About   Help   FAQ
Gene Expression Data
Assay Details
Assay
Reference: J:228563 Koscielny G, et al., The International Mouse Phenotyping Consortium Web Portal, a unified point of access for knockout mice and related phenotyping data. Nucleic Acids Res. 2014 Jan;42(Database issue):D802-9
Assay type: In situ reporter (knock in)
MGI Accession ID: MGI:6691433
Gene symbol: Fjx1
Gene name: four jointed box 1
Reporter: lacZ
Direct Detection
Results
Specimen UC Davis_1873228: postnatal adult; Fjx1tm1.1(KOMP)Vlcg/Fjx1+ (more )
Structure Level Pattern Image Note
TS28: submandibular gland Present UC Davis_1873228

Specimen UC Davis_1873229: postnatal adult; Fjx1tm1.1(KOMP)Vlcg/Fjx1+ (more )
Structure Level Pattern Image Note
TS28: sublingual gland Present UC Davis_1873229

Specimen UC Davis_1873230: postnatal adult; Fjx1tm1.1(KOMP)Vlcg/Fjx1+ (more )
Structure Level Pattern Image Note
TS28: trachea Present UC Davis_1873230

Specimen UC Davis_1873231: postnatal adult; Fjx1tm1.1(KOMP)Vlcg/Fjx1+ (more )
Structure Level Pattern Image Note
TS28: trachea Present UC Davis_1873231

Specimen UC Davis_1873232: postnatal adult; Fjx1tm1.1(KOMP)Vlcg/Fjx1+ (more )
Structure Level Pattern Image Note
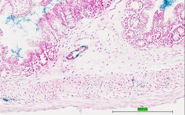
TS28: esophagus Present UC Davis_1873232

Specimen UC Davis_1873233: postnatal adult; Fjx1tm1.1(KOMP)Vlcg/Fjx1+ (more )
Structure Level Pattern Image Note
TS28: esophagus Present UC Davis_1873233

Specimen UC Davis_1873234: postnatal adult; Fjx1tm1.1(KOMP)Vlcg/Fjx1+ (more )
Structure Level Pattern Image Note
TS28: thyroid gland Present UC Davis_1873234

Specimen UC Davis_1873235: postnatal adult; Fjx1tm1.1(KOMP)Vlcg/Fjx1+ (more )
Structure Level Pattern Image Note
TS28: jejunum Present UC Davis_1873235

Specimen UC Davis_1873236: postnatal adult; Fjx1tm1.1(KOMP)Vlcg/Fjx1+ (more )
Structure Level Pattern Image Note
TS28: ileum Present UC Davis_1873236

Specimen UC Davis_1873237: postnatal adult; Fjx1tm1.1(KOMP)Vlcg/Fjx1+ (more )
Structure Level Pattern Image Note
TS28: colon Present UC Davis_1873237

Specimen UC Davis_1873238: postnatal adult; Fjx1tm1.1(KOMP)Vlcg/Fjx1+ (more )
Structure Level Pattern Image Note
TS28: colon Present UC Davis_1873238

Specimen UC Davis_1873239: postnatal adult; Fjx1tm1.1(KOMP)Vlcg/Fjx1+ (more )
Structure Level Pattern Image Note
TS28: colon Present UC Davis_1873239

Specimen UC Davis_1873240: postnatal adult; Fjx1tm1.1(KOMP)Vlcg/Fjx1+ (more )
Structure Level Pattern Image Note
TS28: metanephros Present UC Davis_1873240 kidney

Specimen UC Davis_1873241: postnatal adult; Fjx1tm1.1(KOMP)Vlcg/Fjx1+ (more )
Structure Level Pattern Image Note
TS28: tongue Present UC Davis_1873241

Specimen UC Davis_1873242: postnatal adult; Fjx1tm1.1(KOMP)Vlcg/Fjx1+ (more )
Structure Level Pattern Image Note
TS28: tongue Present UC Davis_1873242

Specimen UC Davis_1873243: postnatal adult; Fjx1tm1.1(KOMP)Vlcg/Fjx1+ (more )
Structure Level Pattern Image Note
TS28: tongue Present UC Davis_1873243

Specimen UC Davis_1873244: postnatal adult; Fjx1tm1.1(KOMP)Vlcg/Fjx1+ (more )
Structure Level Pattern Image Note
TS28: spinal cord Present UC Davis_1873244

Specimen UC Davis_1873245: postnatal adult; Fjx1tm1.1(KOMP)Vlcg/Fjx1+ (more )
Structure Level Pattern Image Note
TS28: spinal cord Present UC Davis_1873245

Specimen UC Davis_1873246: postnatal adult; Fjx1tm1.1(KOMP)Vlcg/Fjx1+ (more )
Structure Level Pattern Image Note
TS28: spinal cord Present UC Davis_1873246

Specimen UC Davis_1873247: postnatal adult; Fjx1tm1.1(KOMP)Vlcg/Fjx1+ (more )
Structure Level Pattern Image Note
TS28: gonadal fat pad Present UC Davis_1873247

Specimen UC Davis_1873248: postnatal adult; Fjx1tm1.1(KOMP)Vlcg/Fjx1+ (more )
Structure Level Pattern Image Note
TS28: gonadal fat pad Present UC Davis_1873248

Specimen UC Davis_1873249: postnatal adult; Fjx1tm1.1(KOMP)Vlcg/Fjx1+ (more )
Structure Level Pattern Image Note
TS28: mesenteric adipose tissue Present UC Davis_1873249

Specimen UC Davis_1873250: postnatal adult; Fjx1tm1.1(KOMP)Vlcg/Fjx1+ (more )
Structure Level Pattern Image Note
TS28: brown fat Present UC Davis_1873250

Specimen UC Davis_1873251: postnatal adult; Fjx1tm1.1(KOMP)Vlcg/Fjx1+ (more )
Structure Level Pattern Image Note
TS28: brown fat Present UC Davis_1873251

Specimen UC Davis_1873252: postnatal adult; Fjx1tm1.1(KOMP)Vlcg/Fjx1+ (more )
Structure Level Pattern Image Note
TS28: olfactory lobe Present UC Davis_1873252

Specimen UC Davis_1873255: postnatal adult; Fjx1tm1.1(KOMP)Vlcg/Fjx1+ (more )
Structure Level Pattern Image Note
TS28: midbrain Present UC Davis_1873255

Specimen UC Davis_1873257: postnatal adult; Fjx1tm1.1(KOMP)Vlcg/Fjx1+ (more )
Structure Level Pattern Image Note
TS28: cerebellum Present UC Davis_1873257

Specimen UC Davis_1873258: postnatal adult; Fjx1tm1.1(KOMP)Vlcg/Fjx1+ (more )
Structure Level Pattern Image Note
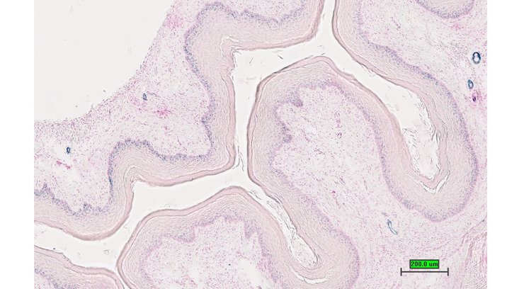
TS28: oviduct Present UC Davis_1873258

Specimen UC Davis_1873259: postnatal adult; Fjx1tm1.1(KOMP)Vlcg/Fjx1+ (more )
Structure Level Pattern Image Note
TS28: oviduct Present UC Davis_1873259

Specimen UC Davis_1873260: postnatal adult; Fjx1tm1.1(KOMP)Vlcg/Fjx1+ (more )
Structure Level Pattern Image Note
TS28: vagina Present UC Davis_1873260

Specimen UC Davis_1873261: postnatal adult; Fjx1tm1.1(KOMP)Vlcg/Fjx1+ (more )
Structure Level Pattern Image Note
TS28: vagina Present UC Davis_1873261

Specimen UC Davis_1873262: postnatal adult; Fjx1tm1.1(KOMP)Vlcg/Fjx1+ (more )
Structure Level Pattern Image Note
TS28: vagina Present UC Davis_1873262

Specimen UC Davis_1873265: postnatal adult; Fjx1tm1.1(KOMP)Vlcg/Fjx1+ (more )
Structure Level Pattern Image Note
TS28: trachea Present UC Davis_1873265

Specimen UC Davis_1873266: postnatal adult; Fjx1tm1.1(KOMP)Vlcg/Fjx1+ (more )
Structure Level Pattern Image Note
TS28: esophagus Present UC Davis_1873266

Specimen UC Davis_1873268: postnatal adult; Fjx1tm1.1(KOMP)Vlcg/Fjx1+ (more )
Structure Level Pattern Image Note
TS28: aorta Present UC Davis_1873268

Specimen UC Davis_1873270: postnatal adult; Fjx1tm1.1(KOMP)Vlcg/Fjx1+ (more )
Structure Level Pattern Image Note
TS28: jejunum Present UC Davis_1873270

Specimen UC Davis_1873271: postnatal adult; Fjx1tm1.1(KOMP)Vlcg/Fjx1+ (more )
Structure Level Pattern Image Note
TS28: colon Present UC Davis_1873271

Specimen UC Davis_1873272: postnatal adult; Fjx1tm1.1(KOMP)Vlcg/Fjx1+ (more )
Structure Level Pattern Image Note
TS28: colon Present UC Davis_1873272

Specimen UC Davis_1873273: postnatal adult; Fjx1tm1.1(KOMP)Vlcg/Fjx1+ (more )
Structure Level Pattern Image Note
TS28: metanephros Present UC Davis_1873273 kidney

Specimen UC Davis_1873274: postnatal adult; Fjx1tm1.1(KOMP)Vlcg/Fjx1+ (more )
Structure Level Pattern Image Note
TS28: metanephros Present UC Davis_1873274 kidney

Specimen UC Davis_1873275: postnatal adult; Fjx1tm1.1(KOMP)Vlcg/Fjx1+ (more )
Structure Level Pattern Image Note
TS28: quadriceps femoris muscle Present UC Davis_1873275

Specimen UC Davis_1873276: postnatal adult; Fjx1tm1.1(KOMP)Vlcg/Fjx1+ (more )
Structure Level Pattern Image Note
TS28: tongue Present UC Davis_1873276

Specimen UC Davis_1873277: postnatal adult; Fjx1tm1.1(KOMP)Vlcg/Fjx1+ (more )
Structure Level Pattern Image Note
TS28: tongue Present UC Davis_1873277

Specimen UC Davis_1873278: postnatal adult; Fjx1tm1.1(KOMP)Vlcg/Fjx1+ (more )
Structure Level Pattern Image Note
TS28: diaphragm Present UC Davis_1873278

Specimen UC Davis_1873279: postnatal adult; Fjx1tm1.1(KOMP)Vlcg/Fjx1+ (more )
Structure Level Pattern Image Note
TS28: spinal cord Present UC Davis_1873279

Specimen UC Davis_1873280: postnatal adult; Fjx1tm1.1(KOMP)Vlcg/Fjx1+ (more )
Structure Level Pattern Image Note
TS28: eye Present UC Davis_1873280

Specimen UC Davis_1873281: postnatal adult; Fjx1tm1.1(KOMP)Vlcg/Fjx1+ (more )
Structure Level Pattern Image Note
TS28: Harderian gland Present UC Davis_1873281

Specimen UC Davis_1873282: postnatal adult; Fjx1tm1.1(KOMP)Vlcg/Fjx1+ (more )
Structure Level Pattern Image Note
TS28: mesenteric adipose tissue Present UC Davis_1873282

Specimen UC Davis_1873283: postnatal adult; Fjx1tm1.1(KOMP)Vlcg/Fjx1+ (more )
Structure Level Pattern Image Note
TS28: skin Present UC Davis_1873283

Specimen UC Davis_1873284: postnatal adult; Fjx1tm1.1(KOMP)Vlcg/Fjx1+ (more )
Structure Level Pattern Image Note
TS28: brown fat Present UC Davis_1873284

Specimen UC Davis_1873285: postnatal adult; Fjx1tm1.1(KOMP)Vlcg/Fjx1+ (more )
Structure Level Pattern Image Note
TS28: olfactory lobe Present UC Davis_1873285

Specimen UC Davis_1873288: postnatal adult; Fjx1tm1.1(KOMP)Vlcg/Fjx1+ (more )
Structure Level Pattern Image Note
TS28: midbrain Present UC Davis_1873288

Specimen UC Davis_1873289: postnatal adult; Fjx1tm1.1(KOMP)Vlcg/Fjx1+ (more )
Structure Level Pattern Image Note
TS28: midbrain Present UC Davis_1873289

Specimen UC Davis_1873291: postnatal adult; Fjx1tm1.1(KOMP)Vlcg/Fjx1+ (more )
Structure Level Pattern Image Note
TS28: cerebellum Present UC Davis_1873291

Specimen UC Davis_1873292: postnatal adult; Fjx1tm1.1(KOMP)Vlcg/Fjx1+ (more )
Structure Level Pattern Image Note
TS28: trigeminal nerve Present UC Davis_1873292

Specimen UC Davis_1873293: postnatal adult; Fjx1tm1.1(KOMP)Vlcg/Fjx1+ (more )
Structure Level Pattern Image Note
TS28: bladder Present UC Davis_1873293

Specimen UC Davis_1873294: postnatal adult; Fjx1tm1.1(KOMP)Vlcg/Fjx1+ (more )
Structure Level Pattern Image Note
TS28: testis Present UC Davis_1873294

Specimen UC Davis_1873295: postnatal adult; Fjx1tm1.1(KOMP)Vlcg/Fjx1+ (more )
Structure Level Pattern Image Note
TS28: testis Present UC Davis_1873295

Specimen UC Davis_1873296: postnatal adult; Fjx1tm1.1(KOMP)Vlcg/Fjx1+ (more )
Structure Level Pattern Image Note
TS28: epididymis Present UC Davis_1873296

Specimen UC Davis_1873297: postnatal adult; Fjx1tm1.1(KOMP)Vlcg/Fjx1+ (more )
Structure Level Pattern Image Note
TS28: epididymis Present UC Davis_1873297

Specimen UC Davis_1873298: postnatal adult; Fjx1tm1.1(KOMP)Vlcg/Fjx1+ (more )
Structure Level Pattern Image Note
TS28: prostate gland Present UC Davis_1873298

Specimen UC Davis_1873299: postnatal adult; Fjx1tm1.1(KOMP)Vlcg/Fjx1+ (more )
Structure Level Pattern Image Note
TS28: penis Present UC Davis_1873299

Specimen UC Davis_1873300: postnatal adult; Fjx1tm1.1(KOMP)Vlcg/Fjx1+ (more )
Structure Level Pattern Image Note
TS28: penis Present UC Davis_1873300

Specimen UC Davis_1873301: postnatal adult; Fjx1tm1.1(KOMP)Vlcg/Fjx1+ (more )
Structure Level Pattern Image Note
TS28: penis Present UC Davis_1873301

Specimen UC Davis_1873302: postnatal adult; Fjx1tm1.1(KOMP)Vlcg/Fjx1+ (more )
Structure Level Pattern Image Note
TS28: ductus deferens Present UC Davis_1873302 vas deferens

Specimen UC Davis_1873305: postnatal adult; Fjx1tm1.1(KOMP)Vlcg/Fjx1+ (more )
Structure Level Pattern Image Note
TS28: seminal vesicle Present UC Davis_1873305 vesicular gland


Contributing Projects:
Mouse Genome Database (MGD), Gene Expression Database (GXD), Mouse Models of Human Cancer database (MMHCdb) (formerly Mouse Tumor Biology (MTB)), Gene Ontology (GO)
Citing These Resources
Funding Information
Warranty Disclaimer, Privacy Notice, Licensing, & Copyright
Send questions and comments to User Support.
last database update
01/20/2026
MGI 6.24
The Jackson Laboratory