About   Help   FAQ
Gene Expression Data
Assay Details
Assay
Reference: J:228563 Koscielny G, et al., The International Mouse Phenotyping Consortium Web Portal, a unified point of access for knockout mice and related phenotyping data. Nucleic Acids Res. 2014 Jan;42(Database issue):D802-9
Assay type: In situ reporter (knock in)
MGI Accession ID: MGI:6691529
Gene symbol: Fus
Gene name: fused in sarcoma
Reporter: lacZ
Direct Detection
Results
Specimen TCP_2459758: postnatal adult; Fustm1.1(KOMP)Vlcg/Fus+ (more )
Structure Level Pattern Image Note
TS28: thyroid gland Present TCP_2459758

Specimen TCP_2459759: postnatal adult; Fustm1.1(KOMP)Vlcg/Fus+ (more )
Structure Level Pattern Image Note
TS28: thyroid gland Present TCP_2459759

Specimen TCP_2459750: postnatal adult; Fustm1.1(KOMP)Vlcg/Fus+ (more )
Structure Level Pattern Image Note
TS28: eye Present TCP_2459750

Specimen TCP_2459751: postnatal adult; Fustm1.1(KOMP)Vlcg/Fus+ (more )
Structure Level Pattern Image Note
TS28: eye Present TCP_2459751

Specimen TCP_2459752: postnatal adult; Fustm1.1(KOMP)Vlcg/Fus+ (more )
Structure Level Pattern Image Note
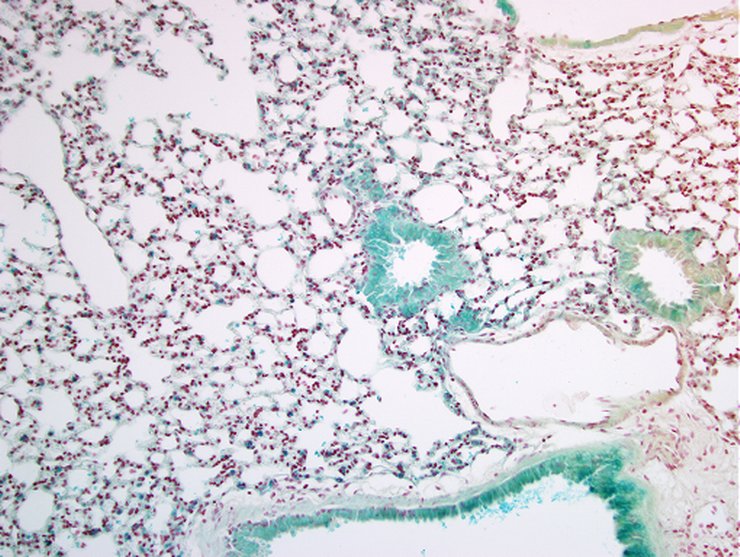
TS28: lung Present TCP_2459752

Specimen TCP_2459753: postnatal adult; Fustm1.1(KOMP)Vlcg/Fus+ (more )
Structure Level Pattern Image Note
TS28: lung Present TCP_2459753

Specimen TCP_2459754: postnatal adult; Fustm1.1(KOMP)Vlcg/Fus+ (more )
Structure Level Pattern Image Note
TS28: skin Present TCP_2459754

Specimen TCP_2459755: postnatal adult; Fustm1.1(KOMP)Vlcg/Fus+ (more )
Structure Level Pattern Image Note
TS28: skin Present TCP_2459755

Specimen TCP_2459756: postnatal adult; Fustm1.1(KOMP)Vlcg/Fus+ (more )
Structure Level Pattern Image Note
TS28: spleen Present TCP_2459756

Specimen TCP_2459757: postnatal adult; Fustm1.1(KOMP)Vlcg/Fus+ (more )
Structure Level Pattern Image Note
TS28: spleen Present TCP_2459757


Contributing Projects:
Mouse Genome Database (MGD), Gene Expression Database (GXD), Mouse Models of Human Cancer database (MMHCdb) (formerly Mouse Tumor Biology (MTB)), Gene Ontology (GO)
Citing These Resources
Funding Information
Warranty Disclaimer, Privacy Notice, Licensing, & Copyright
Send questions and comments to User Support.
last database update
01/06/2026
MGI 6.24
The Jackson Laboratory