About   Help   FAQ
Gene Expression Data
Assay Details
Assay
Reference: J:228563 Koscielny G, et al., The International Mouse Phenotyping Consortium Web Portal, a unified point of access for knockout mice and related phenotyping data. Nucleic Acids Res. 2014 Jan;42(Database issue):D802-9
Assay type: In situ reporter (knock in)
MGI Accession ID: MGI:6691641
Gene symbol: Sostdc1
Gene name: sclerostin domain containing 1
Reporter: lacZ
Direct Detection
Results
Specimen UC Davis_1874132: postnatal adult; Sostdc1tm1.1(KOMP)Vlcg/Sostdc1+ (more )
Structure Level Pattern Image Note
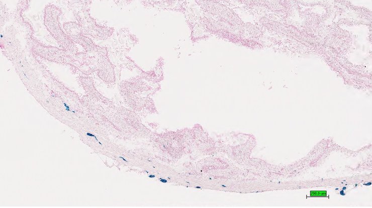
TS28: submandibular gland Present UC Davis_1874132

Specimen UC Davis_1874133: postnatal adult; Sostdc1tm1.1(KOMP)Vlcg/Sostdc1+ (more )
Structure Level Pattern Image Note
TS28: sublingual gland Present UC Davis_1874133

Specimen UC Davis_1874134: postnatal adult; Sostdc1tm1.1(KOMP)Vlcg/Sostdc1+ (more )
Structure Level Pattern Image Note
TS28: sublingual gland Present UC Davis_1874134

Specimen UC Davis_1874137: postnatal adult; Sostdc1tm1.1(KOMP)Vlcg/Sostdc1+ (more )
Structure Level Pattern Image Note
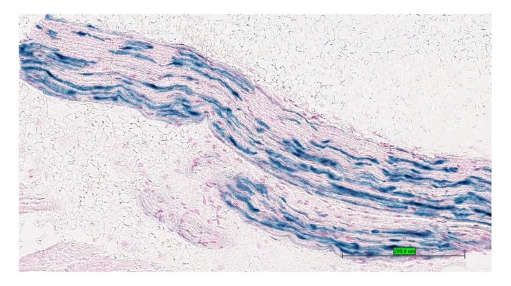
TS28: trachea Present UC Davis_1874137

Specimen UC Davis_1874138: postnatal adult; Sostdc1tm1.1(KOMP)Vlcg/Sostdc1+ (more )
Structure Level Pattern Image Note
TS28: esophagus Present UC Davis_1874138

Specimen UC Davis_1874139: postnatal adult; Sostdc1tm1.1(KOMP)Vlcg/Sostdc1+ (more )
Structure Level Pattern Image Note
TS28: esophagus Present UC Davis_1874139

Specimen UC Davis_1874140: postnatal adult; Sostdc1tm1.1(KOMP)Vlcg/Sostdc1+ (more )
Structure Level Pattern Image Note
TS28: thymus Absent UC Davis_1874140

Specimen UC Davis_1874141: postnatal adult; Sostdc1tm1.1(KOMP)Vlcg/Sostdc1+ (more )
Structure Level Pattern Image Note
TS28: stomach Present UC Davis_1874141

Specimen UC Davis_1874142: postnatal adult; Sostdc1tm1.1(KOMP)Vlcg/Sostdc1+ (more )
Structure Level Pattern Image Note
TS28: stomach Present UC Davis_1874142

Specimen UC Davis_1874143: postnatal adult; Sostdc1tm1.1(KOMP)Vlcg/Sostdc1+ (more )
Structure Level Pattern Image Note
TS28: colon Present UC Davis_1874143

Specimen UC Davis_1874144: postnatal adult; Sostdc1tm1.1(KOMP)Vlcg/Sostdc1+ (more )
Structure Level Pattern Image Note
TS28: colon Present UC Davis_1874144

Specimen UC Davis_1874145: postnatal adult; Sostdc1tm1.1(KOMP)Vlcg/Sostdc1+ (more )
Structure Level Pattern Image Note
TS28: colon Present UC Davis_1874145

Specimen UC Davis_1874146: postnatal adult; Sostdc1tm1.1(KOMP)Vlcg/Sostdc1+ (more )
Structure Level Pattern Image Note
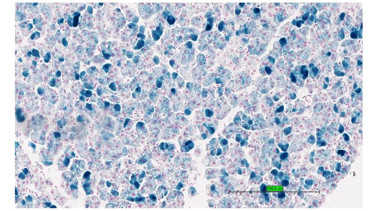
TS28: pancreas Present UC Davis_1874146

Specimen UC Davis_1874147: postnatal adult; Sostdc1tm1.1(KOMP)Vlcg/Sostdc1+ (more )
Structure Level Pattern Image Note
TS28: pancreas Present UC Davis_1874147

Specimen UC Davis_1874148: postnatal adult; Sostdc1tm1.1(KOMP)Vlcg/Sostdc1+ (more )
Structure Level Pattern Image Note
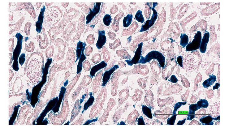
TS28: metanephros Present UC Davis_1874148 kidney

Specimen UC Davis_1874149: postnatal adult; Sostdc1tm1.1(KOMP)Vlcg/Sostdc1+ (more )
Structure Level Pattern Image Note
TS28: metanephros Present UC Davis_1874149 kidney

Specimen UC Davis_1874150: postnatal adult; Sostdc1tm1.1(KOMP)Vlcg/Sostdc1+ (more )
Structure Level Pattern Image Note
TS28: metanephros Present UC Davis_1874150 kidney

Specimen UC Davis_1874151: postnatal adult; Sostdc1tm1.1(KOMP)Vlcg/Sostdc1+ (more )
Structure Level Pattern Image Note
TS28: metanephros Present UC Davis_1874151 kidney

Specimen UC Davis_1874152: postnatal adult; Sostdc1tm1.1(KOMP)Vlcg/Sostdc1+ (more )
Structure Level Pattern Image Note
TS28: metanephros Present UC Davis_1874152 kidney

Specimen UC Davis_1874153: postnatal adult; Sostdc1tm1.1(KOMP)Vlcg/Sostdc1+ (more )
Structure Level Pattern Image Note
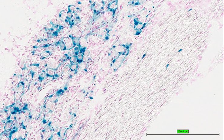
TS28: quadriceps femoris muscle Present UC Davis_1874153

Specimen UC Davis_1874154: postnatal adult; Sostdc1tm1.1(KOMP)Vlcg/Sostdc1+ (more )
Structure Level Pattern Image Note
TS28: sciatic nerve Present UC Davis_1874154

Specimen UC Davis_1874155: postnatal adult; Sostdc1tm1.1(KOMP)Vlcg/Sostdc1+ (more )
Structure Level Pattern Image Note
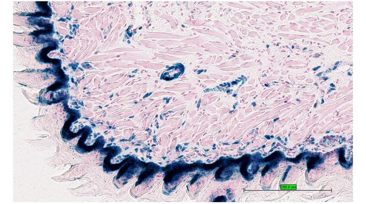
TS28: tongue Present UC Davis_1874155

Specimen UC Davis_1874156: postnatal adult; Sostdc1tm1.1(KOMP)Vlcg/Sostdc1+ (more )
Structure Level Pattern Image Note
TS28: tongue Present UC Davis_1874156

Specimen UC Davis_1874157: postnatal adult; Sostdc1tm1.1(KOMP)Vlcg/Sostdc1+ (more )
Structure Level Pattern Image Note
TS28: tongue Present UC Davis_1874157

Specimen UC Davis_1874158: postnatal adult; Sostdc1tm1.1(KOMP)Vlcg/Sostdc1+ (more )
Structure Level Pattern Image Note
TS28: eye Present UC Davis_1874158

Specimen UC Davis_1874159: postnatal adult; Sostdc1tm1.1(KOMP)Vlcg/Sostdc1+ (more )
Structure Level Pattern Image Note
TS28: Harderian gland Present UC Davis_1874159

Specimen UC Davis_1874160: postnatal adult; Sostdc1tm1.1(KOMP)Vlcg/Sostdc1+ (more )
Structure Level Pattern Image Note
TS28: skin Present UC Davis_1874160

Specimen UC Davis_1874161: postnatal adult; Sostdc1tm1.1(KOMP)Vlcg/Sostdc1+ (more )
Structure Level Pattern Image Note
TS28: skin Present UC Davis_1874161

Specimen UC Davis_1874162: postnatal adult; Sostdc1tm1.1(KOMP)Vlcg/Sostdc1+ (more )
Structure Level Pattern Image Note
TS28: skin Present UC Davis_1874162

Specimen UC Davis_1874163: postnatal adult; Sostdc1tm1.1(KOMP)Vlcg/Sostdc1+ (more )
Structure Level Pattern Image Note
TS28: brown fat Present UC Davis_1874163

Specimen UC Davis_1874165: postnatal adult; Sostdc1tm1.1(KOMP)Vlcg/Sostdc1+ (more )
Structure Level Pattern Image Note
TS28: midbrain Present UC Davis_1874165

Specimen UC Davis_1874166: postnatal adult; Sostdc1tm1.1(KOMP)Vlcg/Sostdc1+ (more )
Structure Level Pattern Image Note
TS28: trigeminal nerve Present UC Davis_1874166

Specimen UC Davis_1874167: postnatal adult; Sostdc1tm1.1(KOMP)Vlcg/Sostdc1+ (more )
Structure Level Pattern Image Note
TS28: trigeminal nerve Present UC Davis_1874167

Specimen UC Davis_1874168: postnatal adult; Sostdc1tm1.1(KOMP)Vlcg/Sostdc1+ (more )
Structure Level Pattern Image Note
TS28: vagina Present UC Davis_1874168

Specimen UC Davis_1874169: postnatal adult; Sostdc1tm1.1(KOMP)Vlcg/Sostdc1+ (more )
Structure Level Pattern Image Note
TS28: vagina Present UC Davis_1874169

Specimen UC Davis_1874170: postnatal adult; Sostdc1tm1.1(KOMP)Vlcg/Sostdc1+ (more )
Structure Level Pattern Image Note
TS28: bladder Present UC Davis_1874170

Specimen UC Davis_1874171: postnatal adult; Sostdc1tm1.1(KOMP)Vlcg/Sostdc1+ (more )
Structure Level Pattern Image Note
TS28: bladder Present UC Davis_1874171

Specimen UC Davis_1874172: postnatal adult; Sostdc1tm1.1(KOMP)Vlcg/Sostdc1+ (more )
Structure Level Pattern Image Note
TS28: submandibular gland Present UC Davis_1874172

Specimen UC Davis_1874173: postnatal adult; Sostdc1tm1.1(KOMP)Vlcg/Sostdc1+ (more )
Structure Level Pattern Image Note
TS28: sublingual gland Present UC Davis_1874173

Specimen UC Davis_1874174: postnatal adult; Sostdc1tm1.1(KOMP)Vlcg/Sostdc1+ (more )
Structure Level Pattern Image Note
TS28: parotid gland Present UC Davis_1874174

Specimen UC Davis_1874175: postnatal adult; Sostdc1tm1.1(KOMP)Vlcg/Sostdc1+ (more )
Structure Level Pattern Image Note
TS28: trachea Present UC Davis_1874175

Specimen UC Davis_1874176: postnatal adult; Sostdc1tm1.1(KOMP)Vlcg/Sostdc1+ (more )
Structure Level Pattern Image Note
TS28: trachea Present UC Davis_1874176

Specimen UC Davis_1874177: postnatal adult; Sostdc1tm1.1(KOMP)Vlcg/Sostdc1+ (more )
Structure Level Pattern Image Note
TS28: esophagus Present UC Davis_1874177

Specimen UC Davis_1874178: postnatal adult; Sostdc1tm1.1(KOMP)Vlcg/Sostdc1+ (more )
Structure Level Pattern Image Note
TS28: esophagus Present UC Davis_1874178

Specimen UC Davis_1874179: postnatal adult; Sostdc1tm1.1(KOMP)Vlcg/Sostdc1+ (more )
Structure Level Pattern Image Note
TS28: lung Present UC Davis_1874179

Specimen UC Davis_1874180: postnatal adult; Sostdc1tm1.1(KOMP)Vlcg/Sostdc1+ (more )
Structure Level Pattern Image Note
TS28: lung Present UC Davis_1874180

Specimen UC Davis_1874181: postnatal adult; Sostdc1tm1.1(KOMP)Vlcg/Sostdc1+ (more )
Structure Level Pattern Image Note
TS28: stomach Present UC Davis_1874181

Specimen UC Davis_1874182: postnatal adult; Sostdc1tm1.1(KOMP)Vlcg/Sostdc1+ (more )
Structure Level Pattern Image Note
TS28: ileum Present UC Davis_1874182

Specimen UC Davis_1874183: postnatal adult; Sostdc1tm1.1(KOMP)Vlcg/Sostdc1+ (more )
Structure Level Pattern Image Note
TS28: colon Present UC Davis_1874183

Specimen UC Davis_1874184: postnatal adult; Sostdc1tm1.1(KOMP)Vlcg/Sostdc1+ (more )
Structure Level Pattern Image Note
TS28: colon Present UC Davis_1874184

Specimen UC Davis_1874185: postnatal adult; Sostdc1tm1.1(KOMP)Vlcg/Sostdc1+ (more )
Structure Level Pattern Image Note
TS28: pancreas Present UC Davis_1874185

Specimen UC Davis_1874186: postnatal adult; Sostdc1tm1.1(KOMP)Vlcg/Sostdc1+ (more )
Structure Level Pattern Image Note
TS28: pancreas Present UC Davis_1874186

Specimen UC Davis_1874187: postnatal adult; Sostdc1tm1.1(KOMP)Vlcg/Sostdc1+ (more )
Structure Level Pattern Image Note
TS28: metanephros Present UC Davis_1874187 kidney

Specimen UC Davis_1874188: postnatal adult; Sostdc1tm1.1(KOMP)Vlcg/Sostdc1+ (more )
Structure Level Pattern Image Note
TS28: metanephros Present UC Davis_1874188 kidney

Specimen UC Davis_1874189: postnatal adult; Sostdc1tm1.1(KOMP)Vlcg/Sostdc1+ (more )
Structure Level Pattern Image Note
TS28: metanephros Present UC Davis_1874189 kidney

Specimen UC Davis_1874190: postnatal adult; Sostdc1tm1.1(KOMP)Vlcg/Sostdc1+ (more )
Structure Level Pattern Image Note
TS28: sciatic nerve Present UC Davis_1874190

Specimen UC Davis_1874191: postnatal adult; Sostdc1tm1.1(KOMP)Vlcg/Sostdc1+ (more )
Structure Level Pattern Image Note
TS28: tongue Present UC Davis_1874191

Specimen UC Davis_1874192: postnatal adult; Sostdc1tm1.1(KOMP)Vlcg/Sostdc1+ (more )
Structure Level Pattern Image Note
TS28: tongue Present UC Davis_1874192

Specimen UC Davis_1874193: postnatal adult; Sostdc1tm1.1(KOMP)Vlcg/Sostdc1+ (more )
Structure Level Pattern Image Note
TS28: adrenal gland Present UC Davis_1874193

Specimen UC Davis_1874194: postnatal adult; Sostdc1tm1.1(KOMP)Vlcg/Sostdc1+ (more )
Structure Level Pattern Image Note
TS28: skin Present UC Davis_1874194

Specimen UC Davis_1874195: postnatal adult; Sostdc1tm1.1(KOMP)Vlcg/Sostdc1+ (more )
Structure Level Pattern Image Note
TS28: skin Present UC Davis_1874195

Specimen UC Davis_1874196: postnatal adult; Sostdc1tm1.1(KOMP)Vlcg/Sostdc1+ (more )
Structure Level Pattern Image Note
TS28: brown fat Present UC Davis_1874196

Specimen UC Davis_1874197: postnatal adult; Sostdc1tm1.1(KOMP)Vlcg/Sostdc1+ (more )
Structure Level Pattern Image Note
TS28: brown fat Present UC Davis_1874197

Specimen UC Davis_1874199: postnatal adult; Sostdc1tm1.1(KOMP)Vlcg/Sostdc1+ (more )
Structure Level Pattern Image Note
TS28: midbrain Present UC Davis_1874199

Specimen UC Davis_1874200: postnatal adult; Sostdc1tm1.1(KOMP)Vlcg/Sostdc1+ (more )
Structure Level Pattern Image Note
TS28: trigeminal nerve Present UC Davis_1874200

Specimen UC Davis_1874201: postnatal adult; Sostdc1tm1.1(KOMP)Vlcg/Sostdc1+ (more )
Structure Level Pattern Image Note
TS28: trigeminal nerve Present UC Davis_1874201

Specimen UC Davis_1874202: postnatal adult; Sostdc1tm1.1(KOMP)Vlcg/Sostdc1+ (more )
Structure Level Pattern Image Note
TS28: trigeminal nerve Present UC Davis_1874202

Specimen UC Davis_1874203: postnatal adult; Sostdc1tm1.1(KOMP)Vlcg/Sostdc1+ (more )
Structure Level Pattern Image Note
TS28: bladder Present UC Davis_1874203

Specimen UC Davis_1874204: postnatal adult; Sostdc1tm1.1(KOMP)Vlcg/Sostdc1+ (more )
Structure Level Pattern Image Note
TS28: bladder Present UC Davis_1874204

Specimen UC Davis_1874205: postnatal adult; Sostdc1tm1.1(KOMP)Vlcg/Sostdc1+ (more )
Structure Level Pattern Image Note
TS28: testis Present UC Davis_1874205

Specimen UC Davis_1874206: postnatal adult; Sostdc1tm1.1(KOMP)Vlcg/Sostdc1+ (more )
Structure Level Pattern Image Note
TS28: epididymis Present UC Davis_1874206

Specimen UC Davis_1874207: postnatal adult; Sostdc1tm1.1(KOMP)Vlcg/Sostdc1+ (more )
Structure Level Pattern Image Note
TS28: penis Present UC Davis_1874207


Contributing Projects:
Mouse Genome Database (MGD), Gene Expression Database (GXD), Mouse Models of Human Cancer database (MMHCdb) (formerly Mouse Tumor Biology (MTB)), Gene Ontology (GO)
Citing These Resources
Funding Information
Warranty Disclaimer, Privacy Notice, Licensing, & Copyright
Send questions and comments to User Support.
last database update
01/20/2026
MGI 6.24
The Jackson Laboratory