About   Help   FAQ
Gene Expression Data
Assay Details
Assay
Reference: J:228563 Koscielny G, et al., The International Mouse Phenotyping Consortium Web Portal, a unified point of access for knockout mice and related phenotyping data. Nucleic Acids Res. 2014 Jan;42(Database issue):D802-9
Assay type: In situ reporter (knock in)
MGI Accession ID: MGI:6691495
Gene symbol: Syn3
Gene name: synapsin III
Reporter: lacZ
Direct Detection
Results
Specimen JAX_1314128: embryonic day 12.5; Syn3tm1.1(KOMP)Vlcg/Syn3+ (more )
Structure Level Pattern Image Note
TS20: embryo Present JAX_1314128

Specimen JAX_1314129: embryonic day 12.5; Syn3tm1.1(KOMP)Vlcg/Syn3+ (more )
Structure Level Pattern Image Note
TS20: embryo Present JAX_1314129

Specimen JAX_1314130: embryonic day 12.5; Syn3tm1.1(KOMP)Vlcg/Syn3+ (more )
Structure Level Pattern Image Note
TS20: embryo Present JAX_1314130

Specimen JAX_1314131: embryonic day 12.5; Syn3tm1.1(KOMP)Vlcg/Syn3+ (more )
Structure Level Pattern Image Note
TS20: embryo Present JAX_1314131

Specimen JAX_1469659: embryonic day 12.5; Syn3tm1.1(KOMP)Vlcg/Syn3+ (more )
Structure Level Pattern Image Note
TS20: embryo Present JAX_1469659

Specimen JAX_1469660: embryonic day 12.5; Syn3tm1.1(KOMP)Vlcg/Syn3+ (more )
Structure Level Pattern Image Note
TS20: embryo Present JAX_1469660

Specimen JAX_1469661: embryonic day 12.5; Syn3tm1.1(KOMP)Vlcg/Syn3+ (more )
Structure Level Pattern Image Note
TS20: embryo Present JAX_1469661

Specimen JAX_1469662: embryonic day 12.5; Syn3tm1.1(KOMP)Vlcg/Syn3+ (more )
Structure Level Pattern Image Note
TS20: embryo Present JAX_1469662

Specimen JAX_1801198: postnatal adult; Syn3tm1.1(KOMP)Vlcg/Syn3+ (more )
Structure Level Pattern Image Note
TS28: cartilage Present JAX_1801198

Specimen JAX_1801199: postnatal adult; Syn3tm1.1(KOMP)Vlcg/Syn3+ (more )
Structure Level Pattern Image Note
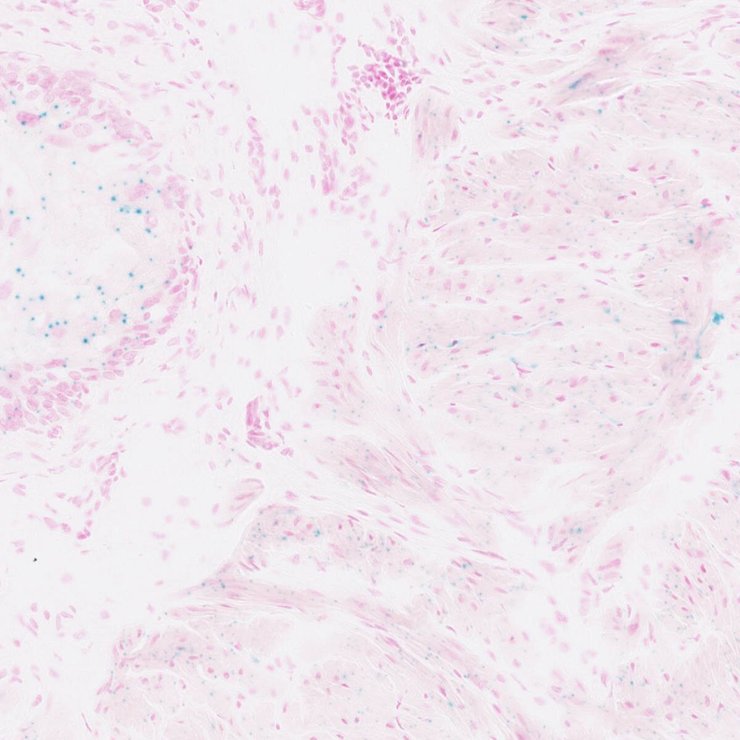
TS28: pancreas Present JAX_1801199

Specimen JAX_1801200: postnatal adult; Syn3tm1.1(KOMP)Vlcg/Syn3+ (more )
Structure Level Pattern Image Note
TS28: lung Present JAX_1801200

Specimen JAX_1801201: postnatal adult; Syn3tm1.1(KOMP)Vlcg/Syn3+ (more )
Structure Level Pattern Image Note
TS28: pituitary gland Present JAX_1801201

Specimen JAX_1801202: postnatal adult; Syn3tm1.1(KOMP)Vlcg/Syn3+ (more )
Structure Level Pattern Image Note
TS28: spinal cord Present JAX_1801202

Specimen JAX_1801203: postnatal adult; Syn3tm1.1(KOMP)Vlcg/Syn3+ (more )
Structure Level Pattern Image Note
TS28: uterus Present JAX_1801203

Specimen JAX_1801204: postnatal adult; Syn3tm1.1(KOMP)Vlcg/Syn3+ (more )
Structure Level Pattern Image Note
TS28: trachea Present JAX_1801204

Specimen JAX_1801205: postnatal adult; Syn3tm1.1(KOMP)Vlcg/Syn3+ (more )
Structure Level Pattern Image Note
TS28: oviduct Present JAX_1801205

Specimen JAX_1801207: postnatal adult; Syn3tm1.1(KOMP)Vlcg/Syn3+ (more )
Structure Level Pattern Image Note
TS28: liver Present JAX_1801207

Specimen JAX_1801208: postnatal adult; Syn3tm1.1(KOMP)Vlcg/Syn3+ (more )
Structure Level Pattern Image Note
TS28: adrenal gland Present JAX_1801208

Specimen JAX_1801173: postnatal adult; Syn3tm1.1(KOMP)Vlcg/Syn3+ (more )
Structure Level Pattern Image Note
TS28: thalamus Present JAX_1801173

Specimen JAX_1801174: postnatal adult; Syn3tm1.1(KOMP)Vlcg/Syn3+ (more )
Structure Level Pattern Image Note
TS28: midbrain Present JAX_1801174

Specimen JAX_1801175: postnatal adult; Syn3tm1.1(KOMP)Vlcg/Syn3+ (more )
Structure Level Pattern Image Note
TS28: epididymis Present JAX_1801175

Specimen JAX_1801176: postnatal adult; Syn3tm1.1(KOMP)Vlcg/Syn3+ (more )
Structure Level Pattern Image Note
TS28: bladder Present JAX_1801176

Specimen JAX_1801177: postnatal adult; Syn3tm1.1(KOMP)Vlcg/Syn3+ (more )
Structure Level Pattern Image Note
TS28: corpus striatum Present JAX_1801177

Specimen JAX_1801178: postnatal adult; Syn3tm1.1(KOMP)Vlcg/Syn3+ (more )
Structure Level Pattern Image Note
TS28: olfactory lobe Present JAX_1801178

Specimen JAX_1801179: postnatal adult; Syn3tm1.1(KOMP)Vlcg/Syn3+ (more )
Structure Level Pattern Image Note
TS28: hypothalamus Present JAX_1801179

Specimen JAX_1801180: postnatal adult; Syn3tm1.1(KOMP)Vlcg/Syn3+ (more )
Structure Level Pattern Image Note
TS28: hippocampus Present JAX_1801180

Specimen JAX_1801181: postnatal adult; Syn3tm1.1(KOMP)Vlcg/Syn3+ (more )
Structure Level Pattern Image Note
TS28: cerebellum Present JAX_1801181

Specimen JAX_1801182: postnatal adult; Syn3tm1.1(KOMP)Vlcg/Syn3+ (more )
Structure Level Pattern Image Note
TS28: cerebral cortex Present JAX_1801182

Specimen JAX_1801183: postnatal adult; Syn3tm1.1(KOMP)Vlcg/Syn3+ (more )
Structure Level Pattern Image Note
TS28: brainstem Present JAX_1801183

Specimen JAX_1801184: postnatal adult; Syn3tm1.1(KOMP)Vlcg/Syn3+ (more )
Structure Level Pattern Image Note
TS28: pancreas Present JAX_1801184

Specimen JAX_1801185: postnatal adult; Syn3tm1.1(KOMP)Vlcg/Syn3+ (more )
Structure Level Pattern Image Note
TS28: aorta Present JAX_1801185

Specimen JAX_1801186: postnatal adult; Syn3tm1.1(KOMP)Vlcg/Syn3+ (more )
Structure Level Pattern Image Note
TS28: small intestine Present JAX_1801186

Specimen JAX_1801187: postnatal adult; Syn3tm1.1(KOMP)Vlcg/Syn3+ (more )
Structure Level Pattern Image Note
TS28: skeletal muscle tissue Present JAX_1801187

Specimen JAX_1801188: postnatal adult; Syn3tm1.1(KOMP)Vlcg/Syn3+ (more )
Structure Level Pattern Image Note
TS28: large intestine Present JAX_1801188

Specimen JAX_1801189: postnatal adult; Syn3tm1.1(KOMP)Vlcg/Syn3+ (more )
Structure Level Pattern Image Note
TS28: thymus Present JAX_1801189

Specimen JAX_1801190: postnatal adult; Syn3tm1.1(KOMP)Vlcg/Syn3+ (more )
Structure Level Pattern Image Note
TS28: testis Present JAX_1801190

Specimen JAX_1801191: postnatal adult; Syn3tm1.1(KOMP)Vlcg/Syn3+ (more )
Structure Level Pattern Image Note
TS28: stomach Present JAX_1801191

Specimen JAX_1801192: postnatal adult; Syn3tm1.1(KOMP)Vlcg/Syn3+ (more )
Structure Level Pattern Image Note
TS28: skin Ambiguous JAX_1801192

Specimen JAX_1801193: postnatal adult; Syn3tm1.1(KOMP)Vlcg/Syn3+ (more )
Structure Level Pattern Image Note
TS28: metanephros Present JAX_1801193 kidney

Specimen JAX_1801194: postnatal adult; Syn3tm1.1(KOMP)Vlcg/Syn3+ (more )
Structure Level Pattern Image Note
TS28: heart Present JAX_1801194

Specimen JAX_1801195: postnatal adult; Syn3tm1.1(KOMP)Vlcg/Syn3+ (more )
Structure Level Pattern Image Note
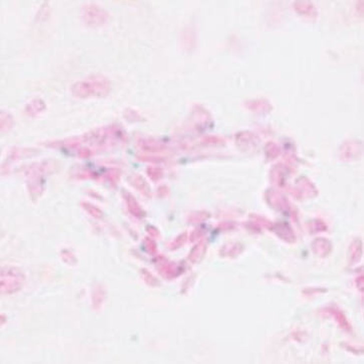
TS28: eye Present JAX_1801195

Specimen JAX_1801196: postnatal adult; Syn3tm1.1(KOMP)Vlcg/Syn3+ (more )
Structure Level Pattern Image Note
TS28: brain Present JAX_1801196

Specimen JAX_1801197: postnatal adult; Syn3tm1.1(KOMP)Vlcg/Syn3+ (more )
Structure Level Pattern Image Note
TS28: adrenal gland Present JAX_1801197


Contributing Projects:
Mouse Genome Database (MGD), Gene Expression Database (GXD), Mouse Models of Human Cancer database (MMHCdb) (formerly Mouse Tumor Biology (MTB)), Gene Ontology (GO)
Citing These Resources
Funding Information
Warranty Disclaimer, Privacy Notice, Licensing, & Copyright
Send questions and comments to User Support.
last database update
01/20/2026
MGI 6.24
The Jackson Laboratory