About   Help   FAQ
Gene Expression Data
Assay Details
Assay
Reference: J:228563 Koscielny G, et al., The International Mouse Phenotyping Consortium Web Portal, a unified point of access for knockout mice and related phenotyping data. Nucleic Acids Res. 2014 Jan;42(Database issue):D802-9
Assay type: In situ reporter (knock in)
MGI Accession ID: MGI:6691338
Gene symbol: Gspt2
Gene name: G1 to S phase transition 2
Reporter: lacZ
Direct Detection
Results
Specimen JAX_1629674: postnatal adult; Gspt2tm1.1(KOMP)Vlcg/Gspt2+ (more )
Structure Level Pattern Image Note
TS28: small intestine Present JAX_1629674

Specimen JAX_1629675: postnatal adult; Gspt2tm1.1(KOMP)Vlcg/Gspt2+ (more )
Structure Level Pattern Image Note
TS28: spinal cord Present JAX_1629675

Specimen JAX_1629676: postnatal adult; Gspt2tm1.1(KOMP)Vlcg/Gspt2+ (more )
Structure Level Pattern Image Note
TS28: large intestine Present JAX_1629676

Specimen JAX_1629677: postnatal adult; Gspt2tm1.1(KOMP)Vlcg/Gspt2+ (more )
Structure Level Pattern Image Note
TS28: ovary Present JAX_1629677

Specimen JAX_1629678: postnatal adult; Gspt2tm1.1(KOMP)Vlcg/Gspt2+ (more )
Structure Level Pattern Image Note
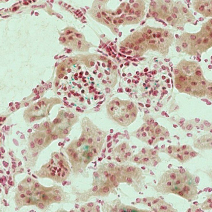
TS28: metanephros Present JAX_1629678 kidney

Specimen JAX_1629679: postnatal adult; Gspt2tm1.1(KOMP)Vlcg/Gspt2+ (more )
Structure Level Pattern Image Note
TS28: adrenal gland Present JAX_1629679

Specimen JAX_1629680: postnatal adult; Gspt2tm1.1(KOMP)Vlcg/Y (more )
Structure Level Pattern Image Note
TS28: thalamus Present JAX_1629680

Specimen JAX_1629681: postnatal adult; Gspt2tm1.1(KOMP)Vlcg/Y (more )
Structure Level Pattern Image Note
TS28: midbrain Present JAX_1629681

Specimen JAX_1629682: postnatal adult; Gspt2tm1.1(KOMP)Vlcg/Y (more )
Structure Level Pattern Image Note
TS28: epididymis Present JAX_1629682

Specimen JAX_1629683: postnatal adult; Gspt2tm1.1(KOMP)Vlcg/Y (more )
Structure Level Pattern Image Note
TS28: corpus striatum Present JAX_1629683

Specimen JAX_1629684: postnatal adult; Gspt2tm1.1(KOMP)Vlcg/Y (more )
Structure Level Pattern Image Note
TS28: olfactory lobe Present JAX_1629684

Specimen JAX_1629685: postnatal adult; Gspt2tm1.1(KOMP)Vlcg/Y (more )
Structure Level Pattern Image Note
TS28: hypothalamus Present JAX_1629685

Specimen JAX_1629686: postnatal adult; Gspt2tm1.1(KOMP)Vlcg/Y (more )
Structure Level Pattern Image Note
TS28: hippocampus Present JAX_1629686

Specimen JAX_1629687: postnatal adult; Gspt2tm1.1(KOMP)Vlcg/Y (more )
Structure Level Pattern Image Note
TS28: cerebellum Present JAX_1629687

Specimen JAX_1629688: postnatal adult; Gspt2tm1.1(KOMP)Vlcg/Y (more )
Structure Level Pattern Image Note
TS28: cerebral cortex Present JAX_1629688

Specimen JAX_1629689: postnatal adult; Gspt2tm1.1(KOMP)Vlcg/Y (more )
Structure Level Pattern Image Note
TS28: brainstem Present JAX_1629689

Specimen JAX_1629690: postnatal adult; Gspt2tm1.1(KOMP)Vlcg/Y (more )
Structure Level Pattern Image Note
TS28: pancreas Present JAX_1629690

Specimen JAX_1629691: postnatal adult; Gspt2tm1.1(KOMP)Vlcg/Y (more )
Structure Level Pattern Image Note
TS28: testis Present JAX_1629691

Specimen JAX_1629692: postnatal adult; Gspt2tm1.1(KOMP)Vlcg/Y (more )
Structure Level Pattern Image Note
TS28: stomach Present JAX_1629692

Specimen JAX_1629693: postnatal adult; Gspt2tm1.1(KOMP)Vlcg/Y (more )
Structure Level Pattern Image Note
TS28: eye Present JAX_1629693

Specimen JAX_1629694: postnatal adult; Gspt2tm1.1(KOMP)Vlcg/Y (more )
Structure Level Pattern Image Note
TS28: brain Present JAX_1629694


Contributing Projects:
Mouse Genome Database (MGD), Gene Expression Database (GXD), Mouse Models of Human Cancer database (MMHCdb) (formerly Mouse Tumor Biology (MTB)), Gene Ontology (GO)
Citing These Resources
Funding Information
Warranty Disclaimer, Privacy Notice, Licensing, & Copyright
Send questions and comments to User Support.
last database update
12/30/2025
MGI 6.24
The Jackson Laboratory