davis_1856786: postnatal adult; Ypel3tm1.1(KOMP)Vlcg/Ypel3+ (more )
Structure Level Pattern Image Note
TS28: ovary Present UC Davis_1856786

Specimen UC Davis_1856787: postnatal adult; Ypel3tm1.1(KOMP)Vlcg/Ypel3+ (more )
Structure Level Pattern Image Note
TS28: ovary Present UC Davis_1856787

Specimen UC Davis_1856788: postnatal adult; Ypel3tm1.1(KOMP)Vlcg/Ypel3+ (more )
Structure Level Pattern Image Note
TS28: ovary Present UC Davis_1856788

Specimen UC Davis_1856789: postnatal adult; Ypel3tm1.1(KOMP)Vlcg/Ypel3+ (more )
Structure Level Pattern Image Note
TS28: oviduct Present UC Davis_1856789

Specimen UC Davis_1856790: postnatal adult; Ypel3tm1.1(KOMP)Vlcg/Ypel3+ (more )
Structure Level Pattern Image Note
TS28: oviduct Present UC Davis_1856790

Specimen UC Davis_1856791: postnatal adult; Ypel3tm1.1(KOMP)Vlcg/Ypel3+ (more )
Structure Level Pattern Image Note
TS28: uterus Present UC Davis_1856791

Specimen UC Davis_1856792: postnatal adult; Ypel3tm1.1(KOMP)Vlcg/Ypel3+ (more )
Structure Level Pattern Image Note
TS28: uterus Present UC Davis_1856792

Specimen UC Davis_1856793: postnatal adult; Ypel3tm1.1(KOMP)Vlcg/Ypel3+ (more )
Structure Level Pattern Image Note
TS28: vagina Present UC Davis_1856793

Specimen UC Davis_1856794: postnatal adult; Ypel3tm1.1(KOMP)Vlcg/Ypel3+ (more )
Structure Level Pattern Image Note
TS28: vagina Present UC Davis_1856794

Specimen UC Davis_1856795: postnatal adult; Ypel3tm1.1(KOMP)Vlcg/Ypel3+ (more )
Structure Level Pattern Image Note
TS28: bladder Present UC Davis_1856795

Specimen UC Davis_1856796: postnatal adult; Ypel3tm1.1(KOMP)Vlcg/Ypel3+ (more )
Structure Level Pattern Image Note
TS28: bladder Present UC Davis_1856796

Specimen UC Davis_1856797: postnatal adult; Ypel3tm1.1(KOMP)Vlcg/Ypel3+ (more )
Structure Level Pattern Image Note
TS28: mammary gland Present UC Davis_1856797

Specimen UC Davis_1856798: postnatal adult; Ypel3tm1.1(KOMP)Vlcg/Ypel3+ (more )
Structure Level Pattern Image Note
TS28: mammary gland Present UC Davis_1856798

Specimen UC Davis_1856984: postnatal adult; Ypel3tm1.1(KOMP)Vlcg/Ypel3+ (more )
Structure Level Pattern Image Note
TS28: Harderian gland Present UC Davis_1856984

Specimen UC Davis_1856986: postnatal adult; Ypel3tm1.1(KOMP)Vlcg/Ypel3+ (more )
Structure Level Pattern Image Note
TS28: ovary Present UC Davis_1856986

Specimen UC Davis_1856987: postnatal adult; Ypel3tm1.1(KOMP)Vlcg/Ypel3+ (more )
Structure Level Pattern Image Note
TS28: oviduct Present UC Davis_1856987

Specimen UC Davis_1856988: postnatal adult; Ypel3tm1.1(KOMP)Vlcg/Ypel3+ (more )
Structure Level Pattern Image Note
TS28: uterus Present UC Davis_1856988

Specimen UC Davis_1856989: postnatal adult; Ypel3tm1.1(KOMP)Vlcg/Ypel3+ (more )
Structure Level Pattern Image Note
TS28: vagina Present UC Davis_1856989

Specimen UC Davis_1856799: postnatal adult; Ypel3tm1.1(KOMP)Vlcg/Ypel3+ (more )
Structure Level Pattern Image Note
TS28: submandibular gland Present UC Davis_1856799

Specimen UC Davis_1856800: postnatal adult; Ypel3tm1.1(KOMP)Vlcg/Ypel3+ (more )
Structure Level Pattern Image Note
TS28: submandibular gland Present UC Davis_1856800

Specimen UC Davis_1856801: postnatal adult; Ypel3tm1.1(KOMP)Vlcg/Ypel3+ (more )
Structure Level Pattern Image Note
TS28: submandibular gland Present UC Davis_1856801

Specimen UC Davis_1856802: postnatal adult; Ypel3tm1.1(KOMP)Vlcg/Ypel3+ (more )
Structure Level Pattern Image Note
TS28: sublingual gland Present UC Davis_1856802

Specimen UC Davis_1856803: postnatal adult; Ypel3tm1.1(KOMP)Vlcg/Ypel3+ (more )
Structure Level Pattern Image Note
TS28: sublingual gland Present UC Davis_1856803

Specimen UC Davis_1856804: postnatal adult; Ypel3tm1.1(KOMP)Vlcg/Ypel3+ (more )
Structure Level Pattern Image Note
TS28: sublingual gland Present UC Davis_1856804

Specimen UC Davis_1856805: postnatal adult; Ypel3tm1.1(KOMP)Vlcg/Ypel3+ (more )
Structure Level Pattern Image Note
TS28: parotid gland Present UC Davis_1856805

Specimen UC Davis_1856806: postnatal adult; Ypel3tm1.1(KOMP)Vlcg/Ypel3+ (more )
Structure Level Pattern Image Note
TS28: parotid gland Present UC Davis_1856806

Specimen UC Davis_1856807: postnatal adult; Ypel3tm1.1(KOMP)Vlcg/Ypel3+ (more )
Structure Level Pattern Image Note
TS28: parotid gland Present UC Davis_1856807

Specimen UC Davis_1856810: postnatal adult; Ypel3tm1.1(KOMP)Vlcg/Ypel3+ (more )
Structure Level Pattern Image Note
TS28: trachea Present UC Davis_1856810

Specimen UC Davis_1856811: postnatal adult; Ypel3tm1.1(KOMP)Vlcg/Ypel3+ (more )
Structure Level Pattern Image Note
TS28: trachea Present UC Davis_1856811

Specimen UC Davis_1856812: postnatal adult; Ypel3tm1.1(KOMP)Vlcg/Ypel3+ (more )
Structure Level Pattern Image Note
TS28: esophagus Present UC Davis_1856812

Specimen UC Davis_1856813: postnatal adult; Ypel3tm1.1(KOMP)Vlcg/Ypel3+ (more )
Structure Level Pattern Image Note
TS28: esophagus Present UC Davis_1856813

Specimen UC Davis_1856817: postnatal adult; Ypel3tm1.1(KOMP)Vlcg/Ypel3+ (more )
Structure Level Pattern Image Note
TS28: lung Present UC Davis_1856817

Specimen UC Davis_1856818: postnatal adult; Ypel3tm1.1(KOMP)Vlcg/Ypel3+ (more )
Structure Level Pattern Image Note
TS28: lung Present UC Davis_1856818

Specimen UC Davis_1856819: postnatal adult; Ypel3tm1.1(KOMP)Vlcg/Ypel3+ (more )
Structure Level Pattern Image Note
TS28: lung Present UC Davis_1856819

Specimen UC Davis_1856820: postnatal adult; Ypel3tm1.1(KOMP)Vlcg/Ypel3+ (more )
Structure Level Pattern Image Note
TS28: thymus Present UC Davis_1856820

Specimen UC Davis_1856821: postnatal adult; Ypel3tm1.1(KOMP)Vlcg/Ypel3+ (more )
Structure Level Pattern Image Note
TS28: thymus Present UC Davis_1856821

Specimen UC Davis_1856822: postnatal adult; Ypel3tm1.1(KOMP)Vlcg/Ypel3+ (more )
Structure Level Pattern Image Note
TS28: thymus Present UC Davis_1856822

Specimen UC Davis_1856831: postnatal adult; Ypel3tm1.1(KOMP)Vlcg/Ypel3+ (more )
Structure Level Pattern Image Note
TS28: stomach Present UC Davis_1856831

Specimen UC Davis_1856832: postnatal adult; Ypel3tm1.1(KOMP)Vlcg/Ypel3+ (more )
Structure Level Pattern Image Note
TS28: stomach Present UC Davis_1856832

Specimen UC Davis_1856833: postnatal adult; Ypel3tm1.1(KOMP)Vlcg/Ypel3+ (more )
Structure Level Pattern Image Note
TS28: duodenum Present UC Davis_1856833

Specimen UC Davis_1856834: postnatal adult; Ypel3tm1.1(KOMP)Vlcg/Ypel3+ (more )
Structure Level Pattern Image Note
TS28: duodenum Present UC Davis_1856834

Specimen UC Davis_1856835: postnatal adult; Ypel3tm1.1(KOMP)Vlcg/Ypel3+ (more )
Structure Level Pattern Image Note
TS28: ileum Present UC Davis_1856835

Specimen UC Davis_1856836: postnatal adult; Ypel3tm1.1(KOMP)Vlcg/Ypel3+ (more )
Structure Level Pattern Image Note
TS28: ileum Present UC Davis_1856836

Specimen UC Davis_1856837: postnatal adult; Ypel3tm1.1(KOMP)Vlcg/Ypel3+ (more )
Structure Level Pattern Image Note
TS28: ileum Present UC Davis_1856837

Specimen UC Davis_1856838: postnatal adult; Ypel3tm1.1(KOMP)Vlcg/Ypel3+ (more )
Structure Level Pattern Image Note
TS28: colon Present UC Davis_1856838

Specimen UC Davis_1856839: postnatal adult; Ypel3tm1.1(KOMP)Vlcg/Ypel3+ (more )
Structure Level Pattern Image Note
TS28: colon Present UC Davis_1856839

Specimen UC Davis_1856840: postnatal adult; Ypel3tm1.1(KOMP)Vlcg/Ypel3+ (more )
Structure Level Pattern Image Note
TS28: colon Present UC Davis_1856840

Specimen UC Davis_1856841: postnatal adult; Ypel3tm1.1(KOMP)Vlcg/Ypel3+ (more )
Structure Level Pattern Image Note
TS28: cecum Present UC Davis_1856841

Specimen UC Davis_1856842: postnatal adult; Ypel3tm1.1(KOMP)Vlcg/Ypel3+ (more )
Structure Level Pattern Image Note
TS28: cecum Present UC Davis_1856842

Specimen UC Davis_1856843: postnatal adult; Ypel3tm1.1(KOMP)Vlcg/Ypel3+ (more )
Structure Level Pattern Image Note
TS28: spleen Present UC Davis_1856843

Specimen UC Davis_1856844: postnatal adult; Ypel3tm1.1(KOMP)Vlcg/Ypel3+ (more )
Structure Level Pattern Image Note
TS28: spleen Present UC Davis_1856844

Specimen UC Davis_1856845: postnatal adult; Ypel3tm1.1(KOMP)Vlcg/Ypel3+ (more )
Structure Level Pattern Image Note
TS28: spleen Present UC Davis_1856845

Specimen UC Davis_1856846: postnatal adult; Ypel3tm1.1(KOMP)Vlcg/Ypel3+ (more )
Structure Level Pattern Image Note
TS28: pancreas Present UC Davis_1856846

Specimen UC Davis_1856847: postnatal adult; Ypel3tm1.1(KOMP)Vlcg/Ypel3+ (more )
Structure Level Pattern Image Note
TS28: pancreas Present UC Davis_1856847

Specimen UC Davis_1856848: postnatal adult; Ypel3tm1.1(KOMP)Vlcg/Ypel3+ (more )
Structure Level Pattern Image Note
TS28: pancreas Present UC Davis_1856848

Specimen UC Davis_1856849: postnatal adult; Ypel3tm1.1(KOMP)Vlcg/Ypel3+ (more )
Structure Level Pattern Image Note
TS28: liver Present UC Davis_1856849

Specimen UC Davis_1856850: postnatal adult; Ypel3tm1.1(KOMP)Vlcg/Ypel3+ (more )
Structure Level Pattern Image Note
TS28: liver Present UC Davis_1856850

Specimen UC Davis_1856851: postnatal adult; Ypel3tm1.1(KOMP)Vlcg/Ypel3+ (more )
Structure Level Pattern Image Note
TS28: liver Present UC Davis_1856851

Specimen UC Davis_1856852: postnatal adult; Ypel3tm1.1(KOMP)Vlcg/Ypel3+ (more )
Structure Level Pattern Image Note
TS28: metanephros Present UC Davis_1856852 kidney

Specimen UC Davis_1856853: postnatal adult; Ypel3tm1.1(KOMP)Vlcg/Ypel3+ (more )
Structure Level Pattern Image Note
TS28: metanephros Present UC Davis_1856853 kidney

Specimen UC Davis_1856854: postnatal adult; Ypel3tm1.1(KOMP)Vlcg/Ypel3+ (more )
Structure Level Pattern Image Note
TS28: metanephros Present UC Davis_1856854 kidney

Specimen UC Davis_1856855: postnatal adult; Ypel3tm1.1(KOMP)Vlcg/Ypel3+ (more )
Structure Level Pattern Image Note
TS28: metanephros Present UC Davis_1856855 kidney

Specimen UC Davis_1856856: postnatal adult; Ypel3tm1.1(KOMP)Vlcg/Ypel3+ (more )
Structure Level Pattern Image Note
TS28: quadriceps femoris muscle Present UC Davis_1856856

Specimen UC Davis_1856857: postnatal adult; Ypel3tm1.1(KOMP)Vlcg/Ypel3+ (more )
Structure Level Pattern Image Note
TS28: quadriceps femoris muscle Present UC Davis_1856857

Specimen UC Davis_1856858: postnatal adult; Ypel3tm1.1(KOMP)Vlcg/Ypel3+ (more )
Structure Level Pattern Image Note
TS28: quadriceps femoris muscle Present UC Davis_1856858

Specimen UC Davis_1856859: postnatal adult; Ypel3tm1.1(KOMP)Vlcg/Ypel3+ (more )
Structure Level Pattern Image Note
TS28: sciatic nerve Present UC Davis_1856859

Specimen UC Davis_1856860: postnatal adult; Ypel3tm1.1(KOMP)Vlcg/Ypel3+ (more )
Structure Level Pattern Image Note
TS28: sciatic nerve Present UC Davis_1856860

Specimen UC Davis_1856861: postnatal adult; Ypel3tm1.1(KOMP)Vlcg/Ypel3+ (more )
Structure Level Pattern Image Note
TS28: sciatic nerve Present UC Davis_1856861

Specimen UC Davis_1856862: postnatal adult; Ypel3tm1.1(KOMP)Vlcg/Ypel3+ (more )
Structure Level Pattern Image Note
TS28: tongue Present UC Davis_1856862

Specimen UC Davis_1856863: postnatal adult; Ypel3tm1.1(KOMP)Vlcg/Ypel3+ (more )
Structure Level Pattern Image Note
TS28: tongue Present UC Davis_1856863

Specimen UC Davis_1856864: postnatal adult; Ypel3tm1.1(KOMP)Vlcg/Ypel3+ (more )
Structure Level Pattern Image Note
TS28: tongue Present UC Davis_1856864

Specimen UC Davis_1856865: postnatal adult; Ypel3tm1.1(KOMP)Vlcg/Ypel3+ (more )
Structure Level Pattern Image Note
TS28: diaphragm Present UC Davis_1856865

Specimen UC Davis_1856866: postnatal adult; Ypel3tm1.1(KOMP)Vlcg/Ypel3+ (more )
Structure Level Pattern Image Note
TS28: diaphragm Present UC Davis_1856866

Specimen UC Davis_1856867: postnatal adult; Ypel3tm1.1(KOMP)Vlcg/Ypel3+ (more )
Structure Level Pattern Image Note
TS28: diaphragm Present UC Davis_1856867

Specimen UC Davis_1856868: postnatal adult; Ypel3tm1.1(KOMP)Vlcg/Ypel3+ (more )
Structure Level Pattern Image Note
TS28: diaphragm Present UC Davis_1856868

Specimen UC Davis_1856869: postnatal adult; Ypel3tm1.1(KOMP)Vlcg/Ypel3+ (more )
Structure Level Pattern Image Note
TS28: adrenal gland Present UC Davis_1856869

Specimen UC Davis_1856870: postnatal adult; Ypel3tm1.1(KOMP)Vlcg/Ypel3+ (more )
Structure Level Pattern Image Note
TS28: adrenal gland Present UC Davis_1856870

Specimen UC Davis_1856871: postnatal adult; Ypel3tm1.1(KOMP)Vlcg/Ypel3+ (more )
Structure Level Pattern Image Note
TS28: pituitary gland Present UC Davis_1856871

Specimen UC Davis_1856872: postnatal adult; Ypel3tm1.1(KOMP)Vlcg/Ypel3+ (more )
Structure Level Pattern Image Note
TS28: pituitary gland Present UC Davis_1856872

Specimen UC Davis_1856873: postnatal adult; Ypel3tm1.1(KOMP)Vlcg/Ypel3+ (more )
Structure Level Pattern Image Note
TS28: spinal cord Present UC Davis_1856873

Specimen UC Davis_1856874: postnatal adult; Ypel3tm1.1(KOMP)Vlcg/Ypel3+ (more )
Structure Level Pattern Image Note
TS28: spinal cord Present UC Davis_1856874

Specimen UC Davis_1856875: postnatal adult; Ypel3tm1.1(KOMP)Vlcg/Ypel3+ (more )
Structure Level Pattern Image Note
TS28: spinal cord Present UC Davis_1856875

Specimen UC Davis_1856876: postnatal adult; Ypel3tm1.1(KOMP)Vlcg/Ypel3+ (more )
Structure Level Pattern Image Note
TS28: eye Present UC Davis_1856876

Specimen UC Davis_1856877: postnatal adult; Ypel3tm1.1(KOMP)Vlcg/Ypel3+ (more )
Structure Level Pattern Image Note
TS28: eye Present UC Davis_1856877

Specimen UC Davis_1856878: postnatal adult; Ypel3tm1.1(KOMP)Vlcg/Ypel3+ (more )
Structure Level Pattern Image Note
TS28: eye Present UC Davis_1856878

Specimen UC Davis_1856879: postnatal adult; Ypel3tm1.1(KOMP)Vlcg/Ypel3+ (more )
Structure Level Pattern Image Note
TS28: Harderian gland Present UC Davis_1856879

Specimen UC Davis_1856880: postnatal adult; Ypel3tm1.1(KOMP)Vlcg/Ypel3+ (more )
Structure Level Pattern Image Note
TS28: Harderian gland Present UC Davis_1856880

Specimen UC Davis_1856881: postnatal adult; Ypel3tm1.1(KOMP)Vlcg/Ypel3+ (more )
Structure Level Pattern Image Note
TS28: Harderian gland Present UC Davis_1856881

Specimen UC Davis_1856882: postnatal adult; Ypel3tm1.1(KOMP)Vlcg/Ypel3+ (more )
Structure Level Pattern Image Note
TS28: gonadal fat pad Present UC Davis_1856882

Specimen UC Davis_1856883: postnatal adult; Ypel3tm1.1(KOMP)Vlcg/Ypel3+ (more )
Structure Level Pattern Image Note
TS28: gonadal fat pad Present UC Davis_1856883

Specimen UC Davis_1856884: postnatal adult; Ypel3tm1.1(KOMP)Vlcg/Ypel3+ (more )
Structure Level Pattern Image Note
TS28: gonadal fat pad Present UC Davis_1856884

Specimen UC Davis_1856885: postnatal adult; Ypel3tm1.1(KOMP)Vlcg/Ypel3+ (more )
Structure Level Pattern Image Note
TS28: mesenteric adipose tissue Present UC Davis_1856885

Specimen UC Davis_1856886: postnatal adult; Ypel3tm1.1(KOMP)Vlcg/Ypel3+ (more )
Structure Level Pattern Image Note
TS28: mesenteric adipose tissue Present UC Davis_1856886

Specimen UC Davis_1856887: postnatal adult; Ypel3tm1.1(KOMP)Vlcg/Ypel3+ (more )
Structure Level Pattern Image Note
TS28: mesenteric adipose tissue Present UC Davis_1856887

Specimen UC Davis_1856888: postnatal adult; Ypel3tm1.1(KOMP)Vlcg/Ypel3+ (more )
Structure Level Pattern Image Note
TS28: skin Present UC Davis_1856888

Specimen UC Davis_1856889: postnatal adult; Ypel3tm1.1(KOMP)Vlcg/Ypel3+ (more )
Structure Level Pattern Image Note
TS28: skin Present UC Davis_1856889

Specimen UC Davis_1856890: postnatal adult; Ypel3tm1.1(KOMP)Vlcg/Ypel3+ (more )
Structure Level Pattern Image Note
TS28: skin Present UC Davis_1856890

Specimen UC Davis_1856891: postnatal adult; Ypel3tm1.1(KOMP)Vlcg/Ypel3+ (more )
Structure Level Pattern Image Note
TS28: brown fat Present UC Davis_1856891

Specimen UC Davis_1856892: postnatal adult; Ypel3tm1.1(KOMP)Vlcg/Ypel3+ (more )
Structure Level Pattern Image Note
TS28: brown fat Present UC Davis_1856892

Specimen UC Davis_1856893: postnatal adult; Ypel3tm1.1(KOMP)Vlcg/Ypel3+ (more )
Structure Level Pattern Image Note
TS28: brown fat Present UC Davis_1856893

Specimen UC Davis_1856894: postnatal adult; Ypel3tm1.1(KOMP)Vlcg/Ypel3+ (more )
Structure Level Pattern Image Note
TS28: olfactory lobe Present UC Davis_1856894

Specimen UC Davis_1856896: postnatal adult; Ypel3tm1.1(KOMP)Vlcg/Ypel3+ (more )
Structure Level Pattern Image Note
TS28: midbrain Present UC Davis_1856896

Specimen UC Davis_1856898: postnatal adult; Ypel3tm1.1(KOMP)Vlcg/Ypel3+ (more )
Structure Level Pattern Image Note
TS28: cerebellum Present UC Davis_1856898

Specimen UC Davis_1856899: postnatal adult; Ypel3tm1.1(KOMP)Vlcg/Ypel3+ (more )
Structure Level Pattern Image Note
TS28: trigeminal nerve Present UC Davis_1856899

Specimen UC Davis_1856900: postnatal adult; Ypel3tm1.1(KOMP)Vlcg/Ypel3+ (more )
Structure Level Pattern Image Note
TS28: trigeminal nerve Present UC Davis_1856900

Specimen UC Davis_1856901: postnatal adult; Ypel3tm1.1(KOMP)Vlcg/Ypel3+ (more )
Structure Level Pattern Image Note
TS28: trigeminal nerve Present UC Davis_1856901

Specimen UC Davis_1856902: postnatal adult; Ypel3tm1.1(KOMP)Vlcg/Ypel3+ (more )
Structure Level Pattern Image Note
TS28: bladder Present UC Davis_1856902

Specimen UC Davis_1856903: postnatal adult; Ypel3tm1.1(KOMP)Vlcg/Ypel3+ (more )
Structure Level Pattern Image Note
TS28: bladder Present UC Davis_1856903

Specimen UC Davis_1856904: postnatal adult; Ypel3tm1.1(KOMP)Vlcg/Ypel3+ (more )
Structure Level Pattern Image Note
TS28: bladder Present UC Davis_1856904

Specimen UC Davis_1856905: postnatal adult; Ypel3tm1.1(KOMP)Vlcg/Ypel3+ (more )
Structure Level Pattern Image Note
TS28: testis Present UC Davis_1856905

Specimen UC Davis_1856906: postnatal adult; Ypel3tm1.1(KOMP)Vlcg/Ypel3+ (more )
Structure Level Pattern Image Note
TS28: testis Present UC Davis_1856906

Specimen UC Davis_1856907: postnatal adult; Ypel3tm1.1(KOMP)Vlcg/Ypel3+ (more )
Structure Level Pattern Image Note
TS28: testis Present UC Davis_1856907

Specimen UC Davis_1856908: postnatal adult; Ypel3tm1.1(KOMP)Vlcg/Ypel3+ (more )
Structure Level Pattern Image Note
TS28: epididymis Present UC Davis_1856908

Specimen UC Davis_1856909: postnatal adult; Ypel3tm1.1(KOMP)Vlcg/Ypel3+ (more )
Structure Level Pattern Image Note
TS28: epididymis Present UC Davis_1856909

Specimen UC Davis_1856910: postnatal adult; Ypel3tm1.1(KOMP)Vlcg/Ypel3+ (more )
Structure Level Pattern Image Note
TS28: epididymis Present UC Davis_1856910

Specimen UC Davis_1856911: postnatal adult; Ypel3tm1.1(KOMP)Vlcg/Ypel3+ (more )
Structure Level Pattern Image Note
TS28: prostate gland Present UC Davis_1856911

Specimen UC Davis_1856912: postnatal adult; Ypel3tm1.1(KOMP)Vlcg/Ypel3+ (more )
Structure Level Pattern Image Note
TS28: prostate gland Present UC Davis_1856912

Specimen UC Davis_1856913: postnatal adult; Ypel3tm1.1(KOMP)Vlcg/Ypel3+ (more )
Structure Level Pattern Image Note
TS28: prostate gland Present UC Davis_1856913

Specimen UC Davis_1856914: postnatal adult; Ypel3tm1.1(KOMP)Vlcg/Ypel3+ (more )
Structure Level Pattern Image Note
TS28: penis Present UC Davis_1856914

Specimen UC Davis_1856915: postnatal adult; Ypel3tm1.1(KOMP)Vlcg/Ypel3+ (more )
Structure Level Pattern Image Note
TS28: penis Present UC Davis_1856915

Specimen UC Davis_1856916: postnatal adult; Ypel3tm1.1(KOMP)Vlcg/Ypel3+ (more )
Structure Level Pattern Image Note
TS28: ductus deferens Present UC Davis_1856916 vas deferens

Specimen UC Davis_1856917: postnatal adult; Ypel3tm1.1(KOMP)Vlcg/Ypel3+ (more )
Structure Level Pattern Image Note
TS28: ductus deferens Present UC Davis_1856917 vas deferens

Specimen UC Davis_1856918: postnatal adult; Ypel3tm1.1(KOMP)Vlcg/Ypel3+ (more )
Structure Level Pattern Image Note
TS28: ductus deferens Present UC Davis_1856918 vas deferens

Specimen UC Davis_1856925: postnatal adult; Ypel3tm1.1(KOMP)Vlcg/Ypel3+ (more )
Structure Level Pattern Image Note
TS28: seminal vesicle Present UC Davis_1856925 vesicular gland

Specimen UC Davis_1856926: postnatal adult; Ypel3tm1.1(KOMP)Vlcg/Ypel3+ (more )
Structure Level Pattern Image Note
TS28: seminal vesicle Present UC Davis_1856926 vesicular gland

Specimen UC Davis_1856927: postnatal adult; Ypel3tm1.1(KOMP)Vlcg/Ypel3+ (more )
Structure Level Pattern Image Note
TS28: seminal vesicle Present UC Davis_1856927 vesicular gland

Specimen UC Davis_1856928: postnatal adult; Ypel3tm1.1(KOMP)Vlcg/Ypel3+ (more )
Structure Level Pattern Image Note
TS28: tongue Present UC Davis_1856928

Specimen UC Davis_1856929: postnatal adult; Ypel3tm1.1(KOMP)Vlcg/Ypel3+ (more )
Structure Level Pattern Image Note
TS28: spleen Present UC Davis_1856929

Specimen UC Davis_1856930: postnatal adult; Ypel3tm1.1(KOMP)Vlcg/Ypel3+ (more )
Structure Level Pattern Image Note
TS28: pancreas Present UC Davis_1856930

Specimen UC Davis_1856931: postnatal adult; Ypel3tm1.1(KOMP)Vlcg/Ypel3+ (more )
Structure Level Pattern Image Note
TS28: brown fat Present UC Davis_1856931

Specimen UC Davis_1856932: postnatal adult; Ypel3tm1.1(KOMP)Vlcg/Ypel3+ (more )
Structure Level Pattern Image Note
TS28: quadriceps femoris muscle Present UC Davis_1856932

Specimen UC Davis_1856933: postnatal adult; Ypel3tm1.1(KOMP)Vlcg/Ypel3+ (more )
Structure Level Pattern Image Note
TS28: sciatic nerve Present UC Davis_1856933

Specimen UC Davis_1856934: postnatal adult; Ypel3tm1.1(KOMP)Vlcg/Ypel3+ (more )
Structure Level Pattern Image Note
TS28: olfactory lobe Present UC Davis_1856934

Specimen UC Davis_1856937: postnatal adult; Ypel3tm1.1(KOMP)Vlcg/Ypel3+ (more )
Structure Level Pattern Image Note
TS28: midbrain Present UC Davis_1856937

Specimen UC Davis_1856939: postnatal adult; Ypel3tm1.1(KOMP)Vlcg/Ypel3+ (more )
Structure Level Pattern Image Note
TS28: cerebellum Present UC Davis_1856939

Specimen UC Davis_1856940: postnatal adult; Ypel3tm1.1(KOMP)Vlcg/Ypel3+ (more )
Structure Level Pattern Image Note
TS28: brain Present UC Davis_1856940

Specimen UC Davis_1856942: postnatal adult; Ypel3tm1.1(KOMP)Vlcg/Ypel3+ (more )
Structure Level Pattern Image Note
TS28: lung Present UC Davis_1856942

Specimen UC Davis_1856943: postnatal adult; Ypel3tm1.1(KOMP)Vlcg/Ypel3+ (more )
Structure Level Pattern Image Note
TS28: aorta Present UC Davis_1856943

Specimen UC Davis_1856945: postnatal adult; Ypel3tm1.1(KOMP)Vlcg/Ypel3+ (more )
Structure Level Pattern Image Note
TS28: thymus Present UC Davis_1856945

Specimen UC Davis_1856946: postnatal adult; Ypel3tm1.1(KOMP)Vlcg/Ypel3+ (more )
Structure Level Pattern Image Note
TS28: metanephros Present UC Davis_1856946 kidney

Specimen UC Davis_1856947: postnatal adult; Ypel3tm1.1(KOMP)Vlcg/Ypel3+ (more )
Structure Level Pattern Image Note
TS28: adrenal gland Present UC Davis_1856947

Specimen UC Davis_1856948: postnatal adult; Ypel3tm1.1(KOMP)Vlcg/Ypel3+ (more )
Structure Level Pattern Image Note
TS28: liver Present UC Davis_1856948

Specimen UC Davis_1856949: postnatal adult; Ypel3tm1.1(KOMP)Vlcg/Ypel3+ (more )
Structure Level Pattern Image Note
TS28: diaphragm Present UC Davis_1856949

Specimen UC Davis_1856950: postnatal adult; Ypel3tm1.1(KOMP)Vlcg/Ypel3+ (more )
Structure Level Pattern Image Note
TS28: skin Present UC Davis_1856950

Specimen UC Davis_1856952: postnatal adult; Ypel3tm1.1(KOMP)Vlcg/Ypel3+ (more )
Structure Level Pattern Image Note
TS28: trachea Present UC Davis_1856952

Specimen UC Davis_1856954: postnatal adult; Ypel3tm1.1(KOMP)Vlcg/Ypel3+ (more )
Structure Level Pattern Image Note
TS28: esophagus Present UC Davis_1856954

Specimen UC Davis_1856955: postnatal adult; Ypel3tm1.1(KOMP)Vlcg/Ypel3+ (more )
Structure Level Pattern Image Note
TS28: thyroid gland Present UC Davis_1856955

Specimen UC Davis_1856956: postnatal adult; Ypel3tm1.1(KOMP)Vlcg/Ypel3+ (more )
Structure Level Pattern Image Note
TS28: spinal cord Present UC Davis_1856956

Specimen UC Davis_1856957: postnatal adult; Ypel3tm1.1(KOMP)Vlcg/Ypel3+ (more )
Structure Level Pattern Image Note
TS28: pituitary gland Present UC Davis_1856957

Specimen UC Davis_1856958: postnatal adult; Ypel3tm1.1(KOMP)Vlcg/Ypel3+ (more )
Structure Level Pattern Image Note
TS28: eye Present UC Davis_1856958

Specimen UC Davis_1856959: postnatal adult; Ypel3tm1.1(KOMP)Vlcg/Ypel3+ (more )
Structure Level Pattern Image Note
TS28: stomach Present UC Davis_1856959

Specimen UC Davis_1856960: postnatal adult; Ypel3tm1.1(KOMP)Vlcg/Ypel3+ (more )
Structure Level Pattern Image Note
TS28: duodenum Present UC Davis_1856960

Specimen UC Davis_1856961: postnatal adult; Ypel3tm1.1(KOMP)Vlcg/Ypel3+ (more )
Structure Level Pattern Image Note
TS28: jejunum Present UC Davis_1856961

Specimen UC Davis_1856962: postnatal adult; Ypel3tm1.1(KOMP)Vlcg/Ypel3+ (more )
Structure Level Pattern Image Note
TS28: ileum Present UC Davis_1856962

Specimen UC Davis_1856963: postnatal adult; Ypel3tm1.1(KOMP)Vlcg/Ypel3+ (more )
Structure Level Pattern Image Note
TS28: cecum Present UC Davis_1856963

Specimen UC Davis_1856964: postnatal adult; Ypel3tm1.1(KOMP)Vlcg/Ypel3+ (more )
Structure Level Pattern Image Note
TS28: colon Present UC Davis_1856964

Specimen UC Davis_1856965: postnatal adult; Ypel3tm1.1(KOMP)Vlcg/Ypel3+ (more )
Structure Level Pattern Image Note
TS28: mesenteric lymph node Present UC Davis_1856965

Specimen UC Davis_1856966: postnatal adult; Ypel3tm1.1(KOMP)Vlcg/Ypel3+ (more )
Structure Level Pattern Image Note
TS28: mesenteric adipose tissue Present UC Davis_1856966

Specimen UC Davis_1856967: postnatal adult; Ypel3tm1.1(KOMP)Vlcg/Ypel3+ (more )
Structure Level Pattern Image Note
TS28: bladder Present UC Davis_1856967

Specimen UC Davis_1856968: postnatal adult; Ypel3tm1.1(KOMP)Vlcg/Ypel3+ (more )
Structure Level Pattern Image Note
TS28: gonadal fat pad Present UC Davis_1856968

Specimen UC Davis_1856969: postnatal adult; Ypel3tm1.1(KOMP)Vlcg/Ypel3+ (more )
Structure Level Pattern Image Note
TS28: testis Present UC Davis_1856969

Specimen UC Davis_1856970: postnatal adult; Ypel3tm1.1(KOMP)Vlcg/Ypel3+ (more )
Structure Level Pattern Image Note
TS28: prostate gland Present UC Davis_1856970

Specimen UC Davis_1856971: postnatal adult; Ypel3tm1.1(KOMP)Vlcg/Ypel3+ (more )
Structure Level Pattern Image Note
TS28: seminal vesicle Present UC Davis_1856971 vesicular gland

Specimen UC Davis_1856972: postnatal adult; Ypel3tm1.1(KOMP)Vlcg/Ypel3+ (more )
Structure Level Pattern Image Note
TS28: penis Present UC Davis_1856972

Specimen UC Davis_1856973: postnatal adult; Ypel3tm1.1(KOMP)Vlcg/Ypel3+ (more )
Structure Level Pattern Image Note
TS28: epididymis Present UC Davis_1856973

Specimen UC Davis_1856974: postnatal adult; Ypel3tm1.1(KOMP)Vlcg/Ypel3+ (more )
Structure Level Pattern Image Note
TS28: ductus deferens Present UC Davis_1856974 vas deferens

Specimen UC Davis_1856975: postnatal adult; Ypel3tm1.1(KOMP)Vlcg/Ypel3+ (more )
Structure Level Pattern Image Note
TS28: gallbladder Present UC Davis_1856975

Specimen UC Davis_1856978: postnatal adult; Ypel3tm1.1(KOMP)Vlcg/Ypel3+ (more )
Structure Level Pattern Image Note
TS28: thoracic segment skeleton Present UC Davis_1856978 chest bone

Specimen UC Davis_1856980: postnatal adult; Ypel3tm1.1(KOMP)Vlcg/Ypel3+ (more )
Structure Level Pattern Image Note
TS28: parathyroid gland Present UC Davis_1856980

Specimen UC Davis_1856983: postnatal adult; Ypel3tm1.1(KOMP)Vlcg/Ypel3+ (more )
Structure Level Pattern Image Note
TS28: parathyroid gland Present UC Davis_1856983


Contributing Projects:
Mouse Genome Database (MGD), Gene Expression Database (GXD), Mouse Models of Human Cancer database (MMHCdb) (formerly Mouse Tumor Biology (MTB)), Gene Ontology (GO)
Citing These Resources
Funding Information
Warranty Disclaimer, Privacy Notice, Licensing, & Copyright
Send questions and comments to User Support.
last database update
12/09/2025
MGI 6.24
The Jackson Laboratory