About   Help   FAQ
Gene Expression Data
Assay Details
Assay
Reference: J:228563 Koscielny G, et al., The International Mouse Phenotyping Consortium Web Portal, a unified point of access for knockout mice and related phenotyping data. Nucleic Acids Res. 2014 Jan;42(Database issue):D802-9
Assay type: In situ reporter (knock in)
MGI Accession ID: MGI:6691428
Gene symbol: Ndrg1
Gene name: N-myc downstream regulated gene 1
Reporter: lacZ
Direct Detection
Results
Specimen UC Davis_1886937: postnatal adult; Ndrg1tm2b(KOMP)Wtsi/Ndrg1+ (more )
Structure Level Pattern Image Note
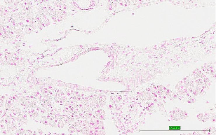
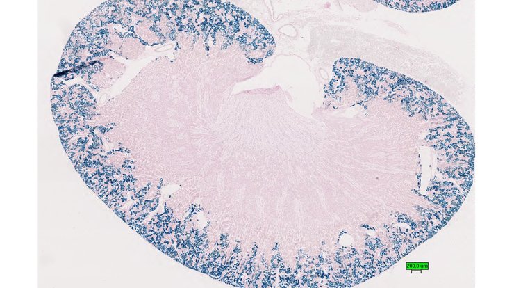
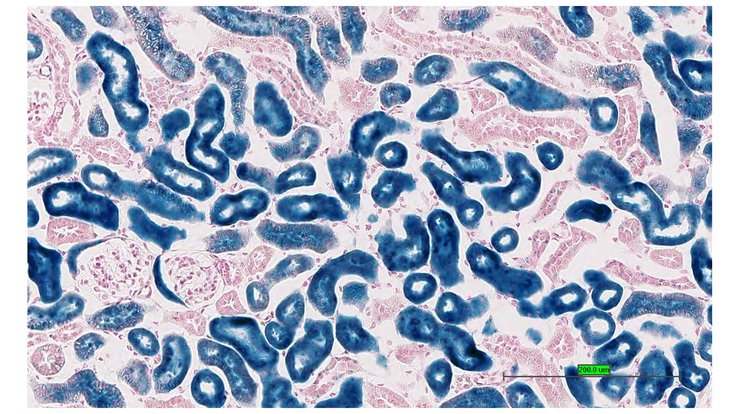
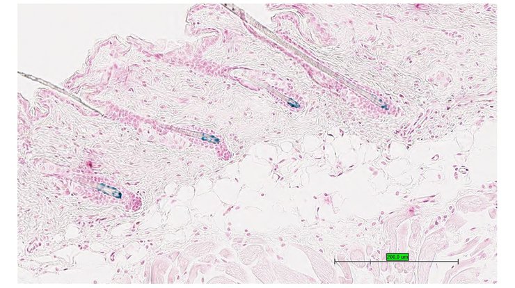
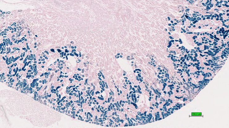
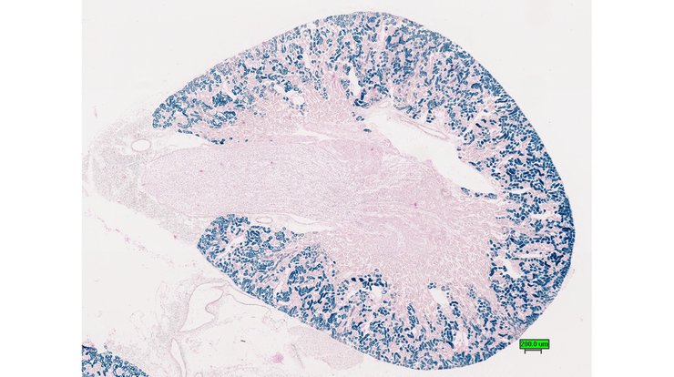
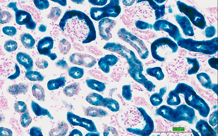
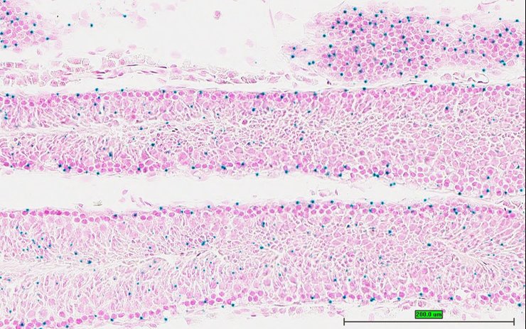
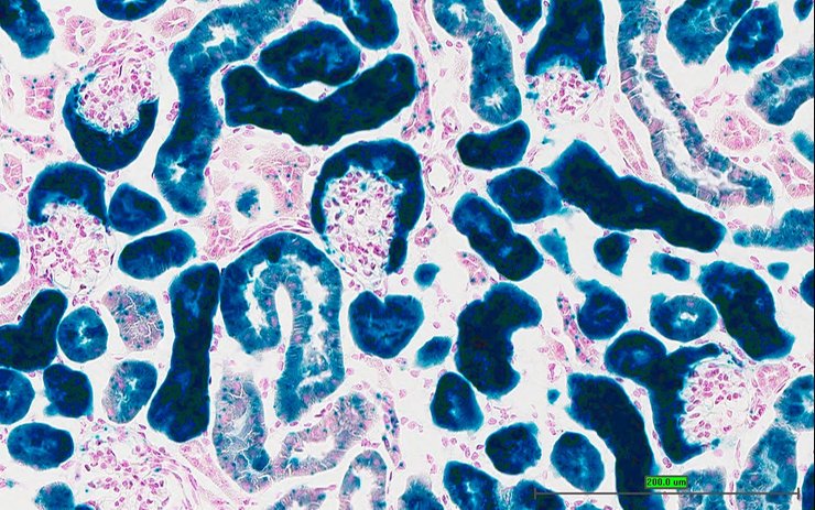
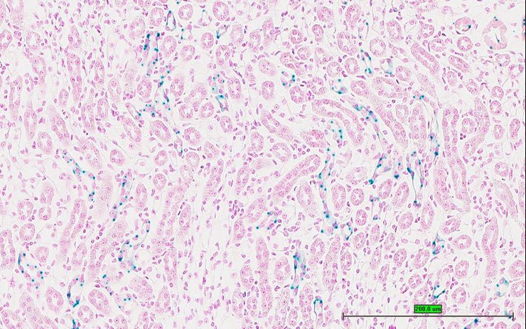
TS28: metanephros Present UC Davis_1886937 kidney

Specimen UC Davis_1886938: postnatal adult; Ndrg1tm2b(KOMP)Wtsi/Ndrg1+ (more )
Structure Level Pattern Image Note
TS28: metanephros Present UC Davis_1886938 kidney

Specimen UC Davis_1886939: postnatal adult; Ndrg1tm2b(KOMP)Wtsi/Ndrg1+ (more )
Structure Level Pattern Image Note
TS28: metanephros Present UC Davis_1886939 kidney

Specimen UC Davis_1886940: postnatal adult; Ndrg1tm2b(KOMP)Wtsi/Ndrg1+ (more )
Structure Level Pattern Image Note
TS28: metanephros Present UC Davis_1886940 kidney

Specimen UC Davis_1886941: postnatal adult; Ndrg1tm2b(KOMP)Wtsi/Ndrg1+ (more )
Structure Level Pattern Image Note
TS28: metanephros Present UC Davis_1886941 kidney

Specimen UC Davis_1886942: postnatal adult; Ndrg1tm2b(KOMP)Wtsi/Ndrg1+ (more )
Structure Level Pattern Image Note
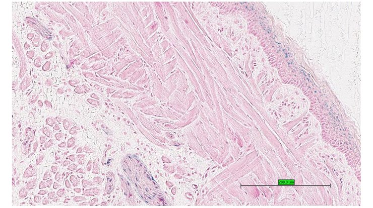
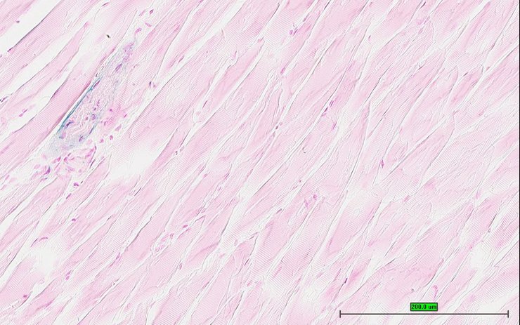
TS28: quadriceps femoris muscle Present UC Davis_1886942

Specimen UC Davis_1886943: postnatal adult; Ndrg1tm2b(KOMP)Wtsi/Ndrg1+ (more )
Structure Level Pattern Image Note
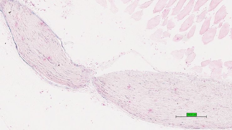
TS28: sciatic nerve Present UC Davis_1886943

Specimen UC Davis_1886944: postnatal adult; Ndrg1tm2b(KOMP)Wtsi/Ndrg1+ (more )
Structure Level Pattern Image Note
TS28: sciatic nerve Present UC Davis_1886944

Specimen UC Davis_1886945: postnatal adult; Ndrg1tm2b(KOMP)Wtsi/Ndrg1+ (more )
Structure Level Pattern Image Note
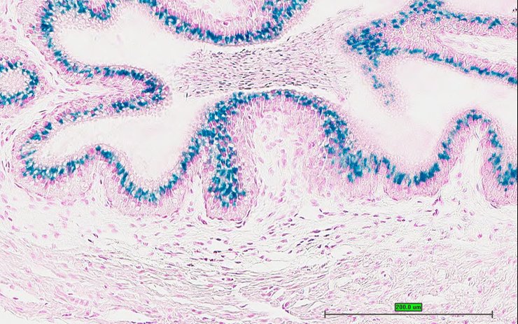
TS28: tongue Present UC Davis_1886945

Specimen UC Davis_1886946: postnatal adult; Ndrg1tm2b(KOMP)Wtsi/Ndrg1+ (more )
Structure Level Pattern Image Note
TS28: tongue Present UC Davis_1886946

Specimen UC Davis_1886947: postnatal adult; Ndrg1tm2b(KOMP)Wtsi/Ndrg1+ (more )
Structure Level Pattern Image Note
TS28: tongue Present UC Davis_1886947

Specimen UC Davis_1886948: postnatal adult; Ndrg1tm2b(KOMP)Wtsi/Ndrg1+ (more )
Structure Level Pattern Image Note
TS28: eye Present UC Davis_1886948

Specimen UC Davis_1886949: postnatal adult; Ndrg1tm2b(KOMP)Wtsi/Ndrg1+ (more )
Structure Level Pattern Image Note
TS28: eye Present UC Davis_1886949

Specimen UC Davis_1886950: postnatal adult; Ndrg1tm2b(KOMP)Wtsi/Ndrg1+ (more )
Structure Level Pattern Image Note
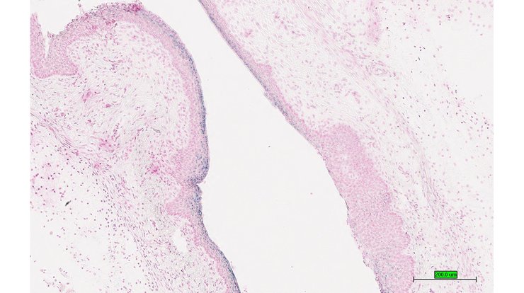
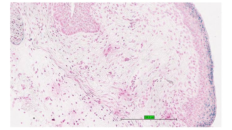
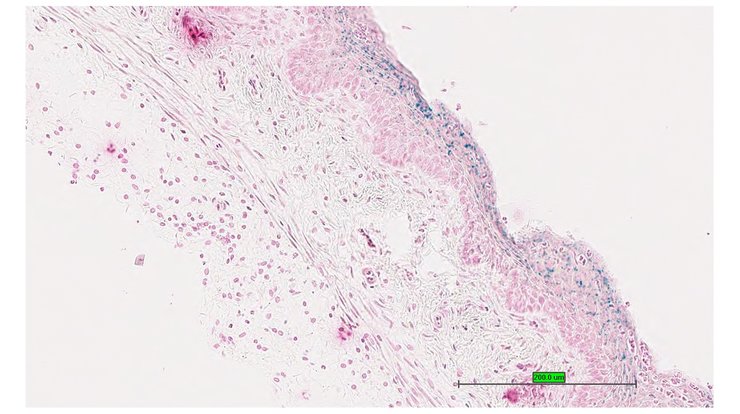
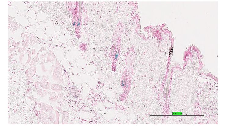
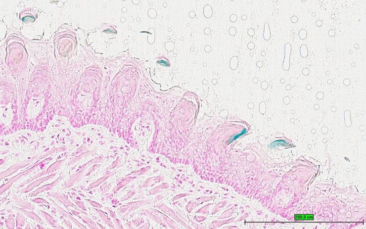
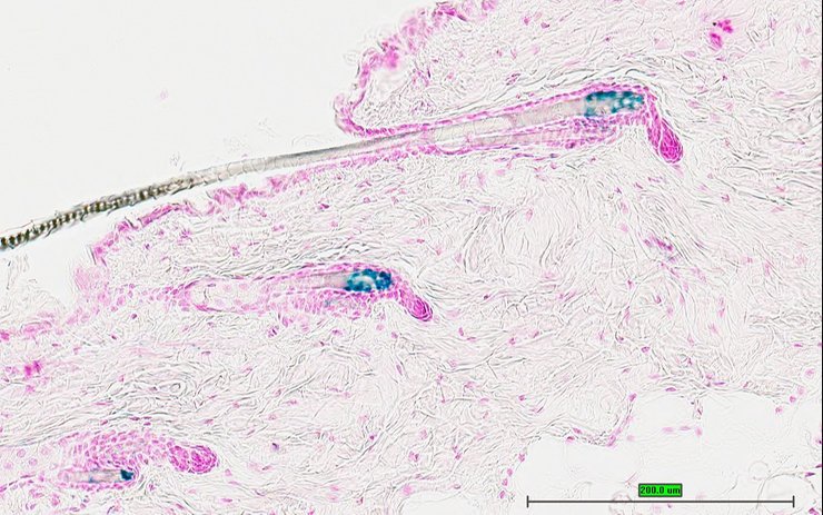
TS28: skin Present UC Davis_1886950

Specimen UC Davis_1886951: postnatal adult; Ndrg1tm2b(KOMP)Wtsi/Ndrg1+ (more )
Structure Level Pattern Image Note
TS28: skin Present UC Davis_1886951

Specimen UC Davis_1886953: postnatal adult; Ndrg1tm2b(KOMP)Wtsi/Ndrg1+ (more )
Structure Level Pattern Image Note
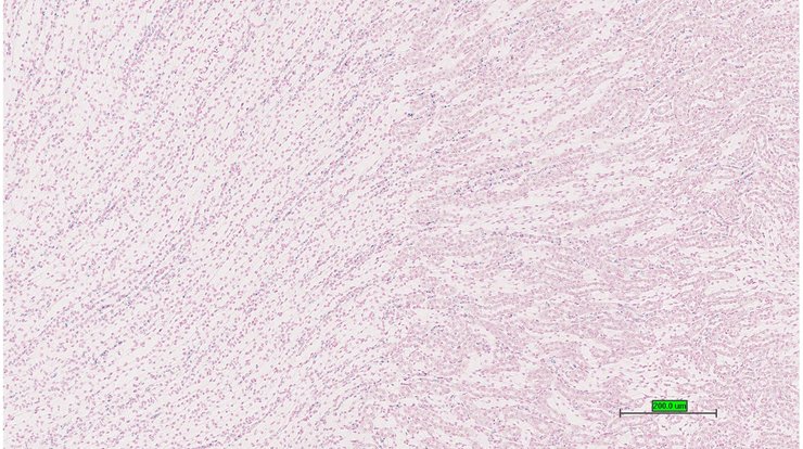
TS28: midbrain Present UC Davis_1886953

Specimen UC Davis_1886954: postnatal adult; Ndrg1tm2b(KOMP)Wtsi/Ndrg1+ (more )
Structure Level Pattern Image Note
TS28: midbrain Present UC Davis_1886954

Specimen UC Davis_1886956: postnatal adult; Ndrg1tm2b(KOMP)Wtsi/Ndrg1+ (more )
Structure Level Pattern Image Note
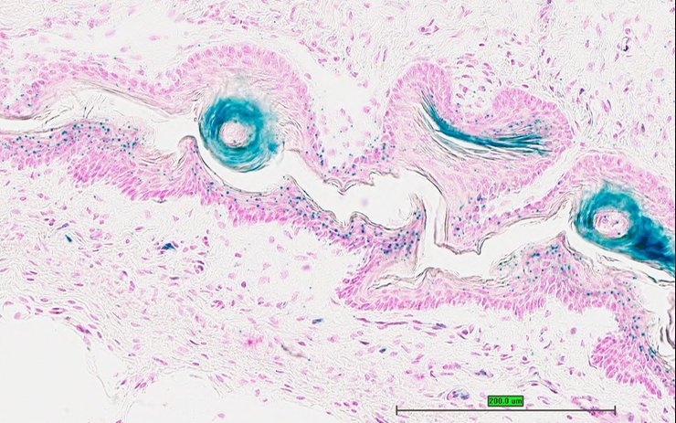
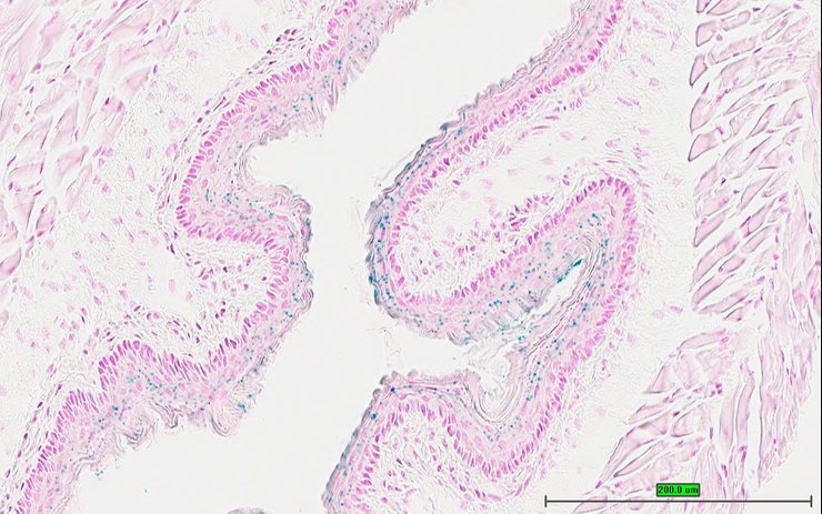
TS28: vagina Present UC Davis_1886956

Specimen UC Davis_1886957: postnatal adult; Ndrg1tm2b(KOMP)Wtsi/Ndrg1+ (more )
Structure Level Pattern Image Note
TS28: vagina Present UC Davis_1886957

Specimen UC Davis_1886958: postnatal adult; Ndrg1tm2b(KOMP)Wtsi/Ndrg1+ (more )
Structure Level Pattern Image Note
TS28: vagina Present UC Davis_1886958

Specimen UC Davis_1886959: postnatal adult; Ndrg1tm2b(KOMP)Wtsi/Ndrg1+ (more )
Structure Level Pattern Image Note
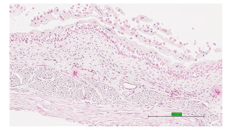
TS28: bladder Present UC Davis_1886959

Specimen UC Davis_1886960: postnatal adult; Ndrg1tm2b(KOMP)Wtsi/Ndrg1+ (more )
Structure Level Pattern Image Note
TS28: esophagus Present UC Davis_1886960

Specimen UC Davis_1886962: postnatal adult; Ndrg1tm2b(KOMP)Wtsi/Ndrg1+ (more )
Structure Level Pattern Image Note
TS28: colon Present UC Davis_1886962

Specimen UC Davis_1886963: postnatal adult; Ndrg1tm2b(KOMP)Wtsi/Ndrg1+ (more )
Structure Level Pattern Image Note
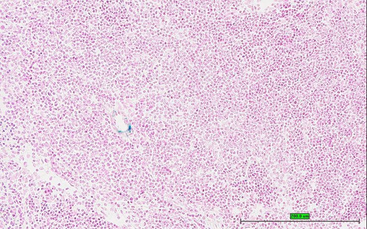
TS28: spleen Present UC Davis_1886963

Specimen UC Davis_1886964: postnatal adult; Ndrg1tm2b(KOMP)Wtsi/Ndrg1+ (more )
Structure Level Pattern Image Note
TS28: spleen Present UC Davis_1886964

Specimen UC Davis_1886965: postnatal adult; Ndrg1tm2b(KOMP)Wtsi/Ndrg1+ (more )
Structure Level Pattern Image Note
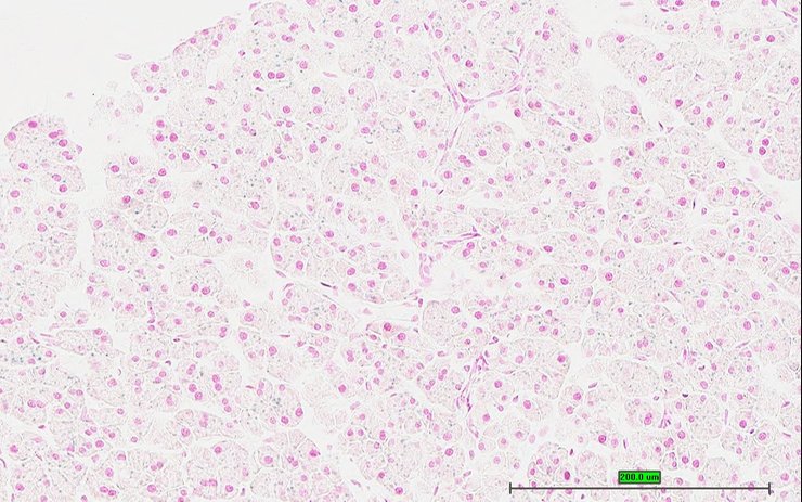
TS28: pancreas Present UC Davis_1886965

Specimen UC Davis_1886966: postnatal adult; Ndrg1tm2b(KOMP)Wtsi/Ndrg1+ (more )
Structure Level Pattern Image Note
TS28: pancreas Present UC Davis_1886966

Specimen UC Davis_1886967: postnatal adult; Ndrg1tm2b(KOMP)Wtsi/Ndrg1+ (more )
Structure Level Pattern Image Note
TS28: metanephros Present UC Davis_1886967 kidney

Specimen UC Davis_1886968: postnatal adult; Ndrg1tm2b(KOMP)Wtsi/Ndrg1+ (more )
Structure Level Pattern Image Note
TS28: metanephros Present UC Davis_1886968 kidney

Specimen UC Davis_1886969: postnatal adult; Ndrg1tm2b(KOMP)Wtsi/Ndrg1+ (more )
Structure Level Pattern Image Note
TS28: metanephros Present UC Davis_1886969 kidney

Specimen UC Davis_1886970: postnatal adult; Ndrg1tm2b(KOMP)Wtsi/Ndrg1+ (more )
Structure Level Pattern Image Note
TS28: metanephros Present UC Davis_1886970 kidney

Specimen UC Davis_1886971: postnatal adult; Ndrg1tm2b(KOMP)Wtsi/Ndrg1+ (more )
Structure Level Pattern Image Note
TS28: quadriceps femoris muscle Present UC Davis_1886971

Specimen UC Davis_1886972: postnatal adult; Ndrg1tm2b(KOMP)Wtsi/Ndrg1+ (more )
Structure Level Pattern Image Note
TS28: quadriceps femoris muscle Present UC Davis_1886972

Specimen UC Davis_1886973: postnatal adult; Ndrg1tm2b(KOMP)Wtsi/Ndrg1+ (more )
Structure Level Pattern Image Note
TS28: sciatic nerve Present UC Davis_1886973

Specimen UC Davis_1886974: postnatal adult; Ndrg1tm2b(KOMP)Wtsi/Ndrg1+ (more )
Structure Level Pattern Image Note
TS28: tongue Present UC Davis_1886974

Specimen UC Davis_1886975: postnatal adult; Ndrg1tm2b(KOMP)Wtsi/Ndrg1+ (more )
Structure Level Pattern Image Note
TS28: adrenal gland Present UC Davis_1886975

Specimen UC Davis_1886976: postnatal adult; Ndrg1tm2b(KOMP)Wtsi/Ndrg1+ (more )
Structure Level Pattern Image Note
TS28: spinal cord Present UC Davis_1886976

Specimen UC Davis_1886977: postnatal adult; Ndrg1tm2b(KOMP)Wtsi/Ndrg1+ (more )
Structure Level Pattern Image Note
TS28: spinal cord Present UC Davis_1886977

Specimen UC Davis_1886978: postnatal adult; Ndrg1tm2b(KOMP)Wtsi/Ndrg1+ (more )
Structure Level Pattern Image Note
TS28: spinal cord Present UC Davis_1886978

Specimen UC Davis_1886979: postnatal adult; Ndrg1tm2b(KOMP)Wtsi/Ndrg1+ (more )
Structure Level Pattern Image Note
TS28: eye Present UC Davis_1886979

Specimen UC Davis_1886980: postnatal adult; Ndrg1tm2b(KOMP)Wtsi/Ndrg1+ (more )
Structure Level Pattern Image Note
TS28: eye Present UC Davis_1886980

Specimen UC Davis_1886981: postnatal adult; Ndrg1tm2b(KOMP)Wtsi/Ndrg1+ (more )
Structure Level Pattern Image Note
TS28: eye Present UC Davis_1886981

Specimen UC Davis_1886982: postnatal adult; Ndrg1tm2b(KOMP)Wtsi/Ndrg1+ (more )
Structure Level Pattern Image Note
TS28: skin Present UC Davis_1886982

Specimen UC Davis_1886985: postnatal adult; Ndrg1tm2b(KOMP)Wtsi/Ndrg1+ (more )
Structure Level Pattern Image Note
TS28: midbrain Present UC Davis_1886985

Specimen UC Davis_1886987: postnatal adult; Ndrg1tm2b(KOMP)Wtsi/Ndrg1+ (more )
Structure Level Pattern Image Note
TS28: trigeminal nerve Present UC Davis_1886987

Specimen UC Davis_1886988: postnatal adult; Ndrg1tm2b(KOMP)Wtsi/Ndrg1+ (more )
Structure Level Pattern Image Note
TS28: bladder Present UC Davis_1886988

Specimen UC Davis_1886989: postnatal adult; Ndrg1tm2b(KOMP)Wtsi/Ndrg1+ (more )
Structure Level Pattern Image Note
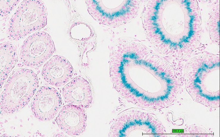
TS28: testis Present UC Davis_1886989

Specimen UC Davis_1886990: postnatal adult; Ndrg1tm2b(KOMP)Wtsi/Ndrg1+ (more )
Structure Level Pattern Image Note
TS28: testis Present UC Davis_1886990

Specimen UC Davis_1886991: postnatal adult; Ndrg1tm2b(KOMP)Wtsi/Ndrg1+ (more )
Structure Level Pattern Image Note
TS28: epididymis Present UC Davis_1886991

Specimen UC Davis_1886992: postnatal adult; Ndrg1tm2b(KOMP)Wtsi/Ndrg1+ (more )
Structure Level Pattern Image Note
TS28: penis Present UC Davis_1886992

Specimen UC Davis_1886993: postnatal adult; Ndrg1tm2b(KOMP)Wtsi/Ndrg1+ (more )
Structure Level Pattern Image Note
TS28: penis Present UC Davis_1886993

Specimen UC Davis_1886994: postnatal adult; Ndrg1tm2b(KOMP)Wtsi/Ndrg1+ (more )
Structure Level Pattern Image Note
TS28: ductus deferens Present UC Davis_1886994 vas deferens


Contributing Projects:
Mouse Genome Database (MGD), Gene Expression Database (GXD), Mouse Models of Human Cancer database (MMHCdb) (formerly Mouse Tumor Biology (MTB)), Gene Ontology (GO)
Citing These Resources
Funding Information
Warranty Disclaimer, Privacy Notice, Licensing, & Copyright
Send questions and comments to User Support.
last database update
12/30/2025
MGI 6.24
The Jackson Laboratory