About   Help   FAQ
Gene Expression Data
Assay Details
Assay
Reference: J:228563 Koscielny G, et al., The International Mouse Phenotyping Consortium Web Portal, a unified point of access for knockout mice and related phenotyping data. Nucleic Acids Res. 2014 Jan;42(Database issue):D802-9
Assay type: In situ reporter (knock in)
MGI Accession ID: MGI:6691429
Gene symbol: Cnga3
Gene name: cyclic nucleotide gated channel alpha 3
Reporter: lacZ
Direct Detection
Results
Specimen UC Davis_1879399: postnatal adult; Cnga3tm1.1(KOMP)Vlcg/Cnga3+ (more )
Structure Level Pattern Image Note
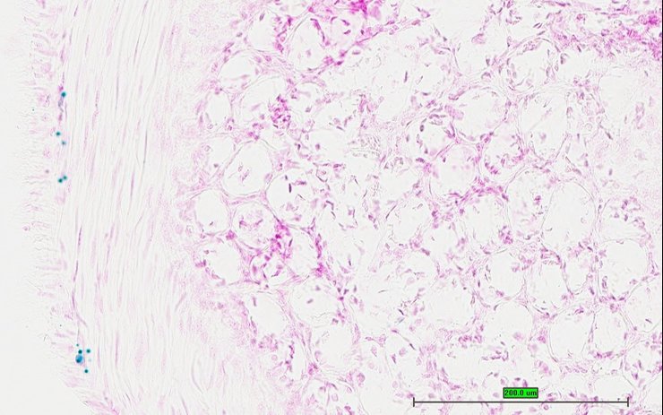
TS28: stomach Present UC Davis_1879399

Specimen UC Davis_1879400: postnatal adult; Cnga3tm1.1(KOMP)Vlcg/Cnga3+ (more )
Structure Level Pattern Image Note
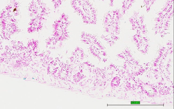
TS28: ileum Present UC Davis_1879400

Specimen UC Davis_1879401: postnatal adult; Cnga3tm1.1(KOMP)Vlcg/Cnga3+ (more )
Structure Level Pattern Image Note
TS28: colon Present UC Davis_1879401

Specimen UC Davis_1879388: postnatal adult; Cnga3tm1.1(KOMP)Vlcg/Cnga3+ (more )
Structure Level Pattern Image Note
TS28: stomach Present UC Davis_1879388

Specimen UC Davis_1879389: postnatal adult; Cnga3tm1.1(KOMP)Vlcg/Cnga3+ (more )
Structure Level Pattern Image Note
TS28: stomach Present UC Davis_1879389

Specimen UC Davis_1879390: postnatal adult; Cnga3tm1.1(KOMP)Vlcg/Cnga3+ (more )
Structure Level Pattern Image Note
TS28: jejunum Present UC Davis_1879390

Specimen UC Davis_1879391: postnatal adult; Cnga3tm1.1(KOMP)Vlcg/Cnga3+ (more )
Structure Level Pattern Image Note
TS28: ileum Present UC Davis_1879391

Specimen UC Davis_1879392: postnatal adult; Cnga3tm1.1(KOMP)Vlcg/Cnga3+ (more )
Structure Level Pattern Image Note
TS28: colon Present UC Davis_1879392

Specimen UC Davis_1879393: postnatal adult; Cnga3tm1.1(KOMP)Vlcg/Cnga3+ (more )
Structure Level Pattern Image Note
TS28: colon Present UC Davis_1879393

Specimen UC Davis_1879394: postnatal adult; Cnga3tm1.1(KOMP)Vlcg/Cnga3+ (more )
Structure Level Pattern Image Note
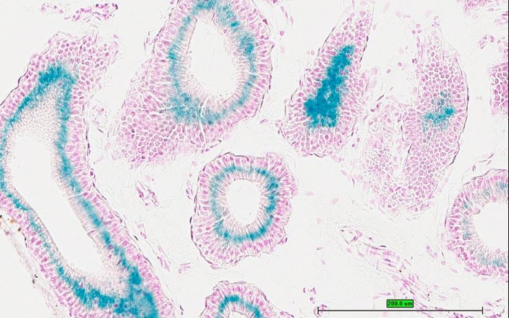
TS28: eye Present UC Davis_1879394

Specimen UC Davis_1879397: postnatal adult; Cnga3tm1.1(KOMP)Vlcg/Cnga3+ (more )
Structure Level Pattern Image Note
TS28: epididymis Present UC Davis_1879397

Specimen UC Davis_1879398: postnatal adult; Cnga3tm1.1(KOMP)Vlcg/Cnga3+ (more )
Structure Level Pattern Image Note
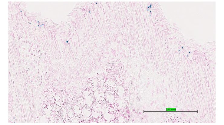
TS28: ductus deferens Present UC Davis_1879398 vas deferens


Contributing Projects:
Mouse Genome Database (MGD), Gene Expression Database (GXD), Mouse Models of Human Cancer database (MMHCdb) (formerly Mouse Tumor Biology (MTB)), Gene Ontology (GO)
Citing These Resources
Funding Information
Warranty Disclaimer, Privacy Notice, Licensing, & Copyright
Send questions and comments to User Support.
last database update
01/28/2026
MGI 6.24
The Jackson Laboratory