About   Help   FAQ
Gene Expression Data
Assay Details
Assay
Reference: J:228563 Koscielny G, et al., The International Mouse Phenotyping Consortium Web Portal, a unified point of access for knockout mice and related phenotyping data. Nucleic Acids Res. 2014 Jan;42(Database issue):D802-9
Assay type: In situ reporter (knock in)
MGI Accession ID: MGI:6691647
Gene symbol: Setd6
Gene name: SET domain containing 6
Reporter: lacZ
Direct Detection
Results
Specimen JAX_1370200: embryonic day 12.5; Setd6tm1.1(KOMP)Mbp/Setd6+ (more )
Structure Level Pattern Image Note
TS20: embryo Present JAX_1370200

Specimen JAX_1370201: embryonic day 12.5; Setd6tm1.1(KOMP)Mbp/Setd6+ (more )
Structure Level Pattern Image Note
TS20: embryo Present JAX_1370201

Specimen JAX_1370202: embryonic day 12.5; Setd6tm1.1(KOMP)Mbp/Setd6+ (more )
Structure Level Pattern Image Note
TS20: embryo Present JAX_1370202

Specimen JAX_1370203: embryonic day 12.5; Setd6tm1.1(KOMP)Mbp/Setd6+ (more )
Structure Level Pattern Image Note
TS20: embryo Present JAX_1370203

Specimen JAX_1618582: embryonic day 12.5; Setd6tm1.1(KOMP)Mbp/Setd6+ (more )
Structure Level Pattern Image Note
TS20: embryo Present JAX_1618582

Specimen JAX_1618583: embryonic day 12.5; Setd6tm1.1(KOMP)Mbp/Setd6+ (more )
Structure Level Pattern Image Note
TS20: embryo Present JAX_1618583

Specimen JAX_1618584: embryonic day 12.5; Setd6tm1.1(KOMP)Mbp/Setd6+ (more )
Structure Level Pattern Image Note
TS20: embryo Present JAX_1618584

Specimen JAX_1618585: embryonic day 12.5; Setd6tm1.1(KOMP)Mbp/Setd6+ (more )
Structure Level Pattern Image Note
TS20: embryo Present JAX_1618585

Specimen JAX_1800381: postnatal adult; Setd6tm1.1(KOMP)Mbp/Setd6+ (more )
Structure Level Pattern Image Note
TS28: submandibular gland Present JAX_1800381

Specimen JAX_1800382: postnatal adult; Setd6tm1.1(KOMP)Mbp/Setd6+ (more )
Structure Level Pattern Image Note
TS28: bladder Present JAX_1800382

Specimen JAX_1800383: postnatal adult; Setd6tm1.1(KOMP)Mbp/Setd6+ (more )
Structure Level Pattern Image Note
TS28: peripheral nervous system Present JAX_1800383

Specimen JAX_1800384: postnatal adult; Setd6tm1.1(KOMP)Mbp/Setd6+ (more )
Structure Level Pattern Image Note
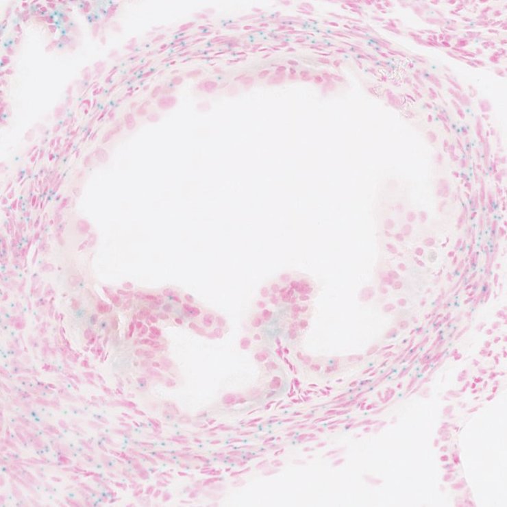
TS28: aorta Present JAX_1800384

Specimen JAX_1800385: postnatal adult; Setd6tm1.1(KOMP)Mbp/Setd6+ (more )
Structure Level Pattern Image Note
TS28: small intestine Present JAX_1800385

Specimen JAX_1800386: postnatal adult; Setd6tm1.1(KOMP)Mbp/Setd6+ (more )
Structure Level Pattern Image Note
TS28: skeletal muscle tissue Present JAX_1800386

Specimen JAX_1800387: postnatal adult; Setd6tm1.1(KOMP)Mbp/Setd6+ (more )
Structure Level Pattern Image Note
TS28: spinal cord Present JAX_1800387

Specimen JAX_1800388: postnatal adult; Setd6tm1.1(KOMP)Mbp/Setd6+ (more )
Structure Level Pattern Image Note
TS28: large intestine Present JAX_1800388

Specimen JAX_1800389: postnatal adult; Setd6tm1.1(KOMP)Mbp/Setd6+ (more )
Structure Level Pattern Image Note
TS28: uterus Present JAX_1800389

Specimen JAX_1800390: postnatal adult; Setd6tm1.1(KOMP)Mbp/Setd6+ (more )
Structure Level Pattern Image Note
TS28: stomach Present JAX_1800390

Specimen JAX_1800391: postnatal adult; Setd6tm1.1(KOMP)Mbp/Setd6+ (more )
Structure Level Pattern Image Note
TS28: skin Present JAX_1800391

Specimen JAX_1800392: postnatal adult; Setd6tm1.1(KOMP)Mbp/Setd6+ (more )
Structure Level Pattern Image Note
TS28: oviduct Present JAX_1800392

Specimen JAX_1800393: postnatal adult; Setd6tm1.1(KOMP)Mbp/Setd6+ (more )
Structure Level Pattern Image Note
TS28: ovary Present JAX_1800393

Specimen JAX_1800394: postnatal adult; Setd6tm1.1(KOMP)Mbp/Setd6+ (more )
Structure Level Pattern Image Note
TS28: heart Present JAX_1800394

Specimen JAX_1800356: postnatal adult; Setd6tm1.1(KOMP)Mbp/Setd6+ (more )
Structure Level Pattern Image Note
TS28: thalamus Present JAX_1800356

Specimen JAX_1800357: postnatal adult; Setd6tm1.1(KOMP)Mbp/Setd6+ (more )
Structure Level Pattern Image Note
TS28: midbrain Present JAX_1800357

Specimen JAX_1800358: postnatal adult; Setd6tm1.1(KOMP)Mbp/Setd6+ (more )
Structure Level Pattern Image Note
TS28: vascular system Present JAX_1800358

Specimen JAX_1800359: postnatal adult; Setd6tm1.1(KOMP)Mbp/Setd6+ (more )
Structure Level Pattern Image Note
TS28: epididymis Present JAX_1800359

Specimen JAX_1800360: postnatal adult; Setd6tm1.1(KOMP)Mbp/Setd6+ (more )
Structure Level Pattern Image Note
TS28: submandibular gland Present JAX_1800360

Specimen JAX_1800361: postnatal adult; Setd6tm1.1(KOMP)Mbp/Setd6+ (more )
Structure Level Pattern Image Note
TS28: corpus striatum Present JAX_1800361

Specimen JAX_1800362: postnatal adult; Setd6tm1.1(KOMP)Mbp/Setd6+ (more )
Structure Level Pattern Image Note
TS28: olfactory lobe Present JAX_1800362

Specimen JAX_1800363: postnatal adult; Setd6tm1.1(KOMP)Mbp/Setd6+ (more )
Structure Level Pattern Image Note
TS28: hypothalamus Present JAX_1800363

Specimen JAX_1800364: postnatal adult; Setd6tm1.1(KOMP)Mbp/Setd6+ (more )
Structure Level Pattern Image Note
TS28: hippocampus Present JAX_1800364

Specimen JAX_1800365: postnatal adult; Setd6tm1.1(KOMP)Mbp/Setd6+ (more )
Structure Level Pattern Image Note
TS28: cerebellum Present JAX_1800365

Specimen JAX_1800366: postnatal adult; Setd6tm1.1(KOMP)Mbp/Setd6+ (more )
Structure Level Pattern Image Note
TS28: cerebral cortex Present JAX_1800366

Specimen JAX_1800367: postnatal adult; Setd6tm1.1(KOMP)Mbp/Setd6+ (more )
Structure Level Pattern Image Note
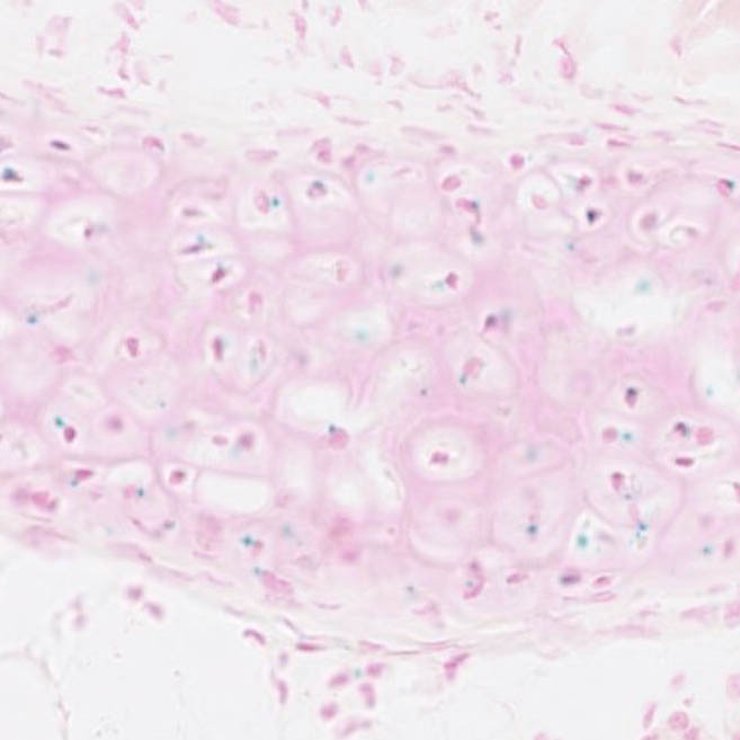
TS28: cartilage Present JAX_1800367

Specimen JAX_1800368: postnatal adult; Setd6tm1.1(KOMP)Mbp/Setd6+ (more )
Structure Level Pattern Image Note
TS28: brainstem Present JAX_1800368

Specimen JAX_1800369: postnatal adult; Setd6tm1.1(KOMP)Mbp/Setd6+ (more )
Structure Level Pattern Image Note
TS28: spleen Present JAX_1800369

Specimen JAX_1800370: postnatal adult; Setd6tm1.1(KOMP)Mbp/Setd6+ (more )
Structure Level Pattern Image Note
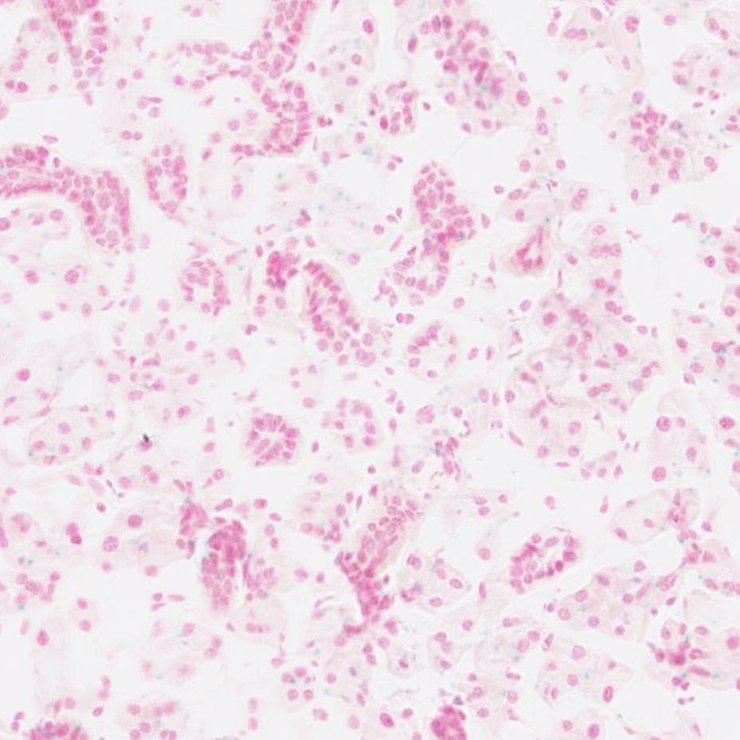
TS28: pancreas Present JAX_1800370

Specimen JAX_1800371: postnatal adult; Setd6tm1.1(KOMP)Mbp/Setd6+ (more )
Structure Level Pattern Image Note
TS28: lung Present JAX_1800371

Specimen JAX_1800372: postnatal adult; Setd6tm1.1(KOMP)Mbp/Setd6+ (more )
Structure Level Pattern Image Note
TS28: pituitary gland Present JAX_1800372

Specimen JAX_1800373: postnatal adult; Setd6tm1.1(KOMP)Mbp/Setd6+ (more )
Structure Level Pattern Image Note
TS28: thyroid gland Present JAX_1800373

Specimen JAX_1800374: postnatal adult; Setd6tm1.1(KOMP)Mbp/Setd6+ (more )
Structure Level Pattern Image Note
TS28: esophagus Present JAX_1800374

Specimen JAX_1800375: postnatal adult; Setd6tm1.1(KOMP)Mbp/Setd6+ (more )
Structure Level Pattern Image Note
TS28: trachea Present JAX_1800375

Specimen JAX_1800376: postnatal adult; Setd6tm1.1(KOMP)Mbp/Setd6+ (more )
Structure Level Pattern Image Note
TS28: testis Present JAX_1800376

Specimen JAX_1800377: postnatal adult; Setd6tm1.1(KOMP)Mbp/Setd6+ (more )
Structure Level Pattern Image Note
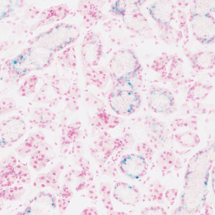
TS28: metanephros Present JAX_1800377 kidney

Specimen JAX_1800378: postnatal adult; Setd6tm1.1(KOMP)Mbp/Setd6+ (more )
Structure Level Pattern Image Note
TS28: eye Present JAX_1800378

Specimen JAX_1800379: postnatal adult; Setd6tm1.1(KOMP)Mbp/Setd6+ (more )
Structure Level Pattern Image Note
TS28: brain Present JAX_1800379

Specimen JAX_1800380: postnatal adult; Setd6tm1.1(KOMP)Mbp/Setd6+ (more )
Structure Level Pattern Image Note
TS28: adrenal gland Present JAX_1800380


Contributing Projects:
Mouse Genome Database (MGD), Gene Expression Database (GXD), Mouse Models of Human Cancer database (MMHCdb) (formerly Mouse Tumor Biology (MTB)), Gene Ontology (GO)
Citing These Resources
Funding Information
Warranty Disclaimer, Privacy Notice, Licensing, & Copyright
Send questions and comments to User Support.
last database update
01/28/2026
MGI 6.24
The Jackson Laboratory