About   Help   FAQ
Gene Expression Data
Assay Details
Assay
Reference: J:228563 Koscielny G, et al., The International Mouse Phenotyping Consortium Web Portal, a unified point of access for knockout mice and related phenotyping data. Nucleic Acids Res. 2014 Jan;42(Database issue):D802-9
Assay type: In situ reporter (knock in)
MGI Accession ID: MGI:6691372
Gene symbol: Ch25h
Gene name: cholesterol 25-hydroxylase
Reporter: lacZ
Direct Detection
Results
Specimen UC Davis_1872962: postnatal adult; Ch25htm1.1(KOMP)Vlcg/Ch25h+ (more )
Structure Level Pattern Image Note
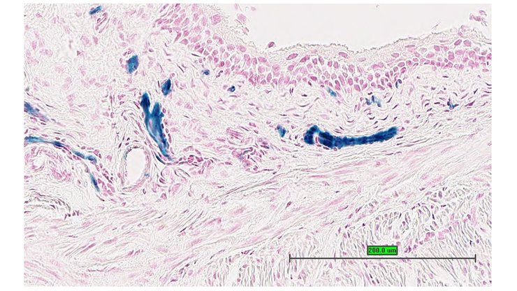
TS28: esophagus Present UC Davis_1872962

Specimen UC Davis_1872963: postnatal adult; Ch25htm1.1(KOMP)Vlcg/Ch25h+ (more )
Structure Level Pattern Image Note
TS28: aorta Present UC Davis_1872963

Specimen UC Davis_1872964: postnatal adult; Ch25htm1.1(KOMP)Vlcg/Ch25h+ (more )
Structure Level Pattern Image Note
TS28: lung Present UC Davis_1872964

Specimen UC Davis_1872965: postnatal adult; Ch25htm1.1(KOMP)Vlcg/Ch25h+ (more )
Structure Level Pattern Image Note
TS28: lung Present UC Davis_1872965

Specimen UC Davis_1872966: postnatal adult; Ch25htm1.1(KOMP)Vlcg/Ch25h+ (more )
Structure Level Pattern Image Note
TS28: lung Present UC Davis_1872966

Specimen UC Davis_1872967: postnatal adult; Ch25htm1.1(KOMP)Vlcg/Ch25h+ (more )
Structure Level Pattern Image Note
TS28: lung Present UC Davis_1872967

Specimen UC Davis_1872970: postnatal adult; Ch25htm1.1(KOMP)Vlcg/Ch25h+ (more )
Structure Level Pattern Image Note
TS28: mesenteric lymph node Present UC Davis_1872970

Specimen UC Davis_1872971: postnatal adult; Ch25htm1.1(KOMP)Vlcg/Ch25h+ (more )
Structure Level Pattern Image Note
TS28: stomach Present UC Davis_1872971

Specimen UC Davis_1872972: postnatal adult; Ch25htm1.1(KOMP)Vlcg/Ch25h+ (more )
Structure Level Pattern Image Note
TS28: stomach Present UC Davis_1872972

Specimen UC Davis_1872973: postnatal adult; Ch25htm1.1(KOMP)Vlcg/Ch25h+ (more )
Structure Level Pattern Image Note
TS28: stomach Present UC Davis_1872973

Specimen UC Davis_1872974: postnatal adult; Ch25htm1.1(KOMP)Vlcg/Ch25h+ (more )
Structure Level Pattern Image Note
TS28: stomach Present UC Davis_1872974

Specimen UC Davis_1872975: postnatal adult; Ch25htm1.1(KOMP)Vlcg/Ch25h+ (more )
Structure Level Pattern Image Note
TS28: stomach Present UC Davis_1872975

Specimen UC Davis_1872976: postnatal adult; Ch25htm1.1(KOMP)Vlcg/Ch25h+ (more )
Structure Level Pattern Image Note
TS28: ileum Present UC Davis_1872976

Specimen UC Davis_1872977: postnatal adult; Ch25htm1.1(KOMP)Vlcg/Ch25h+ (more )
Structure Level Pattern Image Note
TS28: colon Present UC Davis_1872977

Specimen UC Davis_1872978: postnatal adult; Ch25htm1.1(KOMP)Vlcg/Ch25h+ (more )
Structure Level Pattern Image Note
TS28: cecum Present UC Davis_1872978

Specimen UC Davis_1872979: postnatal adult; Ch25htm1.1(KOMP)Vlcg/Ch25h+ (more )
Structure Level Pattern Image Note
TS28: spleen Present UC Davis_1872979

Specimen UC Davis_1872980: postnatal adult; Ch25htm1.1(KOMP)Vlcg/Ch25h+ (more )
Structure Level Pattern Image Note
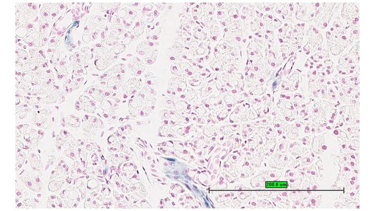
TS28: liver Present UC Davis_1872980

Specimen UC Davis_1872981: postnatal adult; Ch25htm1.1(KOMP)Vlcg/Ch25h+ (more )
Structure Level Pattern Image Note
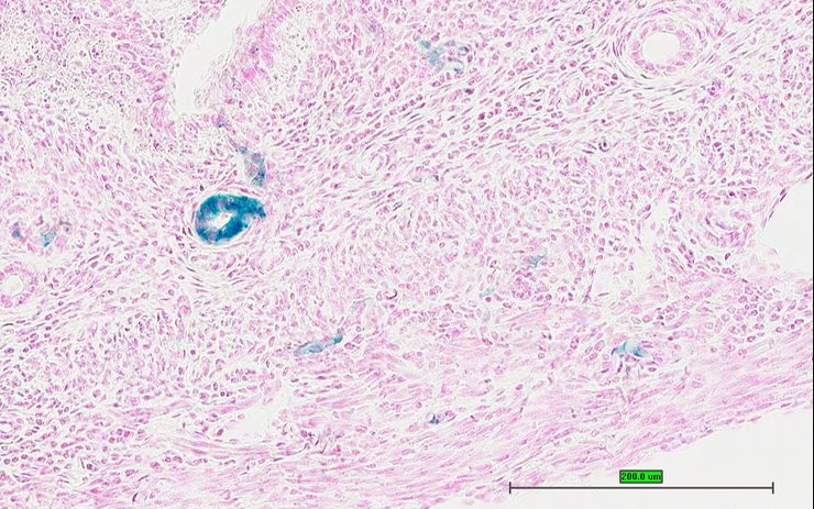
TS28: metanephros Present UC Davis_1872981 kidney

Specimen UC Davis_1872982: postnatal adult; Ch25htm1.1(KOMP)Vlcg/Ch25h+ (more )
Structure Level Pattern Image Note
TS28: metanephros Present UC Davis_1872982 kidney

Specimen UC Davis_1872983: postnatal adult; Ch25htm1.1(KOMP)Vlcg/Ch25h+ (more )
Structure Level Pattern Image Note
TS28: metanephros Present UC Davis_1872983 kidney

Specimen UC Davis_1872984: postnatal adult; Ch25htm1.1(KOMP)Vlcg/Ch25h+ (more )
Structure Level Pattern Image Note
TS28: quadriceps femoris muscle Present UC Davis_1872984

Specimen UC Davis_1872985: postnatal adult; Ch25htm1.1(KOMP)Vlcg/Ch25h+ (more )
Structure Level Pattern Image Note
TS28: adrenal gland Present UC Davis_1872985

Specimen UC Davis_1872986: postnatal adult; Ch25htm1.1(KOMP)Vlcg/Ch25h+ (more )
Structure Level Pattern Image Note
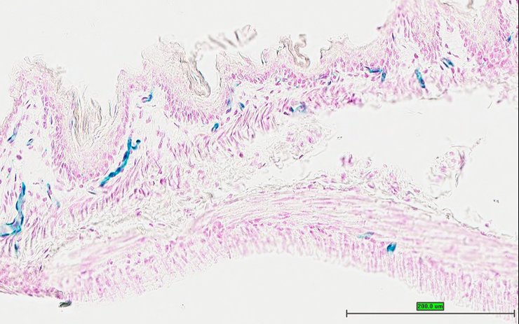
TS28: skin Present UC Davis_1872986

Specimen UC Davis_1872987: postnatal adult; Ch25htm1.1(KOMP)Vlcg/Ch25h+ (more )
Structure Level Pattern Image Note
TS28: skin Present UC Davis_1872987

Specimen UC Davis_1872988: postnatal adult; Ch25htm1.1(KOMP)Vlcg/Ch25h+ (more )
Structure Level Pattern Image Note
TS28: brown fat Present UC Davis_1872988

Specimen UC Davis_1872991: postnatal adult; Ch25htm1.1(KOMP)Vlcg/Ch25h+ (more )
Structure Level Pattern Image Note
TS28: midbrain Present UC Davis_1872991

Specimen UC Davis_1872992: postnatal adult; Ch25htm1.1(KOMP)Vlcg/Ch25h+ (more )
Structure Level Pattern Image Note
TS28: ovary Present UC Davis_1872992

Specimen UC Davis_1872993: postnatal adult; Ch25htm1.1(KOMP)Vlcg/Ch25h+ (more )
Structure Level Pattern Image Note
TS28: ovary Present UC Davis_1872993

Specimen UC Davis_1872994: postnatal adult; Ch25htm1.1(KOMP)Vlcg/Ch25h+ (more )
Structure Level Pattern Image Note
TS28: oviduct Present UC Davis_1872994

Specimen UC Davis_1872995: postnatal adult; Ch25htm1.1(KOMP)Vlcg/Ch25h+ (more )
Structure Level Pattern Image Note
TS28: uterus Present UC Davis_1872995

Specimen UC Davis_1872996: postnatal adult; Ch25htm1.1(KOMP)Vlcg/Ch25h+ (more )
Structure Level Pattern Image Note
TS28: uterus Present UC Davis_1872996

Specimen UC Davis_1872997: postnatal adult; Ch25htm1.1(KOMP)Vlcg/Ch25h+ (more )
Structure Level Pattern Image Note
TS28: vagina Present UC Davis_1872997

Specimen UC Davis_1872998: postnatal adult; Ch25htm1.1(KOMP)Vlcg/Ch25h+ (more )
Structure Level Pattern Image Note
TS28: vagina Present UC Davis_1872998

Specimen UC Davis_1872999: postnatal adult; Ch25htm1.1(KOMP)Vlcg/Ch25h+ (more )
Structure Level Pattern Image Note
TS28: bladder Present UC Davis_1872999

Specimen UC Davis_1873000: postnatal adult; Ch25htm1.1(KOMP)Vlcg/Ch25h+ (more )
Structure Level Pattern Image Note
TS28: bladder Present UC Davis_1873000

Specimen UC Davis_1872912: postnatal adult; Ch25htm1.1(KOMP)Vlcg/Ch25h+ (more )
Structure Level Pattern Image Note
TS28: trachea Present UC Davis_1872912

Specimen UC Davis_1872913: postnatal adult; Ch25htm1.1(KOMP)Vlcg/Ch25h+ (more )
Structure Level Pattern Image Note
TS28: trachea Present UC Davis_1872913

Specimen UC Davis_1872914: postnatal adult; Ch25htm1.1(KOMP)Vlcg/Ch25h+ (more )
Structure Level Pattern Image Note
TS28: esophagus Present UC Davis_1872914

Specimen UC Davis_1872915: postnatal adult; Ch25htm1.1(KOMP)Vlcg/Ch25h+ (more )
Structure Level Pattern Image Note
TS28: esophagus Present UC Davis_1872915

Specimen UC Davis_1872916: postnatal adult; Ch25htm1.1(KOMP)Vlcg/Ch25h+ (more )
Structure Level Pattern Image Note
TS28: esophagus Present UC Davis_1872916

Specimen UC Davis_1872919: postnatal adult; Ch25htm1.1(KOMP)Vlcg/Ch25h+ (more )
Structure Level Pattern Image Note
TS28: lung Present UC Davis_1872919

Specimen UC Davis_1872920: postnatal adult; Ch25htm1.1(KOMP)Vlcg/Ch25h+ (more )
Structure Level Pattern Image Note
TS28: thymus Present UC Davis_1872920

Specimen UC Davis_1872921: postnatal adult; Ch25htm1.1(KOMP)Vlcg/Ch25h+ (more )
Structure Level Pattern Image Note
TS28: thymus Present UC Davis_1872921

Specimen UC Davis_1872922: postnatal adult; Ch25htm1.1(KOMP)Vlcg/Ch25h+ (more )
Structure Level Pattern Image Note
TS28: stomach Present UC Davis_1872922

Specimen UC Davis_1872923: postnatal adult; Ch25htm1.1(KOMP)Vlcg/Ch25h+ (more )
Structure Level Pattern Image Note
TS28: stomach Present UC Davis_1872923

Specimen UC Davis_1872924: postnatal adult; Ch25htm1.1(KOMP)Vlcg/Ch25h+ (more )
Structure Level Pattern Image Note
TS28: stomach Present UC Davis_1872924

Specimen UC Davis_1872925: postnatal adult; Ch25htm1.1(KOMP)Vlcg/Ch25h+ (more )
Structure Level Pattern Image Note
TS28: stomach Present UC Davis_1872925

Specimen UC Davis_1872926: postnatal adult; Ch25htm1.1(KOMP)Vlcg/Ch25h+ (more )
Structure Level Pattern Image Note
TS28: duodenum Present UC Davis_1872926

Specimen UC Davis_1872927: postnatal adult; Ch25htm1.1(KOMP)Vlcg/Ch25h+ (more )
Structure Level Pattern Image Note
TS28: duodenum Present UC Davis_1872927

Specimen UC Davis_1872928: postnatal adult; Ch25htm1.1(KOMP)Vlcg/Ch25h+ (more )
Structure Level Pattern Image Note
TS28: ileum Present UC Davis_1872928

Specimen UC Davis_1872929: postnatal adult; Ch25htm1.1(KOMP)Vlcg/Ch25h+ (more )
Structure Level Pattern Image Note
TS28: ileum Present UC Davis_1872929

Specimen UC Davis_1872930: postnatal adult; Ch25htm1.1(KOMP)Vlcg/Ch25h+ (more )
Structure Level Pattern Image Note
TS28: colon Present UC Davis_1872930

Specimen UC Davis_1872931: postnatal adult; Ch25htm1.1(KOMP)Vlcg/Ch25h+ (more )
Structure Level Pattern Image Note
TS28: colon Present UC Davis_1872931

Specimen UC Davis_1872932: postnatal adult; Ch25htm1.1(KOMP)Vlcg/Ch25h+ (more )
Structure Level Pattern Image Note
TS28: cecum Present UC Davis_1872932

Specimen UC Davis_1872933: postnatal adult; Ch25htm1.1(KOMP)Vlcg/Ch25h+ (more )
Structure Level Pattern Image Note
TS28: spleen Present UC Davis_1872933

Specimen UC Davis_1872934: postnatal adult; Ch25htm1.1(KOMP)Vlcg/Ch25h+ (more )
Structure Level Pattern Image Note
TS28: pancreas Present UC Davis_1872934

Specimen UC Davis_1872935: postnatal adult; Ch25htm1.1(KOMP)Vlcg/Ch25h+ (more )
Structure Level Pattern Image Note
TS28: pancreas Present UC Davis_1872935

Specimen UC Davis_1872936: postnatal adult; Ch25htm1.1(KOMP)Vlcg/Ch25h+ (more )
Structure Level Pattern Image Note
TS28: metanephros Present UC Davis_1872936 kidney

Specimen UC Davis_1872937: postnatal adult; Ch25htm1.1(KOMP)Vlcg/Ch25h+ (more )
Structure Level Pattern Image Note
TS28: metanephros Present UC Davis_1872937 kidney

Specimen UC Davis_1872938: postnatal adult; Ch25htm1.1(KOMP)Vlcg/Ch25h+ (more )
Structure Level Pattern Image Note
TS28: metanephros Present UC Davis_1872938 kidney

Specimen UC Davis_1872939: postnatal adult; Ch25htm1.1(KOMP)Vlcg/Ch25h+ (more )
Structure Level Pattern Image Note
TS28: sciatic nerve Present UC Davis_1872939

Specimen UC Davis_1872940: postnatal adult; Ch25htm1.1(KOMP)Vlcg/Ch25h+ (more )
Structure Level Pattern Image Note
TS28: tongue Present UC Davis_1872940

Specimen UC Davis_1872941: postnatal adult; Ch25htm1.1(KOMP)Vlcg/Ch25h+ (more )
Structure Level Pattern Image Note
TS28: tongue Present UC Davis_1872941

Specimen UC Davis_1872943: postnatal adult; Ch25htm1.1(KOMP)Vlcg/Ch25h+ (more )
Structure Level Pattern Image Note
TS28: skin Present UC Davis_1872943

Specimen UC Davis_1872944: postnatal adult; Ch25htm1.1(KOMP)Vlcg/Ch25h+ (more )
Structure Level Pattern Image Note
TS28: skin Present UC Davis_1872944

Specimen UC Davis_1872945: postnatal adult; Ch25htm1.1(KOMP)Vlcg/Ch25h+ (more )
Structure Level Pattern Image Note
TS28: trigeminal nerve Present UC Davis_1872945

Specimen UC Davis_1872946: postnatal adult; Ch25htm1.1(KOMP)Vlcg/Ch25h+ (more )
Structure Level Pattern Image Note
TS28: trigeminal nerve Present UC Davis_1872946

Specimen UC Davis_1872947: postnatal adult; Ch25htm1.1(KOMP)Vlcg/Ch25h+ (more )
Structure Level Pattern Image Note
TS28: bladder Present UC Davis_1872947

Specimen UC Davis_1872948: postnatal adult; Ch25htm1.1(KOMP)Vlcg/Ch25h+ (more )
Structure Level Pattern Image Note
TS28: bladder Present UC Davis_1872948

Specimen UC Davis_1872949: postnatal adult; Ch25htm1.1(KOMP)Vlcg/Ch25h+ (more )
Structure Level Pattern Image Note
TS28: testis Present UC Davis_1872949

Specimen UC Davis_1872950: postnatal adult; Ch25htm1.1(KOMP)Vlcg/Ch25h+ (more )
Structure Level Pattern Image Note
TS28: testis Present UC Davis_1872950

Specimen UC Davis_1872951: postnatal adult; Ch25htm1.1(KOMP)Vlcg/Ch25h+ (more )
Structure Level Pattern Image Note
TS28: epididymis Present UC Davis_1872951

Specimen UC Davis_1872952: postnatal adult; Ch25htm1.1(KOMP)Vlcg/Ch25h+ (more )
Structure Level Pattern Image Note
TS28: epididymis Present UC Davis_1872952

Specimen UC Davis_1872953: postnatal adult; Ch25htm1.1(KOMP)Vlcg/Ch25h+ (more )
Structure Level Pattern Image Note
TS28: penis Present UC Davis_1872953

Specimen UC Davis_1872954: postnatal adult; Ch25htm1.1(KOMP)Vlcg/Ch25h+ (more )
Structure Level Pattern Image Note
TS28: penis Present UC Davis_1872954

Specimen UC Davis_1872955: postnatal adult; Ch25htm1.1(KOMP)Vlcg/Ch25h+ (more )
Structure Level Pattern Image Note
TS28: ductus deferens Present UC Davis_1872955 vas deferens

Specimen UC Davis_1872959: postnatal adult; Ch25htm1.1(KOMP)Vlcg/Ch25h+ (more )
Structure Level Pattern Image Note
TS28: seminal vesicle Present UC Davis_1872959 vesicular gland


Contributing Projects:
Mouse Genome Database (MGD), Gene Expression Database (GXD), Mouse Models of Human Cancer database (MMHCdb) (formerly Mouse Tumor Biology (MTB)), Gene Ontology (GO)
Citing These Resources
Funding Information
Warranty Disclaimer, Privacy Notice, Licensing, & Copyright
Send questions and comments to User Support.
last database update
12/30/2025
MGI 6.24
The Jackson Laboratory