About   Help   FAQ
Gene Expression Data
Assay Details
Assay
Reference: J:228563 Koscielny G, et al., The International Mouse Phenotyping Consortium Web Portal, a unified point of access for knockout mice and related phenotyping data. Nucleic Acids Res. 2014 Jan;42(Database issue):D802-9
Assay type: In situ reporter (knock in)
MGI Accession ID: MGI:6691307
Gene symbol: Macir
Gene name: macrophage immunometabolism regulator
Reporter: lacZ
Direct Detection
Results
Specimen JAX_619799: embryonic day 12.5; Macirtm1.1(KOMP)Vlcg/Macir+ (more )
Structure Level Pattern Image Note
TS20: embryo Present JAX_619799

Specimen JAX_619801: embryonic day 12.5; Macirtm1.1(KOMP)Vlcg/Macir+ (more )
Structure Level Pattern Image Note
TS20: embryo Present JAX_619801

Specimen JAX_619803: embryonic day 12.5; Macirtm1.1(KOMP)Vlcg/Macir+ (more )
Structure Level Pattern Image Note
TS20: embryo Present JAX_619803

Specimen JAX_619805: embryonic day 12.5; Macirtm1.1(KOMP)Vlcg/Macir+ (more )
Structure Level Pattern Image Note
TS20: embryo Present JAX_619805

Specimen JAX_1469734: embryonic day 12.5; Macirtm1.1(KOMP)Vlcg/Macirtm1.1(KOMP)Vlcg (more )
Structure Level Pattern Image Note
TS20: embryo Present JAX_1469734

Specimen JAX_1469735: embryonic day 12.5; Macirtm1.1(KOMP)Vlcg/Macirtm1.1(KOMP)Vlcg (more )
Structure Level Pattern Image Note
TS20: embryo Present JAX_1469735

Specimen JAX_1469736: embryonic day 12.5; Macirtm1.1(KOMP)Vlcg/Macirtm1.1(KOMP)Vlcg (more )
Structure Level Pattern Image Note
TS20: embryo Present JAX_1469736

Specimen JAX_1469737: embryonic day 12.5; Macirtm1.1(KOMP)Vlcg/Macirtm1.1(KOMP)Vlcg (more )
Structure Level Pattern Image Note
TS20: embryo Present JAX_1469737

Specimen JAX_1802207: postnatal adult; Macirtm1.1(KOMP)Vlcg/Macir+ (more )
Structure Level Pattern Image Note
TS28: vascular system Present JAX_1802207

Specimen JAX_1802208: postnatal adult; Macirtm1.1(KOMP)Vlcg/Macir+ (more )
Structure Level Pattern Image Note
TS28: bone marrow Present JAX_1802208

Specimen JAX_1802209: postnatal adult; Macirtm1.1(KOMP)Vlcg/Macir+ (more )
Structure Level Pattern Image Note
TS28: bladder Present JAX_1802209

Specimen JAX_1802210: postnatal adult; Macirtm1.1(KOMP)Vlcg/Macir+ (more )
Structure Level Pattern Image Note
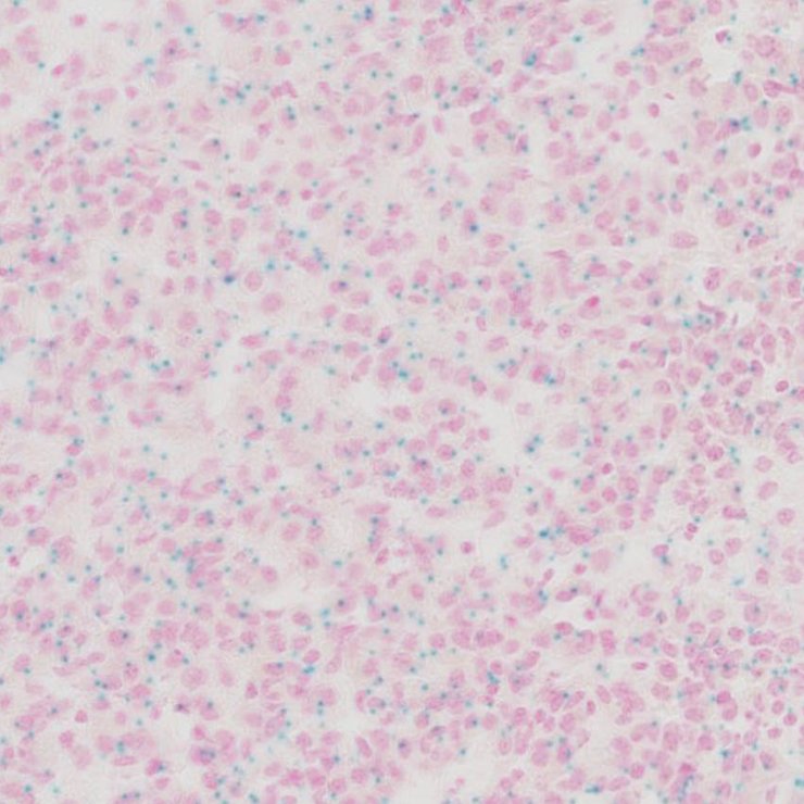
TS28: spleen Present JAX_1802210

Specimen JAX_1802211: postnatal adult; Macirtm1.1(KOMP)Vlcg/Macir+ (more )
Structure Level Pattern Image Note
TS28: pancreas Present JAX_1802211

Specimen JAX_1802212: postnatal adult; Macirtm1.1(KOMP)Vlcg/Macir+ (more )
Structure Level Pattern Image Note
TS28: aorta Present JAX_1802212

Specimen JAX_1802213: postnatal adult; Macirtm1.1(KOMP)Vlcg/Macir+ (more )
Structure Level Pattern Image Note
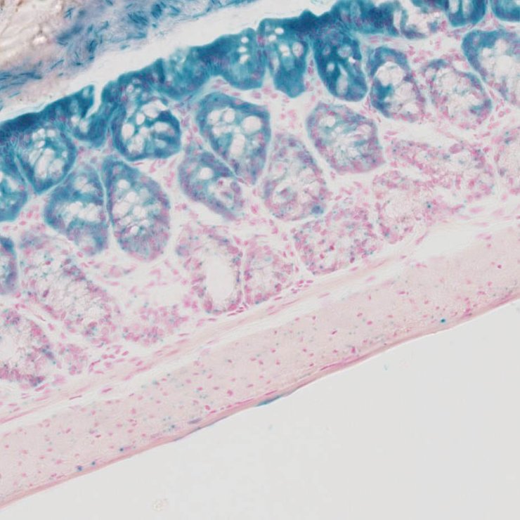
TS28: small intestine Present JAX_1802213

Specimen JAX_1802214: postnatal adult; Macirtm1.1(KOMP)Vlcg/Macir+ (more )
Structure Level Pattern Image Note
TS28: skeletal muscle tissue Present JAX_1802214

Specimen JAX_1802215: postnatal adult; Macirtm1.1(KOMP)Vlcg/Macir+ (more )
Structure Level Pattern Image Note
TS28: spinal cord Present JAX_1802215

Specimen JAX_1802216: postnatal adult; Macirtm1.1(KOMP)Vlcg/Macir+ (more )
Structure Level Pattern Image Note
TS28: uterus Present JAX_1802216

Specimen JAX_1802217: postnatal adult; Macirtm1.1(KOMP)Vlcg/Macir+ (more )
Structure Level Pattern Image Note
TS28: thymus Present JAX_1802217

Specimen JAX_1802218: postnatal adult; Macirtm1.1(KOMP)Vlcg/Macir+ (more )
Structure Level Pattern Image Note
TS28: stomach Present JAX_1802218

Specimen JAX_1802219: postnatal adult; Macirtm1.1(KOMP)Vlcg/Macir+ (more )
Structure Level Pattern Image Note
TS28: skin Present JAX_1802219

Specimen JAX_1802220: postnatal adult; Macirtm1.1(KOMP)Vlcg/Macir+ (more )
Structure Level Pattern Image Note
TS28: oviduct Present JAX_1802220

Specimen JAX_1802221: postnatal adult; Macirtm1.1(KOMP)Vlcg/Macir+ (more )
Structure Level Pattern Image Note
TS28: ovary Present JAX_1802221

Specimen JAX_1802222: postnatal adult; Macirtm1.1(KOMP)Vlcg/Macir+ (more )
Structure Level Pattern Image Note
TS28: mammary gland Present JAX_1802222

Specimen JAX_1802223: postnatal adult; Macirtm1.1(KOMP)Vlcg/Macir+ (more )
Structure Level Pattern Image Note
TS28: liver Present JAX_1802223

Specimen JAX_1802224: postnatal adult; Macirtm1.1(KOMP)Vlcg/Macir+ (more )
Structure Level Pattern Image Note
TS28: metanephros Present JAX_1802224 kidney

Specimen JAX_1802225: postnatal adult; Macirtm1.1(KOMP)Vlcg/Macir+ (more )
Structure Level Pattern Image Note
TS28: heart Present JAX_1802225

Specimen JAX_1802226: postnatal adult; Macirtm1.1(KOMP)Vlcg/Macir+ (more )
Structure Level Pattern Image Note
TS28: adrenal gland Present JAX_1802226

Specimen JAX_1802183: postnatal adult; Macirtm1.1(KOMP)Vlcg/Macir+ (more )
Structure Level Pattern Image Note
TS28: thalamus Present JAX_1802183

Specimen JAX_1802184: postnatal adult; Macirtm1.1(KOMP)Vlcg/Macir+ (more )
Structure Level Pattern Image Note
TS28: midbrain Present JAX_1802184

Specimen JAX_1802185: postnatal adult; Macirtm1.1(KOMP)Vlcg/Macir+ (more )
Structure Level Pattern Image Note
TS28: epididymis Present JAX_1802185

Specimen JAX_1802186: postnatal adult; Macirtm1.1(KOMP)Vlcg/Macir+ (more )
Structure Level Pattern Image Note
TS28: submandibular gland Present JAX_1802186

Specimen JAX_1802187: postnatal adult; Macirtm1.1(KOMP)Vlcg/Macir+ (more )
Structure Level Pattern Image Note
TS28: corpus striatum Present JAX_1802187

Specimen JAX_1802188: postnatal adult; Macirtm1.1(KOMP)Vlcg/Macir+ (more )
Structure Level Pattern Image Note
TS28: Peyer's patch Present JAX_1802188

Specimen JAX_1802189: postnatal adult; Macirtm1.1(KOMP)Vlcg/Macir+ (more )
Structure Level Pattern Image Note
TS28: peripheral nervous system Present JAX_1802189

Specimen JAX_1802190: postnatal adult; Macirtm1.1(KOMP)Vlcg/Macir+ (more )
Structure Level Pattern Image Note
TS28: olfactory lobe Present JAX_1802190

Specimen JAX_1802191: postnatal adult; Macirtm1.1(KOMP)Vlcg/Macir+ (more )
Structure Level Pattern Image Note
TS28: hypothalamus Present JAX_1802191

Specimen JAX_1802192: postnatal adult; Macirtm1.1(KOMP)Vlcg/Macir+ (more )
Structure Level Pattern Image Note
TS28: hippocampus Present JAX_1802192

Specimen JAX_1802193: postnatal adult; Macirtm1.1(KOMP)Vlcg/Macir+ (more )
Structure Level Pattern Image Note
TS28: cerebellum Present JAX_1802193

Specimen JAX_1802194: postnatal adult; Macirtm1.1(KOMP)Vlcg/Macir+ (more )
Structure Level Pattern Image Note
TS28: cerebral cortex Present JAX_1802194

Specimen JAX_1802195: postnatal adult; Macirtm1.1(KOMP)Vlcg/Macir+ (more )
Structure Level Pattern Image Note
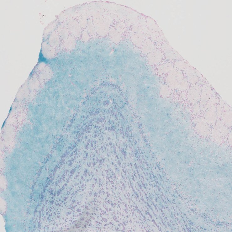
TS28: cartilage Present JAX_1802195

Specimen JAX_1802196: postnatal adult; Macirtm1.1(KOMP)Vlcg/Macir+ (more )
Structure Level Pattern Image Note
TS28: brainstem Present JAX_1802196

Specimen JAX_1802197: postnatal adult; Macirtm1.1(KOMP)Vlcg/Macir+ (more )
Structure Level Pattern Image Note
TS28: lung Present JAX_1802197

Specimen JAX_1802198: postnatal adult; Macirtm1.1(KOMP)Vlcg/Macir+ (more )
Structure Level Pattern Image Note
TS28: pituitary gland Present JAX_1802198

Specimen JAX_1802199: postnatal adult; Macirtm1.1(KOMP)Vlcg/Macir+ (more )
Structure Level Pattern Image Note
TS28: thyroid gland Present JAX_1802199

Specimen JAX_1802200: postnatal adult; Macirtm1.1(KOMP)Vlcg/Macir+ (more )
Structure Level Pattern Image Note
TS28: esophagus Present JAX_1802200

Specimen JAX_1802201: postnatal adult; Macirtm1.1(KOMP)Vlcg/Macir+ (more )
Structure Level Pattern Image Note
TS28: large intestine Present JAX_1802201

Specimen JAX_1802202: postnatal adult; Macirtm1.1(KOMP)Vlcg/Macir+ (more )
Structure Level Pattern Image Note
TS28: trachea Present JAX_1802202

Specimen JAX_1802203: postnatal adult; Macirtm1.1(KOMP)Vlcg/Macir+ (more )
Structure Level Pattern Image Note
TS28: testis Present JAX_1802203

Specimen JAX_1802204: postnatal adult; Macirtm1.1(KOMP)Vlcg/Macir+ (more )
Structure Level Pattern Image Note
TS28: lymph node Present JAX_1802204

Specimen JAX_1802205: postnatal adult; Macirtm1.1(KOMP)Vlcg/Macir+ (more )
Structure Level Pattern Image Note
TS28: eye Present JAX_1802205

Specimen JAX_1802206: postnatal adult; Macirtm1.1(KOMP)Vlcg/Macir+ (more )
Structure Level Pattern Image Note
TS28: brain Present JAX_1802206


Contributing Projects:
Mouse Genome Database (MGD), Gene Expression Database (GXD), Mouse Models of Human Cancer database (MMHCdb) (formerly Mouse Tumor Biology (MTB)), Gene Ontology (GO)
Citing These Resources
Funding Information
Warranty Disclaimer, Privacy Notice, Licensing, & Copyright
Send questions and comments to User Support.
last database update
01/20/2026
MGI 6.24
The Jackson Laboratory