About   Help   FAQ
Gene Expression Data
Assay Details
Assay
Reference: J:228563 Koscielny G, et al., The International Mouse Phenotyping Consortium Web Portal, a unified point of access for knockout mice and related phenotyping data. Nucleic Acids Res. 2014 Jan;42(Database issue):D802-9
Assay type: In situ reporter (knock in)
MGI Accession ID: MGI:6691425
Gene symbol: Atrn
Gene name: attractin
Reporter: lacZ
Direct Detection
Results
Specimen UC Davis_1883446: postnatal adult; Atrntm1.1(KOMP)Vlcg/Atrn+ (more )
Structure Level Pattern Image Note
TS28: submandibular gland Present UC Davis_1883446

Specimen UC Davis_1883447: postnatal adult; Atrntm1.1(KOMP)Vlcg/Atrn+ (more )
Structure Level Pattern Image Note
TS28: sublingual gland Present UC Davis_1883447

Specimen UC Davis_1883448: postnatal adult; Atrntm1.1(KOMP)Vlcg/Atrn+ (more )
Structure Level Pattern Image Note
TS28: parotid gland Present UC Davis_1883448

Specimen UC Davis_1883449: postnatal adult; Atrntm1.1(KOMP)Vlcg/Atrn+ (more )
Structure Level Pattern Image Note
TS28: trachea Present UC Davis_1883449

Specimen UC Davis_1883450: postnatal adult; Atrntm1.1(KOMP)Vlcg/Atrn+ (more )
Structure Level Pattern Image Note
TS28: esophagus Present UC Davis_1883450

Specimen UC Davis_1883451: postnatal adult; Atrntm1.1(KOMP)Vlcg/Atrn+ (more )
Structure Level Pattern Image Note
TS28: lung Present UC Davis_1883451

Specimen UC Davis_1883454: postnatal adult; Atrntm1.1(KOMP)Vlcg/Atrn+ (more )
Structure Level Pattern Image Note
TS28: stomach Present UC Davis_1883454

Specimen UC Davis_1883455: postnatal adult; Atrntm1.1(KOMP)Vlcg/Atrn+ (more )
Structure Level Pattern Image Note
TS28: stomach Present UC Davis_1883455

Specimen UC Davis_1883456: postnatal adult; Atrntm1.1(KOMP)Vlcg/Atrn+ (more )
Structure Level Pattern Image Note
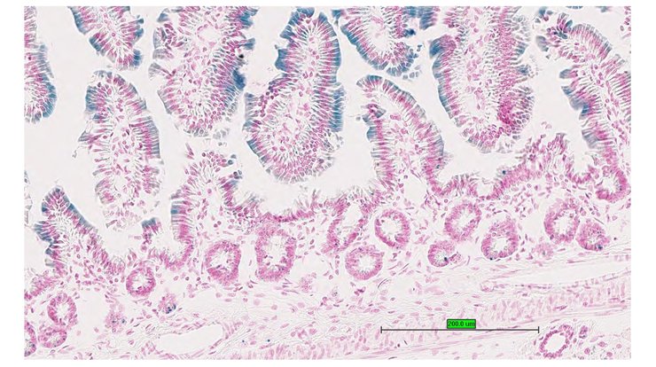
TS28: ileum Present UC Davis_1883456

Specimen UC Davis_1883457: postnatal adult; Atrntm1.1(KOMP)Vlcg/Atrn+ (more )
Structure Level Pattern Image Note
TS28: ileum Present UC Davis_1883457

Specimen UC Davis_1883458: postnatal adult; Atrntm1.1(KOMP)Vlcg/Atrn+ (more )
Structure Level Pattern Image Note
TS28: ileum Present UC Davis_1883458

Specimen UC Davis_1883459: postnatal adult; Atrntm1.1(KOMP)Vlcg/Atrn+ (more )
Structure Level Pattern Image Note
TS28: ileum Present UC Davis_1883459

Specimen UC Davis_1883460: postnatal adult; Atrntm1.1(KOMP)Vlcg/Atrn+ (more )
Structure Level Pattern Image Note
TS28: colon Present UC Davis_1883460

Specimen UC Davis_1883461: postnatal adult; Atrntm1.1(KOMP)Vlcg/Atrn+ (more )
Structure Level Pattern Image Note
TS28: colon Present UC Davis_1883461

Specimen UC Davis_1883462: postnatal adult; Atrntm1.1(KOMP)Vlcg/Atrn+ (more )
Structure Level Pattern Image Note
TS28: cecum Present UC Davis_1883462

Specimen UC Davis_1883463: postnatal adult; Atrntm1.1(KOMP)Vlcg/Atrn+ (more )
Structure Level Pattern Image Note
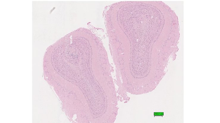
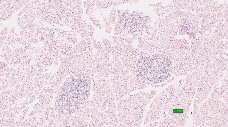
TS28: pancreas Present UC Davis_1883463

Specimen UC Davis_1883464: postnatal adult; Atrntm1.1(KOMP)Vlcg/Atrn+ (more )
Structure Level Pattern Image Note
TS28: pancreas Present UC Davis_1883464

Specimen UC Davis_1883465: postnatal adult; Atrntm1.1(KOMP)Vlcg/Atrn+ (more )
Structure Level Pattern Image Note
TS28: metanephros Present UC Davis_1883465 kidney

Specimen UC Davis_1883466: postnatal adult; Atrntm1.1(KOMP)Vlcg/Atrn+ (more )
Structure Level Pattern Image Note
TS28: metanephros Present UC Davis_1883466 kidney

Specimen UC Davis_1883467: postnatal adult; Atrntm1.1(KOMP)Vlcg/Atrn+ (more )
Structure Level Pattern Image Note
TS28: metanephros Present UC Davis_1883467 kidney

Specimen UC Davis_1883468: postnatal adult; Atrntm1.1(KOMP)Vlcg/Atrn+ (more )
Structure Level Pattern Image Note
TS28: quadriceps femoris muscle Present UC Davis_1883468

Specimen UC Davis_1883469: postnatal adult; Atrntm1.1(KOMP)Vlcg/Atrn+ (more )
Structure Level Pattern Image Note
TS28: tongue Present UC Davis_1883469

Specimen UC Davis_1883470: postnatal adult; Atrntm1.1(KOMP)Vlcg/Atrn+ (more )
Structure Level Pattern Image Note
TS28: adrenal gland Present UC Davis_1883470

Specimen UC Davis_1883471: postnatal adult; Atrntm1.1(KOMP)Vlcg/Atrn+ (more )
Structure Level Pattern Image Note
TS28: pituitary gland Present UC Davis_1883471

Specimen UC Davis_1883472: postnatal adult; Atrntm1.1(KOMP)Vlcg/Atrn+ (more )
Structure Level Pattern Image Note
TS28: spinal cord Present UC Davis_1883472

Specimen UC Davis_1883473: postnatal adult; Atrntm1.1(KOMP)Vlcg/Atrn+ (more )
Structure Level Pattern Image Note
TS28: spinal cord Present UC Davis_1883473

Specimen UC Davis_1883474: postnatal adult; Atrntm1.1(KOMP)Vlcg/Atrn+ (more )
Structure Level Pattern Image Note
TS28: eye Present UC Davis_1883474

Specimen UC Davis_1883475: postnatal adult; Atrntm1.1(KOMP)Vlcg/Atrn+ (more )
Structure Level Pattern Image Note
TS28: eye Present UC Davis_1883475

Specimen UC Davis_1883476: postnatal adult; Atrntm1.1(KOMP)Vlcg/Atrn+ (more )
Structure Level Pattern Image Note
TS28: Harderian gland Present UC Davis_1883476

Specimen UC Davis_1883477: postnatal adult; Atrntm1.1(KOMP)Vlcg/Atrn+ (more )
Structure Level Pattern Image Note
TS28: skin Present UC Davis_1883477

Specimen UC Davis_1883478: postnatal adult; Atrntm1.1(KOMP)Vlcg/Atrn+ (more )
Structure Level Pattern Image Note
TS28: olfactory lobe Present UC Davis_1883478

Specimen UC Davis_1883481: postnatal adult; Atrntm1.1(KOMP)Vlcg/Atrn+ (more )
Structure Level Pattern Image Note
TS28: midbrain Present UC Davis_1883481

Specimen UC Davis_1883483: postnatal adult; Atrntm1.1(KOMP)Vlcg/Atrn+ (more )
Structure Level Pattern Image Note
TS28: cerebellum Present UC Davis_1883483

Specimen UC Davis_1883484: postnatal adult; Atrntm1.1(KOMP)Vlcg/Atrn+ (more )
Structure Level Pattern Image Note
TS28: trigeminal nerve Present UC Davis_1883484

Specimen UC Davis_1883485: postnatal adult; Atrntm1.1(KOMP)Vlcg/Atrn+ (more )
Structure Level Pattern Image Note
TS28: oviduct Present UC Davis_1883485

Specimen UC Davis_1883486: postnatal adult; Atrntm1.1(KOMP)Vlcg/Atrn+ (more )
Structure Level Pattern Image Note
TS28: uterus Present UC Davis_1883486

Specimen UC Davis_1883487: postnatal adult; Atrntm1.1(KOMP)Vlcg/Atrn+ (more )
Structure Level Pattern Image Note
TS28: uterus Present UC Davis_1883487

Specimen UC Davis_1883488: postnatal adult; Atrntm1.1(KOMP)Vlcg/Atrn+ (more )
Structure Level Pattern Image Note
TS28: vagina Present UC Davis_1883488

Specimen UC Davis_1883489: postnatal adult; Atrntm1.1(KOMP)Vlcg/Atrn+ (more )
Structure Level Pattern Image Note
TS28: bladder Present UC Davis_1883489

Specimen UC Davis_1883490: postnatal adult; Atrntm1.1(KOMP)Vlcg/Atrn+ (more )
Structure Level Pattern Image Note
TS28: submandibular gland Present UC Davis_1883490

Specimen UC Davis_1883491: postnatal adult; Atrntm1.1(KOMP)Vlcg/Atrn+ (more )
Structure Level Pattern Image Note
TS28: sublingual gland Present UC Davis_1883491

Specimen UC Davis_1883492: postnatal adult; Atrntm1.1(KOMP)Vlcg/Atrn+ (more )
Structure Level Pattern Image Note
TS28: parotid gland Present UC Davis_1883492

Specimen UC Davis_1883493: postnatal adult; Atrntm1.1(KOMP)Vlcg/Atrn+ (more )
Structure Level Pattern Image Note
TS28: trachea Present UC Davis_1883493

Specimen UC Davis_1883494: postnatal adult; Atrntm1.1(KOMP)Vlcg/Atrn+ (more )
Structure Level Pattern Image Note
TS28: esophagus Present UC Davis_1883494

Specimen UC Davis_1883495: postnatal adult; Atrntm1.1(KOMP)Vlcg/Atrn+ (more )
Structure Level Pattern Image Note
TS28: esophagus Present UC Davis_1883495

Specimen UC Davis_1883496: postnatal adult; Atrntm1.1(KOMP)Vlcg/Atrn+ (more )
Structure Level Pattern Image Note
TS28: thyroid gland Present UC Davis_1883496

Specimen UC Davis_1883499: postnatal adult; Atrntm1.1(KOMP)Vlcg/Atrn+ (more )
Structure Level Pattern Image Note
TS28: lung Present UC Davis_1883499

Specimen UC Davis_1883502: postnatal adult; Atrntm1.1(KOMP)Vlcg/Atrn+ (more )
Structure Level Pattern Image Note
TS28: stomach Present UC Davis_1883502

Specimen UC Davis_1883503: postnatal adult; Atrntm1.1(KOMP)Vlcg/Atrn+ (more )
Structure Level Pattern Image Note
TS28: stomach Present UC Davis_1883503

Specimen UC Davis_1883504: postnatal adult; Atrntm1.1(KOMP)Vlcg/Atrn+ (more )
Structure Level Pattern Image Note
TS28: stomach Present UC Davis_1883504

Specimen UC Davis_1883505: postnatal adult; Atrntm1.1(KOMP)Vlcg/Atrn+ (more )
Structure Level Pattern Image Note
TS28: duodenum Present UC Davis_1883505

Specimen UC Davis_1883506: postnatal adult; Atrntm1.1(KOMP)Vlcg/Atrn+ (more )
Structure Level Pattern Image Note
TS28: duodenum Present UC Davis_1883506

Specimen UC Davis_1883507: postnatal adult; Atrntm1.1(KOMP)Vlcg/Atrn+ (more )
Structure Level Pattern Image Note
TS28: ileum Present UC Davis_1883507

Specimen UC Davis_1883508: postnatal adult; Atrntm1.1(KOMP)Vlcg/Atrn+ (more )
Structure Level Pattern Image Note
TS28: ileum Present UC Davis_1883508

Specimen UC Davis_1883509: postnatal adult; Atrntm1.1(KOMP)Vlcg/Atrn+ (more )
Structure Level Pattern Image Note
TS28: colon Present UC Davis_1883509

Specimen UC Davis_1883510: postnatal adult; Atrntm1.1(KOMP)Vlcg/Atrn+ (more )
Structure Level Pattern Image Note
TS28: spleen Absent UC Davis_1883510

Specimen UC Davis_1883511: postnatal adult; Atrntm1.1(KOMP)Vlcg/Atrn+ (more )
Structure Level Pattern Image Note
TS28: pancreas Present UC Davis_1883511

Specimen UC Davis_1883512: postnatal adult; Atrntm1.1(KOMP)Vlcg/Atrn+ (more )
Structure Level Pattern Image Note
TS28: pancreas Present UC Davis_1883512

Specimen UC Davis_1883513: postnatal adult; Atrntm1.1(KOMP)Vlcg/Atrn+ (more )
Structure Level Pattern Image Note
TS28: pancreas Present UC Davis_1883513

Specimen UC Davis_1883514: postnatal adult; Atrntm1.1(KOMP)Vlcg/Atrn+ (more )
Structure Level Pattern Image Note
TS28: liver Present UC Davis_1883514

Specimen UC Davis_1883515: postnatal adult; Atrntm1.1(KOMP)Vlcg/Atrn+ (more )
Structure Level Pattern Image Note
TS28: metanephros Present UC Davis_1883515 kidney

Specimen UC Davis_1883516: postnatal adult; Atrntm1.1(KOMP)Vlcg/Atrn+ (more )
Structure Level Pattern Image Note
TS28: metanephros Present UC Davis_1883516 kidney

Specimen UC Davis_1883517: postnatal adult; Atrntm1.1(KOMP)Vlcg/Atrn+ (more )
Structure Level Pattern Image Note
TS28: metanephros Present UC Davis_1883517 kidney

Specimen UC Davis_1883518: postnatal adult; Atrntm1.1(KOMP)Vlcg/Atrn+ (more )
Structure Level Pattern Image Note
TS28: metanephros Present UC Davis_1883518 kidney

Specimen UC Davis_1883519: postnatal adult; Atrntm1.1(KOMP)Vlcg/Atrn+ (more )
Structure Level Pattern Image Note
TS28: tongue Present UC Davis_1883519

Specimen UC Davis_1883520: postnatal adult; Atrntm1.1(KOMP)Vlcg/Atrn+ (more )
Structure Level Pattern Image Note
TS28: tongue Present UC Davis_1883520

Specimen UC Davis_1883521: postnatal adult; Atrntm1.1(KOMP)Vlcg/Atrn+ (more )
Structure Level Pattern Image Note
TS28: adrenal gland Present UC Davis_1883521

Specimen UC Davis_1883522: postnatal adult; Atrntm1.1(KOMP)Vlcg/Atrn+ (more )
Structure Level Pattern Image Note
TS28: pituitary gland Present UC Davis_1883522

Specimen UC Davis_1883523: postnatal adult; Atrntm1.1(KOMP)Vlcg/Atrn+ (more )
Structure Level Pattern Image Note
TS28: pituitary gland Present UC Davis_1883523

Specimen UC Davis_1883524: postnatal adult; Atrntm1.1(KOMP)Vlcg/Atrn+ (more )
Structure Level Pattern Image Note
TS28: spinal cord Present UC Davis_1883524

Specimen UC Davis_1883525: postnatal adult; Atrntm1.1(KOMP)Vlcg/Atrn+ (more )
Structure Level Pattern Image Note
TS28: spinal cord Present UC Davis_1883525

Specimen UC Davis_1883526: postnatal adult; Atrntm1.1(KOMP)Vlcg/Atrn+ (more )
Structure Level Pattern Image Note
TS28: eye Present UC Davis_1883526

Specimen UC Davis_1883527: postnatal adult; Atrntm1.1(KOMP)Vlcg/Atrn+ (more )
Structure Level Pattern Image Note
TS28: eye Present UC Davis_1883527

Specimen UC Davis_1883528: postnatal adult; Atrntm1.1(KOMP)Vlcg/Atrn+ (more )
Structure Level Pattern Image Note
TS28: Harderian gland Present UC Davis_1883528

Specimen UC Davis_1883529: postnatal adult; Atrntm1.1(KOMP)Vlcg/Atrn+ (more )
Structure Level Pattern Image Note
TS28: Harderian gland Present UC Davis_1883529

Specimen UC Davis_1883530: postnatal adult; Atrntm1.1(KOMP)Vlcg/Atrn+ (more )
Structure Level Pattern Image Note
TS28: skin Absent UC Davis_1883530

Specimen UC Davis_1883531: postnatal adult; Atrntm1.1(KOMP)Vlcg/Atrn+ (more )
Structure Level Pattern Image Note
TS28: skin Absent UC Davis_1883531

Specimen UC Davis_1883532: postnatal adult; Atrntm1.1(KOMP)Vlcg/Atrn+ (more )
Structure Level Pattern Image Note
TS28: olfactory lobe Present UC Davis_1883532

Specimen UC Davis_1883533: postnatal adult; Atrntm1.1(KOMP)Vlcg/Atrn+ (more )
Structure Level Pattern Image Note
TS28: olfactory lobe Present UC Davis_1883533

Specimen UC Davis_1883536: postnatal adult; Atrntm1.1(KOMP)Vlcg/Atrn+ (more )
Structure Level Pattern Image Note
TS28: midbrain Present UC Davis_1883536

Specimen UC Davis_1883538: postnatal adult; Atrntm1.1(KOMP)Vlcg/Atrn+ (more )
Structure Level Pattern Image Note
TS28: cerebellum Present UC Davis_1883538

Specimen UC Davis_1883539: postnatal adult; Atrntm1.1(KOMP)Vlcg/Atrn+ (more )
Structure Level Pattern Image Note
TS28: trigeminal nerve Present UC Davis_1883539

Specimen UC Davis_1883540: postnatal adult; Atrntm1.1(KOMP)Vlcg/Atrn+ (more )
Structure Level Pattern Image Note
TS28: bladder Present UC Davis_1883540

Specimen UC Davis_1883541: postnatal adult; Atrntm1.1(KOMP)Vlcg/Atrn+ (more )
Structure Level Pattern Image Note
TS28: bladder Present UC Davis_1883541

Specimen UC Davis_1883542: postnatal adult; Atrntm1.1(KOMP)Vlcg/Atrn+ (more )
Structure Level Pattern Image Note
TS28: testis Present UC Davis_1883542

Specimen UC Davis_1883543: postnatal adult; Atrntm1.1(KOMP)Vlcg/Atrn+ (more )
Structure Level Pattern Image Note
TS28: epididymis Present UC Davis_1883543

Specimen UC Davis_1883544: postnatal adult; Atrntm1.1(KOMP)Vlcg/Atrn+ (more )
Structure Level Pattern Image Note
TS28: epididymis Present UC Davis_1883544

Specimen UC Davis_1883545: postnatal adult; Atrntm1.1(KOMP)Vlcg/Atrn+ (more )
Structure Level Pattern Image Note
TS28: penis Present UC Davis_1883545

Specimen UC Davis_1883546: postnatal adult; Atrntm1.1(KOMP)Vlcg/Atrn+ (more )
Structure Level Pattern Image Note
TS28: penis Present UC Davis_1883546

Specimen UC Davis_1883547: postnatal adult; Atrntm1.1(KOMP)Vlcg/Atrn+ (more )
Structure Level Pattern Image Note
TS28: ductus deferens Present UC Davis_1883547 vas deferens

Specimen UC Davis_1883548: postnatal adult; Atrntm1.1(KOMP)Vlcg/Atrn+ (more )
Structure Level Pattern Image Note
TS28: ductus deferens Present UC Davis_1883548 vas deferens

Specimen UC Davis_1883551: postnatal adult; Atrntm1.1(KOMP)Vlcg/Atrn+ (more )
Structure Level Pattern Image Note
TS28: seminal vesicle Present UC Davis_1883551 vesicular gland


Contributing Projects:
Mouse Genome Database (MGD), Gene Expression Database (GXD), Mouse Models of Human Cancer database (MMHCdb) (formerly Mouse Tumor Biology (MTB)), Gene Ontology (GO)
Citing These Resources
Funding Information
Warranty Disclaimer, Privacy Notice, Licensing, & Copyright
Send questions and comments to User Support.
last database update
03/24/2026
MGI 6.24
The Jackson Laboratory