About   Help   FAQ
Gene Expression Data
Assay Details
Assay
Reference: J:228563 Koscielny G, et al., The International Mouse Phenotyping Consortium Web Portal, a unified point of access for knockout mice and related phenotyping data. Nucleic Acids Res. 2014 Jan;42(Database issue):D802-9
Assay type: In situ reporter (knock in)
MGI Accession ID: MGI:6691364
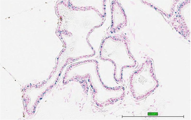
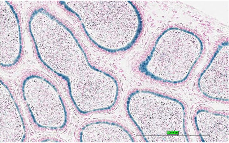
Gene symbol: Tfec
Gene name: transcription factor EC
Reporter: lacZ
Direct Detection
Results
Specimen UC Davis_1859518: postnatal adult; Tfectm1b(KOMP)Wtsi/Tfec+ (more )
Structure Level Pattern Image Note
TS28: ileum Present UC Davis_1859518

Specimen UC Davis_1859519: postnatal adult; Tfectm1b(KOMP)Wtsi/Tfec+ (more )
Structure Level Pattern Image Note
TS28: ileum Present UC Davis_1859519

Specimen UC Davis_1859520: postnatal adult; Tfectm1b(KOMP)Wtsi/Tfec+ (more )
Structure Level Pattern Image Note
TS28: ileum Present UC Davis_1859520

Specimen UC Davis_1859521: postnatal adult; Tfectm1b(KOMP)Wtsi/Tfec+ (more )
Structure Level Pattern Image Note
TS28: colon Present UC Davis_1859521

Specimen UC Davis_1859522: postnatal adult; Tfectm1b(KOMP)Wtsi/Tfec+ (more )
Structure Level Pattern Image Note
TS28: colon Present UC Davis_1859522

Specimen UC Davis_1859523: postnatal adult; Tfectm1b(KOMP)Wtsi/Tfec+ (more )
Structure Level Pattern Image Note
TS28: colon Present UC Davis_1859523

Specimen UC Davis_1859524: postnatal adult; Tfectm1b(KOMP)Wtsi/Tfec+ (more )
Structure Level Pattern Image Note
TS28: metanephros Present UC Davis_1859524 kidney

Specimen UC Davis_1859525: postnatal adult; Tfectm1b(KOMP)Wtsi/Tfec+ (more )
Structure Level Pattern Image Note
TS28: metanephros Present UC Davis_1859525 kidney

Specimen UC Davis_1859526: postnatal adult; Tfectm1b(KOMP)Wtsi/Tfec+ (more )
Structure Level Pattern Image Note
TS28: metanephros Present UC Davis_1859526 kidney

Specimen UC Davis_1859495: postnatal adult; Tfectm1b(KOMP)Wtsi/Tfec+ (more )
Structure Level Pattern Image Note
TS28: esophagus Present UC Davis_1859495

Specimen UC Davis_1859497: postnatal adult; Tfectm1b(KOMP)Wtsi/Tfec+ (more )
Structure Level Pattern Image Note
TS28: duodenum Present UC Davis_1859497

Specimen UC Davis_1859498: postnatal adult; Tfectm1b(KOMP)Wtsi/Tfec+ (more )
Structure Level Pattern Image Note
TS28: duodenum Present UC Davis_1859498

Specimen UC Davis_1859499: postnatal adult; Tfectm1b(KOMP)Wtsi/Tfec+ (more )
Structure Level Pattern Image Note
TS28: ileum Present UC Davis_1859499

Specimen UC Davis_1859500: postnatal adult; Tfectm1b(KOMP)Wtsi/Tfec+ (more )
Structure Level Pattern Image Note
TS28: ileum Present UC Davis_1859500

Specimen UC Davis_1859501: postnatal adult; Tfectm1b(KOMP)Wtsi/Tfec+ (more )
Structure Level Pattern Image Note
TS28: colon Present UC Davis_1859501

Specimen UC Davis_1859502: postnatal adult; Tfectm1b(KOMP)Wtsi/Tfec+ (more )
Structure Level Pattern Image Note
TS28: colon Present UC Davis_1859502

Specimen UC Davis_1859503: postnatal adult; Tfectm1b(KOMP)Wtsi/Tfec+ (more )
Structure Level Pattern Image Note
TS28: metanephros Present UC Davis_1859503 kidney

Specimen UC Davis_1859504: postnatal adult; Tfectm1b(KOMP)Wtsi/Tfec+ (more )
Structure Level Pattern Image Note
TS28: metanephros Present UC Davis_1859504 kidney

Specimen UC Davis_1859505: postnatal adult; Tfectm1b(KOMP)Wtsi/Tfec+ (more )
Structure Level Pattern Image Note
TS28: metanephros Present UC Davis_1859505 kidney

Specimen UC Davis_1859509: postnatal adult; Tfectm1b(KOMP)Wtsi/Tfec+ (more )
Structure Level Pattern Image Note
TS28: midbrain Present UC Davis_1859509

Specimen UC Davis_1859510: postnatal adult; Tfectm1b(KOMP)Wtsi/Tfec+ (more )
Structure Level Pattern Image Note
TS28: testis Present UC Davis_1859510

Specimen UC Davis_1859511: postnatal adult; Tfectm1b(KOMP)Wtsi/Tfec+ (more )
Structure Level Pattern Image Note
TS28: testis Present UC Davis_1859511

Specimen UC Davis_1859512: postnatal adult; Tfectm1b(KOMP)Wtsi/Tfec+ (more )
Structure Level Pattern Image Note
TS28: testis Present UC Davis_1859512

Specimen UC Davis_1859513: postnatal adult; Tfectm1b(KOMP)Wtsi/Tfec+ (more )
Structure Level Pattern Image Note
TS28: epididymis Present UC Davis_1859513

Specimen UC Davis_1859514: postnatal adult; Tfectm1b(KOMP)Wtsi/Tfec+ (more )
Structure Level Pattern Image Note
TS28: epididymis Present UC Davis_1859514

Specimen UC Davis_1859515: postnatal adult; Tfectm1b(KOMP)Wtsi/Tfec+ (more )
Structure Level Pattern Image Note
TS28: prostate gland Present UC Davis_1859515

Specimen UC Davis_1859516: postnatal adult; Tfectm1b(KOMP)Wtsi/Tfec+ (more )
Structure Level Pattern Image Note
TS28: ductus deferens Present UC Davis_1859516 vas deferens

Specimen UC Davis_1859517: postnatal adult; Tfectm1b(KOMP)Wtsi/Tfec+ (more )
Structure Level Pattern Image Note
TS28: ductus deferens Present UC Davis_1859517 vas deferens

Specimen UC Davis_1859530: postnatal adult; Tfectm1b(KOMP)Wtsi/Tfec+ (more )
Structure Level Pattern Image Note
TS28: olfactory lobe Present UC Davis_1859530

Specimen UC Davis_1859533: postnatal adult; Tfectm1b(KOMP)Wtsi/Tfec+ (more )
Structure Level Pattern Image Note
TS28: midbrain Present UC Davis_1859533

Specimen UC Davis_1859535: postnatal adult; Tfectm1b(KOMP)Wtsi/Tfec+ (more )
Structure Level Pattern Image Note
TS28: cerebellum Present UC Davis_1859535

Specimen UC Davis_1859536: postnatal adult; Tfectm1b(KOMP)Wtsi/Tfec+ (more )
Structure Level Pattern Image Note
TS28: brain Present UC Davis_1859536

Specimen UC Davis_1859537: postnatal adult; Tfectm1b(KOMP)Wtsi/Tfec+ (more )
Structure Level Pattern Image Note
TS28: metanephros Present UC Davis_1859537 kidney

Specimen UC Davis_1859538: postnatal adult; Tfectm1b(KOMP)Wtsi/Tfec+ (more )
Structure Level Pattern Image Note
TS28: testis Present UC Davis_1859538


Contributing Projects:
Mouse Genome Database (MGD), Gene Expression Database (GXD), Mouse Models of Human Cancer database (MMHCdb) (formerly Mouse Tumor Biology (MTB)), Gene Ontology (GO)
Citing These Resources
Funding Information
Warranty Disclaimer, Privacy Notice, Licensing, & Copyright
Send questions and comments to User Support.
last database update
12/30/2025
MGI 6.24
The Jackson Laboratory