About   Help   FAQ
Gene Expression Data
Assay Details
Assay
Reference: J:228563 Koscielny G, et al., The International Mouse Phenotyping Consortium Web Portal, a unified point of access for knockout mice and related phenotyping data. Nucleic Acids Res. 2014 Jan;42(Database issue):D802-9
Assay type: In situ reporter (knock in)
MGI Accession ID: MGI:6691321
Gene symbol: Sart1
Gene name: squamous cell carcinoma antigen recognized by T cells 1
Reporter: lacZ
Direct Detection
Results
Specimen JAX_1314411: embryonic day 12.5; Sart1tm1.1(KOMP)Vlcg/Sart1+ (more )
Structure Level Pattern Image Note
TS20: embryo Present JAX_1314411

Specimen JAX_1314412: embryonic day 12.5; Sart1tm1.1(KOMP)Vlcg/Sart1+ (more )
Structure Level Pattern Image Note
TS20: embryo Present JAX_1314412

Specimen JAX_1314413: embryonic day 12.5; Sart1tm1.1(KOMP)Vlcg/Sart1+ (more )
Structure Level Pattern Image Note
TS20: embryo Present JAX_1314413

Specimen JAX_1314414: embryonic day 12.5; Sart1tm1.1(KOMP)Vlcg/Sart1+ (more )
Structure Level Pattern Image Note
TS20: embryo Present JAX_1314414

Specimen JAX_1314415: embryonic day 12.5; Sart1tm1.1(KOMP)Vlcg/Sart1+ (more )
Structure Level Pattern Image Note
TS20: embryo Present JAX_1314415

Specimen JAX_1314416: embryonic day 12.5; Sart1tm1.1(KOMP)Vlcg/Sart1+ (more )
Structure Level Pattern Image Note
TS20: embryo Present JAX_1314416

Specimen JAX_1314417: embryonic day 12.5; Sart1tm1.1(KOMP)Vlcg/Sart1+ (more )
Structure Level Pattern Image Note
TS20: embryo Present JAX_1314417

Specimen JAX_1314418: embryonic day 12.5; Sart1tm1.1(KOMP)Vlcg/Sart1+ (more )
Structure Level Pattern Image Note
TS20: embryo Present JAX_1314418

Specimen JAX_1522121: postnatal adult; Sart1tm1.1(KOMP)Vlcg/Sart1+ (more )
Structure Level Pattern Image Note
TS28: bone marrow Present JAX_1522121

Specimen JAX_1522122: postnatal adult; Sart1tm1.1(KOMP)Vlcg/Sart1+ (more )
Structure Level Pattern Image Note
TS28: peripheral nervous system Present JAX_1522122

Specimen JAX_1522123: postnatal adult; Sart1tm1.1(KOMP)Vlcg/Sart1+ (more )
Structure Level Pattern Image Note
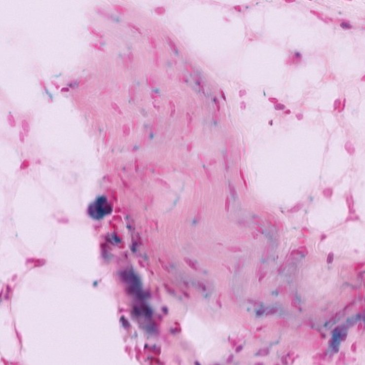
TS28: white fat Present JAX_1522123

Specimen JAX_1522124: postnatal adult; Sart1tm1.1(KOMP)Vlcg/Sart1+ (more )
Structure Level Pattern Image Note
TS28: pituitary gland Present JAX_1522124

Specimen JAX_1522125: postnatal adult; Sart1tm1.1(KOMP)Vlcg/Sart1+ (more )
Structure Level Pattern Image Note
TS28: uterus Present JAX_1522125

Specimen JAX_1522126: postnatal adult; Sart1tm1.1(KOMP)Vlcg/Sart1+ (more )
Structure Level Pattern Image Note
TS28: oviduct Present JAX_1522126

Specimen JAX_1522127: postnatal adult; Sart1tm1.1(KOMP)Vlcg/Sart1+ (more )
Structure Level Pattern Image Note
TS28: ovary Present JAX_1522127

Specimen JAX_1522128: postnatal adult; Sart1tm1.1(KOMP)Vlcg/Sart1+ (more )
Structure Level Pattern Image Note
TS28: mammary gland Present JAX_1522128

Specimen JAX_1522129: postnatal adult; Sart1tm1.1(KOMP)Vlcg/Sart1+ (more )
Structure Level Pattern Image Note
TS28: thalamus Present JAX_1522129

Specimen JAX_1522130: postnatal adult; Sart1tm1.1(KOMP)Vlcg/Sart1+ (more )
Structure Level Pattern Image Note
TS28: midbrain Present JAX_1522130

Specimen JAX_1522131: postnatal adult; Sart1tm1.1(KOMP)Vlcg/Sart1+ (more )
Structure Level Pattern Image Note
TS28: vascular system Present JAX_1522131

Specimen JAX_1522132: postnatal adult; Sart1tm1.1(KOMP)Vlcg/Sart1+ (more )
Structure Level Pattern Image Note
TS28: epididymis Present JAX_1522132

Specimen JAX_1522133: postnatal adult; Sart1tm1.1(KOMP)Vlcg/Sart1+ (more )
Structure Level Pattern Image Note
TS28: submandibular gland Present JAX_1522133

Specimen JAX_1522134: postnatal adult; Sart1tm1.1(KOMP)Vlcg/Sart1+ (more )
Structure Level Pattern Image Note
TS28: brown fat Present JAX_1522134

Specimen JAX_1522135: postnatal adult; Sart1tm1.1(KOMP)Vlcg/Sart1+ (more )
Structure Level Pattern Image Note
TS28: bone Present JAX_1522135

Specimen JAX_1522136: postnatal adult; Sart1tm1.1(KOMP)Vlcg/Sart1+ (more )
Structure Level Pattern Image Note
TS28: bladder Present JAX_1522136

Specimen JAX_1522137: postnatal adult; Sart1tm1.1(KOMP)Vlcg/Sart1+ (more )
Structure Level Pattern Image Note
TS28: corpus striatum Present JAX_1522137

Specimen JAX_1522138: postnatal adult; Sart1tm1.1(KOMP)Vlcg/Sart1+ (more )
Structure Level Pattern Image Note
TS28: Peyer's patch Present JAX_1522138

Specimen JAX_1522139: postnatal adult; Sart1tm1.1(KOMP)Vlcg/Sart1+ (more )
Structure Level Pattern Image Note
TS28: olfactory lobe Present JAX_1522139

Specimen JAX_1522140: postnatal adult; Sart1tm1.1(KOMP)Vlcg/Sart1+ (more )
Structure Level Pattern Image Note
TS28: hypothalamus Present JAX_1522140

Specimen JAX_1522141: postnatal adult; Sart1tm1.1(KOMP)Vlcg/Sart1+ (more )
Structure Level Pattern Image Note
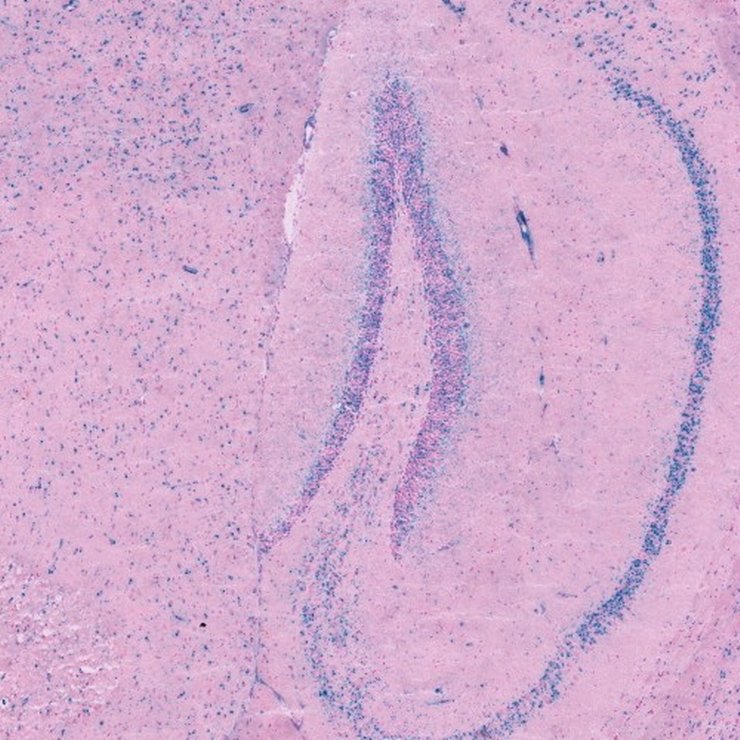
TS28: hippocampus Present JAX_1522141

Specimen JAX_1522142: postnatal adult; Sart1tm1.1(KOMP)Vlcg/Sart1+ (more )
Structure Level Pattern Image Note
TS28: cerebellum Present JAX_1522142

Specimen JAX_1522143: postnatal adult; Sart1tm1.1(KOMP)Vlcg/Sart1+ (more )
Structure Level Pattern Image Note
TS28: cerebral cortex Present JAX_1522143

Specimen JAX_1522144: postnatal adult; Sart1tm1.1(KOMP)Vlcg/Sart1+ (more )
Structure Level Pattern Image Note
TS28: cartilage Present JAX_1522144

Specimen JAX_1522145: postnatal adult; Sart1tm1.1(KOMP)Vlcg/Sart1+ (more )
Structure Level Pattern Image Note
TS28: brainstem Present JAX_1522145

Specimen JAX_1522146: postnatal adult; Sart1tm1.1(KOMP)Vlcg/Sart1+ (more )
Structure Level Pattern Image Note
TS28: spleen Present JAX_1522146

Specimen JAX_1522147: postnatal adult; Sart1tm1.1(KOMP)Vlcg/Sart1+ (more )
Structure Level Pattern Image Note
TS28: pancreas Present JAX_1522147

Specimen JAX_1522148: postnatal adult; Sart1tm1.1(KOMP)Vlcg/Sart1+ (more )
Structure Level Pattern Image Note
TS28: aorta Present JAX_1522148

Specimen JAX_1522149: postnatal adult; Sart1tm1.1(KOMP)Vlcg/Sart1+ (more )
Structure Level Pattern Image Note
TS28: lung Present JAX_1522149

Specimen JAX_1522150: postnatal adult; Sart1tm1.1(KOMP)Vlcg/Sart1+ (more )
Structure Level Pattern Image Note
TS28: small intestine Present JAX_1522150

Specimen JAX_1522151: postnatal adult; Sart1tm1.1(KOMP)Vlcg/Sart1+ (more )
Structure Level Pattern Image Note
TS28: skeletal muscle tissue Present JAX_1522151

Specimen JAX_1522152: postnatal adult; Sart1tm1.1(KOMP)Vlcg/Sart1+ (more )
Structure Level Pattern Image Note
TS28: thyroid gland Present JAX_1522152

Specimen JAX_1522153: postnatal adult; Sart1tm1.1(KOMP)Vlcg/Sart1+ (more )
Structure Level Pattern Image Note
TS28: spinal cord Present JAX_1522153

Specimen JAX_1522154: postnatal adult; Sart1tm1.1(KOMP)Vlcg/Sart1+ (more )
Structure Level Pattern Image Note
TS28: esophagus Present JAX_1522154

Specimen JAX_1522155: postnatal adult; Sart1tm1.1(KOMP)Vlcg/Sart1+ (more )
Structure Level Pattern Image Note
TS28: large intestine Present JAX_1522155

Specimen JAX_1522156: postnatal adult; Sart1tm1.1(KOMP)Vlcg/Sart1+ (more )
Structure Level Pattern Image Note
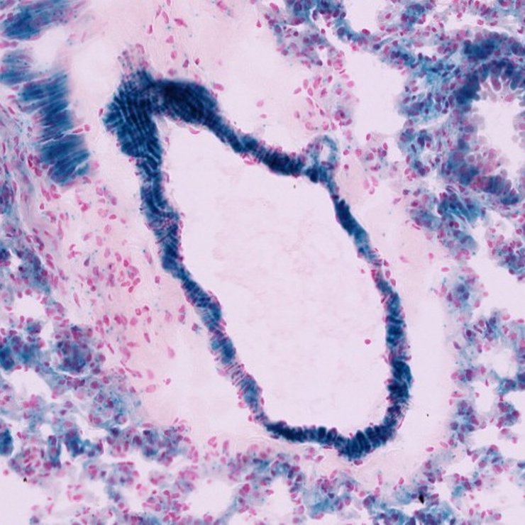
TS28: trachea Present JAX_1522156

Specimen JAX_1522157: postnatal adult; Sart1tm1.1(KOMP)Vlcg/Sart1+ (more )
Structure Level Pattern Image Note
TS28: thymus Present JAX_1522157

Specimen JAX_1522158: postnatal adult; Sart1tm1.1(KOMP)Vlcg/Sart1+ (more )
Structure Level Pattern Image Note
TS28: testis Present JAX_1522158

Specimen JAX_1522159: postnatal adult; Sart1tm1.1(KOMP)Vlcg/Sart1+ (more )
Structure Level Pattern Image Note
TS28: stomach Present JAX_1522159

Specimen JAX_1522160: postnatal adult; Sart1tm1.1(KOMP)Vlcg/Sart1+ (more )
Structure Level Pattern Image Note
TS28: skin Present JAX_1522160

Specimen JAX_1522161: postnatal adult; Sart1tm1.1(KOMP)Vlcg/Sart1+ (more )
Structure Level Pattern Image Note
TS28: lymph node Present JAX_1522161

Specimen JAX_1522162: postnatal adult; Sart1tm1.1(KOMP)Vlcg/Sart1+ (more )
Structure Level Pattern Image Note
TS28: liver Present JAX_1522162

Specimen JAX_1522163: postnatal adult; Sart1tm1.1(KOMP)Vlcg/Sart1+ (more )
Structure Level Pattern Image Note
TS28: metanephros Present JAX_1522163 kidney

Specimen JAX_1522164: postnatal adult; Sart1tm1.1(KOMP)Vlcg/Sart1+ (more )
Structure Level Pattern Image Note
TS28: heart Present JAX_1522164

Specimen JAX_1522165: postnatal adult; Sart1tm1.1(KOMP)Vlcg/Sart1+ (more )
Structure Level Pattern Image Note
TS28: eye Present JAX_1522165

Specimen JAX_1522166: postnatal adult; Sart1tm1.1(KOMP)Vlcg/Sart1+ (more )
Structure Level Pattern Image Note
TS28: brain Present JAX_1522166

Specimen JAX_1522167: postnatal adult; Sart1tm1.1(KOMP)Vlcg/Sart1+ (more )
Structure Level Pattern Image Note
TS28: adrenal gland Present JAX_1522167


Contributing Projects:
Mouse Genome Database (MGD), Gene Expression Database (GXD), Mouse Models of Human Cancer database (MMHCdb) (formerly Mouse Tumor Biology (MTB)), Gene Ontology (GO)
Citing These Resources
Funding Information
Warranty Disclaimer, Privacy Notice, Licensing, & Copyright
Send questions and comments to User Support.
last database update
12/30/2025
MGI 6.24
The Jackson Laboratory