About   Help   FAQ
Gene Expression Data
Assay Details
Assay
Reference: J:228563 Koscielny G, et al., The International Mouse Phenotyping Consortium Web Portal, a unified point of access for knockout mice and related phenotyping data. Nucleic Acids Res. 2014 Jan;42(Database issue):D802-9
Assay type: In situ reporter (knock in)
MGI Accession ID: MGI:6691367
Gene symbol: Mrpl22
Gene name: mitochondrial ribosomal protein L22
Reporter: lacZ
Direct Detection
Results
Specimen JAX_1470036: embryonic day 12.5; Mrpl22tm1b(KOMP)Mbp/Mrpl22+ (more )
Structure Level Pattern Image Note
TS20: embryo Present JAX_1470036

Specimen JAX_1470037: embryonic day 12.5; Mrpl22tm1b(KOMP)Mbp/Mrpl22+ (more )
Structure Level Pattern Image Note
TS20: embryo Present JAX_1470037

Specimen JAX_1470038: embryonic day 12.5; Mrpl22tm1b(KOMP)Mbp/Mrpl22+ (more )
Structure Level Pattern Image Note
TS20: embryo Present JAX_1470038

Specimen JAX_1470039: embryonic day 12.5; Mrpl22tm1b(KOMP)Mbp/Mrpl22+ (more )
Structure Level Pattern Image Note
TS20: embryo Present JAX_1470039

Specimen JAX_1064491: embryonic day 12.5; Mrpl22tm1b(KOMP)Mbp/Mrpl22+ (more )
Structure Level Pattern Image Note
TS20: embryo Present JAX_1064491

Specimen JAX_1064493: embryonic day 12.5; Mrpl22tm1b(KOMP)Mbp/Mrpl22+ (more )
Structure Level Pattern Image Note
TS20: embryo Present JAX_1064493

Specimen JAX_1064495: embryonic day 12.5; Mrpl22tm1b(KOMP)Mbp/Mrpl22+ (more )
Structure Level Pattern Image Note
TS20: embryo Present JAX_1064495

Specimen JAX_1064497: embryonic day 12.5; Mrpl22tm1b(KOMP)Mbp/Mrpl22+ (more )
Structure Level Pattern Image Note
TS20: embryo Present JAX_1064497

Specimen JAX_1804273: postnatal adult; Mrpl22tm1b(KOMP)Mbp/Mrpl22+ (more )
Structure Level Pattern Image Note
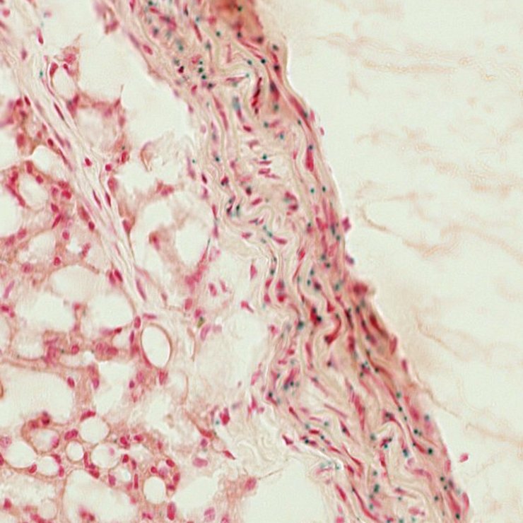
TS28: vascular system Present JAX_1804273

Specimen JAX_1804274: postnatal adult; Mrpl22tm1b(KOMP)Mbp/Mrpl22+ (more )
Structure Level Pattern Image Note
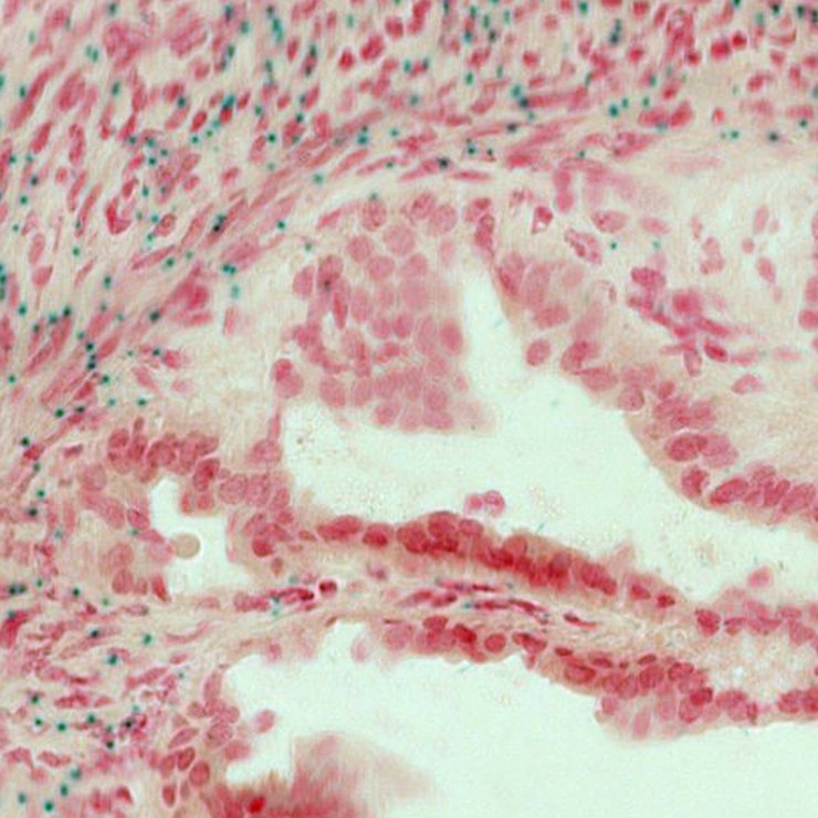
TS28: bladder Present JAX_1804274

Specimen JAX_1804275: postnatal adult; Mrpl22tm1b(KOMP)Mbp/Mrpl22+ (more )
Structure Level Pattern Image Note
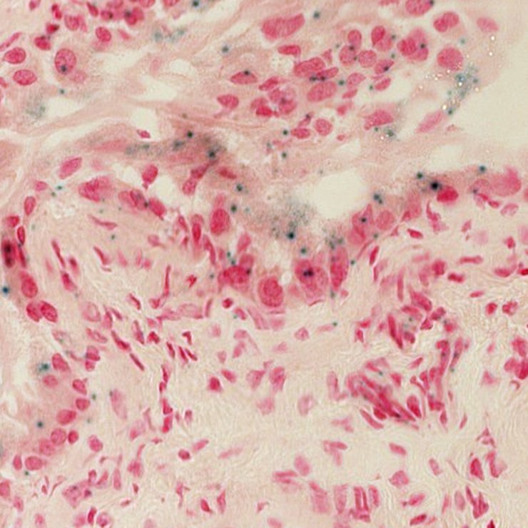
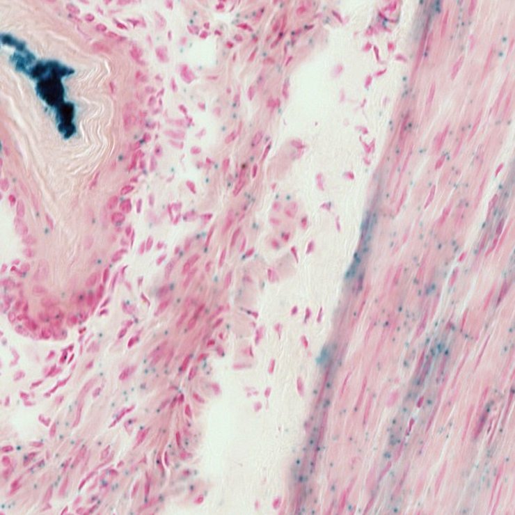
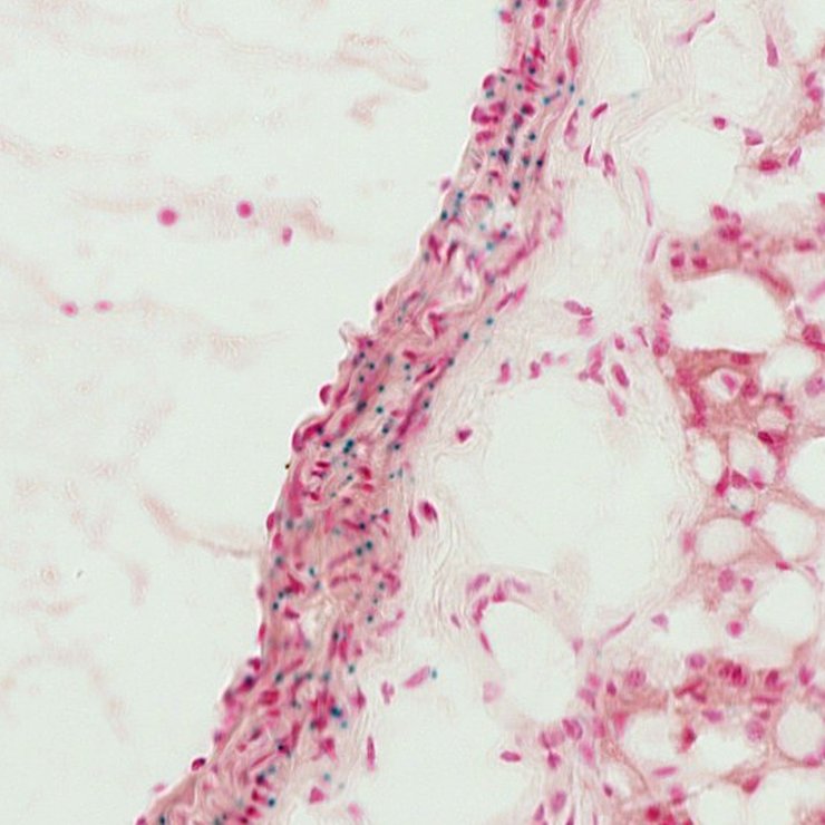
TS28: aorta Present JAX_1804275

Specimen JAX_1804276: postnatal adult; Mrpl22tm1b(KOMP)Mbp/Mrpl22+ (more )
Structure Level Pattern Image Note
TS28: white fat Present JAX_1804276

Specimen JAX_1804277: postnatal adult; Mrpl22tm1b(KOMP)Mbp/Mrpl22+ (more )
Structure Level Pattern Image Note
TS28: skeletal muscle tissue Present JAX_1804277

Specimen JAX_1804278: postnatal adult; Mrpl22tm1b(KOMP)Mbp/Mrpl22+ (more )
Structure Level Pattern Image Note
TS28: thyroid gland Present JAX_1804278

Specimen JAX_1804279: postnatal adult; Mrpl22tm1b(KOMP)Mbp/Mrpl22+ (more )
Structure Level Pattern Image Note
TS28: spinal cord Present JAX_1804279

Specimen JAX_1804280: postnatal adult; Mrpl22tm1b(KOMP)Mbp/Mrpl22+ (more )
Structure Level Pattern Image Note
TS28: uterus Present JAX_1804280

Specimen JAX_1804281: postnatal adult; Mrpl22tm1b(KOMP)Mbp/Mrpl22+ (more )
Structure Level Pattern Image Note
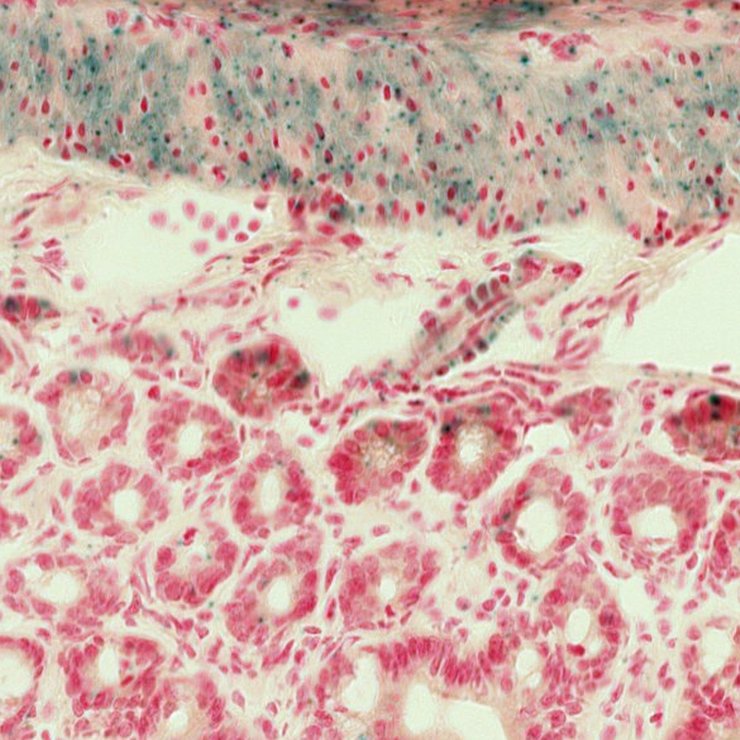
TS28: stomach Present JAX_1804281

Specimen JAX_1804282: postnatal adult; Mrpl22tm1b(KOMP)Mbp/Mrpl22+ (more )
Structure Level Pattern Image Note
TS28: oviduct Present JAX_1804282

Specimen JAX_1804284: postnatal adult; Mrpl22tm1b(KOMP)Mbp/Mrpl22+ (more )
Structure Level Pattern Image Note
TS28: heart Present JAX_1804284

Specimen JAX_1370849: postnatal adult; Mrpl22tm1b(KOMP)Mbp/Mrpl22+ (more )
Structure Level Pattern Image Note
TS28: thalamus Present JAX_1370849

Specimen JAX_1370850: postnatal adult; Mrpl22tm1b(KOMP)Mbp/Mrpl22+ (more )
Structure Level Pattern Image Note
TS28: midbrain Present JAX_1370850

Specimen JAX_1370851: postnatal adult; Mrpl22tm1b(KOMP)Mbp/Mrpl22+ (more )
Structure Level Pattern Image Note
TS28: epididymis Present JAX_1370851

Specimen JAX_1370853: postnatal adult; Mrpl22tm1b(KOMP)Mbp/Mrpl22+ (more )
Structure Level Pattern Image Note
TS28: corpus striatum Present JAX_1370853

Specimen JAX_1370855: postnatal adult; Mrpl22tm1b(KOMP)Mbp/Mrpl22+ (more )
Structure Level Pattern Image Note
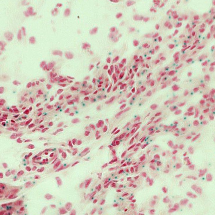
TS28: peripheral nervous system Present JAX_1370855

Specimen JAX_1370856: postnatal adult; Mrpl22tm1b(KOMP)Mbp/Mrpl22+ (more )
Structure Level Pattern Image Note
TS28: olfactory lobe Present JAX_1370856

Specimen JAX_1370857: postnatal adult; Mrpl22tm1b(KOMP)Mbp/Mrpl22+ (more )
Structure Level Pattern Image Note
TS28: hypothalamus Present JAX_1370857

Specimen JAX_1370858: postnatal adult; Mrpl22tm1b(KOMP)Mbp/Mrpl22+ (more )
Structure Level Pattern Image Note
TS28: hippocampus Present JAX_1370858

Specimen JAX_1370859: postnatal adult; Mrpl22tm1b(KOMP)Mbp/Mrpl22+ (more )
Structure Level Pattern Image Note
TS28: cerebellum Present JAX_1370859

Specimen JAX_1370860: postnatal adult; Mrpl22tm1b(KOMP)Mbp/Mrpl22+ (more )
Structure Level Pattern Image Note
TS28: cerebral cortex Present JAX_1370860

Specimen JAX_1370861: postnatal adult; Mrpl22tm1b(KOMP)Mbp/Mrpl22+ (more )
Structure Level Pattern Image Note
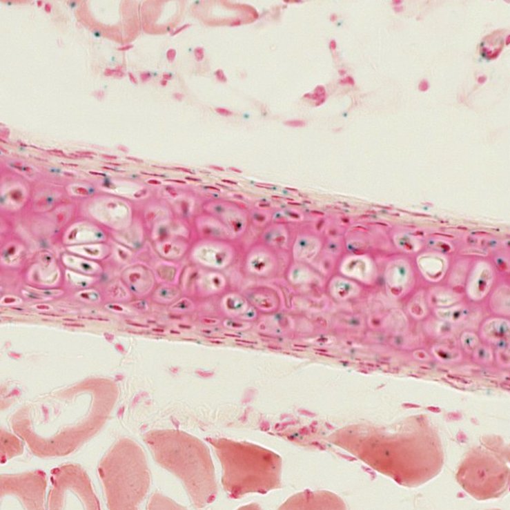
TS28: cartilage Present JAX_1370861

Specimen JAX_1370862: postnatal adult; Mrpl22tm1b(KOMP)Mbp/Mrpl22+ (more )
Structure Level Pattern Image Note
TS28: brainstem Present JAX_1370862

Specimen JAX_1370863: postnatal adult; Mrpl22tm1b(KOMP)Mbp/Mrpl22+ (more )
Structure Level Pattern Image Note
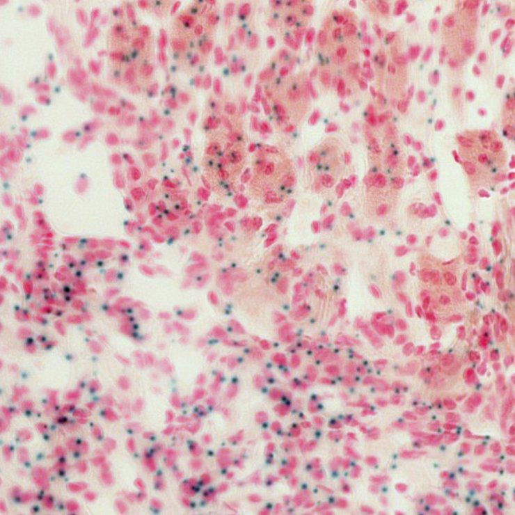
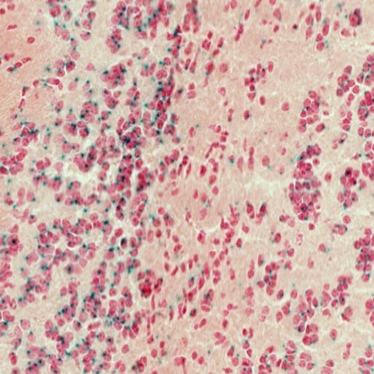
TS28: spleen Present JAX_1370863

Specimen JAX_1370864: postnatal adult; Mrpl22tm1b(KOMP)Mbp/Mrpl22+ (more )
Structure Level Pattern Image Note
TS28: pancreas Present JAX_1370864

Specimen JAX_1370865: postnatal adult; Mrpl22tm1b(KOMP)Mbp/Mrpl22+ (more )
Structure Level Pattern Image Note
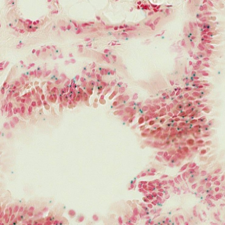
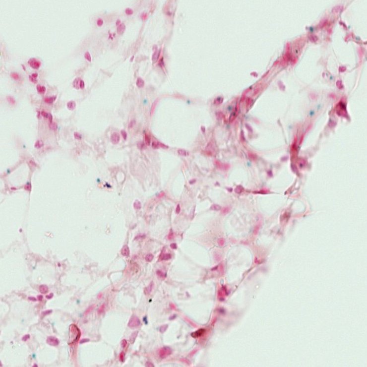
TS28: lung Present JAX_1370865

Specimen JAX_1370866: postnatal adult; Mrpl22tm1b(KOMP)Mbp/Mrpl22+ (more )
Structure Level Pattern Image Note
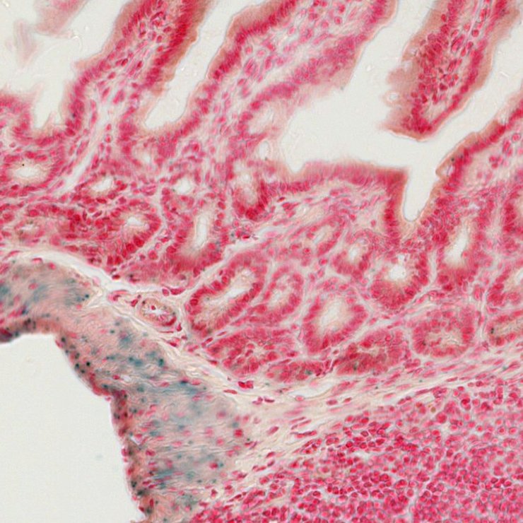
TS28: small intestine Present JAX_1370866

Specimen JAX_1370867: postnatal adult; Mrpl22tm1b(KOMP)Mbp/Mrpl22+ (more )
Structure Level Pattern Image Note
TS28: pituitary gland Present JAX_1370867

Specimen JAX_1370868: postnatal adult; Mrpl22tm1b(KOMP)Mbp/Mrpl22+ (more )
Structure Level Pattern Image Note
TS28: esophagus Present JAX_1370868

Specimen JAX_1370869: postnatal adult; Mrpl22tm1b(KOMP)Mbp/Mrpl22+ (more )
Structure Level Pattern Image Note
TS28: large intestine Present JAX_1370869

Specimen JAX_1370870: postnatal adult; Mrpl22tm1b(KOMP)Mbp/Mrpl22+ (more )
Structure Level Pattern Image Note
TS28: testis Present JAX_1370870

Specimen JAX_1370871: postnatal adult; Mrpl22tm1b(KOMP)Mbp/Mrpl22+ (more )
Structure Level Pattern Image Note
TS28: skin Present JAX_1370871

Specimen JAX_1370872: postnatal adult; Mrpl22tm1b(KOMP)Mbp/Mrpl22+ (more )
Structure Level Pattern Image Note
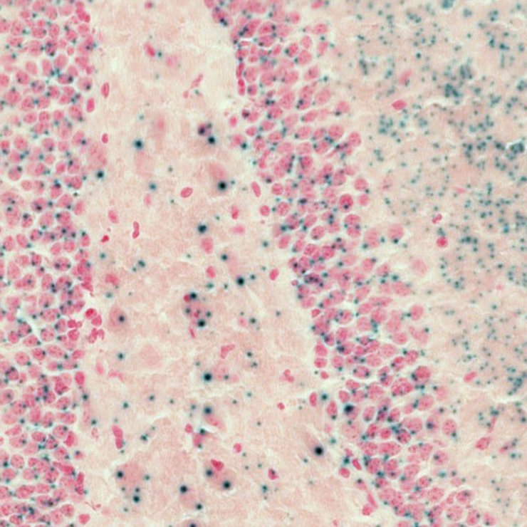
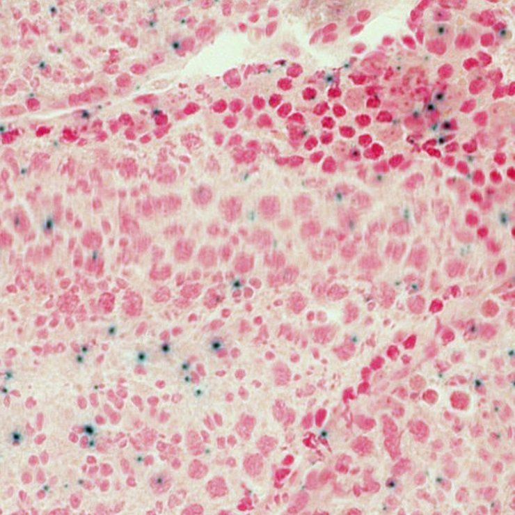
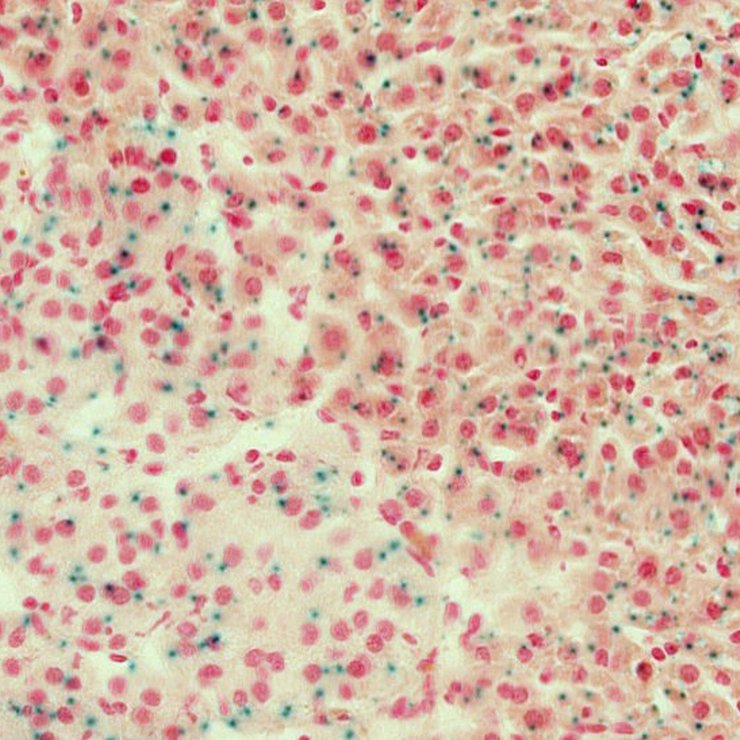
TS28: liver Present JAX_1370872

Specimen JAX_1370873: postnatal adult; Mrpl22tm1b(KOMP)Mbp/Mrpl22+ (more )
Structure Level Pattern Image Note
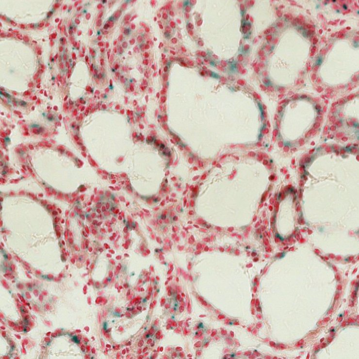
TS28: metanephros Present JAX_1370873 kidney

Specimen JAX_1370874: postnatal adult; Mrpl22tm1b(KOMP)Mbp/Mrpl22+ (more )
Structure Level Pattern Image Note
TS28: eye Present JAX_1370874

Specimen JAX_1370875: postnatal adult; Mrpl22tm1b(KOMP)Mbp/Mrpl22+ (more )
Structure Level Pattern Image Note
TS28: brain Present JAX_1370875

Specimen JAX_1370876: postnatal adult; Mrpl22tm1b(KOMP)Mbp/Mrpl22+ (more )
Structure Level Pattern Image Note
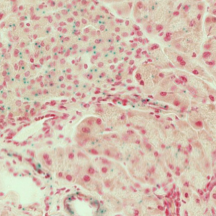
TS28: adrenal gland Present JAX_1370876


Contributing Projects:
Mouse Genome Database (MGD), Gene Expression Database (GXD), Mouse Models of Human Cancer database (MMHCdb) (formerly Mouse Tumor Biology (MTB)), Gene Ontology (GO)
Citing These Resources
Funding Information
Warranty Disclaimer, Privacy Notice, Licensing, & Copyright
Send questions and comments to User Support.
last database update
12/30/2025
MGI 6.24
The Jackson Laboratory