About   Help   FAQ
Gene Expression Data
Assay Details
Assay
Reference: J:228563 Koscielny G, et al., The International Mouse Phenotyping Consortium Web Portal, a unified point of access for knockout mice and related phenotyping data. Nucleic Acids Res. 2014 Jan;42(Database issue):D802-9
Assay type: In situ reporter (knock in)
MGI Accession ID: MGI:6691309
Gene symbol: Cnih2
Gene name: cornichon family AMPA receptor auxiliary protein 2
Reporter: lacZ
Direct Detection
Results
Specimen JAX_1126419: embryonic day 12.5; Cnih2tm1b(KOMP)Wtsi/Cnih2+ (more )
Structure Level Pattern Image Note
TS20: embryo Present JAX_1126419

Specimen JAX_1126421: embryonic day 12.5; Cnih2tm1b(KOMP)Wtsi/Cnih2+ (more )
Structure Level Pattern Image Note
TS20: embryo Present JAX_1126421

Specimen JAX_1126423: embryonic day 12.5; Cnih2tm1b(KOMP)Wtsi/Cnih2+ (more )
Structure Level Pattern Image Note
TS20: embryo Present JAX_1126423

Specimen JAX_1126425: embryonic day 12.5; Cnih2tm1b(KOMP)Wtsi/Cnih2+ (more )
Structure Level Pattern Image Note
TS20: embryo Present JAX_1126425

Specimen JAX_1330008: embryonic day 12.5; Cnih2tm1b(KOMP)Wtsi/Cnih2+ (more )
Structure Level Pattern Image Note
TS20: embryo Present JAX_1330008

Specimen JAX_1330009: embryonic day 12.5; Cnih2tm1b(KOMP)Wtsi/Cnih2+ (more )
Structure Level Pattern Image Note
TS20: embryo Present JAX_1330009

Specimen JAX_1330010: embryonic day 12.5; Cnih2tm1b(KOMP)Wtsi/Cnih2+ (more )
Structure Level Pattern Image Note
TS20: embryo Present JAX_1330010

Specimen JAX_1330011: embryonic day 12.5; Cnih2tm1b(KOMP)Wtsi/Cnih2+ (more )
Structure Level Pattern Image Note
TS20: embryo Present JAX_1330011

Specimen JAX_1244271: postnatal adult; Cnih2tm1b(KOMP)Wtsi/Cnih2+ (more )
Structure Level Pattern Image Note
TS28: thalamus Present JAX_1244271

Specimen JAX_1244273: postnatal adult; Cnih2tm1b(KOMP)Wtsi/Cnih2+ (more )
Structure Level Pattern Image Note
TS28: midbrain Present JAX_1244273

Specimen JAX_1244275: postnatal adult; Cnih2tm1b(KOMP)Wtsi/Cnih2+ (more )
Structure Level Pattern Image Note
TS28: corpus striatum Present JAX_1244275

Specimen JAX_1244277: postnatal adult; Cnih2tm1b(KOMP)Wtsi/Cnih2+ (more )
Structure Level Pattern Image Note
TS28: olfactory lobe Present JAX_1244277

Specimen JAX_1244279: postnatal adult; Cnih2tm1b(KOMP)Wtsi/Cnih2+ (more )
Structure Level Pattern Image Note
TS28: hypothalamus Present JAX_1244279

Specimen JAX_1244281: postnatal adult; Cnih2tm1b(KOMP)Wtsi/Cnih2+ (more )
Structure Level Pattern Image Note
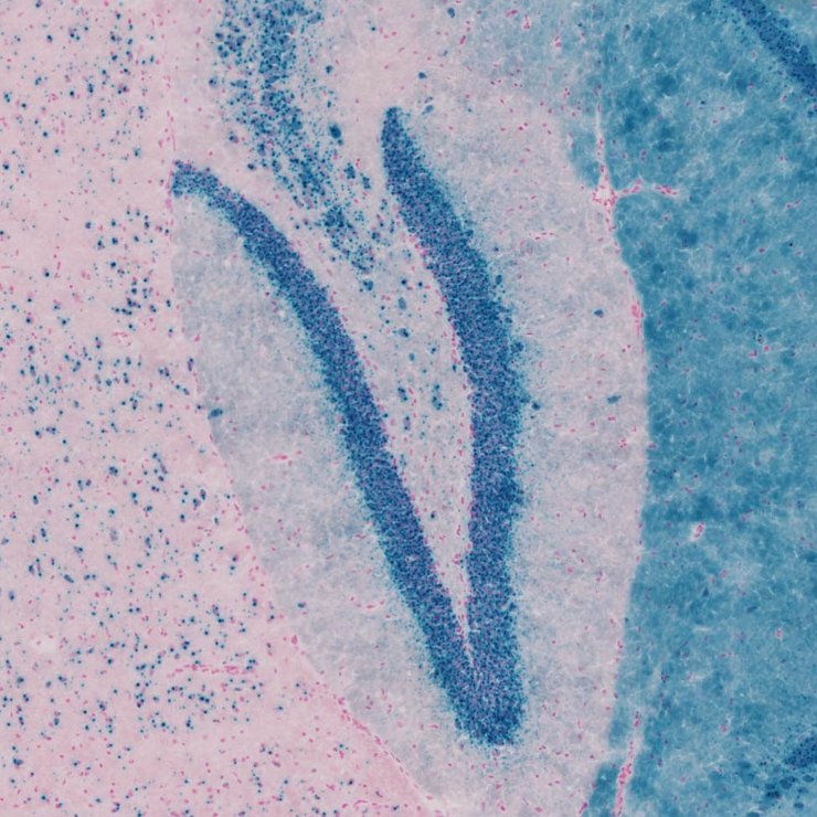
TS28: hippocampus Present JAX_1244281

Specimen JAX_1244283: postnatal adult; Cnih2tm1b(KOMP)Wtsi/Cnih2+ (more )
Structure Level Pattern Image Note
TS28: cerebellum Present JAX_1244283

Specimen JAX_1244285: postnatal adult; Cnih2tm1b(KOMP)Wtsi/Cnih2+ (more )
Structure Level Pattern Image Note
TS28: cerebral cortex Present JAX_1244285

Specimen JAX_1244287: postnatal adult; Cnih2tm1b(KOMP)Wtsi/Cnih2+ (more )
Structure Level Pattern Image Note
TS28: brainstem Present JAX_1244287

Specimen JAX_1244289: postnatal adult; Cnih2tm1b(KOMP)Wtsi/Cnih2+ (more )
Structure Level Pattern Image Note
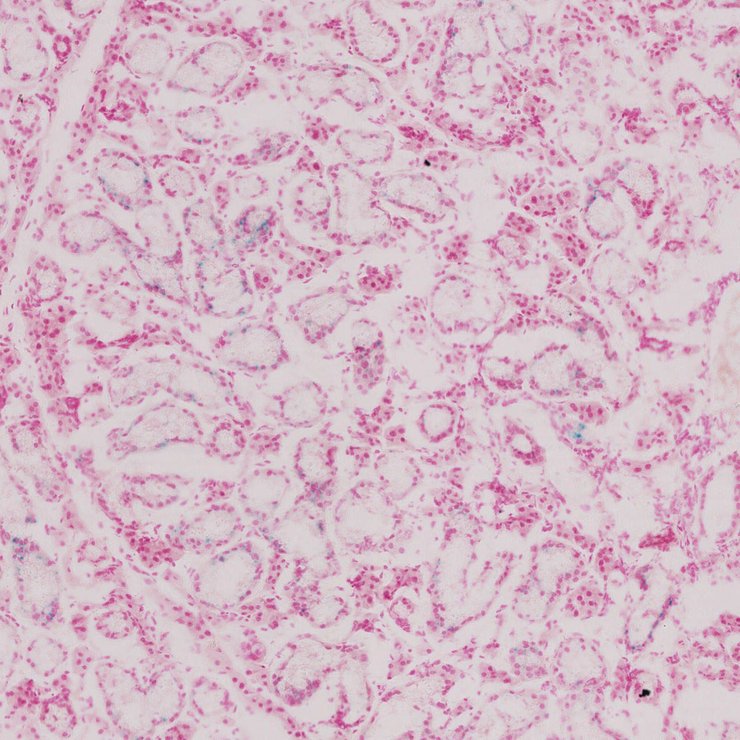
TS28: metanephros Present JAX_1244289 kidney

Specimen JAX_1244291: postnatal adult; Cnih2tm1b(KOMP)Wtsi/Cnih2+ (more )
Structure Level Pattern Image Note
TS28: eye Present JAX_1244291

Specimen JAX_1244293: postnatal adult; Cnih2tm1b(KOMP)Wtsi/Cnih2+ (more )
Structure Level Pattern Image Note
TS28: brain Present JAX_1244293

Specimen JAX_1244295: postnatal adult; Cnih2tm1b(KOMP)Wtsi/Cnih2+ (more )
Structure Level Pattern Image Note
TS28: submandibular gland Present JAX_1244295

Specimen JAX_1244297: postnatal adult; Cnih2tm1b(KOMP)Wtsi/Cnih2+ (more )
Structure Level Pattern Image Note
TS28: spinal cord Present JAX_1244297

Specimen JAX_1244299: postnatal adult; Cnih2tm1b(KOMP)Wtsi/Cnih2+ (more )
Structure Level Pattern Image Note
TS28: testis Present JAX_1244299


Contributing Projects:
Mouse Genome Database (MGD), Gene Expression Database (GXD), Mouse Models of Human Cancer database (MMHCdb) (formerly Mouse Tumor Biology (MTB)), Gene Ontology (GO)
Citing These Resources
Funding Information
Warranty Disclaimer, Privacy Notice, Licensing, & Copyright
Send questions and comments to User Support.
last database update
12/30/2025
MGI 6.24
The Jackson Laboratory