About   Help   FAQ
Gene Expression Data
Assay Details
Assay
Reference: J:228563 Koscielny G, et al., The International Mouse Phenotyping Consortium Web Portal, a unified point of access for knockout mice and related phenotyping data. Nucleic Acids Res. 2014 Jan;42(Database issue):D802-9
Assay type: In situ reporter (knock in)
MGI Accession ID: MGI:6691592
Gene symbol: Fzd2
Gene name: frizzled class receptor 2
Reporter: lacZ
Direct Detection
Results
Specimen UC Davis_1880729: postnatal adult; Fzd2tm1.1(KOMP)Vlcg/Fzd2+ (more )
Structure Level Pattern Image Note
TS28: submandibular gland Present UC Davis_1880729

Specimen UC Davis_1880730: postnatal adult; Fzd2tm1.1(KOMP)Vlcg/Fzd2+ (more )
Structure Level Pattern Image Note
TS28: parotid gland Present UC Davis_1880730

Specimen UC Davis_1880731: postnatal adult; Fzd2tm1.1(KOMP)Vlcg/Fzd2+ (more )
Structure Level Pattern Image Note
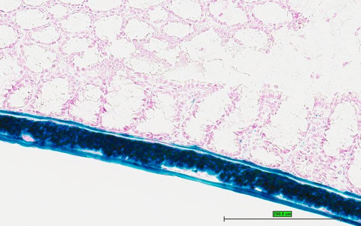
TS28: trachea Present UC Davis_1880731

Specimen UC Davis_1880732: postnatal adult; Fzd2tm1.1(KOMP)Vlcg/Fzd2+ (more )
Structure Level Pattern Image Note
TS28: esophagus Present UC Davis_1880732

Specimen UC Davis_1880733: postnatal adult; Fzd2tm1.1(KOMP)Vlcg/Fzd2+ (more )
Structure Level Pattern Image Note
TS28: esophagus Present UC Davis_1880733

Specimen UC Davis_1880734: postnatal adult; Fzd2tm1.1(KOMP)Vlcg/Fzd2+ (more )
Structure Level Pattern Image Note
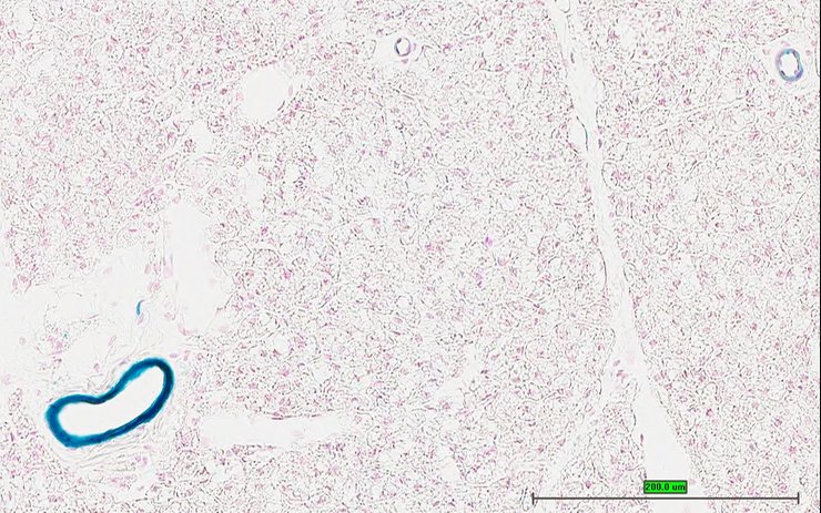
TS28: aorta Present UC Davis_1880734

Specimen UC Davis_1880735: postnatal adult; Fzd2tm1.1(KOMP)Vlcg/Fzd2+ (more )
Structure Level Pattern Image Note
TS28: lung Present UC Davis_1880735

Specimen UC Davis_1880736: postnatal adult; Fzd2tm1.1(KOMP)Vlcg/Fzd2+ (more )
Structure Level Pattern Image Note
TS28: thymus Present UC Davis_1880736

Specimen UC Davis_1880737: postnatal adult; Fzd2tm1.1(KOMP)Vlcg/Fzd2+ (more )
Structure Level Pattern Image Note
TS28: thymus Present UC Davis_1880737

Specimen UC Davis_1880739: postnatal adult; Fzd2tm1.1(KOMP)Vlcg/Fzd2+ (more )
Structure Level Pattern Image Note
TS28: stomach Present UC Davis_1880739

Specimen UC Davis_1880740: postnatal adult; Fzd2tm1.1(KOMP)Vlcg/Fzd2+ (more )
Structure Level Pattern Image Note
TS28: stomach Present UC Davis_1880740

Specimen UC Davis_1880741: postnatal adult; Fzd2tm1.1(KOMP)Vlcg/Fzd2+ (more )
Structure Level Pattern Image Note
TS28: ileum Present UC Davis_1880741

Specimen UC Davis_1880742: postnatal adult; Fzd2tm1.1(KOMP)Vlcg/Fzd2+ (more )
Structure Level Pattern Image Note
TS28: ileum Present UC Davis_1880742

Specimen UC Davis_1880743: postnatal adult; Fzd2tm1.1(KOMP)Vlcg/Fzd2+ (more )
Structure Level Pattern Image Note
TS28: colon Present UC Davis_1880743

Specimen UC Davis_1880744: postnatal adult; Fzd2tm1.1(KOMP)Vlcg/Fzd2+ (more )
Structure Level Pattern Image Note
TS28: colon Present UC Davis_1880744

Specimen UC Davis_1880745: postnatal adult; Fzd2tm1.1(KOMP)Vlcg/Fzd2+ (more )
Structure Level Pattern Image Note
TS28: spleen Present UC Davis_1880745

Specimen UC Davis_1880746: postnatal adult; Fzd2tm1.1(KOMP)Vlcg/Fzd2+ (more )
Structure Level Pattern Image Note
TS28: spleen Present UC Davis_1880746

Specimen UC Davis_1880747: postnatal adult; Fzd2tm1.1(KOMP)Vlcg/Fzd2+ (more )
Structure Level Pattern Image Note
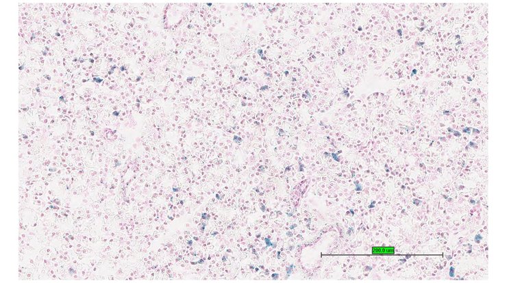
TS28: liver Present UC Davis_1880747

Specimen UC Davis_1880748: postnatal adult; Fzd2tm1.1(KOMP)Vlcg/Fzd2+ (more )
Structure Level Pattern Image Note
TS28: liver Present UC Davis_1880748

Specimen UC Davis_1880749: postnatal adult; Fzd2tm1.1(KOMP)Vlcg/Fzd2+ (more )
Structure Level Pattern Image Note
TS28: metanephros Present UC Davis_1880749 kidney

Specimen UC Davis_1880750: postnatal adult; Fzd2tm1.1(KOMP)Vlcg/Fzd2+ (more )
Structure Level Pattern Image Note
TS28: metanephros Present UC Davis_1880750 kidney

Specimen UC Davis_1880751: postnatal adult; Fzd2tm1.1(KOMP)Vlcg/Fzd2+ (more )
Structure Level Pattern Image Note
TS28: quadriceps femoris muscle Present UC Davis_1880751

Specimen UC Davis_1880752: postnatal adult; Fzd2tm1.1(KOMP)Vlcg/Fzd2+ (more )
Structure Level Pattern Image Note
TS28: quadriceps femoris muscle Present UC Davis_1880752

Specimen UC Davis_1880753: postnatal adult; Fzd2tm1.1(KOMP)Vlcg/Fzd2+ (more )
Structure Level Pattern Image Note
TS28: sciatic nerve Present UC Davis_1880753

Specimen UC Davis_1880754: postnatal adult; Fzd2tm1.1(KOMP)Vlcg/Fzd2+ (more )
Structure Level Pattern Image Note
TS28: tongue Present UC Davis_1880754

Specimen UC Davis_1880755: postnatal adult; Fzd2tm1.1(KOMP)Vlcg/Fzd2+ (more )
Structure Level Pattern Image Note
TS28: tongue Present UC Davis_1880755

Specimen UC Davis_1880756: postnatal adult; Fzd2tm1.1(KOMP)Vlcg/Fzd2+ (more )
Structure Level Pattern Image Note
TS28: tongue Present UC Davis_1880756

Specimen UC Davis_1880757: postnatal adult; Fzd2tm1.1(KOMP)Vlcg/Fzd2+ (more )
Structure Level Pattern Image Note
TS28: diaphragm Present UC Davis_1880757

Specimen UC Davis_1880758: postnatal adult; Fzd2tm1.1(KOMP)Vlcg/Fzd2+ (more )
Structure Level Pattern Image Note
TS28: adrenal gland Present UC Davis_1880758

Specimen UC Davis_1880759: postnatal adult; Fzd2tm1.1(KOMP)Vlcg/Fzd2+ (more )
Structure Level Pattern Image Note
TS28: eye Present UC Davis_1880759

Specimen UC Davis_1880760: postnatal adult; Fzd2tm1.1(KOMP)Vlcg/Fzd2+ (more )
Structure Level Pattern Image Note
TS28: eye Present UC Davis_1880760

Specimen UC Davis_1880761: postnatal adult; Fzd2tm1.1(KOMP)Vlcg/Fzd2+ (more )
Structure Level Pattern Image Note
TS28: eye Present UC Davis_1880761

Specimen UC Davis_1880764: postnatal adult; Fzd2tm1.1(KOMP)Vlcg/Fzd2+ (more )
Structure Level Pattern Image Note
TS28: Harderian gland Present UC Davis_1880764

Specimen UC Davis_1880765: postnatal adult; Fzd2tm1.1(KOMP)Vlcg/Fzd2+ (more )
Structure Level Pattern Image Note
TS28: gonadal fat pad Present UC Davis_1880765

Specimen UC Davis_1880766: postnatal adult; Fzd2tm1.1(KOMP)Vlcg/Fzd2+ (more )
Structure Level Pattern Image Note
TS28: gonadal fat pad Present UC Davis_1880766

Specimen UC Davis_1880767: postnatal adult; Fzd2tm1.1(KOMP)Vlcg/Fzd2+ (more )
Structure Level Pattern Image Note
TS28: mesenteric adipose tissue Present UC Davis_1880767

Specimen UC Davis_1880768: postnatal adult; Fzd2tm1.1(KOMP)Vlcg/Fzd2+ (more )
Structure Level Pattern Image Note
TS28: skin Present UC Davis_1880768

Specimen UC Davis_1880769: postnatal adult; Fzd2tm1.1(KOMP)Vlcg/Fzd2+ (more )
Structure Level Pattern Image Note
TS28: skin Present UC Davis_1880769

Specimen UC Davis_1880770: postnatal adult; Fzd2tm1.1(KOMP)Vlcg/Fzd2+ (more )
Structure Level Pattern Image Note
TS28: skin Present UC Davis_1880770

Specimen UC Davis_1880771: postnatal adult; Fzd2tm1.1(KOMP)Vlcg/Fzd2+ (more )
Structure Level Pattern Image Note
TS28: brown fat Present UC Davis_1880771

Specimen UC Davis_1880772: postnatal adult; Fzd2tm1.1(KOMP)Vlcg/Fzd2+ (more )
Structure Level Pattern Image Note
TS28: brown fat Present UC Davis_1880772

Specimen UC Davis_1880773: postnatal adult; Fzd2tm1.1(KOMP)Vlcg/Fzd2+ (more )
Structure Level Pattern Image Note
TS28: olfactory lobe Present UC Davis_1880773

Specimen UC Davis_1880776: postnatal adult; Fzd2tm1.1(KOMP)Vlcg/Fzd2+ (more )
Structure Level Pattern Image Note
TS28: midbrain Present UC Davis_1880776

Specimen UC Davis_1880778: postnatal adult; Fzd2tm1.1(KOMP)Vlcg/Fzd2+ (more )
Structure Level Pattern Image Note
TS28: cerebellum Present UC Davis_1880778

Specimen UC Davis_1880779: postnatal adult; Fzd2tm1.1(KOMP)Vlcg/Fzd2+ (more )
Structure Level Pattern Image Note
TS28: trigeminal nerve Present UC Davis_1880779

Specimen UC Davis_1880780: postnatal adult; Fzd2tm1.1(KOMP)Vlcg/Fzd2+ (more )
Structure Level Pattern Image Note
TS28: trigeminal nerve Present UC Davis_1880780

Specimen UC Davis_1880781: postnatal adult; Fzd2tm1.1(KOMP)Vlcg/Fzd2+ (more )
Structure Level Pattern Image Note
TS28: ovary Present UC Davis_1880781

Specimen UC Davis_1880782: postnatal adult; Fzd2tm1.1(KOMP)Vlcg/Fzd2+ (more )
Structure Level Pattern Image Note
TS28: ovary Present UC Davis_1880782

Specimen UC Davis_1880783: postnatal adult; Fzd2tm1.1(KOMP)Vlcg/Fzd2+ (more )
Structure Level Pattern Image Note
TS28: oviduct Present UC Davis_1880783

Specimen UC Davis_1880784: postnatal adult; Fzd2tm1.1(KOMP)Vlcg/Fzd2+ (more )
Structure Level Pattern Image Note
TS28: uterus Present UC Davis_1880784

Specimen UC Davis_1880785: postnatal adult; Fzd2tm1.1(KOMP)Vlcg/Fzd2+ (more )
Structure Level Pattern Image Note
TS28: uterus Present UC Davis_1880785

Specimen UC Davis_1880786: postnatal adult; Fzd2tm1.1(KOMP)Vlcg/Fzd2+ (more )
Structure Level Pattern Image Note
TS28: vagina Present UC Davis_1880786

Specimen UC Davis_1880787: postnatal adult; Fzd2tm1.1(KOMP)Vlcg/Fzd2+ (more )
Structure Level Pattern Image Note
TS28: vagina Present UC Davis_1880787

Specimen UC Davis_1880788: postnatal adult; Fzd2tm1.1(KOMP)Vlcg/Fzd2+ (more )
Structure Level Pattern Image Note
TS28: bladder Present UC Davis_1880788

Specimen UC Davis_1880789: postnatal adult; Fzd2tm1.1(KOMP)Vlcg/Fzd2+ (more )
Structure Level Pattern Image Note
TS28: mammary gland Present UC Davis_1880789

Specimen UC Davis_1880790: postnatal adult; Fzd2tm1.1(KOMP)Vlcg/Fzd2+ (more )
Structure Level Pattern Image Note
TS28: submandibular gland Present UC Davis_1880790

Specimen UC Davis_1880791: postnatal adult; Fzd2tm1.1(KOMP)Vlcg/Fzd2+ (more )
Structure Level Pattern Image Note
TS28: sublingual gland Present UC Davis_1880791

Specimen UC Davis_1880792: postnatal adult; Fzd2tm1.1(KOMP)Vlcg/Fzd2+ (more )
Structure Level Pattern Image Note
TS28: trachea Present UC Davis_1880792

Specimen UC Davis_1880793: postnatal adult; Fzd2tm1.1(KOMP)Vlcg/Fzd2+ (more )
Structure Level Pattern Image Note
TS28: trachea Present UC Davis_1880793

Specimen UC Davis_1880794: postnatal adult; Fzd2tm1.1(KOMP)Vlcg/Fzd2+ (more )
Structure Level Pattern Image Note
TS28: esophagus Present UC Davis_1880794

Specimen UC Davis_1880795: postnatal adult; Fzd2tm1.1(KOMP)Vlcg/Fzd2+ (more )
Structure Level Pattern Image Note
TS28: esophagus Present UC Davis_1880795

Specimen UC Davis_1880796: postnatal adult; Fzd2tm1.1(KOMP)Vlcg/Fzd2+ (more )
Structure Level Pattern Image Note
TS28: thyroid gland Present UC Davis_1880796

Specimen UC Davis_1880799: postnatal adult; Fzd2tm1.1(KOMP)Vlcg/Fzd2+ (more )
Structure Level Pattern Image Note
TS28: parathyroid gland Present UC Davis_1880799

Specimen UC Davis_1880800: postnatal adult; Fzd2tm1.1(KOMP)Vlcg/Fzd2+ (more )
Structure Level Pattern Image Note
TS28: aorta Present UC Davis_1880800

Specimen UC Davis_1880801: postnatal adult; Fzd2tm1.1(KOMP)Vlcg/Fzd2+ (more )
Structure Level Pattern Image Note
TS28: aorta Present UC Davis_1880801

Specimen UC Davis_1880802: postnatal adult; Fzd2tm1.1(KOMP)Vlcg/Fzd2+ (more )
Structure Level Pattern Image Note
TS28: lung Present UC Davis_1880802

Specimen UC Davis_1880803: postnatal adult; Fzd2tm1.1(KOMP)Vlcg/Fzd2+ (more )
Structure Level Pattern Image Note
TS28: lung Present UC Davis_1880803

Specimen UC Davis_1880804: postnatal adult; Fzd2tm1.1(KOMP)Vlcg/Fzd2+ (more )
Structure Level Pattern Image Note
TS28: thymus Present UC Davis_1880804

Specimen UC Davis_1880805: postnatal adult; Fzd2tm1.1(KOMP)Vlcg/Fzd2+ (more )
Structure Level Pattern Image Note
TS28: thymus Present UC Davis_1880805

Specimen UC Davis_1880809: postnatal adult; Fzd2tm1.1(KOMP)Vlcg/Fzd2+ (more )
Structure Level Pattern Image Note
TS28: mesenteric lymph node Present UC Davis_1880809

Specimen UC Davis_1880810: postnatal adult; Fzd2tm1.1(KOMP)Vlcg/Fzd2+ (more )
Structure Level Pattern Image Note
TS28: stomach Present UC Davis_1880810

Specimen UC Davis_1880811: postnatal adult; Fzd2tm1.1(KOMP)Vlcg/Fzd2+ (more )
Structure Level Pattern Image Note
TS28: stomach Present UC Davis_1880811

Specimen UC Davis_1880812: postnatal adult; Fzd2tm1.1(KOMP)Vlcg/Fzd2+ (more )
Structure Level Pattern Image Note
TS28: duodenum Present UC Davis_1880812

Specimen UC Davis_1880813: postnatal adult; Fzd2tm1.1(KOMP)Vlcg/Fzd2+ (more )
Structure Level Pattern Image Note
TS28: jejunum Present UC Davis_1880813

Specimen UC Davis_1880814: postnatal adult; Fzd2tm1.1(KOMP)Vlcg/Fzd2+ (more )
Structure Level Pattern Image Note
TS28: jejunum Present UC Davis_1880814

Specimen UC Davis_1880815: postnatal adult; Fzd2tm1.1(KOMP)Vlcg/Fzd2+ (more )
Structure Level Pattern Image Note
TS28: ileum Present UC Davis_1880815

Specimen UC Davis_1880816: postnatal adult; Fzd2tm1.1(KOMP)Vlcg/Fzd2+ (more )
Structure Level Pattern Image Note
TS28: colon Present UC Davis_1880816

Specimen UC Davis_1880817: postnatal adult; Fzd2tm1.1(KOMP)Vlcg/Fzd2+ (more )
Structure Level Pattern Image Note
TS28: colon Present UC Davis_1880817

Specimen UC Davis_1880818: postnatal adult; Fzd2tm1.1(KOMP)Vlcg/Fzd2+ (more )
Structure Level Pattern Image Note
TS28: cecum Present UC Davis_1880818

Specimen UC Davis_1880819: postnatal adult; Fzd2tm1.1(KOMP)Vlcg/Fzd2+ (more )
Structure Level Pattern Image Note
TS28: spleen Present UC Davis_1880819

Specimen UC Davis_1880820: postnatal adult; Fzd2tm1.1(KOMP)Vlcg/Fzd2+ (more )
Structure Level Pattern Image Note
TS28: spleen Present UC Davis_1880820

Specimen UC Davis_1880821: postnatal adult; Fzd2tm1.1(KOMP)Vlcg/Fzd2+ (more )
Structure Level Pattern Image Note
TS28: pancreas Present UC Davis_1880821

Specimen UC Davis_1880822: postnatal adult; Fzd2tm1.1(KOMP)Vlcg/Fzd2+ (more )
Structure Level Pattern Image Note
TS28: metanephros Present UC Davis_1880822 kidney

Specimen UC Davis_1880823: postnatal adult; Fzd2tm1.1(KOMP)Vlcg/Fzd2+ (more )
Structure Level Pattern Image Note
TS28: metanephros Present UC Davis_1880823 kidney

Specimen UC Davis_1880824: postnatal adult; Fzd2tm1.1(KOMP)Vlcg/Fzd2+ (more )
Structure Level Pattern Image Note
TS28: metanephros Present UC Davis_1880824 kidney

Specimen UC Davis_1880825: postnatal adult; Fzd2tm1.1(KOMP)Vlcg/Fzd2+ (more )
Structure Level Pattern Image Note
TS28: metanephros Present UC Davis_1880825 kidney

Specimen UC Davis_1880826: postnatal adult; Fzd2tm1.1(KOMP)Vlcg/Fzd2+ (more )
Structure Level Pattern Image Note
TS28: quadriceps femoris muscle Present UC Davis_1880826

Specimen UC Davis_1880827: postnatal adult; Fzd2tm1.1(KOMP)Vlcg/Fzd2+ (more )
Structure Level Pattern Image Note
TS28: quadriceps femoris muscle Present UC Davis_1880827

Specimen UC Davis_1880828: postnatal adult; Fzd2tm1.1(KOMP)Vlcg/Fzd2+ (more )
Structure Level Pattern Image Note
TS28: tongue Present UC Davis_1880828

Specimen UC Davis_1880829: postnatal adult; Fzd2tm1.1(KOMP)Vlcg/Fzd2+ (more )
Structure Level Pattern Image Note
TS28: tongue Present UC Davis_1880829

Specimen UC Davis_1880830: postnatal adult; Fzd2tm1.1(KOMP)Vlcg/Fzd2+ (more )
Structure Level Pattern Image Note
TS28: tongue Present UC Davis_1880830

Specimen UC Davis_1880831: postnatal adult; Fzd2tm1.1(KOMP)Vlcg/Fzd2+ (more )
Structure Level Pattern Image Note
TS28: diaphragm Present UC Davis_1880831

Specimen UC Davis_1880832: postnatal adult; Fzd2tm1.1(KOMP)Vlcg/Fzd2+ (more )
Structure Level Pattern Image Note
TS28: diaphragm Present UC Davis_1880832

Specimen UC Davis_1880833: postnatal adult; Fzd2tm1.1(KOMP)Vlcg/Fzd2+ (more )
Structure Level Pattern Image Note
TS28: adrenal gland Present UC Davis_1880833

Specimen UC Davis_1880834: postnatal adult; Fzd2tm1.1(KOMP)Vlcg/Fzd2+ (more )
Structure Level Pattern Image Note
TS28: adrenal gland Present UC Davis_1880834

Specimen UC Davis_1880835: postnatal adult; Fzd2tm1.1(KOMP)Vlcg/Fzd2+ (more )
Structure Level Pattern Image Note
TS28: pituitary gland Present UC Davis_1880835

Specimen UC Davis_1880836: postnatal adult; Fzd2tm1.1(KOMP)Vlcg/Fzd2+ (more )
Structure Level Pattern Image Note
TS28: spinal cord Present UC Davis_1880836

Specimen UC Davis_1880837: postnatal adult; Fzd2tm1.1(KOMP)Vlcg/Fzd2+ (more )
Structure Level Pattern Image Note
TS28: spinal cord Present UC Davis_1880837

Specimen UC Davis_1880839: postnatal adult; Fzd2tm1.1(KOMP)Vlcg/Fzd2+ (more )
Structure Level Pattern Image Note
TS28: Harderian gland Present UC Davis_1880839

Specimen UC Davis_1880840: postnatal adult; Fzd2tm1.1(KOMP)Vlcg/Fzd2+ (more )
Structure Level Pattern Image Note
TS28: gonadal fat pad Present UC Davis_1880840

Specimen UC Davis_1880841: postnatal adult; Fzd2tm1.1(KOMP)Vlcg/Fzd2+ (more )
Structure Level Pattern Image Note
TS28: skin Present UC Davis_1880841

Specimen UC Davis_1880842: postnatal adult; Fzd2tm1.1(KOMP)Vlcg/Fzd2+ (more )
Structure Level Pattern Image Note
TS28: skin Present UC Davis_1880842

Specimen UC Davis_1880843: postnatal adult; Fzd2tm1.1(KOMP)Vlcg/Fzd2+ (more )
Structure Level Pattern Image Note
TS28: skin Present UC Davis_1880843

Specimen UC Davis_1880844: postnatal adult; Fzd2tm1.1(KOMP)Vlcg/Fzd2+ (more )
Structure Level Pattern Image Note
TS28: brown fat Present UC Davis_1880844

Specimen UC Davis_1880845: postnatal adult; Fzd2tm1.1(KOMP)Vlcg/Fzd2+ (more )
Structure Level Pattern Image Note
TS28: brown fat Present UC Davis_1880845

Specimen UC Davis_1880846: postnatal adult; Fzd2tm1.1(KOMP)Vlcg/Fzd2+ (more )
Structure Level Pattern Image Note
TS28: olfactory lobe Present UC Davis_1880846

Specimen UC Davis_1880848: postnatal adult; Fzd2tm1.1(KOMP)Vlcg/Fzd2+ (more )
Structure Level Pattern Image Note
TS28: midbrain Present UC Davis_1880848

Specimen UC Davis_1880850: postnatal adult; Fzd2tm1.1(KOMP)Vlcg/Fzd2+ (more )
Structure Level Pattern Image Note
TS28: cerebellum Present UC Davis_1880850

Specimen UC Davis_1880851: postnatal adult; Fzd2tm1.1(KOMP)Vlcg/Fzd2+ (more )
Structure Level Pattern Image Note
TS28: trigeminal nerve Present UC Davis_1880851

Specimen UC Davis_1880852: postnatal adult; Fzd2tm1.1(KOMP)Vlcg/Fzd2+ (more )
Structure Level Pattern Image Note
TS28: testis Present UC Davis_1880852

Specimen UC Davis_1880853: postnatal adult; Fzd2tm1.1(KOMP)Vlcg/Fzd2+ (more )
Structure Level Pattern Image Note
TS28: testis Present UC Davis_1880853

Specimen UC Davis_1880854: postnatal adult; Fzd2tm1.1(KOMP)Vlcg/Fzd2+ (more )
Structure Level Pattern Image Note
TS28: epididymis Present UC Davis_1880854

Specimen UC Davis_1880855: postnatal adult; Fzd2tm1.1(KOMP)Vlcg/Fzd2+ (more )
Structure Level Pattern Image Note
TS28: epididymis Present UC Davis_1880855

Specimen UC Davis_1880856: postnatal adult; Fzd2tm1.1(KOMP)Vlcg/Fzd2+ (more )
Structure Level Pattern Image Note
TS28: epididymis Present UC Davis_1880856

Specimen UC Davis_1880857: postnatal adult; Fzd2tm1.1(KOMP)Vlcg/Fzd2+ (more )
Structure Level Pattern Image Note
TS28: epididymis Present UC Davis_1880857

Specimen UC Davis_1880858: postnatal adult; Fzd2tm1.1(KOMP)Vlcg/Fzd2+ (more )
Structure Level Pattern Image Note
TS28: prostate gland Present UC Davis_1880858

Specimen UC Davis_1880859: postnatal adult; Fzd2tm1.1(KOMP)Vlcg/Fzd2+ (more )
Structure Level Pattern Image Note
TS28: prostate gland Present UC Davis_1880859

Specimen UC Davis_1880860: postnatal adult; Fzd2tm1.1(KOMP)Vlcg/Fzd2+ (more )
Structure Level Pattern Image Note
TS28: prostate gland Present UC Davis_1880860

Specimen UC Davis_1880861: postnatal adult; Fzd2tm1.1(KOMP)Vlcg/Fzd2+ (more )
Structure Level Pattern Image Note
TS28: prostate gland Present UC Davis_1880861

Specimen UC Davis_1880862: postnatal adult; Fzd2tm1.1(KOMP)Vlcg/Fzd2+ (more )
Structure Level Pattern Image Note
TS28: penis Present UC Davis_1880862

Specimen UC Davis_1880863: postnatal adult; Fzd2tm1.1(KOMP)Vlcg/Fzd2+ (more )
Structure Level Pattern Image Note
TS28: penis Present UC Davis_1880863

Specimen UC Davis_1880864: postnatal adult; Fzd2tm1.1(KOMP)Vlcg/Fzd2+ (more )
Structure Level Pattern Image Note
TS28: penis Present UC Davis_1880864

Specimen UC Davis_1880865: postnatal adult; Fzd2tm1.1(KOMP)Vlcg/Fzd2+ (more )
Structure Level Pattern Image Note
TS28: ductus deferens Present UC Davis_1880865 vas deferens

Specimen UC Davis_1880866: postnatal adult; Fzd2tm1.1(KOMP)Vlcg/Fzd2+ (more )
Structure Level Pattern Image Note
TS28: ductus deferens Present UC Davis_1880866 vas deferens

Specimen UC Davis_1880868: postnatal adult; Fzd2tm1.1(KOMP)Vlcg/Fzd2+ (more )
Structure Level Pattern Image Note
TS28: seminal vesicle Present UC Davis_1880868 vesicular gland

Specimen UC Davis_1880869: postnatal adult; Fzd2tm1.1(KOMP)Vlcg/Fzd2+ (more )
Structure Level Pattern Image Note
TS28: seminal vesicle Present UC Davis_1880869 vesicular gland


Contributing Projects:
Mouse Genome Database (MGD), Gene Expression Database (GXD), Mouse Models of Human Cancer database (MMHCdb) (formerly Mouse Tumor Biology (MTB)), Gene Ontology (GO)
Citing These Resources
Funding Information
Warranty Disclaimer, Privacy Notice, Licensing, & Copyright
Send questions and comments to User Support.
last database update
12/30/2025
MGI 6.24
The Jackson Laboratory