About   Help   FAQ
Gene Expression Data
Assay Details
Assay
Reference: J:228563 Koscielny G, et al., The International Mouse Phenotyping Consortium Web Portal, a unified point of access for knockout mice and related phenotyping data. Nucleic Acids Res. 2014 Jan;42(Database issue):D802-9
Assay type: In situ reporter (knock in)
MGI Accession ID: MGI:6691517
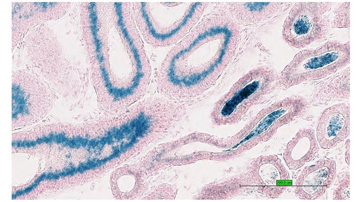
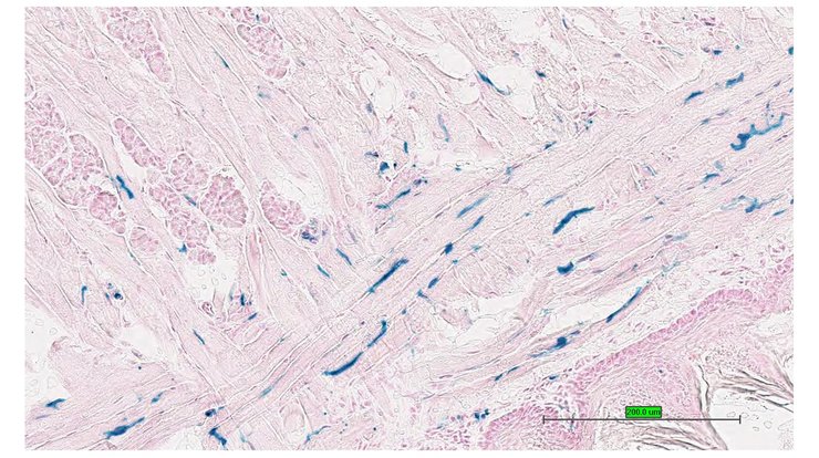
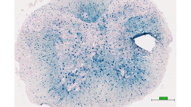
Gene symbol: Fscn1
Gene name: fascin actin-bundling protein 1
Reporter: lacZ
Direct Detection
Results
Specimen TCP_2460511: postnatal adult; Fscn1tm1.1(KOMP)Vlcg/Fscn1+ (more )
Structure Level Pattern Image Note
TS28: brain Present TCP_2460511

Specimen TCP_2460512: postnatal adult; Fscn1tm1.1(KOMP)Vlcg/Fscn1+ (more )
Structure Level Pattern Image Note
TS28: brain Present TCP_2460512

Specimen TCP_2460513: postnatal adult; Fscn1tm1.1(KOMP)Vlcg/Fscn1+ (more )
Structure Level Pattern Image Note
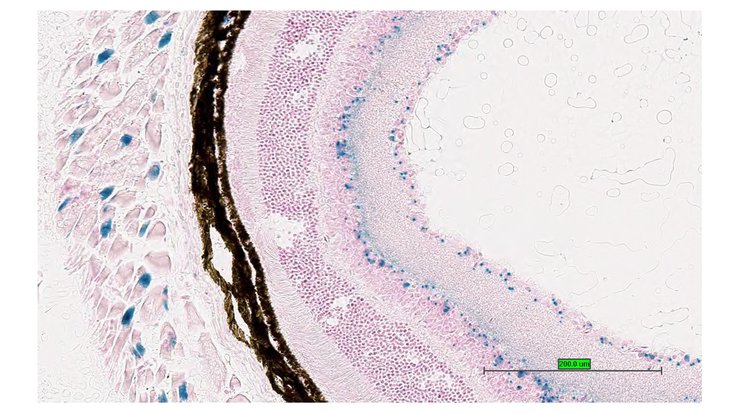
TS28: eye Present TCP_2460513

Specimen TCP_2460514: postnatal adult; Fscn1tm1.1(KOMP)Vlcg/Fscn1+ (more )
Structure Level Pattern Image Note
TS28: heart Present TCP_2460514

Specimen TCP_2460515: postnatal adult; Fscn1tm1.1(KOMP)Vlcg/Fscn1+ (more )
Structure Level Pattern Image Note
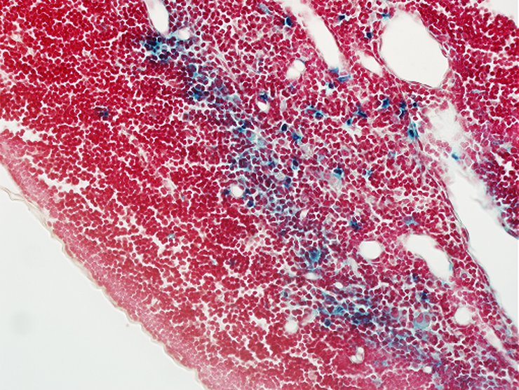
TS28: Peyer's patch Present TCP_2460515

Specimen TCP_2460516: postnatal adult; Fscn1tm1.1(KOMP)Vlcg/Fscn1+ (more )
Structure Level Pattern Image Note
TS28: liver Present TCP_2460516

Specimen TCP_2460518: postnatal adult; Fscn1tm1.1(KOMP)Vlcg/Fscn1+ (more )
Structure Level Pattern Image Note
TS28: spinal cord Present TCP_2460518

Specimen TCP_2460519: postnatal adult; Fscn1tm1.1(KOMP)Vlcg/Fscn1+ (more )
Structure Level Pattern Image Note
TS28: spleen Present TCP_2460519

Specimen TCP_2460520: postnatal adult; Fscn1tm1.1(KOMP)Vlcg/Fscn1+ (more )
Structure Level Pattern Image Note
TS28: thymus Present TCP_2460520

Specimen TCP_2460521: postnatal adult; Fscn1tm1.1(KOMP)Vlcg/Fscn1+ (more )
Structure Level Pattern Image Note
TS28: white fat Present TCP_2460521

Specimen TCP_2460500: postnatal adult; Fscn1tm1.1(KOMP)Vlcg/Fscn1+ (more )
Structure Level Pattern Image Note
TS28: brain Present TCP_2460500

Specimen TCP_2460501: postnatal adult; Fscn1tm1.1(KOMP)Vlcg/Fscn1+ (more )
Structure Level Pattern Image Note
TS28: eye Present TCP_2460501

Specimen TCP_2460502: postnatal adult; Fscn1tm1.1(KOMP)Vlcg/Fscn1+ (more )
Structure Level Pattern Image Note
TS28: heart Present TCP_2460502

Specimen TCP_2460503: postnatal adult; Fscn1tm1.1(KOMP)Vlcg/Fscn1+ (more )
Structure Level Pattern Image Note
TS28: Peyer's patch Present TCP_2460503

Specimen TCP_2460504: postnatal adult; Fscn1tm1.1(KOMP)Vlcg/Fscn1+ (more )
Structure Level Pattern Image Note
TS28: liver Present TCP_2460504

Specimen TCP_2460505: postnatal adult; Fscn1tm1.1(KOMP)Vlcg/Fscn1+ (more )
Structure Level Pattern Image Note
TS28: olfactory lobe Present TCP_2460505

Specimen TCP_2460507: postnatal adult; Fscn1tm1.1(KOMP)Vlcg/Fscn1+ (more )
Structure Level Pattern Image Note
TS28: spinal cord Present TCP_2460507

Specimen TCP_2460508: postnatal adult; Fscn1tm1.1(KOMP)Vlcg/Fscn1+ (more )
Structure Level Pattern Image Note
TS28: spleen Present TCP_2460508

Specimen TCP_2460509: postnatal adult; Fscn1tm1.1(KOMP)Vlcg/Fscn1+ (more )
Structure Level Pattern Image Note
TS28: thymus Present TCP_2460509

Specimen TCP_2460510: postnatal adult; Fscn1tm1.1(KOMP)Vlcg/Fscn1+ (more )
Structure Level Pattern Image Note
TS28: white fat Present TCP_2460510

Specimen UC Davis_1880578: postnatal adult; Fscn1tm1.1(KOMP)Vlcg/Fscn1+ (more )
Structure Level Pattern Image Note
TS28: esophagus Present UC Davis_1880578

Specimen UC Davis_1880580: postnatal adult; Fscn1tm1.1(KOMP)Vlcg/Fscn1+ (more )
Structure Level Pattern Image Note
TS28: lung Present UC Davis_1880580

Specimen UC Davis_1880583: postnatal adult; Fscn1tm1.1(KOMP)Vlcg/Fscn1+ (more )
Structure Level Pattern Image Note
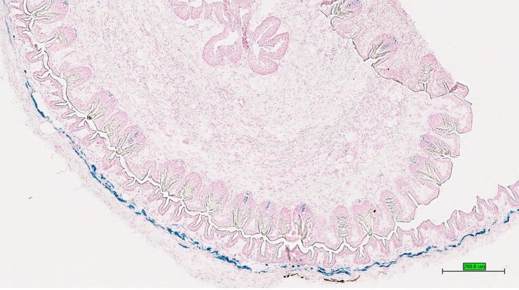
TS28: ileum Present UC Davis_1880583

Specimen UC Davis_1880584: postnatal adult; Fscn1tm1.1(KOMP)Vlcg/Fscn1+ (more )
Structure Level Pattern Image Note
TS28: ileum Present UC Davis_1880584

Specimen UC Davis_1880585: postnatal adult; Fscn1tm1.1(KOMP)Vlcg/Fscn1+ (more )
Structure Level Pattern Image Note
TS28: colon Present UC Davis_1880585

Specimen UC Davis_1880586: postnatal adult; Fscn1tm1.1(KOMP)Vlcg/Fscn1+ (more )
Structure Level Pattern Image Note
TS28: colon Present UC Davis_1880586

Specimen UC Davis_1880587: postnatal adult; Fscn1tm1.1(KOMP)Vlcg/Fscn1+ (more )
Structure Level Pattern Image Note
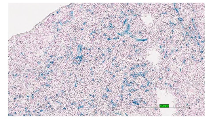
TS28: spleen Present UC Davis_1880587

Specimen UC Davis_1880588: postnatal adult; Fscn1tm1.1(KOMP)Vlcg/Fscn1+ (more )
Structure Level Pattern Image Note
TS28: spleen Present UC Davis_1880588

Specimen UC Davis_1880589: postnatal adult; Fscn1tm1.1(KOMP)Vlcg/Fscn1+ (more )
Structure Level Pattern Image Note
TS28: spleen Present UC Davis_1880589

Specimen UC Davis_1880590: postnatal adult; Fscn1tm1.1(KOMP)Vlcg/Fscn1+ (more )
Structure Level Pattern Image Note
TS28: pancreas Present UC Davis_1880590

Specimen UC Davis_1880591: postnatal adult; Fscn1tm1.1(KOMP)Vlcg/Fscn1+ (more )
Structure Level Pattern Image Note
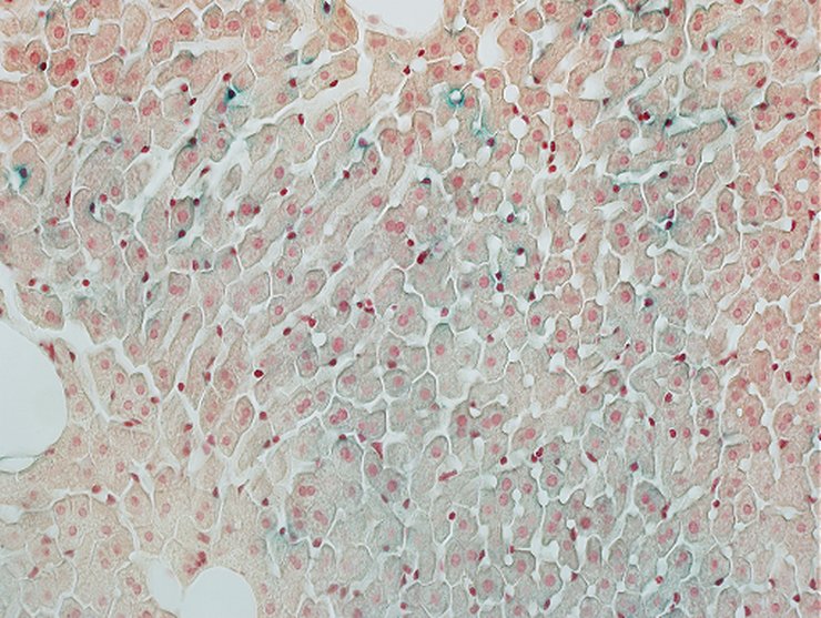
TS28: liver Present UC Davis_1880591

Specimen UC Davis_1880592: postnatal adult; Fscn1tm1.1(KOMP)Vlcg/Fscn1+ (more )
Structure Level Pattern Image Note
TS28: metanephros Present UC Davis_1880592 kidney

Specimen UC Davis_1880593: postnatal adult; Fscn1tm1.1(KOMP)Vlcg/Fscn1+ (more )
Structure Level Pattern Image Note
TS28: metanephros Present UC Davis_1880593 kidney

Specimen UC Davis_1880594: postnatal adult; Fscn1tm1.1(KOMP)Vlcg/Fscn1+ (more )
Structure Level Pattern Image Note
TS28: metanephros Present UC Davis_1880594 kidney

Specimen UC Davis_1880595: postnatal adult; Fscn1tm1.1(KOMP)Vlcg/Fscn1+ (more )
Structure Level Pattern Image Note
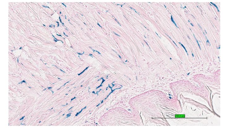
TS28: quadriceps femoris muscle Present UC Davis_1880595

Specimen UC Davis_1880596: postnatal adult; Fscn1tm1.1(KOMP)Vlcg/Fscn1+ (more )
Structure Level Pattern Image Note
TS28: quadriceps femoris muscle Present UC Davis_1880596

Specimen UC Davis_1880597: postnatal adult; Fscn1tm1.1(KOMP)Vlcg/Fscn1+ (more )
Structure Level Pattern Image Note
TS28: quadriceps femoris muscle Present UC Davis_1880597

Specimen UC Davis_1880598: postnatal adult; Fscn1tm1.1(KOMP)Vlcg/Fscn1+ (more )
Structure Level Pattern Image Note
TS28: sciatic nerve Present UC Davis_1880598

Specimen UC Davis_1880599: postnatal adult; Fscn1tm1.1(KOMP)Vlcg/Fscn1+ (more )
Structure Level Pattern Image Note
TS28: sciatic nerve Present UC Davis_1880599

Specimen UC Davis_1880600: postnatal adult; Fscn1tm1.1(KOMP)Vlcg/Fscn1+ (more )
Structure Level Pattern Image Note
TS28: tongue Present UC Davis_1880600

Specimen UC Davis_1880601: postnatal adult; Fscn1tm1.1(KOMP)Vlcg/Fscn1+ (more )
Structure Level Pattern Image Note
TS28: tongue Present UC Davis_1880601

Specimen UC Davis_1880602: postnatal adult; Fscn1tm1.1(KOMP)Vlcg/Fscn1+ (more )
Structure Level Pattern Image Note
TS28: tongue Present UC Davis_1880602

Specimen UC Davis_1880603: postnatal adult; Fscn1tm1.1(KOMP)Vlcg/Fscn1+ (more )
Structure Level Pattern Image Note
TS28: tongue Present UC Davis_1880603

Specimen UC Davis_1880604: postnatal adult; Fscn1tm1.1(KOMP)Vlcg/Fscn1+ (more )
Structure Level Pattern Image Note
TS28: diaphragm Present UC Davis_1880604

Specimen UC Davis_1880605: postnatal adult; Fscn1tm1.1(KOMP)Vlcg/Fscn1+ (more )
Structure Level Pattern Image Note
TS28: adrenal gland Present UC Davis_1880605

Specimen UC Davis_1880606: postnatal adult; Fscn1tm1.1(KOMP)Vlcg/Fscn1+ (more )
Structure Level Pattern Image Note
TS28: spinal cord Present UC Davis_1880606

Specimen UC Davis_1880607: postnatal adult; Fscn1tm1.1(KOMP)Vlcg/Fscn1+ (more )
Structure Level Pattern Image Note
TS28: spinal cord Present UC Davis_1880607

Specimen UC Davis_1880608: postnatal adult; Fscn1tm1.1(KOMP)Vlcg/Fscn1+ (more )
Structure Level Pattern Image Note
TS28: spinal cord Present UC Davis_1880608

Specimen UC Davis_1880609: postnatal adult; Fscn1tm1.1(KOMP)Vlcg/Fscn1+ (more )
Structure Level Pattern Image Note
TS28: spinal cord Present UC Davis_1880609

Specimen UC Davis_1880610: postnatal adult; Fscn1tm1.1(KOMP)Vlcg/Fscn1+ (more )
Structure Level Pattern Image Note
TS28: eye Present UC Davis_1880610

Specimen UC Davis_1880611: postnatal adult; Fscn1tm1.1(KOMP)Vlcg/Fscn1+ (more )
Structure Level Pattern Image Note
TS28: eye Present UC Davis_1880611

Specimen UC Davis_1880613: postnatal adult; Fscn1tm1.1(KOMP)Vlcg/Fscn1+ (more )
Structure Level Pattern Image Note
TS28: gonadal fat pad Present UC Davis_1880613

Specimen UC Davis_1880614: postnatal adult; Fscn1tm1.1(KOMP)Vlcg/Fscn1+ (more )
Structure Level Pattern Image Note
TS28: mesenteric adipose tissue Present UC Davis_1880614

Specimen UC Davis_1880615: postnatal adult; Fscn1tm1.1(KOMP)Vlcg/Fscn1+ (more )
Structure Level Pattern Image Note
TS28: skin Present UC Davis_1880615

Specimen UC Davis_1880616: postnatal adult; Fscn1tm1.1(KOMP)Vlcg/Fscn1+ (more )
Structure Level Pattern Image Note
TS28: brown fat Present UC Davis_1880616

Specimen UC Davis_1880617: postnatal adult; Fscn1tm1.1(KOMP)Vlcg/Fscn1+ (more )
Structure Level Pattern Image Note
TS28: brown fat Present UC Davis_1880617

Specimen UC Davis_1880618: postnatal adult; Fscn1tm1.1(KOMP)Vlcg/Fscn1+ (more )
Structure Level Pattern Image Note
TS28: olfactory lobe Present UC Davis_1880618

Specimen UC Davis_1880622: postnatal adult; Fscn1tm1.1(KOMP)Vlcg/Fscn1+ (more )
Structure Level Pattern Image Note
TS28: midbrain Present UC Davis_1880622

Specimen UC Davis_1880624: postnatal adult; Fscn1tm1.1(KOMP)Vlcg/Fscn1+ (more )
Structure Level Pattern Image Note
TS28: cerebellum Present UC Davis_1880624

Specimen UC Davis_1880625: postnatal adult; Fscn1tm1.1(KOMP)Vlcg/Fscn1+ (more )
Structure Level Pattern Image Note
TS28: trigeminal nerve Present UC Davis_1880625

Specimen UC Davis_1880626: postnatal adult; Fscn1tm1.1(KOMP)Vlcg/Fscn1+ (more )
Structure Level Pattern Image Note
TS28: trigeminal nerve Present UC Davis_1880626

Specimen UC Davis_1880627: postnatal adult; Fscn1tm1.1(KOMP)Vlcg/Fscn1+ (more )
Structure Level Pattern Image Note
TS28: testis Present UC Davis_1880627

Specimen UC Davis_1880628: postnatal adult; Fscn1tm1.1(KOMP)Vlcg/Fscn1+ (more )
Structure Level Pattern Image Note
TS28: testis Present UC Davis_1880628

Specimen UC Davis_1880629: postnatal adult; Fscn1tm1.1(KOMP)Vlcg/Fscn1+ (more )
Structure Level Pattern Image Note
TS28: testis Present UC Davis_1880629

Specimen UC Davis_1880630: postnatal adult; Fscn1tm1.1(KOMP)Vlcg/Fscn1+ (more )
Structure Level Pattern Image Note
TS28: epididymis Present UC Davis_1880630

Specimen UC Davis_1880631: postnatal adult; Fscn1tm1.1(KOMP)Vlcg/Fscn1+ (more )
Structure Level Pattern Image Note
TS28: epididymis Present UC Davis_1880631

Specimen UC Davis_1880632: postnatal adult; Fscn1tm1.1(KOMP)Vlcg/Fscn1+ (more )
Structure Level Pattern Image Note
TS28: prostate gland Present UC Davis_1880632

Specimen UC Davis_1880633: postnatal adult; Fscn1tm1.1(KOMP)Vlcg/Fscn1+ (more )
Structure Level Pattern Image Note
TS28: penis Present UC Davis_1880633

Specimen UC Davis_1880634: postnatal adult; Fscn1tm1.1(KOMP)Vlcg/Fscn1+ (more )
Structure Level Pattern Image Note
TS28: penis Present UC Davis_1880634

Specimen UC Davis_1880635: postnatal adult; Fscn1tm1.1(KOMP)Vlcg/Fscn1+ (more )
Structure Level Pattern Image Note
TS28: penis Present UC Davis_1880635


Contributing Projects:
Mouse Genome Database (MGD), Gene Expression Database (GXD), Mouse Models of Human Cancer database (MMHCdb) (formerly Mouse Tumor Biology (MTB)), Gene Ontology (GO)
Citing These Resources
Funding Information
Warranty Disclaimer, Privacy Notice, Licensing, & Copyright
Send questions and comments to User Support.
last database update
01/28/2026
MGI 6.24
The Jackson Laboratory