About   Help   FAQ
Gene Expression Data
Assay Details
Assay
Reference: J:228563 Koscielny G, et al., The International Mouse Phenotyping Consortium Web Portal, a unified point of access for knockout mice and related phenotyping data. Nucleic Acids Res. 2014 Jan;42(Database issue):D802-9
Assay type: In situ reporter (knock in)
MGI Accession ID: MGI:6691559
Gene symbol: Spast
Gene name: spastin
Reporter: lacZ
Direct Detection
Results
Specimen UC Davis_1881082: postnatal adult; Spasttm1b(KOMP)Wtsi/Spast+ (more )
Structure Level Pattern Image Note
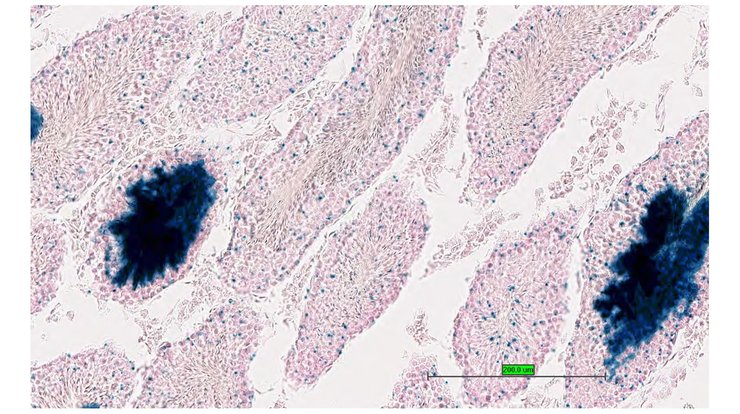
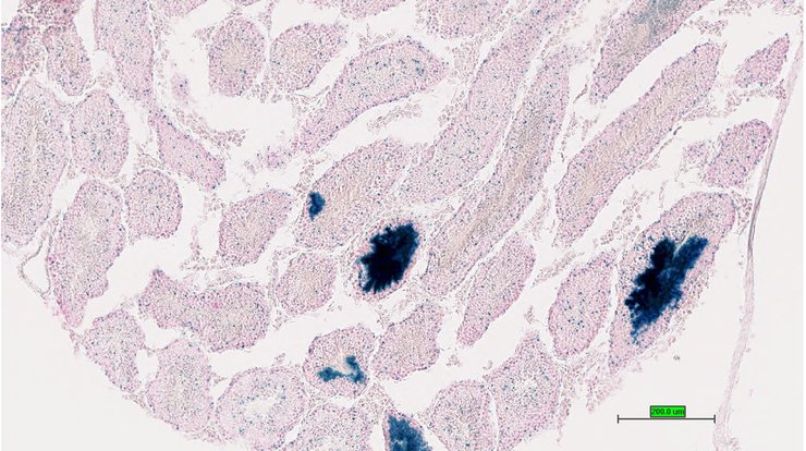
TS28: submandibular gland Present UC Davis_1881082

Specimen UC Davis_1881083: postnatal adult; Spasttm1b(KOMP)Wtsi/Spast+ (more )
Structure Level Pattern Image Note
TS28: esophagus Present UC Davis_1881083

Specimen UC Davis_1881084: postnatal adult; Spasttm1b(KOMP)Wtsi/Spast+ (more )
Structure Level Pattern Image Note
TS28: parathyroid gland Present UC Davis_1881084

Specimen UC Davis_1881085: postnatal adult; Spasttm1b(KOMP)Wtsi/Spast+ (more )
Structure Level Pattern Image Note
TS28: thymus Present UC Davis_1881085

Specimen UC Davis_1881088: postnatal adult; Spasttm1b(KOMP)Wtsi/Spast+ (more )
Structure Level Pattern Image Note
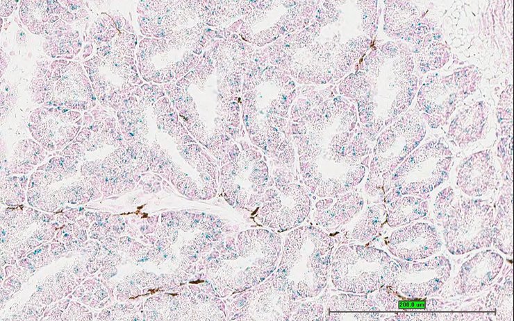
TS28: stomach Present UC Davis_1881088

Specimen UC Davis_1881089: postnatal adult; Spasttm1b(KOMP)Wtsi/Spast+ (more )
Structure Level Pattern Image Note
TS28: stomach Present UC Davis_1881089

Specimen UC Davis_1881090: postnatal adult; Spasttm1b(KOMP)Wtsi/Spast+ (more )
Structure Level Pattern Image Note
TS28: stomach Present UC Davis_1881090

Specimen UC Davis_1881091: postnatal adult; Spasttm1b(KOMP)Wtsi/Spast+ (more )
Structure Level Pattern Image Note
TS28: duodenum Present UC Davis_1881091

Specimen UC Davis_1881092: postnatal adult; Spasttm1b(KOMP)Wtsi/Spast+ (more )
Structure Level Pattern Image Note
TS28: jejunum Present UC Davis_1881092

Specimen UC Davis_1881093: postnatal adult; Spasttm1b(KOMP)Wtsi/Spast+ (more )
Structure Level Pattern Image Note
TS28: ileum Present UC Davis_1881093

Specimen UC Davis_1881094: postnatal adult; Spasttm1b(KOMP)Wtsi/Spast+ (more )
Structure Level Pattern Image Note
TS28: colon Present UC Davis_1881094

Specimen UC Davis_1881095: postnatal adult; Spasttm1b(KOMP)Wtsi/Spast+ (more )
Structure Level Pattern Image Note
TS28: pancreas Present UC Davis_1881095

Specimen UC Davis_1881096: postnatal adult; Spasttm1b(KOMP)Wtsi/Spast+ (more )
Structure Level Pattern Image Note
TS28: metanephros Present UC Davis_1881096 kidney

Specimen UC Davis_1881097: postnatal adult; Spasttm1b(KOMP)Wtsi/Spast+ (more )
Structure Level Pattern Image Note
TS28: metanephros Present UC Davis_1881097 kidney

Specimen UC Davis_1881098: postnatal adult; Spasttm1b(KOMP)Wtsi/Spast+ (more )
Structure Level Pattern Image Note
TS28: metanephros Present UC Davis_1881098 kidney

Specimen UC Davis_1881099: postnatal adult; Spasttm1b(KOMP)Wtsi/Spast+ (more )
Structure Level Pattern Image Note
TS28: tongue Present UC Davis_1881099

Specimen UC Davis_1881100: postnatal adult; Spasttm1b(KOMP)Wtsi/Spast+ (more )
Structure Level Pattern Image Note
TS28: tongue Present UC Davis_1881100

Specimen UC Davis_1881101: postnatal adult; Spasttm1b(KOMP)Wtsi/Spast+ (more )
Structure Level Pattern Image Note
TS28: spinal cord Present UC Davis_1881101

Specimen UC Davis_1881102: postnatal adult; Spasttm1b(KOMP)Wtsi/Spast+ (more )
Structure Level Pattern Image Note
TS28: spinal cord Present UC Davis_1881102

Specimen UC Davis_1881103: postnatal adult; Spasttm1b(KOMP)Wtsi/Spast+ (more )
Structure Level Pattern Image Note
TS28: eye Present UC Davis_1881103

Specimen UC Davis_1881104: postnatal adult; Spasttm1b(KOMP)Wtsi/Spast+ (more )
Structure Level Pattern Image Note
TS28: eye Present UC Davis_1881104

Specimen UC Davis_1881107: postnatal adult; Spasttm1b(KOMP)Wtsi/Spast+ (more )
Structure Level Pattern Image Note
TS28: Harderian gland Present UC Davis_1881107

Specimen UC Davis_1881108: postnatal adult; Spasttm1b(KOMP)Wtsi/Spast+ (more )
Structure Level Pattern Image Note
TS28: Harderian gland Present UC Davis_1881108

Specimen UC Davis_1881109: postnatal adult; Spasttm1b(KOMP)Wtsi/Spast+ (more )
Structure Level Pattern Image Note
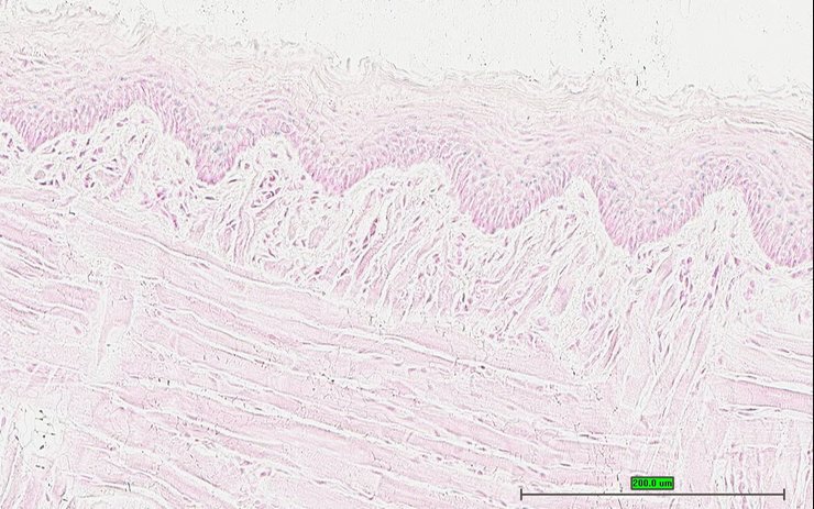
TS28: skin Present UC Davis_1881109

Specimen UC Davis_1881110: postnatal adult; Spasttm1b(KOMP)Wtsi/Spast+ (more )
Structure Level Pattern Image Note
TS28: skin Present UC Davis_1881110

Specimen UC Davis_1881113: postnatal adult; Spasttm1b(KOMP)Wtsi/Spast+ (more )
Structure Level Pattern Image Note
TS28: midbrain Present UC Davis_1881113

Specimen UC Davis_1881115: postnatal adult; Spasttm1b(KOMP)Wtsi/Spast+ (more )
Structure Level Pattern Image Note
TS28: ovary Present UC Davis_1881115

Specimen UC Davis_1881116: postnatal adult; Spasttm1b(KOMP)Wtsi/Spast+ (more )
Structure Level Pattern Image Note
TS28: oviduct Present UC Davis_1881116

Specimen UC Davis_1881117: postnatal adult; Spasttm1b(KOMP)Wtsi/Spast+ (more )
Structure Level Pattern Image Note
TS28: uterus Present UC Davis_1881117

Specimen UC Davis_1881118: postnatal adult; Spasttm1b(KOMP)Wtsi/Spast+ (more )
Structure Level Pattern Image Note
TS28: uterus Present UC Davis_1881118

Specimen UC Davis_1881119: postnatal adult; Spasttm1b(KOMP)Wtsi/Spast+ (more )
Structure Level Pattern Image Note
TS28: vagina Present UC Davis_1881119

Specimen UC Davis_1881120: postnatal adult; Spasttm1b(KOMP)Wtsi/Spast+ (more )
Structure Level Pattern Image Note
TS28: bladder Present UC Davis_1881120

Specimen UC Davis_1881121: postnatal adult; Spasttm1b(KOMP)Wtsi/Spast+ (more )
Structure Level Pattern Image Note
TS28: mammary gland Present UC Davis_1881121

Specimen UC Davis_1881047: postnatal adult; Spasttm1b(KOMP)Wtsi/Spast+ (more )
Structure Level Pattern Image Note
TS28: submandibular gland Present UC Davis_1881047

Specimen UC Davis_1881048: postnatal adult; Spasttm1b(KOMP)Wtsi/Spast+ (more )
Structure Level Pattern Image Note
TS28: submandibular gland Present UC Davis_1881048

Specimen UC Davis_1881049: postnatal adult; Spasttm1b(KOMP)Wtsi/Spast+ (more )
Structure Level Pattern Image Note
TS28: submandibular gland Present UC Davis_1881049

Specimen UC Davis_1881052: postnatal adult; Spasttm1b(KOMP)Wtsi/Spast+ (more )
Structure Level Pattern Image Note
TS28: stomach Present UC Davis_1881052

Specimen UC Davis_1881053: postnatal adult; Spasttm1b(KOMP)Wtsi/Spast+ (more )
Structure Level Pattern Image Note
TS28: stomach Present UC Davis_1881053

Specimen UC Davis_1881054: postnatal adult; Spasttm1b(KOMP)Wtsi/Spast+ (more )
Structure Level Pattern Image Note
TS28: ileum Present UC Davis_1881054

Specimen UC Davis_1881055: postnatal adult; Spasttm1b(KOMP)Wtsi/Spast+ (more )
Structure Level Pattern Image Note
TS28: colon Present UC Davis_1881055

Specimen UC Davis_1881056: postnatal adult; Spasttm1b(KOMP)Wtsi/Spast+ (more )
Structure Level Pattern Image Note
TS28: colon Present UC Davis_1881056

Specimen UC Davis_1881057: postnatal adult; Spasttm1b(KOMP)Wtsi/Spast+ (more )
Structure Level Pattern Image Note
TS28: cecum Present UC Davis_1881057

Specimen UC Davis_1881058: postnatal adult; Spasttm1b(KOMP)Wtsi/Spast+ (more )
Structure Level Pattern Image Note
TS28: metanephros Present UC Davis_1881058 kidney

Specimen UC Davis_1881059: postnatal adult; Spasttm1b(KOMP)Wtsi/Spast+ (more )
Structure Level Pattern Image Note
TS28: metanephros Present UC Davis_1881059 kidney

Specimen UC Davis_1881060: postnatal adult; Spasttm1b(KOMP)Wtsi/Spast+ (more )
Structure Level Pattern Image Note
TS28: metanephros Present UC Davis_1881060 kidney

Specimen UC Davis_1881061: postnatal adult; Spasttm1b(KOMP)Wtsi/Spast+ (more )
Structure Level Pattern Image Note
TS28: Harderian gland Present UC Davis_1881061

Specimen UC Davis_1881062: postnatal adult; Spasttm1b(KOMP)Wtsi/Spast+ (more )
Structure Level Pattern Image Note
TS28: Harderian gland Present UC Davis_1881062

Specimen UC Davis_1881063: postnatal adult; Spasttm1b(KOMP)Wtsi/Spast+ (more )
Structure Level Pattern Image Note
TS28: skin Absent UC Davis_1881063

Specimen UC Davis_1881065: postnatal adult; Spasttm1b(KOMP)Wtsi/Spast+ (more )
Structure Level Pattern Image Note
TS28: midbrain Present UC Davis_1881065

Specimen UC Davis_1881067: postnatal adult; Spasttm1b(KOMP)Wtsi/Spast+ (more )
Structure Level Pattern Image Note
TS28: bladder Present UC Davis_1881067

Specimen UC Davis_1881068: postnatal adult; Spasttm1b(KOMP)Wtsi/Spast+ (more )
Structure Level Pattern Image Note
TS28: testis Present UC Davis_1881068

Specimen UC Davis_1881069: postnatal adult; Spasttm1b(KOMP)Wtsi/Spast+ (more )
Structure Level Pattern Image Note
TS28: testis Present UC Davis_1881069

Specimen UC Davis_1881070: postnatal adult; Spasttm1b(KOMP)Wtsi/Spast+ (more )
Structure Level Pattern Image Note
TS28: testis Present UC Davis_1881070

Specimen UC Davis_1881071: postnatal adult; Spasttm1b(KOMP)Wtsi/Spast+ (more )
Structure Level Pattern Image Note
TS28: epididymis Present UC Davis_1881071

Specimen UC Davis_1881072: postnatal adult; Spasttm1b(KOMP)Wtsi/Spast+ (more )
Structure Level Pattern Image Note
TS28: epididymis Present UC Davis_1881072

Specimen UC Davis_1881073: postnatal adult; Spasttm1b(KOMP)Wtsi/Spast+ (more )
Structure Level Pattern Image Note
TS28: epididymis Present UC Davis_1881073

Specimen UC Davis_1881074: postnatal adult; Spasttm1b(KOMP)Wtsi/Spast+ (more )
Structure Level Pattern Image Note
TS28: epididymis Present UC Davis_1881074

Specimen UC Davis_1881075: postnatal adult; Spasttm1b(KOMP)Wtsi/Spast+ (more )
Structure Level Pattern Image Note
TS28: prostate gland Present UC Davis_1881075

Specimen UC Davis_1881076: postnatal adult; Spasttm1b(KOMP)Wtsi/Spast+ (more )
Structure Level Pattern Image Note
TS28: penis Present UC Davis_1881076

Specimen UC Davis_1881077: postnatal adult; Spasttm1b(KOMP)Wtsi/Spast+ (more )
Structure Level Pattern Image Note
TS28: ductus deferens Present UC Davis_1881077 vas deferens

Specimen UC Davis_1881078: postnatal adult; Spasttm1b(KOMP)Wtsi/Spast+ (more )
Structure Level Pattern Image Note
TS28: ductus deferens Present UC Davis_1881078 vas deferens

Specimen UC Davis_1881081: postnatal adult; Spasttm1b(KOMP)Wtsi/Spast+ (more )
Structure Level Pattern Image Note
TS28: seminal vesicle Present UC Davis_1881081 vesicular gland


Contributing Projects:
Mouse Genome Database (MGD), Gene Expression Database (GXD), Mouse Models of Human Cancer database (MMHCdb) (formerly Mouse Tumor Biology (MTB)), Gene Ontology (GO)
Citing These Resources
Funding Information
Warranty Disclaimer, Privacy Notice, Licensing, & Copyright
Send questions and comments to User Support.
last database update
12/30/2025
MGI 6.24
The Jackson Laboratory