About   Help   FAQ
Gene Expression Data
Assay Details
Assay
Reference: J:228563 Koscielny G, et al., The International Mouse Phenotyping Consortium Web Portal, a unified point of access for knockout mice and related phenotyping data. Nucleic Acids Res. 2014 Jan;42(Database issue):D802-9
Assay type: In situ reporter (knock in)
MGI Accession ID: MGI:6691593
Gene symbol: Ppbp
Gene name: pro-platelet basic protein
Reporter: lacZ
Direct Detection
Results
Specimen UC Davis_1875946: postnatal adult; Ppbptm1.1(KOMP)Vlcg/Ppbp+ (more )
Structure Level Pattern Image Note
TS28: thymus Present UC Davis_1875946

Specimen UC Davis_1875947: postnatal adult; Ppbptm1.1(KOMP)Vlcg/Ppbp+ (more )
Structure Level Pattern Image Note
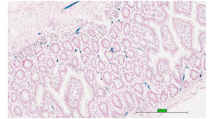
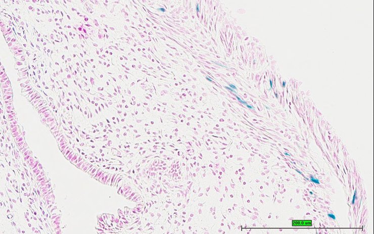
TS28: ileum Present UC Davis_1875947

Specimen UC Davis_1875948: postnatal adult; Ppbptm1.1(KOMP)Vlcg/Ppbp+ (more )
Structure Level Pattern Image Note
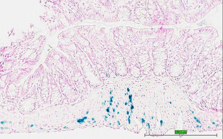
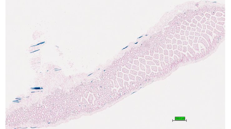
TS28: colon Present UC Davis_1875948

Specimen UC Davis_1875949: postnatal adult; Ppbptm1.1(KOMP)Vlcg/Ppbp+ (more )
Structure Level Pattern Image Note
TS28: colon Present UC Davis_1875949

Specimen UC Davis_1875950: postnatal adult; Ppbptm1.1(KOMP)Vlcg/Ppbp+ (more )
Structure Level Pattern Image Note
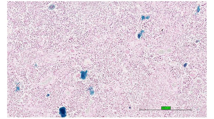
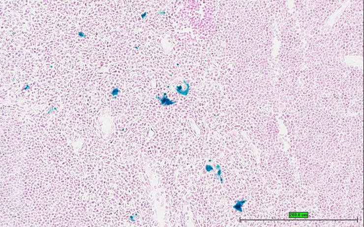
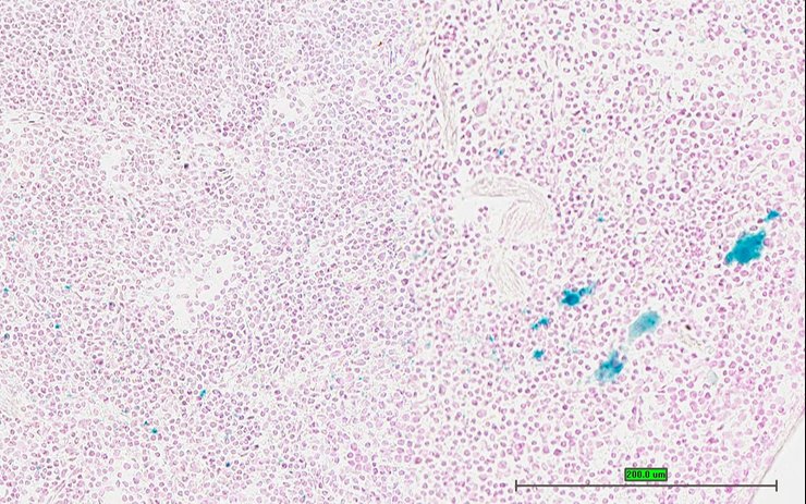
TS28: spleen Present UC Davis_1875950

Specimen UC Davis_1875951: postnatal adult; Ppbptm1.1(KOMP)Vlcg/Ppbp+ (more )
Structure Level Pattern Image Note
TS28: spleen Present UC Davis_1875951

Specimen UC Davis_1875952: postnatal adult; Ppbptm1.1(KOMP)Vlcg/Ppbp+ (more )
Structure Level Pattern Image Note
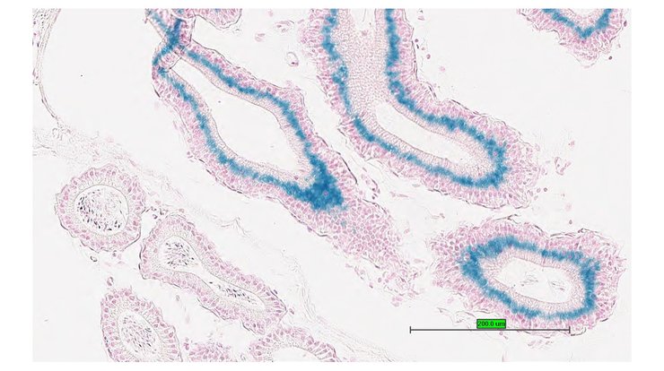
TS28: uterus Present UC Davis_1875952

Specimen UC Davis_1875953: postnatal adult; Ppbptm1.1(KOMP)Vlcg/Ppbp+ (more )
Structure Level Pattern Image Note
TS28: uterus Present UC Davis_1875953

Specimen UC Davis_1875954: postnatal adult; Ppbptm1.1(KOMP)Vlcg/Ppbp+ (more )
Structure Level Pattern Image Note
TS28: vagina Present UC Davis_1875954

Specimen UC Davis_1875955: postnatal adult; Ppbptm1.1(KOMP)Vlcg/Ppbp+ (more )
Structure Level Pattern Image Note
TS28: vagina Present UC Davis_1875955

Specimen UC Davis_1875956: postnatal adult; Ppbptm1.1(KOMP)Vlcg/Ppbp+ (more )
Structure Level Pattern Image Note
TS28: blood Present UC Davis_1875956

Specimen UC Davis_1875957: postnatal adult; Ppbptm1.1(KOMP)Vlcg/Ppbp+ (more )
Structure Level Pattern Image Note
TS28: blood Present UC Davis_1875957

Specimen UC Davis_1875958: postnatal adult; Ppbptm1.1(KOMP)Vlcg/Ppbp+ (more )
Structure Level Pattern Image Note
TS28: blood Present UC Davis_1875958

Specimen UC Davis_1875959: postnatal adult; Ppbptm1.1(KOMP)Vlcg/Ppbp+ (more )
Structure Level Pattern Image Note
TS28: blood Present UC Davis_1875959

Specimen UC Davis_1875960: postnatal adult; Ppbptm1.1(KOMP)Vlcg/Ppbp+ (more )
Structure Level Pattern Image Note
TS28: bone marrow Present UC Davis_1875960

Specimen UC Davis_1875961: postnatal adult; Ppbptm1.1(KOMP)Vlcg/Ppbp+ (more )
Structure Level Pattern Image Note
TS28: bone marrow Present UC Davis_1875961

Specimen UC Davis_1875963: postnatal adult; Ppbptm1.1(KOMP)Vlcg/Ppbp+ (more )
Structure Level Pattern Image Note
TS28: ileum Present UC Davis_1875963

Specimen UC Davis_1875964: postnatal adult; Ppbptm1.1(KOMP)Vlcg/Ppbp+ (more )
Structure Level Pattern Image Note
TS28: ileum Present UC Davis_1875964

Specimen UC Davis_1875965: postnatal adult; Ppbptm1.1(KOMP)Vlcg/Ppbp+ (more )
Structure Level Pattern Image Note
TS28: colon Present UC Davis_1875965

Specimen UC Davis_1875966: postnatal adult; Ppbptm1.1(KOMP)Vlcg/Ppbp+ (more )
Structure Level Pattern Image Note
TS28: colon Present UC Davis_1875966

Specimen UC Davis_1875967: postnatal adult; Ppbptm1.1(KOMP)Vlcg/Ppbp+ (more )
Structure Level Pattern Image Note
TS28: cecum Present UC Davis_1875967

Specimen UC Davis_1875968: postnatal adult; Ppbptm1.1(KOMP)Vlcg/Ppbp+ (more )
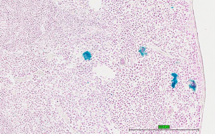
Structure Level Pattern Image Note
TS28: spleen Present UC Davis_1875968

Specimen UC Davis_1875969: postnatal adult; Ppbptm1.1(KOMP)Vlcg/Ppbp+ (more )
Structure Level Pattern Image Note
TS28: spleen Present UC Davis_1875969

Specimen UC Davis_1875970: postnatal adult; Ppbptm1.1(KOMP)Vlcg/Ppbp+ (more )
Structure Level Pattern Image Note
TS28: tongue Present UC Davis_1875970

Specimen UC Davis_1875971: postnatal adult; Ppbptm1.1(KOMP)Vlcg/Ppbp+ (more )
Structure Level Pattern Image Note
TS28: tongue Present UC Davis_1875971

Specimen UC Davis_1875972: postnatal adult; Ppbptm1.1(KOMP)Vlcg/Ppbp+ (more )
Structure Level Pattern Image Note
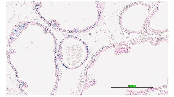
TS28: epididymis Present UC Davis_1875972

Specimen UC Davis_1875973: postnatal adult; Ppbptm1.1(KOMP)Vlcg/Ppbp+ (more )
Structure Level Pattern Image Note
TS28: prostate gland Present UC Davis_1875973

Specimen UC Davis_1875974: postnatal adult; Ppbptm1.1(KOMP)Vlcg/Ppbp+ (more )
Structure Level Pattern Image Note
TS28: blood Present UC Davis_1875974

Specimen UC Davis_1875975: postnatal adult; Ppbptm1.1(KOMP)Vlcg/Ppbp+ (more )
Structure Level Pattern Image Note
TS28: blood Present UC Davis_1875975

Specimen UC Davis_1875976: postnatal adult; Ppbptm1.1(KOMP)Vlcg/Ppbp+ (more )
Structure Level Pattern Image Note
TS28: bone marrow Present UC Davis_1875976

Specimen UC Davis_1875977: postnatal adult; Ppbptm1.1(KOMP)Vlcg/Ppbp+ (more )
Structure Level Pattern Image Note
TS28: ductus deferens Present UC Davis_1875977 vas deferens


Contributing Projects:
Mouse Genome Database (MGD), Gene Expression Database (GXD), Mouse Models of Human Cancer database (MMHCdb) (formerly Mouse Tumor Biology (MTB)), Gene Ontology (GO)
Citing These Resources
Funding Information
Warranty Disclaimer, Privacy Notice, Licensing, & Copyright
Send questions and comments to User Support.
last database update
03/24/2026
MGI 6.24
The Jackson Laboratory