About   Help   FAQ
Gene Expression Data
Assay Details
Assay
Reference: J:228563 Koscielny G, et al., The International Mouse Phenotyping Consortium Web Portal, a unified point of access for knockout mice and related phenotyping data. Nucleic Acids Res. 2014 Jan;42(Database issue):D802-9
Assay type: In situ reporter (knock in)
MGI Accession ID: MGI:6691575
Gene symbol: Snx3
Gene name: sorting nexin 3
Reporter: lacZ
Direct Detection
Results
Specimen JAX_1004707: embryonic day 12.5; Snx3tm1.1(KOMP)Vlcg/Snx3+ (more )
Structure Level Pattern Image Note
TS20: embryo Present JAX_1004707

Specimen JAX_1004709: embryonic day 12.5; Snx3tm1.1(KOMP)Vlcg/Snx3+ (more )
Structure Level Pattern Image Note
TS20: embryo Present JAX_1004709

Specimen JAX_1004711: embryonic day 12.5; Snx3tm1.1(KOMP)Vlcg/Snx3+ (more )
Structure Level Pattern Image Note
TS20: embryo Present JAX_1004711

Specimen JAX_1004713: embryonic day 12.5; Snx3tm1.1(KOMP)Vlcg/Snx3+ (more )
Structure Level Pattern Image Note
TS20: embryo Present JAX_1004713

Specimen JAX_1004715: embryonic day 12.5; Snx3tm1.1(KOMP)Vlcg/Snx3+ (more )
Structure Level Pattern Image Note
TS20: embryo Present JAX_1004715

Specimen JAX_1004717: embryonic day 12.5; Snx3tm1.1(KOMP)Vlcg/Snx3+ (more )
Structure Level Pattern Image Note
TS20: embryo Present JAX_1004717

Specimen JAX_1004719: embryonic day 12.5; Snx3tm1.1(KOMP)Vlcg/Snx3+ (more )
Structure Level Pattern Image Note
TS20: embryo Present JAX_1004719

Specimen JAX_1004721: embryonic day 12.5; Snx3tm1.1(KOMP)Vlcg/Snx3+ (more )
Structure Level Pattern Image Note
TS20: embryo Present JAX_1004721

Specimen JAX_1125665: postnatal adult; Snx3tm1.1(KOMP)Vlcg/Snx3+ (more )
Structure Level Pattern Image Note
TS28: thalamus Present JAX_1125665

Specimen JAX_1125667: postnatal adult; Snx3tm1.1(KOMP)Vlcg/Snx3+ (more )
Structure Level Pattern Image Note
TS28: midbrain Present JAX_1125667

Specimen JAX_1125669: postnatal adult; Snx3tm1.1(KOMP)Vlcg/Snx3+ (more )
Structure Level Pattern Image Note
TS28: vascular system Present JAX_1125669

Specimen JAX_1125671: postnatal adult; Snx3tm1.1(KOMP)Vlcg/Snx3+ (more )
Structure Level Pattern Image Note
TS28: corpus striatum Present JAX_1125671

Specimen JAX_1125673: postnatal adult; Snx3tm1.1(KOMP)Vlcg/Snx3+ (more )
Structure Level Pattern Image Note
TS28: olfactory lobe Present JAX_1125673

Specimen JAX_1125675: postnatal adult; Snx3tm1.1(KOMP)Vlcg/Snx3+ (more )
Structure Level Pattern Image Note
TS28: hypothalamus Present JAX_1125675

Specimen JAX_1125677: postnatal adult; Snx3tm1.1(KOMP)Vlcg/Snx3+ (more )
Structure Level Pattern Image Note
TS28: hippocampus Present JAX_1125677

Specimen JAX_1125679: postnatal adult; Snx3tm1.1(KOMP)Vlcg/Snx3+ (more )
Structure Level Pattern Image Note
TS28: cerebellum Present JAX_1125679

Specimen JAX_1125681: postnatal adult; Snx3tm1.1(KOMP)Vlcg/Snx3+ (more )
Structure Level Pattern Image Note
TS28: cerebral cortex Present JAX_1125681

Specimen JAX_1125683: postnatal adult; Snx3tm1.1(KOMP)Vlcg/Snx3+ (more )
Structure Level Pattern Image Note
TS28: brainstem Present JAX_1125683

Specimen JAX_1125685: postnatal adult; Snx3tm1.1(KOMP)Vlcg/Snx3+ (more )
Structure Level Pattern Image Note
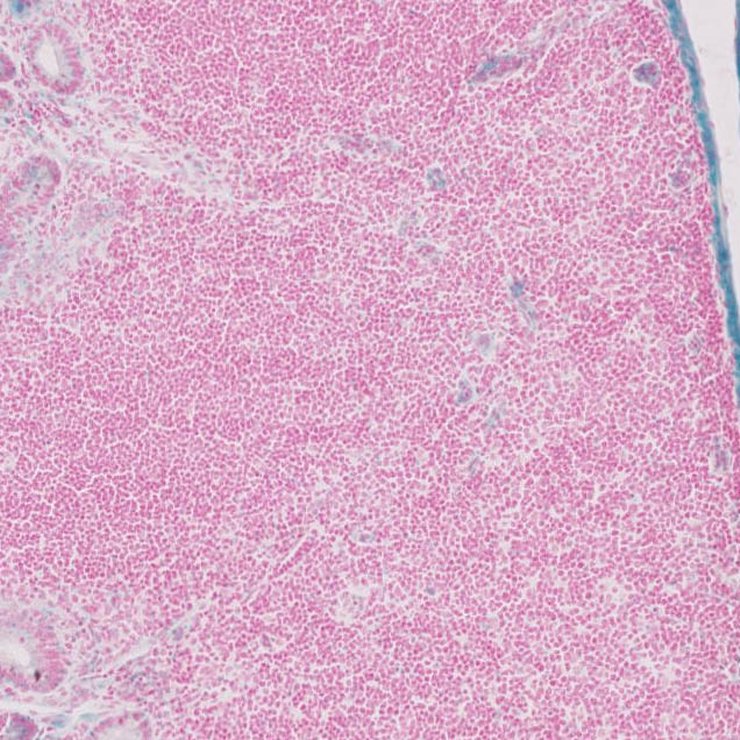
TS28: spleen Present JAX_1125685

Specimen JAX_1125687: postnatal adult; Snx3tm1.1(KOMP)Vlcg/Snx3+ (more )
Structure Level Pattern Image Note
TS28: pancreas Present JAX_1125687

Specimen JAX_1125689: postnatal adult; Snx3tm1.1(KOMP)Vlcg/Snx3+ (more )
Structure Level Pattern Image Note
TS28: lung Present JAX_1125689

Specimen JAX_1125691: postnatal adult; Snx3tm1.1(KOMP)Vlcg/Snx3+ (more )
Structure Level Pattern Image Note
TS28: white fat Present JAX_1125691

Specimen JAX_1125693: postnatal adult; Snx3tm1.1(KOMP)Vlcg/Snx3+ (more )
Structure Level Pattern Image Note
TS28: skeletal muscle tissue Present JAX_1125693

Specimen JAX_1125695: postnatal adult; Snx3tm1.1(KOMP)Vlcg/Snx3+ (more )
Structure Level Pattern Image Note
TS28: pituitary gland Present JAX_1125695

Specimen JAX_1125697: postnatal adult; Snx3tm1.1(KOMP)Vlcg/Snx3+ (more )
Structure Level Pattern Image Note
TS28: thyroid gland Present JAX_1125697

Specimen JAX_1125699: postnatal adult; Snx3tm1.1(KOMP)Vlcg/Snx3+ (more )
Structure Level Pattern Image Note
TS28: esophagus Present JAX_1125699

Specimen JAX_1125701: postnatal adult; Snx3tm1.1(KOMP)Vlcg/Snx3+ (more )
Structure Level Pattern Image Note
TS28: uterus Present JAX_1125701

Specimen JAX_1125703: postnatal adult; Snx3tm1.1(KOMP)Vlcg/Snx3+ (more )
Structure Level Pattern Image Note
TS28: thymus Present JAX_1125703

Specimen JAX_1125705: postnatal adult; Snx3tm1.1(KOMP)Vlcg/Snx3+ (more )
Structure Level Pattern Image Note
TS28: skin Present JAX_1125705

Specimen JAX_1125707: postnatal adult; Snx3tm1.1(KOMP)Vlcg/Snx3+ (more )
Structure Level Pattern Image Note
TS28: oviduct Present JAX_1125707

Specimen JAX_1125709: postnatal adult; Snx3tm1.1(KOMP)Vlcg/Snx3+ (more )
Structure Level Pattern Image Note
TS28: ovary Present JAX_1125709

Specimen JAX_1125711: postnatal adult; Snx3tm1.1(KOMP)Vlcg/Snx3+ (more )
Structure Level Pattern Image Note
TS28: mammary gland Present JAX_1125711

Specimen JAX_1125713: postnatal adult; Snx3tm1.1(KOMP)Vlcg/Snx3+ (more )
Structure Level Pattern Image Note
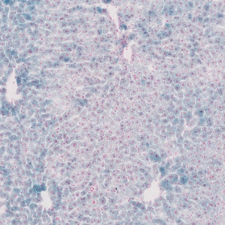
TS28: liver Present JAX_1125713

Specimen JAX_1125715: postnatal adult; Snx3tm1.1(KOMP)Vlcg/Snx3+ (more )
Structure Level Pattern Image Note
TS28: metanephros Present JAX_1125715 kidney

Specimen JAX_1125717: postnatal adult; Snx3tm1.1(KOMP)Vlcg/Snx3+ (more )
Structure Level Pattern Image Note
TS28: eye Present JAX_1125717

Specimen JAX_1125719: postnatal adult; Snx3tm1.1(KOMP)Vlcg/Snx3+ (more )
Structure Level Pattern Image Note
TS28: brain Present JAX_1125719

Specimen JAX_1125721: postnatal adult; Snx3tm1.1(KOMP)Vlcg/Snx3+ (more )
Structure Level Pattern Image Note
TS28: adrenal gland Present JAX_1125721

Specimen JAX_1125723: postnatal adult; Snx3tm1.1(KOMP)Vlcg/Snx3+ (more )
Structure Level Pattern Image Note
TS28: epididymis Present JAX_1125723

Specimen JAX_1125725: postnatal adult; Snx3tm1.1(KOMP)Vlcg/Snx3+ (more )
Structure Level Pattern Image Note
TS28: submandibular gland Present JAX_1125725

Specimen JAX_1125727: postnatal adult; Snx3tm1.1(KOMP)Vlcg/Snx3+ (more )
Structure Level Pattern Image Note
TS28: brown fat Present JAX_1125727

Specimen JAX_1125729: postnatal adult; Snx3tm1.1(KOMP)Vlcg/Snx3+ (more )
Structure Level Pattern Image Note
TS28: bone Present JAX_1125729

Specimen JAX_1125731: postnatal adult; Snx3tm1.1(KOMP)Vlcg/Snx3+ (more )
Structure Level Pattern Image Note
TS28: bladder Present JAX_1125731

Specimen JAX_1125733: postnatal adult; Snx3tm1.1(KOMP)Vlcg/Snx3+ (more )
Structure Level Pattern Image Note
TS28: Peyer's patch Present JAX_1125733

Specimen JAX_1125735: postnatal adult; Snx3tm1.1(KOMP)Vlcg/Snx3+ (more )
Structure Level Pattern Image Note
TS28: peripheral nervous system Present JAX_1125735

Specimen JAX_1125737: postnatal adult; Snx3tm1.1(KOMP)Vlcg/Snx3+ (more )
Structure Level Pattern Image Note
TS28: cartilage Present JAX_1125737

Specimen JAX_1125739: postnatal adult; Snx3tm1.1(KOMP)Vlcg/Snx3+ (more )
Structure Level Pattern Image Note
TS28: aorta Present JAX_1125739

Specimen JAX_1125741: postnatal adult; Snx3tm1.1(KOMP)Vlcg/Snx3+ (more )
Structure Level Pattern Image Note
TS28: small intestine Present JAX_1125741

Specimen JAX_1125743: postnatal adult; Snx3tm1.1(KOMP)Vlcg/Snx3+ (more )
Structure Level Pattern Image Note
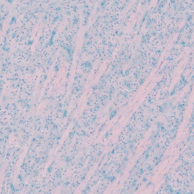
TS28: spinal cord Present JAX_1125743

Specimen JAX_1125745: postnatal adult; Snx3tm1.1(KOMP)Vlcg/Snx3+ (more )
Structure Level Pattern Image Note
TS28: large intestine Present JAX_1125745

Specimen JAX_1125747: postnatal adult; Snx3tm1.1(KOMP)Vlcg/Snx3+ (more )
Structure Level Pattern Image Note
TS28: trachea Present JAX_1125747

Specimen JAX_1125749: postnatal adult; Snx3tm1.1(KOMP)Vlcg/Snx3+ (more )
Structure Level Pattern Image Note
TS28: testis Present JAX_1125749

Specimen JAX_1125751: postnatal adult; Snx3tm1.1(KOMP)Vlcg/Snx3+ (more )
Structure Level Pattern Image Note
TS28: stomach Present JAX_1125751

Specimen JAX_1125753: postnatal adult; Snx3tm1.1(KOMP)Vlcg/Snx3+ (more )
Structure Level Pattern Image Note
TS28: lymph node Present JAX_1125753

Specimen JAX_1125755: postnatal adult; Snx3tm1.1(KOMP)Vlcg/Snx3+ (more )
Structure Level Pattern Image Note
TS28: heart Present JAX_1125755


Contributing Projects:
Mouse Genome Database (MGD), Gene Expression Database (GXD), Mouse Models of Human Cancer database (MMHCdb) (formerly Mouse Tumor Biology (MTB)), Gene Ontology (GO)
Citing These Resources
Funding Information
Warranty Disclaimer, Privacy Notice, Licensing, & Copyright
Send questions and comments to User Support.
last database update
01/20/2026
MGI 6.24
The Jackson Laboratory