About   Help   FAQ
Gene Expression Data
Assay Details
Assay
Reference: J:228563 Koscielny G, et al., The International Mouse Phenotyping Consortium Web Portal, a unified point of access for knockout mice and related phenotyping data. Nucleic Acids Res. 2014 Jan;42(Database issue):D802-9
Assay type: In situ reporter (knock in)
MGI Accession ID: MGI:6691368
Gene symbol: Ccr6
Gene name: C-C motif chemokine receptor 6
Reporter: lacZ
Direct Detection
Results
Specimen UC Davis_1876322: postnatal adult; Ccr6tm1.1(KOMP)Vlcg/Ccr6+ (more )
Structure Level Pattern Image Note
TS28: thymus Present UC Davis_1876322

Specimen UC Davis_1876323: postnatal adult; Ccr6tm1.1(KOMP)Vlcg/Ccr6+ (more )
Structure Level Pattern Image Note
TS28: thymus Present UC Davis_1876323

Specimen UC Davis_1876324: postnatal adult; Ccr6tm1.1(KOMP)Vlcg/Ccr6+ (more )
Structure Level Pattern Image Note
TS28: ileum Present UC Davis_1876324

Specimen UC Davis_1876325: postnatal adult; Ccr6tm1.1(KOMP)Vlcg/Ccr6+ (more )
Structure Level Pattern Image Note
TS28: colon Present UC Davis_1876325

Specimen UC Davis_1876326: postnatal adult; Ccr6tm1.1(KOMP)Vlcg/Ccr6+ (more )
Structure Level Pattern Image Note
TS28: colon Present UC Davis_1876326

Specimen UC Davis_1876327: postnatal adult; Ccr6tm1.1(KOMP)Vlcg/Ccr6+ (more )
Structure Level Pattern Image Note
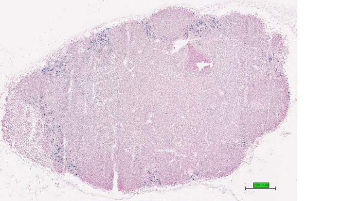
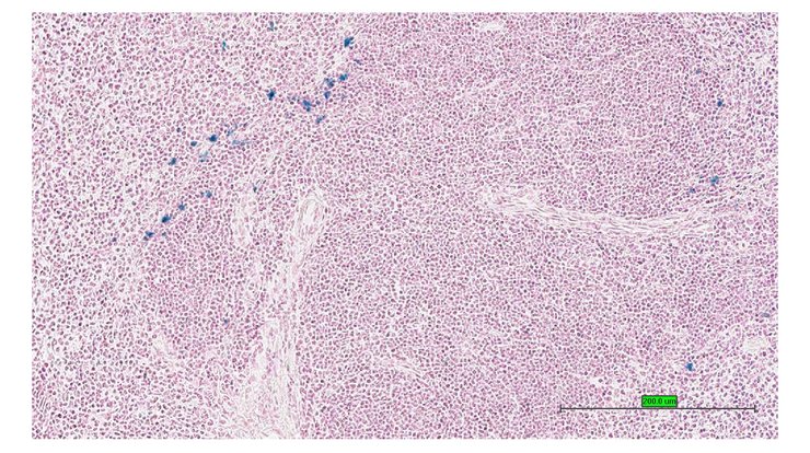
TS28: spleen Present UC Davis_1876327

Specimen UC Davis_1876328: postnatal adult; Ccr6tm1.1(KOMP)Vlcg/Ccr6+ (more )
Structure Level Pattern Image Note
TS28: spleen Present UC Davis_1876328

Specimen UC Davis_1876329: postnatal adult; Ccr6tm1.1(KOMP)Vlcg/Ccr6+ (more )
Structure Level Pattern Image Note
TS28: spleen Present UC Davis_1876329

Specimen UC Davis_1876330: postnatal adult; Ccr6tm1.1(KOMP)Vlcg/Ccr6+ (more )
Structure Level Pattern Image Note
TS28: olfactory lobe Present UC Davis_1876330

Specimen UC Davis_1876331: postnatal adult; Ccr6tm1.1(KOMP)Vlcg/Ccr6+ (more )
Structure Level Pattern Image Note
TS28: olfactory lobe Present UC Davis_1876331

Specimen UC Davis_1876305: postnatal adult; Ccr6tm1.1(KOMP)Vlcg/Ccr6+ (more )
Structure Level Pattern Image Note
TS28: thymus Present UC Davis_1876305

Specimen UC Davis_1876306: postnatal adult; Ccr6tm1.1(KOMP)Vlcg/Ccr6+ (more )
Structure Level Pattern Image Note
TS28: mesenteric lymph node Present UC Davis_1876306

Specimen UC Davis_1876307: postnatal adult; Ccr6tm1.1(KOMP)Vlcg/Ccr6+ (more )
Structure Level Pattern Image Note
TS28: mesenteric lymph node Present UC Davis_1876307

Specimen UC Davis_1876308: postnatal adult; Ccr6tm1.1(KOMP)Vlcg/Ccr6+ (more )
Structure Level Pattern Image Note
TS28: ileum Present UC Davis_1876308

Specimen UC Davis_1876309: postnatal adult; Ccr6tm1.1(KOMP)Vlcg/Ccr6+ (more )
Structure Level Pattern Image Note
TS28: ileum Present UC Davis_1876309

Specimen UC Davis_1876310: postnatal adult; Ccr6tm1.1(KOMP)Vlcg/Ccr6+ (more )
Structure Level Pattern Image Note
TS28: ileum Present UC Davis_1876310

Specimen UC Davis_1876311: postnatal adult; Ccr6tm1.1(KOMP)Vlcg/Ccr6+ (more )
Structure Level Pattern Image Note
TS28: cecum Present UC Davis_1876311

Specimen UC Davis_1876312: postnatal adult; Ccr6tm1.1(KOMP)Vlcg/Ccr6+ (more )
Structure Level Pattern Image Note
TS28: spleen Present UC Davis_1876312

Specimen UC Davis_1876313: postnatal adult; Ccr6tm1.1(KOMP)Vlcg/Ccr6+ (more )
Structure Level Pattern Image Note
TS28: spleen Present UC Davis_1876313

Specimen UC Davis_1876314: postnatal adult; Ccr6tm1.1(KOMP)Vlcg/Ccr6+ (more )
Structure Level Pattern Image Note
TS28: spleen Present UC Davis_1876314

Specimen UC Davis_1876315: postnatal adult; Ccr6tm1.1(KOMP)Vlcg/Ccr6+ (more )
Structure Level Pattern Image Note
TS28: testis Present UC Davis_1876315

Specimen UC Davis_1876316: postnatal adult; Ccr6tm1.1(KOMP)Vlcg/Ccr6+ (more )
Structure Level Pattern Image Note
TS28: epididymis Present UC Davis_1876316

Specimen UC Davis_1876317: postnatal adult; Ccr6tm1.1(KOMP)Vlcg/Ccr6+ (more )
Structure Level Pattern Image Note
TS28: prostate gland Present UC Davis_1876317

Specimen UC Davis_1876318: postnatal adult; Ccr6tm1.1(KOMP)Vlcg/Ccr6+ (more )
Structure Level Pattern Image Note
TS28: prostate gland Present UC Davis_1876318

Specimen UC Davis_1876319: postnatal adult; Ccr6tm1.1(KOMP)Vlcg/Ccr6+ (more )
Structure Level Pattern Image Note
TS28: ductus deferens Present UC Davis_1876319 vas deferens

Specimen UC Davis_1876320: postnatal adult; Ccr6tm1.1(KOMP)Vlcg/Ccr6+ (more )
Structure Level Pattern Image Note
TS28: ductus deferens Present UC Davis_1876320 vas deferens


Contributing Projects:
Mouse Genome Database (MGD), Gene Expression Database (GXD), Mouse Models of Human Cancer database (MMHCdb) (formerly Mouse Tumor Biology (MTB)), Gene Ontology (GO)
Citing These Resources
Funding Information
Warranty Disclaimer, Privacy Notice, Licensing, & Copyright
Send questions and comments to User Support.
last database update
01/20/2026
MGI 6.24
The Jackson Laboratory