About   Help   FAQ
Gene Expression Data
Assay Details
Assay
Reference: J:228563 Koscielny G, et al., The International Mouse Phenotyping Consortium Web Portal, a unified point of access for knockout mice and related phenotyping data. Nucleic Acids Res. 2014 Jan;42(Database issue):D802-9
Assay type: In situ reporter (knock in)
MGI Accession ID: MGI:6691470
Gene symbol: Aplnr
Gene name: apelin receptor
Reporter: lacZ
Direct Detection
Results
Specimen UC Davis_1871893: postnatal adult; Aplnrtm1.1(KOMP)Vlcg/Aplnr+ (more )
Structure Level Pattern Image Note
TS28: submandibular gland Present UC Davis_1871893

Specimen UC Davis_1871894: postnatal adult; Aplnrtm1.1(KOMP)Vlcg/Aplnr+ (more )
Structure Level Pattern Image Note
TS28: submandibular gland Present UC Davis_1871894

Specimen UC Davis_1871895: postnatal adult; Aplnrtm1.1(KOMP)Vlcg/Aplnr+ (more )
Structure Level Pattern Image Note
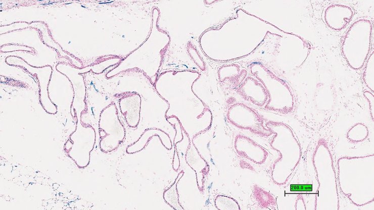
TS28: trachea Present UC Davis_1871895

Specimen UC Davis_1871896: postnatal adult; Aplnrtm1.1(KOMP)Vlcg/Aplnr+ (more )
Structure Level Pattern Image Note
TS28: esophagus Present UC Davis_1871896

Specimen UC Davis_1871897: postnatal adult; Aplnrtm1.1(KOMP)Vlcg/Aplnr+ (more )
Structure Level Pattern Image Note
TS28: thyroid gland Present UC Davis_1871897

Specimen UC Davis_1871898: postnatal adult; Aplnrtm1.1(KOMP)Vlcg/Aplnr+ (more )
Structure Level Pattern Image Note
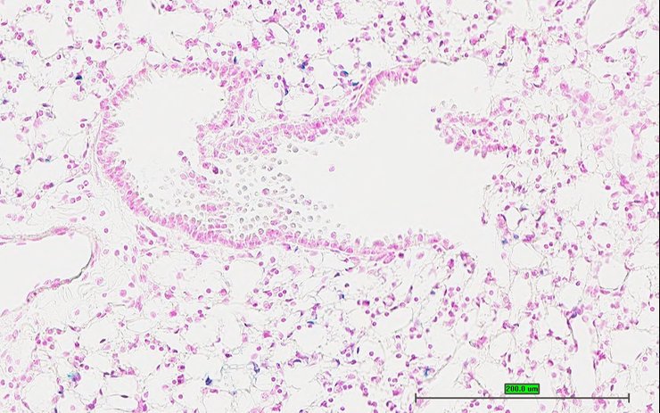
TS28: lung Present UC Davis_1871898

Specimen UC Davis_1871899: postnatal adult; Aplnrtm1.1(KOMP)Vlcg/Aplnr+ (more )
Structure Level Pattern Image Note
TS28: lung Present UC Davis_1871899

Specimen UC Davis_1871900: postnatal adult; Aplnrtm1.1(KOMP)Vlcg/Aplnr+ (more )
Structure Level Pattern Image Note
TS28: lung Present UC Davis_1871900

Specimen UC Davis_1871901: postnatal adult; Aplnrtm1.1(KOMP)Vlcg/Aplnr+ (more )
Structure Level Pattern Image Note
TS28: thymus Present UC Davis_1871901

Specimen UC Davis_1871902: postnatal adult; Aplnrtm1.1(KOMP)Vlcg/Aplnr+ (more )
Structure Level Pattern Image Note
TS28: thymus Present UC Davis_1871902

Specimen UC Davis_1871907: postnatal adult; Aplnrtm1.1(KOMP)Vlcg/Aplnr+ (more )
Structure Level Pattern Image Note
TS28: jejunum Present UC Davis_1871907

Specimen UC Davis_1871908: postnatal adult; Aplnrtm1.1(KOMP)Vlcg/Aplnr+ (more )
Structure Level Pattern Image Note
TS28: ileum Present UC Davis_1871908

Specimen UC Davis_1871909: postnatal adult; Aplnrtm1.1(KOMP)Vlcg/Aplnr+ (more )
Structure Level Pattern Image Note
TS28: ileum Present UC Davis_1871909

Specimen UC Davis_1871910: postnatal adult; Aplnrtm1.1(KOMP)Vlcg/Aplnr+ (more )
Structure Level Pattern Image Note
TS28: colon Present UC Davis_1871910

Specimen UC Davis_1871911: postnatal adult; Aplnrtm1.1(KOMP)Vlcg/Aplnr+ (more )
Structure Level Pattern Image Note
TS28: colon Present UC Davis_1871911

Specimen UC Davis_1871912: postnatal adult; Aplnrtm1.1(KOMP)Vlcg/Aplnr+ (more )
Structure Level Pattern Image Note
TS28: cecum Present UC Davis_1871912

Specimen UC Davis_1871913: postnatal adult; Aplnrtm1.1(KOMP)Vlcg/Aplnr+ (more )
Structure Level Pattern Image Note
TS28: spleen Present UC Davis_1871913

Specimen UC Davis_1871914: postnatal adult; Aplnrtm1.1(KOMP)Vlcg/Aplnr+ (more )
Structure Level Pattern Image Note
TS28: spleen Present UC Davis_1871914

Specimen UC Davis_1871915: postnatal adult; Aplnrtm1.1(KOMP)Vlcg/Aplnr+ (more )
Structure Level Pattern Image Note
TS28: spleen Present UC Davis_1871915

Specimen UC Davis_1871916: postnatal adult; Aplnrtm1.1(KOMP)Vlcg/Aplnr+ (more )
Structure Level Pattern Image Note
TS28: quadriceps femoris muscle Present UC Davis_1871916

Specimen UC Davis_1871917: postnatal adult; Aplnrtm1.1(KOMP)Vlcg/Aplnr+ (more )
Structure Level Pattern Image Note
TS28: tongue Present UC Davis_1871917

Specimen UC Davis_1871918: postnatal adult; Aplnrtm1.1(KOMP)Vlcg/Aplnr+ (more )
Structure Level Pattern Image Note
TS28: tongue Present UC Davis_1871918

Specimen UC Davis_1871919: postnatal adult; Aplnrtm1.1(KOMP)Vlcg/Aplnr+ (more )
Structure Level Pattern Image Note
TS28: tongue Present UC Davis_1871919

Specimen UC Davis_1871920: postnatal adult; Aplnrtm1.1(KOMP)Vlcg/Aplnr+ (more )
Structure Level Pattern Image Note
TS28: diaphragm Present UC Davis_1871920

Specimen UC Davis_1871921: postnatal adult; Aplnrtm1.1(KOMP)Vlcg/Aplnr+ (more )
Structure Level Pattern Image Note
TS28: diaphragm Present UC Davis_1871921

Specimen UC Davis_1871922: postnatal adult; Aplnrtm1.1(KOMP)Vlcg/Aplnr+ (more )
Structure Level Pattern Image Note
TS28: spinal cord Present UC Davis_1871922

Specimen UC Davis_1871923: postnatal adult; Aplnrtm1.1(KOMP)Vlcg/Aplnr+ (more )
Structure Level Pattern Image Note
TS28: spinal cord Present UC Davis_1871923

Specimen UC Davis_1871924: postnatal adult; Aplnrtm1.1(KOMP)Vlcg/Aplnr+ (more )
Structure Level Pattern Image Note
TS28: spinal cord Present UC Davis_1871924

Specimen UC Davis_1871925: postnatal adult; Aplnrtm1.1(KOMP)Vlcg/Aplnr+ (more )
Structure Level Pattern Image Note
TS28: Harderian gland Present UC Davis_1871925

Specimen UC Davis_1871926: postnatal adult; Aplnrtm1.1(KOMP)Vlcg/Aplnr+ (more )
Structure Level Pattern Image Note
TS28: Harderian gland Present UC Davis_1871926

Specimen UC Davis_1871927: postnatal adult; Aplnrtm1.1(KOMP)Vlcg/Aplnr+ (more )
Structure Level Pattern Image Note
TS28: gonadal fat pad Present UC Davis_1871927

Specimen UC Davis_1871928: postnatal adult; Aplnrtm1.1(KOMP)Vlcg/Aplnr+ (more )
Structure Level Pattern Image Note
TS28: gonadal fat pad Present UC Davis_1871928

Specimen UC Davis_1871929: postnatal adult; Aplnrtm1.1(KOMP)Vlcg/Aplnr+ (more )
Structure Level Pattern Image Note
TS28: gonadal fat pad Present UC Davis_1871929

Specimen UC Davis_1871930: postnatal adult; Aplnrtm1.1(KOMP)Vlcg/Aplnr+ (more )
Structure Level Pattern Image Note
TS28: mesenteric adipose tissue Present UC Davis_1871930

Specimen UC Davis_1871931: postnatal adult; Aplnrtm1.1(KOMP)Vlcg/Aplnr+ (more )
Structure Level Pattern Image Note
TS28: mesenteric adipose tissue Present UC Davis_1871931

Specimen UC Davis_1871932: postnatal adult; Aplnrtm1.1(KOMP)Vlcg/Aplnr+ (more )
Structure Level Pattern Image Note
TS28: skin Present UC Davis_1871932

Specimen UC Davis_1871933: postnatal adult; Aplnrtm1.1(KOMP)Vlcg/Aplnr+ (more )
Structure Level Pattern Image Note
TS28: skin Present UC Davis_1871933

Specimen UC Davis_1871934: postnatal adult; Aplnrtm1.1(KOMP)Vlcg/Aplnr+ (more )
Structure Level Pattern Image Note
TS28: brown fat Present UC Davis_1871934

Specimen UC Davis_1871935: postnatal adult; Aplnrtm1.1(KOMP)Vlcg/Aplnr+ (more )
Structure Level Pattern Image Note
TS28: brown fat Present UC Davis_1871935

Specimen UC Davis_1871936: postnatal adult; Aplnrtm1.1(KOMP)Vlcg/Aplnr+ (more )
Structure Level Pattern Image Note
TS28: olfactory lobe Present UC Davis_1871936

Specimen UC Davis_1871940: postnatal adult; Aplnrtm1.1(KOMP)Vlcg/Aplnr+ (more )
Structure Level Pattern Image Note
TS28: midbrain Present UC Davis_1871940

Specimen UC Davis_1871942: postnatal adult; Aplnrtm1.1(KOMP)Vlcg/Aplnr+ (more )
Structure Level Pattern Image Note
TS28: trigeminal nerve Present UC Davis_1871942

Specimen UC Davis_1871943: postnatal adult; Aplnrtm1.1(KOMP)Vlcg/Aplnr+ (more )
Structure Level Pattern Image Note
TS28: ovary Present UC Davis_1871943

Specimen UC Davis_1871944: postnatal adult; Aplnrtm1.1(KOMP)Vlcg/Aplnr+ (more )
Structure Level Pattern Image Note
TS28: oviduct Present UC Davis_1871944

Specimen UC Davis_1871945: postnatal adult; Aplnrtm1.1(KOMP)Vlcg/Aplnr+ (more )
Structure Level Pattern Image Note
TS28: uterus Present UC Davis_1871945

Specimen UC Davis_1871946: postnatal adult; Aplnrtm1.1(KOMP)Vlcg/Aplnr+ (more )
Structure Level Pattern Image Note
TS28: uterus Present UC Davis_1871946

Specimen UC Davis_1871947: postnatal adult; Aplnrtm1.1(KOMP)Vlcg/Aplnr+ (more )
Structure Level Pattern Image Note
TS28: vagina Present UC Davis_1871947

Specimen UC Davis_1871948: postnatal adult; Aplnrtm1.1(KOMP)Vlcg/Aplnr+ (more )
Structure Level Pattern Image Note
TS28: vagina Present UC Davis_1871948

Specimen UC Davis_1871949: postnatal adult; Aplnrtm1.1(KOMP)Vlcg/Aplnr+ (more )
Structure Level Pattern Image Note
TS28: bladder Present UC Davis_1871949

Specimen UC Davis_1871951: postnatal adult; Aplnrtm1.1(KOMP)Vlcg/Aplnr+ (more )
Structure Level Pattern Image Note
TS28: mammary gland Present UC Davis_1871951

Specimen UC Davis_1871952: postnatal adult; Aplnrtm1.1(KOMP)Vlcg/Aplnr+ (more )
Structure Level Pattern Image Note
TS28: mammary gland Present UC Davis_1871952

Specimen UC Davis_1871953: postnatal adult; Aplnrtm1.1(KOMP)Vlcg/Aplnr+ (more )
Structure Level Pattern Image Note
TS28: submandibular gland Present UC Davis_1871953

Specimen UC Davis_1871954: postnatal adult; Aplnrtm1.1(KOMP)Vlcg/Aplnr+ (more )
Structure Level Pattern Image Note
TS28: submandibular gland Present UC Davis_1871954

Specimen UC Davis_1871955: postnatal adult; Aplnrtm1.1(KOMP)Vlcg/Aplnr+ (more )
Structure Level Pattern Image Note
TS28: parotid gland Present UC Davis_1871955

Specimen UC Davis_1871956: postnatal adult; Aplnrtm1.1(KOMP)Vlcg/Aplnr+ (more )
Structure Level Pattern Image Note
TS28: parotid gland Present UC Davis_1871956

Specimen UC Davis_1871958: postnatal adult; Aplnrtm1.1(KOMP)Vlcg/Aplnr+ (more )
Structure Level Pattern Image Note
TS28: esophagus Present UC Davis_1871958

Specimen UC Davis_1871959: postnatal adult; Aplnrtm1.1(KOMP)Vlcg/Aplnr+ (more )
Structure Level Pattern Image Note
TS28: esophagus Present UC Davis_1871959

Specimen UC Davis_1871960: postnatal adult; Aplnrtm1.1(KOMP)Vlcg/Aplnr+ (more )
Structure Level Pattern Image Note
TS28: thyroid gland Present UC Davis_1871960

Specimen UC Davis_1871961: postnatal adult; Aplnrtm1.1(KOMP)Vlcg/Aplnr+ (more )
Structure Level Pattern Image Note
TS28: thyroid gland Present UC Davis_1871961

Specimen UC Davis_1871963: postnatal adult; Aplnrtm1.1(KOMP)Vlcg/Aplnr+ (more )
Structure Level Pattern Image Note
TS28: parathyroid gland Present UC Davis_1871963

Specimen UC Davis_1871964: postnatal adult; Aplnrtm1.1(KOMP)Vlcg/Aplnr+ (more )
Structure Level Pattern Image Note
TS28: thymus Present UC Davis_1871964

Specimen UC Davis_1871965: postnatal adult; Aplnrtm1.1(KOMP)Vlcg/Aplnr+ (more )
Structure Level Pattern Image Note
TS28: thymus Present UC Davis_1871965

Specimen UC Davis_1871966: postnatal adult; Aplnrtm1.1(KOMP)Vlcg/Aplnr+ (more )
Structure Level Pattern Image Note
TS28: thymus Present UC Davis_1871966

Specimen UC Davis_1871970: postnatal adult; Aplnrtm1.1(KOMP)Vlcg/Aplnr+ (more )
Structure Level Pattern Image Note
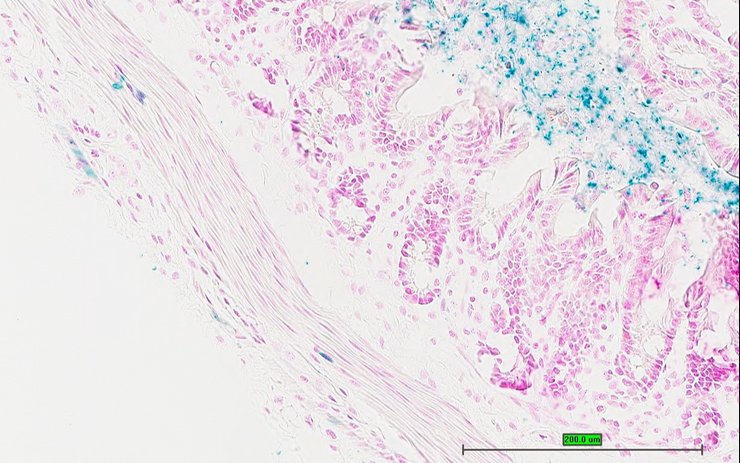
TS28: stomach Present UC Davis_1871970

Specimen UC Davis_1871971: postnatal adult; Aplnrtm1.1(KOMP)Vlcg/Aplnr+ (more )
Structure Level Pattern Image Note
TS28: stomach Present UC Davis_1871971

Specimen UC Davis_1871972: postnatal adult; Aplnrtm1.1(KOMP)Vlcg/Aplnr+ (more )
Structure Level Pattern Image Note
TS28: jejunum Present UC Davis_1871972

Specimen UC Davis_1871973: postnatal adult; Aplnrtm1.1(KOMP)Vlcg/Aplnr+ (more )
Structure Level Pattern Image Note
TS28: ileum Present UC Davis_1871973

Specimen UC Davis_1871974: postnatal adult; Aplnrtm1.1(KOMP)Vlcg/Aplnr+ (more )
Structure Level Pattern Image Note
TS28: ileum Present UC Davis_1871974

Specimen UC Davis_1871975: postnatal adult; Aplnrtm1.1(KOMP)Vlcg/Aplnr+ (more )
Structure Level Pattern Image Note
TS28: colon Present UC Davis_1871975

Specimen UC Davis_1871976: postnatal adult; Aplnrtm1.1(KOMP)Vlcg/Aplnr+ (more )
Structure Level Pattern Image Note
TS28: cecum Present UC Davis_1871976

Specimen UC Davis_1871977: postnatal adult; Aplnrtm1.1(KOMP)Vlcg/Aplnr+ (more )
Structure Level Pattern Image Note
TS28: spleen Present UC Davis_1871977

Specimen UC Davis_1871978: postnatal adult; Aplnrtm1.1(KOMP)Vlcg/Aplnr+ (more )
Structure Level Pattern Image Note
TS28: spleen Present UC Davis_1871978

Specimen UC Davis_1871979: postnatal adult; Aplnrtm1.1(KOMP)Vlcg/Aplnr+ (more )
Structure Level Pattern Image Note
TS28: metanephros Present UC Davis_1871979 kidney

Specimen UC Davis_1871980: postnatal adult; Aplnrtm1.1(KOMP)Vlcg/Aplnr+ (more )
Structure Level Pattern Image Note
TS28: metanephros Present UC Davis_1871980 kidney

Specimen UC Davis_1871981: postnatal adult; Aplnrtm1.1(KOMP)Vlcg/Aplnr+ (more )
Structure Level Pattern Image Note
TS28: quadriceps femoris muscle Present UC Davis_1871981

Specimen UC Davis_1871982: postnatal adult; Aplnrtm1.1(KOMP)Vlcg/Aplnr+ (more )
Structure Level Pattern Image Note
TS28: quadriceps femoris muscle Present UC Davis_1871982

Specimen UC Davis_1871983: postnatal adult; Aplnrtm1.1(KOMP)Vlcg/Aplnr+ (more )
Structure Level Pattern Image Note
TS28: quadriceps femoris muscle Present UC Davis_1871983

Specimen UC Davis_1871984: postnatal adult; Aplnrtm1.1(KOMP)Vlcg/Aplnr+ (more )
Structure Level Pattern Image Note
TS28: quadriceps femoris muscle Present UC Davis_1871984

Specimen UC Davis_1871985: postnatal adult; Aplnrtm1.1(KOMP)Vlcg/Aplnr+ (more )
Structure Level Pattern Image Note
TS28: diaphragm Present UC Davis_1871985

Specimen UC Davis_1871986: postnatal adult; Aplnrtm1.1(KOMP)Vlcg/Aplnr+ (more )
Structure Level Pattern Image Note
TS28: spinal cord Present UC Davis_1871986

Specimen UC Davis_1871987: postnatal adult; Aplnrtm1.1(KOMP)Vlcg/Aplnr+ (more )
Structure Level Pattern Image Note
TS28: spinal cord Present UC Davis_1871987

Specimen UC Davis_1871988: postnatal adult; Aplnrtm1.1(KOMP)Vlcg/Aplnr+ (more )
Structure Level Pattern Image Note
TS28: gonadal fat pad Present UC Davis_1871988

Specimen UC Davis_1871989: postnatal adult; Aplnrtm1.1(KOMP)Vlcg/Aplnr+ (more )
Structure Level Pattern Image Note
TS28: mesenteric adipose tissue Absent UC Davis_1871989

Specimen UC Davis_1871990: postnatal adult; Aplnrtm1.1(KOMP)Vlcg/Aplnr+ (more )
Structure Level Pattern Image Note
TS28: skin Present UC Davis_1871990

Specimen UC Davis_1871991: postnatal adult; Aplnrtm1.1(KOMP)Vlcg/Aplnr+ (more )
Structure Level Pattern Image Note
TS28: skin Present UC Davis_1871991

Specimen UC Davis_1871992: postnatal adult; Aplnrtm1.1(KOMP)Vlcg/Aplnr+ (more )
Structure Level Pattern Image Note
TS28: skin Present UC Davis_1871992

Specimen UC Davis_1871993: postnatal adult; Aplnrtm1.1(KOMP)Vlcg/Aplnr+ (more )
Structure Level Pattern Image Note
TS28: brown fat Absent UC Davis_1871993

Specimen UC Davis_1871994: postnatal adult; Aplnrtm1.1(KOMP)Vlcg/Aplnr+ (more )
Structure Level Pattern Image Note
TS28: brown fat Absent UC Davis_1871994

Specimen UC Davis_1871995: postnatal adult; Aplnrtm1.1(KOMP)Vlcg/Aplnr+ (more )
Structure Level Pattern Image Note
TS28: olfactory lobe Present UC Davis_1871995

Specimen UC Davis_1871998: postnatal adult; Aplnrtm1.1(KOMP)Vlcg/Aplnr+ (more )
Structure Level Pattern Image Note
TS28: midbrain Present UC Davis_1871998

Specimen UC Davis_1872000: postnatal adult; Aplnrtm1.1(KOMP)Vlcg/Aplnr+ (more )
Structure Level Pattern Image Note
TS28: trigeminal nerve Present UC Davis_1872000

Specimen UC Davis_1872001: postnatal adult; Aplnrtm1.1(KOMP)Vlcg/Aplnr+ (more )
Structure Level Pattern Image Note
TS28: trigeminal nerve Present UC Davis_1872001

Specimen UC Davis_1872002: postnatal adult; Aplnrtm1.1(KOMP)Vlcg/Aplnr+ (more )
Structure Level Pattern Image Note
TS28: bladder Present UC Davis_1872002

Specimen UC Davis_1872003: postnatal adult; Aplnrtm1.1(KOMP)Vlcg/Aplnr+ (more )
Structure Level Pattern Image Note
TS28: bladder Present UC Davis_1872003

Specimen UC Davis_1872004: postnatal adult; Aplnrtm1.1(KOMP)Vlcg/Aplnr+ (more )
Structure Level Pattern Image Note
TS28: testis Present UC Davis_1872004

Specimen UC Davis_1872005: postnatal adult; Aplnrtm1.1(KOMP)Vlcg/Aplnr+ (more )
Structure Level Pattern Image Note
TS28: epididymis Present UC Davis_1872005

Specimen UC Davis_1872006: postnatal adult; Aplnrtm1.1(KOMP)Vlcg/Aplnr+ (more )
Structure Level Pattern Image Note
TS28: epididymis Present UC Davis_1872006

Specimen UC Davis_1872007: postnatal adult; Aplnrtm1.1(KOMP)Vlcg/Aplnr+ (more )
Structure Level Pattern Image Note
TS28: prostate gland Present UC Davis_1872007

Specimen UC Davis_1872008: postnatal adult; Aplnrtm1.1(KOMP)Vlcg/Aplnr+ (more )
Structure Level Pattern Image Note
TS28: prostate gland Present UC Davis_1872008

Specimen UC Davis_1872009: postnatal adult; Aplnrtm1.1(KOMP)Vlcg/Aplnr+ (more )
Structure Level Pattern Image Note
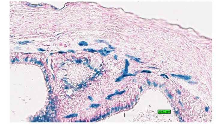
TS28: penis Present UC Davis_1872009

Specimen UC Davis_1872010: postnatal adult; Aplnrtm1.1(KOMP)Vlcg/Aplnr+ (more )
Structure Level Pattern Image Note
TS28: penis Present UC Davis_1872010

Specimen UC Davis_1872011: postnatal adult; Aplnrtm1.1(KOMP)Vlcg/Aplnr+ (more )
Structure Level Pattern Image Note
TS28: ductus deferens Present UC Davis_1872011 vas deferens

Specimen UC Davis_1872012: postnatal adult; Aplnrtm1.1(KOMP)Vlcg/Aplnr+ (more )
Structure Level Pattern Image Note
TS28: ductus deferens Present UC Davis_1872012 vas deferens

Specimen UC Davis_1872013: postnatal adult; Aplnrtm1.1(KOMP)Vlcg/Aplnr+ (more )
Structure Level Pattern Image Note
TS28: ductus deferens Present UC Davis_1872013 vas deferens

Specimen UC Davis_1872016: postnatal adult; Aplnrtm1.1(KOMP)Vlcg/Aplnr+ (more )
Structure Level Pattern Image Note
TS28: seminal vesicle Present UC Davis_1872016 vesicular gland

Specimen UC Davis_1872017: postnatal adult; Aplnrtm1.1(KOMP)Vlcg/Aplnr+ (more )
Structure Level Pattern Image Note
TS28: seminal vesicle Present UC Davis_1872017 vesicular gland


Contributing Projects:
Mouse Genome Database (MGD), Gene Expression Database (GXD), Mouse Models of Human Cancer database (MMHCdb) (formerly Mouse Tumor Biology (MTB)), Gene Ontology (GO)
Citing These Resources
Funding Information
Warranty Disclaimer, Privacy Notice, Licensing, & Copyright
Send questions and comments to User Support.
last database update
01/20/2026
MGI 6.24
The Jackson Laboratory