About   Help   FAQ
Gene Expression Data
Assay Details
Assay
Reference: J:228563 Koscielny G, et al., The International Mouse Phenotyping Consortium Web Portal, a unified point of access for knockout mice and related phenotyping data. Nucleic Acids Res. 2014 Jan;42(Database issue):D802-9
Assay type: In situ reporter (knock in)
MGI Accession ID: MGI:6691570
Gene symbol: Panx1
Gene name: pannexin 1
Reporter: lacZ
Direct Detection
Results
Specimen UC Davis_1855846: postnatal adult; Panx1tm1b(KOMP)Wtsi/Panx1+ (more )
Structure Level Pattern Image Note
TS28: Harderian gland Present UC Davis_1855846

Specimen UC Davis_1855847: postnatal adult; Panx1tm1b(KOMP)Wtsi/Panx1+ (more )
Structure Level Pattern Image Note
TS28: Harderian gland Present UC Davis_1855847

Specimen UC Davis_1855848: postnatal adult; Panx1tm1b(KOMP)Wtsi/Panx1+ (more )
Structure Level Pattern Image Note
TS28: Harderian gland Present UC Davis_1855848

Specimen UC Davis_1855839: postnatal adult; Panx1tm1b(KOMP)Wtsi/Panx1+ (more )
Structure Level Pattern Image Note
TS28: Harderian gland Present UC Davis_1855839

Specimen UC Davis_1855840: postnatal adult; Panx1tm1b(KOMP)Wtsi/Panx1+ (more )
Structure Level Pattern Image Note
TS28: Harderian gland Present UC Davis_1855840

Specimen UC Davis_1855841: postnatal adult; Panx1tm1b(KOMP)Wtsi/Panx1+ (more )
Structure Level Pattern Image Note
TS28: testis Present UC Davis_1855841

Specimen UC Davis_1855842: postnatal adult; Panx1tm1b(KOMP)Wtsi/Panx1+ (more )
Structure Level Pattern Image Note
TS28: testis Present UC Davis_1855842

Specimen UC Davis_1855843: postnatal adult; Panx1tm1b(KOMP)Wtsi/Panx1+ (more )
Structure Level Pattern Image Note
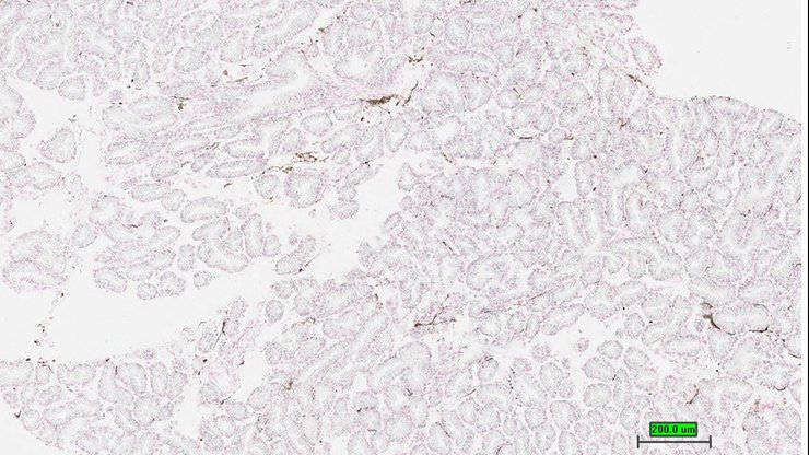
TS28: epididymis Present UC Davis_1855843

Specimen UC Davis_1855844: postnatal adult; Panx1tm1b(KOMP)Wtsi/Panx1+ (more )
Structure Level Pattern Image Note
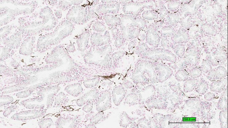
TS28: prostate gland Present UC Davis_1855844

Specimen UC Davis_1855845: postnatal adult; Panx1tm1b(KOMP)Wtsi/Panx1+ (more )
Structure Level Pattern Image Note
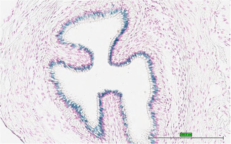
TS28: ductus deferens Present UC Davis_1855845 vas deferens

Specimen UC Davis_1855849: postnatal adult; Panx1tm1b(KOMP)Wtsi/Panx1+ (more )
Structure Level Pattern Image Note
TS28: brain Present UC Davis_1855849

Specimen UC Davis_1855850: postnatal adult; Panx1tm1b(KOMP)Wtsi/Panx1+ (more )
Structure Level Pattern Image Note
TS28: Harderian gland Present UC Davis_1855850

Specimen UC Davis_1855852: postnatal adult; Panx1tm1b(KOMP)Wtsi/Panx1+ (more )
Structure Level Pattern Image Note
TS28: testis Present UC Davis_1855852


Contributing Projects:
Mouse Genome Database (MGD), Gene Expression Database (GXD), Mouse Models of Human Cancer database (MMHCdb) (formerly Mouse Tumor Biology (MTB)), Gene Ontology (GO)
Citing These Resources
Funding Information
Warranty Disclaimer, Privacy Notice, Licensing, & Copyright
Send questions and comments to User Support.
last database update
01/06/2026
MGI 6.24
The Jackson Laboratory