About   Help   FAQ
Gene Expression Data
Assay Details
Assay
Reference: J:228563 Koscielny G, et al., The International Mouse Phenotyping Consortium Web Portal, a unified point of access for knockout mice and related phenotyping data. Nucleic Acids Res. 2014 Jan;42(Database issue):D802-9
Assay type: In situ reporter (knock in)
MGI Accession ID: MGI:6691361
Gene symbol: Phtf1
Gene name: putative homeodomain transcription factor 1
Reporter: lacZ
Direct Detection
Results
Specimen UC Davis_1873637: postnatal adult; Phtf1tm1b(KOMP)Wtsi/Phtf1+ (more )
Structure Level Pattern Image Note
TS28: esophagus Present UC Davis_1873637

Specimen UC Davis_1873638: postnatal adult; Phtf1tm1b(KOMP)Wtsi/Phtf1+ (more )
Structure Level Pattern Image Note
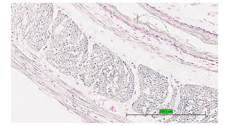
TS28: aorta Present UC Davis_1873638

Specimen UC Davis_1873639: postnatal adult; Phtf1tm1b(KOMP)Wtsi/Phtf1+ (more )
Structure Level Pattern Image Note
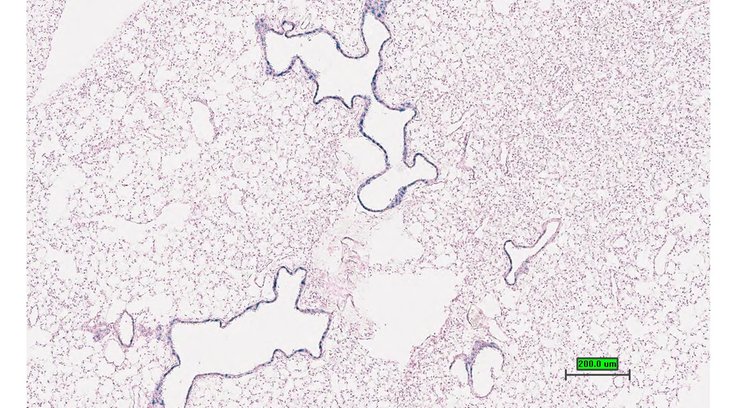
TS28: lung Present UC Davis_1873639

Specimen UC Davis_1873640: postnatal adult; Phtf1tm1b(KOMP)Wtsi/Phtf1+ (more )
Structure Level Pattern Image Note
TS28: lung Present UC Davis_1873640

Specimen UC Davis_1873643: postnatal adult; Phtf1tm1b(KOMP)Wtsi/Phtf1+ (more )
Structure Level Pattern Image Note
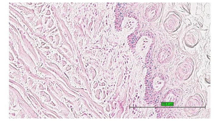
TS28: stomach Present UC Davis_1873643

Specimen UC Davis_1873644: postnatal adult; Phtf1tm1b(KOMP)Wtsi/Phtf1+ (more )
Structure Level Pattern Image Note
TS28: stomach Present UC Davis_1873644

Specimen UC Davis_1873645: postnatal adult; Phtf1tm1b(KOMP)Wtsi/Phtf1+ (more )
Structure Level Pattern Image Note
TS28: stomach Present UC Davis_1873645

Specimen UC Davis_1873646: postnatal adult; Phtf1tm1b(KOMP)Wtsi/Phtf1+ (more )
Structure Level Pattern Image Note
TS28: duodenum Present UC Davis_1873646

Specimen UC Davis_1873647: postnatal adult; Phtf1tm1b(KOMP)Wtsi/Phtf1+ (more )
Structure Level Pattern Image Note
TS28: jejunum Present UC Davis_1873647

Specimen UC Davis_1873648: postnatal adult; Phtf1tm1b(KOMP)Wtsi/Phtf1+ (more )
Structure Level Pattern Image Note
TS28: ileum Present UC Davis_1873648

Specimen UC Davis_1873649: postnatal adult; Phtf1tm1b(KOMP)Wtsi/Phtf1+ (more )
Structure Level Pattern Image Note
TS28: colon Present UC Davis_1873649

Specimen UC Davis_1873650: postnatal adult; Phtf1tm1b(KOMP)Wtsi/Phtf1+ (more )
Structure Level Pattern Image Note
TS28: colon Present UC Davis_1873650

Specimen UC Davis_1873651: postnatal adult; Phtf1tm1b(KOMP)Wtsi/Phtf1+ (more )
Structure Level Pattern Image Note
TS28: pancreas Present UC Davis_1873651

Specimen UC Davis_1873652: postnatal adult; Phtf1tm1b(KOMP)Wtsi/Phtf1+ (more )
Structure Level Pattern Image Note
TS28: metanephros Present UC Davis_1873652 kidney

Specimen UC Davis_1873653: postnatal adult; Phtf1tm1b(KOMP)Wtsi/Phtf1+ (more )
Structure Level Pattern Image Note
TS28: metanephros Present UC Davis_1873653 kidney

Specimen UC Davis_1873654: postnatal adult; Phtf1tm1b(KOMP)Wtsi/Phtf1+ (more )
Structure Level Pattern Image Note
TS28: tongue Present UC Davis_1873654

Specimen UC Davis_1873655: postnatal adult; Phtf1tm1b(KOMP)Wtsi/Phtf1+ (more )
Structure Level Pattern Image Note
TS28: pituitary gland Present UC Davis_1873655

Specimen UC Davis_1873656: postnatal adult; Phtf1tm1b(KOMP)Wtsi/Phtf1+ (more )
Structure Level Pattern Image Note
TS28: eye Present UC Davis_1873656

Specimen UC Davis_1873658: postnatal adult; Phtf1tm1b(KOMP)Wtsi/Phtf1+ (more )
Structure Level Pattern Image Note
TS28: Harderian gland Present UC Davis_1873658

Specimen UC Davis_1873659: postnatal adult; Phtf1tm1b(KOMP)Wtsi/Phtf1+ (more )
Structure Level Pattern Image Note
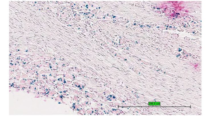
TS28: mesenteric adipose tissue Present UC Davis_1873659

Specimen UC Davis_1873660: postnatal adult; Phtf1tm1b(KOMP)Wtsi/Phtf1+ (more )
Structure Level Pattern Image Note
TS28: skin Present UC Davis_1873660

Specimen UC Davis_1873661: postnatal adult; Phtf1tm1b(KOMP)Wtsi/Phtf1+ (more )
Structure Level Pattern Image Note
TS28: brown fat Present UC Davis_1873661

Specimen UC Davis_1873662: postnatal adult; Phtf1tm1b(KOMP)Wtsi/Phtf1+ (more )
Structure Level Pattern Image Note
TS28: brown fat Present UC Davis_1873662

Specimen UC Davis_1873664: postnatal adult; Phtf1tm1b(KOMP)Wtsi/Phtf1+ (more )
Structure Level Pattern Image Note
TS28: midbrain Present UC Davis_1873664

Specimen UC Davis_1873666: postnatal adult; Phtf1tm1b(KOMP)Wtsi/Phtf1+ (more )
Structure Level Pattern Image Note
TS28: trigeminal nerve Present UC Davis_1873666

Specimen UC Davis_1873667: postnatal adult; Phtf1tm1b(KOMP)Wtsi/Phtf1+ (more )
Structure Level Pattern Image Note
TS28: ovary Present UC Davis_1873667

Specimen UC Davis_1873668: postnatal adult; Phtf1tm1b(KOMP)Wtsi/Phtf1+ (more )
Structure Level Pattern Image Note
TS28: ovary Present UC Davis_1873668

Specimen UC Davis_1873669: postnatal adult; Phtf1tm1b(KOMP)Wtsi/Phtf1+ (more )
Structure Level Pattern Image Note
TS28: oviduct Present UC Davis_1873669

Specimen UC Davis_1873670: postnatal adult; Phtf1tm1b(KOMP)Wtsi/Phtf1+ (more )
Structure Level Pattern Image Note
TS28: oviduct Present UC Davis_1873670

Specimen UC Davis_1873671: postnatal adult; Phtf1tm1b(KOMP)Wtsi/Phtf1+ (more )
Structure Level Pattern Image Note
TS28: uterus Present UC Davis_1873671

Specimen UC Davis_1873672: postnatal adult; Phtf1tm1b(KOMP)Wtsi/Phtf1+ (more )
Structure Level Pattern Image Note
TS28: uterus Present UC Davis_1873672

Specimen UC Davis_1873673: postnatal adult; Phtf1tm1b(KOMP)Wtsi/Phtf1+ (more )
Structure Level Pattern Image Note
TS28: vagina Present UC Davis_1873673

Specimen UC Davis_1873674: postnatal adult; Phtf1tm1b(KOMP)Wtsi/Phtf1+ (more )
Structure Level Pattern Image Note
TS28: bladder Present UC Davis_1873674

Specimen UC Davis_1873675: postnatal adult; Phtf1tm1b(KOMP)Wtsi/Phtf1+ (more )
Structure Level Pattern Image Note
TS28: trachea Present UC Davis_1873675

Specimen UC Davis_1873677: postnatal adult; Phtf1tm1b(KOMP)Wtsi/Phtf1+ (more )
Structure Level Pattern Image Note
TS28: aorta Present UC Davis_1873677

Specimen UC Davis_1873678: postnatal adult; Phtf1tm1b(KOMP)Wtsi/Phtf1+ (more )
Structure Level Pattern Image Note
TS28: lung Present UC Davis_1873678

Specimen UC Davis_1873679: postnatal adult; Phtf1tm1b(KOMP)Wtsi/Phtf1+ (more )
Structure Level Pattern Image Note
TS28: lung Present UC Davis_1873679

Specimen UC Davis_1873680: postnatal adult; Phtf1tm1b(KOMP)Wtsi/Phtf1+ (more )
Structure Level Pattern Image Note
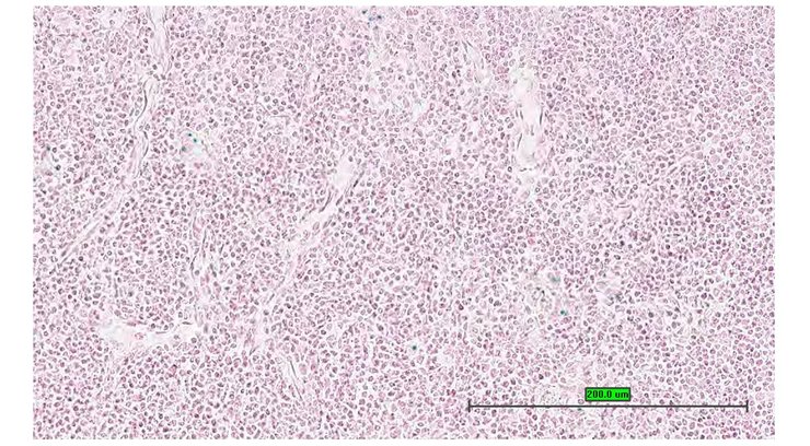
TS28: thymus Present UC Davis_1873680

Specimen UC Davis_1873681: postnatal adult; Phtf1tm1b(KOMP)Wtsi/Phtf1+ (more )
Structure Level Pattern Image Note
TS28: thymus Present UC Davis_1873681

Specimen UC Davis_1873685: postnatal adult; Phtf1tm1b(KOMP)Wtsi/Phtf1+ (more )
Structure Level Pattern Image Note
TS28: stomach Present UC Davis_1873685

Specimen UC Davis_1873686: postnatal adult; Phtf1tm1b(KOMP)Wtsi/Phtf1+ (more )
Structure Level Pattern Image Note
TS28: stomach Present UC Davis_1873686

Specimen UC Davis_1873687: postnatal adult; Phtf1tm1b(KOMP)Wtsi/Phtf1+ (more )
Structure Level Pattern Image Note
TS28: colon Present UC Davis_1873687

Specimen UC Davis_1873688: postnatal adult; Phtf1tm1b(KOMP)Wtsi/Phtf1+ (more )
Structure Level Pattern Image Note
TS28: metanephros Present UC Davis_1873688 kidney

Specimen UC Davis_1873689: postnatal adult; Phtf1tm1b(KOMP)Wtsi/Phtf1+ (more )
Structure Level Pattern Image Note
TS28: metanephros Present UC Davis_1873689 kidney

Specimen UC Davis_1873690: postnatal adult; Phtf1tm1b(KOMP)Wtsi/Phtf1+ (more )
Structure Level Pattern Image Note
TS28: metanephros Present UC Davis_1873690 kidney

Specimen UC Davis_1873691: postnatal adult; Phtf1tm1b(KOMP)Wtsi/Phtf1+ (more )
Structure Level Pattern Image Note
TS28: tongue Present UC Davis_1873691

Specimen UC Davis_1873692: postnatal adult; Phtf1tm1b(KOMP)Wtsi/Phtf1+ (more )
Structure Level Pattern Image Note
TS28: tongue Present UC Davis_1873692

Specimen UC Davis_1873693: postnatal adult; Phtf1tm1b(KOMP)Wtsi/Phtf1+ (more )
Structure Level Pattern Image Note
TS28: tongue Present UC Davis_1873693

Specimen UC Davis_1873694: postnatal adult; Phtf1tm1b(KOMP)Wtsi/Phtf1+ (more )
Structure Level Pattern Image Note
TS28: adrenal gland Present UC Davis_1873694

Specimen UC Davis_1873695: postnatal adult; Phtf1tm1b(KOMP)Wtsi/Phtf1+ (more )
Structure Level Pattern Image Note
TS28: adrenal gland Present UC Davis_1873695

Specimen UC Davis_1873696: postnatal adult; Phtf1tm1b(KOMP)Wtsi/Phtf1+ (more )
Structure Level Pattern Image Note
TS28: spinal cord Present UC Davis_1873696

Specimen UC Davis_1873697: postnatal adult; Phtf1tm1b(KOMP)Wtsi/Phtf1+ (more )
Structure Level Pattern Image Note
TS28: spinal cord Present UC Davis_1873697

Specimen UC Davis_1873698: postnatal adult; Phtf1tm1b(KOMP)Wtsi/Phtf1+ (more )
Structure Level Pattern Image Note
TS28: Harderian gland Present UC Davis_1873698

Specimen UC Davis_1873699: postnatal adult; Phtf1tm1b(KOMP)Wtsi/Phtf1+ (more )
Structure Level Pattern Image Note
TS28: olfactory lobe Present UC Davis_1873699

Specimen UC Davis_1873702: postnatal adult; Phtf1tm1b(KOMP)Wtsi/Phtf1+ (more )
Structure Level Pattern Image Note
TS28: midbrain Present UC Davis_1873702

Specimen UC Davis_1873704: postnatal adult; Phtf1tm1b(KOMP)Wtsi/Phtf1+ (more )
Structure Level Pattern Image Note
TS28: trigeminal nerve Present UC Davis_1873704

Specimen UC Davis_1873705: postnatal adult; Phtf1tm1b(KOMP)Wtsi/Phtf1+ (more )
Structure Level Pattern Image Note
TS28: trigeminal nerve Present UC Davis_1873705

Specimen UC Davis_1873706: postnatal adult; Phtf1tm1b(KOMP)Wtsi/Phtf1+ (more )
Structure Level Pattern Image Note
TS28: bladder Present UC Davis_1873706

Specimen UC Davis_1873707: postnatal adult; Phtf1tm1b(KOMP)Wtsi/Phtf1+ (more )
Structure Level Pattern Image Note
TS28: testis Present UC Davis_1873707

Specimen UC Davis_1873708: postnatal adult; Phtf1tm1b(KOMP)Wtsi/Phtf1+ (more )
Structure Level Pattern Image Note
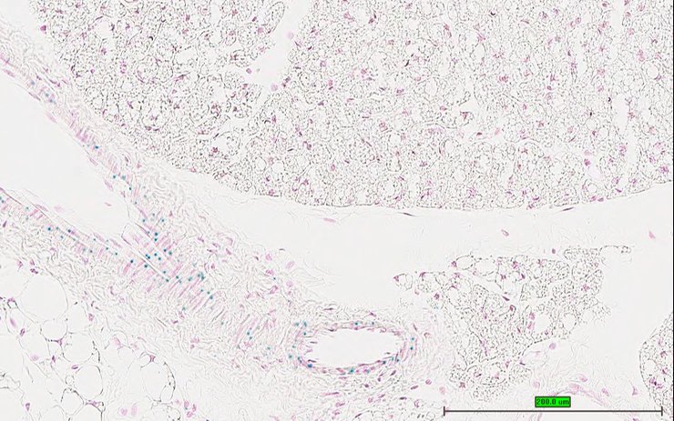
TS28: epididymis Present UC Davis_1873708

Specimen UC Davis_1873709: postnatal adult; Phtf1tm1b(KOMP)Wtsi/Phtf1+ (more )
Structure Level Pattern Image Note
TS28: epididymis Present UC Davis_1873709

Specimen UC Davis_1873710: postnatal adult; Phtf1tm1b(KOMP)Wtsi/Phtf1+ (more )
Structure Level Pattern Image Note
TS28: ductus deferens Present UC Davis_1873710 vas deferens

Specimen UC Davis_1873711: postnatal adult; Phtf1tm1b(KOMP)Wtsi/Phtf1+ (more )
Structure Level Pattern Image Note
TS28: ductus deferens Present UC Davis_1873711 vas deferens


Contributing Projects:
Mouse Genome Database (MGD), Gene Expression Database (GXD), Mouse Models of Human Cancer database (MMHCdb) (formerly Mouse Tumor Biology (MTB)), Gene Ontology (GO)
Citing These Resources
Funding Information
Warranty Disclaimer, Privacy Notice, Licensing, & Copyright
Send questions and comments to User Support.
last database update
01/20/2026
MGI 6.24
The Jackson Laboratory