About   Help   FAQ
Gene Expression Data
Assay Details
Assay
Reference: J:228563 Koscielny G, et al., The International Mouse Phenotyping Consortium Web Portal, a unified point of access for knockout mice and related phenotyping data. Nucleic Acids Res. 2014 Jan;42(Database issue):D802-9
Assay type: In situ reporter (knock in)
MGI Accession ID: MGI:6691473
Gene symbol: Rnf13
Gene name: ring finger protein 13
Reporter: lacZ
Direct Detection
Results
Specimen JAX_1470032: embryonic day 12.5; Rnf13tm1.1(KOMP)Vlcg/Rnf13+ (more )
Structure Level Pattern Image Note
TS20: embryo Present JAX_1470032

Specimen JAX_1470033: embryonic day 12.5; Rnf13tm1.1(KOMP)Vlcg/Rnf13+ (more )
Structure Level Pattern Image Note
TS20: embryo Present JAX_1470033

Specimen JAX_1470034: embryonic day 12.5; Rnf13tm1.1(KOMP)Vlcg/Rnf13+ (more )
Structure Level Pattern Image Note
TS20: embryo Present JAX_1470034

Specimen JAX_1470035: embryonic day 12.5; Rnf13tm1.1(KOMP)Vlcg/Rnf13+ (more )
Structure Level Pattern Image Note
TS20: embryo Present JAX_1470035

Specimen JAX_1124523: embryonic day 12.5; Rnf13tm1.1(KOMP)Vlcg/Rnf13+ (more )
Structure Level Pattern Image Note
TS20: embryo Present JAX_1124523

Specimen JAX_1124525: embryonic day 12.5; Rnf13tm1.1(KOMP)Vlcg/Rnf13+ (more )
Structure Level Pattern Image Note
TS20: embryo Present JAX_1124525

Specimen JAX_1124527: embryonic day 12.5; Rnf13tm1.1(KOMP)Vlcg/Rnf13+ (more )
Structure Level Pattern Image Note
TS20: embryo Present JAX_1124527

Specimen JAX_1124529: embryonic day 12.5; Rnf13tm1.1(KOMP)Vlcg/Rnf13+ (more )
Structure Level Pattern Image Note
TS20: embryo Present JAX_1124529

Specimen JAX_684253: postnatal adult; Rnf13tm1.1(KOMP)Vlcg/Rnf13+ (more )
Structure Level Pattern Image Note
TS28: submandibular gland Present JAX_684253

Specimen JAX_684255: postnatal adult; Rnf13tm1.1(KOMP)Vlcg/Rnf13+ (more )
Structure Level Pattern Image Note
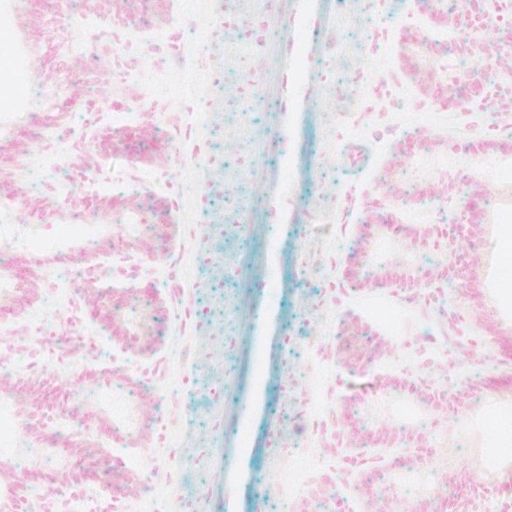
TS28: small intestine Present JAX_684255

Specimen JAX_684257: postnatal adult; Rnf13tm1.1(KOMP)Vlcg/Rnf13+ (more )
Structure Level Pattern Image Note
TS28: large intestine Present JAX_684257

Specimen JAX_684259: postnatal adult; Rnf13tm1.1(KOMP)Vlcg/Rnf13+ (more )
Structure Level Pattern Image Note
TS28: uterus Present JAX_684259

Specimen JAX_684261: postnatal adult; Rnf13tm1.1(KOMP)Vlcg/Rnf13+ (more )
Structure Level Pattern Image Note
TS28: stomach Present JAX_684261

Specimen JAX_684263: postnatal adult; Rnf13tm1.1(KOMP)Vlcg/Rnf13+ (more )
Structure Level Pattern Image Note
TS28: oviduct Present JAX_684263

Specimen JAX_684265: postnatal adult; Rnf13tm1.1(KOMP)Vlcg/Rnf13+ (more )
Structure Level Pattern Image Note
TS28: ovary Present JAX_684265

Specimen JAX_684267: postnatal adult; Rnf13tm1.1(KOMP)Vlcg/Rnf13+ (more )
Structure Level Pattern Image Note
TS28: mammary gland Present JAX_684267

Specimen JAX_684269: postnatal adult; Rnf13tm1.1(KOMP)Vlcg/Rnf13+ (more )
Structure Level Pattern Image Note
TS28: thalamus Present JAX_684269

Specimen JAX_684271: postnatal adult; Rnf13tm1.1(KOMP)Vlcg/Rnf13+ (more )
Structure Level Pattern Image Note
TS28: midbrain Present JAX_684271

Specimen JAX_684273: postnatal adult; Rnf13tm1.1(KOMP)Vlcg/Rnf13+ (more )
Structure Level Pattern Image Note
TS28: vascular system Present JAX_684273

Specimen JAX_684275: postnatal adult; Rnf13tm1.1(KOMP)Vlcg/Rnf13+ (more )
Structure Level Pattern Image Note
TS28: epididymis Present JAX_684275

Specimen JAX_684277: postnatal adult; Rnf13tm1.1(KOMP)Vlcg/Rnf13+ (more )
Structure Level Pattern Image Note
TS28: submandibular gland Present JAX_684277

Specimen JAX_684279: postnatal adult; Rnf13tm1.1(KOMP)Vlcg/Rnf13+ (more )
Structure Level Pattern Image Note
TS28: brown fat Present JAX_684279

Specimen JAX_684281: postnatal adult; Rnf13tm1.1(KOMP)Vlcg/Rnf13+ (more )
Structure Level Pattern Image Note
TS28: bone marrow Present JAX_684281

Specimen JAX_684283: postnatal adult; Rnf13tm1.1(KOMP)Vlcg/Rnf13+ (more )
Structure Level Pattern Image Note
TS28: bladder Present JAX_684283

Specimen JAX_684285: postnatal adult; Rnf13tm1.1(KOMP)Vlcg/Rnf13+ (more )
Structure Level Pattern Image Note
TS28: corpus striatum Present JAX_684285

Specimen JAX_684287: postnatal adult; Rnf13tm1.1(KOMP)Vlcg/Rnf13+ (more )
Structure Level Pattern Image Note
TS28: peripheral nervous system Present JAX_684287

Specimen JAX_684289: postnatal adult; Rnf13tm1.1(KOMP)Vlcg/Rnf13+ (more )
Structure Level Pattern Image Note
TS28: olfactory lobe Present JAX_684289

Specimen JAX_684291: postnatal adult; Rnf13tm1.1(KOMP)Vlcg/Rnf13+ (more )
Structure Level Pattern Image Note
TS28: hypothalamus Present JAX_684291

Specimen JAX_684293: postnatal adult; Rnf13tm1.1(KOMP)Vlcg/Rnf13+ (more )
Structure Level Pattern Image Note
TS28: hippocampus Present JAX_684293

Specimen JAX_684295: postnatal adult; Rnf13tm1.1(KOMP)Vlcg/Rnf13+ (more )
Structure Level Pattern Image Note
TS28: cerebellum Present JAX_684295

Specimen JAX_684297: postnatal adult; Rnf13tm1.1(KOMP)Vlcg/Rnf13+ (more )
Structure Level Pattern Image Note
TS28: cerebral cortex Present JAX_684297

Specimen JAX_684299: postnatal adult; Rnf13tm1.1(KOMP)Vlcg/Rnf13+ (more )
Structure Level Pattern Image Note
TS28: cartilage Present JAX_684299

Specimen JAX_684301: postnatal adult; Rnf13tm1.1(KOMP)Vlcg/Rnf13+ (more )
Structure Level Pattern Image Note
TS28: brainstem Present JAX_684301

Specimen JAX_684303: postnatal adult; Rnf13tm1.1(KOMP)Vlcg/Rnf13+ (more )
Structure Level Pattern Image Note
TS28: spleen Present JAX_684303

Specimen JAX_684305: postnatal adult; Rnf13tm1.1(KOMP)Vlcg/Rnf13+ (more )
Structure Level Pattern Image Note
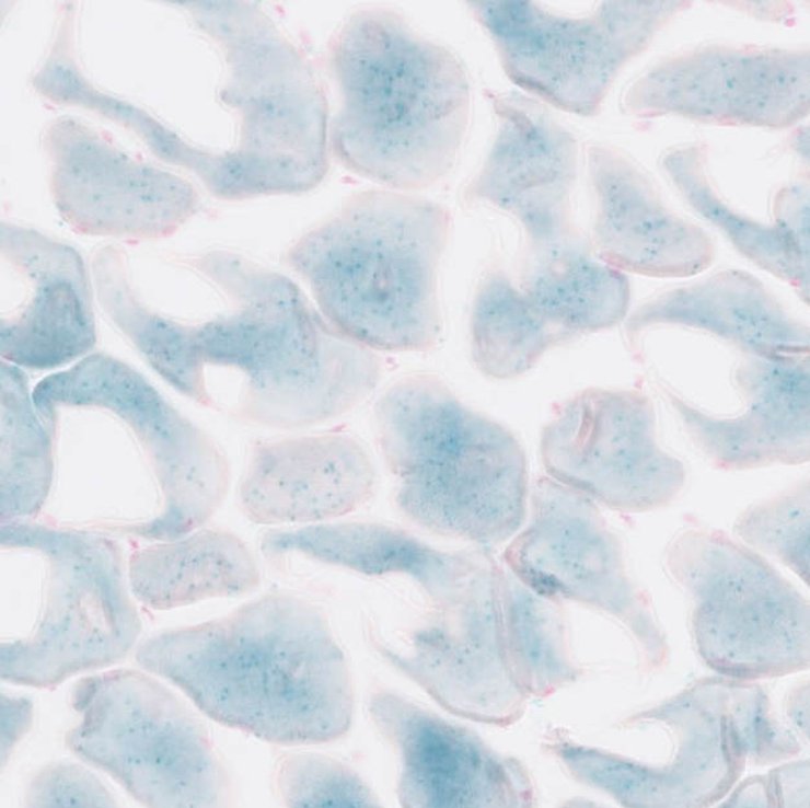
TS28: pancreas Present JAX_684305

Specimen JAX_684307: postnatal adult; Rnf13tm1.1(KOMP)Vlcg/Rnf13+ (more )
Structure Level Pattern Image Note
TS28: aorta Present JAX_684307

Specimen JAX_684309: postnatal adult; Rnf13tm1.1(KOMP)Vlcg/Rnf13+ (more )
Structure Level Pattern Image Note
TS28: lung Present JAX_684309

Specimen JAX_684311: postnatal adult; Rnf13tm1.1(KOMP)Vlcg/Rnf13+ (more )
Structure Level Pattern Image Note
TS28: skeletal muscle tissue Present JAX_684311

Specimen JAX_684313: postnatal adult; Rnf13tm1.1(KOMP)Vlcg/Rnf13+ (more )
Structure Level Pattern Image Note
TS28: pituitary gland Present JAX_684313

Specimen JAX_684315: postnatal adult; Rnf13tm1.1(KOMP)Vlcg/Rnf13+ (more )
Structure Level Pattern Image Note
TS28: thyroid gland Present JAX_684315

Specimen JAX_684317: postnatal adult; Rnf13tm1.1(KOMP)Vlcg/Rnf13+ (more )
Structure Level Pattern Image Note
TS28: spinal cord Present JAX_684317

Specimen JAX_684319: postnatal adult; Rnf13tm1.1(KOMP)Vlcg/Rnf13+ (more )
Structure Level Pattern Image Note
TS28: esophagus Present JAX_684319

Specimen JAX_684321: postnatal adult; Rnf13tm1.1(KOMP)Vlcg/Rnf13+ (more )
Structure Level Pattern Image Note
TS28: trachea Present JAX_684321

Specimen JAX_684323: postnatal adult; Rnf13tm1.1(KOMP)Vlcg/Rnf13+ (more )
Structure Level Pattern Image Note
TS28: thymus Present JAX_684323

Specimen JAX_684325: postnatal adult; Rnf13tm1.1(KOMP)Vlcg/Rnf13+ (more )
Structure Level Pattern Image Note
TS28: testis Present JAX_684325

Specimen JAX_684327: postnatal adult; Rnf13tm1.1(KOMP)Vlcg/Rnf13+ (more )
Structure Level Pattern Image Note
TS28: skin Present JAX_684327

Specimen JAX_684329: postnatal adult; Rnf13tm1.1(KOMP)Vlcg/Rnf13+ (more )
Structure Level Pattern Image Note
TS28: lymph node Present JAX_684329

Specimen JAX_684331: postnatal adult; Rnf13tm1.1(KOMP)Vlcg/Rnf13+ (more )
Structure Level Pattern Image Note
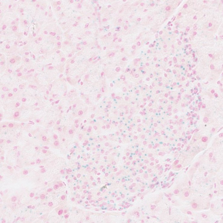
TS28: liver Present JAX_684331

Specimen JAX_684333: postnatal adult; Rnf13tm1.1(KOMP)Vlcg/Rnf13+ (more )
Structure Level Pattern Image Note
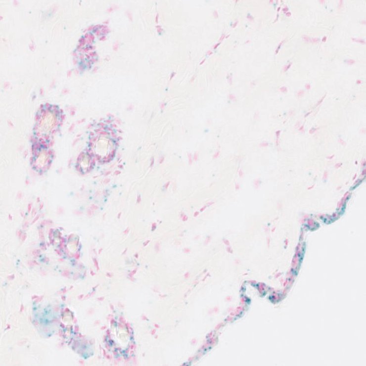
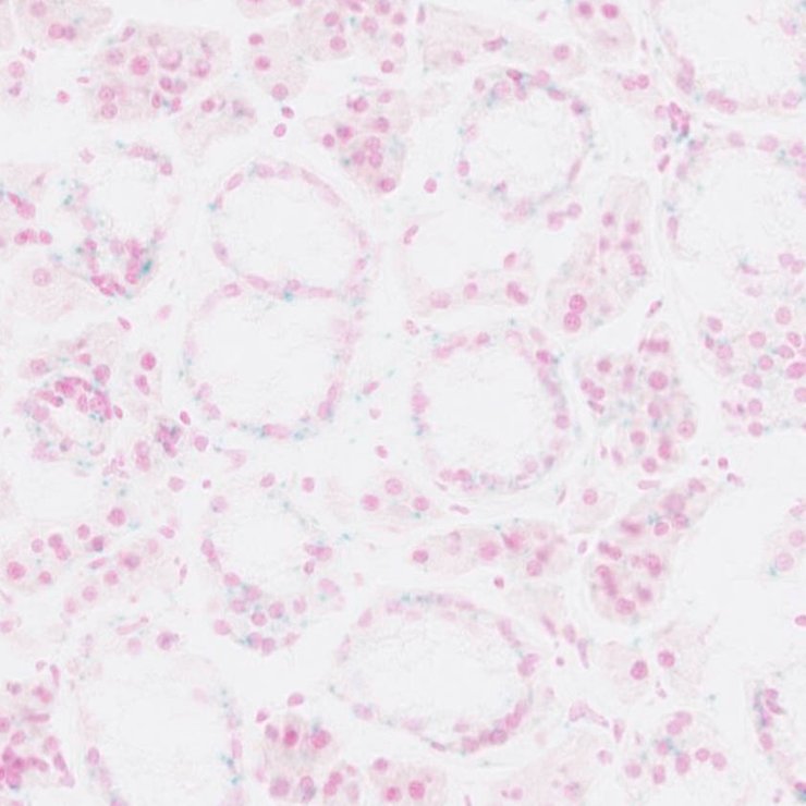
TS28: metanephros Present JAX_684333 kidney

Specimen JAX_684335: postnatal adult; Rnf13tm1.1(KOMP)Vlcg/Rnf13+ (more )
Structure Level Pattern Image Note
TS28: heart Present JAX_684335

Specimen JAX_684337: postnatal adult; Rnf13tm1.1(KOMP)Vlcg/Rnf13+ (more )
Structure Level Pattern Image Note
TS28: eye Present JAX_684337

Specimen JAX_684339: postnatal adult; Rnf13tm1.1(KOMP)Vlcg/Rnf13+ (more )
Structure Level Pattern Image Note
TS28: brain Present JAX_684339

Specimen JAX_684341: postnatal adult; Rnf13tm1.1(KOMP)Vlcg/Rnf13+ (more )
Structure Level Pattern Image Note
TS28: adrenal gland Present JAX_684341


Contributing Projects:
Mouse Genome Database (MGD), Gene Expression Database (GXD), Mouse Models of Human Cancer database (MMHCdb) (formerly Mouse Tumor Biology (MTB)), Gene Ontology (GO)
Citing These Resources
Funding Information
Warranty Disclaimer, Privacy Notice, Licensing, & Copyright
Send questions and comments to User Support.
last database update
12/30/2025
MGI 6.24
The Jackson Laboratory