About   Help   FAQ
Gene Expression Data
Assay Details
Assay
Reference: J:228563 Koscielny G, et al., The International Mouse Phenotyping Consortium Web Portal, a unified point of access for knockout mice and related phenotyping data. Nucleic Acids Res. 2014 Jan;42(Database issue):D802-9
Assay type: In situ reporter (knock in)
MGI Accession ID: MGI:6691544
Gene symbol: Vti1a
Gene name: vesicle transport through interaction with t-SNAREs 1A
Reporter: lacZ
Direct Detection
Results
Specimen UC Davis_1864205: postnatal adult; Vti1atm1.1(KOMP)Vlcg/Vti1a+ (more )
Structure Level Pattern Image Note
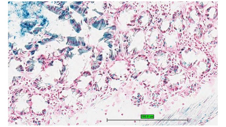
TS28: submandibular gland Present UC Davis_1864205

Specimen UC Davis_1864206: postnatal adult; Vti1atm1.1(KOMP)Vlcg/Vti1a+ (more )
Structure Level Pattern Image Note
TS28: submandibular gland Present UC Davis_1864206

Specimen UC Davis_1864207: postnatal adult; Vti1atm1.1(KOMP)Vlcg/Vti1a+ (more )
Structure Level Pattern Image Note
TS28: sublingual gland Present UC Davis_1864207

Specimen UC Davis_1864208: postnatal adult; Vti1atm1.1(KOMP)Vlcg/Vti1a+ (more )
Structure Level Pattern Image Note
TS28: sublingual gland Present UC Davis_1864208

Specimen UC Davis_1864209: postnatal adult; Vti1atm1.1(KOMP)Vlcg/Vti1a+ (more )
Structure Level Pattern Image Note
TS28: parotid gland Present UC Davis_1864209

Specimen UC Davis_1864211: postnatal adult; Vti1atm1.1(KOMP)Vlcg/Vti1a+ (more )
Structure Level Pattern Image Note
TS28: trachea Present UC Davis_1864211

Specimen UC Davis_1864212: postnatal adult; Vti1atm1.1(KOMP)Vlcg/Vti1a+ (more )
Structure Level Pattern Image Note
TS28: trachea Present UC Davis_1864212

Specimen UC Davis_1864213: postnatal adult; Vti1atm1.1(KOMP)Vlcg/Vti1a+ (more )
Structure Level Pattern Image Note
TS28: esophagus Present UC Davis_1864213

Specimen UC Davis_1864214: postnatal adult; Vti1atm1.1(KOMP)Vlcg/Vti1a+ (more )
Structure Level Pattern Image Note
TS28: thyroid gland Present UC Davis_1864214

Specimen UC Davis_1864215: postnatal adult; Vti1atm1.1(KOMP)Vlcg/Vti1a+ (more )
Structure Level Pattern Image Note
TS28: parathyroid gland Present UC Davis_1864215

Specimen UC Davis_1864216: postnatal adult; Vti1atm1.1(KOMP)Vlcg/Vti1a+ (more )
Structure Level Pattern Image Note
TS28: aorta Present UC Davis_1864216

Specimen UC Davis_1864217: postnatal adult; Vti1atm1.1(KOMP)Vlcg/Vti1a+ (more )
Structure Level Pattern Image Note
TS28: lung Present UC Davis_1864217

Specimen UC Davis_1864218: postnatal adult; Vti1atm1.1(KOMP)Vlcg/Vti1a+ (more )
Structure Level Pattern Image Note
TS28: lung Present UC Davis_1864218

Specimen UC Davis_1864219: postnatal adult; Vti1atm1.1(KOMP)Vlcg/Vti1a+ (more )
Structure Level Pattern Image Note
TS28: thymus Present UC Davis_1864219

Specimen UC Davis_1864220: postnatal adult; Vti1atm1.1(KOMP)Vlcg/Vti1a+ (more )
Structure Level Pattern Image Note
TS28: thymus Present UC Davis_1864220

Specimen UC Davis_1864223: postnatal adult; Vti1atm1.1(KOMP)Vlcg/Vti1a+ (more )
Structure Level Pattern Image Note
TS28: mesenteric lymph node Present UC Davis_1864223

Specimen UC Davis_1864224: postnatal adult; Vti1atm1.1(KOMP)Vlcg/Vti1a+ (more )
Structure Level Pattern Image Note
TS28: stomach Present UC Davis_1864224

Specimen UC Davis_1864225: postnatal adult; Vti1atm1.1(KOMP)Vlcg/Vti1a+ (more )
Structure Level Pattern Image Note
TS28: stomach Present UC Davis_1864225

Specimen UC Davis_1864226: postnatal adult; Vti1atm1.1(KOMP)Vlcg/Vti1a+ (more )
Structure Level Pattern Image Note
TS28: stomach Present UC Davis_1864226

Specimen UC Davis_1864227: postnatal adult; Vti1atm1.1(KOMP)Vlcg/Vti1a+ (more )
Structure Level Pattern Image Note
TS28: stomach Present UC Davis_1864227

Specimen UC Davis_1864228: postnatal adult; Vti1atm1.1(KOMP)Vlcg/Vti1a+ (more )
Structure Level Pattern Image Note
TS28: duodenum Present UC Davis_1864228

Specimen UC Davis_1864229: postnatal adult; Vti1atm1.1(KOMP)Vlcg/Vti1a+ (more )
Structure Level Pattern Image Note
TS28: jejunum Present UC Davis_1864229

Specimen UC Davis_1864230: postnatal adult; Vti1atm1.1(KOMP)Vlcg/Vti1a+ (more )
Structure Level Pattern Image Note
TS28: jejunum Present UC Davis_1864230

Specimen UC Davis_1864231: postnatal adult; Vti1atm1.1(KOMP)Vlcg/Vti1a+ (more )
Structure Level Pattern Image Note
TS28: ileum Present UC Davis_1864231

Specimen UC Davis_1864232: postnatal adult; Vti1atm1.1(KOMP)Vlcg/Vti1a+ (more )
Structure Level Pattern Image Note
TS28: colon Present UC Davis_1864232

Specimen UC Davis_1864233: postnatal adult; Vti1atm1.1(KOMP)Vlcg/Vti1a+ (more )
Structure Level Pattern Image Note
TS28: colon Present UC Davis_1864233

Specimen UC Davis_1864234: postnatal adult; Vti1atm1.1(KOMP)Vlcg/Vti1a+ (more )
Structure Level Pattern Image Note
TS28: cecum Present UC Davis_1864234

Specimen UC Davis_1864235: postnatal adult; Vti1atm1.1(KOMP)Vlcg/Vti1a+ (more )
Structure Level Pattern Image Note
TS28: spleen Present UC Davis_1864235

Specimen UC Davis_1864236: postnatal adult; Vti1atm1.1(KOMP)Vlcg/Vti1a+ (more )
Structure Level Pattern Image Note
TS28: pancreas Present UC Davis_1864236

Specimen UC Davis_1864237: postnatal adult; Vti1atm1.1(KOMP)Vlcg/Vti1a+ (more )
Structure Level Pattern Image Note
TS28: pancreas Present UC Davis_1864237

Specimen UC Davis_1864238: postnatal adult; Vti1atm1.1(KOMP)Vlcg/Vti1a+ (more )
Structure Level Pattern Image Note
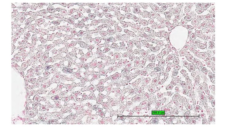
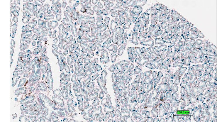
TS28: liver Present UC Davis_1864238

Specimen UC Davis_1864239: postnatal adult; Vti1atm1.1(KOMP)Vlcg/Vti1a+ (more )
Structure Level Pattern Image Note
TS28: liver Present UC Davis_1864239

Specimen UC Davis_1864240: postnatal adult; Vti1atm1.1(KOMP)Vlcg/Vti1a+ (more )
Structure Level Pattern Image Note
TS28: metanephros Present UC Davis_1864240 kidney

Specimen UC Davis_1864241: postnatal adult; Vti1atm1.1(KOMP)Vlcg/Vti1a+ (more )
Structure Level Pattern Image Note
TS28: metanephros Present UC Davis_1864241 kidney

Specimen UC Davis_1864242: postnatal adult; Vti1atm1.1(KOMP)Vlcg/Vti1a+ (more )
Structure Level Pattern Image Note
TS28: metanephros Present UC Davis_1864242 kidney

Specimen UC Davis_1864243: postnatal adult; Vti1atm1.1(KOMP)Vlcg/Vti1a+ (more )
Structure Level Pattern Image Note
TS28: quadriceps femoris muscle Present UC Davis_1864243

Specimen UC Davis_1864244: postnatal adult; Vti1atm1.1(KOMP)Vlcg/Vti1a+ (more )
Structure Level Pattern Image Note
TS28: quadriceps femoris muscle Present UC Davis_1864244

Specimen UC Davis_1864245: postnatal adult; Vti1atm1.1(KOMP)Vlcg/Vti1a+ (more )
Structure Level Pattern Image Note
TS28: sciatic nerve Present UC Davis_1864245

Specimen UC Davis_1864246: postnatal adult; Vti1atm1.1(KOMP)Vlcg/Vti1a+ (more )
Structure Level Pattern Image Note
TS28: sciatic nerve Present UC Davis_1864246

Specimen UC Davis_1864247: postnatal adult; Vti1atm1.1(KOMP)Vlcg/Vti1a+ (more )
Structure Level Pattern Image Note
TS28: tongue Present UC Davis_1864247

Specimen UC Davis_1864248: postnatal adult; Vti1atm1.1(KOMP)Vlcg/Vti1a+ (more )
Structure Level Pattern Image Note
TS28: tongue Present UC Davis_1864248

Specimen UC Davis_1864249: postnatal adult; Vti1atm1.1(KOMP)Vlcg/Vti1a+ (more )
Structure Level Pattern Image Note
TS28: tongue Present UC Davis_1864249

Specimen UC Davis_1864250: postnatal adult; Vti1atm1.1(KOMP)Vlcg/Vti1a+ (more )
Structure Level Pattern Image Note
TS28: diaphragm Present UC Davis_1864250

Specimen UC Davis_1864251: postnatal adult; Vti1atm1.1(KOMP)Vlcg/Vti1a+ (more )
Structure Level Pattern Image Note
TS28: diaphragm Present UC Davis_1864251

Specimen UC Davis_1864252: postnatal adult; Vti1atm1.1(KOMP)Vlcg/Vti1a+ (more )
Structure Level Pattern Image Note
TS28: adrenal gland Present UC Davis_1864252

Specimen UC Davis_1864253: postnatal adult; Vti1atm1.1(KOMP)Vlcg/Vti1a+ (more )
Structure Level Pattern Image Note
TS28: adrenal gland Present UC Davis_1864253

Specimen UC Davis_1864254: postnatal adult; Vti1atm1.1(KOMP)Vlcg/Vti1a+ (more )
Structure Level Pattern Image Note
TS28: pituitary gland Present UC Davis_1864254

Specimen UC Davis_1864255: postnatal adult; Vti1atm1.1(KOMP)Vlcg/Vti1a+ (more )
Structure Level Pattern Image Note
TS28: spinal cord Present UC Davis_1864255

Specimen UC Davis_1864256: postnatal adult; Vti1atm1.1(KOMP)Vlcg/Vti1a+ (more )
Structure Level Pattern Image Note
TS28: spinal cord Present UC Davis_1864256

Specimen UC Davis_1864257: postnatal adult; Vti1atm1.1(KOMP)Vlcg/Vti1a+ (more )
Structure Level Pattern Image Note
TS28: eye Present UC Davis_1864257

Specimen UC Davis_1864258: postnatal adult; Vti1atm1.1(KOMP)Vlcg/Vti1a+ (more )
Structure Level Pattern Image Note
TS28: eye Present UC Davis_1864258

Specimen UC Davis_1864260: postnatal adult; Vti1atm1.1(KOMP)Vlcg/Vti1a+ (more )
Structure Level Pattern Image Note
TS28: Harderian gland Present UC Davis_1864260

Specimen UC Davis_1864261: postnatal adult; Vti1atm1.1(KOMP)Vlcg/Vti1a+ (more )
Structure Level Pattern Image Note
TS28: Harderian gland Present UC Davis_1864261

Specimen UC Davis_1864262: postnatal adult; Vti1atm1.1(KOMP)Vlcg/Vti1a+ (more )
Structure Level Pattern Image Note
TS28: gonadal fat pad Present UC Davis_1864262

Specimen UC Davis_1864263: postnatal adult; Vti1atm1.1(KOMP)Vlcg/Vti1a+ (more )
Structure Level Pattern Image Note
TS28: gonadal fat pad Present UC Davis_1864263

Specimen UC Davis_1864264: postnatal adult; Vti1atm1.1(KOMP)Vlcg/Vti1a+ (more )
Structure Level Pattern Image Note
TS28: mesenteric adipose tissue Present UC Davis_1864264

Specimen UC Davis_1864265: postnatal adult; Vti1atm1.1(KOMP)Vlcg/Vti1a+ (more )
Structure Level Pattern Image Note
TS28: mesenteric adipose tissue Present UC Davis_1864265

Specimen UC Davis_1864266: postnatal adult; Vti1atm1.1(KOMP)Vlcg/Vti1a+ (more )
Structure Level Pattern Image Note
TS28: skin Present UC Davis_1864266

Specimen UC Davis_1864267: postnatal adult; Vti1atm1.1(KOMP)Vlcg/Vti1a+ (more )
Structure Level Pattern Image Note
TS28: skin Present UC Davis_1864267

Specimen UC Davis_1864268: postnatal adult; Vti1atm1.1(KOMP)Vlcg/Vti1a+ (more )
Structure Level Pattern Image Note
TS28: brown fat Present UC Davis_1864268

Specimen UC Davis_1864269: postnatal adult; Vti1atm1.1(KOMP)Vlcg/Vti1a+ (more )
Structure Level Pattern Image Note
TS28: olfactory lobe Present UC Davis_1864269

Specimen UC Davis_1864272: postnatal adult; Vti1atm1.1(KOMP)Vlcg/Vti1a+ (more )
Structure Level Pattern Image Note
TS28: midbrain Present UC Davis_1864272

Specimen UC Davis_1864274: postnatal adult; Vti1atm1.1(KOMP)Vlcg/Vti1a+ (more )
Structure Level Pattern Image Note
TS28: cerebellum Present UC Davis_1864274

Specimen UC Davis_1864275: postnatal adult; Vti1atm1.1(KOMP)Vlcg/Vti1a+ (more )
Structure Level Pattern Image Note
TS28: trigeminal nerve Present UC Davis_1864275

Specimen UC Davis_1864276: postnatal adult; Vti1atm1.1(KOMP)Vlcg/Vti1a+ (more )
Structure Level Pattern Image Note
TS28: trigeminal nerve Present UC Davis_1864276

Specimen UC Davis_1864277: postnatal adult; Vti1atm1.1(KOMP)Vlcg/Vti1a+ (more )
Structure Level Pattern Image Note
TS28: ovary Present UC Davis_1864277

Specimen UC Davis_1864278: postnatal adult; Vti1atm1.1(KOMP)Vlcg/Vti1a+ (more )
Structure Level Pattern Image Note
TS28: ovary Present UC Davis_1864278

Specimen UC Davis_1864279: postnatal adult; Vti1atm1.1(KOMP)Vlcg/Vti1a+ (more )
Structure Level Pattern Image Note
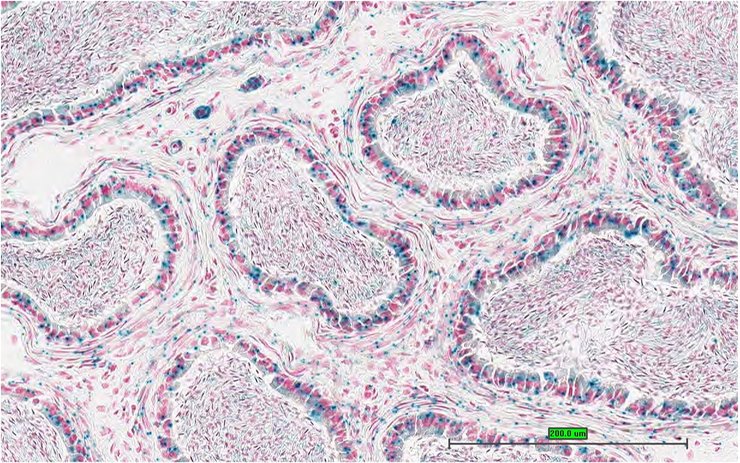
TS28: oviduct Present UC Davis_1864279

Specimen UC Davis_1864280: postnatal adult; Vti1atm1.1(KOMP)Vlcg/Vti1a+ (more )
Structure Level Pattern Image Note
TS28: oviduct Present UC Davis_1864280

Specimen UC Davis_1864281: postnatal adult; Vti1atm1.1(KOMP)Vlcg/Vti1a+ (more )
Structure Level Pattern Image Note
TS28: vagina Present UC Davis_1864281

Specimen UC Davis_1864282: postnatal adult; Vti1atm1.1(KOMP)Vlcg/Vti1a+ (more )
Structure Level Pattern Image Note
TS28: vagina Present UC Davis_1864282

Specimen UC Davis_1864283: postnatal adult; Vti1atm1.1(KOMP)Vlcg/Vti1a+ (more )
Structure Level Pattern Image Note
TS28: bladder Present UC Davis_1864283

Specimen UC Davis_1864284: postnatal adult; Vti1atm1.1(KOMP)Vlcg/Vti1a+ (more )
Structure Level Pattern Image Note
TS28: bladder Present UC Davis_1864284

Specimen UC Davis_1864287: postnatal adult; Vti1atm1.1(KOMP)Vlcg/Vti1a+ (more )
Structure Level Pattern Image Note
TS28: blood Present UC Davis_1864287

Specimen UC Davis_1864288: postnatal adult; Vti1atm1.1(KOMP)Vlcg/Vti1a+ (more )
Structure Level Pattern Image Note
TS28: bone marrow Present UC Davis_1864288

Specimen UC Davis_1864289: postnatal adult; Vti1atm1.1(KOMP)Vlcg/Vti1a+ (more )
Structure Level Pattern Image Note
TS28: mammary gland Present UC Davis_1864289

Specimen UC Davis_1864290: postnatal adult; Vti1atm1.1(KOMP)Vlcg/Vti1a+ (more )
Structure Level Pattern Image Note
TS28: mammary gland Present UC Davis_1864290

Specimen UC Davis_1864082: postnatal adult; Vti1atm1.1(KOMP)Vlcg/Vti1a+ (more )
Structure Level Pattern Image Note
TS28: submandibular gland Present UC Davis_1864082

Specimen UC Davis_1864083: postnatal adult; Vti1atm1.1(KOMP)Vlcg/Vti1a+ (more )
Structure Level Pattern Image Note
TS28: submandibular gland Present UC Davis_1864083

Specimen UC Davis_1864084: postnatal adult; Vti1atm1.1(KOMP)Vlcg/Vti1a+ (more )
Structure Level Pattern Image Note
TS28: sublingual gland Present UC Davis_1864084

Specimen UC Davis_1864085: postnatal adult; Vti1atm1.1(KOMP)Vlcg/Vti1a+ (more )
Structure Level Pattern Image Note
TS28: sublingual gland Present UC Davis_1864085

Specimen UC Davis_1864086: postnatal adult; Vti1atm1.1(KOMP)Vlcg/Vti1a+ (more )
Structure Level Pattern Image Note
TS28: parotid gland Present UC Davis_1864086

Specimen UC Davis_1864087: postnatal adult; Vti1atm1.1(KOMP)Vlcg/Vti1a+ (more )
Structure Level Pattern Image Note
TS28: parotid gland Present UC Davis_1864087

Specimen UC Davis_1864090: postnatal adult; Vti1atm1.1(KOMP)Vlcg/Vti1a+ (more )
Structure Level Pattern Image Note
TS28: trachea Present UC Davis_1864090

Specimen UC Davis_1864091: postnatal adult; Vti1atm1.1(KOMP)Vlcg/Vti1a+ (more )
Structure Level Pattern Image Note
TS28: thyroid gland Present UC Davis_1864091

Specimen UC Davis_1864093: postnatal adult; Vti1atm1.1(KOMP)Vlcg/Vti1a+ (more )
Structure Level Pattern Image Note
TS28: parathyroid gland Present UC Davis_1864093

Specimen UC Davis_1864094: postnatal adult; Vti1atm1.1(KOMP)Vlcg/Vti1a+ (more )
Structure Level Pattern Image Note
TS28: aorta Present UC Davis_1864094

Specimen UC Davis_1864095: postnatal adult; Vti1atm1.1(KOMP)Vlcg/Vti1a+ (more )
Structure Level Pattern Image Note
TS28: aorta Present UC Davis_1864095

Specimen UC Davis_1864096: postnatal adult; Vti1atm1.1(KOMP)Vlcg/Vti1a+ (more )
Structure Level Pattern Image Note
TS28: lung Present UC Davis_1864096

Specimen UC Davis_1864097: postnatal adult; Vti1atm1.1(KOMP)Vlcg/Vti1a+ (more )
Structure Level Pattern Image Note
TS28: lung Present UC Davis_1864097

Specimen UC Davis_1864098: postnatal adult; Vti1atm1.1(KOMP)Vlcg/Vti1a+ (more )
Structure Level Pattern Image Note
TS28: lung Present UC Davis_1864098

Specimen UC Davis_1864099: postnatal adult; Vti1atm1.1(KOMP)Vlcg/Vti1a+ (more )
Structure Level Pattern Image Note
TS28: thymus Present UC Davis_1864099

Specimen UC Davis_1864100: postnatal adult; Vti1atm1.1(KOMP)Vlcg/Vti1a+ (more )
Structure Level Pattern Image Note
TS28: thymus Present UC Davis_1864100

Specimen UC Davis_1864101: postnatal adult; Vti1atm1.1(KOMP)Vlcg/Vti1a+ (more )
Structure Level Pattern Image Note
TS28: thymus Present UC Davis_1864101

Specimen UC Davis_1864106: postnatal adult; Vti1atm1.1(KOMP)Vlcg/Vti1a+ (more )
Structure Level Pattern Image Note
TS28: mesenteric lymph node Present UC Davis_1864106

Specimen UC Davis_1864107: postnatal adult; Vti1atm1.1(KOMP)Vlcg/Vti1a+ (more )
Structure Level Pattern Image Note
TS28: mesenteric lymph node Present UC Davis_1864107

Specimen UC Davis_1864108: postnatal adult; Vti1atm1.1(KOMP)Vlcg/Vti1a+ (more )
Structure Level Pattern Image Note
TS28: stomach Present UC Davis_1864108

Specimen UC Davis_1864109: postnatal adult; Vti1atm1.1(KOMP)Vlcg/Vti1a+ (more )
Structure Level Pattern Image Note
TS28: stomach Present UC Davis_1864109

Specimen UC Davis_1864110: postnatal adult; Vti1atm1.1(KOMP)Vlcg/Vti1a+ (more )
Structure Level Pattern Image Note
TS28: stomach Present UC Davis_1864110

Specimen UC Davis_1864111: postnatal adult; Vti1atm1.1(KOMP)Vlcg/Vti1a+ (more )
Structure Level Pattern Image Note
TS28: stomach Present UC Davis_1864111

Specimen UC Davis_1864112: postnatal adult; Vti1atm1.1(KOMP)Vlcg/Vti1a+ (more )
Structure Level Pattern Image Note
TS28: duodenum Present UC Davis_1864112

Specimen UC Davis_1864113: postnatal adult; Vti1atm1.1(KOMP)Vlcg/Vti1a+ (more )
Structure Level Pattern Image Note
TS28: duodenum Present UC Davis_1864113

Specimen UC Davis_1864114: postnatal adult; Vti1atm1.1(KOMP)Vlcg/Vti1a+ (more )
Structure Level Pattern Image Note
TS28: jejunum Present UC Davis_1864114

Specimen UC Davis_1864115: postnatal adult; Vti1atm1.1(KOMP)Vlcg/Vti1a+ (more )
Structure Level Pattern Image Note
TS28: jejunum Present UC Davis_1864115

Specimen UC Davis_1864116: postnatal adult; Vti1atm1.1(KOMP)Vlcg/Vti1a+ (more )
Structure Level Pattern Image Note
TS28: ileum Present UC Davis_1864116

Specimen UC Davis_1864117: postnatal adult; Vti1atm1.1(KOMP)Vlcg/Vti1a+ (more )
Structure Level Pattern Image Note
TS28: colon Present UC Davis_1864117

Specimen UC Davis_1864118: postnatal adult; Vti1atm1.1(KOMP)Vlcg/Vti1a+ (more )
Structure Level Pattern Image Note
TS28: colon Present UC Davis_1864118

Specimen UC Davis_1864119: postnatal adult; Vti1atm1.1(KOMP)Vlcg/Vti1a+ (more )
Structure Level Pattern Image Note
TS28: cecum Present UC Davis_1864119

Specimen UC Davis_1864120: postnatal adult; Vti1atm1.1(KOMP)Vlcg/Vti1a+ (more )
Structure Level Pattern Image Note
TS28: cecum Present UC Davis_1864120

Specimen UC Davis_1864121: postnatal adult; Vti1atm1.1(KOMP)Vlcg/Vti1a+ (more )
Structure Level Pattern Image Note
TS28: spleen Present UC Davis_1864121

Specimen UC Davis_1864122: postnatal adult; Vti1atm1.1(KOMP)Vlcg/Vti1a+ (more )
Structure Level Pattern Image Note
TS28: spleen Present UC Davis_1864122

Specimen UC Davis_1864123: postnatal adult; Vti1atm1.1(KOMP)Vlcg/Vti1a+ (more )
Structure Level Pattern Image Note
TS28: spleen Present UC Davis_1864123

Specimen UC Davis_1864124: postnatal adult; Vti1atm1.1(KOMP)Vlcg/Vti1a+ (more )
Structure Level Pattern Image Note
TS28: pancreas Present UC Davis_1864124

Specimen UC Davis_1864125: postnatal adult; Vti1atm1.1(KOMP)Vlcg/Vti1a+ (more )
Structure Level Pattern Image Note
TS28: pancreas Present UC Davis_1864125

Specimen UC Davis_1864126: postnatal adult; Vti1atm1.1(KOMP)Vlcg/Vti1a+ (more )
Structure Level Pattern Image Note
TS28: liver Present UC Davis_1864126

Specimen UC Davis_1864127: postnatal adult; Vti1atm1.1(KOMP)Vlcg/Vti1a+ (more )
Structure Level Pattern Image Note
TS28: liver Present UC Davis_1864127

Specimen UC Davis_1864128: postnatal adult; Vti1atm1.1(KOMP)Vlcg/Vti1a+ (more )
Structure Level Pattern Image Note
TS28: liver Present UC Davis_1864128

Specimen UC Davis_1864129: postnatal adult; Vti1atm1.1(KOMP)Vlcg/Vti1a+ (more )
Structure Level Pattern Image Note
TS28: liver Present UC Davis_1864129

Specimen UC Davis_1864130: postnatal adult; Vti1atm1.1(KOMP)Vlcg/Vti1a+ (more )
Structure Level Pattern Image Note
TS28: metanephros Present UC Davis_1864130 kidney

Specimen UC Davis_1864131: postnatal adult; Vti1atm1.1(KOMP)Vlcg/Vti1a+ (more )
Structure Level Pattern Image Note
TS28: metanephros Present UC Davis_1864131 kidney

Specimen UC Davis_1864132: postnatal adult; Vti1atm1.1(KOMP)Vlcg/Vti1a+ (more )
Structure Level Pattern Image Note
TS28: metanephros Present UC Davis_1864132 kidney

Specimen UC Davis_1864133: postnatal adult; Vti1atm1.1(KOMP)Vlcg/Vti1a+ (more )
Structure Level Pattern Image Note
TS28: metanephros Present UC Davis_1864133 kidney

Specimen UC Davis_1864134: postnatal adult; Vti1atm1.1(KOMP)Vlcg/Vti1a+ (more )
Structure Level Pattern Image Note
TS28: metanephros Present UC Davis_1864134 kidney

Specimen UC Davis_1864135: postnatal adult; Vti1atm1.1(KOMP)Vlcg/Vti1a+ (more )
Structure Level Pattern Image Note
TS28: metanephros Present UC Davis_1864135 kidney

Specimen UC Davis_1864136: postnatal adult; Vti1atm1.1(KOMP)Vlcg/Vti1a+ (more )
Structure Level Pattern Image Note
TS28: quadriceps femoris muscle Present UC Davis_1864136

Specimen UC Davis_1864137: postnatal adult; Vti1atm1.1(KOMP)Vlcg/Vti1a+ (more )
Structure Level Pattern Image Note
TS28: quadriceps femoris muscle Present UC Davis_1864137

Specimen UC Davis_1864138: postnatal adult; Vti1atm1.1(KOMP)Vlcg/Vti1a+ (more )
Structure Level Pattern Image Note
TS28: tongue Present UC Davis_1864138

Specimen UC Davis_1864139: postnatal adult; Vti1atm1.1(KOMP)Vlcg/Vti1a+ (more )
Structure Level Pattern Image Note
TS28: tongue Present UC Davis_1864139

Specimen UC Davis_1864140: postnatal adult; Vti1atm1.1(KOMP)Vlcg/Vti1a+ (more )
Structure Level Pattern Image Note
TS28: tongue Present UC Davis_1864140

Specimen UC Davis_1864141: postnatal adult; Vti1atm1.1(KOMP)Vlcg/Vti1a+ (more )
Structure Level Pattern Image Note
TS28: tongue Present UC Davis_1864141

Specimen UC Davis_1864142: postnatal adult; Vti1atm1.1(KOMP)Vlcg/Vti1a+ (more )
Structure Level Pattern Image Note
TS28: tongue Present UC Davis_1864142

Specimen UC Davis_1864143: postnatal adult; Vti1atm1.1(KOMP)Vlcg/Vti1a+ (more )
Structure Level Pattern Image Note
TS28: diaphragm Present UC Davis_1864143

Specimen UC Davis_1864144: postnatal adult; Vti1atm1.1(KOMP)Vlcg/Vti1a+ (more )
Structure Level Pattern Image Note
TS28: adrenal gland Present UC Davis_1864144

Specimen UC Davis_1864145: postnatal adult; Vti1atm1.1(KOMP)Vlcg/Vti1a+ (more )
Structure Level Pattern Image Note
TS28: adrenal gland Present UC Davis_1864145

Specimen UC Davis_1864146: postnatal adult; Vti1atm1.1(KOMP)Vlcg/Vti1a+ (more )
Structure Level Pattern Image Note
TS28: pituitary gland Present UC Davis_1864146

Specimen UC Davis_1864147: postnatal adult; Vti1atm1.1(KOMP)Vlcg/Vti1a+ (more )
Structure Level Pattern Image Note
TS28: spinal cord Present UC Davis_1864147

Specimen UC Davis_1864148: postnatal adult; Vti1atm1.1(KOMP)Vlcg/Vti1a+ (more )
Structure Level Pattern Image Note
TS28: spinal cord Present UC Davis_1864148

Specimen UC Davis_1864149: postnatal adult; Vti1atm1.1(KOMP)Vlcg/Vti1a+ (more )
Structure Level Pattern Image Note
TS28: eye Present UC Davis_1864149

Specimen UC Davis_1864150: postnatal adult; Vti1atm1.1(KOMP)Vlcg/Vti1a+ (more )
Structure Level Pattern Image Note
TS28: eye Present UC Davis_1864150

Specimen UC Davis_1864151: postnatal adult; Vti1atm1.1(KOMP)Vlcg/Vti1a+ (more )
Structure Level Pattern Image Note
TS28: eye Present UC Davis_1864151

Specimen UC Davis_1864152: postnatal adult; Vti1atm1.1(KOMP)Vlcg/Vti1a+ (more )
Structure Level Pattern Image Note
TS28: eye Present UC Davis_1864152

Specimen UC Davis_1864153: postnatal adult; Vti1atm1.1(KOMP)Vlcg/Vti1a+ (more )
Structure Level Pattern Image Note
TS28: eye Present UC Davis_1864153

Specimen UC Davis_1864156: postnatal adult; Vti1atm1.1(KOMP)Vlcg/Vti1a+ (more )
Structure Level Pattern Image Note
TS28: Harderian gland Present UC Davis_1864156

Specimen UC Davis_1864157: postnatal adult; Vti1atm1.1(KOMP)Vlcg/Vti1a+ (more )
Structure Level Pattern Image Note
TS28: Harderian gland Present UC Davis_1864157

Specimen UC Davis_1864158: postnatal adult; Vti1atm1.1(KOMP)Vlcg/Vti1a+ (more )
Structure Level Pattern Image Note
TS28: Harderian gland Present UC Davis_1864158

Specimen UC Davis_1864159: postnatal adult; Vti1atm1.1(KOMP)Vlcg/Vti1a+ (more )
Structure Level Pattern Image Note
TS28: gonadal fat pad Present UC Davis_1864159

Specimen UC Davis_1864160: postnatal adult; Vti1atm1.1(KOMP)Vlcg/Vti1a+ (more )
Structure Level Pattern Image Note
TS28: gonadal fat pad Present UC Davis_1864160

Specimen UC Davis_1864161: postnatal adult; Vti1atm1.1(KOMP)Vlcg/Vti1a+ (more )
Structure Level Pattern Image Note
TS28: gonadal fat pad Present UC Davis_1864161

Specimen UC Davis_1864162: postnatal adult; Vti1atm1.1(KOMP)Vlcg/Vti1a+ (more )
Structure Level Pattern Image Note
TS28: mesenteric adipose tissue Present UC Davis_1864162

Specimen UC Davis_1864163: postnatal adult; Vti1atm1.1(KOMP)Vlcg/Vti1a+ (more )
Structure Level Pattern Image Note
TS28: mesenteric adipose tissue Present UC Davis_1864163

Specimen UC Davis_1864164: postnatal adult; Vti1atm1.1(KOMP)Vlcg/Vti1a+ (more )
Structure Level Pattern Image Note
TS28: skin Present UC Davis_1864164

Specimen UC Davis_1864165: postnatal adult; Vti1atm1.1(KOMP)Vlcg/Vti1a+ (more )
Structure Level Pattern Image Note
TS28: skin Present UC Davis_1864165

Specimen UC Davis_1864166: postnatal adult; Vti1atm1.1(KOMP)Vlcg/Vti1a+ (more )
Structure Level Pattern Image Note
TS28: skin Present UC Davis_1864166

Specimen UC Davis_1864167: postnatal adult; Vti1atm1.1(KOMP)Vlcg/Vti1a+ (more )
Structure Level Pattern Image Note
TS28: brown fat Present UC Davis_1864167

Specimen UC Davis_1864168: postnatal adult; Vti1atm1.1(KOMP)Vlcg/Vti1a+ (more )
Structure Level Pattern Image Note
TS28: brown fat Present UC Davis_1864168

Specimen UC Davis_1864169: postnatal adult; Vti1atm1.1(KOMP)Vlcg/Vti1a+ (more )
Structure Level Pattern Image Note
TS28: olfactory lobe Present UC Davis_1864169

Specimen UC Davis_1864173: postnatal adult; Vti1atm1.1(KOMP)Vlcg/Vti1a+ (more )
Structure Level Pattern Image Note
TS28: midbrain Present UC Davis_1864173

Specimen UC Davis_1864175: postnatal adult; Vti1atm1.1(KOMP)Vlcg/Vti1a+ (more )
Structure Level Pattern Image Note
TS28: cerebellum Present UC Davis_1864175

Specimen UC Davis_1864176: postnatal adult; Vti1atm1.1(KOMP)Vlcg/Vti1a+ (more )
Structure Level Pattern Image Note
TS28: trigeminal nerve Present UC Davis_1864176

Specimen UC Davis_1864177: postnatal adult; Vti1atm1.1(KOMP)Vlcg/Vti1a+ (more )
Structure Level Pattern Image Note
TS28: trigeminal nerve Present UC Davis_1864177

Specimen UC Davis_1864178: postnatal adult; Vti1atm1.1(KOMP)Vlcg/Vti1a+ (more )
Structure Level Pattern Image Note
TS28: bladder Present UC Davis_1864178

Specimen UC Davis_1864179: postnatal adult; Vti1atm1.1(KOMP)Vlcg/Vti1a+ (more )
Structure Level Pattern Image Note
TS28: bladder Present UC Davis_1864179

Specimen UC Davis_1864180: postnatal adult; Vti1atm1.1(KOMP)Vlcg/Vti1a+ (more )
Structure Level Pattern Image Note
TS28: testis Present UC Davis_1864180

Specimen UC Davis_1864181: postnatal adult; Vti1atm1.1(KOMP)Vlcg/Vti1a+ (more )
Structure Level Pattern Image Note
TS28: testis Present UC Davis_1864181

Specimen UC Davis_1864182: postnatal adult; Vti1atm1.1(KOMP)Vlcg/Vti1a+ (more )
Structure Level Pattern Image Note
TS28: testis Present UC Davis_1864182

Specimen UC Davis_1864183: postnatal adult; Vti1atm1.1(KOMP)Vlcg/Vti1a+ (more )
Structure Level Pattern Image Note
TS28: testis Present UC Davis_1864183

Specimen UC Davis_1864184: postnatal adult; Vti1atm1.1(KOMP)Vlcg/Vti1a+ (more )
Structure Level Pattern Image Note
TS28: epididymis Present UC Davis_1864184

Specimen UC Davis_1864185: postnatal adult; Vti1atm1.1(KOMP)Vlcg/Vti1a+ (more )
Structure Level Pattern Image Note
TS28: epididymis Present UC Davis_1864185

Specimen UC Davis_1864186: postnatal adult; Vti1atm1.1(KOMP)Vlcg/Vti1a+ (more )
Structure Level Pattern Image Note
TS28: epididymis Present UC Davis_1864186

Specimen UC Davis_1864187: postnatal adult; Vti1atm1.1(KOMP)Vlcg/Vti1a+ (more )
Structure Level Pattern Image Note
TS28: prostate gland Present UC Davis_1864187

Specimen UC Davis_1864188: postnatal adult; Vti1atm1.1(KOMP)Vlcg/Vti1a+ (more )
Structure Level Pattern Image Note
TS28: prostate gland Present UC Davis_1864188

Specimen UC Davis_1864189: postnatal adult; Vti1atm1.1(KOMP)Vlcg/Vti1a+ (more )
Structure Level Pattern Image Note
TS28: penis Present UC Davis_1864189

Specimen UC Davis_1864190: postnatal adult; Vti1atm1.1(KOMP)Vlcg/Vti1a+ (more )
Structure Level Pattern Image Note
TS28: penis Present UC Davis_1864190

Specimen UC Davis_1864193: postnatal adult; Vti1atm1.1(KOMP)Vlcg/Vti1a+ (more )
Structure Level Pattern Image Note
TS28: blood Present UC Davis_1864193

Specimen UC Davis_1864194: postnatal adult; Vti1atm1.1(KOMP)Vlcg/Vti1a+ (more )
Structure Level Pattern Image Note
TS28: blood Present UC Davis_1864194

Specimen UC Davis_1864195: postnatal adult; Vti1atm1.1(KOMP)Vlcg/Vti1a+ (more )
Structure Level Pattern Image Note
TS28: bone marrow Present UC Davis_1864195

Specimen UC Davis_1864196: postnatal adult; Vti1atm1.1(KOMP)Vlcg/Vti1a+ (more )
Structure Level Pattern Image Note
TS28: bone marrow Present UC Davis_1864196

Specimen UC Davis_1864197: postnatal adult; Vti1atm1.1(KOMP)Vlcg/Vti1a+ (more )
Structure Level Pattern Image Note
TS28: bone marrow Present UC Davis_1864197

Specimen UC Davis_1864198: postnatal adult; Vti1atm1.1(KOMP)Vlcg/Vti1a+ (more )
Structure Level Pattern Image Note
TS28: ductus deferens Present UC Davis_1864198 vas deferens

Specimen UC Davis_1864202: postnatal adult; Vti1atm1.1(KOMP)Vlcg/Vti1a+ (more )
Structure Level Pattern Image Note
TS28: seminal vesicle Present UC Davis_1864202 vesicular gland

Specimen UC Davis_1864203: postnatal adult; Vti1atm1.1(KOMP)Vlcg/Vti1a+ (more )
Structure Level Pattern Image Note
TS28: seminal vesicle Present UC Davis_1864203 vesicular gland

Specimen UC Davis_1864204: postnatal adult; Vti1atm1.1(KOMP)Vlcg/Vti1a+ (more )
Structure Level Pattern Image Note
TS28: seminal vesicle Present UC Davis_1864204 vesicular gland


Contributing Projects:
Mouse Genome Database (MGD), Gene Expression Database (GXD), Mouse Models of Human Cancer database (MMHCdb) (formerly Mouse Tumor Biology (MTB)), Gene Ontology (GO)
Citing These Resources
Funding Information
Warranty Disclaimer, Privacy Notice, Licensing, & Copyright
Send questions and comments to User Support.
last database update
03/24/2026
MGI 6.24
The Jackson Laboratory