About   Help   FAQ
Gene Expression Data
Assay Details
Assay
Reference: J:228563 Koscielny G, et al., The International Mouse Phenotyping Consortium Web Portal, a unified point of access for knockout mice and related phenotyping data. Nucleic Acids Res. 2014 Jan;42(Database issue):D802-9
Assay type: In situ reporter (knock in)
MGI Accession ID: MGI:6691588
Gene symbol: Aldh1a3
Gene name: aldehyde dehydrogenase family 1, subfamily A3
Reporter: lacZ
Direct Detection
Results
Specimen JAX_1263519: embryonic day 12.5; Aldh1a3tm1b(KOMP)Wtsi/Aldh1a3+ (more )
Structure Level Pattern Image Note
TS20: embryo Present JAX_1263519

Specimen JAX_1263521: embryonic day 12.5; Aldh1a3tm1b(KOMP)Wtsi/Aldh1a3+ (more )
Structure Level Pattern Image Note
TS20: embryo Present JAX_1263521

Specimen JAX_1263523: embryonic day 12.5; Aldh1a3tm1b(KOMP)Wtsi/Aldh1a3+ (more )
Structure Level Pattern Image Note
TS20: embryo Present JAX_1263523

Specimen JAX_1263525: embryonic day 12.5; Aldh1a3tm1b(KOMP)Wtsi/Aldh1a3+ (more )
Structure Level Pattern Image Note
TS20: embryo Present JAX_1263525

Specimen JAX_1263527: embryonic day 12.5; Aldh1a3tm1b(KOMP)Wtsi/Aldh1a3+ (more )
Structure Level Pattern Image Note
TS20: embryo Present JAX_1263527

Specimen JAX_1263529: embryonic day 12.5; Aldh1a3tm1b(KOMP)Wtsi/Aldh1a3+ (more )
Structure Level Pattern Image Note
TS20: embryo Present JAX_1263529

Specimen JAX_1263531: embryonic day 12.5; Aldh1a3tm1b(KOMP)Wtsi/Aldh1a3+ (more )
Structure Level Pattern Image Note
TS20: embryo Present JAX_1263531

Specimen JAX_1263533: embryonic day 12.5; Aldh1a3tm1b(KOMP)Wtsi/Aldh1a3+ (more )
Structure Level Pattern Image Note
TS20: embryo Present JAX_1263533

Specimen JAX_1372888: postnatal adult; Aldh1a3tm1b(KOMP)Wtsi/Aldh1a3+ (more )
Structure Level Pattern Image Note
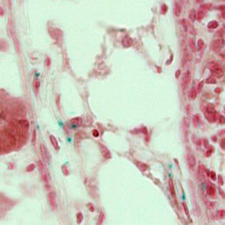
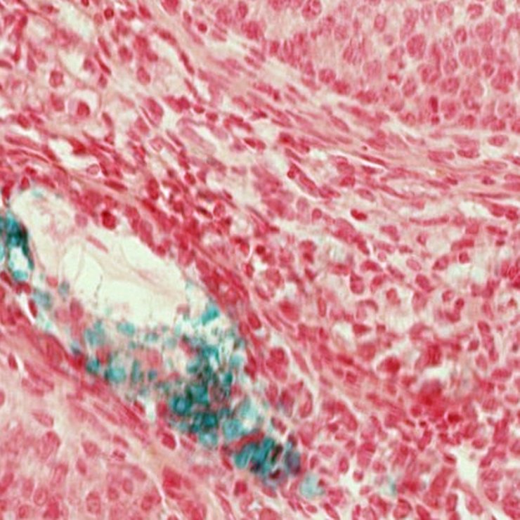
TS28: peripheral nervous system Present JAX_1372888

Specimen JAX_1372889: postnatal adult; Aldh1a3tm1b(KOMP)Wtsi/Aldh1a3+ (more )
Structure Level Pattern Image Note
TS28: white fat Present JAX_1372889

Specimen JAX_1372891: postnatal adult; Aldh1a3tm1b(KOMP)Wtsi/Aldh1a3+ (more )
Structure Level Pattern Image Note
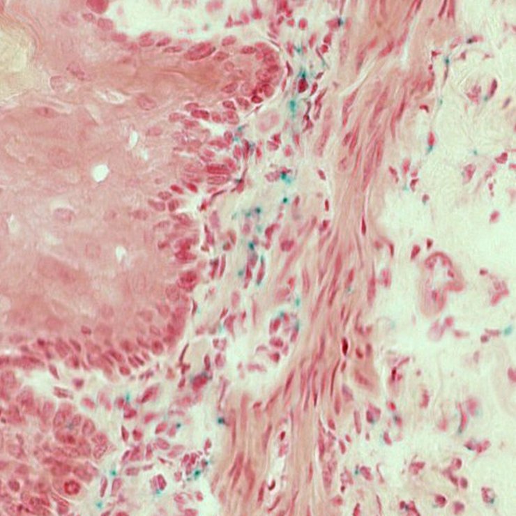
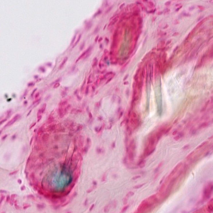
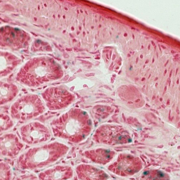
TS28: skin Present JAX_1372891

Specimen JAX_1372892: postnatal adult; Aldh1a3tm1b(KOMP)Wtsi/Aldh1a3+ (more )
Structure Level Pattern Image Note
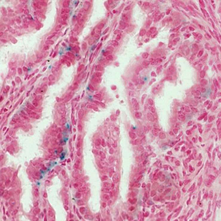
TS28: oviduct Present JAX_1372892

Specimen JAX_1372893: postnatal adult; Aldh1a3tm1b(KOMP)Wtsi/Aldh1a3+ (more )
Structure Level Pattern Image Note
TS28: ovary Present JAX_1372893

Specimen JAX_1372894: postnatal adult; Aldh1a3tm1b(KOMP)Wtsi/Aldh1a3+ (more )
Structure Level Pattern Image Note
TS28: mammary gland Present JAX_1372894

Specimen JAX_1372895: postnatal adult; Aldh1a3tm1b(KOMP)Wtsi/Aldh1a3+ (more )
Structure Level Pattern Image Note
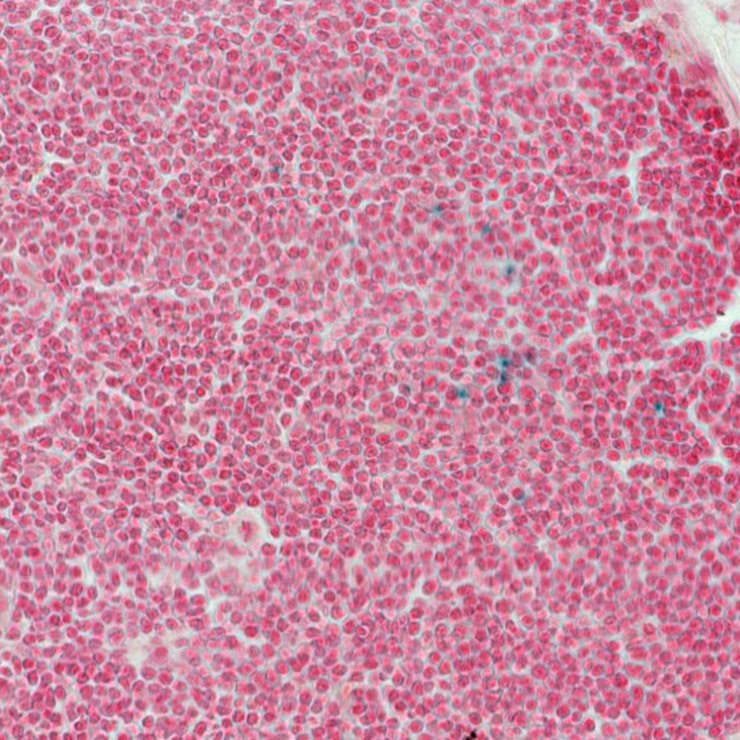
TS28: lymph node Present JAX_1372895

Specimen JAX_1372896: postnatal adult; Aldh1a3tm1b(KOMP)Wtsi/Aldh1a3+ (more )
Structure Level Pattern Image Note
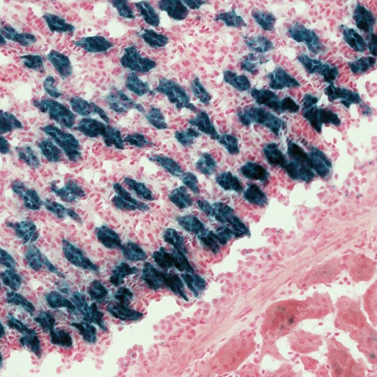
TS28: metanephros Present JAX_1372896 kidney

Specimen JAX_1372898: postnatal adult; Aldh1a3tm1b(KOMP)Wtsi/Aldh1a3+ (more )
Structure Level Pattern Image Note
TS28: submandibular gland Present JAX_1372898

Specimen JAX_1372899: postnatal adult; Aldh1a3tm1b(KOMP)Wtsi/Aldh1a3+ (more )
Structure Level Pattern Image Note
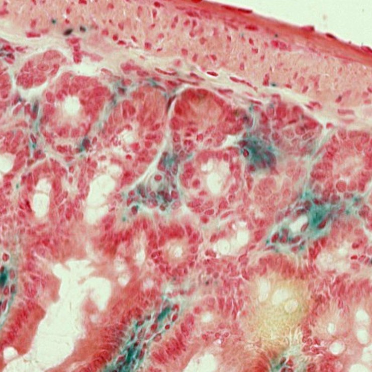
TS28: small intestine Present JAX_1372899

Specimen JAX_1372900: postnatal adult; Aldh1a3tm1b(KOMP)Wtsi/Aldh1a3+ (more )
Structure Level Pattern Image Note
TS28: large intestine Present JAX_1372900

Specimen JAX_1372901: postnatal adult; Aldh1a3tm1b(KOMP)Wtsi/Aldh1a3+ (more )
Structure Level Pattern Image Note
TS28: testis Present JAX_1372901

Specimen JAX_1372902: postnatal adult; Aldh1a3tm1b(KOMP)Wtsi/Aldh1a3+ (more )
Structure Level Pattern Image Note
TS28: stomach Present JAX_1372902

Specimen JAX_1372903: postnatal adult; Aldh1a3tm1b(KOMP)Wtsi/Aldh1a3+ (more )
Structure Level Pattern Image Note
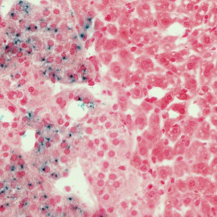
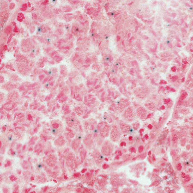
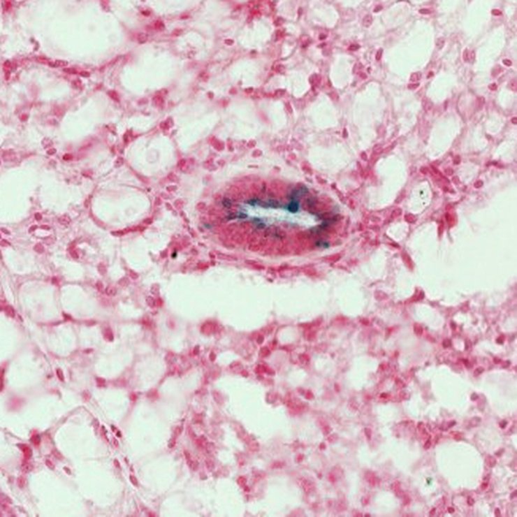
TS28: adrenal gland Present JAX_1372903


Contributing Projects:
Mouse Genome Database (MGD), Gene Expression Database (GXD), Mouse Models of Human Cancer database (MMHCdb) (formerly Mouse Tumor Biology (MTB)), Gene Ontology (GO)
Citing These Resources
Funding Information
Warranty Disclaimer, Privacy Notice, Licensing, & Copyright
Send questions and comments to User Support.
last database update
12/30/2025
MGI 6.24
The Jackson Laboratory