About   Help   FAQ
Gene Expression Data
Assay Details
Assay
Reference: J:228563 Koscielny G, et al., The International Mouse Phenotyping Consortium Web Portal, a unified point of access for knockout mice and related phenotyping data. Nucleic Acids Res. 2014 Jan;42(Database issue):D802-9
Assay type: In situ reporter (knock in)
MGI Accession ID: MGI:6691586
Gene symbol: Nme6
Gene name: NME/NM23 nucleoside diphosphate kinase 6
Reporter: lacZ
Direct Detection
Results
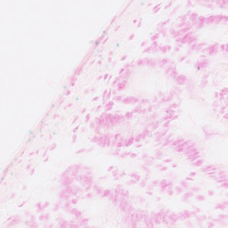
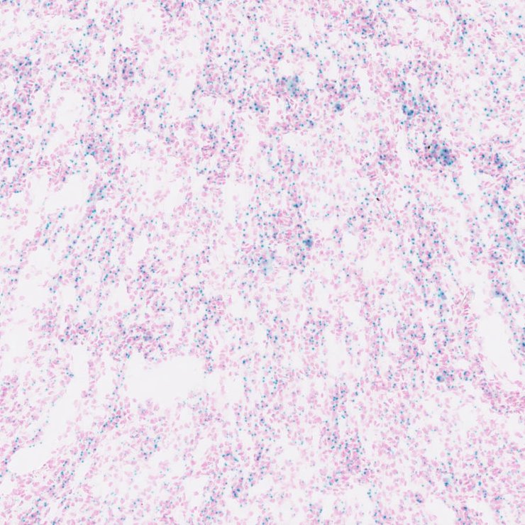
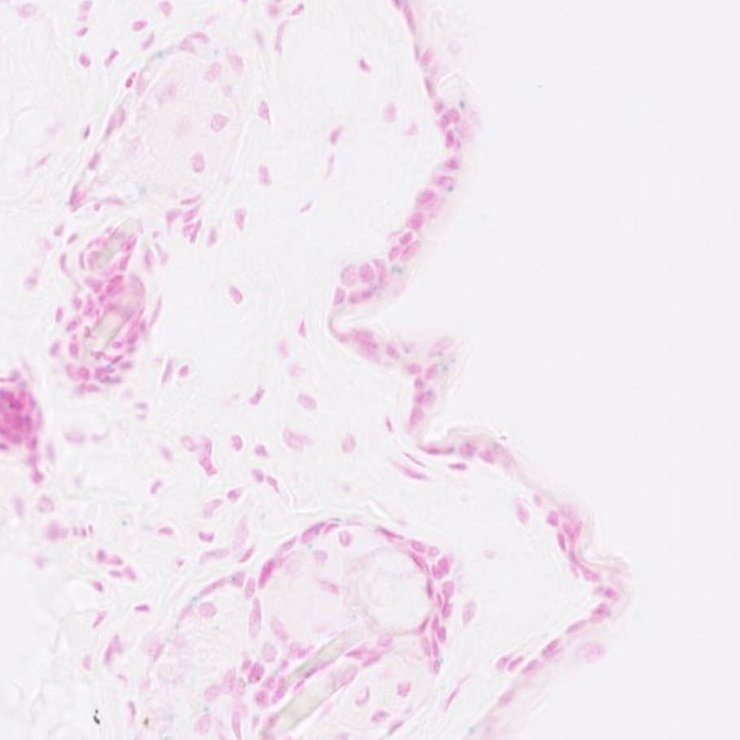
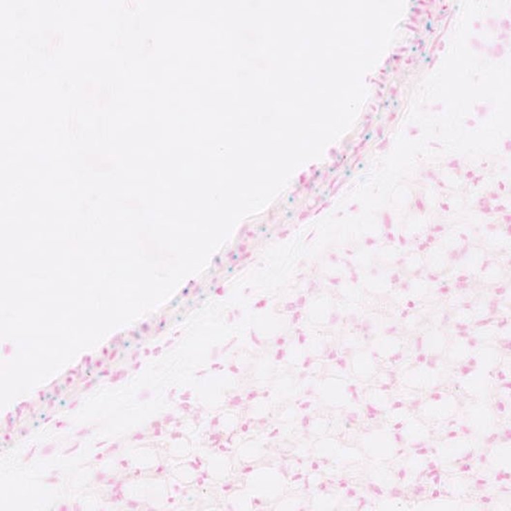
Specimen JAX_1123385: embryonic day 12.5; Nme6tm1.1(KOMP)Vlcg/Nme6+ (more )
Structure Level Pattern Image Note
TS20: embryo Present JAX_1123385

Specimen JAX_1123387: embryonic day 12.5; Nme6tm1.1(KOMP)Vlcg/Nme6+ (more )
Structure Level Pattern Image Note
TS20: embryo Present JAX_1123387

Specimen JAX_1123389: embryonic day 12.5; Nme6tm1.1(KOMP)Vlcg/Nme6+ (more )
Structure Level Pattern Image Note
TS20: embryo Present JAX_1123389

Specimen JAX_1123391: embryonic day 12.5; Nme6tm1.1(KOMP)Vlcg/Nme6+ (more )
Structure Level Pattern Image Note
TS20: embryo Present JAX_1123391

Specimen JAX_1123393: embryonic day 12.5; Nme6tm1.1(KOMP)Vlcg/Nme6+ (more )
Structure Level Pattern Image Note
TS20: embryo Present JAX_1123393

Specimen JAX_1123395: embryonic day 12.5; Nme6tm1.1(KOMP)Vlcg/Nme6+ (more )
Structure Level Pattern Image Note
TS20: embryo Present JAX_1123395

Specimen JAX_1123397: embryonic day 12.5; Nme6tm1.1(KOMP)Vlcg/Nme6+ (more )
Structure Level Pattern Image Note
TS20: embryo Present JAX_1123397

Specimen JAX_1123399: embryonic day 12.5; Nme6tm1.1(KOMP)Vlcg/Nme6+ (more )
Structure Level Pattern Image Note
TS20: embryo Present JAX_1123399

Specimen JAX_1803092: postnatal adult; Nme6tm1.1(KOMP)Vlcg/Nme6+ (more )
Structure Level Pattern Image Note
TS28: thalamus Present JAX_1803092

Specimen JAX_1803093: postnatal adult; Nme6tm1.1(KOMP)Vlcg/Nme6+ (more )
Structure Level Pattern Image Note
TS28: submandibular gland Present JAX_1803093

Specimen JAX_1803094: postnatal adult; Nme6tm1.1(KOMP)Vlcg/Nme6+ (more )
Structure Level Pattern Image Note
TS28: cerebral cortex Present JAX_1803094

Specimen JAX_1803095: postnatal adult; Nme6tm1.1(KOMP)Vlcg/Nme6+ (more )
Structure Level Pattern Image Note
TS28: cartilage Present JAX_1803095

Specimen JAX_1803096: postnatal adult; Nme6tm1.1(KOMP)Vlcg/Nme6+ (more )
Structure Level Pattern Image Note
TS28: pancreas Present JAX_1803096

Specimen JAX_1803097: postnatal adult; Nme6tm1.1(KOMP)Vlcg/Nme6+ (more )
Structure Level Pattern Image Note
TS28: aorta Present JAX_1803097

Specimen JAX_1803098: postnatal adult; Nme6tm1.1(KOMP)Vlcg/Nme6+ (more )
Structure Level Pattern Image Note
TS28: lung Present JAX_1803098

Specimen JAX_1803099: postnatal adult; Nme6tm1.1(KOMP)Vlcg/Nme6+ (more )
Structure Level Pattern Image Note
TS28: small intestine Present JAX_1803099

Specimen JAX_1803100: postnatal adult; Nme6tm1.1(KOMP)Vlcg/Nme6+ (more )
Structure Level Pattern Image Note
TS28: skeletal muscle tissue Present JAX_1803100

Specimen JAX_1803102: postnatal adult; Nme6tm1.1(KOMP)Vlcg/Nme6+ (more )
Structure Level Pattern Image Note
TS28: spinal cord Present JAX_1803102

Specimen JAX_1803103: postnatal adult; Nme6tm1.1(KOMP)Vlcg/Nme6+ (more )
Structure Level Pattern Image Note
TS28: esophagus Present JAX_1803103

Specimen JAX_1803104: postnatal adult; Nme6tm1.1(KOMP)Vlcg/Nme6+ (more )
Structure Level Pattern Image Note
TS28: large intestine Present JAX_1803104

Specimen JAX_1803105: postnatal adult; Nme6tm1.1(KOMP)Vlcg/Nme6+ (more )
Structure Level Pattern Image Note
TS28: uterus Present JAX_1803105

Specimen JAX_1803106: postnatal adult; Nme6tm1.1(KOMP)Vlcg/Nme6+ (more )
Structure Level Pattern Image Note
TS28: thymus Present JAX_1803106

Specimen JAX_1803107: postnatal adult; Nme6tm1.1(KOMP)Vlcg/Nme6+ (more )
Structure Level Pattern Image Note
TS28: stomach Present JAX_1803107

Specimen JAX_1803108: postnatal adult; Nme6tm1.1(KOMP)Vlcg/Nme6+ (more )
Structure Level Pattern Image Note
TS28: skin Present JAX_1803108

Specimen JAX_1803109: postnatal adult; Nme6tm1.1(KOMP)Vlcg/Nme6+ (more )
Structure Level Pattern Image Note
TS28: oviduct Present JAX_1803109

Specimen JAX_1803110: postnatal adult; Nme6tm1.1(KOMP)Vlcg/Nme6+ (more )
Structure Level Pattern Image Note
TS28: ovary Present JAX_1803110

Specimen JAX_1803111: postnatal adult; Nme6tm1.1(KOMP)Vlcg/Nme6+ (more )
Structure Level Pattern Image Note
TS28: metanephros Present JAX_1803111 kidney

Specimen JAX_1803112: postnatal adult; Nme6tm1.1(KOMP)Vlcg/Nme6+ (more )
Structure Level Pattern Image Note
TS28: heart Present JAX_1803112

Specimen JAX_1803113: postnatal adult; Nme6tm1.1(KOMP)Vlcg/Nme6+ (more )
Structure Level Pattern Image Note
TS28: eye Present JAX_1803113

Specimen JAX_1803114: postnatal adult; Nme6tm1.1(KOMP)Vlcg/Nme6+ (more )
Structure Level Pattern Image Note
TS28: adrenal gland Present JAX_1803114

Specimen JAX_1803115: postnatal adult; Nme6tm1.1(KOMP)Vlcg/Nme6+ (more )
Structure Level Pattern Image Note
TS28: midbrain Present JAX_1803115

Specimen JAX_1803116: postnatal adult; Nme6tm1.1(KOMP)Vlcg/Nme6+ (more )
Structure Level Pattern Image Note
TS28: epididymis Present JAX_1803116

Specimen JAX_1803117: postnatal adult; Nme6tm1.1(KOMP)Vlcg/Nme6+ (more )
Structure Level Pattern Image Note
TS28: bladder Present JAX_1803117

Specimen JAX_1803118: postnatal adult; Nme6tm1.1(KOMP)Vlcg/Nme6+ (more )
Structure Level Pattern Image Note
TS28: corpus striatum Present JAX_1803118

Specimen JAX_1803119: postnatal adult; Nme6tm1.1(KOMP)Vlcg/Nme6+ (more )
Structure Level Pattern Image Note
TS28: olfactory lobe Present JAX_1803119

Specimen JAX_1803120: postnatal adult; Nme6tm1.1(KOMP)Vlcg/Nme6+ (more )
Structure Level Pattern Image Note
TS28: hypothalamus Present JAX_1803120

Specimen JAX_1803121: postnatal adult; Nme6tm1.1(KOMP)Vlcg/Nme6+ (more )
Structure Level Pattern Image Note
TS28: hippocampus Present JAX_1803121

Specimen JAX_1803122: postnatal adult; Nme6tm1.1(KOMP)Vlcg/Nme6+ (more )
Structure Level Pattern Image Note
TS28: cerebellum Present JAX_1803122

Specimen JAX_1803123: postnatal adult; Nme6tm1.1(KOMP)Vlcg/Nme6+ (more )
Structure Level Pattern Image Note
TS28: brainstem Present JAX_1803123

Specimen JAX_1803124: postnatal adult; Nme6tm1.1(KOMP)Vlcg/Nme6+ (more )
Structure Level Pattern Image Note
TS28: pituitary gland Present JAX_1803124

Specimen JAX_1803125: postnatal adult; Nme6tm1.1(KOMP)Vlcg/Nme6+ (more )
Structure Level Pattern Image Note
TS28: testis Present JAX_1803125

Specimen JAX_1803126: postnatal adult; Nme6tm1.1(KOMP)Vlcg/Nme6+ (more )
Structure Level Pattern Image Note
TS28: brain Present JAX_1803126


Contributing Projects:
Mouse Genome Database (MGD), Gene Expression Database (GXD), Mouse Models of Human Cancer database (MMHCdb) (formerly Mouse Tumor Biology (MTB)), Gene Ontology (GO)
Citing These Resources
Funding Information
Warranty Disclaimer, Privacy Notice, Licensing, & Copyright
Send questions and comments to User Support.
last database update
12/30/2025
MGI 6.24
The Jackson Laboratory