About   Help   FAQ
Gene Expression Data
Assay Details
Assay
Reference: J:228563 Koscielny G, et al., The International Mouse Phenotyping Consortium Web Portal, a unified point of access for knockout mice and related phenotyping data. Nucleic Acids Res. 2014 Jan;42(Database issue):D802-9
Assay type: In situ reporter (knock in)
MGI Accession ID: MGI:6691310
Gene symbol: Dach1
Gene name: dachshund family transcription factor 1
Reporter: lacZ
Direct Detection
Results
Specimen JAX_1123685: embryonic day 12.5; Dach1tm1b(KOMP)Wtsi/Dach1+ (more )
Structure Level Pattern Image Note
TS20: embryo Present JAX_1123685

Specimen JAX_1123687: embryonic day 12.5; Dach1tm1b(KOMP)Wtsi/Dach1+ (more )
Structure Level Pattern Image Note
TS20: embryo Present JAX_1123687

Specimen JAX_1123689: embryonic day 12.5; Dach1tm1b(KOMP)Wtsi/Dach1+ (more )
Structure Level Pattern Image Note
TS20: embryo Present JAX_1123689

Specimen JAX_1123691: embryonic day 12.5; Dach1tm1b(KOMP)Wtsi/Dach1+ (more )
Structure Level Pattern Image Note
TS20: embryo Present JAX_1123691

Specimen JAX_1123701: embryonic day 12.5; Dach1tm1b(KOMP)Wtsi/Dach1+ (more )
Structure Level Pattern Image Note
TS20: embryo Present JAX_1123701

Specimen JAX_1123703: embryonic day 12.5; Dach1tm1b(KOMP)Wtsi/Dach1+ (more )
Structure Level Pattern Image Note
TS20: embryo Present JAX_1123703

Specimen JAX_1123705: embryonic day 12.5; Dach1tm1b(KOMP)Wtsi/Dach1+ (more )
Structure Level Pattern Image Note
TS20: embryo Present JAX_1123705

Specimen JAX_1123707: embryonic day 12.5; Dach1tm1b(KOMP)Wtsi/Dach1+ (more )
Structure Level Pattern Image Note
TS20: embryo Present JAX_1123707

Specimen JAX_1803597: postnatal adult; Dach1tm1b(KOMP)Wtsi/Dach1+ (more )
Structure Level Pattern Image Note
TS28: midbrain Present JAX_1803597

Specimen JAX_1803598: postnatal adult; Dach1tm1b(KOMP)Wtsi/Dach1+ (more )
Structure Level Pattern Image Note
TS28: corpus striatum Present JAX_1803598

Specimen JAX_1803599: postnatal adult; Dach1tm1b(KOMP)Wtsi/Dach1+ (more )
Structure Level Pattern Image Note
TS28: hypothalamus Present JAX_1803599

Specimen JAX_1803601: postnatal adult; Dach1tm1b(KOMP)Wtsi/Dach1+ (more )
Structure Level Pattern Image Note
TS28: brainstem Present JAX_1803601

Specimen JAX_1803602: postnatal adult; Dach1tm1b(KOMP)Wtsi/Dach1+ (more )
Structure Level Pattern Image Note
TS28: small intestine Present JAX_1803602

Specimen JAX_1803603: postnatal adult; Dach1tm1b(KOMP)Wtsi/Dach1+ (more )
Structure Level Pattern Image Note
TS28: pituitary gland Present JAX_1803603

Specimen JAX_1803604: postnatal adult; Dach1tm1b(KOMP)Wtsi/Dach1+ (more )
Structure Level Pattern Image Note
TS28: large intestine Present JAX_1803604

Specimen JAX_1803605: postnatal adult; Dach1tm1b(KOMP)Wtsi/Dach1+ (more )
Structure Level Pattern Image Note
TS28: uterus Present JAX_1803605

Specimen JAX_1803606: postnatal adult; Dach1tm1b(KOMP)Wtsi/Dach1+ (more )
Structure Level Pattern Image Note
TS28: stomach Present JAX_1803606

Specimen JAX_1803607: postnatal adult; Dach1tm1b(KOMP)Wtsi/Dach1+ (more )
Structure Level Pattern Image Note
TS28: oviduct Present JAX_1803607

Specimen JAX_1803608: postnatal adult; Dach1tm1b(KOMP)Wtsi/Dach1+ (more )
Structure Level Pattern Image Note
TS28: ovary Present JAX_1803608

Specimen JAX_1803609: postnatal adult; Dach1tm1b(KOMP)Wtsi/Dach1+ (more )
Structure Level Pattern Image Note
TS28: eye Present JAX_1803609

Specimen JAX_1803610: postnatal adult; Dach1tm1b(KOMP)Wtsi/Dach1+ (more )
Structure Level Pattern Image Note
TS28: brain Present JAX_1803610

Specimen JAX_1803611: postnatal adult; Dach1tm1b(KOMP)Wtsi/Dach1+ (more )
Structure Level Pattern Image Note
TS28: adrenal gland Present JAX_1803611

Specimen JAX_1803588: postnatal adult; Dach1tm1b(KOMP)Wtsi/Dach1+ (more )
Structure Level Pattern Image Note
TS28: thalamus Present JAX_1803588

Specimen JAX_1803589: postnatal adult; Dach1tm1b(KOMP)Wtsi/Dach1+ (more )
Structure Level Pattern Image Note
TS28: epididymis Present JAX_1803589

Specimen JAX_1803590: postnatal adult; Dach1tm1b(KOMP)Wtsi/Dach1+ (more )
Structure Level Pattern Image Note
TS28: cerebellum Present JAX_1803590

Specimen JAX_1803593: postnatal adult; Dach1tm1b(KOMP)Wtsi/Dach1+ (more )
Structure Level Pattern Image Note
TS28: testis Present JAX_1803593

Specimen JAX_1803594: postnatal adult; Dach1tm1b(KOMP)Wtsi/Dach1+ (more )
Structure Level Pattern Image Note
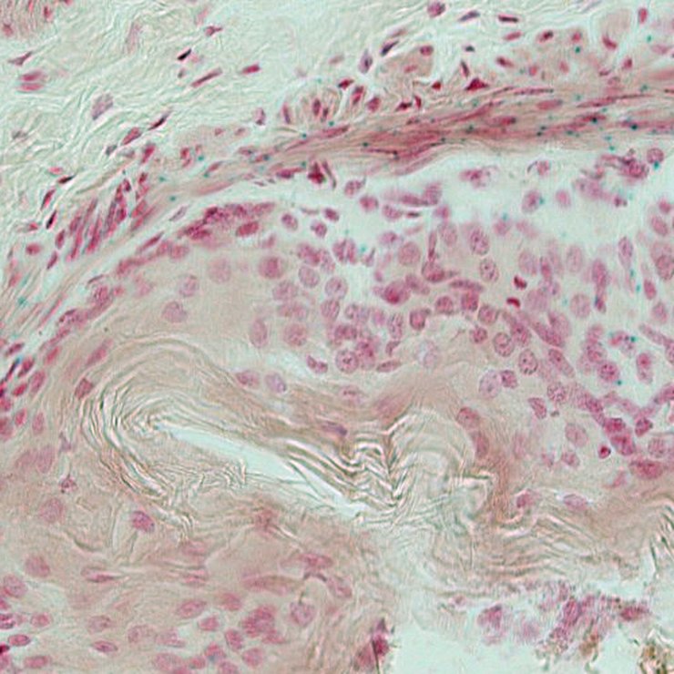
TS28: skin Present JAX_1803594

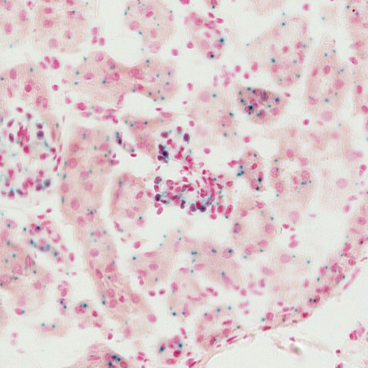
Specimen JAX_1803595: postnatal adult; Dach1tm1b(KOMP)Wtsi/Dach1+ (more )
Structure Level Pattern Image Note
TS28: metanephros Present JAX_1803595 kidney


Contributing Projects:
Mouse Genome Database (MGD), Gene Expression Database (GXD), Mouse Models of Human Cancer database (MMHCdb) (formerly Mouse Tumor Biology (MTB)), Gene Ontology (GO)
Citing These Resources
Funding Information
Warranty Disclaimer, Privacy Notice, Licensing, & Copyright
Send questions and comments to User Support.
last database update
12/30/2025
MGI 6.24
The Jackson Laboratory